Sign in to use this feature.

Years

Between: -

Subjects

remove_circle_outline
remove_circle_outline
remove_circle_outline
remove_circle_outline
remove_circle_outline
remove_circle_outline

Journals

Article Types

Countries / Regions

Search Results (24)

Search Parameters:
Keywords = chromosome 16p11.2 duplication syndrome

Order results
Result details
Results per page
Select all
Export citation of selected articles as:
14 pages, 1694 KB  
Article
The Role of MLPA in Detecting Syndromic Submicroscopic Copy Number Variations in Normal QF-PCR Miscarriage Specimens
by Gabriela Popescu-Hobeanu, Mihai-Gabriel Cucu, Alexandru Calotă-Dobrescu, Luminița Dragotă, Anca-Lelia Riza, Ioana Streață, Răzvan Mihail Pleșea, Ciprian Laurențiu Pătru, Cristina Maria Comănescu, Ștefania Tudorache, Dominic Iliescu and Florin Burada
Genes 2025, 16(8), 867; https://doi.org/10.3390/genes16080867 - 24 Jul 2025
Viewed by 1607
Abstract
Background/Objectives: Miscarriage is an increasingly common event worldwide arising from various factors, and identifying its etiology is important for planning and managing any future pregnancies. It is estimated that about half of early pregnancy loss cases are caused by genetic abnormalities, while [...] Read more.
Background/Objectives: Miscarriage is an increasingly common event worldwide arising from various factors, and identifying its etiology is important for planning and managing any future pregnancies. It is estimated that about half of early pregnancy loss cases are caused by genetic abnormalities, while a significantly lower rate is found in late pregnancy loss. Multiplex ligation-dependent probe amplification (MLPA) can detect small changes within a gene with precise breakpoints at the level of a single exon. The aim of our study was to identify the rate of copy number variations (CNVs) in spontaneous pregnancy loss samples after having previously tested them via quantitative fluorescence PCR (QF-PCR), with no abnormal findings. Methods: DNA was extracted from product-of-conception tissue samples, followed by the use of an MLPA kit for the detection of 31 microdeletion/microduplication syndromes (SALSA® MLPA® Probemix P245 Microdeletion Syndromes-1A, MRC-Holland, Amsterdam, The Netherlands). Results: A total of 11 (13.1%) out of the 84 successfully tested samples showed CNVs. Duplications accounted for 9.5% of the analyzed samples (eight cases), while heterozygous or hemizygous deletions were present in three cases (3.6%). Among all the detected CNVs, only three were certainly pathogenic (3.6%), with two deletions associated with DiGeorge-2 syndrome and Rett syndrome, respectively, and a 2q23.1 microduplication syndrome, all detected in early pregnancy loss samples. For the remaining cases, additional genetic tests (e.g., aCGH/SNP microarray) are required to establish CNV size and gene content and therefore their pathogenicity. Conclusions: MLPA assays seem to have limited value in detecting supplementary chromosomal abnormalities in miscarriages. Full article
(This article belongs to the Section Human Genomics and Genetic Diseases)
Show Figures

Figure 1

10 pages, 1889 KB  
Case Report
Pleomorphic Parotid Adenoma in a Child Affected with Cri du Chat Syndrome: Clinical, Cytogenetic, and Molecular Analysis
by Cesare Danesino, Federico Biglioli, Laura Moneghini, Roberto Valli, Carla Olivieri, Barbara Testa, Chiara Baldo, Michela Malacarne and Andrea Guala
Int. J. Mol. Sci. 2024, 25(19), 10664; https://doi.org/10.3390/ijms251910664 - 3 Oct 2024
Cited by 1 | Viewed by 1581
Abstract
Salivary gland pleomorphic adenoma (SGPA) is the most common type of benign epithelial tumor; it is observed more commonly in females (with a female-to-male ratio of 1.43:1), and the age at diagnosis ranges between 40 and 59 years, with only 2% of cases [...] Read more.
Salivary gland pleomorphic adenoma (SGPA) is the most common type of benign epithelial tumor; it is observed more commonly in females (with a female-to-male ratio of 1.43:1), and the age at diagnosis ranges between 40 and 59 years, with only 2% of cases diagnosed before age 18. Cri du Chat (CdC) is a rare syndrome caused by deletions of various sizes in the short arm of chromosome 5. Tumors in CdC patients are extremely rare: in Danish, Spanish, Australian, and Japanese groups of cases, no tumors have been reported, while a few cases have been described among 321 CdC patients collected in Italy and Germany. These cases all involve tumors that appear at a young age. We here report the case of a parotid pleomorphic adenoma in an 8-year-old boy with CdC. Exome analysis did not identify variants certainly significant for the development of SGPA. A CGH array, analyzed both in peripheral blood and tumor samples, failed to recognize anomalies previously associated with SGPA but identified a de novo duplication in 7p15.2, which contains part of a gene, SKAP2, in which the increased copy number is associated with the development of a different type of tumor such as pancreatic duct adenocarcinoma. The assumption that the duplication in 7p15.2 is relevant for the development of SGPA in our patient implies that CGH array studies must be included early in life in routine work-ups of CdC to identify CNVs with possible pathogenic roles for tumor development. This is particularly also relevant in relation to the severely impaired possibility for patients with CdC to report discomfort or pain related to tumor development. Constitutional CNVs in addition to the deletion in 5p should also be extensively studied to verify if their presence in some patients could explain why, in these cases, tumors develop at an age younger than expected. Full article
(This article belongs to the Special Issue Genetic Variations in Human Diseases)
Show Figures

Figure 1

22 pages, 5380 KB  
Article
The Effects of Prescribed Physical and Cognitive Exercise on Life Satisfaction, Self-Efficacy and Mood States in Adults with Down Syndrome: The MinDSets Study
by Viviane Merzbach, Matthew Jewiss, Adrian Scruton and Dan Gordon
Int. J. Environ. Res. Public Health 2024, 21(5), 610; https://doi.org/10.3390/ijerph21050610 - 10 May 2024
Cited by 3 | Viewed by 5623
Abstract
Down syndrome (DS) is characterised by a duplication of chromosome-21 and is linked to co-occurring physical and mental health conditions, including low self-efficacy and disturbed mood states. The purpose of this study was to investigate the effects of an eight-week prescribed physical and/or [...] Read more.
Down syndrome (DS) is characterised by a duplication of chromosome-21 and is linked to co-occurring physical and mental health conditions, including low self-efficacy and disturbed mood states. The purpose of this study was to investigate the effects of an eight-week prescribed physical and/or cognitive training intervention on measures of mood disturbance, life satisfaction and self-efficacy in a population of adults with DS. Eighty-three participants (age 27.1 ± 8.0 years) from across five continents volunteered. Participants were assigned using matched groups based upon performance in a modified six-minute walk test to either an exercise (EXE) 3 × 30 min of walking/jogging per week, cognitive training (COG) 6 × 20 min per week, a combined group (COM) or the control (CON) who did not complete any intervention. Profile of Mood States (POMS) were assessed using a five-point scale across 65 categories pre- and post-study as well as upon completion of each week of the intervention. In addition, Satisfaction with Life Scale (SWLS) and self-efficacy using the Generalised Self-Efficacy scale (GSE) were recorded before and after the intervention. GSE increased for all participants by 1.9 ± 5.2 (p = 0.002) from pre- to post-intervention, while POMS showed significant changes for the whole group from pre- to post-intervention for tension (p < 0.001), depression (p < 0.001) and for anger (p < 0.001). In addition, significant correlations were observed between SWLS and ΔTMD, Δtension, Δanger, and Δfatigue (p < 0.05) for EXE. Both COG and EXE provide a framework for empowering enhancements in life satisfaction, self-efficacy and mood states fostering improvements in quality of life. Full article
Show Figures

Figure 1

20 pages, 2018 KB  
Article
Impact of Prescribed Exercise on the Physical and Cognitive Health of Adults with Down Syndrome: The MinDSets Study
by Viviane Merzbach, Michael Ferrandino, Marie Gernigon, Jorge Marques Pinto, Adrian Scruton and Dan Gordon
Int. J. Environ. Res. Public Health 2023, 20(23), 7121; https://doi.org/10.3390/ijerph20237121 - 29 Nov 2023
Cited by 5 | Viewed by 9474
Abstract
The duplication of chromosome 21, as evidenced in Down Syndrome (DS), has been linked to contraindications to health, such as chronotropic and respiratory incompetence, neuromuscular conditions, and impaired cognitive functioning. The purpose of this study was to examine the effects of eight weeks [...] Read more.
The duplication of chromosome 21, as evidenced in Down Syndrome (DS), has been linked to contraindications to health, such as chronotropic and respiratory incompetence, neuromuscular conditions, and impaired cognitive functioning. The purpose of this study was to examine the effects of eight weeks of prescribed exercise and/or cognitive training on the physical and cognitive health of adults with DS. Eighty-three participants (age 27.1 ± 8.0 years) across five continents participated. Physical fitness was assessed using a modified version of the six-minute walk test (6MWT), while cognitive and executive functions were assessed using the Corsi block test, the Sustained-Attention-To-Response Task (SART), and the Stroop task (STROOP). All were completed pre- and post-intervention. Participants were assigned to eight weeks of either exercise (EXE), 3 × 30 min of walking/jogging per week, cognitive training (COG) 6 × ~20 min per week, a combined group (COM), and a control group (CON) engaging in no intervention. 6MWT distance increased by 11.4% for EXE and 9.9% for COM (p < 0.05). For SART, there were positive significant interactions between the number of correct and incorrect responses from pre- to post-intervention when participants were asked to refrain from a response (NO-GO-trials) across all experimental groups (p < 0.05). There were positive significant interactions in the number of correct, incorrect, and timeout incompatible responses for STROOP in EXE, COG, and COM (p < 0.05). Walking generated a cognitive load attributed to heightened levels of vigilance and decision-making, suggesting that exercise should be adopted within the DS community to promote physical and cognitive well-being. Full article
Show Figures

Figure 1

13 pages, 2249 KB  
Article
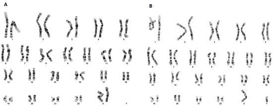
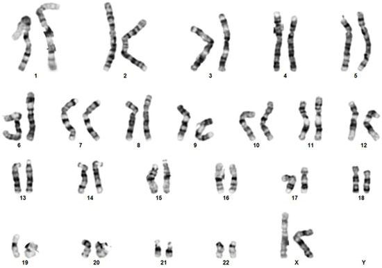
16p11.2 Microduplication Syndrome with Increased Fluid in the Cisterna: Coincidence or Phenotype Extension?
by Lívia Polisseni Cotta Nascimento, Rafaella Mergener, Marcela Rodrigues Nunes, Victória Feitosa Muniz, Juliana Rossi Catao, Ana Kalise Böttcher da Silveira, Luiza Emy Dorfman, Carla Graziadio and Paulo Ricardo Gazzola Zen
Genes 2023, 14(8), 1583; https://doi.org/10.3390/genes14081583 - 3 Aug 2023
Cited by 5 | Viewed by 5958
Abstract
We report the first case of a child with 16p11.2 microduplication syndrome with increased fluid in the cisterna magna seen on magnetic resonance imaging (MRI). This finding may correspond to a Blake’s Pouch Cyst (BPC) or a Mega Cisterna Magna (MCM), being impossible [...] Read more.
We report the first case of a child with 16p11.2 microduplication syndrome with increased fluid in the cisterna magna seen on magnetic resonance imaging (MRI). This finding may correspond to a Blake’s Pouch Cyst (BPC) or a Mega Cisterna Magna (MCM), being impossible to differentiate through image examination. The molecular duplication was diagnosed using chromosomal microarray analysis with single nucleotide polymorphism (SNP). We review the clinical and neuroimaging features in published case reports in order to observe the findings described in the literature so far and present a skull three-dimensional model to contribute to a better understanding. Despite the variable expressivity of the syndrome being well known, there is no case described in the available literature that mentions the association of 16p11.2 microduplication and the presence of BPC or MCM seen in neuroimaging exams. This finding may represent an extension of the phenotype not yet reported or may present itself as a coincidence in a child with various malformations. Full article
(This article belongs to the Special Issue Identifying the Molecular Basis of Rare Genetic Diseases)
Show Figures

Figure 1

15 pages, 1359 KB  
Article
Cytogenomic Investigation of Syndromic Brazilian Patients with Differences of Sexual Development
by José Antonio Diniz Faria, Daniela R. Moraes, Leslie Domenici Kulikowski, Rafael Loch Batista, Nathalia Lisboa Gomes, Mirian Yumie Nishi, Evelin Zanardo, Carolina Kymie Vasques Nonaka, Bruno Solano de Freitas Souza, Berenice Bilharinho Mendonca and Sorahia Domenice
Diagnostics 2023, 13(13), 2235; https://doi.org/10.3390/diagnostics13132235 - 30 Jun 2023
Cited by 5 | Viewed by 2179
Abstract
Background: Cytogenomic methods have gained space in the clinical investigation of patients with disorders/differences in sexual development (DSD). Here we evaluated the role of the SNP array in achieving a molecular diagnosis in Brazilian patients with syndromic DSD of unknown etiology. Methods: Twenty-two [...] Read more.
Background: Cytogenomic methods have gained space in the clinical investigation of patients with disorders/differences in sexual development (DSD). Here we evaluated the role of the SNP array in achieving a molecular diagnosis in Brazilian patients with syndromic DSD of unknown etiology. Methods: Twenty-two patients with DSD and syndromic features were included in the study and underwent SNP-array analysis. Results: In two patients, the diagnosis of 46,XX SRY + DSD was established. Additionally, two deletions were revealed (3q29 and Xp22.33), justifying the syndromic phenotype in these patients. Two pathogenic CNVs, a 10q25.3-q26.2 and a 13q33.1 deletion encompassing the FGFR2 and the EFNB2 gene, were associated with genital atypia and syndromic characteristics in two patients with 46,XY DSD. In a third 46,XY DSD patient, we identified a duplication in the 14q11.2-q12 region of 6.5 Mb associated with a deletion in the 21p11.2-q21.3 region of 12.7 Mb. In a 46,XY DSD patient with delayed neuropsychomotor development and congenital cataracts, a 12 Kb deletion on chromosome 10 was found, partially clarifying the syndromic phenotype, but not the genital atypia. Conclusions: The SNP array is a useful tool for DSD patients, identifying the molecular etiology in 40% (2/5) of patients with 46,XX DSD and 17.6% (3/17) of patients with 46,XY DSD. Full article
(This article belongs to the Section Pathology and Molecular Diagnostics)
Show Figures

Figure 1

9 pages, 2972 KB  
Case Report
A Case of Class I 17p13.3 Microduplication Syndrome with Unilateral Hearing Loss
by Spiros Vittas, Maria Bisba, Georgia Christopoulou, Loukia Apostolakopoulou, Roser Pons and Pantelis Constantoulakis
Genes 2023, 14(7), 1333; https://doi.org/10.3390/genes14071333 - 24 Jun 2023
Viewed by 4689
Abstract
17p13 is a chromosomal region characterized by genomic instability due to high gene density leading to multiple deletion and duplication events. 17p13.3 microduplication syndrome is a rare condition, reported only in 40 cases worldwide, which is found in the Miller–Dieker chromosomal region, presenting [...] Read more.
17p13 is a chromosomal region characterized by genomic instability due to high gene density leading to multiple deletion and duplication events. 17p13.3 microduplication syndrome is a rare condition, reported only in 40 cases worldwide, which is found in the Miller–Dieker chromosomal region, presenting a wide range of phenotypic manifestations. Usually, the duplicated area is de novo and varies in size from 1.8 to 4.0 Mbp. Critical genes for this region are PAFAH1B1 (#601545), YWHAE (#605066), and CRK (#164762). 17p13.3 microduplication syndrome can be categorized into two classes (Class I and Class II) based on the genes that are present in the duplicated area, which lead to different phenotypes. In this report, we present a new case of Class I 17p13.3 microduplication syndrome that presents with unilateral sensorineural hearing loss. Oligonucleotide and SNP array comparative genomic hybridization (a-CGH) analysis revealed a duplication of approximately 121 Kbp on chromosome 17p13.3, which includes YWHAE and CRK genes. Whole-exome sequencing (WES) analysis confirmed the duplication. Our patient has common clinical symptoms of Class I 17p13.3 microduplication syndrome, and in addition, she has unilateral sensorineural hearing loss. Interestingly, WES analysis did not detect any mutations in genes that are associated with hearing loss. The above findings lead us to propose that hearing loss is a manifestation of 17p13.3 duplication syndrome. Full article
(This article belongs to the Section Human Genomics and Genetic Diseases)
Show Figures

Figure 1

9 pages, 918 KB  
Case Report
7p22.2 Microduplication: A Pathogenic CNV?
by Alessia Bauleo, Alberto Montesanto, Vincenza Pace, Francesco Guarasci, Rosalbina Apa, Rossella Brando, Laura De Stefano, Simona Sestito, Daniela Concolino and Elena Falcone
Genes 2023, 14(6), 1292; https://doi.org/10.3390/genes14061292 - 19 Jun 2023
Cited by 1 | Viewed by 3035
Abstract
Partial duplication of the short arm of chromosome 7 is a rare chromosome rearrangement. The phenotype spectrum associated with this rearrangement is extremely variable even if in the last decade the use of high-resolution microarray technology for the investigation of patients carrying this [...] Read more.
Partial duplication of the short arm of chromosome 7 is a rare chromosome rearrangement. The phenotype spectrum associated with this rearrangement is extremely variable even if in the last decade the use of high-resolution microarray technology for the investigation of patients carrying this rearrangement allowed for the identification of the 7p22.1 sub-band causative of this phenotype and to recognize the corresponding 7p22.1 microduplication syndrome. We report two unrelated patients that carry a microduplication involving the 7.22.2 sub-band. Unlike 7p22.1 microduplication carriers, both patients only show a neurodevelopmental disorder without malformations. We better characterized the clinical pictures of these two patients providing insight into the clinical phenotype associated with the microduplication of the 7p22.2 sub-band and support for a possible role of this sub-band in the 7p22 microduplication syndrome. Full article
(This article belongs to the Special Issue Advances in Clinical Cytogenetics)
Show Figures

Figure 1

21 pages, 758 KB  
Review
The Autism Spectrum: Behavioral, Psychiatric and Genetic Associations
by Ann Genovese and Merlin G. Butler
Genes 2023, 14(3), 677; https://doi.org/10.3390/genes14030677 - 9 Mar 2023
Cited by 139 | Viewed by 37308
Abstract
Autism spectrum disorder (ASD) consists of a group of heterogeneous genetic neurobehavioral disorders associated with developmental impairments in social communication skills and stereotypic, rigid or repetitive behaviors. We review common behavioral, psychiatric and genetic associations related to ASD. Autism affects about 2% of [...] Read more.
Autism spectrum disorder (ASD) consists of a group of heterogeneous genetic neurobehavioral disorders associated with developmental impairments in social communication skills and stereotypic, rigid or repetitive behaviors. We review common behavioral, psychiatric and genetic associations related to ASD. Autism affects about 2% of children with 4:1 male-to-female ratio and a heritability estimate between 70 and 90%. The etiology of ASD involves a complex interplay between inheritance and environmental factors influenced by epigenetics. Over 800 genes and dozens of genetic syndromes are associated with ASD. Novel gene–protein interactions with pathway and molecular function analyses have identified at least three functional pathways including chromatin modeling, Wnt, Notch and other signaling pathways and metabolic disturbances involving neuronal growth and dendritic spine profiles. An estimated 50% of individuals with ASD are diagnosed with chromosome deletions or duplications (e.g., 15q11.2, BP1-BP2, 16p11.2 and 15q13.3), identified syndromes (e.g., Williams, Phelan-McDermid and Shprintzen velocardiofacial) or single gene disorders. Behavioral and psychiatric conditions in autism impacted by genetics influence clinical evaluations, counseling, diagnoses, therapeutic interventions and treatment approaches. Pharmacogenetics testing is now possible to help guide the selection of psychotropic medications to treat challenging behaviors or co-occurring psychiatric conditions commonly seen in ASD. In this review of the autism spectrum disorder, behavioral, psychiatric and genetic observations and associations relevant to the evaluation and treatment of individuals with ASD are discussed. Full article
Show Figures

Figure 1

14 pages, 2247 KB  
Article
Genotype–Phenotype Correlations in 2q37-Deletion Syndrome: An Update of the Clinical Spectrum and Literature Review
by Eva-Cristiana Gavril, Irina Nucă, Monica-Cristina Pânzaru, Anca Viorica Ivanov, Cosmin-Teodor Mihai, Lucian-Mihai Antoci, Cristian-Gabriel Ciobanu, Cristina Rusu and Roxana Popescu
Genes 2023, 14(2), 465; https://doi.org/10.3390/genes14020465 - 11 Feb 2023
Cited by 8 | Viewed by 6350
Abstract
2q37 microdeletion/deletion syndrome (2q37DS) is one of the most common subtelomeric deletion disorders, caused by a 2q37 deletion of variable size. The syndrome is characterized by a broad and diverse spectrum of clinical findings: characteristic facial dysmorphism, developmental delay/intellectual disability (ID), brachydactyly type [...] Read more.
2q37 microdeletion/deletion syndrome (2q37DS) is one of the most common subtelomeric deletion disorders, caused by a 2q37 deletion of variable size. The syndrome is characterized by a broad and diverse spectrum of clinical findings: characteristic facial dysmorphism, developmental delay/intellectual disability (ID), brachydactyly type E, short stature, obesity, hypotonia in infancy, and abnormal behavior with autism spectrum disorder. Although numerous cases have been described so far, the exact mapping of the genotype and phenotype have not yet been achieved. Materials and Methods: In this study we analyzed nine newly diagnosed cases with 2q37 deletion (3 male/6 female, aged between 2 and 30 years old), and followed up at the Iasi Regional Medical Genetics Centre. All patients were tested first with MLPA using combined kits P036/P070 subtelomeric screening mix and follow-up mix P264; after, the deletion size and location were confirmed via CGH-array. We compared our findings with the data of other cases reported in the literature. Results: From nine cases, four had pure 2q37 deletions of variable sizes, and five presented deletion/duplication rearrangements (with chromosomes 2q, 9q, and 11p). In most cases, characteristic phenotypic aspects were observed: 9/9 facial dysmorphism, 8/9 global developmental delay and ID, 6/9 hypotonia, 5/9 behavior disorders, and 8/9 skeletal anomalies—especially brachydactyly type E. Two cases had obesity, one case had craniosynostosis, and four had heart defects. Other features found in our cases included translucent skin and telangiectasias (6/9), and a hump of fat on the upper thorax (5/9). Conclusions: Our study enriches the literature data by describing new clinical features associated with 2q37 deletion, and possible genotype–phenotype correlations. Full article
(This article belongs to the Special Issue Genetic and Phenotypic Correlation: Gene-Disease Validation)
Show Figures

Figure 1

16 pages, 449 KB  
Article
A Prospective Study of Genetic Variants in Infants with Congenital Unilateral Sensorineural Hearing Loss
by Marlin Johansson, Eva Karltorp, Filip Asp and Erik Berninger
J. Clin. Med. 2023, 12(2), 495; https://doi.org/10.3390/jcm12020495 - 7 Jan 2023
Cited by 5 | Viewed by 4311
Abstract
Children with unilateral sensorineural hearing loss (uSNHL) have a high risk of speech-language delays and academic difficulties. Still, challenges remain in the diagnosis of uSNHL. With a prospective cross-sectional design, 20 infants were consecutively recruited from a universal newborn hearing screening program and [...] Read more.
Children with unilateral sensorineural hearing loss (uSNHL) have a high risk of speech-language delays and academic difficulties. Still, challenges remain in the diagnosis of uSNHL. With a prospective cross-sectional design, 20 infants were consecutively recruited from a universal newborn hearing screening program and invited to genetic testing. Eighteen of the subjects agreed to genetic testing, 15 subjects with OtoSCOPE® v.9 screening 224 genes, and four subjects underwent targeted testing, screening for chromosomal abnormalities or 105–137 gene mutations. The genetic results were described together with the 20 infants’ previously published auditory profiles and imaging results. Genetic causes for the uSNHL were found in 28% of subjects (5/18) including CHARGE syndrome (CHD7), autosomal recessive non-syndromic hearing loss (GJB2), Townes–Brocks syndrome (SALL1), Pendred Syndrome (SLC26A4) and Chromosome 8P inverted duplication and deletion syndrome. In subjects with comorbidities (malformation of fingers, anus, brain, and heart), 100% were diagnosed with a genetic cause for uSNHL (3/3 subjects), while 13% (2/15 subjects) were diagnosed without comorbidities observed at birth (p = 0.002). Genetic testing for congenital uSNHL is currently efficient for alleged syndromes, whereas genetic variants for non-syndromic congenital uSNHL need further research. Full article
Show Figures

Figure 1

12 pages, 936 KB  
Article
The Value of a Comprehensive Genomic Evaluation in Prenatal Diagnosis of Genetic Diseases: A Retrospective Study
by Fang Fu, Ru Li, Qiu-Xia Yu, Xiao Dang, Shu-Juan Yan, Hang Zhou, Ken Cheng, Rui-Bin Huang, You Wang, Yong-Ling Zhang, Xiang-Yi Jing, Li-Na Zhang, Dong-Zhi Li and Can Liao
Genes 2022, 13(12), 2365; https://doi.org/10.3390/genes13122365 - 14 Dec 2022
Cited by 3 | Viewed by 3095
Abstract
Currently, there are still many challenges in prenatal diagnosis, such as limited or uncertain fetal phenotyping, variant interpretation, and rapid turnaround times. The aim of this study was to illustrate the value of a comprehensive genomic evaluation in prenatal diagnosis. We retrospectively reviewed [...] Read more.
Currently, there are still many challenges in prenatal diagnosis, such as limited or uncertain fetal phenotyping, variant interpretation, and rapid turnaround times. The aim of this study was to illustrate the value of a comprehensive genomic evaluation in prenatal diagnosis. We retrospectively reviewed 20 fetuses with clinically significant copy number variants (CNVs) detected by chromosomal microarray analysis (CMA) and no further exome sequencing testing in our tertiary center between 2019 and 2020. The residual DNA from the prenatal cases was used for the parallel implementation of CNV sequencing (CNV-seq) and trio-based clinical exome sequencing (trio-CES). CMA revealed 26 clinically significant CNVs (18 deletions and eight duplications) in 20 fetuses, in which five fetuses had two or more CNVs. There were eight fetuses with pathogenic CNVs (e.g., del 1p36), nine fetuses with likely pathogenic CNVs (e.g., dup 22q11.21), and three fetuses with variants of unknown significance (VOUS, e.g., dup 1q21.1q21.2). Trio-CES identified four fetuses with likely pathogenic mutations (SNV/InDels). Of note, a fetus was detected with a maternally inherited hemizygous variant in the SLX4 gene due to a 16p13.3 deletion on the paternal chromosome. The sizes of CNVs detected by CNV-seq were slightly larger than that of the SNP array, and four cases with mosaic CNVs were all identified by CNV-seq. In conclusion, microdeletion/duplication syndromes and monogenic disorders may co-exist in a subject, and CNV deletion may contribute to uncovering additional recessive disease alleles. The application of a comprehensive genomic evaluation (CNVs and SNV/InDels) has great value in the prenatal diagnosis arena. CNV-seq based on NGS technology is a reliable and a cost-effective technique for identifying CNVs. Full article
(This article belongs to the Section Human Genomics and Genetic Diseases)
Show Figures

Figure 1

7 pages, 1283 KB  
Case Report
Refining the Clinical Spectrum of the 17p13.3 Microduplication Syndrome: Case-Report of a Familial Small Microduplication
by Jorge Diogo Da Silva, Diana Gonzaga, Ana Barreta, Hildeberto Correia, Ana Maria Fortuna, Ana Rita Soares and Nataliya Tkachenko
Biomedicines 2022, 10(12), 3078; https://doi.org/10.3390/biomedicines10123078 - 30 Nov 2022
Cited by 3 | Viewed by 6391
Abstract
The chromosomal region 17p13.3 contains extensive repetitive sequences and is a well-recognized region of genomic instability. The 17p13.3 microduplication syndrome has been associated with a clinical spectrum of moderately non-specific phenotypes, including global developmental delay/intellectual disability, behavioral disorders, autism spectrum disorder and variable [...] Read more.
The chromosomal region 17p13.3 contains extensive repetitive sequences and is a well-recognized region of genomic instability. The 17p13.3 microduplication syndrome has been associated with a clinical spectrum of moderately non-specific phenotypes, including global developmental delay/intellectual disability, behavioral disorders, autism spectrum disorder and variable dysmorphic features. Depending on the genes involved in the microduplication, it can be categorized in two subtypes with different phenotypes. Here, we report a case of a 7-year-old boy with global developmental delay, speech impairment, hypotonia, behavioral conditions (ADHD and ODD), non-specific dysmorphic features and overgrowth. Genetic testing revealed a small 17p13.3 chromosomal duplication, which included the BHLHA9, CRK and YWHAE genes. Additionally, we observed that this was maternally inherited, and that the mother presented with a milder phenotype including mild learning disabilities, speech impairment and non-specific dysmorphic features, which did not significantly affect her. In conclusion, we present a clinical case of a 17p13.3 duplication that further delineates the clinical spectrum of this syndrome, including its intrafamilial/intergenerational variability. Full article
(This article belongs to the Section Molecular Genetics and Genetic Diseases)
Show Figures

Figure 1

13 pages, 2424 KB  
Case Report
De Novo Mosaic 6p23-p25.3 Tetrasomy Caused by a Small Supernumerary Marker Chromosome Presenting Trisomy Distal 6p Phenotype: A Case Report and Literature Review
by Yu-Min Syu, Juine-Yih Ma, Tzu-Hsuen Ou, Chung-Lin Lee, Hsiang-Yu Lin, Shuan-Pei Lin, Chia-Jung Lee and Chih-Ping Chen
Diagnostics 2022, 12(10), 2306; https://doi.org/10.3390/diagnostics12102306 - 24 Sep 2022
Cited by 1 | Viewed by 4901
Abstract
Small supernumerary marker chromosomes (sSMCs) derived from the chromosome 6 short arm are rare and their clinical significance remains unknown. No case with sSMC(6) without centromeric DNA has been reported. Partial trisomy and tetrasomy of distal 6p is a rare but clinically distinct [...] Read more.
Small supernumerary marker chromosomes (sSMCs) derived from the chromosome 6 short arm are rare and their clinical significance remains unknown. No case with sSMC(6) without centromeric DNA has been reported. Partial trisomy and tetrasomy of distal 6p is a rare but clinically distinct syndrome. We report on a de novo mosaic sSMC causing partial tetrasomy for 6p23-p25.3 in a male infant with symptoms of being small for gestational age, microcephaly, facial dysmorphism, congenital eye defects, and multi-system malformation. Conventional cytogenetic analysis revealed a karyotype of 47,XY,+mar [25]/46,XY [22]. Array comparative genomic hybridization (aCGH) revealed mosaic tetrasomy of distal 6p. This is the first case of mosaic tetrasomy 6p23-p25.3 caused by an inverted duplicated neocentric sSMC with characteristic features of trisomy distal 6p. Comparison of phenotypes in cases with trisomy and tetrasomy of 6p23-p25.3 could facilitate a genotype–phenotype correlation and identification of candidate genes contributing to their presentation. The presentation of anterior segment dysgenesis and anomaly of the renal system suggest triplosensitivity of the FOXC1 gene. In patients with microcephaly growth retardation, and malformation of the cardiac and renal systems, presentation of anterior segment dysgenesis might be indicative of chromosome 6p duplication, and aCGH evaluation should be performed for associated syndromic disease. Full article
(This article belongs to the Special Issue Genetic Diagnosis of Pediatric Diseases)
Show Figures

Figure 1

11 pages, 971 KB  
Article
Clinical Manifestations of Various Molecular Cytogenetic Variants of Eight Cases of “8p Inverted Duplication/Deletion Syndrome”
by Darya A. Yurchenko, Marina E. Minzhenkova, Elena L. Dadali, Zhanna G. Markova, Galina E. Rudenskaya, Galina N. Matyushchenko, Ilya V. Kanivets and Nadezda V. Shilova
Biomedicines 2022, 10(3), 567; https://doi.org/10.3390/biomedicines10030567 - 28 Feb 2022
Cited by 6 | Viewed by 4613
Abstract
Inverted duplication syndrome with an adjacent terminal deletion of the short arm of chromosome 8—inv dup del(8p)—is a rare complex structural chromosomal rearrangement with a wide range of clinical manifestations. Molecular cytogenetic variants of chromosomal imbalance depend on the mechanism of rearrangement formation. [...] Read more.
Inverted duplication syndrome with an adjacent terminal deletion of the short arm of chromosome 8—inv dup del(8p)—is a rare complex structural chromosomal rearrangement with a wide range of clinical manifestations. Molecular cytogenetic variants of chromosomal imbalance depend on the mechanism of rearrangement formation. We analyzed the clinical–genetic and molecular cytogenetic characteristics of the 8p inverted duplication/deletion syndrome, as well as the genotype–phenotype correlation in eight unrelated cases with the rearrangement of inv dup del(8p). The main clinical manifestations in all cases are psychomotor and language delay, muscle hypotonia, and dysmorphic facial features. Malformations of the central nervous system, such as corpus callosum agenesis, were found in five cases. Seizures were reported in only one case. We found that the cause of the formation of the rearrangement was generally ectopic recombination (seven out of eight cases) and this was due to U-type exchange in only one case. Depending on the mechanism of formation, the characteristics of the genomic imbalance were different, which made it possible to identify two molecular cytogenetic variants in the cases we describe here. No association between molecular cytogenetic variants and clinical manifestations was found. Full article
(This article belongs to the Special Issue Advances in Molecular Cytogenetics)
Show Figures

Figure 1

Back to TopTop