Sign in to use this feature.

Years

Between: -

Subjects

remove_circle_outline
remove_circle_outline
remove_circle_outline

Journals

Article Types

Countries / Regions

Search Results (8)

Search Parameters:
Keywords = cerium-containing formulation

Order results
Result details
Results per page
Select all
Export citation of selected articles as:
17 pages, 11145 KB  
Article
A High-Efficiency Environmentally Friendly Polishing Slurry for K9 Glass Utilizing Cerium-Based Compounds
by Shaoping Li, Rui Ye, Zhemin Zou, Zhaobo He, Kai Feng, Huidong Cui, Ruan Chi, Yukun Chen and Yue Luo
Molecules 2025, 30(23), 4546; https://doi.org/10.3390/molecules30234546 - 25 Nov 2025
Viewed by 480
Abstract
Owing to the rapid advancements in optical and microsystem technologies, K9 glass is extensively utilized in the fabrication of high-precision optical components. Nevertheless, the intrinsic brittleness and elevated hardness of K9 glass, combined with the stringent demands of high-end optical systems for exceptional [...] Read more.
Owing to the rapid advancements in optical and microsystem technologies, K9 glass is extensively utilized in the fabrication of high-precision optical components. Nevertheless, the intrinsic brittleness and elevated hardness of K9 glass, combined with the stringent demands of high-end optical systems for exceptional surface precision and minimal subsurface damage, present significant challenges for its chemical mechanical polishing (CMP) process. To overcome this challenge, we formulated a novel environmentally friendly and high-performance polishing slurry comprising cerium oxide (CeO2), aluminum oxide (Al2O3), guanidine carbonate (GC), and sodium laureth-6 carboxylate (SL-6C). The incorporation of a minor proportion of high-hardness Al2O3 abrasive particles significantly enhanced the mechanical friction within the polishing slurry, thereby markedly increasing the MRR. The judicious addition of GC facilitated the formation of a hydration layer on the glass substrate. The surfactant SL-6C modulated the surface charge of the abrasive particles through electrostatic and coordination interactions, which improved particle dispersion and mitigated agglomeration. This effect minimized the risk of surface scratching and enhanced interfacial lubrication, consequently reducing the energy required for the detachment of the reaction layer. CMP findings demonstrated that utilizing an optimized slurry formulation comprising 1 wt% CeO2, 0.05 wt% Al2O3, 0.2 wt% GC, and 0.2 wt% SL-6C yielded a surface roughness of K9 glass as low as 0.11 nm. Additionally, the MRR value reached 521.71 nm/min. Compared with the polishing slurry containing only CeO2, the MRR increased by 7 times. The observed synergistic interactions among Al2O3, GC, SL-6C, and CeO2 offered valuable insights for the advancement of high-performance CMP slurries. Full article
(This article belongs to the Special Issue Applied Chemistry in Asia)
Show Figures

Figure 1

25 pages, 6244 KB  
Article
Synergistic Effect of Poly(ethylenephosphoric Acid) and Cerium in Bone Substitute Composites on Tissue Response and Bone Remodeling
by Victoria Besprozvannykh, Maria Ryndyk, Ilya Nifant’ev, Alexander Tavtorkin, Dmitry Gavrilov, Yulia Lukina, Leonid Bionyshev-Abramov, Natalya Serejnikova, Dmitriiy Smolentsev and Pavel Ivchenko
Int. J. Mol. Sci. 2025, 26(22), 11113; https://doi.org/10.3390/ijms262211113 - 17 Nov 2025
Viewed by 484
Abstract
To reduce the time of postoperative recovery and to prevent post-surgical complications, biocompatible synthetic materials with osteoconductive and osteoinductive properties are used as bone substitutes in large bone defect management. A simplified biomimetic approach to similar materials is based on the use of [...] Read more.
To reduce the time of postoperative recovery and to prevent post-surgical complications, biocompatible synthetic materials with osteoconductive and osteoinductive properties are used as bone substitutes in large bone defect management. A simplified biomimetic approach to similar materials is based on the use of an inorganic filler, a polymer matrix, and a compatibilizer, mimicking the composition of the natural bone. Based on plate-like micro-sized carbonated hydroxyapatite (pCAp), we prepared compression-molded samples optionally containing an additional polyester component (poly(ε-caprolactone) PCL, poly(L-lactide) PLLA, or poly(L-methylglycolide) PLMG); syntheticblock copolymers comprising fragments of the corresponding polyester and poly(ethylene phosphoric acid) (PEPA) were also prepared and studied asa ‘two-in-one’ polymer matrix/compatibilizer. Bone regeneration experiments involving a three-month rat tibial defect model were conducted with 250–500 μm granules of the composites. Comparative studies of the introduction of the polyester-b-PEPA copolymer into composites revealed a positive effect, which manifests itself in accelerated bone regeneration, which further intensified for pCAp/PEPA-b-PLMG. The latter composite formulation was used to study the results of the introduction of cerium into the filler. One-month experiments with pCAp, CePO4-doped pCAp, and composites of these inorganic fillers with PEPA-b-PLMG were conducted. For the first time, a positive synergistic effect of the presence of cerium and PEPA in the composite, which appeared in substitution of the implant material by two-thirds of newly formed partly matured bone, was observed four weeks after surgery. Full article
(This article belongs to the Collection State-of-the-Art Macromolecules in Russia)
Show Figures

Graphical abstract

27 pages, 7145 KB  
Article
An Approach to the Optimization of Ba-Mn-Cu Perovskites as Catalysts for CO Oxidation: The Role of Cerium
by Álvaro Díaz-Verde and María José Illán-Gómez
Nanomaterials 2025, 15(19), 1467; https://doi.org/10.3390/nano15191467 - 25 Sep 2025
Viewed by 768
Abstract
Two copper-containing perovskites Ba0.8Mn0.7Cu0.3O3 and Cu(4 wt%)/Ba0.7MnO3 (selected from previous studies) were tested as catalysts for the CO oxidation reaction under conditions similar to the found in the exhaust of last-generation automotive internal [...] Read more.
Two copper-containing perovskites Ba0.8Mn0.7Cu0.3O3 and Cu(4 wt%)/Ba0.7MnO3 (selected from previous studies) were tested as catalysts for the CO oxidation reaction under conditions similar to the found in the exhaust of last-generation automotive internal combustion engines. The Cu(4 wt%)/Ba0.7MnO3 sample has been selected due to its higher tolerance to CO2. In order to optimize the performance of this sample for the reaction under study, a Cu(2 wt%)Ce(2 wt%)/Ba0.7MnO3 formulation was synthesized, characterized and tested. The excellent catalytic performance of the bimetallic formulation, in terms of CO conversion at low temperatures and tolerance to CO2, is because cerium improves the redox properties and increases the proportion of reduced copper species on the surface compared to the Cu(4 wt%)/Ba0.7MnO3 sample. Full article
(This article belongs to the Section Energy and Catalysis)
Show Figures

Graphical abstract

20 pages, 5045 KB  
Article
Cathodic Electrodeposition of Cerium-Based Conversion Coatings Using Deep Eutectic Solvents Formulations for Corrosion Protection of AA7075 Aluminum Alloys
by Aurora Petica, Stefania Costovici, Adrian-Cristian Manea, Anca Cojocaru, Calin Constantin Moise, Sabrina State, Liana Anicai and Marius Enachescu
Metals 2025, 15(1), 20; https://doi.org/10.3390/met15010020 - 30 Dec 2024
Viewed by 2029
Abstract
The paper presents a new approach towards forming Ce-based nanostructures using deep eutectic solvents (DESs) as new green solvents and large-scale media for the chemical and electrochemical synthesis of advanced functional surfaces and nanomaterials. Some experimental results regarding the cathodic electrodeposition of cerium-based [...] Read more.
The paper presents a new approach towards forming Ce-based nanostructures using deep eutectic solvents (DESs) as new green solvents and large-scale media for the chemical and electrochemical synthesis of advanced functional surfaces and nanomaterials. Some experimental results regarding the cathodic electrodeposition of cerium-based conversion coatings onto AA7075 aluminum alloys involving different DES-based formulations are discussed. Electrolytes containing Ce(NO3)3·6H2O dissolved in choline chloride-glycerine and choline chloride-urea (1:2 molar ratio) eutectic mixtures with additions of H2O2 have been proposed and investigated. The influence of the operating parameters, including the applied current density, process duration and temperature on the quality of the formed Ce-containing conversion layers was studied. Adherent and uniform Ce-based conversion layers containing 0.3–5 wt.%. Ce have been obtained onto Al alloy substrates. Higher values of the applied current density and longer process durations led to higher Ce content when a choline chloride-urea eutectic mixture was used. Several accelerated corrosion tests were performed to evaluate the corrosion performance, respectively: (i) continuous immersion in 0.5 M NaCl for 720 h with intermediary visual examinations, recording of (ii) potentiodynamic polarization curves and of (iii) impedance spectra at open circuit potential in 0.5 M NaCl, as well as (iv) salt mist test for 240 h. The influence of an additional post-treatment step consisting in the electrochemical deposition of a hydrophobic Ce-based layer involving ethanolic solutions of stearic acid and cerium nitrate is also considered. Different corrosion performances are discussed, taking into account the used DES-based systems and electrodeposition parameters. Full article
Show Figures

Graphical abstract

14 pages, 6226 KB  
Article
The Contribution of BaTiO3 to the Stability Improvement of Ethylene–Propylene–Diene Rubber: Part II—Doped Filler
by Traian Zaharescu, Alina Dumitru, Tunde Borbath, Ioana Ionescu, Istvan Borbath and Tiberiu Francisc Boros
Polymers 2023, 15(16), 3441; https://doi.org/10.3390/polym15163441 - 17 Aug 2023
Cited by 3 | Viewed by 1709
Abstract
The thermal and radiation stabilities of the formulations based on ethylene–propylene–diene rubber (EPDM), which contain barium titanate (BaTiO3) doped with lanthanum and cerium oxides, were investigated by chemiluminescence and mechanical testing. The contributions of these doped fillers are related to the [...] Read more.
The thermal and radiation stabilities of the formulations based on ethylene–propylene–diene rubber (EPDM), which contain barium titanate (BaTiO3) doped with lanthanum and cerium oxides, were investigated by chemiluminescence and mechanical testing. The contributions of these doped fillers are related to the surface interaction between the structural defects (doping atoms, i.e., lanthanum and cerium) implanted in the filler lattice and the molecular fragments formed during the progress of degradation. These composite materials present extended durabilities with respect to the references; the oxidation periods are a minimum of three times longer than the corresponding times for pristine polymers. This behavior is associated with the scavenging activity of dopants. Mechanical testing has demonstrated the contributions of doped filler to the improvement of tensile strength and elongation at break by the restructuration of the polymer phase. Scanning electron microscopy images revealed the densification of materials in the presence of doped barium titanates. All the investigations constitute valid proof for the qualification of BaTiO3 doped with Ce as the more efficient stabilizer compared to the same inorganic filler doped with La. Full article
(This article belongs to the Special Issue Reinforced Rubber Composites: Synthesis and Application)
Show Figures

Figure 1

21 pages, 14257 KB  
Article
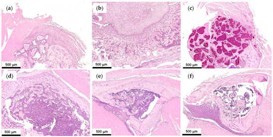
Cerium-Containing N-Acetyl-6-Aminohexanoic Acid Formulation Accelerates Wound Reparation in Diabetic Animals
by Ekaterina Blinova, Dmitry Pakhomov, Denis Shimanovsky, Marina Kilmyashkina, Yan Mazov, Tatiana Demura, Vladimir Drozdov, Dmitry Blinov, Olga Deryabina, Elena Samishina, Aleksandra Butenko, Sofia Skachilova, Alexey Sokolov, Olga Vasilkina, Bashar A. Alkhatatneh, Olga Vavilova, Andrey Sukhov, Daniil Shmatok, Ilya Sorokvasha, Oxana Tumutolova and Elena Lobanovaadd Show full author list remove Hide full author list
Biomolecules 2021, 11(6), 834; https://doi.org/10.3390/biom11060834 - 3 Jun 2021
Cited by 8 | Viewed by 4668
Abstract
Background: The main goal of our study was to explore the wound-healing property of a novel cerium-containing N-acethyl-6-aminohexanoate acid compound and determine key molecular targets of the compound mode of action in diabetic animals. Methods: Cerium N-acetyl-6-aminohexanoate (laboratory name LHT-8-17) as a 10 [...] Read more.
Background: The main goal of our study was to explore the wound-healing property of a novel cerium-containing N-acethyl-6-aminohexanoate acid compound and determine key molecular targets of the compound mode of action in diabetic animals. Methods: Cerium N-acetyl-6-aminohexanoate (laboratory name LHT-8-17) as a 10 mg/mL aquatic spray was used as wound experimental topical therapy. LHT-8-17 toxicity was assessed in human skin epidermal cell culture using (4,5-dimethylthiazol-2-yl)-2,5-diphenyltetrazolium bromide (MTT) assay. A linear wound was reproduced in 18 outbred white rats with streptozotocin-induced (60 mg/kg i.p.) diabetes; planar cutaneous defect was modelled in 60 C57Bl6 mice with streptozotocin-induced (200 mg/kg i.p.) diabetes and 90 diabetic db/db mice. Firmness of the forming scar was assessed mechanically. Skin defect covering was histologically evaluated on days 5, 10, 15, and 20. Tissue TNF-α, IL-1β and IL-10 levels were determined by quantitative ELISA. Oxidative stress activity was detected by Fe-induced chemiluminescence. Ki-67 expression and CD34 cell positivity were assessed using immunohistochemistry. FGFR3 gene expression was detected by real-time PCR. LHT-8-17 anti-microbial potency was assessed in wound tissues contaminated by MRSA. Results: LHT-8-17 4 mg twice daily accelerated linear and planar wound healing in animals with type 1 and type 2 diabetes. The formulated topical application depressed tissue TNF-α, IL-1β, and oxidative reaction activity along with sustaining both the IL-10 concentration and antioxidant capacity. LHT-8-17 induced Ki-67 positivity of fibroblasts and pro-keratinocytes, upregulated FGFR3 gene expression, and increased tissue vascularization. The formulation possessed anti-microbial properties. Conclusions: The obtained results allow us to consider the formulation as a promising pharmacological agent for diabetic wound topical treatment. Full article
(This article belongs to the Special Issue Cellular and Molecular Mechanisms of Wound Healing)
Show Figures

Figure 1

9 pages, 1869 KB  
Article
Cerium Dioxide Particles to Tune Radiopacity of Dental Adhesives: Microstructural and Physico-Chemical Evaluation
by Isadora Martini Garcia, Vicente Castelo Branco Leitune, Antonio Shigueaki Takimi, Carlos Pérez Bergmann, Susana Maria Werner Samuel, Mary Anne Melo and Fabrício Mezzomo Collares
J. Funct. Biomater. 2020, 11(1), 7; https://doi.org/10.3390/jfb11010007 - 11 Feb 2020
Cited by 19 | Viewed by 5457
Abstract
The insufficient radiopacity of dental adhesives applied under composite restorations makes the radiographic diagnosis of recurrent caries challenging. Consequently, the misdiagnosis may lead to unnecessary replacement of restorations. The aims of this study were to formulate experimental dental adhesives containing cerium dioxide (CeO [...] Read more.
The insufficient radiopacity of dental adhesives applied under composite restorations makes the radiographic diagnosis of recurrent caries challenging. Consequently, the misdiagnosis may lead to unnecessary replacement of restorations. The aims of this study were to formulate experimental dental adhesives containing cerium dioxide (CeO2) and investigate the effects of different loadings of CeO2 on their radiopacity and degree of conversion for the first time. CeO2 was characterized by X-ray diffraction analysis, Fourier transforms infrared spectroscopy, and laser diffraction for particle size analysis. Experimental dental adhesives were formulated with CeO2 as the inorganic filler with loadings ranging from 0.36 to 5.76 vol.%. The unfilled adhesive was used as a control. The studied adhesives were evaluated for dispersion of CeO2 in the polymerized samples, degree of conversion, and radiopacity. CeO2 presented a monoclinic crystalline phase, peaks related to Ce-O bonding, and an average particle size of around 16 µm. CeO2 was dispersed in the adhesive, and the addition of these particles increased the adhesives’ radiopacity (p < 0.05). There was a significant decrease in the degree of conversion with CeO2 loadings higher than 1.44 vol.%. However, all materials showed a similar degree of conversion in comparison to commercially available adhesives. CeO2 particles were investigated for the first time as a promising compound to improve the radiopacity of the dental adhesives. Full article
(This article belongs to the Special Issue Bacterial Interactions with Dental and Medical Materials)
Show Figures

Graphical abstract

14 pages, 3198 KB  
Article
Novel Ni-Ce-Zr/Al2O3 Cellular Structure for the Oxidative Dehydrogenation of Ethane
by Juan Pablo Bortolozzi, Raquel Portela, Pedro Ávila, Viviana Milt and Eduardo Miró
Catalysts 2017, 7(11), 331; https://doi.org/10.3390/catal7110331 - 8 Nov 2017
Cited by 10 | Viewed by 6423
Abstract
A novel γ-alumina-supported Ni-Ce-Zr catalyst with cellular structure was developed for oxidative dehydrogenation of ethane (ODHE). First, powdered samples were synthesized to study the effect of both the total metal content and the Ce/Zr ratio on the physicochemical properties and performance of these [...] Read more.
A novel γ-alumina-supported Ni-Ce-Zr catalyst with cellular structure was developed for oxidative dehydrogenation of ethane (ODHE). First, powdered samples were synthesized to study the effect of both the total metal content and the Ce/Zr ratio on the physicochemical properties and performance of these catalysts. All synthesized powdered samples were highly active and selective for ODHE with a maximum ethylene productivity of 6.94 µmolethylene gact cat−1 s−1. According to the results, cerium addition increased the most reducible nickel species population, which would benefit ethane conversion, whereas zirconium incorporation would enhance ethylene selectivity through the generation of higher amounts of the least reducible nickel species. Therefore, the modification of active site properties by addition of both promoters synergistically increases the productivity of the Ni-based catalysts. The most efficient formulation, in terms of ethylene productivity per active phase amount, contained 15 wt% of the mixed oxide with Ni0.85Ce0.075Zr0.075 composition. This formulation was selected to synthesize a Ni-Ce-Zr/Al2O3 structured body by deposition of the active phase onto a homemade γ-alumina monolith. The structured support was manufactured by extrusion of boehmite-containing dough. The main properties of the Ni0.85Ce0.075Zr0.075 powder were successfully preserved after the shaping procedure. In addition, the catalytic performance of the monolithic sample was comparable in terms of ethylene productivity to that of the powdered counterpart. Full article
(This article belongs to the Special Issue Structured and Micro-Structured Catalysts and Reactors)
Show Figures

Graphical abstract

Back to TopTop