Sign in to use this feature.

Years

Between: -

Subjects

remove_circle_outline
remove_circle_outline
remove_circle_outline
remove_circle_outline
remove_circle_outline
remove_circle_outline
remove_circle_outline
remove_circle_outline

Journals

Article Types

Countries / Regions

remove_circle_outline
remove_circle_outline
remove_circle_outline
remove_circle_outline
remove_circle_outline
remove_circle_outline
remove_circle_outline

Search Results (303)

Search Parameters:
Keywords = brain malformations

Order results
Result details
Results per page
Select all
Export citation of selected articles as:
15 pages, 2967 KB  
Case Report
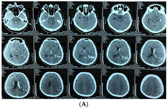
Occipital Pial AVM Rupture in a Young Adult: Dual Intranidal Aneurysms, Solitary Parasagittal SSS Drainage, and Hematoma-Corridor Microsurgical Cure
by Alexandru Breazu, Stefan Oprea, Nicolaie Dobrin, Ionut Bogdan Diaconescu, Octavian Munteanu, Matei Șerban, Răzvan-Adrian Covache-Busuioc, Corneliu Toader, Mugurel Petrinel Rădoi and Cosmin Pantu
Diagnostics 2026, 16(2), 265; https://doi.org/10.3390/diagnostics16020265 - 14 Jan 2026
Viewed by 232
Abstract
Background and Clinical Significance: Focal hemorrhagic severity associated with posterior convexity pial brain arteriovenous malformation (AVM) cases can be exacerbated by hemodynamic stress focusing on focal areas of architectural weakness and by superficial venous outflow being restricted by non-redundant superficial venous drainage. This [...] Read more.
Background and Clinical Significance: Focal hemorrhagic severity associated with posterior convexity pial brain arteriovenous malformation (AVM) cases can be exacerbated by hemodynamic stress focusing on focal areas of architectural weakness and by superficial venous outflow being restricted by non-redundant superficial venous drainage. This clinical case report exemplifies how bedside neurologic localization and angioarchitectural characteristics can inform the selection of microsurgical approaches for the treatment of ruptured AVMs that are directed at reducing hemorrhage recurrence risk through corridors based on rupture location. Case Presentation: An otherwise healthy young adult male (modified Rankin scale [mRS] pre-morbid = 0) initially presented with a thunderclap headache, emesis, photophobia, decreased level of consciousness (admitted Glasgow Coma Score [GCS] = 11; E3V3M5), and subsequent deficits including left-sided pyramidal weakness, visual field loss, and visuo-spatial neglect. A non-contrast computed tomogram (CT) confirmed an intraparenchymal hemorrhage (ICH) located within the right hemisphere’s posterior lobe. Angiographic evaluation of this AVM with catheter injection and three-dimensional reconstruction revealed a compact right occipital posterior convexity pial AVM (nidus 8 × 3 mm) supplied by distal cortical branches of the right middle cerebral artery (MCA); all blood draining from the nidus was directed to a single cortical vein which then drained into the superior sagittal sinus; there were two additional intranidal saccular aneurysms (approximately 3 × 2 mm and 3 × 3 mm). Because of the acute worsening secondary to ICH and because all venous drainage was superficial-only, a single-stage approach was selected given the urgency: decompressive evacuation of the hematoma via a corridor to the site of the AVM, followed by microsurgical removal of the AVM. The removal of the AVM was accomplished in a feeder-first, vein-last sequence, and en-passage arteries and parasagittal bridging veins were preserved throughout the procedure. Additionally, the two intranidal aneurysms identified as potential weak points during progressive devascularization of the AVM were specifically treated during the removal procedure. Following the successful removal of the AVM, the patient experienced a rapid recovery and returned to a nearly premorbid state of functioning, excepting a persistent small area of quadrantanopia. Conclusions: Rupture of posterior convexity AVMs may result in increased hemorrhagic severity due to localized architectural weaknesses in addition to the overall size of the AVM nidus. By correlating neurological findings, the topography of the hemorrhage, and angioarchitectural features early after rupture, emergency decisions regarding management can be better informed. The application of a hematoma-corridor, feeder-first/vein-last microsurgical approach for the treatment of such AVMs can achieve definitive curative results while minimizing damage to posterior cortical regions. Full article
(This article belongs to the Special Issue Advancing Diagnostics in Neuroimaging)
Show Figures

Figure 1

36 pages, 5330 KB  
Review
Doppler Assessment of the Fetal Brain Circulation
by Maria Isabel Sá, Miriam Illa and Luís Guedes-Martins
Diagnostics 2026, 16(2), 214; https://doi.org/10.3390/diagnostics16020214 - 9 Jan 2026
Viewed by 389
Abstract
Doppler assessment of fetal cerebral circulation has become a cornerstone of modern fetal medicine. It is used to evaluate cerebral vascular malformations, brain anomalies, fetal growth restriction due to placental insufficiency, fetal anemia, and hemodynamic complications arising from placental vascular anastomoses in monochorionic [...] Read more.
Doppler assessment of fetal cerebral circulation has become a cornerstone of modern fetal medicine. It is used to evaluate cerebral vascular malformations, brain anomalies, fetal growth restriction due to placental insufficiency, fetal anemia, and hemodynamic complications arising from placental vascular anastomoses in monochorionic pregnancies. Emerging research also explores the predictive value of Doppler parameters for perinatal outcomes and long-term neurodevelopment. To review the anatomy and physiology of fetal cerebral vessels accessible to Doppler evaluation, outline key technical aspects, and summarize current obstetric applications. A PubMed search identified 113 relevant publications, published between 1984 and 2025. Three book chapters by authors recognized internationally within the scientific community were included. A total of 116 publications were critically analyzed in this narrative review. Strong evidence supports the use of Doppler ultrasound in obstetrics, particularly for evaluating fetal cerebral hemodynamics, where it contributes to reducing fetal morbidity and mortality. Doppler assessment of fetal brain circulation is a valuable tool for evaluating brain vascular malformations, other structural abnormalities, and for assessing fetuses with growth restriction, anemia, and twin-to-twin transfusion syndrome. It allows targeted fetal monitoring and timely interventions, providing critical prognostic information and aiding parental counseling. Ongoing advances in Doppler technology and understanding of fetal brain physiology are likely to broaden its clinical uses, improving both perinatal outcomes and long-term neurological health. Full article
(This article belongs to the Special Issue Advances in Fetal Diagnosis and Therapy)
Show Figures

Figure 1

16 pages, 292 KB  
Article
Nationwide Study of Pediatric Drug-Resistant Epilepsy in Estonia: Lower Incidence and Insights into Etiology
by Stella Lilles, Klari Heidmets, Kaisa Teele Oja, Karit Reinson, Laura Roht, Sander Pajusalu, Monica H Wojcik, Katrin Õunap and Inga Talvik
Pediatr. Rep. 2026, 18(1), 8; https://doi.org/10.3390/pediatric18010008 - 6 Jan 2026
Viewed by 265
Abstract
Background/Objectives: Drug-resistant epilepsy (DRE) is a significant health problem leading to cognitive impairment and reduced quality of life. This study aimed to investigate the incidence and etiology of DRE in children in Estonia. Methods: A retrospective, population-based study of childhood DRE was conducted [...] Read more.
Background/Objectives: Drug-resistant epilepsy (DRE) is a significant health problem leading to cognitive impairment and reduced quality of life. This study aimed to investigate the incidence and etiology of DRE in children in Estonia. Methods: A retrospective, population-based study of childhood DRE was conducted in Estonia from 1 January 2013, to 31 December 2017. All cases were identified through the only two pediatric neurology departments in the country, both located at tertiary care hospitals (Tartu University Hospital and Tallinn Children’s Hospital), ensuring complete nationwide coverage. Epidemiological, magnetic resonance imaging (MRI), and genetic data (chromosomal microarray, single-gene tests, gene panels, and exome/genome sequencing) were collected. Results: The incidence rate of childhood epilepsy was 84.1 per 100,000. DRE developed in 10% of children with new-onset epilepsy, corresponding to an incidence rate of 8.5 per 100,000. Etiologically relevant MRI abnormalities were identified in 43% of patients with DRE, most commonly congenital brain malformations (19%). Pathogenic single-gene sequence variants were detected in 25 of 110 patients (23%), copy number variants in four patients (4%), and chromosomal aberrations in one patient (1%). Novel candidate disease genes of uncertain pathogenicity were identified in four patients (4%). The most frequent etiology of DRE was structural (29%), followed by genetic (19%), with combined etiologies (13%) also contributing significantly. Conclusions: Our study is the first epidemiological study of DRE in children in Estonia and the Baltic region. The relatively low incidence observed may reflect the comprehensive national ascertainment and centralized management of pediatric epilepsy in tertiary care centers. Full article
35 pages, 1474 KB  
Review
Shared Disease Mechanisms in Neurodevelopmental Disorders: A Cellular and Molecular Biology Perspective
by Elizabeth A. Pattie and Philip H. Iffland
Brain Sci. 2026, 16(1), 54; https://doi.org/10.3390/brainsci16010054 - 30 Dec 2025
Viewed by 689
Abstract
Neurodevelopmental disorders (NDDs) are defined as a group of conditions that result from impaired brain development. Disorders that are commonly classified under NDDs include intellectual disability (ID), autism spectrum disorder (ASD), attention-deficit/hyperactivity disorder (ADHD), communication and learning disorders, developmental delay (DD), brain malformations, [...] Read more.
Neurodevelopmental disorders (NDDs) are defined as a group of conditions that result from impaired brain development. Disorders that are commonly classified under NDDs include intellectual disability (ID), autism spectrum disorder (ASD), attention-deficit/hyperactivity disorder (ADHD), communication and learning disorders, developmental delay (DD), brain malformations, cerebral palsy, Down syndrome, schizophrenia, and childhood epilepsies. A significant hinderance in the development of targeted treatments for NDDs are gaps in understanding how underlying genetic changes alter cellular physiology and how these changes may converge or diverge across NDDs with similar symptoms. Here, we focus on the genetic overlap between epilepsy, ASD, and other NDDs to identify common cellular and molecular mechanisms that may inform future treatments for each of these disorders individually or together. We describe several genes—including CDKL5, TSC1/2, SCN1a, and TANC2—that have been associated with epilepsy, ASD, or other NDD phenotypes that play a critical role in regulating one or more stages of brain development or function but differ widely in their disease-causing mechanisms. We also describe genotype–phenotype relationships. Finally, how a gene may cause NDDs through distinct functional pathways, or where different types of pathogenic variants within the same gene can have significantly different phenotypic outcomes is detailed. Full article
(This article belongs to the Special Issue Molecular Genetics of Neurodevelopment Disorders)
Show Figures

Figure 1

22 pages, 2173 KB  
Review
Cytomegalovirus in Pregnancy: Effects on the Developing Embryo and Fetus, Diagnosis and Treatment: Where to Go Now? A Narrative Review
by Asher Ornoy and Liza Weinstein-Fudim
Int. J. Mol. Sci. 2026, 27(1), 252; https://doi.org/10.3390/ijms27010252 - 25 Dec 2025
Viewed by 766
Abstract
Cytomegalovirus (CMV) is the most common infectious cause of congenital malformations, often presenting with atypical clinical findings. Fetal damage is most severe following primary maternal infection during the first trimester of pregnancy, with the likelihood of transmission increasing with pregnancy advancement. CMV damage [...] Read more.
Cytomegalovirus (CMV) is the most common infectious cause of congenital malformations, often presenting with atypical clinical findings. Fetal damage is most severe following primary maternal infection during the first trimester of pregnancy, with the likelihood of transmission increasing with pregnancy advancement. CMV damage may continue to intensify during the early postnatal years. In this narrative review we summarized publications from the last 30 years addressing the epidemiology, diagnosis, prevention and treatment of CMV in pregnancy, with a special emphasis on embryonic and fetal damage. Substantial progress has been made in the diagnosis and treatment of CMV infection during pregnancy, warranting a reconsideration of current clinical approaches. Assessment of viral load enables prediction of fetal infection; its reduction by maternal treatment with valacyclovir may lower both the rate and severity of transmission. Confirmed fetal infection can be diagnosed by amniocentesis and viral DNA detection. Clinical manifestations in infants may be evident at birth (cCMV) or gradually emerge during the first years. The most common fetal damage is hearing loss alongside a variety of brain lesions resulting in significant neurological deficits, including intellectual impairment. Brain involvement is diagnosed by ultrasound or magnetic resonance imaging (MRI). Pharmacological treatment with ganciclovir or valganciclovir, if initiated early after birth, can slow the progression of hearing loss and may ameliorate other neurological and neurodevelopmental deficits. As of today, there is no approved CMV vaccine for prevention. The mRNA-1647’s vaccine, currently in phase 3 clinical trial, appears promising. These advances underscore the need for screening pregnant women in the first trimester and newborn infants of mothers suspected of having CMV infection. Neurodevelopmental follow up for several years, including hearing and visual assessment, is advised in all infants positive for CMV. Infants with clinical manifestations should be offered treatment as early as possible following diagnosis of cCMV. Full article
(This article belongs to the Section Molecular Pathology, Diagnostics, and Therapeutics)
Show Figures

Figure 1

18 pages, 3624 KB  
Article
Activating KRAS Mutations Expressed in 3D Endothelial Spheroids Induce Blebbing Morphologies Associated with Amoeboid-like Migration
by Lucinda S. McRobb, Vivienne S. Lee and Marcus A. Stoodley
Cells 2026, 15(1), 22; https://doi.org/10.3390/cells15010022 - 22 Dec 2025
Viewed by 502
Abstract
Introduction: A 3D endothelial spheroid model expressing mosaic gain-of-function KRAS mutations was established to further understand the molecular changes associated with sporadic brain arteriovenous malformations (AVMs). Methods: Repellent 96-well U-bottom plates were seeded with human cerebral microvascular endothelial cells and resultant spheroids transduced [...] Read more.
Introduction: A 3D endothelial spheroid model expressing mosaic gain-of-function KRAS mutations was established to further understand the molecular changes associated with sporadic brain arteriovenous malformations (AVMs). Methods: Repellent 96-well U-bottom plates were seeded with human cerebral microvascular endothelial cells and resultant spheroids transduced with recombinant adeno-associated virus expressing KRASG12V. Spheroids were monitored using live-cell imaging for extended culture periods. Results: In the early growth period, KRASG12V expression increased spheroid growth rates and enhanced spheroid sprouting on gel matrices consistent with known AVM characteristics. With extended culture, novel endothelial characteristics were observed. KRASG12V-expressing spheroids displayed dynamic blebbing associated with the formation of rounded, hypertrophic cells disposed to engage in spheroid escape. These cells displayed reduced cell–cell adherence with rapid plasma membrane blebbing characteristic of amoeboid-like migration and mesenchymal-to-amoeboid transition. Spheroid growth and blebbing were reversed with MEK and mTOR inhibitors; Rho/ROCK inhibition specifically targeted the blebbing phenotype. Conclusions: Endothelial spheroids expressing KRASG12V exhibit characteristic features associated with abnormal vessel development in brain AVMs as well as novel phenotypes not previously observed in 2D monolayers. The ability to extend culture periods in this simple 3D model may allow further phenotypic exploration of important AVM driver mutations. Full article
Show Figures

Figure 1

21 pages, 934 KB  
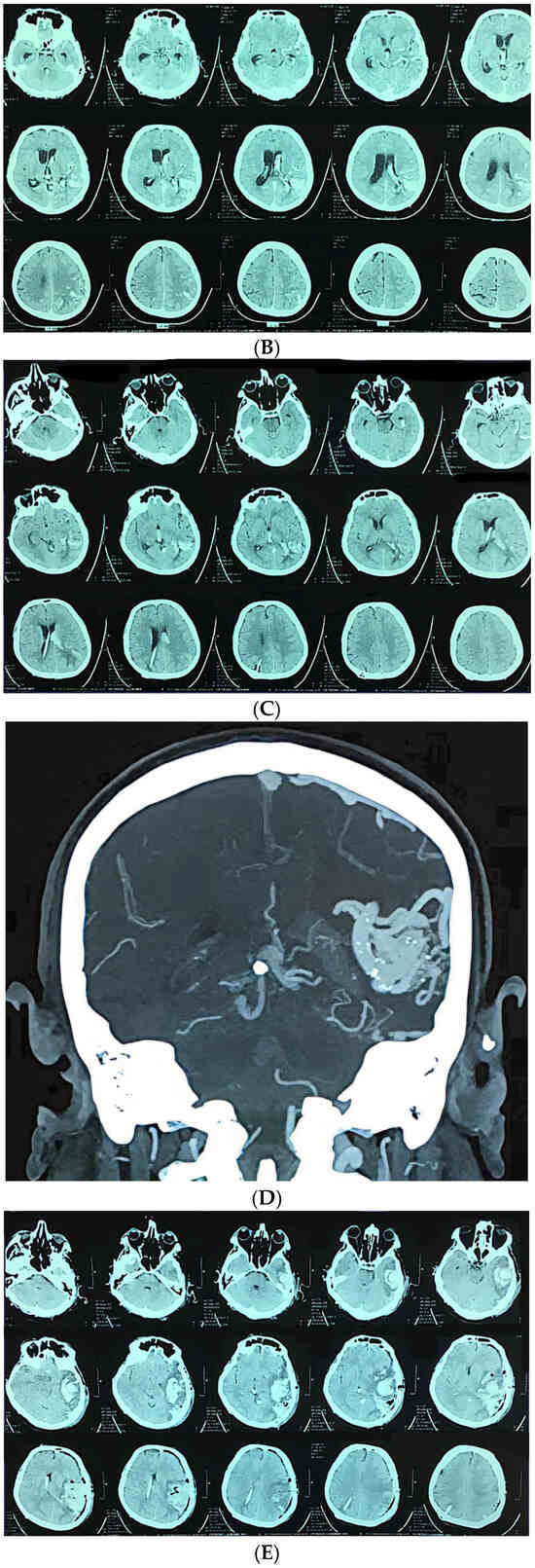
Case Report
Functional and Hemodynamic Restoration After Microsurgical Resection of Compact High-Flow Temporo-Parieto-Occipital Arteriovenous Malformation
by Adrian Tulin, Cosmin Pantu, Alexandru Breazu, Octavian Munteanu, Mugurel Petrinel Rădoi, Catalina-Ioana Tataru, Nicolaie Dobrin, Alexandru Vlad Ciurea and Adrian Vasile Dumitru
Diagnostics 2025, 15(24), 3249; https://doi.org/10.3390/diagnostics15243249 - 18 Dec 2025
Viewed by 432
Abstract
Background/Objectives: Arteriovenous malformations (AVMs) in the dominant temporo-parieto-occipital (TPO) junction of the brain are extremely rare and very difficult to remove surgically because this area includes multiple sensory and language networks. Due to the fact that many patients present with bleeding, surgeons [...] Read more.
Background/Objectives: Arteriovenous malformations (AVMs) in the dominant temporo-parieto-occipital (TPO) junction of the brain are extremely rare and very difficult to remove surgically because this area includes multiple sensory and language networks. Due to the fact that many patients present with bleeding, surgeons have to find a delicate balance between removing all of the AVM tissue and preserving the functional areas of the brain where important functions occur. This study is reporting a case demonstrating how precise clinical–radiologic correlation, detailed anatomical knowledge, and deliberate microsurgical techniques can allow safe removal of the AVM and improve the patient’s neurologic function without the need for additional intraoperative technology. Case Presentation: A 47-year-old right-handed male patient experienced persistent neurological deficits after experiencing a hemorrhage from an AVM in his dominant posterior hemisphere, which included mild language difficulties, right hemifacial–brachial spasticity, parietal sensory loss and a visual field defect of his right eye known as an inferior quadrantanopia localized to the TPO junction. Cerebral angiography identified a small, compact, high-flow AVM (40 × 30 mm) fed by distal branches of the middle cerebral artery (M4), posterior cerebral artery (P4), anterior cerebral artery (A4), as well as a small branch of the superior cerebellar artery (SCA). Blood drained into two veins of the Trolard and Labbé. The authors removed the AVM completely by circumferential dissection of the nidus along gliotic planes using a microscope. Feeders were then sequentially disconnected, and the venous outflow was preserved until the AVM could be removed en bloc. Post-operative angiograms demonstrated complete removal of the AVM with normalization of blood flow to the surrounding cortex. The patient’s neurologic function improved over time and at three months post-operatively, he was functioning independently (modified Rankin Scale = 1; Barthel Index = 100) and there was no evidence of residual nidus or edema on imaging. Conclusions: High-flow AVMs in the dominant TPO junction can be completely removed using a disciplined microsurgical approach and a feeder first/vein last disconnection method based on anatomy. The patient’s improvement in function represented reperfusion and reintegration of an injured but still functional network of the brain, reinforcing the idea that careful observation, a deep understanding of brain anatomy, and restrained surgical technique are critical to achieving long-term results in AVM surgery. Full article
(This article belongs to the Special Issue Cerebrovascular Lesions: Diagnosis and Management, 2nd Edition)
Show Figures

Figure 1

18 pages, 1287 KB  
Systematic Review
Clinical and Molecular Spectrum of PPP2R1A-Related Neurodevelopmental Disorders: A Systematic Review
by Jaewoong Lee, Ari Ahn, Jaeeun Yoo and Seungok Lee
Genes 2025, 16(12), 1508; https://doi.org/10.3390/genes16121508 - 16 Dec 2025
Viewed by 502
Abstract
Background/Objectives: PPP2R1A encodes the scaffold subunit Aα of protein phosphatase 2A (PP2A). Pathogenic variants cause Houge-Janssens syndrome 2, a rare neurodevelopmental disorder characterized by developmental delay, intellectual disability, epilepsy, and brain malformations. We systematically reviewed published cases to define the clinical spectrum, [...] Read more.
Background/Objectives: PPP2R1A encodes the scaffold subunit Aα of protein phosphatase 2A (PP2A). Pathogenic variants cause Houge-Janssens syndrome 2, a rare neurodevelopmental disorder characterized by developmental delay, intellectual disability, epilepsy, and brain malformations. We systematically reviewed published cases to define the clinical spectrum, characterize the mutational landscape, and explore genotype–phenotype correlations. Methods: We conducted systematic searches of PubMed, Embase, and Web of Science from inception to March 2025, supplemented by GeneReviews and OMIM references. Studies reporting PPP2R1A variants with clinical data were included. Data extraction followed PRISMA guidelines, encompassing study characteristics, genetic findings, and phenotypic features. Results: We identified 16 studies representing 60 patients with PPP2R1A-related disorders. Twenty-six distinct pathogenic variants were identified; these were predominantly de novo heterozygous missense changes clustering within HEAT repeats 5–7. Recurrent hotspots included p.Arg182Trp (n = 12) and p.Arg183Gln (n = 5). Developmental delay and intellectual disability were universally present in all patients for whom data were available (100%, 58/58). Epilepsy occurred in 50.9% (29/57), and structural brain abnormalities in 83.1% (49/59), with corpus callosum abnormalities (40.7%, 24/59) and ventriculomegaly (32.2%, 19/59) being most frequent. Microcephaly was reported in 17.2% (10/58) and macrocephaly in 25.9% (15/58), while dysmorphic features were present in 53.4% (31/58). The phenotypic spectrum ranged from severe neonatal presentations with high mortality to milder neurodevelopmental courses, with prenatal manifestations including ventriculomegaly, corpus callosum abnormalities, and rare cardiac defects. Clear genotype–phenotype correlations emerged, with HEAT5 variants (p.Arg182Trp, p.Arg183Gln) associated with severe phenotypes and increased mortality, while p.Arg258His variants demonstrated comparatively milder courses. Conclusions: PPP2R1A-related disorders encompass a broad clinical spectrum ranging from lethal neonatal disease to survivable forms with variable neurodevelopmental outcomes. Prenatal features including ventriculomegaly and corpus callosum abnormalities enable early genetic diagnosis, informing reproductive counseling. Recognition of recurrent hotspot variants and their phenotype associations facilitates diagnosis, prognosis, and genetic counseling. These findings provide evidence-based guidance for clinical management and highlight the importance of variant-specific prognostication in this emerging neurodevelopmental disorder. Full article
(This article belongs to the Section Human Genomics and Genetic Diseases)
Show Figures

Figure 1

19 pages, 7089 KB  
Article
Predictors of Functional Outcome After Microsurgical Resection of Brain Arteriovenous Malformations: A Retrospective Single-Center Study
by Aleksandar Janicijevic, Jelena Kostic, Nikola Jovicevic, Aleksandar Milosavljevic, Dean Vidovic, Milica Cancarevic-Janicijevic, Nikola Repac and Goran Tasic
J. Clin. Med. 2025, 14(24), 8680; https://doi.org/10.3390/jcm14248680 - 8 Dec 2025
Cited by 1 | Viewed by 495
Abstract
Background/Objectives: Brain arteriovenous malformations (AVMs) are rare but clinically significant lesions associated with hemorrhage, seizures, and neurological deficits. Microsurgical resection remains the gold standard for low- and intermediate-grade AVMs, though treatment of unruptured AVMs is still debated. To present functional outcomes of microsurgical [...] Read more.
Background/Objectives: Brain arteriovenous malformations (AVMs) are rare but clinically significant lesions associated with hemorrhage, seizures, and neurological deficits. Microsurgical resection remains the gold standard for low- and intermediate-grade AVMs, though treatment of unruptured AVMs is still debated. To present functional outcomes of microsurgical treatment for intracranial AVMs in a high-volume neurosurgical center. Methods: We retrospectively analyzed 111 patients who underwent microsurgical AVM resection between 2010 and 2022 at the Clinical Center of Serbia. Demographic, clinical, radiological, and surgical data were collected. Functional outcomes were assessed using the modified Rankin Scale (mRS) at discharge and after nine months. Results: The mean patient age was 36 years (range 8–75); 54 (48.6%) were male. AVMs were most often supratentorial (91.9%), located in the frontal (26.1%) and temporal lobes (19.8%). Hemorrhage was the presenting symptom in 53.2% of patients. Postoperative complications included hematoma (10.8%), meningitis (13.5%), and wound infection (8.1%). The mean mRS at discharge was 2.10, improving significantly to 1.15 at nine months (p < 0.001). Favorable outcome (mRS ≤ 2) was achieved in 64.0% at discharge and 81.1% at nine months. Prognostic factors for poor outcome included AVM size larger than 6 cm, higher supplementary Spetzler–Martin grade, and combined venous drainage. Conclusions: Microsurgical resection provides an important component of multidisciplinary AVM management, especially in low- and selected intermediate-grade lesions, achieving favorable functional outcomes in the majority of patients. Careful patient selection, AVM grading, and venous drainage analysis remain essential for prognosis and treatment planning. Full article
(This article belongs to the Section Clinical Neurology)
Show Figures

Figure 1

25 pages, 4580 KB  
Review
Controversies in Cavernous Malformation Management: A Comprehensive Review of Current Literature
by Erika Carrassi, Edoardo Mazzucchi, Laura Raus, Mario Lecce, Laura Marucci, Alessia Farneti and Stefano Telera
J. Clin. Med. 2025, 14(23), 8614; https://doi.org/10.3390/jcm14238614 - 4 Dec 2025
Cited by 1 | Viewed by 1159
Abstract
Intracranial cavernous malformations (CMs) are angiographically occult, slow-flow vascular lesions composed of dilated, mulberry-like capillary clusters lacking intervening brain parenchyma. CMs typically have a low annual hemorrhage risk and are often discovered incidentally. Most patients are asymptomatic or exhibit mild neurological symptoms at [...] Read more.
Intracranial cavernous malformations (CMs) are angiographically occult, slow-flow vascular lesions composed of dilated, mulberry-like capillary clusters lacking intervening brain parenchyma. CMs typically have a low annual hemorrhage risk and are often discovered incidentally. Most patients are asymptomatic or exhibit mild neurological symptoms at the time of diagnosis. Despite decades of investigation, the optimal management of CMs remains controversial. Key clinical dilemmas include identifying which lesions warrant active treatment and when, selecting the best therapeutic approach based on patient age and lesion location (eloquent vs. non-eloquent areas), and determining how to address the hemosiderin rim often found surrounding the malformation. Additional questions involve the role of radiosurgery and appropriate management strategies during pregnancy. This review critically evaluates current literature concerning the natural history and treatment strategies for CMs, emphasizing evidence-based approaches to these unresolved issues. By summarizing and interpreting recent findings, we aim to provide a concise yet comprehensive overview to support clinicians in tailoring patient-specific management plans for this complex neurovascular pathology. Full article
(This article belongs to the Special Issue Neurovascular Diseases: Clinical Advances and Challenges)
Show Figures

Figure 1

12 pages, 942 KB  
Article
Antiangiogenic Treatment of Patients with Hereditary Hemorrhagic Telangiectasia: Experience of a Hungarian Center
by Boglárka Brugós, Angéla Csirmaz, Tamás Major, Zsuzsanna Bereczky, Réka Gindele, Gábor Balogh, Sándor Kacska, Péter Sipos, Árpád Illés and György Pfliegler
J. Clin. Med. 2025, 14(22), 8160; https://doi.org/10.3390/jcm14228160 - 18 Nov 2025
Viewed by 426
Abstract
Background: Hereditary hemorrhagic telangiectasia (HHT) is an inherited vascular bleeding disorder. The most common symptoms are recurrent, severe nosebleeds that occasionally necessitate intervention by an ENT (Ear, Nose, and Throat) specialist, as well as iron-deficiency anemia. Telangiectasia is typically located in the nasal [...] Read more.
Background: Hereditary hemorrhagic telangiectasia (HHT) is an inherited vascular bleeding disorder. The most common symptoms are recurrent, severe nosebleeds that occasionally necessitate intervention by an ENT (Ear, Nose, and Throat) specialist, as well as iron-deficiency anemia. Telangiectasia is typically located in the nasal cavity, lips, tongue, fingertips, and the gastrointestinal mucosa. Arteriovenous malformations (AVMs) are located in internal organs (brain, lungs, liver, etc.). The family history is positive for HHT. The diagnosis is based on the Curacao criteria. The endoglin and activin receptor-like kinase 1 genes (ENG and ACVRL1) are the most common mutation sites, leading to elevated endothelial growth factor (VEGF) levels. Methods: We conducted a retrospective analysis in the Department of Internal Medicine, Division of Hematology, and Center of Expertise for Rare Diseases at the University of Debrecen, spanning the period from 2010 to 2025. Records of patients referred with HHT were reviewed concerning demographic data, clinical presentations, laboratory findings, and treatment approaches. To evaluate management options, epistaxis severity was assessed using the Epistaxis Severity Score (ESS). Results: 48 HHT patients (21 male and 27 female) were included in this retrospective study. Genetic testing was positive in each case, showing mutations in the ENG (HHT1 subgroup) or ACVRL1 (HHT2 subgroup) genes. Most of the patients are followed-up with in our department. ESS was calculated at baseline and 6 months after antiangiogenic treatment by two independent physicians. Detailed computed tomography (CT) was performed in all patients. Seven patients were administered desmopressin, a synthetic analog of antidiuretic hormone (ADH), based on our previous experience in reducing bleeding in von Willebrand disease. Antiangiogenic therapy with thalidomide (50 mg oral tablets) was used in 24 patients, while bevacizumab was administered to 5 patients. Most patients experienced a remarkable decrease in epistaxis severity and a reduction in the need for transfusions (ESS before treatment: HHT1 patients, 4.15 ± 1.91 vs. ESS after treatment, 2.62 ± 0.99; HHT2 patients, 3.79 ± 3.19 vs. 2.02 ± 1.91). Subgroup analysis using paired ESS data showed a significant reduction in ESS in both HHT1 and HHT2 patients (p = 0.003 and p = 0.043, respectively). Bevacizumab further reduced the ESS, but the few cases were not suitable for statistical analysis. Serum iron levels significantly increased after antiangiogenic treatment in the HHT2 group (p = 0.01). Conclusions: HHT is a rare vascular bleeding disorder. Daily nosebleeds impair the patients’ quality of life and sometimes lead to severe transfusion-dependent iron-deficient anemia. Frequent hospitalization places a significant burden on the healthcare system. Thus, we have used treatment options for HHT patients that primarily act by inhibiting VEGF, and these treatment modalities have yielded successful results in our hands. Full article
Show Figures

Figure 1

8 pages, 2064 KB  
Case Report
A Boy with a Novel Variant in TCF20: An Expanded Phenotype and a Brief Review of the Literature
by Diletta Ziveri, Carlo Alberto Cesaroni, Gianluca Contrò, Stefano Giuseppe Caraffi, Francesca Ormitti, Lucrezia Giannini, Agnese Pantani, Anna Cavalli, Susanna Rizzi, Marzia Pollazzon, Daniele Frattini and Carlo Fusco
Children 2025, 12(11), 1543; https://doi.org/10.3390/children12111543 - 14 Nov 2025
Viewed by 494
Abstract
Background: TCF20-associated neurodevelopmental disorder (TCF20-NDD) is a heterogeneous clinical condition resulting from defects in gene-encoding Transcription Factor 20, which plays a key role in neuronal development and synaptic function. Here, we present a novel case involving an 11-year-old boy [...] Read more.
Background: TCF20-associated neurodevelopmental disorder (TCF20-NDD) is a heterogeneous clinical condition resulting from defects in gene-encoding Transcription Factor 20, which plays a key role in neuronal development and synaptic function. Here, we present a novel case involving an 11-year-old boy who was referred to us for a neuro-developmental disorder characterized by attention deficit hyperactivity disorder (ADHD), tremor in the upper limbs, tilted head posture, motor delay, impaired executive functioning, and oculomotor dyspraxia. Methods: Genetic tests were performed, including CGH array, molecular analysis of the FMR1 gene, molecular analysis using a next-generation sequencing gene panel targeted for spinocerebellar diseases, and finally, WES including mitochondrial genome analysis. A neuroimaging study of brain and spine was performed using MRI. Results: Trio Whole Exome Sequencing revealed a de novo pathogenic frameshift variant NM_001378418.1:c.5009dup, p.(Thr1671Aspfs*5) in the TCF20 gene. The MRI scan of the brain, cervical, dorsal, and lumbosacral spine revealed Chiari type I malformation. Regarding the pathogenic mechanism underlying Chiari I malformation, it could be found in the homology between TCF20 and the RAI1 gene, the latter being associated with alterations in the posterior cranial fossa. Conclusions: We emphasize the use of exome sequencing in patients with unclear clinical presentations, with awareness of TCF20-associated neurodevelopmental disorder; paying attention to brain MRI findings would be useful to further expand the phenotype of TCF20-NDD. Full article
(This article belongs to the Section Pediatric Neurology & Neurodevelopmental Disorders)
Show Figures

Figure 1

30 pages, 11826 KB  
Article
Expression of Dystroglycanopathy-Related Enzymes, POMGNT2 and POMGNT1, in the Mammalian Retina and 661W Cone-like Cell Line
by Cristina Quereda, Violeta Gómez-Vicente, Mercedes Palmero and José Martín-Nieto
Biomedicines 2025, 13(11), 2759; https://doi.org/10.3390/biomedicines13112759 - 11 Nov 2025
Viewed by 822
Abstract
Background. Dystroglycanopathies (DGPs) constitute a set of recessive, neuromuscular congenital dystrophies that result from impaired glycosylation of dystroglycan (DG). These disorders typically course with CNS alterations, which, alongside gradual muscular dystrophy, may include brain malformations, intellectual disability and a panoply of ocular defects. [...] Read more.
Background. Dystroglycanopathies (DGPs) constitute a set of recessive, neuromuscular congenital dystrophies that result from impaired glycosylation of dystroglycan (DG). These disorders typically course with CNS alterations, which, alongside gradual muscular dystrophy, may include brain malformations, intellectual disability and a panoply of ocular defects. In this process, the protein products of 22 genes, collectively dubbed DGP-associated genes, directly or indirectly participate sequentially along a complex, branched biosynthetic pathway. POMGNT2 and POMGNT1 are two enzymes whose catalytic activity consists of transferring the same substrate, a molecule of N-acetylglucosamine (GlcNAc) to a common substrate, the O-mannosylated α subunit of DG. Despite their presumptive role in retinal homeostasis, there are currently no reports describing their expression pattern or function in this tissue. Purpose. This work focuses on POMGNT2 and POMGNT1 expression in the mammalian retina, and on the characterization of their distribution across retinal layers, and in the 661W photoreceptor cell line. Methods. The expression of POMGNT2 protein in different mammalian species’ retinas, including those of mice, rats, cows and monkeys, was assessed by immunoblotting. Additionally, POMGNT2 and POMGNT1 distribution profiles were analyzed using immunofluorescence confocal microscopy in retinal sections of monkeys and mice, and in 661W cultured cells. Results. Expression of POMGNT2 was detected in the neural retina of all species studied, being present in both cytoplasmic and nuclear fractions of the monkey and mouse, and in 661W cells. In the cytoplasm, POMGNT2 was concentrated in the endoplasmic reticulum (ER) and/or Golgi complex, depending on the species and cell type, whereas POMGNT1 accumulated only in the Golgi complex in both monkey and mouse retinas. Additionally, both proteins were present in the nucleus of the 661W cells, concentrating in the euchromatin and heterochromatin, as well as in nuclear PML and Cajal bodies, and nuclear speckles. Conclusions. Our results are indicative that POMGNT2 and POMGNT1 participate in the synthesis of O-mannosyl glycans added to α-dystroglycan in the ER and/or Golgi complex in the cytoplasm of mammalian retinal cells. Also, they could play a role in the modulation of gene expression at the mRNA level, which remains to be established, in a number of nuclear compartments in transformed retinal neurons. Full article
Show Figures

Graphical abstract

13 pages, 1366 KB  
Article
Microsurgical Resection of Unruptured Brain Arteriovenous Malformations: A 12-Year Single-Center Experience
by Aleksandar Janicijevic, Nikola Repac, Stefan Mandic-Rajcevic, Jelena Kostić, Nikola Jovicevic, Aleksandar Milosavljevic, Milica Cancarevic Janicijevic, Dean Vidovic, Vladimir Jovanovic and Goran Tasic
Medicina 2025, 61(11), 1993; https://doi.org/10.3390/medicina61111993 - 6 Nov 2025
Viewed by 567
Abstract
Background and Objectives: The management of unruptured brain arteriovenous malformations (ubAVMs) remains controversial, particularly following the ARUBA trial, which favored conservative management. However, concerns regarding the validity of its findings persist. This study aimed to evaluate the outcomes of microsurgical resection of [...] Read more.
Background and Objectives: The management of unruptured brain arteriovenous malformations (ubAVMs) remains controversial, particularly following the ARUBA trial, which favored conservative management. However, concerns regarding the validity of its findings persist. This study aimed to evaluate the outcomes of microsurgical resection of ubAVMs in a high-volume neurosurgical center. Materials and Methods: This is a retrospective single-center study that analyzed 52 patients treated by microsurgical resection at the Cerebrovascular Department, University Clinical Center of Serbia, between January 2010 and January 2022. All patients were classified according to the supplementary Spetzler–Martin (suppl-SM) grading system and stratified into low-risk (suppl-SM ≤ 6) and high-risk (suppl-SM > 6) groups. Functional outcomes were assessed using the modified Rankin Scale (mRS) at discharge and 9-month follow-up. Results: The mean patient age was 38.8 years, with equal gender distribution. Epileptic seizure was the most common presenting symptom (80.4%). In the low-risk group, there were no deaths, and poor outcomes were rare (6.8% at discharge; 2.3% at 9 months). Conversely, the high-risk group demonstrated significantly worse outcomes (62.5% poor outcome at discharge, 28.6% at 9 months). The overall hemorrhagic stroke rate was 5.8%, with one fatality (12.5%) in the high-risk subgroup. Absence of superficial venous drainage and presence of combined/deep venous drainage were strongly associated with poor outcomes. Conclusions: Microsurgical resection of ubAVMs is a safe and effective treatment strategy for low-grade lesions, yielding excellent functional outcomes and minimal morbidity. Our findings, supported by other large series, reinforce microsurgery as the gold standard for low-grade ubAVMs in appropriately selected patients. Full article
(This article belongs to the Section Surgery)
Show Figures

Figure 1

18 pages, 5897 KB  
Case Report
From Overgrowth to Complex Malformations: A Novel EZH2 Variant Reveals the Expanding Clinical Spectrum of Weaver Syndrome
by Chung-Lin Lee, Chih-Kuang Chuang, Huei-Ching Chiu, Ya-Hui Chang, Yuan-Rong Tu, Yun-Ting Lo, Jun-Yi Wu, Hsiang-Yu Lin and Shuan-Pei Lin
Children 2025, 12(11), 1487; https://doi.org/10.3390/children12111487 - 3 Nov 2025
Viewed by 1151
Abstract
Weaver syndrome is a rare congenital overgrowth disorder caused by pathogenic EZH2 variants. This study reports a novel EZH2 variant associated with atypical manifestations, including severe bilateral camptodactyly and complex brain malformations. A 4-year-old Taiwanese female exhibited classical Weaver syndrome features including macrosomia, [...] Read more.
Weaver syndrome is a rare congenital overgrowth disorder caused by pathogenic EZH2 variants. This study reports a novel EZH2 variant associated with atypical manifestations, including severe bilateral camptodactyly and complex brain malformations. A 4-year-old Taiwanese female exhibited classical Weaver syndrome features including macrosomia, macrocephaly, hypertelorism, and developmental delay, plus atypical findings of severe bilateral camptodactyly and complex brain malformations. Neuroimaging revealed corpus callosum dysgenesis with rostral agenesis and genu hypoplasia, bilateral frontal lobe hypoplasia, and an arachnoid cyst. The patient demonstrated global developmental delay with marked motor impairment but less severely affected speech and cognition, consistent with mild intellectual disability. Whole-exome sequencing identified a novel de novo pathogenic variant in EZH2: c.449T>C (p.Ile150Thr), affecting a highly conserved amino acid within the SANT domain. This case broadens the clinical spectrum of Weaver syndrome by highlighting severe camptodactyly and complex brain malformations as possible EZH2-related manifestations. The corpus callosum dysgenesis suggests a wider role of EZH2 in neurodevelopment than previously recognized. The novel SANT domain variant may explain the severe phenotypic presentation. The novel EZH2 variant c.449T>C (p.Ile150Thr) expands the molecular and phenotypic spectrum of Weaver syndrome. These findings underscore the importance of comprehensive neuroimaging and molecular genetic testing in suspected cases, particularly atypical presentations. Full article
Show Figures

Figure 1

Back to TopTop