Antiangiogenic Treatment of Patients with Hereditary Hemorrhagic Telangiectasia: Experience of a Hungarian Center
Abstract
1. Introduction
2. Materials and Methods
3. Results
3.1. Demographic Data
3.2. Treatment of the Patients
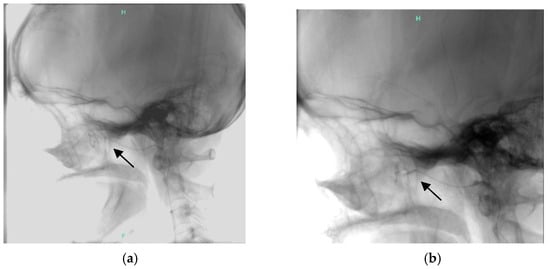
3.3. Case Report
4. Discussion
5. Conclusions
Author Contributions
Funding
Institutional Review Board Statement
Informed Consent Statement
Data Availability Statement
Conflicts of Interest
Abbreviations
| AAI | antiplatelet aggregation inhibitor |
| ACVRL1 | activin receptor-like kinase 1 |
| ADH | antidiuretic hormone |
| AVM | arteriovenous malformation |
| BMP | bone morphogenic protein |
| CT | computed tomography |
| DDAVP | desmopressin acetate |
| ENG | endoglin |
| ENG | electroneurography |
| ENT | ear, nose, and throat specialist |
| ESS | epistaxis severity score |
| HHT | hereditary hemorrhagic telangiectasia |
| Ovesco clip | over the scope clip |
| PFA | platelet function analysis |
| TGFβ | transforming growth factor β |
| UD | University of Debrecen |
| VEGF | vascular endothelial growth factor |
| VWF | von Willebrand factor |
References
- Fuchizaki, U.; Miyamori, H.; Kitagawa, S.; Kaneko, S.; Kobayashi, K. Hereditary haemorrhagic telangiectasia (Rendu-Osler-Weber disease). Lancet 2003, 362, 1490–1494. [Google Scholar] [CrossRef]
- Kritharis, A.; Al-Samkari, H.; Kuter, D. Hereditary hemorrhagic telangiectasia: Diagnosis and management from the hematologist’s perspective. Haematologica 2018, 103, 1433–1443. [Google Scholar] [CrossRef]
- Shovlin, C.; Guttmacher, A.; Buscarini, E.; Faughnan, M.; Hyland, R.; Westermann, C.; Kjeldsen, A.D.; Plauchu, H. Diagnostic criteria for hereditary hemorrhagic telangiectasia (Rendu-Osler-Weber syndrome). Am. J. Med. Gen. 2000, 91, 66–67. [Google Scholar] [CrossRef]
- Marchuk, D. Genetic abnormalities in hereditary hemorrhagic telangiectasia. Curr. Opin. Hematol. 1998, 5, 332–338. [Google Scholar] [CrossRef]
- McDonald, M.; Bayrak-Toydemir, P.; DeMille, D.; Wooderchak-Donahue, W.; Whitehead, K. Curacao diagnostic criteria for hereditary hemorrhagic telangiectasia is highly predictive of a pathogenic variant in ENG or ACVRL1 (HHT1 and HHT2). Genet. Med. 2020, 22, 1201–1205. [Google Scholar] [CrossRef]
- McDonald, M.; Bayrak-Taydemir, P.; Pyeritz, R. Hereditary hemorrhagic telangiectasia: An overview of diagnosis, management, and pathogenesis. Genet. Med. 2011, 13, 607–616. [Google Scholar] [CrossRef] [PubMed]
- Cerda, P.; Castillo, S.; Aguilera, C.; Iriarte, A.; Rocamora, J.; Larrinaga, A.; Vinals, F.; Graupera, M.; Riera-Mestre, A. New genetic drivers in hemorrhagic hereditary telangiectasia. Eur. J. Int. Med. 2024, 119, 99–108. [Google Scholar] [CrossRef] [PubMed]
- Major, T.; Gindele, R.; Szabó, Z.; Jóni, N.; Kis, Z.; Bora, L.; Bárdossy, P.; Rácz, T.; Karosi, T.; Bereczky, Z. Genetic diagnostics of hereditary hemorrhagic telangiectasia (Osler-Webere-rendu disease). Orv. Hetil. 2019, 160, 710–719. [Google Scholar] [CrossRef]
- Major, T.; Bereczky, Z.; Gindele, R.; Balogh, G.; Rácz, B.; Bora, L.; Kézsmárki, Z.; Brúgós, B.; Pfliegler, G. Current status of clinical and genetic screening of hereditary hemorrhagic telangiectasia families in Hungary. J. Clin. Med. 2021, 10, 3774. [Google Scholar] [CrossRef]
- Cole, S.; Begbie, M.; Wallace, G.; Shovlin, C. A new locus for hereditary hemorrhagic teleangiecatsia (HHT3) maps to chromosome 5. J. Med. Genet. 2005, 42, 577–582. [Google Scholar] [CrossRef]
- Bayrak-Taydemir, P.; McDonald, J.; Akarsu, N. A fourth locus for hereditary hemorrhagic telangiectasia maps to chromosome 7. Am. J. Med. Genet. A 2006, 140, 2155–2162. [Google Scholar] [CrossRef]
- Hernandez, F.; Huether, R.; Carter, L. Mutations in RASA1 and GDF2 were identified in patients with clinical features of hereditary hemorrhagic telangiectasia. Hum. Genom. Var. 2015, 2, 15040. [Google Scholar] [CrossRef]
- Hammill, A.; Wusik, K.; Kasthuri, R. Hereditary hemorrhagic telangiectasia (HHT): A practical guide to management. Hematol. Am. Soc. Hematol. Educ. Program 2021, 1, 469–477. [Google Scholar] [CrossRef]
- Faughnan, M.; Mager, J.; Hetts, S.; Palda, V.; Lang-Robertson, K.; Buscarini, E.; Deslandres, E.; Kasthuri, R.S.; Lausman, A.; Poetker, D.; et al. Second International Guidelines for the Diagnosis and Management of Hereditary Hemorrhagic TelangiecTASIA. Ann. Intern. Med. 2020, 173, 989–1001. [Google Scholar] [CrossRef]
- Begbie, M.; Wallace, G.; Shovlin, C. Hereditary haemorrhagic telangiectasia (Osler-Weber-Rendu syndrome): A view from the 21st century. Postgrad. Med. J. 2003, 79, 18–24. [Google Scholar] [CrossRef] [PubMed]
- Rebeiz, E.; Bryan, D.; Ehrlichman, R.; Shapshay, S. Surgical management of life-threatening epistaxis in Osler-Weber-Rendu disease. Ann. Plast. Surg. 1995, 35, 208–213. [Google Scholar] [CrossRef]
- Hoag, J.; Terry, P.; Mitchell, S.; Reh, D.; Merlo, C. An epistaxis severity score for hereditary hemorrhagic telangiectasia. Laryngoscope 2010, 120, 838–843. [Google Scholar] [CrossRef]
- Quitt, M.; Froom, P.; Veisler, A.; Falber, V.; Sova, J.; Aghai, E. The effect of desmopressin on massive gastrointestinal bleeding in hereditary telangiectasia unresponsive to treatment with cryoprecipitate. Arch. Intern. Med. 1990, 150, 1744–1746. [Google Scholar]
- Özgönenel, B.; Rajpurkar, M.; Lusher, J.M. How do you treat bleeding disorders with desmopressin? Postgrad. Med. J. 2007, 83, 159–163. [Google Scholar] [CrossRef] [PubMed]
- Invernizzi, R.; Quaglia, F.; Klersy, C.; Pagella, F.; Ornati, F.; Chu, F.; Matti, E.; Spinozzi, G.; Plumittalo, S.; Grignani, P.; et al. Efficacy and safety of thalidomide for the treatment of severe recurrent epistaxis in hereditary haemorrhagic telangiectasia: Results of a non-randomised, single-centre, phase 2 study. Lancet Haematol. 2015, 2, e465–e473. [Google Scholar] [CrossRef]
- Fang, J.; Chen, X.; Zhu, B.; Ye, H.; Zhang, W.; Guan, J.; Kaiming, S. Thalidomide for epistaxis in patients with hereditary hemorrhagic telangiectasia: A preliminary study. Otolaryngol. Head Neck Surg. 2017, 157, 217–221. [Google Scholar] [CrossRef]
- Al-Samkari, H.; Kasthuri, R.; Iyer, V.; Pishko, A.; Decker, J.; Whitehead, K.; Conrad, M.B.; Weiss, C.; Parambil, J.; Zumberg, M.S.; et al. PATH-HHT, a double-blind, randomized, placebo-controlled trial in hereditary hemorrhagic telangiectasia, demonstrates that pomalidomide reduces epistaxis and improves quality of life. Blood 2023, 142, LBA-3. [Google Scholar] [CrossRef]
- Ugur, M.; Baysal, M.; Umit, E. The role of thalidomide and its analogs in the treatment of hereditary hemorrhagic telangiectasia: A systemic review. J. Clin. Med. 2024, 13, 5404. [Google Scholar] [CrossRef]
- Fernandez-L, A.; Garrido-Martin, E.A.; Sans-Rodriguez, F.; Ramirez, J.R.; Morales-Angulo, C.; Zarrabeitia, R.; Perez-Molino, A.; Bernabéu, C.; Botella, L.-M. Therapeutic action of tranexamic acid in hereditary haemorrhagic telangiectasia (HHT): Regulation of ALK-1/endoglin pathway in endothelial cells. Thromb. Haemost. 2007, 92, 254–262. [Google Scholar] [CrossRef] [PubMed]
- Zaffar, N.; Ravichakaravarthy, T.; Faughnan, M.; Shehata, N. The use of anti-fibrinolytic agents in patients with HHT: A retrospective survey. Am. Hematol. 2014, 94, 145–152. [Google Scholar] [CrossRef] [PubMed]
- Al-Samkari, H.; Kasthuri, R.; Parambil, J.; Albitar, H.; Almodallal, Y.; Vazquez, C.; Serra, M.; Dupuis-Girod, S.; Wilsen, C.B.; McWilliams, J.P.; et al. An international, multicenter study of intravenous bevacizumab for bleeding in hereditary hemorrhagic telangiectasia: The InHIBIT-bleed study. Haematologica 2021, 106, 2161–2169. [Google Scholar] [CrossRef] [PubMed]
- Bose, P.; Holter, J.; Selby, G. Bevacizumab in hereditary hemorrhagic telangiectasia. N. Engl. J. Med. 2009, 360, 2143–2144. [Google Scholar] [CrossRef]
- Epperla, N.; Kapke, J.; Karafin, M.; Friedman, K.; Foy, P. Effect of systemic bevacizumab in severe hereditary hemorrhagic telangiectasia associated with bleeding. Am. J. Hematol. 2016, 91, E313–E314. [Google Scholar] [CrossRef]
- Dupuis-Girod, S.; Riviere, S.; Lavigne, C.; Fargeton, A.; Guilbert-Dussardier, B.; Grobost, V.; Leguy-Seguin, V.; Maillard, H.; Mohamed, S.; Decullier, E.; et al. Efficacy and safety of intravenous bevacizumab on severe bleeding associated with hemorrhagic telangiectasia: A national randomized multicenter trial. J. Int. Med. 2023, 294, 761–774. [Google Scholar] [CrossRef] [PubMed]
- Stokes, P.; Rimmer, J. Intranasal bevacizumab in the treatment of HHT-related epistaxis: A systematic review. Rhinology 2018, 56, 3–10. [Google Scholar] [CrossRef]
- Sobrepera, S.; Monroe, E.; Gemmete, J.; Hallam, D.; Pinchot, J.; Kaufman, C. Imaging to intervention: A review of what the interventionalist needs to know about hereditary hemorrhagic telangiectasia. CVIR Endovas. 2021, 4, 84. [Google Scholar] [CrossRef]





| HHT1 | HHT2 | p | |
|---|---|---|---|
| n | 30 | 18 | |
| Age (years) | 56.29 ± 14.58 | 48.63 ± 13.57 | 0.08 |
| Gender | |||
| Male n (%) | 15 (50) | 6 (33) | |
| Female n (%) | 15 (50) | 12 (67) | |
| ESS before treatment | 3.42 ± 1.99 | 3.00 ± 2.78 | |
| ESS after treatment | 2.62 ± 0.99 | 1.92 ± 1.84 | NS |
| GI telangiectasia n (%) | 3 (10) | 2 | |
| PAVM (%) | 19 (63) | 0 | |
| CAVM (%) | 6 (20) | 1 (6) | |
| HAVM (%) | 6 (20) | 6 (33) | |
| Thalidomide treatment n (%) | 12 (40) | 12 (67) | |
| Bevacizumab n (%) | 3 | 2 |
| HHT1 | HHT2 | p | |
|---|---|---|---|
| Age (years) | 56.29 ± 14.58 | 48.63 ± 0.08 | |
| Gender | |||
| Male (%) | 61 (n = 7) | 50 (n = 6) | |
| Female (%) | 39 (n = 5) | 50 (n = 6) | |
| Thalidomid n = | 12 | 12 | |
| Duration of treatment (months) | 31.08 ± 22.37 | 27 ± 24.94 | NS |
| Bevacizumab n = | 3 | 2 | |
| Duration of treatment (months) | 27.33 ± 24,5 | 27.33 ± 24.84 | NS |
| ESS before treatment | 4.15 ± 1.91 | 3.79 ± 3.19 | |
| ESS after treatment | 2.62 ± 0.99 | 2.02 ± 1.91 | NS |
| HHT1 | p | HHT2 | p | |
|---|---|---|---|---|
| Iron level I. (N: 6.6–26 μmol/L) | 5.88 ± 3.59 | 0.06 | 6.22 ± 4.33 | 0.01 |
| Iron level II. (N: 6.6–26 μmol/L) | 13.93 ± 42.84 | 15.59 ± 6.68 | ||
| Ferritin I. (N: 15–150 μg/L) | 42.83 ± 52.18 | 0.54 | 24.56 ± 52.59 | 0.07 |
| Ferritin II. (N: 15–150 μg/L) | 52.18 ± 37.53 | 20.17 ± 33.4 | ||
| TFR saturation I. (N: 16.0–45.0%) | 9.05 ± 6.73 | 0.2 | 8.13 ± 4.64 | 0.04 |
| TFR saturation II. (N: 16.0–45.0%) | 15.45 ± 12.7 | 19.52 ± 10.87 | ||
| Hemoglobin I. (g/L) | 118.44 ± 24.36 | 0.69 | 104.25 ± 15.12 | 0.41 |
| Hemoglobin II. (g/L) | 122.55 ± 27.20 | 117.38 ± 29.31 |
Disclaimer/Publisher’s Note: The statements, opinions and data contained in all publications are solely those of the individual author(s) and contributor(s) and not of MDPI and/or the editor(s). MDPI and/or the editor(s) disclaim responsibility for any injury to people or property resulting from any ideas, methods, instructions or products referred to in the content. |
© 2025 by the authors. Licensee MDPI, Basel, Switzerland. This article is an open access article distributed under the terms and conditions of the Creative Commons Attribution (CC BY) license (https://creativecommons.org/licenses/by/4.0/).
Share and Cite
Brugós, B.; Csirmaz, A.; Major, T.; Bereczky, Z.; Gindele, R.; Balogh, G.; Kacska, S.; Sipos, P.; Illés, Á.; Pfliegler, G. Antiangiogenic Treatment of Patients with Hereditary Hemorrhagic Telangiectasia: Experience of a Hungarian Center. J. Clin. Med. 2025, 14, 8160. https://doi.org/10.3390/jcm14228160
Brugós B, Csirmaz A, Major T, Bereczky Z, Gindele R, Balogh G, Kacska S, Sipos P, Illés Á, Pfliegler G. Antiangiogenic Treatment of Patients with Hereditary Hemorrhagic Telangiectasia: Experience of a Hungarian Center. Journal of Clinical Medicine. 2025; 14(22):8160. https://doi.org/10.3390/jcm14228160
Chicago/Turabian StyleBrugós, Boglárka, Angéla Csirmaz, Tamás Major, Zsuzsanna Bereczky, Réka Gindele, Gábor Balogh, Sándor Kacska, Péter Sipos, Árpád Illés, and György Pfliegler. 2025. "Antiangiogenic Treatment of Patients with Hereditary Hemorrhagic Telangiectasia: Experience of a Hungarian Center" Journal of Clinical Medicine 14, no. 22: 8160. https://doi.org/10.3390/jcm14228160
APA StyleBrugós, B., Csirmaz, A., Major, T., Bereczky, Z., Gindele, R., Balogh, G., Kacska, S., Sipos, P., Illés, Á., & Pfliegler, G. (2025). Antiangiogenic Treatment of Patients with Hereditary Hemorrhagic Telangiectasia: Experience of a Hungarian Center. Journal of Clinical Medicine, 14(22), 8160. https://doi.org/10.3390/jcm14228160

