Sign in to use this feature.

Years

Between: -

Subjects

remove_circle_outline
remove_circle_outline
remove_circle_outline
remove_circle_outline
remove_circle_outline
remove_circle_outline
remove_circle_outline
remove_circle_outline
remove_circle_outline

Journals

Article Types

Countries / Regions

Search Results (61)

Search Parameters:
Keywords = aviaries

Order results
Result details
Results per page
Select all
Export citation of selected articles as:
11 pages, 261 KB  
Article
Entomological Survey of Mosquitoes in a Zoo in Mérida City, Southeastern México
by Julian E. Garcia-Rejon, Carlos M. Baak-Baak, Angel G. Canul-Navarrete, Rosa C. Cetina-Trejo, Julio C. Tzuc-Dzul, Wilbert A. Chi-Chim, Rodrigo de J. Orozco-Chulin and Lourdes G. Talavera-Aguilar
J. Zool. Bot. Gard. 2026, 7(1), 5; https://doi.org/10.3390/jzbg7010005 - 5 Jan 2026
Viewed by 340
Abstract
The mosquito fauna was examined at the Mérida Zoological Park, a public site that is highly frequented and is a significant tourist attraction in the Yucatán Peninsula, in southeastern México. Between January 2023 and February 2024, 24 visits were made to the zoo [...] Read more.
The mosquito fauna was examined at the Mérida Zoological Park, a public site that is highly frequented and is a significant tourist attraction in the Yucatán Peninsula, in southeastern México. Between January 2023 and February 2024, 24 visits were made to the zoo to capture adult and immature stages of mosquitoes. Overall, 12 species belonging to five genera (Aedes, Anopheles, Culex, Ochlerotatus, and Uranotaenia) were documented. A total of 6601 adult mosquitoes of 10 species were captured by aspiration. The adult population of Culex quinquefasciatus Say was the most abundant, accounting for 80.84% (n = 5336) of the collection, while Aedes aegypti Linnaeus represented 11.53% (n = 761). The aviary was the site with the highest capture abundance (n = 2414) and species richness (n = 10). Aedes aegypti was abundant in the zoo restroom (n = 331) and had a higher proportion of blood-feeding females. A total of 1090 larvae and 160 pupae of nine species were collected from 26 mosquito breeding sites, accounting for 25% of positive containers (26/104). Aedes albopictus was frequently found in the larval stage (n = 43) compared to the adult stage (n = 3). The presence of mosquitoes with the potential to transmit pathogens poses a public health risk to zoo visitors and staff. Full article
16 pages, 2456 KB  
Article
Ethological, Clinical, and Neurobiological Studies on Cannibalism in Black-Necked Pheasants (Phasianus colchicus) and Correction of Behavioral Disorders by Applying Nutritional Supplements
by Slavko Nikolov, Rositsa Mileva, Antoaneta Yordanova, Nadya Bozakova, Aneliya Milanova and Dian Kanakov
Animals 2025, 15(24), 3561; https://doi.org/10.3390/ani15243561 - 11 Dec 2025
Viewed by 411
Abstract
Cannibalism in Black-necked pheasants is a problem in aviary rearing, and an effective solution is still lacking. We performed the present study to investigate the potential of using tryptophan or silymarin to suppress cannibalism. The following types of investigations were performed: evaluation of [...] Read more.
Cannibalism in Black-necked pheasants is a problem in aviary rearing, and an effective solution is still lacking. We performed the present study to investigate the potential of using tryptophan or silymarin to suppress cannibalism. The following types of investigations were performed: evaluation of the pheasants’ harmful behavior manifestations, and evaluation of the clinical forms, severity and localization of injuries of feathers and tissues, and neurohormonal manifestations. Additionally, the potential of cannibalism control in pheasants by supplementing tryptophan and silymarin to the birds’ diet was investigated. Ethological studies have shown a low intensity of feather pecking in pheasants without cannibalism manifestations. In pheasants with pronounced cannibalism, severe forms of feather and tissue pecking were observed in the head, back, wings, and rump areas, as well as specific forms affecting the tail feathers and the cloaca. Tryptophan and silymarin significantly reduced the levels of injurious pecking in the studied game birds and improved the healing of the lesions. The blood serotonin and dopamine levels in pheasants manifesting cannibalism were significantly lower than those in birds which did not show such behavior. The addition of tryptophan or silymarin to the diet of birds exhibiting cannibalism resulted in significantly increased plasma concentrations of serotonin or dopamine. Full article
(This article belongs to the Special Issue Metabolic, Health, and Productivity Challenges in Poultry Production)
Show Figures

Figure 1

11 pages, 1901 KB  
Article
Effects of Dust Bath Design on Hen Behavior in New Aviary Systems in China
by Zhihao Zhang, Qian Zhang, Jianying Xu, Baoming Li, Weichao Zheng and Yang Wang
Animals 2025, 15(20), 2946; https://doi.org/10.3390/ani15202946 - 10 Oct 2025
Viewed by 520
Abstract
Alternative housing systems for laying hens, such as the aviary, promote the expression of dustbathing behavior by providing substrate materials to improve their welfare. However, extensive litter areas in aviaries can lead to reduced air quality and increased incidence of diseases, making them [...] Read more.
Alternative housing systems for laying hens, such as the aviary, promote the expression of dustbathing behavior by providing substrate materials to improve their welfare. However, extensive litter areas in aviaries can lead to reduced air quality and increased incidence of diseases, making them unsuitable for deployment in new large cage aviary unit (LCAU) systems in China. Dust baths have advantages in terms of continuous availability, but their design lacks unified standards. This study explored the effects of different areas, shapes (circular and square), and substrate depths (1 cm, 5 cm, 9 cm) of dust baths on dustbathing behavior in LCAU systems by recording digital video. Each LCAU system was initially populated with 305 Jingfen No. 2 laying hens at 50 days of age. The dust baths were initially placed on the bottommost tier at 66 days of age. The results showed that after approximately 3 weeks of adaptation to dustbathing, the average daily proportion of dustbathing hens within the flock stabilized at approximately 10%. A 50 cm diameter circular dust bath could accommodate their dustbathing requirements. Increasing the number of circular dust baths to 2 did not significantly affect the daily proportion of dustbathing hens. Both the circular dust bath and a 5 cm depth substrate resulted in better expression of the hens’ side rubbing behavior and the lower frequency of tossing behavior. Full article
Show Figures

Figure 1

23 pages, 6340 KB  
Article
Design and Prototyping of a Robotic Structure for Poultry Farming
by Glauber da Rocha Balthazar, Robson Mateus Freitas Silveira and Iran José Oliveira da Silva
AgriEngineering 2025, 7(7), 233; https://doi.org/10.3390/agriengineering7070233 - 11 Jul 2025
Cited by 1 | Viewed by 3065
Abstract
The identification and prediction of losses, along with environmental and behavioral analyses and animal welfare monitoring, are key drivers for the use of technologies in poultry farming which help characterize the productive environment. Among these technologies, robotics emerges as a facilitator as it [...] Read more.
The identification and prediction of losses, along with environmental and behavioral analyses and animal welfare monitoring, are key drivers for the use of technologies in poultry farming which help characterize the productive environment. Among these technologies, robotics emerges as a facilitator as it provides space for the use of several computing tools for capture, analysis and prediction. This study presents the full methodology for building a robot (so called RobôFrango) to its application in poultry farming. The construction method was based on evolutionary prototyping that allowed knowing and testing each physical component (electronic and mechanical) for assembling the robotic structure. This approach made it possible to identify the most suitable components for the broiler production system. The results presented motors, wheels, chassis, batteries and sensors that proved to be the most adaptable to the adversities existing in poultry farms. Validation of the final constructed structure was carried out through practical execution of the robot, seeking to understand how each component behaved in a commercial broiler aviary. It was concluded that it was possible to identify the best electronic and physical equipment for building a robotic prototype to work in poultry farms, and that a final product was generated. Full article
(This article belongs to the Special Issue Precision Farming Technologies for Monitoring Livestock and Poultry)
Show Figures

Figure 1

21 pages, 8015 KB  
Article
Environmental Gradients and Hen Spatial Distribution in a Cage-Free Aviary System: Internet of Things-Based Real-Time Monitoring for Proactive Management
by Francesco Bordignon, Mattia Pravato, Angela Trocino, Gerolamo Xiccato, Francesco Marinello and Andrea Pezzuolo
Animals 2025, 15(9), 1225; https://doi.org/10.3390/ani15091225 - 26 Apr 2025
Cited by 2 | Viewed by 1142
Abstract
This study assessed environmental gradients at different heights in a multi-tiered aviary and their relationship with hen spatial distribution. Two pens of an experimental aviary housing 225 Novogen hens (Novogen S.A.S., Plédran, France) each were monitored when their hens were 32–52 weeks old [...] Read more.
This study assessed environmental gradients at different heights in a multi-tiered aviary and their relationship with hen spatial distribution. Two pens of an experimental aviary housing 225 Novogen hens (Novogen S.A.S., Plédran, France) each were monitored when their hens were 32–52 weeks old over three periods (January, March, and June). The environmental conditions (humidity, sound intensity, NH3, CO2, and particulate matter; PM: PM1, PM2.5, PM4, and PM10) were continuously recorded every 10 min, 24 h per day, at three heights (floor and middle and upper tiers) using an IoT-based system. Hen distribution was analysed using video recordings from 04:00 to 20:00, scanning 15 min for every 30 min of video. On the whole, the air quality was always consistent with the recommended values for laying hens. The middle tier, where nests were located, exhibited a higher humidity and CO2 and PM concentration compared to the upper tier and floor, suggesting reduced airflow. This result can be related to the reduced length of the experimental barn containing only one row of equipment, which likely affected air circulation and distribution compared to what happens in commercial barns with several rows and a length over 50 m. Hen distribution varied during the day, with hen presence on the floor being highest in the midday (58% of hens) and correlated with increased particulate matter (r = 0.57–0.60; p < 0.001) and NH3 concentrations (r = 0.33; p < 0.001). Hens occupied the upper tier more in June (34% vs. 24% in January; p < 0.001), correlating with lower humidity and PM levels. Understanding daily and seasonal changes in environmental gradients at different aviary tiers could help optimise ventilation schemes and air quality control and ensure hen welfare, health, and production throughout the laying cycle. Full article
(This article belongs to the Section Animal System and Management)
Show Figures

Graphical abstract

9 pages, 2697 KB  
Case Report
Do Laying Hens Form Stable Social Networks?—A Case Study
by Louise Hedlund, Dominic Wright and Per Jensen
Poultry 2025, 4(1), 7; https://doi.org/10.3390/poultry4010007 - 30 Jan 2025
Viewed by 2096
Abstract
A social network is a group of individuals forming a non-random social structure where the number of interactions systematically vary among individuals. The Red Junglefowl, the ancestor of all domesticated chickens, has been shown to form social structures within a larger group; however, [...] Read more.
A social network is a group of individuals forming a non-random social structure where the number of interactions systematically vary among individuals. The Red Junglefowl, the ancestor of all domesticated chickens, has been shown to form social structures within a larger group; however, how poultry in egg production are socially organised is poorly understood. Egg layers in groups of thousands of individuals are suggested to either, just as Red Junglefowl, form subgroups or to lose social affiliations and replace these with a system of social tolerance. In this case study, a stable group of 20 laying hens with known genetic relationships housed in an outdoor aviary were observed for 3 h per day, during 20 days, in order to determine the social structure in the group. Social affiliations and centralisation measurements were assessed by proximity. The results show that some individuals were consistently more centralised compared to others, which indicates a stable individual variation in sociality. Furthermore, no individual spent more than 10% of her total number of interactions with a particular individual, i.e., little consistency in social affiliations could be found. The results of this case study support the theory of a higher social tolerance rather than a consistent social organisation in domesticated egg layers. Full article
Show Figures

Figure 1

16 pages, 4111 KB  
Article
Parental Hacking—An Alternative Reintroduction Method for the White-Tailed Sea Eagle (Haliaeetus albicilla)
by Eva Meyrier, Jacques-Olivier Travers and Bernd-Ulrich Meyburg
Diversity 2025, 17(2), 89; https://doi.org/10.3390/d17020089 - 25 Jan 2025
Cited by 1 | Viewed by 2049
Abstract
In an age of rewilding and dramatic declines in biodiversity, we are developing a new way to reintroduce raptors: parental hacking. The principle behind it is similar to traditional hacking, where the birds are released without contact with adult conspecifics. In parental hacking, [...] Read more.
In an age of rewilding and dramatic declines in biodiversity, we are developing a new way to reintroduce raptors: parental hacking. The principle behind it is similar to traditional hacking, where the birds are released without contact with adult conspecifics. In parental hacking, our method, the parents feed their own offspring until the end of the post-fledgling dependency period. Our programme aims to reintroduce the white-tailed sea eagle (Haliaeetus albicilla) to the Upper Rhône Basin in France. It started in 2022 and will continue until 2030, with the release of 80 young eagles. We describe the method used in 2022, followed by the improvements made in 2023, and finally compare the two years. The young eagles were raised in aviaries at the reintroduction site by their captive-born parents in the Aigles du Léman Park (Haute-Savoie, France). In 2022, two young females and two young males were released as soon as they were able to fly at the age of three months, but they often ended up on the ground due to a lack of flying ability and attacks from wild black kites (Milvus migrans) defending their territory. Therefore, the young eagles were returned to their parents’ aviary before being released a second time at five months in August 2022. One month after release, one male was already 50 km from the reintroduction site, while the other three stayed close to the park. In 2023, five young females and five young males were released at five months. This came after four weeks in a large training aviary to learn how to fly, perch, and fish. The behaviour of the young eagles after release varied greatly between individuals. Overall, 4 out of 10 young eagles travelled long distances and did not return to the reintroduction site to feed within a month, while the other 6 chose to stay close (within 20 km) to the reintroduction site. Full article
(This article belongs to the Special Issue Conservation and Ecology of Raptors—2nd Edition)
Show Figures

Figure 1

11 pages, 881 KB  
Article
The Effect of Rearing and Adult Environment on HPA Axis Responsivity and Plumage Condition in Laying Hens
by Janicke Nordgreen, Lucille Dumontier, Tom V. Smulders, Judit Vas, Rupert Palme and Andrew M. Janczak
Animals 2024, 14(23), 3422; https://doi.org/10.3390/ani14233422 - 26 Nov 2024
Cited by 1 | Viewed by 1638
Abstract
The hypothalamic–pituitary–adrenal (HPA) axis responsivity is influenced by early life experience and also modified by the environment an individual experiences as an adult. Because laying hens are transferred from rearing to laying farms at 16–18 weeks of age, they are well suited to [...] Read more.
The hypothalamic–pituitary–adrenal (HPA) axis responsivity is influenced by early life experience and also modified by the environment an individual experiences as an adult. Because laying hens are transferred from rearing to laying farms at 16–18 weeks of age, they are well suited to study the interaction effect between early (rearing) and adult (laying) environments on physiology and behaviour. In the European Union, there is a move towards cage-free systems for laying hens, but globally, the majority of layers are kept in conventional or furnished cages. Conventional cages have no enrichment, whereas furnished cages have little enrichment. Both cage types limit the movement of birds and the expression of highly motivated behaviours. Lack of enrichment may lead to under-stimulated birds that are more sensitive to stress and fear-inducing challenges later in life. Fearfulness has been linked to feather pecking, which has negative consequences for animal welfare and productivity. Previous research has shown that birds reared in cages are more fearful and perform more poorly in a test of spatial cognition than birds reared in aviaries when tested within five weeks after transition to adult housing. However, recent results suggest that these effects might not be long-lasting. We, therefore, tested the effect of the early (rearing) (aviary vs. cage) and adult (laying) environments (standard vs. additionally enriched furnished cages) on the corticosterone response to restraint in birds that were 35 weeks into lay (i.e., 52 weeks of age) and assessed their plumage condition. We hypothesised that a lower level of enrichment, both during rearing and adulthood, would represent a lower level of stimulation, resulting in a stronger corticosterone response to restraint and poorer feather cover. Both stressed (restrained) and control birds increased their corticosterone levels from the first (baseline) to second sample (p < 0.01 for both), but the increase in the restrained group was significantly higher than in the control group (F1, 111 = 9.51; p = 0.003). There was no effect of the early environment, but birds housed in standard furnished cages as adults had overall higher corticosterone levels than birds housed in enriched furnished cages regardless of their early life environment (F1, 51 = 4.12; p = 0.048). Neither early nor adult housing influenced the feather score except for on the belly, where birds housed in enriched cages as adults had a poorer feather score, contrary to our prediction. In conclusion, no effect of the early environment on HPA axis responsivity to an acute stressor could be detected at 52 weeks of age, but adult enrichment had a favourable effect on overall corticosterone levels. Full article
(This article belongs to the Section Animal Welfare)
Show Figures

Figure 1

18 pages, 7239 KB  
Commentary
Considering What Animals “Need to Do” in Enclosure Design: Questions on Bird Flight and Aviaries
by Paul Rose, Marianne Freeman, Ian Hickey, Robert Kelly and Phillip Greenwell
Birds 2024, 5(3), 586-603; https://doi.org/10.3390/birds5030039 - 12 Sep 2024
Cited by 10 | Viewed by 6788
Abstract
Zoo enclosure design, and housing and husbandry protocols, will always be a compromise between what a species has evolved to do and what is possible to offer in a human-created environment. For some species, behaviours that are commonly performed in the wild may [...] Read more.
Zoo enclosure design, and housing and husbandry protocols, will always be a compromise between what a species has evolved to do and what is possible to offer in a human-created environment. For some species, behaviours that are commonly performed in the wild may be constrained by husbandry practices that are used for ease or aesthetics or are accepted conventions. As zoos place more emphasis on positive animal welfare states, zoo enclosures should be scrutinised to check that what is provided, in terms of useful space, appropriate replication of habitat features, and maximal potential for natural behaviour performance, is relevant to the species and individuals being housed. For some species, zoos need to grapple with tough questions where the answer may not seem immediately obvious to ensure they are continuously improving standards of care, opportunities for the performance of species-typical behaviours, and advancing the attainment of positive welfare states. Determining the importance of flight, for example, and what this behaviour adds to the quality of life of a zoo-housed bird, is an important question that needs addressing to truly advance aviculture and how we determine bird welfare. This paper provides questions that should be answered and poses measures of what flight means to a bird, to provide evidence for the development and evolution of zoo bird housing. If we can devise some way of asking the animals in our care what they need, we can more firmly support decisions made that surround enclosure design, and housing decisions. Ultimately, this means gathering evidence on whether birds like to fly (e.g., from birds in training or demonstration activities) by applying mixed methods approaches of behavioural analysis, data on wild ecology, qualitative behavioural assessment, and cognitive bias testing to develop a robust suite of tools to address avian welfare considerations. Avian welfare scientists should attempt to define what meaningful flight is (i.e., flight that truly suggests a bird is flying) in order to support guidelines on aviary dimensions, space allowance, and welfare outputs from birds in both flighted and flight-restricted populations, and to determine what is most appropriate for an individual species. Changing the term “best practice” husbandry guidelines to “better practice” husbandry guidelines would instil the importance of regular review and reassessment of housing and management suitability for a species to ensure such care regimes remain appropriate. With an increasingly welfare-savvy public visiting zoos, it is essential that we seek more evidence to support and justify how birds are kept and ultimately use such evidence to enact changes to practices that are shown to infringe on avian welfare. Full article
Show Figures

Figure 1

13 pages, 1557 KB  
Case Report
Outbreak of Chlamydia psittaci Infection in a Commercial Psittacine Breeding Aviary in Argentina
by María Belén Riccio, Jorge Pablo García, María Laura Chiapparrone, Juliana Cantón, Claudio Cacciato, Javier Anibal Origlia, María Estela Cadario, Santiago Sain Diab and Francisco Alejandro Uzal
Animals 2024, 14(13), 1959; https://doi.org/10.3390/ani14131959 - 2 Jul 2024
Cited by 3 | Viewed by 3281
Abstract
Chlamydiosis, caused by Chlamydia psittaci is a bacterial infection found in at least 465 species of birds worldwide. It is highly contagious among birds and can spread to humans. In birds, the disease can manifest itself in acute, subacute, and chronic forms with [...] Read more.
Chlamydiosis, caused by Chlamydia psittaci is a bacterial infection found in at least 465 species of birds worldwide. It is highly contagious among birds and can spread to humans. In birds, the disease can manifest itself in acute, subacute, and chronic forms with signs including anorexia, diarrhea, lethargy, weight loss, or, occasionally, mucopurulent or serous oculonasal discharge. This article describes an outbreak of chlamydiosis that occurred in a commercial psittacine breeding aviary in 2021 in Buenos Aires province, Argentina. In total, 16 juvenile blue-fronted parrots, more than 60 blue-fronted parrot chicks, and 2 adult macaws died during the outbreak. In all cases, clinical signs were weight loss, diarrhea, yellowish green excrement, and respiratory distress. The necropsy of four juvenile blue-fronted parrots, two blue-fronted parrot chicks, and two adult macaws revealed cachexia, hepatomegaly, splenomegaly, splenic petechial hemorrhages, ascites, pulmonary edema, and hydropericardium. Histologically, multifocal lymphoplasmacytic and heterophilic airsaculitis, multifocal lymphoplasmacytic and necrotizing hepatitis with intracytoplasmic elementary bodies, multifocal necro-heterophilic hepatitis, multifocal lymphoplasmacytic nephritis, and diffuse heterophilic pneumonia were found. A presumptive diagnosis was established based on gross and microscopic lesions, and it was confirmed using immunohistochemistry and polymerase chain reactions. The sequencing and phylogenetic analysis of the ompA gene revealed genotype A and B of Chlamydia psittaci. Full article
(This article belongs to the Special Issue Chlamydial Diseases in Animals)
Show Figures

Figure 1

15 pages, 2121 KB  
Article
Detection of Salmonella Reservoirs in Birds of Prey Hosted in an Italian Wildlife Centre: Molecular and Antimicrobial Resistance Characterisation
by Carlo Corradini, Andrea Francesco De Bene, Valeria Russini, Virginia Carfora, Patricia Alba, Gessica Cordaro, Matteo Senese, Giuliana Terracciano, Ilaria Fabbri, Alessandro Di Sirio, Fabiola Di Giamberardino, Pierpaolo Boria, Maria Laura De Marchis and Teresa Bossù
Microorganisms 2024, 12(6), 1169; https://doi.org/10.3390/microorganisms12061169 - 8 Jun 2024
Cited by 1 | Viewed by 3391
Abstract
In the European Union, salmonellosis is one of the most important zoonoses reported. Poultry meat and egg products are the most common food matrices associated with Salmonella presence. Moreover, wild and domestic animals could represent an important reservoir that could favour the direct [...] Read more.
In the European Union, salmonellosis is one of the most important zoonoses reported. Poultry meat and egg products are the most common food matrices associated with Salmonella presence. Moreover, wild and domestic animals could represent an important reservoir that could favour the direct and indirect transmission of pathogens to humans. Salmonella spp. can infect carnivorous or omnivorous wild birds that regularly ingest food and water exposed to faecal contamination. Birds kept in captivity can act as reservoirs of Salmonella spp. following ingestion of infected prey or feed. In this paper, we describe the isolation of different Salmonella serovars in several species of raptors hosted in aviaries in an Italian wildlife centre and in the raw chicken necks used as their feed but intended for human consumption. Characterisations of strains were carried out by integrating classical methods and whole genome sequencing analysis. The strains of S. bredeney isolated in poultry meat and birds belonged to the same cluster, with some of them being multidrug-resistant (MDR) and carrying the Col(pHAD28) plasmid-borne qnrB19 (fluoro)quinolone resistance gene, thus confirming the source of infection. Differently, the S. infantis found in feed and raptors were all MDR, carried a plasmid of emerging S. infantis (pESI)-like plasmid and belonged to different clusters, possibly suggesting a long-lasting infection or the presence of additional undetected sources. Due to the high risk of fuelling a reservoir of human pathogens, the control and treatment of feed for captive species are crucial. Full article
(This article belongs to the Special Issue Domestic Animals and Wildlife Zoonotic Microorganisms)
Show Figures

Figure 1

19 pages, 4592 KB  
Article
Mobile Robot + IoT: Project of Sustainable Technology for Sanitizing Broiler Poultry Litter
by Alan Kunz Cechinel, Carlos Eduardo Soares, Sergio Genilson Pfleger, Leonardo Luiz Gambalonga Alves De Oliveira, Ederson Américo de Andrade, Claudia Damo Bertoli, Carlos Roberto De Rolt, Edson Roberto De Pieri, Patricia Della Méa Plentz and Juha Röning
Sensors 2024, 24(10), 3049; https://doi.org/10.3390/s24103049 - 11 May 2024
Cited by 6 | Viewed by 3412
Abstract
The traditional aviary decontamination process involves farmers applying pesticides to the aviary’s ground. These agricultural defenses are easily dispersed in the air, making the farmers susceptible to chronic diseases related to recurrent exposure. Industry 5.0 raises new pillars of research and innovation in [...] Read more.
The traditional aviary decontamination process involves farmers applying pesticides to the aviary’s ground. These agricultural defenses are easily dispersed in the air, making the farmers susceptible to chronic diseases related to recurrent exposure. Industry 5.0 raises new pillars of research and innovation in transitioning to more sustainable, human-centric, and resilient companies. Based on these concepts, this paper presents a new aviary decontamination process that uses IoT and a robotic platform coupled with ozonizer (O3) and ultraviolet light (UVL). These clean technologies can successfully decontaminate poultry farms against pathogenic microorganisms, insects, and mites. Also, they can degrade toxic compounds used to control living organisms. This new decontamination process uses physicochemical information from the poultry litter through sensors installed in the environment, which allows accurate and safe disinfection. Different experimental tests were conducted to construct the system. First, tests related to measuring soil moisture, temperature, and pH were carried out, establishing the range of use and the confidence interval of the measurements. The robot’s navigation uses a back-and-forth motion that parallels the aviary’s longest side because it reduces the number of turns, reducing energy consumption. This task becomes more accessible because of the aviaries’ standardized geometry. Furthermore, the prototype was tested in a real aviary to confirm the innovation, safety, and effectiveness of the proposal. Tests have shown that the UV + ozone combination is sufficient to disinfect this environment. Full article
Show Figures

Figure 1

18 pages, 2326 KB  
Article
Validation of Fecal Glucocorticoid Metabolites as Non-Invasive Markers for Monitoring Stress in Common Buzzards (Buteo buteo)
by Lara-Luisa Grundei, Tanja E. Wolf, Florian Brandes, Karolin Schütte, Fritjof Freise, Ursula Siebert, Chadi Touma and Michael Pees
Animals 2024, 14(8), 1234; https://doi.org/10.3390/ani14081234 - 19 Apr 2024
Cited by 4 | Viewed by 2686
Abstract
For wild animals, being in captivity in wildlife centers can cause considerable stress. Therefore, it is necessary to establish and validate non-invasive tools to measure chronic stress during rehabilitation. Eight Common Buzzards which lived in permanent husbandry were placed individually into prepared aviaries [...] Read more.
For wild animals, being in captivity in wildlife centers can cause considerable stress. Therefore, it is necessary to establish and validate non-invasive tools to measure chronic stress during rehabilitation. Eight Common Buzzards which lived in permanent husbandry were placed individually into prepared aviaries and their feces were collected before, during and after a stress event for biological validation over a period of seven days. The extracted fecal glucocorticoid metabolites (fGCMs) were analyzed with three different enzyme immune assays (EIA) to find the most suitable one. Additionally, we aimed to investigate the stability of fGCM levels after defecation because further metabolization by bacterial enzymes can lead to changed results. The Cortisone-EIA performed best in males and females and showed that the stress event led to an fGCM increase of 629% (557% in females and 702% in males) in relation to basal values. We found no significant differences between the sexes, but observed significant differences between different times of day. FGCM concentration significantly changed after eight hours at room temperature. Our study successfully validated the non-invasive measurement of fGCM as a stress indicator in Common Buzzards and could therefore lay the foundation for future studies providing new insights for animal welfare research in Buzzards. Full article
(This article belongs to the Special Issue Behavioural Endocrinology: Applications for Wildlife Management)
Show Figures

Figure 1

12 pages, 1363 KB  
Communication
How Do Escape Distance Behavior of Broiler Chickens Change in Response to a Mobile Robot Moving at Two Different Speeds?
by Glauber da Rocha Balthazar, Robson Mateus Freitas Silveira and Iran José Oliveira da Silva
Animals 2024, 14(7), 1014; https://doi.org/10.3390/ani14071014 - 27 Mar 2024
Cited by 9 | Viewed by 1443
Abstract
In poultry farming, robots are considered by birds as intruder elements to their environment, because animals escape due to their movement. Their escape is measured using the escape distance (ED) technique. This study analyzes the behavior of animals in relation to their ED [...] Read more.
In poultry farming, robots are considered by birds as intruder elements to their environment, because animals escape due to their movement. Their escape is measured using the escape distance (ED) technique. This study analyzes the behavior of animals in relation to their ED through the use of a robot with two speeds: 12 rpm and 26 rpm. The objective is to understand whether the speeds cause variations in ED and their implications for animal stress. A broiler breeding cycle was analyzed (six weeks) through the introduction of the robot weekly. ED analyses were carried out on static images generated from footage of the robot running. The results indicate higher escape distance rates (p < 0.05) peaking midway through the production cycle, notably in the third week. Conversely, the final weeks saw the lowest ED, with the most significant reduction occurring in the last week. This pattern indicates a gradual escalation of ED up to the fourth week, followed by a subsequent decline. Despite RPM12 having shown low ED results, it did not show enough ED to move the animals away from their path of travel, causing bumps and collisions. RPM26 showed higher ED in all breeding phases, but showed ED with no bumps and collisions. Full article
(This article belongs to the Section Poultry)
Show Figures

Figure 1

19 pages, 2149 KB  
Article
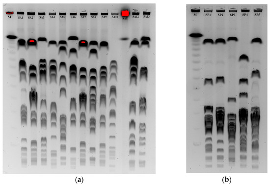
Pathogenic Potential of Coagulase-Positive Staphylococcus Strains Isolated from Aviary Capercaillies and Free-Living Birds in Southeastern Poland
by Magdalena Sulikowska, Agnieszka Marek, Łukasz Sebastian Jarosz, Ewelina Pyzik, Dagmara Stępień-Pyśniak and Tomasz Hauschild
Animals 2024, 14(2), 295; https://doi.org/10.3390/ani14020295 - 17 Jan 2024
Cited by 4 | Viewed by 3128
Abstract
The aim of the study was to determine the occurrence and characteristics of coagulase-positive Staphylococcus strains in the carcasses of wild birds and aviary capercaillies in Southeastern Poland. In total, samples taken from 333 birds were examined. The material consisted of swabs from [...] Read more.
The aim of the study was to determine the occurrence and characteristics of coagulase-positive Staphylococcus strains in the carcasses of wild birds and aviary capercaillies in Southeastern Poland. In total, samples taken from 333 birds were examined. The material consisted of swabs from the internal organs of dead birds (heart, liver, and spleen), the tarsal joints, and mucous membranes (conjunctiva and palatine fissure), as well as from unhatched embryos. The isolated Staphylococcus strains were tested for sensitivity to nine antimicrobial agents and the presence of selected virulence genes. An analysis of the similarity of isolates within species was performed using pulsed-field gel electrophoresis (PFGE). The result indicates that coagulase-positive strains accounted for 5.7% and belonged to the species: Staphylococcus aureus, Staphylococcus pseudintermedius, and Staphylococcus delphini. Among isolated strains, 15.8% were multidrug resistant. The most frequently detected virulence genes were hla in 58% of isolates and hlb and hld in 47.4% of isolates. The results of multiplex PCR showed the presence of genes responsible for the production of enterotoxins C, B, E, and J, in single isolates. It can be concluded that coagulase-positive Staphylococcus strains accounted for a small percentage of staphylococci isolated from free-living birds in the study area. The occurrence of multidrug-resistant coagulase-positive Staphylococcus strains in aviary capercaillies suggests that they play a role in the transmission and spread of resistant strains into the environment. Free-living birds may also be a reservoir of enterotoxigenic Staphylococcus strains. Full article
(This article belongs to the Section Birds)
Show Figures

Figure 1

Back to TopTop