Sign in to use this feature.

Years

Between: -

Subjects

remove_circle_outline
remove_circle_outline
remove_circle_outline
remove_circle_outline
remove_circle_outline

Journals

Article Types

Countries / Regions

Search Results (35)

Search Parameters:
Keywords = atrial wall thickness

Order results
Result details
Results per page
Select all
Export citation of selected articles as:
69 pages, 10529 KB  
Systematic Review
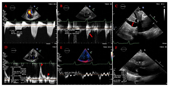
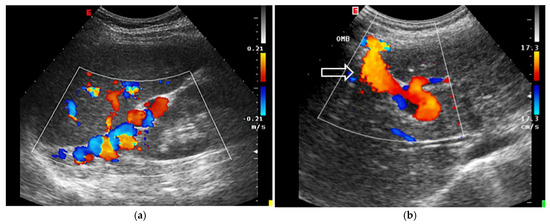
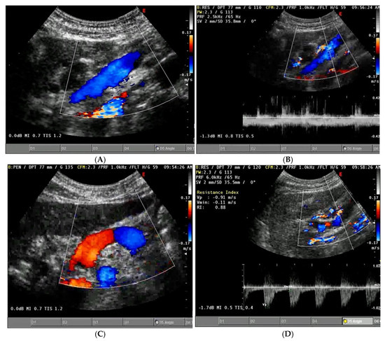
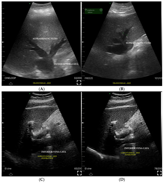
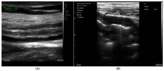
Assessing Venous Congestion in Acute and Chronic Heart Failure: A Review of Splanchnic, Cardiac and Pulmonary Ultrasound: Part 1: Conventional B-Mode, Colordoppler, and Vexus Protocol
by Francesco Giangregorio, Ester Centenara, Samanta Mazzocchi, Luigi Gerra, Francesco Tursi, Davide Imberti and Daniela Aschieri
J. Clin. Med. 2025, 14(22), 8147; https://doi.org/10.3390/jcm14228147 - 17 Nov 2025
Viewed by 1887
Abstract
Background/Objectives: Heart failure (HF) causes systemic and regional haemodynamic alterations that extend beyond the heart, profoundly affecting splanchnic circulation. Venous congestion is a hallmark of heart failure (HF) and a major determinant of clinical deterioration and multiorgan dysfunction. The splanchnic venous system—comprising [...] Read more.
Background/Objectives: Heart failure (HF) causes systemic and regional haemodynamic alterations that extend beyond the heart, profoundly affecting splanchnic circulation. Venous congestion is a hallmark of heart failure (HF) and a major determinant of clinical deterioration and multiorgan dysfunction. The splanchnic venous system—comprising the portal, hepatic, and renal veins—acts as a key reservoir for intravascular volume redistribution. Conventional ultrasound (US), using grayscale and Doppler imaging, offers a direct, non-invasive approach to visualize these haemodynamic changes. This review, Part 1 of a two-part series, summarizes the current evidence and clinical applications of conventional US for assessing splanchnic, cardiac and pulmonary vascular alterations in patients with HF. Methods: A systematic review was performed in PubMed, Embase, and the Cochrane Library up to current date, following PRISMA 2020 guidelines. Eligible studies included adult human investigations evaluating splanchnic vascular changes in HF using B-mode, color Doppler, or pulsed Doppler ultrasonography. Exclusion criteria were pediatric, animal, or non-English studies and non-standard imaging methods. Data on ultrasonographic parameters, haemodynamic correlations, and prognostic value were extracted and qualitatively synthesized; Results: A total of 148 eligible studies (n ≈ 7000 patients) demonstrated consistent associations between HF severity and alterations in splanchnic, cardiac and pulmonary flow. Findings included increased bowel wall thickness, portal vein dilation with elevated pulsatility, and monophasic or reversed hepatic vein waveforms, all correlating with higher right atrial pressure and adverse clinical outcomes. The integration of these parameters into the Venous Excess Ultrasound (VExUS) framework enhanced detection of systemic venous congestion, in addition to the study of the cardiac and pulmonary circulation. Conclusions: Conventional ultrasound assessment of splanchnic vasculature provides valuable, reproducible insight into systemic congestion in HF. Incorporating hepatic and portal Doppler indices into standard evaluation protocols may improve risk stratification, optimize decongestion therapy, and guide management. Further prospective randomized and outcome-driven studies are required before VExUS-based therapeutic thresholds can be universally recommended and define prognostic thresholds. Full article
(This article belongs to the Special Issue Multiparametric Ultrasound Techniques for Liver Disease Assessments)
Show Figures

Figure 1

14 pages, 364 KB  
Article
Integrating Cardiopulmonary Exercise Testing and Stress Echocardiography to Predict Clinical Outcomes in Hypertrophic Cardiomyopathy
by Geza Halasz, Paolo Ciacci, Raffaella Mistrulli, Guido Giacalone, Aurora Ferro, Giulio Francesco Romiti, Fiammetta Albi, Domenico Gabrielli and Federica Re
J. Clin. Med. 2025, 14(20), 7231; https://doi.org/10.3390/jcm14207231 - 14 Oct 2025
Viewed by 769
Abstract
Background: Hypertrophic cardiomyopathy (HCM) is a heterogeneous myocardial disease in which conventional prognostic models, primarily focused on sudden cardiac death, often fail to identify patients at risk of clinically relevant events such as heart failure progression or rehospitalization. Cardiopulmonary exercise testing (CPET) quantifies [...] Read more.
Background: Hypertrophic cardiomyopathy (HCM) is a heterogeneous myocardial disease in which conventional prognostic models, primarily focused on sudden cardiac death, often fail to identify patients at risk of clinically relevant events such as heart failure progression or rehospitalization. Cardiopulmonary exercise testing (CPET) quantifies functional capacity, while stress echocardiography (SE) provides mechanistic insights into exercise-induced hemodynamic changes. Their combined application (CPET–SE) may enhance risk stratification in patients with HCM. Methods: In this retrospective study, 388 patients with obstructive and non-obstructive HCM (mean age 48 ± 15 years, 63.1% male) underwent baseline CPET–SE between 2010 and 2022 and were followed for a median of 7.4 years [IQR 4.3–10.2]. Echocardiographic parameters were assessed at rest and peak exercise, and CPET indices included peak oxygen consumption (pVO2), ventilatory efficiency, and anaerobic threshold. The primary outcome was a composite of heart failure hospitalization or progression to end-stage HCM. Results: Over a median follow-up of 7.4 years, 63 patients (16.2%) experienced an event of the primary outcome. Patients who developed a primary outcome had greater left atrial diameter (45.0 vs. 41.0 mm, p < 0.001) and indexed volume at rest (36.4 vs. 29.0 mL/m2, p < 0.001), with further dilation during stress (p = 0.046); increased LV wall thickness (p = 0.001); higher average E/e′ at rest and during stress (p ≤ 0.004); and higher pulmonary artery systolic pressure at rest (p = 0.027) and during stress (p = 0.044). CPET findings included lower pVO2 (16.0 vs. 19.5 mL/kg/min, p = 0.001), reduced % predicted pVO2 (p = 0.006), earlier anaerobic threshold (p = 0.032), impaired ventilatory efficiency (p = 0.048), and chronotropic incompetence (p < 0.001) in patients who experienced a primary outcome. Multivariable analysis identified dyslipidemia (OR 2.58), higher E/e′ (OR 1.06), and lower pVO2 (OR 0.92) as independently associated with the primary outcome. Conclusions: CPET–SE provided a comprehensive evaluation of patients with HCM, associating aerobic capacity to its hemodynamic determinants. Reduced pVO2 showed the strongest association with adverse outcomes, while exercise-induced diastolic dysfunction and elevated pulmonary pressures identified a high-risk phenotype. Incorporating CPET–SE into longitudinal management of patients with HCM may enable earlier detection of physiological decompensation and guide personalized therapeutic strategies. Full article
(This article belongs to the Special Issue What’s New in Cardiomyopathies: Diagnosis, Treatment and Management)
Show Figures

Figure 1

16 pages, 2375 KB  
Article
Mass Spectrometry and 3D Modeling Indicate the SBK2 Kinase Phosphorylates Splicing Factor SRSF7 to Regulate Cardiac Development
by Mark Bouska, Eduardo Callegari, Daniela Paez and Xuejun Wang
Kinases Phosphatases 2025, 3(4), 20; https://doi.org/10.3390/kinasesphosphatases3040020 - 23 Sep 2025
Viewed by 872
Abstract
SH3 Domain Binding Kinase Family Member 2 (SBK2) is a critical kinase in atrial cardiomyocyte differentiation. However, its phospho-targets, its role in ventricle function, and its role in cardiac disease progression are unknown. Notably, SBK2 has been shown to be downregulated in the [...] Read more.
SH3 Domain Binding Kinase Family Member 2 (SBK2) is a critical kinase in atrial cardiomyocyte differentiation. However, its phospho-targets, its role in ventricle function, and its role in cardiac disease progression are unknown. Notably, SBK2 has been shown to be downregulated in the ventricular myocardium of several mouse models that recapitulate human desmin-related cardiomyopathies. To restore SBK2 expression, adenoviruses were constructed to promote cardiomyocyte-restricted SBK2 expression and injected at postnatal day 0. This significantly increased ejection fraction at 1 month of age relative to control hearts. However, in 3-month nontransgenic (NTG) and desmin-related cardiomyopathy hearts, the overexpression of SBK2 opposed increases in ejection fraction and left ventricular posterior wall thickness. These findings provide the first in vivo evidence that SBK2 plays a vital role in left ventricular function. To elucidate the molecular mechanism behind the physiological effects of SBK2 on the heart, we performed mass spectrometry combined with phospho-enrichment on ventricular tissue with and without SBK2 overexpression. We identified multiple phosphorylation sites on SBK2 and used AlphaFold3 to model how this phosphorylation likely affects SBK2’s role in phosphorylating the splicing factor SRSF7. We propose a novel mechanism by which SBK2 regulates splicing to promote cardiomyocyte development. Full article
Show Figures

Figure 1

15 pages, 4788 KB  
Article
Long-Term Follow-Up of Professional Soccer Players: The Analyses of Left and Right Heart Morphology and Function by Conventional, Three-Dimensional, and Deformation Analyses
by Joscha Kandels, Michael Metze, Stephan Stöbe, Lisa Do, Maximilian Nicolas Möbius-Winkler, Marios Antoniadis, Andreas Hagendorff and Robert Percy Marshall
Diagnostics 2025, 15(14), 1745; https://doi.org/10.3390/diagnostics15141745 - 9 Jul 2025
Cited by 1 | Viewed by 973
Abstract
Background: Transthoracic echocardiography (TTE) is the primary imaging modality to assess cardiac morphology and function. In athletes, distinguishing physiological adaptations from pathological changes is essential. This study aimed to evaluate long-term cardiac structural and functional changes in professional soccer players. Methods: This retrospective [...] Read more.
Background: Transthoracic echocardiography (TTE) is the primary imaging modality to assess cardiac morphology and function. In athletes, distinguishing physiological adaptations from pathological changes is essential. This study aimed to evaluate long-term cardiac structural and functional changes in professional soccer players. Methods: This retrospective study included 20 healthy male professional soccer players (mean age 21.2 ± 3.4 years) from the German first division, examined annually from 2016 to 2024 (mean follow-up 5.6 ± 2.0 years). TTE parameters associated with the “athlete’s heart” were assessed, including left ventricular end-diastolic diameter (LVEDD), interventricular septal thickness (IVSD), relative wall thickness (RWT), indexed LV mass (LVMi), and left atrial volume index (LAVi), along with 3D-derived LV and RV volumes. Advanced deformation imaging included global longitudinal strain (GLS), right ventricular strain (RVS), and left/right atrial reservoir strain (LASr and RASr, respectively). Baseline and final follow-up values were compared. Results: No significant changes were observed over time in conventional or advanced echocardiographic parameters (e.g., LVEDD: 54.5 ± 3.1 mm vs. 54.6 ± 3.9 mm; p = 0.868; GLS: −18.7% ± 2.2% vs. −18.4% ± 1.9%; p = 0.670). Ventricular volumes and strain values also remained stable throughout follow-up. Conclusions: Over a mean follow-up of more than five years, professional soccer players showed stable cardiac morphology and function without evidence of pathological remodeling. These findings support the concept that long-term high-level training in mixed-discipline sports leads to balanced, physiological cardiac adaptation. Full article
(This article belongs to the Special Issue Diagnostic Challenges in Sports Cardiology—2nd Edition)
Show Figures

Figure 1

11 pages, 427 KB  
Article
Temporal Patterns of Holter-Detected Arrhythmias in Hypertrophic Cardiomyopathy Patients Treated with Mavacamten
by Amro Badr, Kaitlin Roehl, Mustafa Suppah, Humam Abo Abdullah, Reza Arsanjani, Konstantinos C. Siontis, Jeffrey B. Geske, Steve R. Ommen, John R. Giudicessi and Said Alsidawi
Biomedicines 2025, 13(4), 1005; https://doi.org/10.3390/biomedicines13041005 - 21 Apr 2025
Cited by 3 | Viewed by 1475
Abstract
Background: Hypertrophic cardiomyopathy (HCM) is a genetic cardiomyopathy marked by increased left ventricular wall thickness, leading in some cases to left ventricular outflow tract (LVOT) obstruction, heart failure, and arrhythmias. Mavacamten, a selective allosteric inhibitor of cardiac myosin, has demonstrated benefits in improving [...] Read more.
Background: Hypertrophic cardiomyopathy (HCM) is a genetic cardiomyopathy marked by increased left ventricular wall thickness, leading in some cases to left ventricular outflow tract (LVOT) obstruction, heart failure, and arrhythmias. Mavacamten, a selective allosteric inhibitor of cardiac myosin, has demonstrated benefits in improving hemodynamics and reducing LVOT obstruction. However, its impact on arrhythmic burden remains unclear, with reports of early atrial fibrillation (AF) risk contrasting with long-term reductions in arrhythmias. This study assesses the temporal patterns of Holter-detected arrhythmias in HCM patients treated with mavacamten. Methods: This retrospective study included HCM patients from three Mayo Clinic sites. Baseline demographic, clinical, and echocardiographic data were collected. Holter monitoring was performed at baseline, short-term (<6 months), and long-term (>6 months) follow-up. Arrhythmic events, including premature atrial contractions (PACs), premature ventricular contractions (PVCs), and supraventricular tachycardia (SVT), were analyzed using standardized rates per 24 h. Statistical comparisons utilized the Wilcoxon signed-rank test. Results: Twenty-seven patients (56% female, median age 66 years) were included. PACs, PVCs, and SVT duration transiently but not significantly increased at short-term follow-up but returned to baseline at long-term follow-up. No sustained or high-risk ventricular arrhythmias were observed. Conclusions: Mavacamten is associated with transient arrhythmic fluctuations early in treatment, followed by stabilization. These findings support its long-term electrophysiological safety and underscore the need for early rhythm monitoring. Further research should explore its role in arrhythmic risk stratification in HCM patients. Full article
(This article belongs to the Special Issue Advanced Research in Hypertrophic Cardiomyopathy)
Show Figures

Figure 1

19 pages, 4660 KB  
Article
Correlation Between Voltage and Impedance Mapping in Patients with Atrial Fibrillation
by Antonio Taormina, Benedetta Grossi, Elisa Maria Ragaini, Giulio Falasconi, Diego Penela, Carlo Ceriotti, Luca Poggio, Paola Galimberti, Alessia Chiara Latini, Sebastiano Carli, Guido Del Monaco, Mauro Chiarito, Alessandro Sticchi, Filippo Giunti, Giulia Antonelli, Alberto Preda, Fabrizio Guarracini, Patrizio Mazzone and Gianluigi Condorelli
J. Clin. Med. 2025, 14(1), 130; https://doi.org/10.3390/jcm14010130 - 29 Dec 2024
Viewed by 1716
Abstract
Background. Pulmonary vein isolation (PVI) represents the cornerstone of paroxysmal (PAF) and persistent atrial fibrillation (PsAF) ablation. Impedance values provide insights on tissue conductive properties. Methods. Consecutive patients undergoing PAF and PsAF ablation were prospectively enrolled. All the patients underwent a preprocedural multidetector [...] Read more.
Background. Pulmonary vein isolation (PVI) represents the cornerstone of paroxysmal (PAF) and persistent atrial fibrillation (PsAF) ablation. Impedance values provide insights on tissue conductive properties. Methods. Consecutive patients undergoing PAF and PsAF ablation were prospectively enrolled. All the patients underwent a preprocedural multidetector computed tomography (MDCT) to evaluate left atrial wall thickness (LAWT). Electroanatomic maps were acquired with the ablation catheter, and impedance values (Ω) and voltage amplitude (mV) of bipolar electrograms were collected. Results. A total of 60 patients (40 with PAF and 20 with PsAF) were included in the study. In all PAF cases, no voltage value lower than 0.5 mV was found at LA mapping; the corresponding mean impedance value was 151.5 ± 5.4 Ω. In PsAF cases, voltage values inferior to 0.05 mV have been reported in 19/20 patients. PsAF patients showed a mean impedance value of 129.1 ± 3.8 Ω. The correlation analysis between bipolar voltage and impedance reported an rs value of 0.4166 (p < 0.001), showing a positive correlation between the two variables. On the contrary, no direct correlation was found between voltage and LAWT and between impedance and LAWT (rsv-t = 0.1838; rsi-t = 0.1133, respectively). Conclusions. This research study suggests a correlation between voltage amplitude and impedance values, so that impedance might be used for arrhythmogenic substrate characterization. Full article
(This article belongs to the Section Cardiology)
Show Figures

Figure 1

12 pages, 3748 KB  
Article
Late Enhancement Computed Tomography for Left Atrial Fibrosis Imaging: A Pilot “Proof-of-Concept” Study
by Pietro G. Lacaita, Christoph Beyer, Fabian Plank, Markus Stühlinger and Gudrun M. Feuchtner
Diagnostics 2024, 14(23), 2753; https://doi.org/10.3390/diagnostics14232753 - 6 Dec 2024
Cited by 2 | Viewed by 1507
Abstract
Background/Objective: Left atrial (LA) fibrosis imaging improves the guidance of LA catheter ablation. Cardiac computed tomography (CT) may be a reasonable alternative to CMR. The aim was to evaluate late enhancement (LE) fibrosis mapping by CT, and to correlate the results with [...] Read more.
Background/Objective: Left atrial (LA) fibrosis imaging improves the guidance of LA catheter ablation. Cardiac computed tomography (CT) may be a reasonable alternative to CMR. The aim was to evaluate late enhancement (LE) fibrosis mapping by CT, and to correlate the results with low-voltage areas on electroanatomical mapping (EAM). Methods: In patients with atrial fibrillation who underwent 128-slice dual-source CT angiography (CTA) prior to LA catheter ablation, an additional LE-CT scan was performed 7 min after CTA. (1) Left atrial wall thickness (LAWT) was measured at three sites along the LA ridge. (2) Late enhancement (LE) was quantified co-axially aligned to LAWT and compared with low-voltage areas (LVA) on EAM. Results: Of 137 patients (age: 59.8 years; 27.7% females), 108 were included. The prevalence of LE was higher in patients with LAWT > 2 mm compared with 1.5 mm, with 78 (91.7%) vs. 77 (80.2%) (p = 0.022). Of 78 patients with LE, 60 (77.1%) had focal, 13 (16.5%) had diffuse, and 5 (6.3%) had mixed LE patterns. The CT density of focal LE was not different from that of diffuse patterns (104.2 +/− 21 HU vs. 98.9 +/− 18 HU; p = 0.360). Increasing LAWT and LE-HU were weakly correlated (r = 0.229; p = 0.041). LA wall artifacts had higher CT density compared with LE (154.1 HU vs. 114.2 HU; p = 0.002). The effective radiation dose was 0.95 mSv (range, 0.52–1.2 mSv) for LE-CT. The agreement of LE-CT was 80% for LVA < 0.5 mV and 86.6% for LVA < 0.7 mV in a subset of 30 patients. Conclusions: Left atrial fibrosis mapping by LE-CT is feasible. Late enhancement was found more frequently in LAWTs of more than 2 mm, and LE was correlated with increasing LA remodeling and low-voltage areas. Full article
(This article belongs to the Special Issue Advancements in Cardiovascular CT Imaging)
Show Figures

Figure 1

21 pages, 4155 KB  
Article
Mitochondrial Dysfunction Plays a Relevant Role in Heart Toxicity Caused by MeHg
by Marcia Gracindo Silva, Camila Guerra Martinez, Joao Paulo Cavalcanti de Albuquerque, André Luiz Gouvêa, Monica Maria Freire, Leidiane Caroline Lauthartte, Julio Mignaco, Wanderley Rodrigues Bastos, Elisabete Cesar de Mattos, Antonio Galina and Eleonora Kurtenbach
Toxics 2024, 12(10), 712; https://doi.org/10.3390/toxics12100712 - 30 Sep 2024
Cited by 1 | Viewed by 2091
Abstract
The effects of methylmercury (MeHg) on exposed populations are a public health problem. In contrast to widely studied neurological damage, few cardiovascular changes have been described. Our group evaluated the cardiotoxicity of a cumulative dose of 70 mg.kg−1 fractioned over a 14-day [...] Read more.
The effects of methylmercury (MeHg) on exposed populations are a public health problem. In contrast to widely studied neurological damage, few cardiovascular changes have been described. Our group evaluated the cardiotoxicity of a cumulative dose of 70 mg.kg−1 fractioned over a 14-day exposure period in mice (MeHg70 group). The effects of MeHg on proteins relevant to cardiac mitochondrial function were also investigated. The results obtained showed a reduction in oxygen consumption in the two settings. In cardiac tissue samples in oxygraphy studies, this reduction was related to a lower efficiency of complexes II and V, which belong to the oxidative phosphorylation system. In vivo, mice in the MeHg70 group presented lower oxygen consumption and running tolerance, as shown by ergometric analyses. Cardiac stress was evident in the MeHg70 group, as indicated by a marked increase in the level of the mRNA encoding atrial natriuretic peptide. Electrocardiogram studies revealed a lower heart rate at rest in the animals from the MeHg70 group, as well as prolonged left ventricular depolarisation and repolarisation. Through echocardiographic analysis, reductions in the left ventricular ejection fraction and left ventricular wall thickness of approximately 10% and 20%, respectively, were detected. These results indicate that the oral intake of MeHg can decrease cardiac function and oxidative metabolism. This finding highlights the importance of monitoring MeHg levels in humans and animals in contaminated areas, as well as periodically carrying out cardiac function tests. Full article
(This article belongs to the Section Metals and Radioactive Substances)
Show Figures

Figure 1

16 pages, 4516 KB  
Article
Left Atrial Wall Thickness Estimated by Cardiac CT: Implications for Catheter Ablation of Atrial Fibrillation
by Pedro Silva Cunha, Sérgio Laranjo, Sofia Monteiro, Inês Grácio Almeida, Tiago Mendonça, Iládia Fontes, Rui Cruz Ferreira, Ana G. Almeida, Maxim Didenko and Mário Martins Oliveira
J. Clin. Med. 2024, 13(18), 5379; https://doi.org/10.3390/jcm13185379 - 11 Sep 2024
Cited by 8 | Viewed by 3204
Abstract
Atrial wall thickness (AWT) is a significant factor in understanding the pathological physiological substrate of atrial fibrillation, with a potentially substantial impact on the outcomes of catheter ablation procedures. Precise measurements of the AWT may provide valuable insights for categorising patients with AF [...] Read more.
Atrial wall thickness (AWT) is a significant factor in understanding the pathological physiological substrate of atrial fibrillation, with a potentially substantial impact on the outcomes of catheter ablation procedures. Precise measurements of the AWT may provide valuable insights for categorising patients with AF and planning targeted interventions. Objectives: The purpose of this study was to evaluate the characteristics of the left atrium (LA) using non-invasive multidetector computed tomography (MDCT) scans and subsequent three-dimensional (3D) image post-processing using novel software designed to calculate atrial thickness dimensions and mass. Methods: We retrospectively analysed 128 consecutive patients (33.6% females; mean age 55.6 ± 11.2 years) referred for AF ablation (37 with persistent AF and 91 with paroxysmal AF) who underwent preprocedural MDCT. The images were post-processed and analysed using the ADAS software (Galgo Medical), automatically calculating the LA volume and regional wall thickness. In addition, the software employed a regional semi-automatic LA parcellation feature that divided the atrial wall into 12 segments, generating atrial wall thickness (AWT) maps per segment for each patient. Results: This study demonstrated considerable variability in the average thickness of LA walls, with the anterior segments being the thickest across the cohort. Distinct sex-specific differences were observed, with males exhibiting greater anterior and septal wall thickness than females. No significant associations were identified between the average AWT and body mass index, LA volume, or sphericity. Survival analysis conducted over 24 months revealed a meaningful relationship between mean anterior wall thickness and recurrence-free survival, with increased thickness associated with a lower likelihood of AF-free survival. No such relationship was observed for the indexed LA volume. Conclusions: The variability in AWT and its association with recurrence-free survival following AF ablation suggest that AWT should be considered when stratifying patients for AF management and ablation strategies. These findings underscore the need for personalised treatment approaches and further research on the interplay of the structural properties of the left atrium as factors that can serve as important prognostic markers in AF treatment. Full article
(This article belongs to the Special Issue State of the Art: Catheter Ablation of Atrial Fibrillation)
Show Figures

Figure 1

22 pages, 5877 KB  
Review
Cardiovascular Aging and Risk Assessment: How Multimodality Imaging Can Help
by Maja Hrabak Paar, Miroslav Muršić, Jens Bremerich and Tobias Heye
Diagnostics 2024, 14(17), 1947; https://doi.org/10.3390/diagnostics14171947 - 3 Sep 2024
Cited by 2 | Viewed by 2822
Abstract
Aging affects the cardiovascular system, and this process may be accelerated in individuals with cardiovascular risk factors. The main vascular changes include arterial wall thickening, calcification, and stiffening, together with aortic dilatation and elongation. With aging, we can observe left ventricular hypertrophy with [...] Read more.
Aging affects the cardiovascular system, and this process may be accelerated in individuals with cardiovascular risk factors. The main vascular changes include arterial wall thickening, calcification, and stiffening, together with aortic dilatation and elongation. With aging, we can observe left ventricular hypertrophy with myocardial fibrosis and left atrial dilatation. These changes may lead to heart failure and atrial fibrillation. Using multimodality imaging, including ultrasound, computed tomography (CT), and magnetic resonance imaging, it is possible to detect these changes. Additionally, multimodality imaging, mainly via CT measurements of coronary artery calcium or ultrasound carotid intima-media thickness, enables advanced cardiovascular risk stratification and helps in decision-making about preventive strategies. The focus of this manuscript is to briefly review cardiovascular changes that occur with aging, as well as to describe how multimodality imaging may be used for the assessment of these changes and risk stratification of asymptomatic individuals. Full article
(This article belongs to the Special Issue New Trends and Advances in Cardiac Imaging)
Show Figures

Figure 1

12 pages, 1113 KB  
Article
A Novel Approach to Cardiac Magnetic Resonance Scar Characterization in Patients Affected by Cardiac Amyloidosis: A Pilot Study
by Michele Alfieri, Federico Guerra, Carla Lofiego, Marco Fogante, Giuseppe Ciliberti, Fabio Vagnarelli, Alessandro Barbarossa, Samuele Principi, Giulia Stronati, Giovanni Volpato, Paolo Compagnucci, Yari Valeri, Paolo Tofoni, Leonardo Brugiatelli, Irene Capodaglio, Paolo Esposto Pirani, Giulio Argalia, Nicolò Schicchi, Loredana Messano, Maurizio Centanni, Andrea Giovagnoni, Gian Piero Perna, Antonio Dello Russo and Michela Casellaadd Show full author list remove Hide full author list
Medicina 2024, 60(4), 613; https://doi.org/10.3390/medicina60040613 - 8 Apr 2024
Cited by 1 | Viewed by 2407
Abstract
Background and Objectives: Cardiac magnetic resonance (CMR) imaging has become an essential instrument in the study of cardiomyopathies; it has recently been integrated into the diagnostic workflow for cardiac amyloidosis (CA) with remarkable results. An additional emerging role is the stratification of [...] Read more.
Background and Objectives: Cardiac magnetic resonance (CMR) imaging has become an essential instrument in the study of cardiomyopathies; it has recently been integrated into the diagnostic workflow for cardiac amyloidosis (CA) with remarkable results. An additional emerging role is the stratification of the arrhythmogenic risk by scar analysis and the possibility of merging these data with electro-anatomical maps. This is made possible by using a software (ADAS 3D, Galgo Medical, Barcelona, Spain) able to provide 3D heart models by detecting fibrosis along the whole thickness of the myocardial walls. Little is known regarding the applications of this software in the wide spectrum of cardiomyopathies and the potential benefits have yet to be discovered. In this study, we tried to apply the ADAS 3D in the context of CA. Materials and Methods: This study was a retrospectively analysis of consecutive CMR imaging of patients affected by CA that were treated in our center (Marche University Hospital). Wherever possible, the data were processed with the ADAS 3D software and analyzed for a correlation between the morphometric parameters and follow-up events. The outcome was a composite of all-cause mortality, unplanned cardiovascular hospitalizations, sustained ventricular arrhythmias (VAs), permanent reduction in left ventricular ejection fraction, and pacemaker implantation. The secondary outcomes were the need for a pacemaker implantation and sustained VAs. Results: A total of 14 patients were deemed eligible for the software analysis: 8 patients with wild type transthyretin CA, 5 with light chain CA, and 1 with transthyretin hereditary CA. The vast majority of imaging features was not related to the composite outcome, but atrial wall thickening displayed a significant association with both the primary (p = 0.003) and the secondary outcome of pacemaker implantation (p = 0.003). The software was able to differentiate between core zones and border zones of scars, with the latter being the most extensively represented in all patients. Interestingly, in a huge percentage of CMR images, the software identified the highest degree of core zone fibrosis among the epicardial layers and, in those patients, we found a higher incidence of the primary outcome, without reaching statistical significance (p = 0.18). Channels were found in the scar zones in a substantial percentage of patients without a clear correlation with follow-up events. Conclusions: CMR imaging plays a pivotal role in cardiovascular diagnostics. Our analysis shows the feasibility and applicability of such instrument for all types of CA. We could not only differentiate between different layers of scars, but we were also able to identify the presence of fibrosis channels among the different scar zones. None of the data derived from the ADAS 3D software seemed to be related to cardiac events in the follow-up, but this might be imputable to the restricted number of patients enrolled in the study. Full article
(This article belongs to the Special Issue Application of Cardiac Imaging in Heart Disease)
Show Figures

Figure 1

10 pages, 904 KB  
Article
Unveiling the Heart of the Matter: Echocardiographic Insights into Diastolic Function and Left Ventricular and Atrial Changes in HIV Patients with Controlled Viremia
by Magdalena Jachymek, Małgorzata Peregud-Pogorzelska, Miłosz Parczewski, Aneta Dembowska, Łukasz Wójcik and Bogusz Aksak-Wąs
J. Clin. Med. 2024, 13(2), 463; https://doi.org/10.3390/jcm13020463 - 14 Jan 2024
Cited by 3 | Viewed by 1614
Abstract
Background: People living with human immunodeficiency virus (HIV) (PLWH) have increased risk of developing diastolic dysfunction (DD) and heart failure with preserved ejection fraction (EF). In this observational study, we evaluated DD and left ventricular hypertrophy (LVH) in PLWH receiving antiretroviral therapy (ART) [...] Read more.
Background: People living with human immunodeficiency virus (HIV) (PLWH) have increased risk of developing diastolic dysfunction (DD) and heart failure with preserved ejection fraction (EF). In this observational study, we evaluated DD and left ventricular hypertrophy (LVH) in PLWH receiving antiretroviral therapy (ART) with undetectable viremia. Methods: We conducted an observational study. All participants underwent transthoracic echocardiography to assess chamber size and systolic and diastolic function. Results: Most patients showed concentric remodeling without LVH. All patients had normal left ventricle systolic function (EF median 61.3%, interquartile range: 57.8–66.2). None fulfilled the DD criteria, while two patients (6%) had undetermined diastolic function. Twenty percent (n = 7) of patients had an enlarged left atrium (left atrium volume index [LAVI] > 34 cm3/m2). These patients had a significantly lower CD4+ count (771.53 ± 252.81 vs. 446.00 ± 219.02, p = 0.01) and higher relative wall thickness (0.50 ± 0.05 vs. 0.44 ± 0.06, p = 0.03). Patients without immune restoration above 500 cells/μL had significantly higher LAVI (33.92 ± 6.63 vs. 24.91 ± 7.03, p = 0.01). Conclusions: One-fifth of patients had left atrial enlargement associated with worse immune restoration during ART treatment. The mechanism of left atrial enlargement and its association with cardiovascular risk require further investigations. Full article
Show Figures

Figure 1

20 pages, 4473 KB  
Review
Myocardial Mechanics and Associated Valvular and Vascular Abnormalities in Left Ventricular Noncompaction Cardiomyopathy
by Attila Nemes
J. Clin. Med. 2024, 13(1), 78; https://doi.org/10.3390/jcm13010078 - 22 Dec 2023
Cited by 4 | Viewed by 2302
Abstract
Left ventricular (LV) non-compaction (LVNC) is a rare genetic cardiomyopathy due to abnormal intra-uterine arrest of compaction of the myocardial fibers during endomyocardial embryogenesis. Due to the partial or complete absence of LV compaction, the structure of the LV wall shows characteristic abnormalities, [...] Read more.
Left ventricular (LV) non-compaction (LVNC) is a rare genetic cardiomyopathy due to abnormal intra-uterine arrest of compaction of the myocardial fibers during endomyocardial embryogenesis. Due to the partial or complete absence of LV compaction, the structure of the LV wall shows characteristic abnormalities, including a thin compacted epicardium and a thick non-compacted endocardium with prominent trabeculations and deep intertrabecular recesses. LVNC is frequently associated with chronic heart failure, life-threatening ventricular arrhythmias, and systemic embolic events. According to recent findings, in the presence of LVNC, dysfunctional LV proved to be associated with left atrial volumetric and functional abnormalities and consequential dilated and functionally impaired mitral annulus, partly explaining the higher prevalence of regurgitation. Although the non-compaction process morphologically affects only the LV, signs of remodeling of the right heart were also detected. Moreover, dilation and stiffening of the aorta were present. The aim of the present detailed review was to summarize findings regarding changes in cardiac mechanics, valvular abnormalities, and vascular remodeling detected in patients with LVNC. Full article
(This article belongs to the Section Cardiology)
Show Figures

Figure 1

12 pages, 649 KB  
Article
Cardiac Magnetic Resonance in Patients with Suspected Tachycardia-Induced Cardiomyopathy: The Impact of Late Gadolinium Enhancement and Epicardial Fat Tissue
by Oleg Orlov, Aref Asfour, Dmitry Shchekochikhin, Zainab Magomedova, Alexandra Bogdanova, Anna Komarova, Maxim Podianov, Grigory Gromyko, Ekaterina Pershina, Alexey Nesterov, Alexandra Shilova, Natalya Ionina and Dennis Andreev
J. Pers. Med. 2023, 13(10), 1440; https://doi.org/10.3390/jpm13101440 - 27 Sep 2023
Cited by 3 | Viewed by 3081
Abstract
Tachycardia-induced cardiomyopathy (TIC) is a reversible subtype of dilated cardiomyopathy (DCM) resulting from sustained supraventricular or ventricular tachycardia and diagnosed by the normalization of left ventricular ejection fraction (LVEF) after stable sinus rhythm restoration. The aim of this study was to determine the [...] Read more.
Tachycardia-induced cardiomyopathy (TIC) is a reversible subtype of dilated cardiomyopathy (DCM) resulting from sustained supraventricular or ventricular tachycardia and diagnosed by the normalization of left ventricular ejection fraction (LVEF) after stable sinus rhythm restoration. The aim of this study was to determine the contribution of cardiac magnetic resonance (CMR) to the differential diagnosis of TIC and DCM with persistent atrial arrythmias in patients hospitalized for the first time with heart failure (HF) with reduced LVEF of nonischemic origin. A total of 29 patients (age: 58.2 ± 16.9 years; males: 65.5%; average EF: 37.0 ± 9.5%) with persistent atrial tachyarrhythmia and first decompensation of HF without known coronary artery diseases were included in this study. The patients successfully underwent cardioversion and were observed for 30 days. The study population was divided into groups of responders (TIC patients; N = 16), which implies achieving FF > 50% or its increase > 10% in 30 days of TIC, and non-responders (N = 13). The increase in left ventricle (LV) volumes measured using CMR was significantly higher in the non-responder group when compared with the responders (114.8 mL ± 25.1 vs. 68.1 mL ± 10.5, respectively, p < 0.05). Non-responders also demonstrated decreased interventricular septum thickness (9.1 ± 0.8 vs.11.5 ± 1.3, respectively, p < 0.05). Late gadolinium enhancement (LGE) was observed in 12 patients (41.4%). The prevalence of LGE was increased in the non-responder group (25.0% vs. 65.1%, respectively, p = 0.046). Notably, a septal mid-wall LGE pattern was found exclusively in the non-responders. Epicardial adipose tissue thickness was decreased in the non-responder group versus the TIC patients. Conclusion: Patients with TIC were found to have smaller atrial and ventricular dimensions in comparison to patients with DCM. In addition, LGE was more common in DCM patients. Full article
(This article belongs to the Section Methodology, Drug and Device Discovery)
Show Figures

Figure 1

14 pages, 1593 KB  
Review
Arrhythmic Risk Stratification among Patients with Hypertrophic Cardiomyopathy
by Francesco Santoro, Federica Mango, Adriana Mallardi, Damiano D’Alessandro, Grazia Casavecchia, Matteo Gravina, Michele Correale and Natale Daniele Brunetti
J. Clin. Med. 2023, 12(10), 3397; https://doi.org/10.3390/jcm12103397 - 10 May 2023
Cited by 15 | Viewed by 4379
Abstract
Hypertrophic cardiomyopathy (HCM) is a cardiac muscle disorder characterized by generally asymmetric abnormal hypertrophy of the left ventricle without abnormal loading conditions (such as hypertension or valvular heart disease) accounting for the left ventricular wall thickness or mass. The incidence of sudden cardiac [...] Read more.
Hypertrophic cardiomyopathy (HCM) is a cardiac muscle disorder characterized by generally asymmetric abnormal hypertrophy of the left ventricle without abnormal loading conditions (such as hypertension or valvular heart disease) accounting for the left ventricular wall thickness or mass. The incidence of sudden cardiac death (SCD) in HCM patients is about 1% yearly in adults, but it is far higher in adolescence. HCM is the most frequent cause of death in athletes in the Unites States of America. HCM is an autosomal-dominant genetic cardiomyopathy, and mutations in the genes encoding sarcomeric proteins are identified in 30–60% of cases. The presence of this genetic mutation carries more than 2-fold increased risk for all outcomes, including ventricular arrhythmias. Genetic and myocardial substrate, including fibrosis and intraventricular dispersion of conduction, ventricular hypertrophy and microvascular ischemia, increased myofilament calcium sensitivity and abnormal calcium handling, all play a role as arrhythmogenic determinants. Cardiac imaging studies provide important information for risk stratification. Transthoracic echocardiography can be helpful to evaluate left ventricular (LV) wall thickness, LV outflow-tract gradient and left atrial size. Additionally, cardiac magnetic resonance can evaluate the prevalence of late gadolinium enhancement, which when higher than 15% of LV mass is a prognostic maker of SCD. Age, family history of SCD, syncope and non-sustained ventricular tachycardia at Holter ECG have also been validated as independent prognostic markers of SCD. Arrhythmic risk stratification in HCM requires careful evaluation of several clinical aspects. Symptoms combined with electrocardiogram, cardiac imaging tools and genetic counselling are the modern cornerstone for proper risk stratification. Full article
Show Figures

Figure 1

Back to TopTop