Sign in to use this feature.

Years

Between: -

Subjects

remove_circle_outline
remove_circle_outline
remove_circle_outline
remove_circle_outline
remove_circle_outline
remove_circle_outline
remove_circle_outline
remove_circle_outline
remove_circle_outline

Journals

Article Types

Countries / Regions

remove_circle_outline
remove_circle_outline
remove_circle_outline
remove_circle_outline

Search Results (210)

Search Parameters:
Keywords = adenoiditis

Order results
Result details
Results per page
Select all
Export citation of selected articles as:
13 pages, 670 KB  
Article
Maxillary Arch Expansion and Adenotonsillectomy in Prepubertal Children Diagnosed with Paediatric Obstructive Sleep Apnoea: An Interventional Study
by Derek Mahony, Niroj Bhattarai and Peter Petocz
J. Clin. Med. 2026, 15(8), 2981; https://doi.org/10.3390/jcm15082981 (registering DOI) - 14 Apr 2026
Viewed by 136
Abstract
Background: In many children aged 7–9 years diagnosed with obstructive sleep apnoea (OSA) the decision of which treatment to perform still remains unclear. This is particularly relevant when the children have both a narrow maxilla and enlargement of tonsils and adenoids. Current guidelines [...] Read more.
Background: In many children aged 7–9 years diagnosed with obstructive sleep apnoea (OSA) the decision of which treatment to perform still remains unclear. This is particularly relevant when the children have both a narrow maxilla and enlargement of tonsils and adenoids. Current guidelines recommend adenotonsillectomy (TA) as first-line therapy, but residual OSA is common, prompting interest in adjunctive semi-rapid maxillary expansion (SRME). This study evaluated the effects of TA and SRME on the respiratory disturbance index (RDI) in prepubertal children with OSA, both individually and in combination, regardless of treatment sequence. Materials and Methods: In this retrospective cohort study, 80 children (aged 7–9 years) with polysomnography-confirmed obstructive sleep apnoea, narrow maxillary arches, and adenotonsillar enlargement underwent TA first followed by SRME (n = 39) or SRME first followed by TA (n = 41). Level 1 polysomnography was performed at baseline and 3 months after each intervention. Repeated-measures analyses investigated the RDI profiles of the two groups over time, in each case adjusting for relevant background variables. Results: Baseline mean RDI was 18.99 ± 1.66 events/hour. Adjusted for background variables (including, most importantly, BMI), the initial reduction was significantly greater after SRME than TA (adjusted mean difference 1.49 events/hour, p = 0.002), and this difference persisted until after both treatments were applied (adjusted mean difference 1.42, p = 0.007). Conclusions: Combined TA and SRME produced substantial RDI reductions compared to individual interventions in children with dual soft-tissue and skeletal OSA contributors, with treatment order (as well as BMI) significantly associated with different final outcomes. These findings support a flexible, multidisciplinary approach to optimise airway management and reduce residual disease. Full article
(This article belongs to the Special Issue Clinical Diagnosis and Management of Obstructive Sleep Apnea Syndrome)
Show Figures

Figure 1

18 pages, 1301 KB  
Article
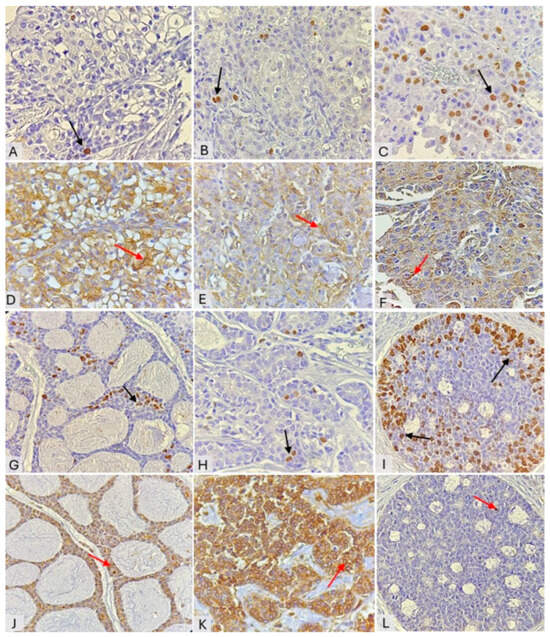
Role of Ki-67 and Annexin V in the Biological Behavior of Salivary Gland Tumors: Insights into Proliferation and Apoptosis
by Balkees Taha Garib and Dalya Ali Abdulla
Curr. Issues Mol. Biol. 2026, 48(4), 387; https://doi.org/10.3390/cimb48040387 - 10 Apr 2026
Viewed by 191
Abstract
Salivary gland tumors have diverse biological behaviors, and the exact molecular factors underlying their pathogenesis remain unclear. The expression of Annexin V and its potential association with Ki-67 in these tumors has not been explored. Therefore, this study aimed to evaluate the immunohistochemical [...] Read more.
Salivary gland tumors have diverse biological behaviors, and the exact molecular factors underlying their pathogenesis remain unclear. The expression of Annexin V and its potential association with Ki-67 in these tumors has not been explored. Therefore, this study aimed to evaluate the immunohistochemical expression of Ki-67 and Annexin V and to assess their relationship in salivary gland tumors. This study included 45 formalin-fixed, paraffin-embedded blocks (5 normal salivary gland tissues, 10 pleomorphic adenomas, 10 Warthin tumors, 10 mucoepidermoid carcinomas, and 10 adenoid cystic carcinomas). Immunohistochemical staining for Ki-67 and Annexin V was performed and evaluated semi-quantitatively. Depending on the results of the normality test, one-way ANOVA or the Kruskal-Wallis H test was used for group comparisons. Spearman’s rho test was used to assess correlations among the markers under study. A p-value < 0.05 was considered statistically significant. Both markers and their ratio showed statistically significant differences among the groups (p-value < 0.001). Normal salivary gland tissue and pleomorphic adenoma showed negative Ki-67 expression, whereas Warthin tumor, mucoepidermoid carcinoma, and adenoid cystic carcinoma showed weak proliferation indices. Annexin V expression was highest in the normal salivary gland tissue. Within individual tumor types, Ki-67 and Annexin V exhibited no significant correlation. The combined evaluation of Ki-67 and Annexin V expression, along with their relationship, may provide preliminary insights into the biological behavior of salivary gland tumors and warrant further clinicopathological investigation. Full article
(This article belongs to the Special Issue Molecular Mechanisms Driving Cancer Progression and Metastasis)
Show Figures

Graphical abstract

15 pages, 2649 KB  
Article
Pediatric Adenotonsillectomy over 20 Years in a High-Volume Italian Centre: Positive Outcomes with Low Complications—The Sassuolo Hospital Experience
by Gennaro Confuorto, Renato Baldi, Elisa Cigarini, Giorgio Di Lorenzo, Silvia Menabue, Federico Spagnolo, Margherita Trani, Massimo Zanni, Livio Presutti, Daniele Marchioni and Paolo Gambelli
Pediatr. Rep. 2026, 18(2), 45; https://doi.org/10.3390/pediatric18020045 - 23 Mar 2026
Viewed by 281
Abstract
Background: Pediatric adenotonsillectomy is commonly performed for infectious and obstructive indications, but postoperative hemorrhage remains a concern. This study describes outcomes from a high-volume territorial network in southern Modena province, Italy. Methods: Retrospective observational study of 10,753 pediatric patients (aged 3–18 years) undergoing [...] Read more.
Background: Pediatric adenotonsillectomy is commonly performed for infectious and obstructive indications, but postoperative hemorrhage remains a concern. This study describes outcomes from a high-volume territorial network in southern Modena province, Italy. Methods: Retrospective observational study of 10,753 pediatric patients (aged 3–18 years) undergoing adenotonsillectomy at Sassuolo Hospital and affiliates (Vignola, Pavullo) from 2005 to 2024. Indications included recurrent tonsillitis (Paradise criteria), obstructive sleep apnea (OSA) (polysomnography-confirmed or clinical), and recurrent otitis media or otitis media with effusion (OME). Surgical techniques included curettage adenoidectomy and Colorado microdissection needle tonsillectomy. Our institutional postoperative care protocol included analgesics, oral hydration, soft diet, antibiotics (amoxicillin) and scheduled follow-up; however, no analysis regarding this protocol was intended to demonstrate correlations with study outcomes. Primary outcomes were postoperative hemorrhage (overall and requiring revision), stratified by indication, age, and technique, and contextualized against ranges reported in large published cohorts (qualitative, exploratory comparison). Secondary outcomes included pain (VAS scores), infection rates, and tissue regrowth. Data completeness was verified via electronic records (95.6%). Statistical analyses used descriptive statistics with 95% confidence intervals (95% CI) and inferential tests for within-cohort comparisons (χ2 tests, Fisher’s exact test, and t-tests where appropriate). Results: A total of 10,753 procedures were analyzed (4325 tonsillectomies, 3942 adenotonsillectomies, 2486 adenoidectomies). Postoperative hemorrhage occurred in 202 patients (1.88%; 95% CI 1.64–2.15%); surgical revision was required in 75 (0.70%; 95% CI 0.56–0.87%), with multifactorial stratification showing higher risk for infectious indications (OR 1.41 vs. OSA), younger age < 5 years (OR 2.1), and tonsillectomy origin (OR 8.25 vs. adenoidectomy); all rates are at the lower end of literature ranges (2–5% and 0.9–2.5%, respectively), in line with large published cohorts, although these comparisons are qualitative and exploratory. Mean VAS pain scores decreased from 3.2 (day 1) to 1.1 (day 7). No significant infections occurred; tissue regrowth rates aligned with the literature (adenoidal 6–26%, tonsillar 5–10%). Conclusions: Sassuolo Hospital’s experience highlights favorable postoperative outcomes and low complication rates in adenotonsillar surgery. Limitations include the retrospective design, potential selection bias and long period evaluation. Prospective studies are needed to confirm these findings. Full article
Show Figures

Figure 1

17 pages, 821 KB  
Article
Inflammatory Endotypes of Chronic Adenoiditis and Their Impact on Persistent Middle Ear Dysfunction: A 2-Year Retrospective Translational Study Integrating Clustering and Machine Learning Approaches
by Diana Szekely, Flavia Zara, Raul Patrascu, Cristina Stefania Dumitru, Alina Cristina Barb, Dorin Novacescu, Alexia Manole, Dan Iovanescu and Gheorghe Iovanescu
Medicina 2026, 62(3), 537; https://doi.org/10.3390/medicina62030537 - 13 Mar 2026
Viewed by 350
Abstract
Background and Objectives: Chronic adenoiditis is a major contributor to persistent middle ear dysfunction (PMED) in children; however, clinical evolution varies considerably despite similar anatomical obstruction. This study aimed to identify inflammatory endotypes of chronic adenoiditis using unsupervised clustering and to evaluate [...] Read more.
Background and Objectives: Chronic adenoiditis is a major contributor to persistent middle ear dysfunction (PMED) in children; however, clinical evolution varies considerably despite similar anatomical obstruction. This study aimed to identify inflammatory endotypes of chronic adenoiditis using unsupervised clustering and to evaluate their association with PMED through mechanistic and predictive modeling. Materials and Methods: A retrospective cohort of 236 children (3–12 years) with chronic adenoiditis and otitis media with effusion was analyzed. Clinical, endoscopic, audiological, and hematologic inflammatory parameters (eosinophils, NLR, ELR, CRP, IgE) were included. K-means clustering identified inflammatory endotypes. Associations with PMED at six months were evaluated using multivariate logistic regression and mediation analysis. Predictive performance was compared using logistic regression, random forest, and gradient boosting models, with SHAP-based interpretability and decision curve analysis. Results: Three distinct endotypes were identified: eosinophilic (28%), neutrophilic (41%), and fibrotic–obstructive (31%). PMED occurred in 44% of the fibrotic endotype compared with 22% in the eosinophilic group (p < 0.001). In multivariate analysis, the fibrotic endotype independently predicted PMED (OR = 3.48, 95% CI 1.92–6.31), alongside PTA > 30 dB (OR = 2.91) and NLR > 3.5 (OR = 2.36). Mediation analysis showed that hearing impairment accounted for 34% of the effect of anatomical obstruction on persistence. Gradient boosting achieved superior discrimination (AUC = 0.90) and demonstrated the highest net clinical benefit. Conclusions: Chronic adenoiditis comprises biologically distinct inflammatory endotypes with differential risk of persistent middle ear dysfunction. Integrating inflammatory profiling with machine learning enhances mechanistic understanding and risk stratification, supporting precision-based management in pediatric otorhinolaryngology. Full article
(This article belongs to the Special Issue Update on Otorhinolaryngologic Diseases (3rd Edition))
Show Figures

Figure 1

15 pages, 1861 KB  
Article
The Clinical Role of the Adenoid Microbiome in the Development of Adenoid Hypertrophy and Otitis Media with Effusion
by Oļegs Sokolovs-Karijs, Monta Brīvība, Dita Gudrā, Rihards Saksis, Annija Alise Zodāne, Maija Rozenberga, Laura Bunka, Anna Frigotto, Jana Osīte, Aigars Reinis, Gunta Segliņa and Angelika Krūmiņa
J. Clin. Med. 2026, 15(6), 2187; https://doi.org/10.3390/jcm15062187 - 13 Mar 2026
Viewed by 294
Abstract
Background: The adenoid surface serves as a potential bacterial reservoir for upper respiratory tract pathologies, including Adenoid Hypertrophy (AH) and Otitis Media with Effusion (OME). While dysbiosis is implicated in the pathogenesis of these conditions, it remains unclear whether the microbiome of children [...] Read more.
Background: The adenoid surface serves as a potential bacterial reservoir for upper respiratory tract pathologies, including Adenoid Hypertrophy (AH) and Otitis Media with Effusion (OME). While dysbiosis is implicated in the pathogenesis of these conditions, it remains unclear whether the microbiome of children with otitis media differs significantly from those with simple hypertrophy when compared against a healthy baseline. This study aimed to characterize the adenoid microbiome in children with adenoid hypertrophy with and without middle ear effusion, contrasting them with a healthy control group. Methods: We conducted a cross-sectional case–control study involving 58 pediatric participants divided into three groups: adenoid hypertrophy, adenoid hypertrophy and otitis media with effusion and healthy controls. Nasopharyngeal swabs were collected, and bacterial community composition was analyzed using 16S rRNA gene V4 sequencing. Alpha and beta diversity metrics, taxonomic composition, and differential abundance were evaluated. Results: Alpha diversity was significantly reduced in both disease groups compared to healthy controls (p < 0.001), indicating a collapse of microbial richness and evenness. Beta diversity analysis revealed a distinct separation between healthy and diseased cohorts; however, the microbial profiles of the AH and AH with OME groups were nearly identical. Taxonomic analysis demonstrated that disease was characterized by the depletion of health-associated commensals, specifically Veillonella, Actinomyces, and Gemella, and a concomitant expansion of Fusobacterium, Haemophilus, and Streptococcus. Conclusions: Adenoid hypertrophy is associated with a profound dysbiotic shift characterized by the loss of protective commensal flora and the dominance of pathobionts. The lack of significant microbial differentiation between the AH and AH with OME groups suggests that the adenoid surface acts as a centralized reservoir of dysbiosis, the composition of which is conserved regardless of the presence of middle ear effusion. These findings highlight the importance of restoring the commensal microbiome in the management of chronic adenoid disease. Full article
(This article belongs to the Section Otolaryngology)
Show Figures

Figure 1

13 pages, 500 KB  
Article
Atopic Features and Inflammatory Markers Across Cassano-Graded Adenoid Hypertrophy
by Fatih Kaplan, Bilge Kurnaz Kaplan and Abdulgani Gülyüz
Children 2026, 13(3), 374; https://doi.org/10.3390/children13030374 - 6 Mar 2026
Viewed by 333
Abstract
Background: Evidence linking adenoid hypertrophy (AH) and atopy is conflicting. We examined whether Cassano-graded AH severity is more closely associated with inflammatory markers than with IgE-mediated sensitization. Methods: We retrospectively included children aged 3–12 years diagnosed with AH between December 2022 and December [...] Read more.
Background: Evidence linking adenoid hypertrophy (AH) and atopy is conflicting. We examined whether Cassano-graded AH severity is more closely associated with inflammatory markers than with IgE-mediated sensitization. Methods: We retrospectively included children aged 3–12 years diagnosed with AH between December 2022 and December 2025. AH was graded according to the Cassano classification and dichotomized as advanced AH (Stage III–IV). Atopic features were evaluated separately as clinical atopy, IgE-mediated sensitization, elevated total IgE, and eosinophilia. Multivariable logistic regression analyses were performed to assess factors associated with clinical atopy, sensitization, and advanced AH. Results: Among 426 children, clinical atopy was present in 28.2%, sensitization in 23.0%, elevated total IgE in 16.4%, and eosinophilia in 27.7%; 39.2% had advanced AH. In multivariable analysis, clinical atopy was independently associated with family history of atopy (aOR 13.9; 95% CI 7.9–24.4), elevated total IgE (aOR 3.86; 95% CI 2.10–7.08), and passive smoking exposure (aOR 1.73; 95% CI 1.07–2.79). Sensitization was independently associated only with family history of atopy (aOR 4.99; 95% CI 1.99–12.53). Advanced AH was independently associated only with eosinophilia (aOR 2.07; 95% CI 1.30–3.29). Conclusions: AH severity was associated with eosinophilia rather than classical IgE-mediated sensitization. Assessment of eosinophilia may aid routine severity evaluation in children with AH. Full article
(This article belongs to the Section Pediatric Allergy and Immunology)
Show Figures

Figure 1

21 pages, 4623 KB  
Review
Technical Options and Airway Management in Carinal Resections
by Peter Juhos, Miroslav Janík, Patrik Lauček, Jana Kudrnová, Róbert Baláž and Katarína Tarabová
Cancers 2026, 18(5), 844; https://doi.org/10.3390/cancers18050844 - 5 Mar 2026
Viewed by 387
Abstract
Background: Carinal resections remain a challenging and demanding surgical technique for both the patient and medical professionals. The most common indications are adenoid cystic carcinoma and bronchogenic carcinoma. There have been no randomized controlled trials because of the low incidence of pathologic [...] Read more.
Background: Carinal resections remain a challenging and demanding surgical technique for both the patient and medical professionals. The most common indications are adenoid cystic carcinoma and bronchogenic carcinoma. There have been no randomized controlled trials because of the low incidence of pathologic processes suited to carinal resections and the difficulties associated with designing such studies. Methods: The known data are limited to a few single-institutional, retrospective studies over the last several decades. In this review article, we focus on the available data regarding surgical techniques and the types of ventilation that can help in the construction of the anastomosis—the most crucial part of the operation. Important issues regarding carinal resections are discussed in detail. Results: The available literature is reviewed in detail regarding indications, surgical techniques and approaches, types of ventilation, the rates of morbidity and mortality, and 5-year survival. The authors present their experience with two patients, where they utilized ECMO and crossfield ventilation. The role of minimally invasive surgery in carinal resections is also discussed. Conclusions: Carinal resections are complex surgical procedures, but acceptable mortality and morbidity rates can be achieved in carefully selected patients. Excellent cooperation between the surgeon and anesthesiologist is essential in the construction of the anastomosis. Various types of airway management, especially ECMO, help to reduce complication rates and facilitate secure airway reconstruction. Full article
(This article belongs to the Special Issue Surgical Management of Non-Small Cell Lung Cancer)
Show Figures

Figure 1

16 pages, 976 KB  
Article
Persistent Long-Term Risk After Primary Surgery for Head and Neck Adenoid Cystic Carcinoma: Competing-Risk and Conditional Estimates
by Ivica Lukšić, Marko Tarle, Marina Raguž and Petar Suton
Cancers 2026, 18(5), 833; https://doi.org/10.3390/cancers18050833 - 4 Mar 2026
Viewed by 507
Abstract
Background/Objectives: Head and neck adenoid cystic carcinoma (HNAdCC) is characterized by indolent growth but sustained long-term risk of late recurrence and disease-related mortality. Data describing very long-term outcomes using analytic approaches that explicitly account for competing mortality remain limited. We aimed to [...] Read more.
Background/Objectives: Head and neck adenoid cystic carcinoma (HNAdCC) is characterized by indolent growth but sustained long-term risk of late recurrence and disease-related mortality. Data describing very long-term outcomes using analytic approaches that explicitly account for competing mortality remain limited. We aimed to characterize late failures, competing causes of death, and clinically interpretable long-horizon risk estimates after primary surgery for HNAdCC. Methods: We performed a retrospective single-center cohort study of patients with HNAdCC treated with curative-intent surgery between 1984 and 2020. Overall survival (OS) and cancer-specific survival (CSS) were estimated using Kaplan–Meier method. Competing risks of disease-related and other-cause death, as well as first-failure patterns, were analyzed using cumulative incidence functions, including a 5-year landmark analysis. Conditional mortality and restricted mean survival time (RMST; τ = 25 years) were additionally assessed. Results: Fifty-seven patients were included (median age 54 years). Median follow-up was 133 months overall and 212 months among survivors. A first failure occurred in 19/57 (33.3%) of patients, with distant metastasis as the most common pattern; 7/19 (36.8%) of failures occurred beyond 5 years. OS at 5, 10, and 25 years was 68.4%, 64.9%, and 37.5%, respectively; corresponding CSS was 78.9%, 74.8%, and 51.7%. At 25 years, cumulative incidence of disease-related death was 41.7%, compared with 20.9% for other-cause death. Older age and advanced T category were independently associated with worse OS, while older age and perineural invasion predicted worse CSS. Among 5-year survivors, conditional risk of disease-related death by 25 years remained 32.7%. RMST analyses demonstrated substantial long-term life-years lost associated with perineural invasion and T3–4 disease. Conclusions: HNAdCC exhibits persistent long-term risk with clinically meaningful late failures and substantial competing mortality over decades. Conditional and RMST-based estimates provide patient-centered measures that support lifelong, risk-adapted surveillance, particularly focused on detection of distant metastases. Full article
(This article belongs to the Special Issue Surgery for Head and Neck Cancer)
Show Figures

Figure 1

15 pages, 411 KB  
Article
Impact of Treatment Package Time on Survival in Patients with Head and Neck Adenoid Cystic Carcinoma
by Emile Gogineni, Ela Kini, Demond Handley, Yevgeniya Gokun, Sung Jun Ma, David J. Konieczkowski, Darrion L. Mitchell, Simeng Zhu, John C. Grecula, Sachin R. Jhawar, Marcelo Bonomi, Priyanka Bhateja, Kyle K. VanKoevering, Ricardo L. Carrau, James W. Rocco, Arnab Chakravarti, Dukagjin M. Blakaj, Matthew Old, Sujith Baliga and Rafi Kabarriti
Cancers 2026, 18(5), 816; https://doi.org/10.3390/cancers18050816 - 3 Mar 2026
Viewed by 519
Abstract
Background/Objectives: Treatment delays have been shown to be associated with overall survival (OS) in head and neck squamous cell carcinomas (HNSCCs). Given the slow tumor growth kinetics of adenoid cystic carcinoma (ACC), it is unclear if delays have a similar impact in this [...] Read more.
Background/Objectives: Treatment delays have been shown to be associated with overall survival (OS) in head and neck squamous cell carcinomas (HNSCCs). Given the slow tumor growth kinetics of adenoid cystic carcinoma (ACC), it is unclear if delays have a similar impact in this tumor histology. Methods: We queried the National Cancer Database for patients diagnosed with non-metastatic ACC between the years 2004 and 2019 and treated with surgery followed by RT. A multivariable Cox regression model was used to examine the associations between the time from diagnosis to surgery, the duration of RT, and OS. Results: A total of 1449 patients were included for analysis. Increased time from diagnosis to surgery (HR: 1.02, 95% CI: 1.01–1.03, p < 0.001) and duration of RT (HR: 1.14, 95% CI: 1.04–1.25, p = 0.004) were associated with worse survival on UVA, while time from surgery to RT start was not (p = 0.647). Increased duration of RT (aHR: 1.13, 95% CI: 1.03–1.24, p = 0.012) remained significantly associated with OS on multivariable analysis, while time from diagnosis to surgery (aHR: 1.00, 95% CI: 0.98–1.02, p = 0.979) did not. Conclusions: Delays in treatment initiation and in the interval from surgery to radiation did not result in clinically significant differences in survival in this analysis, while prolonged duration of radiation therapy was significantly associated with worse survival. These findings are hypothesis-generating and suggest that treatment delays for ACC may have different effects on oncologic outcomes than those for HNSCC; however, prospective data is paramount to verify these results before strong conclusions can be made. Full article
(This article belongs to the Special Issue Novel Therapeutic Strategies in Salivary Gland Tumor)
Show Figures

Figure 1

17 pages, 806 KB  
Article
Investigating the Radiomic Performance Gap Driven by Delineation Strategy: Radiotherapy Gross Tumor Volume vs. Dedicated Lesion Segmentation in Proton-Treated Adenoid Cystic Carcinoma
by Giulia Fontana, Sithin Thulasi Seetha, Lorena Levante, Maria Bonora, Cristina Fichera, Luca Trombetta, Barbara Vischioni, Vincenzo Dolcetti, Silvia Molinelli, Sara Imparato and Ester Orlandi
Technologies 2026, 14(3), 144; https://doi.org/10.3390/technologies14030144 - 28 Feb 2026
Viewed by 503
Abstract
This study investigates whether dedicated tumor segmentation for radiomics (TRAD) offers any advantage over gross tumor volume (GTV) in CT radiomics for predicting adenoid cystic carcinoma (ACC) progression after proton therapy (PT). Fifty-six patients with histologically proven salivary gland ACC were included, and [...] Read more.
This study investigates whether dedicated tumor segmentation for radiomics (TRAD) offers any advantage over gross tumor volume (GTV) in CT radiomics for predicting adenoid cystic carcinoma (ACC) progression after proton therapy (PT). Fifty-six patients with histologically proven salivary gland ACC were included, and 107 original features were extracted using PyRadiomics v3.1.0. Signatures were selected (n = 3) with sequential backward elimination using multiple classifiers, all optimized for improving cross-validated area under the ROC curve (AUC). Signature similarity was quantified using the Spearman correlation coefficient. Random forest (RF) yielded the best discriminative performance, with no statistical difference in AUCs between contour choices (GTV: 0.87 vs. TRAD: 0.80; ΔAUCmedian = 0.0, p = 0.589). Time-to-event analysis confirmed both signatures stratified patients into distinct progression-free survival risk groups (Log-rank p < 0.0001) and demonstrated robust prognostic accuracy (GTV: C-index = 0.74, HR = 11.63; TRAD: C-index = 0.72, HR = 7.01). Biologically, GTV and TRAD signatures were borderline associated with perineural spread (p = 0.056) and solid tumor patterns (p = 0.053), respectively. Overall, CT-based radiomics models performed comparably across both segmentation strategies, supporting GTV as a practical and efficient alternative to TRAD for predicting ACC progression after PT. Full article
Show Figures

Figure 1

17 pages, 3117 KB  
Article
Clinical Outcomes of Dual-Beam Particle Therapy in Head and Neck Adenoid Cystic Carcinoma
by Gertrud Schmich, Alwina Keil, Fatima Frosan Sheikhzadeh, Fabian Eberle, Daniel Habermehl, Thomas Held, Philipp Lishewski, Boris A. Stuck, Hilke Vorwerk, Klemens Zink, Sebastian Adeberg and Ahmed Gawish
Cancers 2026, 18(5), 753; https://doi.org/10.3390/cancers18050753 - 26 Feb 2026
Viewed by 530
Abstract
Background and Purpose: This study retrospectively evaluates the outcomes of head and neck adenoid cystic carcinomas (ACCs) treated with particle therapy, including carbon ion radiotherapy (CIRT) alone or combined with photon therapy, at a single institution. Methods and Materials: Patients with [...] Read more.
Background and Purpose: This study retrospectively evaluates the outcomes of head and neck adenoid cystic carcinomas (ACCs) treated with particle therapy, including carbon ion radiotherapy (CIRT) alone or combined with photon therapy, at a single institution. Methods and Materials: Patients with ACC who underwent CIRT alone or a combination of CIRT and photon therapy at the Marburg Ion Therapy Center between February 2017 and December 2023 were included. Radiation therapy was administered postoperatively in surgically resectable patients and as definitive treatment in unresectable patients. Newly diagnosed patients received CIRT as a boost in combination with photon intensity-modulated radiation therapy (IMRT), while those with recurrent disease received CIRT alone. Prognostic factors were analyzed using Kaplan–Meier analysis and proportional hazards regression for multiple regression. Late toxicities (grade 3 or higher) were recorded according to the National Cancer Institute Common Terminology Criteria for Adverse Events, version 4. Results: A total of 73 patients were included, with a median age of 57 years (range: 16–86 years) and a median follow-up of 20 months (range: 3–70 months). The cohort included 28 males (38%) and 45 females (62%). The median CIRT dose was 24 Gy (relative biological effectiveness (RBE)) (range: 15–60 Gy) in a median of 8 fractions (range: 5–20), and the median photon dose was 50 Gy (range: 45–54 Gy) in 25 fractions (range: 15–30). Locoregional recurrence-free survival rates at 1 and 3 years were 89.6% and 75.4%, respectively, while distant metastasis-free survival rates were 82.1% and 61.4%, respectively. LC was significantly influenced by T stage, with patients with T4 tumors showing worse outcomes. Treatment was generally well tolerated, with acute side effects including mucositis and skin erythema. Severe chronic toxicities were rare, with only 1% of patients experiencing grade 3 dysphagia and grade 3 xerostomia. Conclusions: CIRT, particularly when combined with photon therapy, demonstrates favorable local control and promising efficacy in head and neck ACC, though distant metastasis remains the primary pattern of failure. Tumor stage is a significant negative prognostic factor for local control and overall survival. Full article
(This article belongs to the Collection Particle Therapy: State-of-the-Art and Future Prospects)
Show Figures

Figure 1

22 pages, 12173 KB  
Article
A Comprehensive Adenoid Cystic Carcinoma-Derived Organoid Platform for Disease Modeling and Drug Screening Captures Interpatient Heterogeneity
by Yingyue Chai, Yi Sui, Xinyuan Zhang, Shang Xie, Yifan Kang, Yanrui Feng, Xiaofeng Shan and Zhigang Cai
Cells 2026, 15(4), 383; https://doi.org/10.3390/cells15040383 - 23 Feb 2026
Viewed by 727
Abstract
Salivary adenoid cystic carcinoma (ACC) is a highly aggressive salivary gland malignancy characterized by infiltrative growth patterns that hinder complete resection. Lacking effective chemotherapy, recurrent or metastatic ACC remains clinically incurable. This research aimed to develop an efficient culture system for ACC organoids, [...] Read more.
Salivary adenoid cystic carcinoma (ACC) is a highly aggressive salivary gland malignancy characterized by infiltrative growth patterns that hinder complete resection. Lacking effective chemotherapy, recurrent or metastatic ACC remains clinically incurable. This research aimed to develop an efficient culture system for ACC organoids, which can preserve tumor heterogeneity and establish a reliable drug screening platform. Under our optimized culture conditions, ACC organoids grew rapidly and successfully recapitulated three characteristic histopathological patterns. Whole-genome sequencing (WGS) further confirmed they mirrored the genomic features of their parental tumors, including significantly mutated genes, non-coding regulatory region mutations, copy number variation, and minor allele frequency. RNA sequencing confirmed that ACC organoids recapitulated the MYB-NFIB fusion gene. At the protein level, these organoids contained multiple cellular components, including epithelial cells, mesenchymal cells, K7+ duct cells, a-SMA+ myoepithelial cells, K5+ basement membrane cells, and CD44+ tumor stem cells, with proper spatial distribution patterns. With an 88% success rate, the first ACC organoid platform, incorporating normal salivary gland (SG) organoids as toxicity controls, enabled high-throughput drug testing within two weeks. In conclusion, we developed an efficient culture system for ACC organoids that can preserve tumor heterogeneity and establish a reliable drug screening platform for mechanistic studies and personalized precision therapy research. Full article
(This article belongs to the Section Stem Cells)
Show Figures

Graphical abstract

17 pages, 1140 KB  
Review
Role of Cone-Beam Computed Tomography (CBCT) in Obstructive Sleep Apnea (OSA): A Comprehensive Review
by Maudina Dwi Heriasti, Firdaus Hariri and Hui Wen Tay
Diagnostics 2026, 16(2), 298; https://doi.org/10.3390/diagnostics16020298 - 16 Jan 2026
Viewed by 949
Abstract
Obstructive sleep apnea (OSA) is characterized by recurrent partial or complete upper airway collapse during sleep. Accurate assessment of airway anatomy is crucial for risk stratification, diagnosis, and treatment planning. While polysomnography (PSG) is considered the gold standard for OSA diagnosis, it provides [...] Read more.
Obstructive sleep apnea (OSA) is characterized by recurrent partial or complete upper airway collapse during sleep. Accurate assessment of airway anatomy is crucial for risk stratification, diagnosis, and treatment planning. While polysomnography (PSG) is considered the gold standard for OSA diagnosis, it provides limited anatomical insights. Cone-beam computed tomography (CBCT) has emerged as a valuable tool with lower radiation dose for three-dimensional (3D) assessment of the upper airway space and craniofacial structures. CBCT enables precise measurement of critical airway parameters including total airway volume and length, minimum cross-sectional area, linear dimensions of anteroposterior and lateral diameters, as well as soft tissue structures such as tongue, tonsils, and adenoids. This review aims to explore and comprehensively review the role of CBCT, primarily in upper airway assessment for OSA, with an emphasis on airway measurement parameters, anatomical reference landmarks, and the variabilities, in addition to its clinical applications in treatment planning and simulation and post-treatment efficacy evaluation. This review also highlights the technical considerations such image acquisition protocols, machine specifications and software algorithm, and patient positioning, which may affect measurement reliability and diagnostic accuracy. CBCT serves as a powerful adjunct in OSA diagnosis and management, enabling comprehensive assessment of the airway space and hard and soft tissue structures. It complements PSG by guiding personalized interventions such as maxillomandibular advancement or CPAP optimization. Standardized imaging protocols and consideration of patient positioning can further improve its clinical utility. Full article
Show Figures

Figure 1

22 pages, 1045 KB  
Review
Biofilm Formation and Its Relationship with the Microbiome in Pediatric Otitis Media
by Ana Jotic, Ivana Cirkovic, Nevena Jovicic, Bojana Bukurov, Natalija Krca and Katarina Savic Vujovic
Microorganisms 2025, 13(12), 2760; https://doi.org/10.3390/microorganisms13122760 - 4 Dec 2025
Cited by 2 | Viewed by 986
Abstract
Otitis media is among the most common pediatric illnesses globally, constituting a leading cause of antimicrobial prescriptions, recurrent medical consultations, and preventable hearing loss in early childhood. Traditionally regarded as a sterile cavity intermittently invaded by pathogens, the middle ear is now recognized [...] Read more.
Otitis media is among the most common pediatric illnesses globally, constituting a leading cause of antimicrobial prescriptions, recurrent medical consultations, and preventable hearing loss in early childhood. Traditionally regarded as a sterile cavity intermittently invaded by pathogens, the middle ear is now recognized as a dynamic ecological niche influenced by anatomical immaturity of the Eustachian tube, host immune development, and the composition of resident microbial communities. Increasing evidence demonstrates that microbial dysbiosis and the establishment of biofilms are central to the persistence and recurrence of disease. This review synthesizes current knowledge of the pediatric middle ear microbiome, highlighting how commensal organisms contribute to mucosal resilience and colonization resistance, whereas pathogenic bacteria exploit ecological disruption to establish biofilm communities. Biofilm formation provides bacteria with enhanced survival through immune evasion, altered microenvironments, and antibiotic tolerance, thereby transforming acute otitis media into recurrent or chronic states. Furthermore, studies demonstrate how adenoids act as reservoirs of biofilm-forming organisms, seeding the middle ear and perpetuating infection. The emerging ecological perspective emphasizes the limitations of conventional antibiotic-centered management and directs attention toward innovative strategies, including microbiome-preserving interventions, probiotic or live biotherapeutic approaches, and antibiofilm agents. By defining pediatric otitis media as a disorder of disrupted host–microbe equilibrium, future research may pave the way for precision-based preventive and therapeutic strategies aimed at reducing the global burden of this pervasive disease. Full article
(This article belongs to the Special Issue The Microbial Pathogenesis)
Show Figures

Figure 1

27 pages, 4328 KB  
Review
Bartholin Gland Carcinoma: A State-of-the-Art Review of Epidemiology, Histopathology, Molecular Testing, and Clinical Management
by Stoyan Kostov, Yavor Kornovski, Vesela Ivanova, Dimitar Metodiev, Angel Yordanov, Stanislav Slavchev, Yonka Ivanova, Anke Seidel, Ingolf Juhasz-Böss, Ihsan Hasan, Ibrahim Alkatout and Rafał Watrowski
Cancers 2025, 17(23), 3819; https://doi.org/10.3390/cancers17233819 - 28 Nov 2025
Cited by 1 | Viewed by 2201
Abstract
Bartholin gland carcinoma (BGC) is a rare malignancy, comprising 3–7% of vulvar cancers and <1% of gynecologic tumors. Due to its low incidence, high-level evidence is lacking, and management is largely extrapolated from vulvar cancer guidelines. This comprehensive narrative review synthesizes current evidence [...] Read more.
Bartholin gland carcinoma (BGC) is a rare malignancy, comprising 3–7% of vulvar cancers and <1% of gynecologic tumors. Due to its low incidence, high-level evidence is lacking, and management is largely extrapolated from vulvar cancer guidelines. This comprehensive narrative review synthesizes current evidence on BGC, emphasizing histotype-specific features, diagnostic criteria, molecular profiling, and treatment strategies. The three most common subtypes are squamous cell carcinoma, adenoid cystic carcinoma (AdCC), and adenocarcinoma. HPV-associated tumors tend to occur in younger women and carry favorable prognoses. Accurate diagnosis requires exclusion of metastases and integration of clinical, imaging, and immunohistochemical data, including p16/HPV for squamous tumors, MYB/MYBL1 fusions for AdCC, and CK20/CDX2/SATB2 for intestinal-type adenocarcinoma. Approximately 50% of cases are diagnosed at an advanced stage due to misclassification as benign cysts or abscesses. Nodal metastasis occurs in >40% of cases, with histotype influencing prognosis. Adenocarcinoma and node-positive disease independently predict worse survival. Treatment hinges on complete surgical excision with 2–3 mm margins, bilateral groin evaluation, and histology-tailored adjuvant therapy. Emerging data support the use of immune checkpoint inhibitors in squamous BGC and targeted agents (e.g., mTOR/CDK4/6 inhibitors) in adenocarcinoma. We propose a practical molecular testing algorithm and highlight the urgent need for prospective, multinational collaboration to establish BGC-specific guidelines. Full article
(This article belongs to the Special Issue Gynecological Cancer: Prevention, Diagnosis, Prognosis and Treatment)
Show Figures

Figure 1

Back to TopTop