Sign in to use this feature.

Years

Between: -

Subjects

remove_circle_outline
remove_circle_outline
remove_circle_outline
remove_circle_outline
remove_circle_outline
remove_circle_outline
remove_circle_outline
remove_circle_outline
remove_circle_outline

Journals

remove_circle_outline
remove_circle_outline
remove_circle_outline
remove_circle_outline
remove_circle_outline
remove_circle_outline
remove_circle_outline
remove_circle_outline
remove_circle_outline
remove_circle_outline

Article Types

Countries / Regions

remove_circle_outline
remove_circle_outline
remove_circle_outline
remove_circle_outline

Search Results (669)

Search Parameters:
Keywords = active lectins

Order results
Result details
Results per page
Select all
Export citation of selected articles as:
14 pages, 1125 KB  
Article
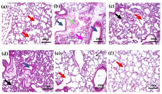
The Lectin from Schinus terebinthifolia Raddi Leaves (SteLL) Exhibited Anti-Inflammatory Activity in Lipopolysaccharide-Induced Acute Lung Injury in Mice
by Amanda de Oliveira Marinho, Maria Nívea Bezerra da Silva, Ana Karollina Viana Chagas, Alícia Natalie Silva dos Santos, Pedro Paulo Marcelino Neto, Patrícia Maria Guedes Paiva, Emmanuel Viana Pontual, Anderson Arnaldo da Silva, Leydianne Leite de Siqueira Patriota and Thiago Henrique Napoleão
Int. J. Mol. Sci. 2026, 27(8), 3394; https://doi.org/10.3390/ijms27083394 - 10 Apr 2026
Abstract
Acute lung injury (ALI) is a severe inflammatory condition associated with high morbidity and mortality, and there are currently no specific pharmacological treatments available. In this context, plants and natural products have emerged as promising therapeutic alternatives. SteLL (Schinus terebinthifolia Raddi leaf [...] Read more.
Acute lung injury (ALI) is a severe inflammatory condition associated with high morbidity and mortality, and there are currently no specific pharmacological treatments available. In this context, plants and natural products have emerged as promising therapeutic alternatives. SteLL (Schinus terebinthifolia Raddi leaf lectin) has demonstrated several biological activities, including anti-inflammatory and immunomodulatory effects. This study evaluated the anti-inflammatory effects of SteLL in a murine model of lipopolysaccharide (LPS)-induced ALI. Female BALB/c mice received intraperitoneal (i.p.) administration of SteLL (1, 5, or 10 mg/kg), dexamethasone (2 mg/kg), or vehicle (PBS). Sixty minutes later, ALI was induced by intranasal instillation of 25 µL of LPS (1 μg/μL). After 24 h, the animals were euthanized. Bronchoalveolar lavage fluid (BALF) was obtained to evaluate inflammatory parameters and lungs were collected for histopathological analysis. The tested doses of SteLL resulted in a 45–66% lower leukocyte infiltration. The group treated with 5 mg/kg exhibited a lower proportion of neutrophils and a higher proportion of mononucleated cells. Pre-treatment with SteLL also minimized plasma leakage and myeloperoxidase (MPO) activity. Furthermore, SteLL attenuated the release of pro-inflammatory cytokines at all tested doses as well as prevented nitric oxide (NO) production at the highest dose (10 mg/kg). Histopathological analysis showed that SteLL (5 and 10 mg/kg) attenuated LPS-induced lung injury. Overall, SteLL demonstrated significant anti-inflammatory effects, showing its potential as a plant-derived compound for modulating pulmonary inflammation. Full article
Show Figures

Figure 1

33 pages, 39696 KB  
Article
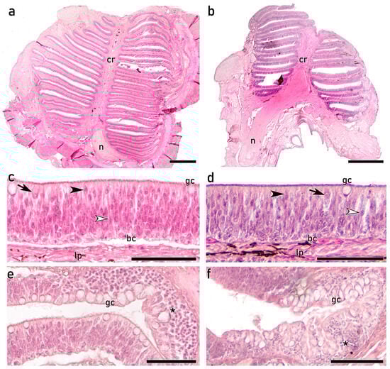
Integrated Histological, Ultrastructural, Lectin and Immunohistochemical Characterization of the Senegalese sole (Solea senegalensis) Olfactory Rosettes: From Premetamorphic Larvae to Adult Individuals
by Dorinda Torres-Sabino, Albina Román, Paulino Martínez and Pablo Sanchez-Quinteiro
Animals 2026, 16(8), 1144; https://doi.org/10.3390/ani16081144 - 9 Apr 2026
Abstract
The olfactory system plays a crucial role in mediating fish behaviour, including reproduction. Senegalese sole (Solea senegalensis) is an important aquaculture flatfish species in Europe, in which reproductive dysfunction in captive males has been linked to potential alterations in chemical communication. [...] Read more.
The olfactory system plays a crucial role in mediating fish behaviour, including reproduction. Senegalese sole (Solea senegalensis) is an important aquaculture flatfish species in Europe, in which reproductive dysfunction in captive males has been linked to potential alterations in chemical communication. Despite the expanded repertoire of olfactory receptor genes described for this species, detailed information on the cellular organization of its olfactory organs remains limited. This study provides a comprehensive histological, immunohistochemical, lectin-histochemical, and ultrastructural characterization of the olfactory rosettes of S. senegalensis across multiple life stages, including premetamorphic larvae, fry, juveniles and adults. Although the olfactory organs undergo substantial structural changes following metamorphosis, differentiated and functionally active olfactory sensory neurons (OSNs) are already present in premetamorphic larvae. Subsequently, two epithelial regions were distinguished along the olfactory lamellae: a sensory epithelium containing abundant OSNs and supporting cells, and a nonsensory epithelium dominated by goblet and other secretory cells. Ciliated and microvillous OSNs were distinguished from 60 dph onward based on morphological and ultrastructural features and supported by immunoreactivity with CR, CB, Gγ8 and PGP. Crypt cells showed immunolabelling with S100, NSE and CYK8. Furthermore, lectin histochemistry revealed ontogenetic changes in epithelial glycoconjugates, with early diffuse binding patterns evolving into stratified and region-specific distributions. Overall, these results demonstrate the structural and functional complexity of the olfactory epithelium in S. senegalensis, significantly enriching the limited available morphological and neurochemical information on the species. Full article
(This article belongs to the Section Aquatic Animals)
Show Figures

Figure 1

17 pages, 5327 KB  
Article
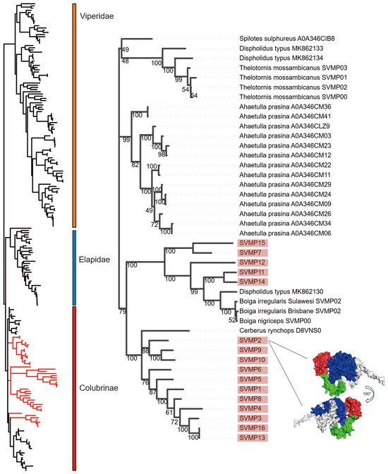
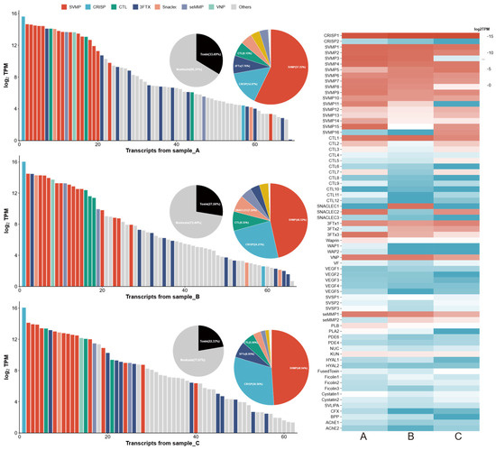
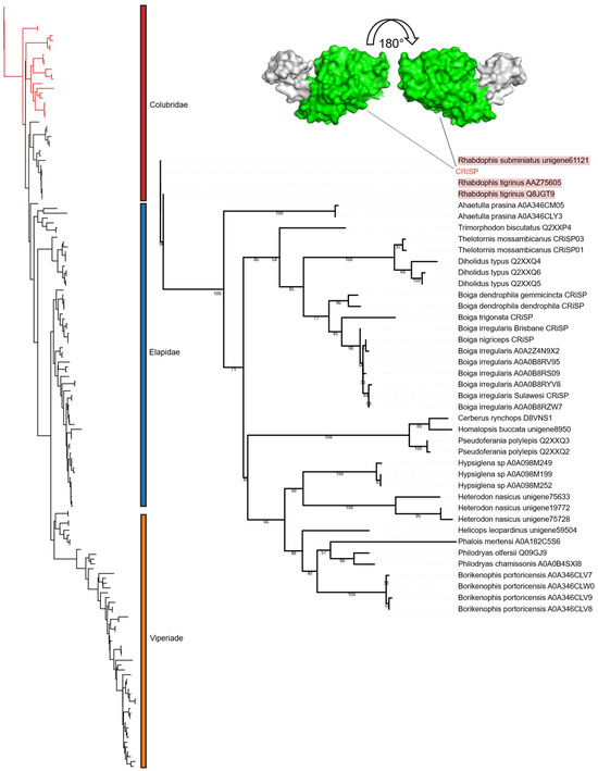
De Novo Assembly and Characterization of Venom Gland Transcriptome for Rhabdophis lateralis
by Jiahao Chen, Qin Liu, Songwen Tan, Peng Guo and Lianming Du
Toxins 2026, 18(4), 167; https://doi.org/10.3390/toxins18040167 - 30 Mar 2026
Viewed by 297
Abstract
Rhabdophis lateralis is a snake species within the family Natricidae, which is widely distributed across mainland China, Russia, and Korea. Although this species was once thought to be non-venomous, there are quite a few cases demonstrating its bite could be fatal. In this [...] Read more.
Rhabdophis lateralis is a snake species within the family Natricidae, which is widely distributed across mainland China, Russia, and Korea. Although this species was once thought to be non-venomous, there are quite a few cases demonstrating its bite could be fatal. In this study, we performed de novo assembly and analysis of the transcriptome data from the Duvernoy’s gland of R. lateralis, aiming to characterize its venom transcriptome and reveal the molecular basis of its toxicity. Among 6196 annotated transcripts, 77 were identified as potential toxin transcripts belonging to 26 toxin families. The most highly expressed toxin family was the SVMP family, accounting for 51.10% of the total toxin expression. The other notable toxins included cysteine-rich secretory proteins (CRISPs, 22.36%), c-type lectins (CTLs and snaclecs, 12.13%), and three-finger toxins (3Ftxs, 6.36%). Phylogenetic analyses indicated that SVMPs, CRISPs, and three-finger toxins (3FTxs) are evolutionarily conserved within Colubridae, whereas CTLs likely arose through convergent evolution. All identified SVMPs were classified as P-III type, with one sequence displaying a unique deletion distinct from conventional truncation patterns. The predominantly expressed CTLs are more likely to combine into dimers, exerting coagulation activity. This study provides an insight into the toxin gene expression in the Duvernoy’s gland of R. lateralis, which will benefit future research into the ecological and pharmacological significance of toxins in the genus Rhabdophis. Full article
Show Figures

Figure 1

15 pages, 646 KB  
Article
sCLEC-2 (Soluble C-Type Lectin-like Receptor 2) as a New Diagnostic Marker of Platelet Activation in Colorectal Cancer Patients—A Preliminary Study
by Violetta Dymicka-Piekarska, Mariusz Gryko, Anna Justyna Milewska, Blanka Wolszczak-Biedrzycka, Maja Aleksandra Oksentowicz, Elżbieta Motybel-Iwańczuk, Paweł Pawlak and Justyna Dorf
Diagnostics 2026, 16(7), 1004; https://doi.org/10.3390/diagnostics16071004 - 26 Mar 2026
Viewed by 287
Abstract
Background/Objectives: CLEC-2 (C-type lectin-like receptor 2), the newest discovered platelet receptor, is involved in platelet activation and aggregation, the inflammatory response, tumor growth, metastasis, and angiogenesis. These unique features make CLEC-2 a promising candidate for a new biomarker and therapeutic target. The [...] Read more.
Background/Objectives: CLEC-2 (C-type lectin-like receptor 2), the newest discovered platelet receptor, is involved in platelet activation and aggregation, the inflammatory response, tumor growth, metastasis, and angiogenesis. These unique features make CLEC-2 a promising candidate for a new biomarker and therapeutic target. The aim of our study was to evaluate the diagnostic value of CLEC-2 in patients with colorectal cancer (CRC). Methods: The serum CLEC-2 concentration was determined using ELISA methods in 64 CRC patients and 25 healthy subjects. Results: Our results indicate that the concentration of the serum CLEC-2 was significantly higher in CRC patients than in healthy subjects. Furthermore, the CLEC-2 levels were significantly higher in G3- than G2-grade CRC, and in patients with more advanced CRC, such as those with lymph node and distant metastases, than in patients without any metastases. CLEC-2 showed a positive correlation with platelet indices (PLT and MPV). The area under the ROC curve confirmed CLEC-2’s excellent diagnostic power in distinguishing between patients with CRC. Conclusions: Our results indicate that CLEC-2 may be associated with CRC development and suggest that the identification of this biomarker could be useful for determining CRC progression. Full article
(This article belongs to the Special Issue Predictive Biomarkers in Oncology)
Show Figures

Figure 1

12 pages, 4172 KB  
Article
Increased Type I Interferon Activity with Concurrent Plasmablast Expansion Identifies Systemic Lupus Erythematosus Patients with Poor Outcomes
by Konrad Speidel, Qingyu Cheng, Laleh Khodadadi, Benedikt Sinzinger, Jonas Martin, Anne E. Beenken, Robert Biesen, Gerhard Krönke, Falk Hiepe and Tobias Alexander
Int. J. Mol. Sci. 2026, 27(6), 2852; https://doi.org/10.3390/ijms27062852 - 21 Mar 2026
Viewed by 354
Abstract
Recent evidence suggests that type I interferon (IFN) activity has prognostic relevance in systemic lupus erythematosus (SLE). This study investigated whether combining IFN activity with elevated peripheral blood plasmablast (PB) levels—another key feature of lupus pathophysiology—improves risk stratification for poor clinical outcomes. Clinical [...] Read more.
Recent evidence suggests that type I interferon (IFN) activity has prognostic relevance in systemic lupus erythematosus (SLE). This study investigated whether combining IFN activity with elevated peripheral blood plasmablast (PB) levels—another key feature of lupus pathophysiology—improves risk stratification for poor clinical outcomes. Clinical data were prospectively collected at a single lupus center. Flow cytometry was performed on freshly isolated peripheral blood mononuclear cells to investigate Sialic acid-binding Immunoglobulin-like Lectin 1 (SIGLEC-1) as a surrogate marker of IFN activity, alongside CD19+CD20CD27highHLA-DR+ PB frequencies. A total of 1276 samples from 121 patients were analyzed. At baseline, 48.8% of patients exhibited high IFN activity, including 27.3% with concurrent elevation in IFN and PB activity and 21.5% with isolated IFN activity. Patients with simultaneous IFN and PB activity showed higher anti-dsDNA antibody levels, were less frequently in DORIS remission (24.2% vs. 50.0%) and required higher daily prednisolone dosages (6.3 vs. 2.0 mg) than those with isolated IFN activity. During a median follow-up of 4.5 years (range 0.8–6.6), these patients experienced more flares (132 vs. 54, OR 1.42), required longer to achieve remission (median 399 vs. 140 days), and had a higher median time-adjusted prednisolone dose (5.6 vs. 3.0 mg). Concurrent elevation in IFN and PB activity identifies SLE patients with a poorer prognosis compared to isolated IFN activity. These findings suggest that combined IFN and PB assessment may improve prognostic stratification and support personalized treatment strategies in SLE. Full article
(This article belongs to the Special Issue Flow Cytometry as a Tool for Diagnostics and Biomarker Research)
Show Figures

Figure 1

13 pages, 1814 KB  
Article
Characterization of Monomeric and Dimeric Forms of the Lectin TFF1 in the Human Vagina: Possible Role for the Innate Immune Defence
by Aikaterini Laskou, Sönke Harder, Eva B. Znalesniak, Hartmut Schlüter, Ines Künnemann, Svetlana N. Tchaikovski and Werner Hoffmann
Int. J. Mol. Sci. 2026, 27(6), 2754; https://doi.org/10.3390/ijms27062754 - 18 Mar 2026
Viewed by 336
Abstract
TFF1 is a secretory polypeptide that is typical of mucous epithelia belonging to the trefoil factor family (TFF) of lectins. Originally, TFF1 was discovered as an estrogen-responsive gene in breast cancer cell lines. However, its major physiological expression site is the stomach where [...] Read more.
TFF1 is a secretory polypeptide that is typical of mucous epithelia belonging to the trefoil factor family (TFF) of lectins. Originally, TFF1 was discovered as an estrogen-responsive gene in breast cancer cell lines. However, its major physiological expression site is the stomach where it exists mainly in a monomeric form, with minor amounts of homodimeric as well as heterodimeric forms, such as a high-molecular-mass complex with IgG Fc binding protein (FCGBP). For the first time, we characterized different low-molecular-mass forms of TFF1 in human post-menopausal vaginal specimens, i.e., monomeric and dimeric forms. Attempts to identify high-molecular-mass forms of TFF1, such as TFF1-FCGBP, failed. Based on its known anti-inflammatory effects, TFF1 could play an important role in the homeostasis of vaginal microbiota, which is normally predominated by Lactobacillus spp. Due to its lectin activity, TFF1 might also be capable of binding to members of the vaginal microbiota or to vaginal fungal pathogens. This points to a potential role for TFF1 in the vagina’s innate immune defence and could be of clinical relevance particularly after menopause, e.g., for the treatment of bacterial vaginosis or vulvovaginal candidiasis, as here vaginal dysbiosis is often observed as a consequence of estrogen deficiency. Full article
(This article belongs to the Section Biochemistry)
Show Figures

Figure 1

14 pages, 2261 KB  
Article
Identification and Functional Analysis of Potato Receptor Kinase RDA2 Proteins
by Xuefeng Fan, Yue Han, Xiaoyu Sun and Tongjun Sun
Plants 2026, 15(6), 906; https://doi.org/10.3390/plants15060906 - 14 Mar 2026
Viewed by 364
Abstract
Plants utilize cell surface pattern recognition receptors to recognize pathogen-associated molecular patterns (PAMPs) and activate pattern-triggered immunity (PTI) responses. Late blight, caused by the oomycete plant pathogen Phytophthora infestans, poses a major threat to global potato production. The oomycete PAMP, P. infestans [...] Read more.
Plants utilize cell surface pattern recognition receptors to recognize pathogen-associated molecular patterns (PAMPs) and activate pattern-triggered immunity (PTI) responses. Late blight, caused by the oomycete plant pathogen Phytophthora infestans, poses a major threat to global potato production. The oomycete PAMP, P. infestans cell wall ceramide D, triggers reactive oxygen species (ROS) production in potato and Arabidopsis. It is specifically recognized by the lectin receptor-like kinase RESISTANT TO DFPM-INHIBITION OF ABSCISIC ACID SIGNALING 2 (RDA2) in Arabidopsis. Treatment with P. infestans ceramide D enhances potato resistance against P. infestans. However, the function of RDA2 homologs in potato remains uncharacterized. Herein, potato RDA2 genes were identified through sequence alignment analysis. Their expression levels were subsequently measured in a potato inbred line infected with P. infestans. Notably, transient expression of StRDA2A, but not its kinase-dead mutant StRDA2AK543M, caused cell death and enhanced disease resistance in Nicotiana benthamiana. Additionally, two RXLR-type effector proteins significantly inhibited StRDA2A-induced cell death. The findings of this study suggest that potato receptor kinase RDA2 proteins confer disease resistance, which is attenuated by RXLR effectors secreted by P. infestans. Full article
Show Figures

Figure 1

22 pages, 2546 KB  
Article
Proteomic Profiling of Endometrial Cancer Tissues Reveals Differential Expression of Proteomes in Obese Versus Non-Obese Patients
by Khalid Akkour, Mohamed Rafiullah, Assim A. Alfadda, Ibrahim O. Alanazi, Afshan Masood, Salini Scaria Joy, Ahood A. Al-Eidan, Eman Alshehri, Ali Bassi, Hani Alhalal, Amal AlQarni, Rukhsana Gul and Hicham Benabdelkamel
Cells 2026, 15(6), 498; https://doi.org/10.3390/cells15060498 - 11 Mar 2026
Cited by 1 | Viewed by 438
Abstract
Endometrial cancer (EC) is the leading gynecological malignancy worldwide. Obesity is reported to be associated with 50% of EC cases. Significant gaps remain in investigating specific molecular mechanisms behind the obesity-driven EC. Women diagnosed with EC undergoing total hysterectomy were recruited. Patients were [...] Read more.
Endometrial cancer (EC) is the leading gynecological malignancy worldwide. Obesity is reported to be associated with 50% of EC cases. Significant gaps remain in investigating specific molecular mechanisms behind the obesity-driven EC. Women diagnosed with EC undergoing total hysterectomy were recruited. Patients were divided into two groups: EC-obese with BMI > 29.9 kg/m2 (n = 10) and EC-Non-obese with BMI ≤ 29.9 kg/m2 (n = 10). Tumor tissues were subjected to label-free quantitative proteomic analysis using liquid chromatography-tandem mass spectrometry (LC-MS/MS). Differentially expressed proteins were identified and subjected to pathway enrichment and network analyses to characterize obesity-associated alterations. Proteomic profiling showed a significant dysregulation of 456 proteins: 171 upregulated and 285 downregulated. Proteins involved in endoplasmic reticulum quality control particularly endoplasmic reticulum lectin 1 (ERLEC1), were reduced. Conversely, EC-obese demonstrated upregulation of hepatocyte growth factor (HGF), integrin-linked kinase (ILK), CTTNBP2 N-terminal-like protein (CTTNBP2NL), and lysyl oxidase homolog 1 (LOXL1), implicating activation of inflammatory pathways. Bioinformatic analysis showed downregulation of immune-related pathways, including neutrophil degranulation, complement activation in the EC-obese group. ROC analysis identified apolipoprotein(a), phospholipase B-like 1, CTTNBP2NL, and ILK as significant proteins that can differentiate between the obese and non-obese states. Our findings provide insights into obesity-associated proteomic changes in EC and highlight candidate proteins that can be used for molecular stratification after further validation. Full article
(This article belongs to the Special Issue Applications of Proteomics in Human Diseases and Treatments)
Show Figures

Figure 1

35 pages, 2001 KB  
Review
Marine Lectins in Innate Immune Modulation: Mechanistic Insights, Signaling Pathways, and a Cross-Taxa Evidence Landscape
by Chang-Eui Hong and Su-Yun Lyu
Mar. Drugs 2026, 24(3), 102; https://doi.org/10.3390/md24030102 - 6 Mar 2026
Viewed by 611
Abstract
Marine lectins function as pattern recognition receptors in innate immunity through carbohydrate-binding mechanisms. However, mechanistic evidence detailing intracellular signaling cascades (e.g., MAPK/NF-κB/JAK-STAT activation linked to defined cytokine outputs) remains taxonomically uneven. Bivalve mollusks—particularly the Mytilectin family—represent the most extensively characterized group, whereas lectins [...] Read more.
Marine lectins function as pattern recognition receptors in innate immunity through carbohydrate-binding mechanisms. However, mechanistic evidence detailing intracellular signaling cascades (e.g., MAPK/NF-κB/JAK-STAT activation linked to defined cytokine outputs) remains taxonomically uneven. Bivalve mollusks—particularly the Mytilectin family—represent the most extensively characterized group, whereas lectins from other marine phyla (echinoderms, cnidarians, fish, algae) have been studied primarily for structural and glycan-binding properties alongside phenotypic antimicrobial outcomes. Signaling-level resolution in native immune-cell contexts, while present in some cases, remains comparatively limited. This review synthesizes mechanistic insights dominated by bivalve-derived lectins, while integrating cross-taxa comparisons at evidence-supported levels. Specific bivalve lectins induce macrophage activation and pro-inflammatory cytokine production through reactive oxygen species-dependent activation of key signaling pathways including MAPK, NF-κB, and JAK-STAT cascades. These lectins exhibit context-dependent properties, promoting inflammatory responses in resting cells while inducing endotoxin tolerance in pre-activated macrophages through epigenetic reprogramming. Functional outcomes include broad-spectrum antiviral activity through viral envelope glycoprotein binding, anti-inflammatory effects in pain models, and cancer-associated immune responses through tumor glycan recognition and macrophage polarization. Critical gaps include uncharacterized effects on adaptive immunity, limited understanding of dendritic cell and natural killer cell interactions, and incomplete evaluation of cancer immunotherapy potential. Future research should prioritize mechanistic characterization of marine lectin-based immunotherapeutics. Full article
(This article belongs to the Section Marine Pharmacology)
Show Figures

Figure 1

16 pages, 1670 KB  
Review
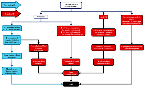
Membranous Nephropathy: Antigenic Landscape and a Novel Pathogenetic Model
by Irina Zdravkova, Eduard Tilkiyan, Desislava Bozhkova, Yovko Ronchev, Boris Kirilov, Teodor Kuskunov and Atanas Lambrev
Int. J. Mol. Sci. 2026, 27(5), 2423; https://doi.org/10.3390/ijms27052423 - 6 Mar 2026
Viewed by 491
Abstract
Membranous nephropathy is a disease that has been well documented, yet its etiopathogenesis has not been fully clarified and the distinction between its primary and secondary forms has not been completely categorized. The discovery of new antigens and antibodies reveals different percentages of [...] Read more.
Membranous nephropathy is a disease that has been well documented, yet its etiopathogenesis has not been fully clarified and the distinction between its primary and secondary forms has not been completely categorized. The discovery of new antigens and antibodies reveals different percentages of positivity in secondary membranous nephropathy, which is a cause of great confusion and ambiguity not only in diagnosis but also in the choice of a therapeutic approach. The aim of this review is to summarize the literature on newly discovered antigens and antibodies, and to propose a pathogenetic model based on the role of the complement system and its activation pathways. In this model, antigens are categorized based on the type of immunoglobulin deposits and the putative complement pathways that they activate, which can help to differentiate primary from secondary membranous nephropathy. The model also reflects how the deposition of foreign antigens in the basement membrane can activate both the lectin and classical complement pathways, which may explain why positive antibodies are observed in both primary and secondary forms of membranous nephropathy. Full article
(This article belongs to the Section Molecular Pathology, Diagnostics, and Therapeutics)
Show Figures

Figure 1

18 pages, 422 KB  
Article
Dietary Xylooligosaccharide Improves Growth, Immune Response, and Disease Tolerance of Olive Flounder (Paralichthys olivaceus)
by Samad Rahimnejad, Francisco A. Guardiola, María Ángeles Esteban and Sang-Min Lee
Animals 2026, 16(5), 820; https://doi.org/10.3390/ani16050820 - 6 Mar 2026
Viewed by 374
Abstract
The impacts of dietary xylooligosaccharide (XOS) were explored on growth, blood biochemistry, immune response, and resilience of olive flounder (Paralichthys olivaceus) against Edwardsiella tarda. Three replicate groups of fish (47.2 ± 0.41 g) were fed four diets incorporating various doses [...] Read more.
The impacts of dietary xylooligosaccharide (XOS) were explored on growth, blood biochemistry, immune response, and resilience of olive flounder (Paralichthys olivaceus) against Edwardsiella tarda. Three replicate groups of fish (47.2 ± 0.41 g) were fed four diets incorporating various doses of XOS [0% (control), 1%, 2%, and 3%] to apparent satiety for eight weeks. Dietary inclusion of XOS improved growth performance and increased hepatosomatic and viscerosomatic indices. Serum alanine aminotransferase activity decreased with XOS supplementation, indicating improved liver status. Key innate immune parameters, including serum lysozyme, antiprotease, and alternative complement (ACH50) activities, were enhanced in XOS-fed fish. Skin mucus protein content also increased, whereas serum myeloperoxidase and glutathione peroxidase activities, as well as skin mucus antiprotease and protease activities, remained unchanged. XOS supplementation modulated serum bacteriostatic activity against non-pathogenic Escherichia coli and altered skin mucus lectin-binding patterns. Validation of the enhanced immune competence was confirmed by the enhancement of fish survival rate after exposure to E. tarda. Overall, the results demonstrate that dietary XOS, particularly at 3% inclusion, is effective in enhancing innate immunity and disease tolerance in olive flounder. Full article
(This article belongs to the Section Animal Nutrition)
Show Figures

Figure 1

29 pages, 13700 KB  
Article
CSL305: A Dual Functional Therapeutic Antibody Targeting Complement C2 and FcRn
by Sandra Wymann, Rodrigo A. V. Morales, Wei Hong Toh, Jana Remlinger, Kirsten Guse, Rajesh Ghai, Sabine Pestel, Georgina Sansome, Chao-Guang Chen, Veronika Rayzman, Jenny Chia, Adam J. Quek, Michael A. Gorman, Partho Halder, Glenn Powers, Tanja Ruthsatz, Michael W. Parker, Tony Rowe, Sharon Vyas, Anne M. Verhagen and Matthew P. Hardyadd Show full author list remove Hide full author list
Int. J. Mol. Sci. 2026, 27(5), 2383; https://doi.org/10.3390/ijms27052383 - 4 Mar 2026
Viewed by 864
Abstract
Complement and pathogenic antibodies act independently and together to mediate the pathology of many autoimmune diseases. To address these drivers of disease, we generated a monoclonal antibody (mAb), CSL305, that binds and inhibits both complement and the neonatal Fc (fragment crystallizable) receptor FcRn. [...] Read more.
Complement and pathogenic antibodies act independently and together to mediate the pathology of many autoimmune diseases. To address these drivers of disease, we generated a monoclonal antibody (mAb), CSL305, that binds and inhibits both complement and the neonatal Fc (fragment crystallizable) receptor FcRn. The fragment antigen binding (Fab) portion of CSL305 was engineered to bind both human C2 (huC2) zymogen and the active fragment huC2b to inhibit the classical and lectin complement pathways in vitro, and C3b deposition on primary lung endothelial cells using a 3-dimensional microvascular model system. Engineering of a triple amino acid mutation (“YPY” motif) into the Fc region of CSL305 increased its affinity to FcRn at both acidic and neutral pH, allowing it to also act as a potent FcRn antagonist. Intracellular trafficking experiments demonstrated that CSL305, but not the wild-type (WT) mAb lacking the YPY motif, was able to block immunoglobulin G (IgG) recycling in vitro. The generation of a high resolution 2.6Å crystal structure of CSL305 Fab region bound to huC2b showed that the epitope lies directly over the huC2b catalytic triad, providing evidence of its complement mechanism of action as a neutralising mAb. Early pharmacokinetic (PK)/pharmacodynamic (PD) studies using CSL305 in cynomolgus monkeys demonstrated both complement inhibition and FcRn antagonism in vivo, with reductions in complement classical pathway activity and endogenous IgG observed following single intravenous (IV) administration. CSL305 thus represents a dual-functional mAb as a potential therapeutic candidate. Full article
(This article belongs to the Section Molecular Immunology)
Show Figures

Figure 1

46 pages, 1823 KB  
Review
Bioactive Compounds from Edible Mushrooms as Pharmaceutical Ingredients: A Comprehensive Review of the Developmental Pipeline
by Samuel Oluwasegun Adesida, Ridwan Abiola Oyetunji and Chibuisi Gideon Alimba
Processes 2026, 14(5), 795; https://doi.org/10.3390/pr14050795 - 28 Feb 2026
Viewed by 1061
Abstract
Edible mushrooms have long been valued as functional foods and traditional remedies, yet a significant developmental gap hinders their transition from nutraceuticals to standardized pharmaceutical ingredients. This narrative review provides a comprehensive and integrative analysis of edible mushroom-derived bioactive compounds as emerging candidates [...] Read more.
Edible mushrooms have long been valued as functional foods and traditional remedies, yet a significant developmental gap hinders their transition from nutraceuticals to standardized pharmaceutical ingredients. This narrative review provides a comprehensive and integrative analysis of edible mushroom-derived bioactive compounds as emerging candidates for pharmaceutical development. It examines major chemical classes, including polysaccharides (e.g., β-glucans), proteins (e.g., lectins, FIPs), triterpenoids (e.g., ganoderic acids), nucleosides (e.g., adenosine and cordycepin), and phenolic compounds, which underpin immunomodulatory, anticancer, antioxidant, anti-inflammatory, and metabolic activities. Beyond bioactivity, the review critically examines the downstream processing pipeline required for translation into pharmaceutical ingredients, encompassing controlled biomass production, pre-extraction processing, extraction technologies, isolation and purification strategies, and structural elucidation techniques. Key bottlenecks are identified, including bioavailability limitations of β-glucans (2–5%), lack of standardization, limited human clinical evidence, and regulatory constraints, explaining why robust preclinical evidence has not consistently translated into clinical success. Emerging solutions are also highlighted, including application of multi-omics tools, nano-encapsulation strategies, and synthetic biology approaches to improve scalability and reproducibility. By synthesizing research on natural product chemistry, biotechnology, and pharmacology, this study maps the journey of edible mushrooms from traditional dietary components to pharmaceutical-grade ingredients, providing a focused resource for researchers and industry stakeholders aiming to navigate mushroom-based drug development. Full article
Show Figures

Figure 1

18 pages, 2304 KB  
Article
Detection of Antinutritional Proteins in Hungarian Chickpea Varieties
by Krisztina Takács, Gábor Zsolt Nagy, András Nagy, Batoul Khalil, István Dalmadi and Livia Simon-Sarkadi
Processes 2026, 14(5), 793; https://doi.org/10.3390/pr14050793 - 28 Feb 2026
Viewed by 327
Abstract
Chickpea (Cicer arietinum L.) generally contains lower levels of these compounds than many other legumes, yet information on Hungarian chickpea cultivars is scarce. This study aimed to characterize protein-based antinutritional factors in twenty chickpeas grown under different agroclimatic conditions over three consecutive [...] Read more.
Chickpea (Cicer arietinum L.) generally contains lower levels of these compounds than many other legumes, yet information on Hungarian chickpea cultivars is scarce. This study aimed to characterize protein-based antinutritional factors in twenty chickpeas grown under different agroclimatic conditions over three consecutive years (15 samples from seven Hungarian cultivars from three cultivation areas, and five commercially available foreign genotypes). Protein profiles were examined by SDS-PAGE and native PAGE, while trypsin inhibitor activity (TIA) was quantified spectrophotometrically according to ISO 14902, and lectin activity was determined using a hemagglutination assay. SDS-PAGE revealed highly similar protein patterns among samples, indicating comparable overall protein composition. Native PAGE combined with activity staining confirmed the presence of Kunitz-type trypsin inhibitors, with multiple isoforms detected, but no Bowman–Birk-type inhibitor activity was observed. TIA values were low (0.49–4.07 mg inhibited trypsin/g), and lectin activities were generally low (1–2.5 HU/mg flour; only one sample reached 5 HU/mg) or undetectable. Neither cultivation area nor growing year had a significant effect on TIA or lectin activity, confirmed by statistical analyses. Overall, Hungarian chickpea varieties exhibited low and stable levels of antinutritional proteins, supporting their favorable nutritional quality and suitability for human consumption and expanded cultivation under Hungarian agroclimatic conditions. Full article
(This article belongs to the Section Food Process Engineering)
Show Figures

Figure 1

15 pages, 981 KB  
Article
CGL, a Lectin from Crenomytilus grayanus, Exhibits Antibiofilm and Synergistic Antibacterial Activity Against Escherichia coli and Staphylococcus aureus
by Irina V. Chikalovets, Tatyana O. Mizgina, Olga I. Nedashkovskaya, Linhe Su, Kuo-Feng Hua, Xiangqian Jia, Yanlong Zhang and Oleg V. Chernikov
Int. J. Mol. Sci. 2026, 27(4), 1961; https://doi.org/10.3390/ijms27041961 - 18 Feb 2026
Viewed by 448
Abstract
Lectins are carbohydrate-binding proteins that specifically bind to sugar groups associated with other molecules. Several studies have reported that these proteins can also modulate the activity of antibiotics against multidrug-resistant (MDR) strains in addition to interacting with carbohydrates. This study reports that gentamicin [...] Read more.
Lectins are carbohydrate-binding proteins that specifically bind to sugar groups associated with other molecules. Several studies have reported that these proteins can also modulate the activity of antibiotics against multidrug-resistant (MDR) strains in addition to interacting with carbohydrates. This study reports that gentamicin exhibits enhanced antibacterial activity against Escherichia coli (Gram-negative) and Staphylococcus aureus (Gram-positive) bacterial strains when complexed with Crenomytilus grayanus lectin (CGL). Enzyme-linked lectin, thermofluor, and isothermal titration calorimetry assays revealed that gentamicin interacts with CGL through a domain distinct from the carbohydrate recognition domain. An increase in antibacterial activity was observed when lectin and antibiotic were used together against S. aureus in living systems—specifically, sea urchin (Strongylocentrotus nudus) embryos. Full article
Show Figures

Figure 1

Back to TopTop