Sign in to use this feature.

Years

Between: -

Subjects

remove_circle_outline
remove_circle_outline
remove_circle_outline
remove_circle_outline
remove_circle_outline
remove_circle_outline
remove_circle_outline
remove_circle_outline
remove_circle_outline

Journals

Article Types

Countries / Regions

Search Results (72)

Search Parameters:
Keywords = active contours and surfaces

Order results
Result details
Results per page
Select all
Export citation of selected articles as:
10 pages, 2893 KB  
Technical Note
Cement-Augmented Screw Fixation for Unreconstructible Acetabular Posterior Wall Fractures: A Technical Note
by Jihyo Hwang, Ho won Lee, Yonghyun Yoon and King Hei Stanley Lam
Life 2025, 15(10), 1573; https://doi.org/10.3390/life15101573 - 9 Oct 2025
Viewed by 312
Abstract
The management of severely comminuted acetabular posterior wall fractures in young, active patients presents a significant surgical challenge. When anatomical open reduction and internal fixation (ORIF) is not feasible, primary total hip arthroplasty (THA) is often considered but is a suboptimal solution due [...] Read more.
The management of severely comminuted acetabular posterior wall fractures in young, active patients presents a significant surgical challenge. When anatomical open reduction and internal fixation (ORIF) is not feasible, primary total hip arthroplasty (THA) is often considered but is a suboptimal solution due to concerns over long-term implant survivorship and the inevitability of revision surgery. This single-patient technical note presents a novel joint-preserving technique for managing unreconstructible acetabular posterior wall fractures using with cement-augmented screw fixation via the Kocher–Langenbeck approach. A 28-year-old male sustained a left posterior hip dislocation with a comminuted acetabular posterior wall fracture involving >30% of the articular surface, alongside a tibial shaft fracture, following a high-energy motorcycle collision. Intraoperative assessment confirmed the posterior wall was unreconstructible, with six non-viable osteochondral fragments. A joint-preserving salvage procedure was performed. After debridement, a stable metallic framework was created using three screws anchored in the posterior column. Polymethylmethacrylate (PMMA) bone cement was then applied over this framework in its doughy phase, meticulously contoured to reconstruct the articular surface. The hip was reduced, and the tibia was fixed with an intramedullary nail. The patient was mobilized with weight-bearing as tolerated on postoperative day 3. At the 21-month follow-up, the patient reported no pain during daily activities and only mild discomfort during deep squatting. Radiographic and CT evaluations demonstrated a stable hip joint, concentric reduction, well-maintained joint space, and no evidence of implant loosening or osteolysis. Level of Evidence: V (Technical Note/single-patient Case report). For unreconstructible, comminuted fractures of the non-weight-bearing portion of the acetabular posterior wall in young patients, cement-augmented screw fixation offers a viable joint-preserving alternative to primary THA. This technique provides immediate stability, facilitates early mobilization, and preserves bone stock. While long-term outcomes require further study, this case demonstrates excellent functional and radiographic results at 21 months, presenting a promising new option for managing these complex injuries. Full article
(This article belongs to the Special Issue Advanced Strategies in Fracture Treatments)
Show Figures

Figure 1

26 pages, 16624 KB  
Article
Design and Evaluation of an Automated Ultraviolet-C Irradiation System for Maize Seed Disinfection and Monitoring
by Mario Rojas, Claudia Hernández-Aguilar, Juana Isabel Méndez, David Balderas-Silva, Arturo Domínguez-Pacheco and Pedro Ponce
Sensors 2025, 25(19), 6070; https://doi.org/10.3390/s25196070 - 2 Oct 2025
Viewed by 396
Abstract
This study presents the development and evaluation of an automated ultraviolet-C irradiation system for maize seed treatment, emphasizing disinfection performance, environmental control, and vision-based monitoring. The system features dual 8-watt ultraviolet-C lamps, sensors for temperature and humidity, and an air extraction unit to [...] Read more.
This study presents the development and evaluation of an automated ultraviolet-C irradiation system for maize seed treatment, emphasizing disinfection performance, environmental control, and vision-based monitoring. The system features dual 8-watt ultraviolet-C lamps, sensors for temperature and humidity, and an air extraction unit to regulate the microclimate of the chamber. Without air extraction, radiation stabilized within one minute, with internal temperatures increasing by 5.1 °C and humidity decreasing by 13.26% over 10 min. When activated, the extractor reduced heat build-up by 1.4 °C, minimized humidity fluctuations (4.6%), and removed odors, although it also attenuated the intensity of ultraviolet-C by up to 19.59%. A 10 min ultraviolet-C treatment significantly reduced the fungal infestation in maize seeds by 23.5–26.25% under both extraction conditions. Thermal imaging confirmed localized heating on seed surfaces, which stressed the importance of temperature regulation during exposure. Notable color changes (ΔE>2.3) in treated seeds suggested radiation-induced pigment degradation. Ultraviolet-C intensity mapping revealed spatial non-uniformity, with measurements limited to a central axis, indicating the need for comprehensive spatial analysis. The integrated computer vision system successfully detected seed contours and color changes under high-contrast conditions, but underperformed under low-light or uneven illumination. These limitations highlight the need for improved image processing and consistent lighting to ensure accurate monitoring. Overall, the chamber shows strong potential as a non-chemical seed disinfection tool. Future research will focus on improving radiation uniformity, assessing effects on germination and plant growth, and advancing system calibration, safety mechanisms, and remote control capabilities. Full article
(This article belongs to the Section Smart Agriculture)
Show Figures

Graphical abstract

22 pages, 2450 KB  
Article
Insights for the Impacts of Inclined Magnetohydrodynamics, Multiple Slips, and the Weissenberg Number on Micro-Motile Organism Flow: Carreau Hybrid Nanofluid Model
by Sandeep, Pardeep Kumar, Partap Singh Malik and Md Aquib
Symmetry 2025, 17(10), 1601; https://doi.org/10.3390/sym17101601 - 26 Sep 2025
Viewed by 209
Abstract
This study focuses on the analysis of the simultaneous impact of inclined magnetohydrodynamic Carreau hybrid nanofluid flow over a stretching sheet, including microorganisms with the effects of chemical reactions in the presence and absence of slip conditions for dilatant [...] Read more.
This study focuses on the analysis of the simultaneous impact of inclined magnetohydrodynamic Carreau hybrid nanofluid flow over a stretching sheet, including microorganisms with the effects of chemical reactions in the presence and absence of slip conditions for dilatant (n>1.0) and quasi-elastic hybrid nanofluid (n<1.0) limitations. Meanwhile, the transfer of energy is strengthened through the employment of heat sources and bioconvection. The analysis incorporates nonlinear thermal radiation, chemical reactions, and Arrhenius activation energy effects on different profiles. Numerical simulations are conducted using the efficient Bvp5c solver. Motile concentration profiles decrease as the density slip parameter of the motile microbe and Lb increase. The Weissenberg number exhibits a distinct nature depending on the hybrid nanofluid; the velocity profile, skin friction, and Nusselt number fall when (n>1.0) and increase when (n<1.0). For small values of inclination, the 3D surface plot is far the surface, while it is close to the surface for higher values of inclination but has the opposite behavior for the 3D plot of the Nusselt number. A detailed numerical investigation on the effects of important parameters on the thermal, concentration, and motile profiles and the Nusselt number reveals a symmetric pattern of boundary layers at various angles (α). Results are presented through tables, graphs, contour plots, and streamline and surface plots, covering both shear-thinning cases (n<1.0) and shear-thickening cases (n>1.0). Full article
Show Figures

Figure 1

16 pages, 3730 KB  
Article
Enhanced Nutritional Composition of Steam-Exploded Cotton Stalk Through Microbial-Enzyme Synergism Solid-State Fermentation
by Deli Dong, Huaibing Yao, Maierhaba Aihemaiti, Gulinigeer Ainizirehong, Yang Li, Yuanyuan Yan, Xin Huang, Min Hou and Weidong Cui
Fermentation 2025, 11(10), 551; https://doi.org/10.3390/fermentation11100551 - 24 Sep 2025
Viewed by 502
Abstract
Due to its high content of lignocellulose, cotton stalk is difficult to degrade naturally and utilize effectively, so it is often regarded as waste. In this study, the effects of Pleurotus ostreatus XH005, Lactiplantibacillus plantarum LP-2, and cellulase enzyme on the cotton stalk [...] Read more.
Due to its high content of lignocellulose, cotton stalk is difficult to degrade naturally and utilize effectively, so it is often regarded as waste. In this study, the effects of Pleurotus ostreatus XH005, Lactiplantibacillus plantarum LP-2, and cellulase enzyme on the cotton stalk substrate under aerobic solid-state fermentation (SSF) conditions were investigated, and the metabolites were analyzed to identify potential functional compounds in the cotton-stalk-fermented feed. Preliminary optimization results obtained through single-factor experiments were as follows: fermentation time 14 days, XH005 inoculum size 8.00% (v/m), material-to-water ratio 1:0.50 (v/m), LP-2 inoculum size 2.00% (v/m), and cellulase addition 0.60% (m/m). Based on these single-factor experimental results, XH005 inoculum size, LP-2 inoculum size, material-to-water ratio, and cellulase addition were selected as independent variables. Through response surface methodology (RSM) optimization experiments, 29 experimental groups were designed. Subsequently, based on Box–Behnken analysis of variance (ANOVA) of lignin and cellulose content, along with contour and response surface plots, the optimal aerobic solid-state fermentation parameters were determined as follows: fermentation time 14 days, XH005 inoculum: 7.00% (v/m), material-to-water ratio: 1:0.55 (v/m), LP-2 inoculum: 2.00% (v/m), and cellulase enzyme addition: 0.65% (m/m). Results showed that compared with the control group (CK), the optimized group exhibited a 27.65% increase in lignin degradation rate and a 47.14% increase in cellulose degradation rate. Crude protein (CP) content increased significantly, while crude fiber (CF), detergent fiber and mycotoxin contents decreased significantly. Non-targeted metabolic analysis indicated that adding cellulase and inoculating Pleurotus ostreatus XH005 and Lactiplantibacillus plantarum LP-2 in aerobic SSF of cotton straw feed produced functionally active substances such as kaempferol (C343), carvone (C709) and trilobatin (C604). Therefore, this study demonstrates that microbial-enzyme co-action SSF significantly enhances the nutritional composition of cotton stalk hydrolysate. Furthermore, this hydrolysate is suitable for the production of functional compounds, endowing the fermented feed with health-promoting properties and enhancing the utilization of cotton processing byproducts in the feed industry. Full article
(This article belongs to the Section Industrial Fermentation)
Show Figures

Figure 1

28 pages, 6245 KB  
Article
Time Response of Delaminated Active Sensory Composite Beams Assuming Non-Linear Interfacial Effects
by Nikolaos A. Chrysochoidis, Christoforos S. Rekatsinas and Dimitris A. Saravanos
J. Compos. Sci. 2025, 9(9), 500; https://doi.org/10.3390/jcs9090500 - 15 Sep 2025
Viewed by 434
Abstract
A layerwise laminate FE model capable of predicting the dynamic response of delaminated composite beams with piezoelectric actuators and sensors encompassing local non-linear contact and sliding at the delamination interfaces was formulated. The kinematic assumptions of the layerwise model enabled the representation of [...] Read more.
A layerwise laminate FE model capable of predicting the dynamic response of delaminated composite beams with piezoelectric actuators and sensors encompassing local non-linear contact and sliding at the delamination interfaces was formulated. The kinematic assumptions of the layerwise model enabled the representation of opening and sliding of delamination interfaces as generalized strains, thereby allowing the introduction of interfacial contact and sliding effects through constitutive relations at the interface. This realistic FE model, assisted by representative experiments, was used to study the time response of delaminated active sensory composite beams with predefined delamination extents. The time response was measured and simulated for narrowband actuation signals at two distinct frequency levels using a surface-bonded piezoceramic actuator, while signal acquisition was performed with a piezopolymer sensor. Four different composite specimens, each containing a different delamination size, were used for this study. Experimental results were directly compared with model predictions to evaluate the performance of the proposed analytical approach. Damage signatures were identified in both the signal amplitude and the time of flight, and the sensitivity to delamination size was examined. Finally, the distributions of axial and interlaminar stresses at various time snapshots of the transient analysis are presented, along with contour plots across the structure’s thickness, which illustrate the delamination location and wave propagation patterns. Full article
Show Figures

Figure 1

30 pages, 14172 KB  
Article
Synoptic and Dynamic Analyses of an Intense Mediterranean Cyclone: A Case Study
by Ahmad E. Samman
Climate 2025, 13(6), 126; https://doi.org/10.3390/cli13060126 - 15 Jun 2025
Viewed by 1164
Abstract
On 3 February 2006, a powerful Mediterranean cyclone instigated a widespread dust storm across Saudi Arabia. Meteorological observations from one station recorded strong westerly to southwesterly winds, with gusts reaching 40 m/s, accompanied by thunderstorms and dust storms. This study delves into the [...] Read more.
On 3 February 2006, a powerful Mediterranean cyclone instigated a widespread dust storm across Saudi Arabia. Meteorological observations from one station recorded strong westerly to southwesterly winds, with gusts reaching 40 m/s, accompanied by thunderstorms and dust storms. This study delves into the formation and development of this significant Mediterranean cyclone, which impacted the Mediterranean basin and the Arabian Peninsula from 26 January to 4 February 2006. Utilizing ECMWF ERA5 reanalysis data, this research analyzes the synoptic and dynamic conditions that contributed to the cyclone’s evolution and intensification. The cyclone originated over the North Atlantic as cold air from higher latitudes and was advected southward, driven by a strong upper-level trough. The initial phase of cyclogenesis was triggered by baroclinic instability, facilitated by an intense upper-level jet stream interacting with a pre-existing low-level baroclinic zone over coastal regions. Upper-level dynamics enhanced surface frontal structures, promoting the formation of the intense cyclone. As the system progressed, low-level diabatic processes became the primary drivers of its evolution, reducing the influence of upper-level baroclinic mechanisms. The weakening of the upper-level dynamics led to the gradual distortion of the low-level baroclinicity and frontal structures, transitioning the system to a more barotropic state during its mature phase. Vorticity analysis revealed that positive vorticity advection and warm air transport toward the developing cyclone played key roles in its intensification, leading to the development of strong low-level winds. Atmospheric kinetic energy analysis showed that the majority of the atmospheric kinetic energy was concentrated at 400 hPa and above, coinciding with intense jet stream activity. The generation of the atmospheric kinetic energy was primarily driven by cross-contour flow, acting as a major energy source, while atmospheric kinetic energy dissipation from grid to subgrid scales served as a major energy sink. The dissipation pattern closely mirrored the generation pattern but with the opposite sign. Additionally, the horizontal flux of the atmospheric kinetic energy was identified as a continuous energy source throughout the cyclone’s lifecycle. Full article
(This article belongs to the Section Weather, Events and Impacts)
Show Figures

Figure 1

20 pages, 7672 KB  
Article
Stability Analysis of the Surrounding Rock of Deep Underground Engineering Under the Action of Thermal-Solid Coupling
by Xiaoyu Dou, Hongbin Shi, Yanbo Qing, Jiaqi Guo and Lipan Cheng
Buildings 2025, 15(9), 1500; https://doi.org/10.3390/buildings15091500 - 29 Apr 2025
Viewed by 701
Abstract
When developing deep subsurface infrastructure in areas with intense geothermal activity, the significant temperature gradient inevitably leads to low-temperature contraction and high-temperature expansion of the rock body, resulting in changes in the rock’s mechanical properties. These thermodynamic effects can easily lead to the [...] Read more.
When developing deep subsurface infrastructure in areas with intense geothermal activity, the significant temperature gradient inevitably leads to low-temperature contraction and high-temperature expansion of the rock body, resulting in changes in the rock’s mechanical properties. These thermodynamic effects can easily lead to the destabilization and subsequent collapse of the rock. There exists a pressing necessity to methodically evaluate the surrounding rock stability encountered in deep underground engineering under the action of thermal-solid coupling. This study constructed a multi-physical field coupling nonlinear calculation model based on a high-precision three-dimensional finite difference method, systematically analyzed the interdependent effects between the original rock temperature and excavation-induced disturbance, and then analyzed the dynamic changes in temperature, stress, and displacement fields along with plastic zone of surrounding rock of the deep underground engineering under thermal-solid coupling. The results indicate that the closer to the excavation contour surface, the lower the surrounding rock temperature, while the temperature gradient increased correspondingly. The farther away from the excavation contour face, the closer the temperature was to the original rock temperature. As the original rock temperature climbed from 30 °C to 90 °C, the increment of vault displacement was 2.45 times that of arch bottom displacement, and the influence of temperature change on vault deformation was more significant. The horizontal displacement magnitudes at the different original temperatures followed the following order: sidewall > spandrel > skewback, and at an original rock temperature of 90 °C, the sidewall horizontal displacement reached 15.31 cm. With the elevation of the original rock temperature, the distribution range and concentration degree of the maximum and minimum principal stresses increased obviously, and both were compression-dominated. The types of plastic zones in the surrounding rock were mainly characterized by shear stress-induced yielding and tensile stress-induced damage failure. When the original rock temperature increased to 90 °C, the rock mass extending up to 1.5 m from the excavation contour surface formed a large area of damage zone. The closer the working face was to the monitoring section, the faster the temperature dropped, and the displacement changed in the monitoring section. The findings offer a theoretical basis for engineering practice, and it is of great significance to ensure the safety of the project. Full article
Show Figures

Figure 1

31 pages, 26201 KB  
Article
Factors Influencing Transparency in Urban Landscape Water Bodies in Taiyuan City Based on Machine Learning Approaches
by Yuan Zhou, Yongkang Lv, Jing Dong, Jin Yuan and Xiaomei Hui
Sustainability 2025, 17(7), 3126; https://doi.org/10.3390/su17073126 - 1 Apr 2025
Cited by 2 | Viewed by 626
Abstract
Urban landscape lakes (ULLs) in water-scarce cities face significant water quality challenges due to limited resources and intense human activity. This study identifies the main factors affecting transparency (SD) in these water bodies and proposes targeted management strategies. Machine learning techniques, including Gradient [...] Read more.
Urban landscape lakes (ULLs) in water-scarce cities face significant water quality challenges due to limited resources and intense human activity. This study identifies the main factors affecting transparency (SD) in these water bodies and proposes targeted management strategies. Machine learning techniques, including Gradient Boosting Decision Tree (GBDT), eXtreme Gradient Boosting (XGBoost), and Artificial Neural Networks (ANNs), were applied to analyze SD drivers under various water supply conditions. Results show that, for surface water-supplied lakes, the GBDT model was most effective, identifying chlorophyll-a (Chl-a), inorganic suspended solids (ISS), and hydraulic retention time (HRT) as primary factors. For tap water-supplied lakes, ISS and dissolved oxygen (DO) were critical while, for rainwater retention bodies, the XGBoost model highlighted chemical oxygen demand (CODMn) and HRT as key factors. Further analysis with ANN models provided optimal learning rates and hidden layer configurations, enhancing SD predictions through contour mapping. The findings indicate that, under low suspended solid conditions, the interaction between HRT and ISS notably affects SD in surface water-supplied lakes. For tap water-supplied lakes, SD is predominantly influenced by ISS at low levels, while HRT gains significance as concentrations increase. In rainwater retention lakes, CODMn emerges as the primary factor under low concentrations, with HRT interactions becoming prominent as CODMn rises. This study offers a scientific foundation for effective strategies in ULL water quality management and aesthetic enhancement. Full article
(This article belongs to the Section Sustainable Urban and Rural Development)
Show Figures

Figure 1

13 pages, 4670 KB  
Article
Development and Dynamic Numerical Evaluation of a Lightweight Sports Helmet Using Topology Optimization and Advanced Architected Materials
by Nikolaos Kladovasilakis, Konstantinos Tsongas, Eleftheria Maria Pechlivani and Dimitrios Tzetzis
Designs 2025, 9(2), 28; https://doi.org/10.3390/designs9020028 - 28 Feb 2025
Viewed by 1393
Abstract
Sports activities often carry a high risk of injury, varying in severity, making the use of protective equipment, such as helmets and kneecaps, essential in many cases. Among all potential injuries, head injuries are the most crucial due to their severity. Hence, in [...] Read more.
Sports activities often carry a high risk of injury, varying in severity, making the use of protective equipment, such as helmets and kneecaps, essential in many cases. Among all potential injuries, head injuries are the most crucial due to their severity. Hence, in the last decades, the scientific interest has been focused on establishing head injury criteria and improving the helmet design with the ultimate goal of the reduction in injury probability and increasing the athlete’s performance. In this context, the current study aims to develop a lightweight sports helmet with increased safety performance, utilizing topology optimization processes and advanced architected materials. In detail, the design of a conventional helmet was developed and modified applying in specific regions advanced architected materials, such as triply periodic minimal surfaces (TPMS) and hybrid structures, with functionally graded configurations to produce sandwich-like structures capable of absorbing mechanical energy from impacts. The developed helmet’s designs were numerically evaluated through dynamic finite element analyses (FEA), simulating the helmet’s impact on a wall with a specific velocity. Through these analyses, the plastic deformation of the designed helmets was observed, coupled with the stress concentration contours. Furthermore, the results of FEAs were utilized in order to calculate the values of the head injury criterion (HIC). Finally, the developed topologically optimized helmet design incorporating the hybrid lattice structure revealed increased energy absorption, reaching a HIC of 1618, improved by around 14% compared to the conventional design configuration. Full article
Show Figures

Figure 1

15 pages, 3412 KB  
Article
New Cyclam-Based Fe(III) Complexes Coatings Targeting Cobetia marina Biofilms
by Fábio M. Carvalho, Luciana C. Gomes, Rita Teixeira-Santos, Ana P. Carapeto, Filipe J. Mergulhão, Stephanie Almada, Elisabete R. Silva and Luis G. Alves
Molecules 2025, 30(4), 917; https://doi.org/10.3390/molecules30040917 - 16 Feb 2025
Viewed by 1047
Abstract
Recent research efforts to mitigate the burden of biofouling in marine environments have focused on the development of environmentally friendly coatings that can provide long-lasting protective effects. In this study, the antifouling performance of novel polyurethane (PU)-based coatings containing cyclam-based Fe(III) complexes against [...] Read more.
Recent research efforts to mitigate the burden of biofouling in marine environments have focused on the development of environmentally friendly coatings that can provide long-lasting protective effects. In this study, the antifouling performance of novel polyurethane (PU)-based coatings containing cyclam-based Fe(III) complexes against Cobetia marina biofilm formation was investigated. Biofilm assays were performed over 42 days under controlled hydrodynamic conditions that mimicked marine environments. Colony-forming units (CFU) determination and flow cytometric (FC) analysis showed that PU-coated surfaces incorporating 1 wt.% of complexes with formula [{R2(4-CF3PhCH2)2Cyclam}FeCl2]Cl (R = H, HOCH2CH2CH2) significantly reduced both culturable and total cells of C. marina biofilms up to 50% (R = H) and 38% (R = HOCH2CH2CH2) compared to PU-coated surface without complexes (control surface). The biofilm architecture was further analyzed using Optical Coherence Tomography (OCT), which showed that biofilms formed on the PU-coated surfaces containing cyclam-based Fe(III) complexes exhibited a significantly reduced thickness (58–61% reduction), biovolume (50–60% reduction), porosity (95–97% reduction), and contour coefficient (77% reduction) compared to the control surface, demonstrating a more uniform and compact structure. These findings were also supported by Confocal Laser Scanning Microscopy (CLSM) images, which showed a decrease in biofilm surface coverage on PU-coated surfaces containing cyclam-based Fe(III) complexes. Moreover, FC analysis revealed that exposure to PU-coated surfaces increases bacterial metabolic activity and induces ROS production. These results underscore the potential of these complexes to incorporate PU-coated surfaces as bioactive additives in coatings to effectively deter long-term bacterial colonization in marine environments, thereby addressing biofouling-related challenges. Full article
Show Figures

Figure 1

34 pages, 11021 KB  
Article
Comprehensive Review of Tunnel Blasting Evaluation Techniques and Innovative Half Porosity Assessment Using 3D Image Reconstruction
by Jianjun Shi, Yang Wang, Zhengyu Yang, Wenxin Shan and Huaming An
Appl. Sci. 2024, 14(21), 9791; https://doi.org/10.3390/app14219791 - 26 Oct 2024
Cited by 2 | Viewed by 2421
Abstract
To meet the increasing demand for rapid and efficient evaluation of tunnel blasting quality, this study presents a comprehensive review of the current state of the art in tunnel blasting evaluation, organized into five key areas: Blasting Techniques and Optimization, 3D Reconstruction and [...] Read more.
To meet the increasing demand for rapid and efficient evaluation of tunnel blasting quality, this study presents a comprehensive review of the current state of the art in tunnel blasting evaluation, organized into five key areas: Blasting Techniques and Optimization, 3D Reconstruction and Visualization, Monitoring and Assessment Technologies, Automation and Advanced Techniques, and Half Porosity in Tunnel Blasting. Each section provides an indepth analysis of the latest research and developments, offering insights into enhancing blasting efficiency, improving safety, and optimizing tunnel design. Building on this foundation, we introduce a digital identification method for assessing half porosity through 3D image reconstruction. Utilizing the Structure from Motion (SFM) technique, we re-construct the 3D contours of tunnel surfaces and bench faces after blasting. Curvature values are employed as key indicators for extracting 3D point cloud data from boreholes. The acquired postblasting point cloud data is processed using advanced software that incorporates the RANSAC algorithm to accurately project and fit the borehole data, leading to the determination of the target circle and borehole axis. The characteristics of the boreholes are analyzed based on the fitting results, culminating in the calculation of half porosity. Field experiments conducted on the Huangtai Tunnel (AK20 + 970.5 to AK25 + 434), part of the new National Highway 109 project, provided data from shell holes generated during blasting. These data were analyzed and compared with traditional onsite measurements to validate the proposed method’s effectiveness. The computed half porosity value using this technique was 58.7%, showing minimal deviation from the traditional measurement of 60%. This methodology offers significant advantages over conventional measurement techniques, including easier equipment acquisition, non-interference with construction activities, a comprehensive detection range, rapid processing speed, reduced costs, and improved accuracy. The findings demonstrate the method’s potential for broader application in tunnel blasting assessments. Full article
Show Figures

Figure 1

19 pages, 26310 KB  
Article
Concrete Crack Detection and Segregation: A Feature Fusion, Crack Isolation, and Explainable AI-Based Approach
by Reshma Ahmed Swarna, Muhammad Minoar Hossain, Mst. Rokeya Khatun, Mohammad Motiur Rahman and Arslan Munir
J. Imaging 2024, 10(9), 215; https://doi.org/10.3390/jimaging10090215 - 31 Aug 2024
Cited by 7 | Viewed by 3796
Abstract
Scientific knowledge of image-based crack detection methods is limited in understanding their performance across diverse crack sizes, types, and environmental conditions. Builders and engineers often face difficulties with image resolution, detecting fine cracks, and differentiating between structural and non-structural issues. Enhanced algorithms and [...] Read more.
Scientific knowledge of image-based crack detection methods is limited in understanding their performance across diverse crack sizes, types, and environmental conditions. Builders and engineers often face difficulties with image resolution, detecting fine cracks, and differentiating between structural and non-structural issues. Enhanced algorithms and analysis techniques are needed for more accurate assessments. Hence, this research aims to generate an intelligent scheme that can recognize the presence of cracks and visualize the percentage of cracks from an image along with an explanation. The proposed method fuses features from concrete surface images through a ResNet-50 convolutional neural network (CNN) and curvelet transform handcrafted (HC) method, optimized by linear discriminant analysis (LDA), and the eXtreme gradient boosting (XGB) classifier then uses these features to recognize cracks. This study evaluates several CNN models, including VGG-16, VGG-19, Inception-V3, and ResNet-50, and various HC techniques, such as wavelet transform, counterlet transform, and curvelet transform for feature extraction. Principal component analysis (PCA) and LDA are assessed for feature optimization. For classification, XGB, random forest (RF), adaptive boosting (AdaBoost), and category boosting (CatBoost) are tested. To isolate and quantify the crack region, this research combines image thresholding, morphological operations, and contour detection with the convex hulls method and forms a novel algorithm. Two explainable AI (XAI) tools, local interpretable model-agnostic explanations (LIMEs) and gradient-weighted class activation mapping++ (Grad-CAM++) are integrated with the proposed method to enhance result clarity. This research introduces a novel feature fusion approach that enhances crack detection accuracy and interpretability. The method demonstrates superior performance by achieving 99.93% and 99.69% accuracy on two existing datasets, outperforming state-of-the-art methods. Additionally, the development of an algorithm for isolating and quantifying crack regions represents a significant advancement in image processing for structural analysis. The proposed approach provides a robust and reliable tool for real-time crack detection and assessment in concrete structures, facilitating timely maintenance and improving structural safety. By offering detailed explanations of the model’s decisions, the research addresses the critical need for transparency in AI applications, thus increasing trust and adoption in engineering practice. Full article
(This article belongs to the Special Issue Image Processing and Computer Vision: Algorithms and Applications)
Show Figures

Figure 1

20 pages, 10630 KB  
Article
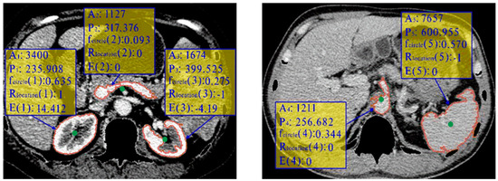
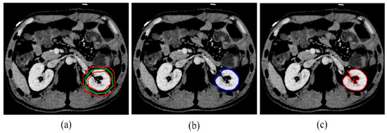
An Unsupervised Computed Tomography Kidney Segmentation with Multi-Region Clustering and Adaptive Active Contours
by Jinmei He, Yuqian Zhao, Fan Zhang and Feifei Hou
Mathematics 2024, 12(15), 2362; https://doi.org/10.3390/math12152362 - 29 Jul 2024
Viewed by 1946
Abstract
Kidney segmentation from abdominal computed tomography (CT) images is essential for computer-aided kidney diagnosis, pathology detection, and surgical planning. This paper introduces a kidney segmentation method for clinical contrast-enhanced CT images. First, it begins with shape-based preprocessing to remove the spine and ribs. [...] Read more.
Kidney segmentation from abdominal computed tomography (CT) images is essential for computer-aided kidney diagnosis, pathology detection, and surgical planning. This paper introduces a kidney segmentation method for clinical contrast-enhanced CT images. First, it begins with shape-based preprocessing to remove the spine and ribs. Second, a novel clustering algorithm and an initial kidney selection strategy are utilized to locate the initial slices and contours. Finally, an adaptive narrow-band approach based on active contours is developed, followed by a clustering postprocessing to address issues with concave parts. Experimental results demonstrate the high segmentation performance of the proposed method, achieving a Dice Similarity Coefficient of 97.4 ± 1.0% and an Average Symmetric Surface Distance of 0.5 ± 0.2 mm across twenty sequences. Notably, this method eliminates the need for manually setting initial contours and can handle intensity inhomogeneity and varying kidney shapes without extensive training or statistical modeling. Full article
(This article belongs to the Section E1: Mathematics and Computer Science)
Show Figures

Figure 1

28 pages, 16108 KB  
Article
GC Snakes: An Efficient and Robust Segmentation Model for Hot Forging Images
by Xiaoyu Pan and Delun Wang
Sensors 2024, 24(15), 4821; https://doi.org/10.3390/s24154821 - 25 Jul 2024
Viewed by 1269
Abstract
Machine vision is a desirable non-contact measurement method for hot forgings, as image segmentation has been a challenging issue in performance and robustness resulting from the diversity of working conditions for hot forgings. Thus, this paper proposes an efficient and robust active contour [...] Read more.
Machine vision is a desirable non-contact measurement method for hot forgings, as image segmentation has been a challenging issue in performance and robustness resulting from the diversity of working conditions for hot forgings. Thus, this paper proposes an efficient and robust active contour model and corresponding image segmentation approach for forging images, by which verification experiments are conducted to prove the performance of the segmentation method by measuring geometric parameters for forging parts. Specifically, three types of continuity parameters are defined based on the geometric continuity of equivalent grayscale surfaces for forging images; hence, a new image force and external energy functional are proposed to form a new active contour model, Geometric Continuity Snakes (GC Snakes), which is more percipient to the grayscale distribution characteristics of forging images to improve the convergence for active contour robustly; additionally, a generating strategy for initial control points for GC Snakes is proposed to compose an efficient and robust image segmentation approach. The experimental results show that the proposed GC Snakes has better segmentation performance compared with existing active contour models for forging images of different temperatures and sizes, which provides better performance and efficiency in geometric parameter measurement for hot forgings. The maximum positioning and dimension errors by GC Snakes are 0.5525 mm and 0.3868 mm, respectively, compared with errors of 0.7873 mm and 0.6868 mm by the Snakes model. Full article
(This article belongs to the Topic Smart Production in Terms of Industry 4.0 and 5.0)
Show Figures

Figure 1

20 pages, 14864 KB  
Article
Uncovering the Research Hotspots in Supply Chain Risk Management from 2004 to 2023: A Bibliometric Analysis
by Tianyi Ding and Zongsheng Huang
Sustainability 2024, 16(12), 5261; https://doi.org/10.3390/su16125261 - 20 Jun 2024
Cited by 3 | Viewed by 6173
Abstract
As globalization deepens, factors such as the COVID-19 pandemic and geopolitical tensions have intricately complexified supply chain risks, underscoring the escalating significance of adept risk management. This study elucidates the evolution, pivotal research foci, and emergent trends in supply chain risk management over [...] Read more.
As globalization deepens, factors such as the COVID-19 pandemic and geopolitical tensions have intricately complexified supply chain risks, underscoring the escalating significance of adept risk management. This study elucidates the evolution, pivotal research foci, and emergent trends in supply chain risk management over the past two decades through a multifaceted lens. Utilizing bibliometric tools CiteSpace and HistCite, we dissected the historical contours, dynamic topics, and novel trends within this domain. Our findings reveal a sustained fervor in research activity, marked by extensive scientific collaboration over the past 20 years. Distinct research hotspots have surfaced intermittently, featuring 20 domains, 62 keywords, and 60 citation bursts. Keyword clustering identified seven nascent research subfields, including stochastic planning, game theory, and risk management strategies. Furthermore, reference clustering pinpointed five contemporary focal areas: robust optimization, supply chain resilience, blockchain technology, supply chain finance, and Industry 4.0. This review delineates the scholarly landscape from 2004 to 2023, uncovering the latest research hotspots and developmental trajectories in supply chain risk management through a bibliometric analysis. Full article
(This article belongs to the Section Economic and Business Aspects of Sustainability)
Show Figures

Figure 1

Back to TopTop