Sign in to use this feature.

Years

Between: -

Subjects

remove_circle_outline
remove_circle_outline
remove_circle_outline
remove_circle_outline
remove_circle_outline

Journals

Article Types

Countries / Regions

Search Results (13)

Search Parameters:
Keywords = Xenarthra

Order results
Result details
Results per page
Select all
Export citation of selected articles as:
18 pages, 1549 KB  
Article
Vector-Borne Agents in Species of Silky Anteater (Cyclopes Gray, 1821) from South America
by Pedro Henrique Cotrin Rodrigues, João Paulo Soares Alves, Flávia Regina Miranda, Cesar Rojano and Júlia Angélica Gonçalves Silveira
Pathogens 2025, 14(7), 718; https://doi.org/10.3390/pathogens14070718 - 19 Jul 2025
Cited by 1 | Viewed by 1287
Abstract
Cyclopes, the smallest of all known anteaters, has an insectivorous diet and is arboreal, rarely descending to the ground. There are scarce reports on diseases and pathogenic agents affecting this taxon. Hemopathogens are pathogenic agents that inhabit the blood of various vertebrate [...] Read more.
Cyclopes, the smallest of all known anteaters, has an insectivorous diet and is arboreal, rarely descending to the ground. There are scarce reports on diseases and pathogenic agents affecting this taxon. Hemopathogens are pathogenic agents that inhabit the blood of various vertebrate species. Protozoa such as Trypanosoma spp., Leishmania spp., Hepatozoon spp., and members of the order Piroplasmida, as well as hemoplasmas and Rickettsial bacteria of the genera Anaplasma and Ehrlichia, are among the most important in this group. The transmission of these pathogens generally occurs through arthropod vectors, which act as intermediate hosts. In addition, infections caused by hemopathogens can have adverse effects on host health, contributing to population declines in susceptible species. This study investigated infection by protozoa and hemotropic bacteria in blood samples from free-ranging silky anteaters from Brazil, Peru, and Colombia using molecular detection methods. Sixteen samples were obtained during expeditions conducted in these countries. DNA was extracted from blood samples, and PCR assays were performed to detect parasites from the order Piroplasmida, Hepatozoon spp., trypanosomatid agents including Leishmania spp., Trypanosoma evansi, T. cruzi, and T. vivax, as well as hemotropic bacteria of the genera Ehrlichia, Anaplasma, and Mycoplasma sp. Nucleotide sequencing was performed on positive samples. Of the total samples analyzed, 62.5% (10/16) tested positive for hemotropic Mycoplasma, 50% (8/16) for T. evansi, and 6.2% (1/16) for T. cruzi. There is a significant gap in knowledge regarding the diversity of hemopathogens affecting the genus Cyclopes, and future studies are needed to understand how these infections may impact the health of individuals. Full article
Show Figures

Figure 1

17 pages, 964 KB  
Article
Using Digital PCR to Unravel the Occurrence of Piroplasmids, Bartonella spp., and Borrelia spp. in Wild Animals from Brazil
by Ana Cláudia Calchi, Anna Claudia Baumel Mongruel, Fernanda Beatriz Pereira Cavalcanti, Lilliane Bartone, José Maurício Barbanti Duarte, Emília Patrícia Medici, Danilo Kluyber, Mayara G. Caiaffa, Mario Henrique Alves, Arnaud Leonard Jean Desbiez, Taciana Fernandes Souza Barbosa Coelho, Rosangela Zacarias Machado, Edward B. Breitschwerdt, Ricardo G. Maggi and Marcos Rogério André
Pathogens 2025, 14(6), 567; https://doi.org/10.3390/pathogens14060567 - 6 Jun 2025
Cited by 3 | Viewed by 1891
Abstract
Piroplasmids (Babesia spp., Rangelia spp., Theileria spp., Cytauxzoon spp.) are tick-borne apicomplexan protozoa that infect, depending on the species, erythrocytes and leucocytes in a wide variety of mammals and birds. The genera Bartonella and Borrelia include vector-borne bacteria that can infect and [...] Read more.
Piroplasmids (Babesia spp., Rangelia spp., Theileria spp., Cytauxzoon spp.) are tick-borne apicomplexan protozoa that infect, depending on the species, erythrocytes and leucocytes in a wide variety of mammals and birds. The genera Bartonella and Borrelia include vector-borne bacteria that can infect and cause disease in both animals and humans. Detection of hemotropic bacteria and piroplasmids in wild animals is often challenging due to low bacteremia or parasitemia. Digital (d)PCR has proven to be an effective modality for the detection and quantification of DNA of hemotropic pathogens with low parasitemia. This study compared dPCR results from 366 biological samples from seven different Brazilian wild animal groups (5 Xenarthra species, 5 deer species, 3 felid species, 1 canid species, 3 rodent species, 1 bat species, 1 tapir species, and 12 bird species) to two other molecular diagnostic techniques: quantitative real-time (qPCR) and nested (nPCR). For this study, DNA extracted from wild animal blood and spleen samples were subjected to a multiplex dPCR assay for piroplasmids, Bartonella spp., and Borrelia spp. For comparison, the same primers and probes for each agent were used in qPCR assays. Additionally, an nPCR based on the 18S rRNA gene for piroplasmids was performed. The proportions of positive results obtained using dPCR were 85.5% for piroplasmids, 33.6% for Bartonella spp., and 16.7% for Borrelia spp. For all tested agents, dPCR proved to be the technique with the highest sensitivity, making it a useful tool for screening vector-borne agents in biological samples from wild animals with low parasitemia. Full article
(This article belongs to the Section Parasitic Pathogens)
Show Figures

Figure 1

18 pages, 31699 KB  
Article
The Megafauna3D Educational Environment: Harnessing the Combination of New and Traditional Technologies to Improve Geoscience Education and Outreach
by Luciano Varela, Martín Batallés, P. Sebastián Tambusso, Gabriela Costoya and Richard A. Fariña
Geosciences 2024, 14(12), 321; https://doi.org/10.3390/geosciences14120321 - 26 Nov 2024
Cited by 1 | Viewed by 1429
Abstract
The Megafauna3D project integrates advanced 3D scanning technologies and paleontological research to bring the extinct megafauna of Uruguay to formal and informal educational settings. Through the use of digitized fossil models, interactive education materials, and a web platform, the project engages the public [...] Read more.
The Megafauna3D project integrates advanced 3D scanning technologies and paleontological research to bring the extinct megafauna of Uruguay to formal and informal educational settings. Through the use of digitized fossil models, interactive education materials, and a web platform, the project engages the public and educational institutions in understanding the country’s paleontological heritage. This manuscript presents Megafauna3D’s multidisciplinary approach, its outreach initiatives, and the educational resources developed, such as 3D models and printed replicas, a book integrated with augmented reality, fanzines, and a teaching box. With a focus on open science, inclusivity, and accessibility, the project fosters public engagement with paleontological content and promotes fossil heritage conservation. Full article
(This article belongs to the Section Geoheritage, Geoparks and Geotourism)
Show Figures

Figure 1

13 pages, 2622 KB  
Technical Note
Computed Tomography Evaluation of Frozen or Glycerinated Bradypus variegatus Cadavers: A Comprehensive View with Emphasis on Anatomical Aspects
by Michel Santos e Cunha, Rodrigo dos Santos Albuquerque, José Gonçalo Monteiro Campos, Francisco Décio de Oliveira Monteiro, Kayan da Cunha Rossy, Thiago da Silva Cardoso, Lucas Santos Carvalho, Luisa Pucci Bueno Borges, Sheyla Farhayldes Souza Domingues, Roberto Thiesen, Roberta Martins Crivelaro Thiesen and Pedro Paulo Maia Teixeira
Animals 2024, 14(3), 355; https://doi.org/10.3390/ani14030355 - 23 Jan 2024
Cited by 1 | Viewed by 2340
Abstract
Bradypus variegatus has unique anatomical characteristics, and many of its vascular and digestive tract aspects have yet to be clearly understood. This lack of information makes clinical diagnoses and surgical procedures difficult. The aim of this study was to evaluate the anatomical aspects [...] Read more.
Bradypus variegatus has unique anatomical characteristics, and many of its vascular and digestive tract aspects have yet to be clearly understood. This lack of information makes clinical diagnoses and surgical procedures difficult. The aim of this study was to evaluate the anatomical aspects of frozen and glycerinated corpses of B. variegatus using computed tomography (CT), emphasizing vascular and digestive contrast studies. Nine corpses that died during routine hospital were examined via CT in the supine position with scanning in the craniocaudal direction. In frozen cadavers, the contrast was injected into a cephalic vein after thawing and, subsequently, was administered orally. In addition to bone structures, CT allowed the identification of organs, soft tissues, and vascular structures in specimens. Visualization of soft tissues was better after contrast been administered intravenously and orally, even without active vascularization. Furthermore, the surfaces of the organs were highlighted by the glycerination method. With this technique, it was possible to describe part of the vascularization of the brachial, cervical, thoracic, and abdominal regions, in addition to highlighting the esophagus and part of the stomach. CT can be another tool for the evaluation of B. variegatus cadavers by anatomists or pathologists, contributing to the identification of anatomical structures. Full article
(This article belongs to the Section Mammals)
Show Figures

Figure 1

10 pages, 2473 KB  
Article
Comparison of Estimated Wild Giant Anteater (Myrmecophaga tridactyla Linnaeus, 1758) Diets with Commercial Diets for Insectivores: Implications for Anteater Health
by Heidi Bissell, Mario H. Alves, Débora R. Yogui, Margarita Woc Colburn and Arnaud L. J. Desbiez
Animals 2023, 13(23), 3606; https://doi.org/10.3390/ani13233606 - 22 Nov 2023
Cited by 5 | Viewed by 5058
Abstract
Using the stomach contents of 24 wild road-killed giant anteaters as proxies for their diet, we found that estimated wild diets were much lower in calcium (about ten times less) and phosphorus compared with manufactured feeds commonly fed to anteaters under human care. [...] Read more.
Using the stomach contents of 24 wild road-killed giant anteaters as proxies for their diet, we found that estimated wild diets were much lower in calcium (about ten times less) and phosphorus compared with manufactured feeds commonly fed to anteaters under human care. Indicators of soil consumption, such as ash, iron, and manganese were higher in the stomach contents than in either wild termites or manufactured diets, likely due to high levels of soil ingestion during feeding in the wild. Protein and fat levels in insects, stomach contents, and commercial diets all met carnivore recommendations. Both giant anteaters and tamanduas in managed care often develop hypercalcemia, perhaps because these taxa have an enhanced ability to retain calcium allowing them to survive on such low calcium diets. Results from this study indicate that, for anteaters in managed care, it is important to keep dietary calcium and vitamins D and K within recommended levels to prevent nutritional diseases such as hyper- and hypocalcemia and vitamin K deficiency. Full article
(This article belongs to the Section Animal Nutrition)
Show Figures

Figure 1

36 pages, 2825 KB  
Article
A Tale of Two Continents (and a Few Islands): Ecology and Distribution of Late Pleistocene Sloths
by H. Gregory McDonald
Land 2023, 12(6), 1192; https://doi.org/10.3390/land12061192 - 6 Jun 2023
Cited by 10 | Viewed by 8464
Abstract
Late Pleistocene sloths were widely distributed and present in a diversity of habitats in South, Central, and North America and some Caribbean Islands. Late Pleistocene sloths include 27 genera in four families Megatheriidae, Megalonychidae, Mylodontidae, and Nothrotheriidae. There is no consensus on the [...] Read more.
Late Pleistocene sloths were widely distributed and present in a diversity of habitats in South, Central, and North America and some Caribbean Islands. Late Pleistocene sloths include 27 genera in four families Megatheriidae, Megalonychidae, Mylodontidae, and Nothrotheriidae. There is no consensus on the number of valid species. Some sloths have wide geographic distributions and are present on multiple continents while others have a much smaller distribution. Our knowledge of the paleoecology and natural history of the different sloths varies greatly depending on their relative abundance. The wide distribution of sloths and adaptations to different habitats results in several “sloth” faunas with different taxonomic compositions. These generalized faunas can be distinguished geographically as Temperate North America (five genera), Southern Mexico and Central America (five genera), Northern South America (two genera), West Coast of South America (four genera), the Andes and Altiplano (four genera), Brazilian Intertropical Region (nine genera), Pampas-Patagonia and the Caribbean Islands (Cuba, Hispaniola, and Puerto Rico, four genera). Some genera may occur in multiple regions but are represented by different species. These regions also have differences in other mammalian taxa, so the sloths are often in ecological competition with different megaherbivores or preyed on by different carnivores. Full article
Show Figures

Figure 1

16 pages, 10511 KB  
Article
Late Pleistocene Paramylodon harlani (Xenarthra, Mylodontidae) from Térapa, Sonora, Mexico
by H. Gregory McDonald, Jim I. Mead and Sandra L. Swift
Quaternary 2023, 6(2), 31; https://doi.org/10.3390/quat6020031 - 7 May 2023
Viewed by 3330
Abstract
While the North American mylodont sloth, Parmylodon harlani, has been identified in multiple localities in Mexico, most of these records are from the southern part of the country. Consequently, there is a large geographic gap between its distribution in Mexico and the [...] Read more.
While the North American mylodont sloth, Parmylodon harlani, has been identified in multiple localities in Mexico, most of these records are from the southern part of the country. Consequently, there is a large geographic gap between its distribution in Mexico and the more northern records of the species in the United States. The recovery of the remains of multiple individuals of Paramylodon harlani, as part of a late Pleistocene fauna in San Clemente de Térapa, Sonora, Mexico, partially fills this geographic gap and provides a broader understanding of the differences in the species’ ecology over a wide latitudinal range. A comparison of the paleoecology of the Térapa site with other sites with P. harlani in the fauna to the south and north provides valuable information on how regional topography and different plant communities impact the sloth’s distribution and underlying causes for its extinction. Full article
Show Figures

Figure 1

29 pages, 6941 KB  
Article
Revision of the Taumacera cervicornis Species Group (Coleoptera: Chrysomelidae: Galerucinae) from Sri Lanka
by Jan Bezděk
Diversity 2022, 14(12), 1041; https://doi.org/10.3390/d14121041 - 28 Nov 2022
Viewed by 2638
Abstract
The cervicornis species group of Taumacera Thunberg, 1814, endemic to Sri Lanka, is revised. Seven species, including three species new to science, are recognized: Taumacera cervicornis (Baly, 1861), T. lewisi (Jacoby, 1887), T. mirabilis (Jacoby, 1887), T. unicolor (Jacoby, 1887), T. adamskii sp. [...] Read more.
The cervicornis species group of Taumacera Thunberg, 1814, endemic to Sri Lanka, is revised. Seven species, including three species new to science, are recognized: Taumacera cervicornis (Baly, 1861), T. lewisi (Jacoby, 1887), T. mirabilis (Jacoby, 1887), T. unicolor (Jacoby, 1887), T. adamskii sp. nov., T. maskeliya sp. nov., and T. sigiriya sp. nov. The representatives of this group are characterized by pectinate antennomeres and by 12-segmented antennae. Antennomeres XI and XII are firmly fused in most species, separated by a distinct suture; however, in T. cervicornis, antennomere XII appears to be moveable. Color photographs of habitus, body details, and aedeagi as well as female genitalia are presented. Full article
(This article belongs to the Special Issue Taxonomy, Systematics and Evolution of Coleoptera)
Show Figures

Figure 1

7 pages, 4155 KB  
Case Report
Ovarian Filariasis in a Wild Southern Tamandua (Tamanduatetradactyla; Mammalia: Myrmecophagidae)
by Lilja Fromme, Débora Regina Yogui, Mario Henrique Alves, Josué Díaz-Delgado, Arnaud Leonard Jean Desbiez, André Luis Quagliatto Santos, Juliana Mariotti Guerra, Marion Langeheine, Ursula Siebert, Ralph Brehm, José Luiz Catão-Dias and Pedro Enrique Navas-Suárez
Pathogens 2022, 11(8), 918; https://doi.org/10.3390/pathogens11080918 - 15 Aug 2022
Cited by 2 | Viewed by 3066
Abstract
Knowledge of reproductive health in wild southern tamanduas (Tamandua tetradactyla; Mammalia: Myrmecophagidae) is fragmentary. During necropsies of roadkill xenarthran species in Brazil, a case of ovarian filariasis in an adult female southern tamandua was observed. Macroscopically, both ovaries were irregularly enlarged [...] Read more.
Knowledge of reproductive health in wild southern tamanduas (Tamandua tetradactyla; Mammalia: Myrmecophagidae) is fragmentary. During necropsies of roadkill xenarthran species in Brazil, a case of ovarian filariasis in an adult female southern tamandua was observed. Macroscopically, both ovaries were irregularly enlarged and had numerous smooth protuberances. Histologically, the affected ovarian parenchyma presented adult nematodes (including females with microfilaria) surrounded by pleocellular inflammatory infiltrates. The morphological characteristics of the nematodes were consistent with the superfamily Filarioidea (order Spirurida). The adjacent ovarian parenchyma had developing and atretic follicles at different stages of maturation. Filarial nematodes were not observed in other tissues. The cause of death of this tamandua was fatal acute polytrauma as a consequence of the motor vehicle collision. This case adds to a prior report of ovarian filariasis in two southern tamanduas in Nicaragua and Guatemala, dating back almost 100 years, and suggests filarial infections could potentially have an impact on reproductive success in southern tamanduas and possibly other xenarthrans. Several xenarthran species are under different levels of threat and knowledge of their basic reproductive health is crucial for conservation programs. Full article
(This article belongs to the Special Issue Pets, Wildlife and Parasites)
Show Figures

Figure 1

8 pages, 1415 KB  
Case Report
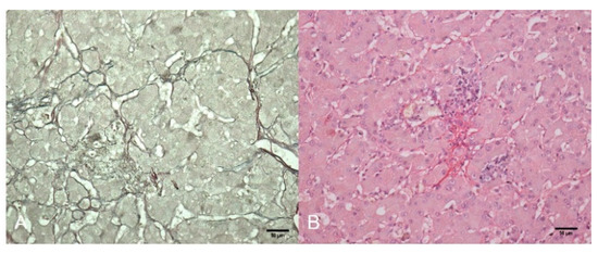
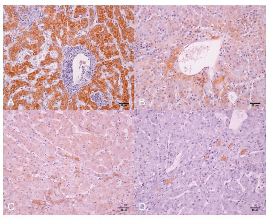
Hepatocellular Carcinoma in a Free-Ranging Three-Toed Sloth (Bradypus variegatus)
by Alex Junior Souza de Souza, Andreza Pinheiro Malheiros, Victor Lopes da Silva, Tereza Cristina da Silva, Bruno Cogliati and Lilian Rose Marques de Sá
Animals 2022, 12(15), 1921; https://doi.org/10.3390/ani12151921 - 28 Jul 2022
Viewed by 2320
Abstract
The increasing interest of tumors in wildlife is important for biodiversity conservation and for monitoring environmental agents and/or contaminants with potential impact on human health. Here we described the occurrence of hepatocellular carcinoma (HCC) in noncirrhotic liver of a free-ranging three-toed sloth ( [...] Read more.
The increasing interest of tumors in wildlife is important for biodiversity conservation and for monitoring environmental agents and/or contaminants with potential impact on human health. Here we described the occurrence of hepatocellular carcinoma (HCC) in noncirrhotic liver of a free-ranging three-toed sloth (Bradypus variegatus) from the Atlantic Forest biome in Brazil. The HCC showed a moderate mononuclear inflammatory infiltrate within the tumor tissue but with no inflammation and fibrosis in the adjacent liver tissue. Upon immunohistochemistry, neoplastic cells were diffusely positive for HepPar-1 and glutamine-synthetase presenting an irregular and random immunostaining pattern; β-catenin was positive in the cytoplasmic membrane of malignant hepatocytes; and cytokeratin 19 immunostaining was restricted to bile duct epithelial cells. The liver tissue was negative for HBV-like and HCV-like viruses assessed by molecular tests. The potential similarity of pathogenesis may reinforce the need for research on environmental and/or infectious agents associated with HCC that may contribute to the understanding of cancer in wildlife. Full article
(This article belongs to the Section Wildlife)
Show Figures

Graphical abstract

21 pages, 2822 KB  
Article
Integrative Phylogeography Reveals Conservation Priorities for the Giant Anteater Myrmecophaga tridactyla in Brazil
by Raphael T. F. Coimbra, Rafael F. Magalhães, Priscila Lemes, Flávia R. Miranda and Fabrício R. Santos
Diversity 2022, 14(7), 542; https://doi.org/10.3390/d14070542 - 5 Jul 2022
Cited by 3 | Viewed by 3688
Abstract
The giant anteater (Myrmecophaga tridactyla) is a strictly myrmecophagous xenarthran species that ranges from Honduras to northern Argentina, occupying various habitats, from grassland and floodplains to forests. According to the IUCN, it is a vulnerable species mainly threatened by poaching, habitat [...] Read more.
The giant anteater (Myrmecophaga tridactyla) is a strictly myrmecophagous xenarthran species that ranges from Honduras to northern Argentina, occupying various habitats, from grassland and floodplains to forests. According to the IUCN, it is a vulnerable species mainly threatened by poaching, habitat loss and fragmentation, and road kills. Here, we investigate the phylogeography, distribution, ecology, and historical demography of Brazilian populations of the giant anteater. We analysed two mitochondrial (mtDNA) and three nuclear (nDNA) markers in 106 individuals from the Cerrado, Pantanal, Atlantic Forest, and Amazon Forest biomes through analyses of population structure and demography, phylogeography, and ecological niche modelling. Two divergent mtDNA clusters were found, one in the Amazon (AM) and another in the Cerrado, Pantanal, and Atlantic Forest biomes (CEPTAF). At the population level, CEPTAF presented higher mtDNA haplotype richness than AM and a unidirectional mtDNA gene flow was identified from AM to CEPTAF, which could be linked to more favourable habitat conditions for the species in Cerrado and Pantanal. Paleodemographic reconstructions with mtDNA and nDNA data indicate a large population expansion of the species starting at the end of the Pleistocene. Finally, the integrative phylogeographic analyses of giant anteater populations reinforce the importance of the Brazilian Cerrado as a priority biome for the species’ conservation. Full article
(This article belongs to the Special Issue Molecular Evolution and Conservation of Tropical Biodiversity)
Show Figures

Figure 1

13 pages, 4835 KB  
Article
Assessment of Feeding Behavior of the Zoo-Housed Lesser Anteater (Tamandua tetradactyla) and Nutritional Values of Natural Prey
by Valentín Zárate, Jesica R. Mufari, Lucía G. Abalos Luna, Daniel P. Villarreal and Juan M. Busso
J. Zool. Bot. Gard. 2022, 3(1), 19-31; https://doi.org/10.3390/jzbg3010002 - 5 Jan 2022
Cited by 6 | Viewed by 6030
Abstract
Very little information is available to zoo managers on the nutritional preferences of the lesser anteater, a highly specialized predator. By studying lesser anteater feeding behavior, we expect to contribute to improved management decisions and individual welfare experiences. We studied the response of [...] Read more.
Very little information is available to zoo managers on the nutritional preferences of the lesser anteater, a highly specialized predator. By studying lesser anteater feeding behavior, we expect to contribute to improved management decisions and individual welfare experiences. We studied the response of zoo-housed lesser anteaters (n = 7) to feeders with live ants (Acromyrmex lundi) and termites (Cortaritermes fulviceps), and we also evaluated the nutritional values of these prey. We individually evaluated each lesser anteater (3 sessions), recording activities by camera. We ground insect samples into a coarse meal and evaluated in vitro biochemical parameters (humidity, lipids proteins, ash, and carbohydrates). Lesser anteaters spent more time with termites than with ants and consumed more termites. Ant meal presented a higher protein and lipid content than termite meal (35.28 ± 0.18% vs. 18.19 ± 0.34% and 16.95 ± 0.13% vs. 6.54 ± 0.31%, respectively), and carbohydrate digestibility was higher in termites. These findings indicate an association between the level of insect consumption and nutritional and digestibility values. This is the first exploration of lesser anteater responses to the presence of social insects in feeders and may serve to guide the study of food preferences in captivity. Full article
Show Figures

Graphical abstract

9 pages, 7962 KB  
Article
Structural and Ultrastructural Morphological Evaluation of Giant Anteater (Myrmecophaga tridactyla) Prostate Gland
by Fernanda Moura, Letícia Sampaio, Priscila Kobayashi, Renee Laufer-Amorim, João Carlos Ferreira, Tatiane Terumi Negrão Watanabe and Carlos E. Fonseca-Alves
Biology 2021, 10(3), 231; https://doi.org/10.3390/biology10030231 - 17 Mar 2021
Cited by 8 | Viewed by 6962
Abstract
The giant anteater (Myrmecophaga tridactyla) is a vulnerable species from Central and South America, and is considered possibly extinct in Belize, Guatemala, El Salvador, and Uruguay. Due to the species’ conservation and reproductive importance, this research aimed to characterize the morphology, [...] Read more.
The giant anteater (Myrmecophaga tridactyla) is a vulnerable species from Central and South America, and is considered possibly extinct in Belize, Guatemala, El Salvador, and Uruguay. Due to the species’ conservation and reproductive importance, this research aimed to characterize the morphology, histochemical, immunohistochemical, and ultrastructural feature of the giant anteater prostate gland. For this, we collected 11 giant anteater prostate glands and performed macroscopic, morphological, histochemical, immunohistochemical, and ultrastructural analysis. Nine prostate glands from an adult subject and two from young subjects were studied. Grossly, the adult giant anteater prostate gland is divided in two distinct zones; the central zones (composed mainly of ducts) and the peripheral zones (of acini formed by secretory cells). The secretory cells showed positive periodic acid–Schiff staining. Furthermore, the immunohistochemical characterization revealed a similar human prostate pattern, with p63 staining basal cells, uroplakin III (UPIII) superficial cells of prostatic urethra, androgen receptor (AR) expressing nucleus of secretory and stromal cells, and prostatic specific antigen (PSA) staining prostatic epithelial cells. Overall, our research provided an in-depth morphological description of the giant anteater’s prostate gland, providing valuable information for futures studies focused on giant anteater conservation. Full article
(This article belongs to the Section Developmental and Reproductive Biology)
Show Figures

Figure 1

Back to TopTop