Hepatocellular Carcinoma in a Free-Ranging Three-Toed Sloth (Bradypus variegatus)
Abstract
:Simple Summary
Abstract
1. Introduction
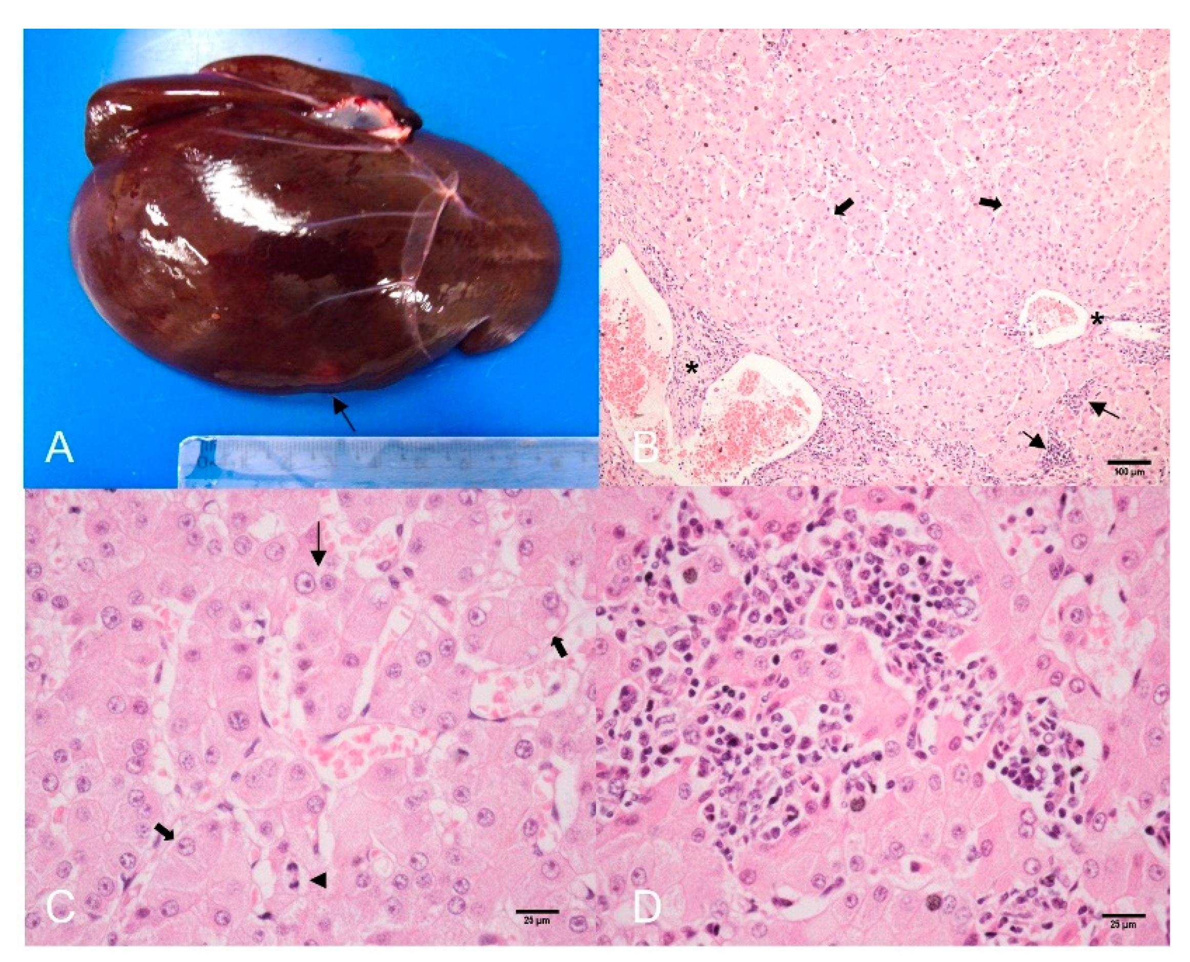
2. Case Presentation
3. Results
4. Discussion
5. Conclusions
Supplementary Materials
Author Contributions
Funding
Institutional Review Board Statement
Informed Consent Statement
Data Availability Statement
Acknowledgments
Conflicts of Interest
References
- Pesavento, P.A.; Agnew, D.; Keel, M.K.; Woolard, K.D. Cancer in wildlife: Patterns of emergence. Nat. Rev. Cancer 2018, 18, 646–661. [Google Scholar] [CrossRef] [PubMed]
- Boddy, A.M.; Harrison, T.M.; Abegglen, L.M. Comparative oncology: New insights into an ancient disease. Iscience 2020, 23, 101373. [Google Scholar] [CrossRef] [PubMed]
- Paradis, V.; Fukayama, M.; Park, Y.N.; Schirmacher, P. Tumours of the liver and intrahepatic bile ducts. In Digestive System Tumours WHO Classification of Tumours, 5th ed.; WHO Classification of Tumours Editorial Board, Ed.; IARC: Lyon, France, 2019; pp. 215–264. [Google Scholar]
- Ferrell, L.D.; Kakar, S.; Terracciano, L.M.; Wee, A. Tumours and tumour-like lesions of the liver. In MacSween’s Pathology of the Liver, 7th ed.; Alastair, D.B., Ferrell, L.D., Hubscher, S.G., Eds.; Elsevier: Philadelphia, PA, USA, 2018; pp. 780–879. [Google Scholar]
- Liu, T.C.; Vachharajani, N.; Chapman, W.C.; Brunt, E.M. Noncirrhotic hepatocellular carcinoma: Derivation from hepatocellular adenoma? Clinicopathologic analysis. Mod. Pathol. 2014, 27, 420–432. [Google Scholar] [CrossRef] [PubMed] [Green Version]
- Cullen, J.M.; Stalker, M.J. Liver and biliary system. In Jubb, Kennedy, and Palmer’s Pathology of Domestic Animals, 6th ed.; Maxie, G., Ed.; Elsevier: St. Louis, MO, USA, 2016; Volume 2, pp. 258–352. [Google Scholar]
- Cullen, J.M. Tumors of the liver and gallbladder. In Tumors in Domestic Animals, 5th ed.; Meuten, D.J., Ed.; Wiley Blackwell: Ames, IA, USA, 2017; pp. 602–631. [Google Scholar]
- Thung, S.N.; Gerber, M.A.; Purcell, R.H.; London, W.T.; Mihalik, K.B.; Popper, H. Animal model of human disease. Chimpanzee carriers of hepatitis B virus. Chimpanzee hepatitis B carriers. Am. J. Pathol. 1981, 105, 328–332. [Google Scholar] [PubMed]
- Pesavento, P.A.; Jackson, K.; Scase, T.; Tse, T.; Hampson, B.; Munday, J.S.; Barrs, V.R.; Beatty, J.A. A novel hepadnavirus is associated with chronic hepatitis and hepatocellular carcinoma in cats. Viruses 2019, 11, 969. [Google Scholar] [CrossRef] [PubMed] [Green Version]
- Tabor, E.; Hsia, C.C.; Muchmore, E. Histochemical and immunohistochemical similarities between hepatic tumors in two chimpanzees and man. J. Med. Primatol. 1994, 23, 271–279. [Google Scholar] [CrossRef] [PubMed]
- Gopalan, C.; Tulpule, P.G.; Krishnamurthi, D. Induction of hepatic carcinoma with aflatoxin in the rhesus monkey. Food Cosmet. Toxicol. 1972, 10, 519–521. [Google Scholar] [CrossRef]
- Harro, C.C.; Smedley, R.C.; Buchweitz, J.P.; Langlois, D.K. Hepatic copper and other trace mineral concentrations in dogs with hepatocellular carcinoma. J. Vet. Intern. Med. 2019, 33, 2193–2199. [Google Scholar] [CrossRef] [PubMed] [Green Version]
- Leone, A.M.; Crawshaw, G.J.; Garner, M.M.; Frasca, S.; Stasiak, I.; Rose, K.; Neal, D.; Farina, L.L. A retrospective study of the lesions associated with iron storage disease in captive Egyptian fruit bats (Rousettus aegyptiacus). J. Zoo Wildl. Med. 2016, 47, 45–55. [Google Scholar] [CrossRef]
- Hale, G.; Liu, X.; Hu, J.; Xu, Z.; Che, L.; Solomon, D.; Tsokos, C.; Shafizadeh, N.; Chen, X.; Gill, R.; et al. Correlation of exon 3 β-catenin mutations with glutamine synthetase staining patterns in hepatocellular adenoma and hepatocellular carcinoma. Mod. Pathol. 2016, 29, 1370–1380. [Google Scholar] [CrossRef] [Green Version]
- Torbenson, M.S. Morphologic subtypes of hepatocellular carcinoma. Gastroenterol. Clin. N. Am. 2017, 46, 365–391. [Google Scholar] [CrossRef]
- van Sprundel, R.G.; van den Ingh, T.S.; Guscetti, F.; Kershaw, O.; Kanemoto, H.; van Gils, H.M.; Rothuizen, J.; Roskams, T.; Spee, B. Classification of primary hepatic tumours in the dog. Vet. J. 2013, 197, 596–606. [Google Scholar] [CrossRef] [PubMed]
- van Sprundel, R.G.; van den Ingh, T.S.; Guscetti, F.; Kershaw, O.; van Wolferen, M.E.; Rothuizen, J.; Spee, B. Classification of primary hepatic tumours in the cat. Vet. J. 2014, 202, 255–266. [Google Scholar] [CrossRef] [PubMed]
- Vielmo, A.; Panziera, W.; Bianchi, M.V.; Argenta, F.F.; Lorenzo, C.D.; Vielmo, L.A.; Pavarini, S.P.; Driemeier, D. Primary hepatic neoplasms in cattle. Pesq. Vet. Bras. 2020, 40, 409–416. [Google Scholar] [CrossRef]
- Drexler, J.F.; Geipel, A.; König, A.; Corman, V.M.; van Riel, D.; Leijten, L.M.; Bremer, C.M.; Rasche, A.; Cottontail, V.M.; Maganga, G.D.; et al. Bats carry pathogenic hepadnaviruses antigenically related to hepatitis B virus and capable of infecting human hepatocytes. Proc. Natl. Acad. Sci. USA 2013, 110, 16151–16156. [Google Scholar] [CrossRef] [PubMed] [Green Version]
- Kapoor, A.; Simmonds, P.; Scheel, T.K.; Hjelle, B.; Cullen, J.M.; Burbelo, P.D.; Chauhan, L.V.; Duraisamy, R.; Sanchez Leon, M.; Jain, K.; et al. Identification of rodent homologs of hepatitis C virus and pegiviruses. MBio 2013, 4, e00216-13. [Google Scholar] [CrossRef] [PubMed] [Green Version]
- Salas, E.; Wolf, T.; Harris, S. Chronic renal disease in a captive two-toed sloth (Choloepus didactylus) with concurrent hepatocellular carcinoma. J. Zoo Wildl. Med. 2014, 45, 402–405. [Google Scholar] [CrossRef] [PubMed]
- Charles, J.A.; Cullen, J.M.; van den Ingh, T.S.G.A.M.; van Winkle, T.; Desmet, V.J. Morphological classification of neoplastic disorders of the canine and feline liver. In WSAVA Standards for Clinical and Histological Diagnosis of Canine and Feline Liver Diseases, 1st ed.; WSAVA Liver Standardization Group, Ed.; Elsevier Health Sciences: Edinburgh, UK, 2006; pp. 117–124. [Google Scholar]
- Torbenson, M.S. Hepatocellular carcinoma: Making sense of morphological heterogeneity, growth patterns, and subtypes. Hum. Pathol. 2021, 112, 86–101. [Google Scholar] [CrossRef] [PubMed]
- Kim, H.; Leow, W.Q.; Lo, R.; Mendonza, P.G.L.; Chan, A.W.H. Lymphocyte-rich hepatocellular carcinoma. In Atlas of Hepatocellular Carcinoma Pathology, 1st ed.; Kim, H., Leow, W.Q., Lo, R., Mendoza, P.G.L., Chan, A.W.H., Eds.; Springer: Singapore, 2022; pp. 69–75. [Google Scholar]
- Moreira-Soto, A.; Arroyo-Murillo, F.; Sander, A.L.; Rasche, A.; Corman, V.; Tegtmeyer, B.; Steinmann, E.; Corrales-Aguilar, E.; Wieseke, N.; Avey-Arroyo, J.; et al. Cross-order host switches of hepatitis C-related viruses illustrated by a novel hepacivirus from sloths. Virus Evol. 2020, 6, veaa033. [Google Scholar] [CrossRef] [PubMed]



| Target Antigen | Clone | Manufacturer | Dilution | Antigen Retrieval Buffer |
|---|---|---|---|---|
| HepPar-1 | OCH1E5 | Dako, Carpinteria, CA, USA | 1:500 | Citrate buffer (pH 6.0) |
| β-catenin | H102 | Santa Cruz Biotechnology, Santa Cruz, CA, USA | 1:200 | Citrate buffer (pH 6.0) |
| GS | GS6 | Millipore, Bedford, MA, USA | 1:500 | Citrate buffer (pH 9.0) |
| CK19 | B170 | Leica Biosystems, Wetzlar, Germany | 1:500 | Citrate buffer (pH 9.0) |
Publisher’s Note: MDPI stays neutral with regard to jurisdictional claims in published maps and institutional affiliations. |
© 2022 by the authors. Licensee MDPI, Basel, Switzerland. This article is an open access article distributed under the terms and conditions of the Creative Commons Attribution (CC BY) license (https://creativecommons.org/licenses/by/4.0/).
Share and Cite
de Souza, A.J.S.; Malheiros, A.P.; da Silva, V.L.; da Silva, T.C.; Cogliati, B.; de Sá, L.R.M. Hepatocellular Carcinoma in a Free-Ranging Three-Toed Sloth (Bradypus variegatus). Animals 2022, 12, 1921. https://doi.org/10.3390/ani12151921
de Souza AJS, Malheiros AP, da Silva VL, da Silva TC, Cogliati B, de Sá LRM. Hepatocellular Carcinoma in a Free-Ranging Three-Toed Sloth (Bradypus variegatus). Animals. 2022; 12(15):1921. https://doi.org/10.3390/ani12151921
Chicago/Turabian Stylede Souza, Alex Junior Souza, Andreza Pinheiro Malheiros, Victor Lopes da Silva, Tereza Cristina da Silva, Bruno Cogliati, and Lilian Rose Marques de Sá. 2022. "Hepatocellular Carcinoma in a Free-Ranging Three-Toed Sloth (Bradypus variegatus)" Animals 12, no. 15: 1921. https://doi.org/10.3390/ani12151921
APA Stylede Souza, A. J. S., Malheiros, A. P., da Silva, V. L., da Silva, T. C., Cogliati, B., & de Sá, L. R. M. (2022). Hepatocellular Carcinoma in a Free-Ranging Three-Toed Sloth (Bradypus variegatus). Animals, 12(15), 1921. https://doi.org/10.3390/ani12151921

