Sign in to use this feature.

Years

Between: -

Subjects

remove_circle_outline
remove_circle_outline
remove_circle_outline
remove_circle_outline
remove_circle_outline
remove_circle_outline
remove_circle_outline

Journals

remove_circle_outline
remove_circle_outline
remove_circle_outline
remove_circle_outline
remove_circle_outline
remove_circle_outline
remove_circle_outline
remove_circle_outline
remove_circle_outline
remove_circle_outline
remove_circle_outline
remove_circle_outline
remove_circle_outline

Article Types

Countries / Regions

remove_circle_outline
remove_circle_outline
remove_circle_outline
remove_circle_outline
remove_circle_outline

Search Results (1,593)

Search Parameters:
Keywords = SMAD3

Order results
Result details
Results per page
Select all
Export citation of selected articles as:
18 pages, 2337 KB  
Article
Polyploid and Chromosomal Copy Number Gain Cells in Metastatic Colon Cancer: Exploratory Genotype–Phenotype Correlations
by Alessandro Ottaiano, Federica Zito Marino, Monica Ianniello, Giuliana Ciappina, Enrica Toscano, Antonio Ieni, Stefano Lucà, Roberto Sirica, Enrica Maiorana, Salvatore Berretta, Nadia Di Carluccio, Michele Caraglia, Giovanni Savarese, Renato Franco and Massimiliano Berretta
Cancers 2026, 18(6), 994; https://doi.org/10.3390/cancers18060994 - 19 Mar 2026
Abstract
Background: Polyploid and chromosomal copy number gains (CNGs) cells may serve as key mediators of tumor plasticity, therapeutic resistance, and clonal evolution. Despite growing interest, their biological and clinical relevance in colorectal cancer, particularly in the metastatic setting, remains poorly defined. Methods: We [...] Read more.
Background: Polyploid and chromosomal copy number gains (CNGs) cells may serve as key mediators of tumor plasticity, therapeutic resistance, and clonal evolution. Despite growing interest, their biological and clinical relevance in colorectal cancer, particularly in the metastatic setting, remains poorly defined. Methods: We performed an integrated morphological, cytogenetic, and genomic analysis of metastatic colon cancer. A tissue microarray comprising 100 tumors was evaluated, of which 47 cases were fully assessable for morphology and fluorescence in situ hybridization (FISH). Polyploid nuclei and chromosomal CNGs were assessed morphologically and cytogenetically. High-resolution targeted sequencing (TruSight Oncology 500) was conducted to characterize genomic alterations. Bioinformatic analyses included Gene Ontology enrichment and Phenolyzer network modeling. Associations with clinicopathological variables and survival outcomes were explored. Results: Polyploid nuclei and/or chromosomal CNGs were identified in approximately 25% of evaluable cases. These alterations were enriched in right-sided CRCs and in older patients, suggesting a link with age-related genomic instability. Polyploid/CNG tumors did not show significant enrichment for canonical CRC driver mutations (RAS, TP53, SMAD4), although trends toward co-occurrence with BRAF mutation and mutual exclusivity with HER2 amplification were observed. Integrative bioinformatic analyses highlighted dysregulation of pathways involved in mitotic control, centrosome organization, and DNA replication stress. Conclusions: In metastatic colon cancer, the presence of genome-wide copy number gain may delineate a tumor subset with distinctive clinicopathological and molecular characteristics. Further studies are warranted to elucidate the biological significance of these features and to explore their potential implications for tumor evolution, treatment response, and clinical stratification. Full article
(This article belongs to the Special Issue Innovations in Colorectal Cancer)
Show Figures

Figure 1

15 pages, 3077 KB  
Article
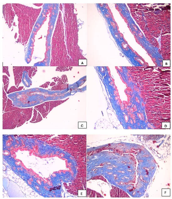
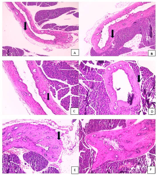
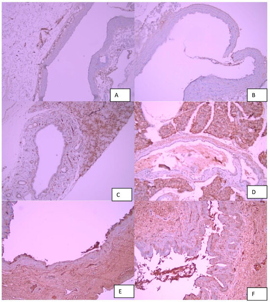
Antifibrotic Effect of the TGF-β Type I Receptor Inhibitor EW-7197 on Anastomotic Healing in a Rat Choledochojejunostomy Model
by Fırat Aslan, Serhat Binici, Iklil Eryılmaz, Burhan Beger, Orhan Beger, Ümit Haluk İliklerden, İbrahim Özalp, Zehra Akman İlik, Feyruz Karakoyun, Şahin Şahinalp, Muzaffer Önder Öner and Mehmet Çetin Kotan
Biomedicines 2026, 14(3), 698; https://doi.org/10.3390/biomedicines14030698 - 17 Mar 2026
Viewed by 87
Abstract
Background/Aim: Anastomotic stricture following choledochojejunostomy (CJS) is largely driven by fibrotic remodeling at the anastomotic site, a process mediated by transforming growth factor-β (TGF-β) signaling. This problem is particularly relevant in emergency biliary surgery, where CJS is frequently performed under suboptimal conditions [...] Read more.
Background/Aim: Anastomotic stricture following choledochojejunostomy (CJS) is largely driven by fibrotic remodeling at the anastomotic site, a process mediated by transforming growth factor-β (TGF-β) signaling. This problem is particularly relevant in emergency biliary surgery, where CJS is frequently performed under suboptimal conditions and anastomotic leakage is common, predisposing to exaggerated fibrosis and late strictures. This study aimed to evaluate the effect of the TGF-β type I receptor (ALK5) inhibitor EW-7197 (vactosertib) on histopathological parameters of anastomotic healing, with a particular focus on fibrosis, in a rat CJS model. Materials and Methods: Twenty-four male Wistar Albino rats were randomized into three groups (n = 8 each): control (G1), CJS only (G2), and CJS plus EW-7197 (G3). EW-7197 was administered as a single intraperitoneal dose (20 mg/kg) immediately after completion of the anastomosis. On postoperative day 21, choledochojejunal anastomotic tissues were harvested and evaluated histologically using hematoxylin–eosin and Masson’s trichrome staining. Edema, hyperemia, inflammation, and fibrosis were graded using a semi-quantitative scoring system, and intergroup comparisons were performed using non-parametric statistical tests. Results: Compared with surgery alone, EW-7197 treatment resulted in a statistically significant reduction in fibrosis severity at the anastomotic site (p < 0.001) and a significant attenuation of hyperemia (p = 0.007). Edema scores showed a downward trend in the EW-7197-treated group but did not reach statistical significance, while inflammation scores did not differ significantly between the surgical groups. Conclusions: In this experimental rat choledochojejunostomy model, administration of the selective ALK5 inhibitor EW-7197 significantly reduced histopathological fibrosis and hyperemia at the anastomotic site on postoperative day 21 without affecting inflammation severity. These findings support the role of the TGF-β/Smad pathway in bilioenteric anastomotic fibrotic remodeling. However, further studies including molecular validation and functional assessments are required to clarify the translational relevance of these results. Full article
(This article belongs to the Section Drug Discovery, Development and Delivery)
Show Figures

Figure 1

19 pages, 1363 KB  
Review
Genomic and Epigenetic Landscapes of Keloid Scarring: Ancestry–Dependent Insights and Therapeutic Implications—A Narrative Review
by José Fernando Llanos-Rodríguez, Alan David De La Fuente Malvaez, Angélica Saraí Jiménez-Osorio, Luz Berenice López-Hernández, Jacqueline Solares-Tlapechco, Gerardo Marín, Carlos Castillo-Rangel, Cristofer Zarate-Calderon and Martha Eunice Rodríguez-Arellano
Cosmetics 2026, 13(2), 70; https://doi.org/10.3390/cosmetics13020070 - 16 Mar 2026
Viewed by 128
Abstract
Background: Keloid scarring is a fibroproliferative disorder driven by a complex interplay of genetic, epigenetic, and environmental factors, resulting in significant cosmetic and functional impairment. Despite its high prevalence in African, Asian, and Hispanic populations, the molecular mechanisms underlying ancestry-dependent susceptibility remain incompletely [...] Read more.
Background: Keloid scarring is a fibroproliferative disorder driven by a complex interplay of genetic, epigenetic, and environmental factors, resulting in significant cosmetic and functional impairment. Despite its high prevalence in African, Asian, and Hispanic populations, the molecular mechanisms underlying ancestry-dependent susceptibility remain incompletely understood. Methods: This narrative review synthesizes current genomic, epigenetic, and multi-omic evidence related to keloid scarring. Relevant literature was identified through a targeted, structured, non-systematic search of PubMed, Scopus, Web of Science, SciELO, and Google Scholar up to August 2025, focusing on genetic susceptibility loci, epigenetic regulation, and ancestry-related differences. PRISMA-ScR guidelines were used as a reporting framework to enhance transparency, without implying a formal systematic review methodology. Results: This synthesis identifies recurrent susceptibility loci at 1q41, 3q22.3, and 15q21.3 across multiple populations. Variants in NEDD4 and regulatory regions near BMP2 emerge as key modulators of profibrotic signaling pathways, including TGF-β/SMAD and NF-κB. Additionally, epigenetic reprogramming and long non-coding RNA networks, such as CACNA1G-AS1, appear to sustain fibroblast hyperactivation. A persistent limitation is the marked underrepresentation of Latin American populations in current genomic studies. Conclusions: Integrating ancestry-specific genomic variation with epigenetic markers is essential for advancing precision diagnostic and therapeutic strategies in keloid scarring. Future research should prioritize diverse, multicenter cohorts and integrative multi-omics approaches to improve risk stratification and enable targeted interventions for this disfiguring condition. Full article
(This article belongs to the Section Cosmetic Dermatology)
Show Figures

Figure 1

18 pages, 1756 KB  
Article
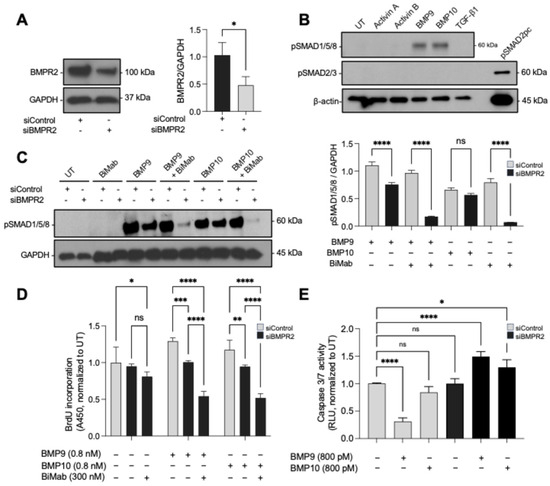
BMPR2 Dosage Gates BMP9/10 Signaling Output in Pulmonary Artery Endothelium
by Kit-Yee Chu, Vijayalakshmi Thamilselvan, Amberly N. Crawford, Paul B. Yu and Erik Martinez-Hackert
Cells 2026, 15(6), 492; https://doi.org/10.3390/cells15060492 - 10 Mar 2026
Viewed by 262
Abstract
Pulmonary arterial hypertension (PAH) is characterized by dysfunction and remodeling of the pulmonary artery endothelium and smooth muscle. In heritable PAH, heterozygous loss-of-function mutations in the type II Bone Morphogenetic Protein (BMP) receptor gene (BMPR2) are the most common genetic cause. [...] Read more.
Pulmonary arterial hypertension (PAH) is characterized by dysfunction and remodeling of the pulmonary artery endothelium and smooth muscle. In heritable PAH, heterozygous loss-of-function mutations in the type II Bone Morphogenetic Protein (BMP) receptor gene (BMPR2) are the most common genetic cause. However, the mechanisms by which reduced BMPR2 levels alter endothelial signaling to drive PAH pathogenesis remain incompletely understood. To determine how BMPR2 levels govern signaling output and endothelial functional responses, we modulated BMPR2 expression in human pulmonary artery endothelial cells (PAECs) and assessed ligand-dependent SMAD1/5/8 signaling, proliferation, and caspase-3/7 activity. We found that BMP9 and BMP10 robustly activated SMAD1/5/8 signaling and promoted proliferation in PAECs, whereas the other ligands in this panel did not elicit a comparable signaling or proliferative response under these assay conditions. A moderate (~50%) reduction in BMPR2 protein levels (an in vitro approximation of haploinsufficiency) attenuated BMP9/10-induced SMAD1/5/8 activation, abolished proliferative responses, and was associated with a modest increase in caspase-3/7 activity, consistent with caspase pathway activation and early stress/injury signaling. Under BMPR2-limiting conditions, BMP9/10 responses became sensitive to Activin type II receptor blockade by bimagrumab, consistent with a context-dependent contribution of Activin type II receptors. Conversely, BMPR2 overexpression enhanced BMP9/10-dependent SMAD signaling and proliferation. Together, these findings support a receptor–dosage model where physiological BMPR2 expression is required to sustain homeostatic BMP9/10 signaling in pulmonary artery endothelium. This framework provides a basis for interpreting context-dependent pathway effects in PAH. Full article
Show Figures

Figure 1

16 pages, 1428 KB  
Article
Differential Expression of Fibrosis-Related Genes in Intrauterine Adhesions and Cesarean Scar Defects: A Cohort Study
by Loredana Maria Toma, Natalia Simionescu, Raluca Balan, Demetra Socolov, Ioana-Sadiye Scripcariu, Florin Zugun-Eloae, Mihaela Tirnovanu, Daniela Viorelia Matei and Razvan Socolov
J. Clin. Med. 2026, 15(5), 2021; https://doi.org/10.3390/jcm15052021 - 6 Mar 2026
Viewed by 214
Abstract
Objectives: This study aimed to characterize the expression patterns and interrelationship of key fibrosis-related markers—TGF-β1, SMAD2, SMAD3, and fibronectin—in human endometrial tissue, and to explore their potential diagnostic relevance in differentiating intrauterine adhesions (IUAs) from cesarean scar defects [...] Read more.
Objectives: This study aimed to characterize the expression patterns and interrelationship of key fibrosis-related markers—TGF-β1, SMAD2, SMAD3, and fibronectin—in human endometrial tissue, and to explore their potential diagnostic relevance in differentiating intrauterine adhesions (IUAs) from cesarean scar defects (isthmocele), with a particular focus on underlying fibrotic remodeling processes. Methods: Endometrial samples were obtained from women diagnosed with IUAs, isthmocele, or without uterine pathology. Total RNA was extracted from all specimens, and gene expression levels were quantified using real-time quantitative polymerase chain reaction (PCR). Statistical analyses included intergroup comparisons, parametric and non-parametric correlation analysis, multivariable linear and logistic regression models, and receiver operating characteristic (ROC) curve analysis to explore the discriminatory potential of the evaluated markers. Results: Significant positive correlations were observed across the study population between SMAD2 and SMAD3 (r = 0.892; p = 0.001), SMAD2 and TGF-β1 (r = 0.697; p = 0.001), and SMAD3 and TGF-β1 (r = 0.910; p = 0.001), indicating coordinated activation of profibrotic signaling pathways. ROC curve analysis showed high discriminatory performance for isthmocele across all evaluated markers, with area under the curve (AUC) values of 0.976 for SMAD3, 0.961 for TGF-β1, 0.913 for fibronectin, and 0.928 for SMAD2 (all p = 0.001). In contrast, although elevated expression levels of fibrotic markers were observed across different American Fertility Society (AFS) stages in IUAs, these differences did not reach statistical significance. Conclusions: This study provides molecular evidence distinguishing isthmocele from IUAs with respect to fibrosis-related signaling in human endometrial tissue. The markedly elevated and coordinated expression of TGF-β1, SMAD2, SMAD3, and fibronectin in isthmocele reflects activation of post-cesarean fibrotic remodeling pathways. However, given the limited sample size and the exploratory nature of the analyses, larger cohorts and future studies are required to validate these findings and to allow extrapolation of the results to the general population. At this stage, these biomarkers should therefore be regarded as indicators of underlying pathophysiological processes. Full article
(This article belongs to the Section Obstetrics & Gynecology)
Show Figures

Figure 1

20 pages, 2875 KB  
Article
Camellia sinensis Seed Flavonoids Attenuate UVB-Induced Inflammation and UVA-Induced Photodamage via MAPK/NF-κB and AP-1 Pathways
by Xiao-Xiao Duo, Ru-Biao Hou, Yuan-Cheng Huang, Lei Li, Jian-Ming Deng, Min Yu, Guang-Li Wang and Jing Wang
Molecules 2026, 31(5), 871; https://doi.org/10.3390/molecules31050871 - 5 Mar 2026
Viewed by 330
Abstract
This study evaluated the anti-inflammation and anti-photoaging effects of Camellia sinensis seed flavonoids (CSF) against UVB and UVA irradiation and elucidated the underlying mechanisms. Using UVB-irradiated human keratinocytes and UVA-irradiated human dermal fibroblasts, we found that CSF significantly reduced intracellular ROS and suppressed [...] Read more.
This study evaluated the anti-inflammation and anti-photoaging effects of Camellia sinensis seed flavonoids (CSF) against UVB and UVA irradiation and elucidated the underlying mechanisms. Using UVB-irradiated human keratinocytes and UVA-irradiated human dermal fibroblasts, we found that CSF significantly reduced intracellular ROS and suppressed the secretion of inflammatory factors (PGE-2, TNF-α, IL-6, IL-8) by inhibiting the p38/JNK and NF-κB pathways, along with iNOS and COX-2 expression. In keratinocytes, CSF also downregulated Caspase-3 and upregulated barrier proteins filaggrin and Claudin-1. In fibroblasts, CSF counteracted UVA damage by upregulating collagen IV and XVII at the dermo-epidermal junction and enhancing the production of collagen I, III, and hyaluronic acid in the dermis, mediated via AP-1 inhibition and TGF-β/Smad pathway modulation. These results demonstrate that CSF coordinated anti-inflammatory, barrier-repair, and anti-photoaging actions, highlighting its potential as a promising skincare ingredient. Full article
Show Figures

Graphical abstract

21 pages, 15875 KB  
Article
Glycogen Hydrogel Loaded with Schistosoma japonicas Peptide SJMHE1 Improves Skin Wound Healing
by Yanwei Yang, Shang Wang, Yuyun Jiang, Liyue Huo, Wei Zhu, Xiaolin Zhang, Yubei Zhang and Xuefeng Wang
Biomolecules 2026, 16(3), 392; https://doi.org/10.3390/biom16030392 - 5 Mar 2026
Viewed by 282
Abstract
Current wound healing strategies must confront numerous challenges. Helminth-induced immunomodulation offers a promising therapeutic avenue for inflammatory diseases and injury repair. However, research on the role of helminths in damage recovery remains limited. We utilized glycogen—a naturally occurring biomaterial—to encapsulate SJMHE1, a bioactive [...] Read more.
Current wound healing strategies must confront numerous challenges. Helminth-induced immunomodulation offers a promising therapeutic avenue for inflammatory diseases and injury repair. However, research on the role of helminths in damage recovery remains limited. We utilized glycogen—a naturally occurring biomaterial—to encapsulate SJMHE1, a bioactive peptide derived from Schistosoma japonicum, and successfully developed a facilely prepared hydrogel formulation denoted as SJMHE1-gel. The properties of SJMHE1-gel, its effect on cell activity, and its performance in a murine full-thickness skin defect model were evaluated. The glycogen-based hydrogel exhibited a uniform pore size, excellent biocompatibility, and sustained release of SJMHE1. Topical application of SJMHE1-gel enhanced collagen deposition, promoted angiogenesis, facilitated the regeneration of hair follicles and sebaceous glands, and accelerated full-thickness wound healing. SJMHE1-gel also promoted M2 macrophage polarisation and suppressed inflammatory cytokine expression both in vivo and in vitro. Mechanistically, SJMHE1-treated macrophages upregulate TGF-β, which in turn promotes the migration of L929 fibroblasts and human umbilical vein endothelial cells (HUVECs) via the Smad3 pathway. Neutralization of TGF-β attenuates phosphorylated Smad3 (p-Smad3) levels and impairs the migratory capacity of both fibroblasts and HUVECs. Additionally, SJMHE1-treated macrophages upregulate VEGFA, thereby enhancing angiogenic tube formation in HUVECs. This easy-to-prepare hydrogel can regulate macrophage polarization, inhibit inflammation, promote angiogenesis, and accelerate collagen deposition, acting across wound healing stages to provide a novel therapeutic strategy. Full article
(This article belongs to the Section Natural and Bio-derived Molecules)
Show Figures

Graphical abstract

17 pages, 750 KB  
Review
Peroxisome Proliferator-Activated Receptor β/δ: A Link Between Metabolism, Inflammation, and Fibrosis in Metabolic Dysfunction-Associated Steatotic Liver Disease
by Xavier Palomer, Jue-Rui Wang, Xiaoman Tang, Siyuan Wu, Ricardo Rodríguez-Calvo, Walter Wahli and Manuel Vázquez-Carrera
Cells 2026, 15(5), 464; https://doi.org/10.3390/cells15050464 - 5 Mar 2026
Viewed by 465
Abstract
Metabolic dysfunction-associated steatotic liver disease (MASLD) is considered a hepatic manifestation of insulin resistance and ranges from isolated steatosis to metabolic dysfunction-associated steatohepatitis (MASH). Hepatocyte ballooning, indicative of hepato-cellular damage, and liver inflammation, with or without fibrosis, are characteristic of MASH. Evidence shows [...] Read more.
Metabolic dysfunction-associated steatotic liver disease (MASLD) is considered a hepatic manifestation of insulin resistance and ranges from isolated steatosis to metabolic dysfunction-associated steatohepatitis (MASH). Hepatocyte ballooning, indicative of hepato-cellular damage, and liver inflammation, with or without fibrosis, are characteristic of MASH. Evidence shows that peroxisome proliferator-activated receptor β/δ (PPARβ/δ), expressed in the major liver cells (hepatocytes, Kupffer cells, cholangiocytes, and hepatic stellate cells), may help prevent the progression of MASLD by ameliorating insulin resistance, lipotoxicity, inflammation, and fibrosis. In this review, we summarize the molecular mechanisms by which PPARβ/δ attenuates the progression of MASLD and discuss future research perspectives. Full article
(This article belongs to the Special Issue The Role of PPARs in Disease - Volume IV)
Show Figures

Figure 1

19 pages, 1474 KB  
Review
Molecular Mechanisms of Cardiac Fibrosis: A Pathologist’s Perspective
by Andrea Marzullo and Cecilia Salzillo
Curr. Issues Mol. Biol. 2026, 48(3), 278; https://doi.org/10.3390/cimb48030278 - 5 Mar 2026
Viewed by 243
Abstract
Cardiac fibrosis represents a final common pathway in a wide range of cardiac disorders, leading to structural remodeling, diastolic dysfunction, and heart failure. From a pathologist’s viewpoint, fibrotic remodeling displays distinctive morphologic patterns such as interstitial, perivascular, and replacement fibrosis, which mirror specific [...] Read more.
Cardiac fibrosis represents a final common pathway in a wide range of cardiac disorders, leading to structural remodeling, diastolic dysfunction, and heart failure. From a pathologist’s viewpoint, fibrotic remodeling displays distinctive morphologic patterns such as interstitial, perivascular, and replacement fibrosis, which mirror specific cellular and molecular mechanisms. Central to this process is the activation of cardiac fibroblasts into myofibroblasts, driven by profibrotic signaling cascades such as transforming growth factor beta (TGF-β)/mothers against decapentaplegic homolog proteins (SMAD), Wingless/Integrated signaling pathway (Wnt)/βeta-catenin, and Hippo-Yes-associated protein (YAP)/transcriptional coactivator with PDZ-binding motif (TAZ) pathways. Neurohumoral mediators, including angiotensin II and aldosterone, further amplify extracellular matrix synthesis and tissue stiffness. Epigenetic modulators and non-coding RNAs (n-c RNAs) orchestrate transcriptional programs that perpetuate fibroblast activation. Histopathological correlates of these molecular events, collagen deposition, alpha-smooth muscle actin (α-SMA) expression, and extracellular matrix (ECM) cross-linking, can be demonstrated through immunohistochemistry and digital morphometry. This review integrates molecular signaling and morphologic evidence to delineate the mechanisms of cardiac fibrosis, emphasizing the pathologist’s role as a link between molecular insight and diagnostic interpretation. Understanding these intertwined processes provides the foundation for novel antifibrotic therapies targeting key molecular nodes of fibroblast activation and matrix remodeling. Full article
Show Figures

Figure 1

19 pages, 1809 KB  
Review
The Role of the Apelin Receptor in the Pathophysiology of Pulmonary Arterial Hypertension
by Karla M. Rada, Alejandra M. Zúniga-Muñoz, Yamnia Q. Alvarez-Alvarez, Roxana Carbó, Horacio Osorio-Alonso, Cecilia Zazueta, Leonardo Del Valle-Mondragón, José L. Sánchez-Gloria, Gustavo Guevara-Balcázar, Ivan Rubio-Gayosso and Fausto Sánchez-Muñoz
Cells 2026, 15(5), 460; https://doi.org/10.3390/cells15050460 - 4 Mar 2026
Viewed by 348
Abstract
Pulmonary arterial hypertension (PAH) is a progressive disease characterized by endothelial dysfunction, vascular remodeling, and a sustained increase in pulmonary vascular resistance, causing cardiopulmonary damage. The apelin receptor (APJ), a member of the G protein-coupled receptor family, has emerged as an essential modulator [...] Read more.
Pulmonary arterial hypertension (PAH) is a progressive disease characterized by endothelial dysfunction, vascular remodeling, and a sustained increase in pulmonary vascular resistance, causing cardiopulmonary damage. The apelin receptor (APJ), a member of the G protein-coupled receptor family, has emerged as an essential modulator of vascular homeostasis. Clinical and preclinical studies have demonstrated that its activation exerts beneficial effects on the progression of PAH. Its main actions include the restoration of endothelial function, reactivation of the BMPR2/SMAD axis, induction of nitric oxide-mediated vasodilation, inhibition of autophagy and the migration of the pulmonary artery smooth muscle cells (PASMCs). Furthermore, its expression and functionality are modulated by epitranscriptomic mechanisms, particularly by microRNAs involved in the post-transcriptional regulation of key genes for vascular homeostasis. These findings position the APJ as a relevant therapeutic target in PAH. However, the clinical application of its agonists still faces pharmacokinetic limitations that restrict their therapeutic use. Therefore, the aim of this review is to gather current information on APJ in the pathophysiology of PAH and focus attention on its potential as a therapeutic target. Full article
Show Figures

Graphical abstract

17 pages, 1351 KB  
Review
From Dysbiosis to Tissue Destruction: Periodontal Pathogens as Inducers of Gingival Epithelial–Mesenchymal Transition (A Narrative Review)
by Hadeel Mazin Akram and Saif Sehaam Saliem
J. Mol. Pathol. 2026, 7(1), 11; https://doi.org/10.3390/jmp7010011 - 4 Mar 2026
Viewed by 347
Abstract
Periodontitis is a dysbiosis-driven inflammatory disease in which a pathogenic subgingival biofilm disrupts the host–microbe equilibrium and promotes progressive loss of tooth-supporting tissues. While periodontal destruction has traditionally been explained mainly through the host immune response, increasing experimental and clinical evidence suggests that [...] Read more.
Periodontitis is a dysbiosis-driven inflammatory disease in which a pathogenic subgingival biofilm disrupts the host–microbe equilibrium and promotes progressive loss of tooth-supporting tissues. While periodontal destruction has traditionally been explained mainly through the host immune response, increasing experimental and clinical evidence suggests that epithelial–mesenchymal transition (EMT)-like changes in the gingival epithelium may contribute to barrier failure and tissue remodeling during disease progression. EMT is characterized by reduced epithelial adhesion and polarity, alongside a shift toward a mesenchymal-like phenotype with enhanced motility and impaired epithelial barrier function. This narrative review focuses on how periodontal pathogens, particularly red complex organisms and keystone species, may trigger gingival EMT through virulence factors such as gingipains, fimbriae, lipopolysaccharide, and outer membrane vesicles. These microbial signals can hijack host pathways including TGF-β/Smad, Wnt/β-catenin, and Notch to drive EMT-associated transcriptional changes and downstream functional consequences. Collectively, pathogen-induced gingival EMT may facilitate deeper microbial invasion, perpetuate chronic inflammation, impair wound healing, and contribute to fibrotic remodeling, ultimately linking microbial dysbiosis to connective tissue destruction. Understanding these mechanisms may support the development of EMT-related biomarkers and targeted interventions aimed at preserving epithelial barrier stability in periodontitis. Full article
Show Figures

Figure 1

26 pages, 12603 KB  
Article
Involvement of c-Myc/WWP1/TRIM65 Axis in Renal Fibrosis
by Sonia Mazumder, Cody Gifford, Jiaqi Tang, Fortis Gaba, Varsha Mondal, Roel Goldschmeding, Rohan Samarakoon and Paul J. Higgins
Biomolecules 2026, 16(3), 373; https://doi.org/10.3390/biom16030373 - 2 Mar 2026
Viewed by 281
Abstract
Maladaptive tubular repair is a major contributor to fibrosis and chronic kidney disease (CKD), yet the molecular regulators of this process remain poorly understood. We report that the E3 ubiquitin ligases WWP1 and TRIM65 are novel regulators of tubular fibrosis. Both ligases were [...] Read more.
Maladaptive tubular repair is a major contributor to fibrosis and chronic kidney disease (CKD), yet the molecular regulators of this process remain poorly understood. We report that the E3 ubiquitin ligases WWP1 and TRIM65 are novel regulators of tubular fibrosis. Both ligases were markedly induced in human and experimental CKD. WWP1 induction correlates with declining renal function in humans, highlighting the potential clinical relevance of WWP1. Profibrotic factor PAI-1 promotes a robust induction of WWP1 and TRIM65 in both primary human renal epithelial cells as well as cell line (HK-2). The silencing of WWP1 or TRIM65 significantly attenuated PAI-1-induced fibrotic signaling. Mechanistically, PAI-1 triggers a signaling cascade in which suppression of the regenerative BMP-7/SMAD5 pathway permits c-Myc induction, resulting in WWP1 and TRIM65 upregulation. The elevated expression of these ligases subsequently promotes epithelial dedifferentiation and fibrotic growth arrest. Restoration of BMP-7 or SMAD5 signaling disrupted this cascade and reduced fibrosis in renal tubular cells. Our study establishes a previously unrecognized PAI-1–c-Myc–WWP1/TRIM65 axis governing tubular maladaptive repair and positions WWP1 as a potentially new therapeutic target for slowing CKD progression. Full article
(This article belongs to the Section Cellular Biochemistry)
Show Figures

Figure 1

13 pages, 246 KB  
Review
Biomarkers in Colorectal Cancer: Clinically Relevant Diagnostic and Prognostic Molecular Features, and the Future of Precision Medicine
by Rebecca Whitmer, Julia Sepulveda, Jason Gandhi, Isha Puri and Rohan Gupta
J. Pers. Med. 2026, 16(3), 132; https://doi.org/10.3390/jpm16030132 - 28 Feb 2026
Viewed by 344
Abstract
Colorectal cancer (CRC) is a major public health concern in the United States. It is currently the fourth most diagnosed cancer and, despite advancements in screening and treatment, the second leading cause of cancer-related deaths. Approximately 153,000 new cases are diagnosed annually, with [...] Read more.
Colorectal cancer (CRC) is a major public health concern in the United States. It is currently the fourth most diagnosed cancer and, despite advancements in screening and treatment, the second leading cause of cancer-related deaths. Approximately 153,000 new cases are diagnosed annually, with over 53,000 deaths reported. Understanding the molecular and genetic underpinnings of CRC biomarkers plays a crucial role in diagnosis, prognosis, and treatment planning. Specific gene mutations, including MMR deficiency leading to high microsatellite instability (MSI), as well as several other common mutations in CRC, including APC, TP53, KRAS, NRAS, SMAD4, PIK3CA and BRAF, provide valuable insights into tumor biology, therapeutic resistance, and response to targeted therapies. This review explores the mutations and co-mutations most relevant to CRC, their prevalence, prognostic significance, and implications for precision oncology. By focusing on these genetic and epigenetic alterations, we aim to contextualize how biomarker-driven strategies are reshaping the management of CRC in both early and advanced disease settings. Full article
(This article belongs to the Special Issue Cancer Biomarker and Molecular Oncology)
24 pages, 7072 KB  
Article
Lactate Promotes Endothelial-Mesenchymal Transition via Mediating Twist1 Lactylation in Hypoxic Pulmonary Hypertension
by Xingbing Li, Fengxian Wang, Ningxin Liu, Yu Liu, Weimin Yu and Ming Tang
Int. J. Mol. Sci. 2026, 27(5), 2255; https://doi.org/10.3390/ijms27052255 - 27 Feb 2026
Viewed by 395
Abstract
Elevated plasma lactate is a significant risk factor in pulmonary hypertension (PH), and endothelial-mesenchymal transition (EndoMT) is a major contributor to this pathological process, yet its specific role in driving endothelial-mesenchymal transition (EndoMT) remains unclear. Using in vivo and in vitro models, we [...] Read more.
Elevated plasma lactate is a significant risk factor in pulmonary hypertension (PH), and endothelial-mesenchymal transition (EndoMT) is a major contributor to this pathological process, yet its specific role in driving endothelial-mesenchymal transition (EndoMT) remains unclear. Using in vivo and in vitro models, we demonstrate that modulating lactate levels critically influences PH progression. In a hypoxic PH mouse model, inhibition of lactate production ameliorated hemodynamic and vascular remodeling, whereas exogenous lactate exacerbated these pathologies. In human pulmonary arterial endothelial cells under hypoxia, lactate promoted a pro-remodeling phenotype, enhancing migration, proliferation, and EndoMT. Mechanistically, lactate induced Twist1 lactylation via enhanced association with p300/CBP, promoting its nuclear translocation. This upregulated TGFB1 transcription and activated the Smad2 pathway, thereby driving EndoMT—an effect abolished by Twist1 knockdown. Our findings reveal a previously unrecognized lactate-Twist1 lactylation-TGFB1 axis that promotes vascular remodeling in PH, identifying novel therapeutic targets. Full article
(This article belongs to the Special Issue Molecular Mechanisms of Endothelial Dysfunction: Fourth Edition)
Show Figures

Figure 1

16 pages, 2242 KB  
Review
New Insights into the Anti-Aging Mechanism of Collagen Peptides—Emphasis on Lysosomes and Mitochondria Function
by Wei Huang, Jinshan Ran, Yanli Du and Changwei Cao
Molecules 2026, 31(5), 763; https://doi.org/10.3390/molecules31050763 - 25 Feb 2026
Viewed by 1319
Abstract
With the intensification of social aging and the improvement of living standards, delaying aging has become a focus of common concern, especially in regard to skin aging. Although collagen peptides have been widely reported as therapeutic agents in relieving skin aging, the molecular [...] Read more.
With the intensification of social aging and the improvement of living standards, delaying aging has become a focus of common concern, especially in regard to skin aging. Although collagen peptides have been widely reported as therapeutic agents in relieving skin aging, the molecular mechanisms remain inadequately elucidated. This review emphasizes that the alleviation of skin aging by collagen peptides is a systematic and complex process, including the removal of reactive oxygen species, inhibition of inflammation, inhibition of extracellular matrix (ECM) degradation and melanin deposition, activation of lysosomal and mitochondrial function, and promotion of ECM synthesis. It also highlights that lysosomes and mitochondria may be the key organelles that regulate collagen peptides to alleviate skin aging. Current research on the mechanism of collagen peptides in alleviating skin aging still requires bold breakthroughs and should not be confined to the transforming growth factor (TGF-β)/Smad, mitogen-activated protein kinase, and nuclear factor kappa-B pathways. In addition, many natural antioxidant components have been proven to alleviate skin aging by regulating organelle function. Therefore, the regulatory effects of collagen peptides with antioxidant activity on mitochondrial and lysosome functions in aging skin need more attention and exploration, which is of great significance for further research on precise skin care and targeted anti-skin aging therapy. Full article
(This article belongs to the Special Issue Bioactive Peptides: Isolation, Identification and Application)
Show Figures

Graphical abstract

Back to TopTop