Sign in to use this feature.

Years

Between: -

Subjects

remove_circle_outline
remove_circle_outline
remove_circle_outline
remove_circle_outline
remove_circle_outline

Journals

Article Types

Countries / Regions

Search Results (17)

Search Parameters:
Keywords = PNST

Order results
Result details
Results per page
Select all
Export citation of selected articles as:
10 pages, 3685 KB  
Case Report
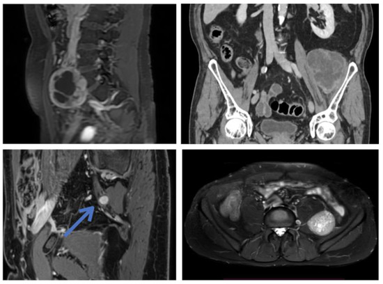
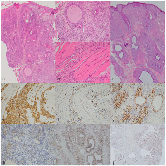
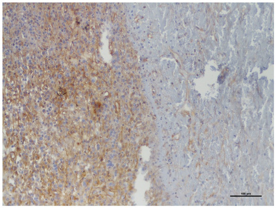
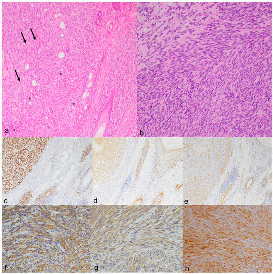
Giant Atypical Neurofibroma of the Calf in Neurofibromatosis Type 1: Case Report and Literature Review
by Lyubomir Gaydarski, Georgi P. Georgiev and Svetoslav A. Slavchev
Reports 2025, 8(3), 112; https://doi.org/10.3390/reports8030112 - 17 Jul 2025
Viewed by 1322
Abstract
Background and Clinical Significance: Neurofibromatosis type 1 (NF1) predisposes individuals to various peripheral nerve sheath tumors (PNSTs), including benign neurofibromas, malignant peripheral nerve sheath tumors (MPNSTs), and intermediate lesions known as atypical neurofibromatous neoplasms of uncertain biologic potential (ANNUBP), previously often termed atypical [...] Read more.
Background and Clinical Significance: Neurofibromatosis type 1 (NF1) predisposes individuals to various peripheral nerve sheath tumors (PNSTs), including benign neurofibromas, malignant peripheral nerve sheath tumors (MPNSTs), and intermediate lesions known as atypical neurofibromatous neoplasms of uncertain biologic potential (ANNUBP), previously often termed atypical neurofibroma. These atypical lesions are considered premalignant precursors to MPNST. Case Presentation: We present the case of a 33-year-old male with NF1 who developed a rapidly growing, painful mass in his right calf. Clinical examination revealed signs consistent with NF1. Magnetic resonance imaging showed a large, heterogeneous mass in the lateral compartment. Biopsy revealed a neurofibroma with hypercellularity, moderate atypia, scarce S100 positivity, focal CD34 positivity, and an elevated Ki-67 proliferation index of 10–12%, consistent with ANNUBP. The patient underwent wide surgical resection, including the fibula and peroneal muscles. At the 30-month follow-up, there was no local recurrence, though the patient had a mild residual limp. Discussion: This case highlights the clinical presentation, diagnostic features, and management considerations for ANNUBP in NF1, emphasizing the importance of recognizing warning signs and the role of pathology in guiding treatment for these high-risk precursor lesions. Full article
(This article belongs to the Section Oncology)
Show Figures

Figure 1

13 pages, 1923 KB  
Article
Cold Atmospheric Plasma Induces Growth Arrest and Apoptosis in Neurofibromatosis Type 1-Associated Peripheral Nerve Sheath Tumor Cells
by Brian Na, Blake Haist, Shilp R. Shah, Graeme Sabiston, Steven J. Jonas, Jeremie Vitte, Richard E. Wirz and Marco Giovannini
Biomedicines 2024, 12(9), 1986; https://doi.org/10.3390/biomedicines12091986 - 2 Sep 2024
Cited by 1 | Viewed by 2081
Abstract
Neurofibromatosis type 1 (NF1) is an autosomal dominant disorder resulting from mutations in the NF1 gene. Patients harboring these mutations are predisposed to a spectrum of peripheral nerve sheath tumors (PNSTs) originating from Schwann cells, of which malignant peripheral nerve sheath tumors (MPNSTs) [...] Read more.
Neurofibromatosis type 1 (NF1) is an autosomal dominant disorder resulting from mutations in the NF1 gene. Patients harboring these mutations are predisposed to a spectrum of peripheral nerve sheath tumors (PNSTs) originating from Schwann cells, of which malignant peripheral nerve sheath tumors (MPNSTs) are the deadliest, with limited treatment options. Therefore, an unmet need still exists for more effective therapies directed at these aggressive malignancies. Cold atmospheric plasma (CAP) is a reactive oxygen species (ROS) and reactive nitrogen species (RNS) generating ionized gas that has been proposed to be a potential therapeutic modality for cancer. In this study, we sought to determine the effects of CAP on NF1-associated PNSTs. Utilizing established mouse and human cell lines to interrogate the effects of CAP in both in vitro and in vivo settings, we found that NF1-associated PNSTs were highly sensitive to CAP exposure, resulting in cell death. To our knowledge, this is the first application of CAP to NF1-associated PNSTs and provides a unique opportunity to study the complex biology of NF1-associated tumors. Full article
(This article belongs to the Section Molecular and Translational Medicine)
Show Figures

Figure 1

9 pages, 5621 KB  
Article
TRPS1 Expression Is Frequently Seen in a Subset of Cutaneous Mesenchymal Neoplasms and Tumors of Uncertain Differentiation: A Potential Diagnostic Pitfall
by Moon Joo Kim, Yi A. Liu, Yunyi Wang, Jing Ning and Woo Cheal Cho
Dermatopathology 2024, 11(3), 200-208; https://doi.org/10.3390/dermatopathology11030021 - 15 Jul 2024
Cited by 6 | Viewed by 2713
Abstract
Although extensively studied in cutaneous epithelial neoplasms, the TRPS1 immunoreactivity in cutaneous mesenchymal neoplasms and tumors of uncertain differentiation (CMNTUDs), such as atypical fibroxanthoma (AFX), remains largely unexplored. We assessed TRPS1 immunoreactivity in 135 CMNTUDs, comprising 46 fibrohistiocytic/fibroblastic tumors, 28 vascular tumors, 24 [...] Read more.
Although extensively studied in cutaneous epithelial neoplasms, the TRPS1 immunoreactivity in cutaneous mesenchymal neoplasms and tumors of uncertain differentiation (CMNTUDs), such as atypical fibroxanthoma (AFX), remains largely unexplored. We assessed TRPS1 immunoreactivity in 135 CMNTUDs, comprising 46 fibrohistiocytic/fibroblastic tumors, 28 vascular tumors, 24 peripheral nerve sheath tumors (PNSTs), 21 tumors of uncertain differentiation, and 16 smooth muscle tumors. Additionally, we included selected cases of melanoma with spindled cell morphology or desmoplastic features (n = 9) and sarcomatoid squamous cell carcinoma (SSCC) (n = 5) to compare TRPS1 expression patterns with those of AFX. TRPS1 expression was prevalent in dermatofibromas (24/24), leiomyomas (8/8), AFXs/pleomorphic dermal sarcoma (PDS) (20/21), dermatofibrosarcomas protuberans (14/22), and leiomyosarcomas (6/8). It was uncommon in angiosarcomas (3/20), Kaposi sarcomas (2/8), and neurofibromas (5/17) and absent in perineuriomas (0/2). AFXs/PDS exhibited the highest median H-score of 240, contrasting with minimal TRPS1 immunoreactivity in vascular neoplasms and PNSTs, with median H-scores consistently below 10. Significant differences in H-score were observed between AFXs/PDS and angiosarcomas (p < 0.001), melanomas (p < 0.001), and leiomyosarcomas (p = 0.029). However, no significant difference was found compared to SSCCs, suggesting limited discriminatory power of TRPS1 in this context. This study sheds light on TRPS1 expression patterns in a subset of CMNTUDs, extending beyond prior studies primarily focused on epithelial tumors, while underscoring potential pitfalls associated with TRPS1 immunohistochemistry. Full article
Show Figures

Figure 1

15 pages, 913 KB  
Article
Nutritional Issues among Children with Duchenne Muscular Dystrophy—Incidence of Deficiency and Excess Body Mass
by Edyta Wernio, Eliza Wasilewska, Sylwia Czaja-Stolc, Karolina Śledzińska, Jolanta Wierzba, Agnieszka Szlagatys-Sidorkiewicz and Sylwia Małgorzewicz
Nutrients 2024, 16(13), 2143; https://doi.org/10.3390/nu16132143 - 4 Jul 2024
Cited by 4 | Viewed by 3371
Abstract
The progression of Duchenne muscular dystrophy (DMD)requires the assessment of nutritional disturbances at each stage of the disease. The purpose of this study was to assess the nutritional status in various ages of boys with DMD using screening and in-depth evaluation methods. Body [...] Read more.
The progression of Duchenne muscular dystrophy (DMD)requires the assessment of nutritional disturbances at each stage of the disease. The purpose of this study was to assess the nutritional status in various ages of boys with DMD using screening and in-depth evaluation methods. Body composition by Dual X-ray Absorptiometry (DXA), basal metabolic rate (BMR) by indirect calorimetry, a questionnaire of nutritional status—Pediatric Nutrition Screening Tool (PNST)—and laboratory parameters were performed. In the cohort of 93 boys aged 8.54 (5.9–12.6 years), inappropriate nutritional status occurred in 41.8% of boys (underweight 11.8%, overweight 16.0%, and obesity 14.0%). In the 10–13 age group, the occurrence of overweight and underweight was the highest. Based on PNST, 15.1% of patients were at nutritional risk (≥2 points)—the most in the 14–17 age group (29%). A negative correlation was identified between PNST and z-scores of body weight, BMI, and FFMI (r Spearman = −0.49, −0.46, and −0.48, respectively; p < 0.05). There were no differences between BMR results from indirect calorimetry and calculations from the Schofield formula for any age group. In obese boys, the caloric requirement in indirect calorimetry was significantly lower than that indicated by the calculations according to the Schofield formula (p < 0.028). Inappropriate nutritional status occurred in almost half of the children with DMD. The age group in which nutritional disorders were most frequently identified was 10–13 years old. PNST could be considered a tool for screening malnutrition after testing a larger group of DMD patients. Full article
(This article belongs to the Special Issue Nutritional Screening and Assessment of Different Populations)
Show Figures

Figure 1

15 pages, 10216 KB  
Article
Feline Facial Spindle Cell Tumors in 29 Cats: Histomorphological and Immunohistochemical Characterization
by Sara Soto, Sohvi Blatter, Stefan Hobi, Marco Steck, Julia Lechmann, Silvia Rüfenacht, Nicolas Kühn, Maja Ruetten, Nataliia Ignatenko and Christiane Krudewig
Animals 2024, 14(7), 1103; https://doi.org/10.3390/ani14071103 - 4 Apr 2024
Cited by 1 | Viewed by 6203
Abstract
Soft tissue tumors/sarcomas (STSs) in felines, encompassing a variety of mesenchymal tumors with similar histomorphological features, present diagnostic challenges due to their diverse cellular origins and the overlap with other tumor types such as feline sarcoid. This study aimed to delineate the clinical, [...] Read more.
Soft tissue tumors/sarcomas (STSs) in felines, encompassing a variety of mesenchymal tumors with similar histomorphological features, present diagnostic challenges due to their diverse cellular origins and the overlap with other tumor types such as feline sarcoid. This study aimed to delineate the clinical, histomorphological, and immunohistochemical characteristics of 34 feline facial spindle cell tumors affecting 29 cats, including testing for bovine papillomavirus type 14 (BPV14), the virus causing feline sarcoids. Only five out of 12 tumors previously diagnosed as feline sarcoids based on histomorphology were confirmed by PCR for BPV14, underscoring the importance of comprehensive diagnostic approaches to accurately distinguish between STSs and feline sarcoids. This study shows that most facial spindle cell tumors were compatible with peripheral nerve sheath tumors (PNSTs) based on positive immunohistochemical staining for Sox10 and other immunohistochemical markers such as GFAP, NSE, and S100. Some of these tumors displayed as multiple independent masses on the face or as erosive and ulcerative lesions without obvious mass formation, an atypical presentation and an important highlight for general practitioners, dermatologists, and oncologists. This study also describes periadnexal whorling of neoplastic cells as a novel histomorphologic finding in feline facial PNSTs and emphasizes Sox10 as a useful complementary immunohistochemical marker for the diagnosis of facial PNST in cats, providing valuable insights for veterinary pathologists. Full article
(This article belongs to the Section Veterinary Clinical Studies)
Show Figures

Figure 1

11 pages, 11696 KB  
Article
A Retrospective Analysis of High Resolution Ultrasound Evaluation of the “Split Fat Sign” in Peripheral Nerve Sheath Tumors
by Jeena B. Deka, Ritu Shah, Miguel Jiménez, Nidhi Bhatnagar, Alfredo Bravo-Sánchez, Inés Piñas-Bonilla, Javier Abián-Vicén and Fernando Jiménez
Healthcare 2023, 11(24), 3147; https://doi.org/10.3390/healthcare11243147 - 12 Dec 2023
Cited by 3 | Viewed by 3544
Abstract
Peripheral nerve sheath tumors (PNST) comprise schwannomas and neurofibromas. The finding of increased adipose tissue around benign PNSTs has been described as the “split fat sign” on magnetic resonance imaging exams, which is suggestive of an intramuscular or intermuscular location of the tumor. [...] Read more.
Peripheral nerve sheath tumors (PNST) comprise schwannomas and neurofibromas. The finding of increased adipose tissue around benign PNSTs has been described as the “split fat sign” on magnetic resonance imaging exams, which is suggestive of an intramuscular or intermuscular location of the tumor. However, few studies have described this sign as a salient ultrasound feature of PNSTs. The main purpose of this study was to retrospectively evaluate the presence of increased fatty tissue deposition around benign PNSTs diagnosed by high-resolution ultrasound. In addition, we aimed to corroborate the presence of vascularization around the affected area. A retrospective analysis of ten cases of PNSTs and two cases of post-traumatic neuromas diagnosed by high-resolution ultrasound was performed with a Logiq® P8 ultrasound with a 2–11 MHz multifrequency linear probe L3-12-D (central frequency: 10 MHz). Localized types of neurofibromas and schwannomas in any location were seen as predominantly hypoechoic tumors with an oval or fusiform shape. Exiting and entering nerves (tail sign) were observed in six cases, showing localized lesions both in intermuscular and subcutaneous locations. The presence of increased hyperechoic tissue (the split fat sign) was noted in cases of solitary intermuscular and intramuscular peripheral nerve sheath tumors, mainly the schwannomas. Though small tumors did not demonstrate the tail sign, the increase in adipose tissue and vascularity on US was well demonstrated. In conclusion, the nerve in continuity forms the basis of the ultrasonographic diagnosis of PNSTs. However, high-resolution US can convincingly demonstrate the increased presence of fat in the upper and lower poles as well as circumferentially in intermuscular or intramuscular benign PNSTs. Full article
(This article belongs to the Special Issue Adult Critical Care Ultrasound)
Show Figures

Figure 1

9 pages, 512 KB  
Article
Nutrition Screening in the Pediatric Intensive Care Unit: Evaluation of an Electronic Medical Record-Based Tool
by Julia Hilbrands, Mary Beth Feuling, Aniko Szabo, Bi Q. Teng, Nicole Fabus, Melissa Froh, Rebecca Heisler, Olivia Lampone, Amber Smith, Theresa A. Mikhailov and Praveen S. Goday
Nutrients 2023, 15(21), 4591; https://doi.org/10.3390/nu15214591 - 28 Oct 2023
Cited by 4 | Viewed by 2977
Abstract
Hospitalized, critically ill children are at increased risk of developing malnutrition. While several pediatric nutrition screening tools exist, none have been validated in the pediatric intensive care units (PICU). The Children’s Wisconsin Nutrition Screening Tool (CWNST) is a unique nutrition screening tool that [...] Read more.
Hospitalized, critically ill children are at increased risk of developing malnutrition. While several pediatric nutrition screening tools exist, none have been validated in the pediatric intensive care units (PICU). The Children’s Wisconsin Nutrition Screening Tool (CWNST) is a unique nutrition screening tool that includes the Pediatric Nutrition Screening Tool (PNST) and predictive elements from the electronic medical record and was found to be more sensitive than the PNST in acute care units. The aim of this study was to assess the performance of the tool in detecting possible malnutrition in critically ill children. The data analysis, including the results of the current nutrition screening, diagnosis, and nutrition status was performed on all patients admitted to PICUs at Children’s Wisconsin in 2019. All 250 patients with ≥1 nutrition assessment by a dietitian were included. The screening elements that were predictive of malnutrition included parenteral nutrition, positive PNST, and BMI-for-age/weight-for-length z-score. The current screen had a sensitivity of 0.985, specificity of 0.06, positive predictive value (PPV) of 0.249, and negative predictive value of 0.929 compared to the PNST alone which had a sensitivity of 0.1, specificity of 0.981, PPV of 0.658, and NPV of 0.749. However, of the 250 included patients, 97.2% (243) had a positive nutrition screen. The CWNST can be easily applied through EMRs and predicts the nutrition risk in PICU patients but needs further improvement to improve specificity. Full article
(This article belongs to the Special Issue Nutrition Practices and Outcomes in Pediatric Patients)
Show Figures

Figure 1

14 pages, 2127 KB  
Article
Integrated Neurosurgical Management of Retroperitoneal Benign Nerve Sheath Tumors
by Alberto Benato, Quintino Giorgio D’Alessandris, Marino Murazio, Fabio Pacelli, Pier Paolo Mattogno, Eduardo Fernández and Liverana Lauretti
Cancers 2023, 15(12), 3138; https://doi.org/10.3390/cancers15123138 - 10 Jun 2023
Cited by 7 | Viewed by 2670
Abstract
Peripheral nerve sheath tumors (PNST) of the retroperitoneum are rare and are often treated by general surgeons dealing with retroperitoneal cancers. However, resection without the correct microsurgical technique can cause permanent neurological deficits and pain. Here, we discuss our interdisciplinary approach based on [...] Read more.
Peripheral nerve sheath tumors (PNST) of the retroperitoneum are rare and are often treated by general surgeons dealing with retroperitoneal cancers. However, resection without the correct microsurgical technique can cause permanent neurological deficits and pain. Here, we discuss our interdisciplinary approach based on the integration of expertise from neurosurgery and abdominal surgery, allowing for both safe exposure and nerve-sparing microsurgical resection of these lesions. We present a series of 15 patients who underwent resection of benign retroperitoneal or pelvic PNST at our institution. The mean age of patients was 48.4 years; 67% were female. Tumors were 14 schwannomas and 1 neurofibroma. Eight patients (53%) reported neurologic symptoms preoperatively. The rate of complete resection was 87% (n = 13); all symptomatic patients showed improvement of their preoperative symptoms. There were no postoperative motor deficits; one patient (7%) developed a permanent sensory deficit. At a mean postoperative follow-up of 31 months, we observed no recurrences. To our best knowledge, this is the second-largest series of benign retroperitoneal PNST consistently managed with microsurgical techniques. Our experience confirms that interdisciplinary management allows for safe treatment of these tumors with good neurological and oncological outcomes. Full article
(This article belongs to the Section Cancer Therapy)
Show Figures

Figure 1

35 pages, 1108 KB  
Review
Diagnosis and Treatment of Peripheral and Cranial Nerve Tumors with Expert Recommendations: An EUropean Network for RAre CANcers (EURACAN) Initiative
by Alessia Pellerino, Robert M. Verdijk, Lucia Nichelli, Nicolaus H. Andratschke, Ahmed Idbaih and Roland Goldbrunner
Cancers 2023, 15(7), 1930; https://doi.org/10.3390/cancers15071930 - 23 Mar 2023
Cited by 24 | Viewed by 10003
Abstract
The 2021 WHO classification of the CNS Tumors identifies as “Peripheral nerve sheath tumors” (PNST) some entities with specific clinical and anatomical characteristics, histological and molecular markers, imaging findings, and aggressiveness. The Task Force has reviewed the evidence of diagnostic and therapeutic interventions, [...] Read more.
The 2021 WHO classification of the CNS Tumors identifies as “Peripheral nerve sheath tumors” (PNST) some entities with specific clinical and anatomical characteristics, histological and molecular markers, imaging findings, and aggressiveness. The Task Force has reviewed the evidence of diagnostic and therapeutic interventions, which is particularly low due to the rarity, and drawn recommendations accordingly. Tumor diagnosis is primarily based on hematoxylin and eosin-stained sections and immunohistochemistry. Molecular analysis is not essential to establish the histological nature of these tumors, although genetic analyses on DNA extracted from PNST (neurofibromas/schwannomas) is required to diagnose mosaic forms of NF1 and SPS. MRI is the gold-standard to delineate the extension with respect to adjacent structures. Gross-total resection is the first choice, and can be curative in benign lesions; however, the extent of resection must be balanced with preservation of nerve functioning. Radiotherapy can be omitted in benign tumors after complete resection and in NF-related tumors, due to the theoretic risk of secondary malignancies in a tumor-suppressor syndrome. Systemic therapy should be considered in incomplete resected plexiform neurofibromas/MPNSTs. MEK inhibitor selumetinib can be used in NF1 children ≥2 years with inoperable/symptomatic plexiform neurofibromas, while anthracycline-based treatment is the first choice for unresectable/locally advanced/metastatic MPNST. Clinical trials on other MEK1-2 inhibitors alone or in combination with mTOR inhibitors are under investigation in plexiform neurofibromas and MPNST, respectively. Full article
(This article belongs to the Special Issue Rare Primary Brain Tumors in Adults)
Show Figures

Figure 1

16 pages, 1072 KB  
Review
Neurofibroma Development in Neurofibromatosis Type 1: Insights from Cellular Origin and Schwann Cell Lineage Development
by Ling-Ling Ge, Ming-Yan Xing, Hai-Bing Zhang and Zhi-Chao Wang
Cancers 2022, 14(18), 4513; https://doi.org/10.3390/cancers14184513 - 17 Sep 2022
Cited by 18 | Viewed by 5763
Abstract
Background: Neurofibromatosis type 1 (NF1), a genetic tumor predisposition syndrome that affects about 1 in 3000 newborns, is caused by mutations in the NF1 gene and subsequent inactivation of its encoded neurofibromin. Neurofibromin is a tumor suppressor protein involved in the downregulation of [...] Read more.
Background: Neurofibromatosis type 1 (NF1), a genetic tumor predisposition syndrome that affects about 1 in 3000 newborns, is caused by mutations in the NF1 gene and subsequent inactivation of its encoded neurofibromin. Neurofibromin is a tumor suppressor protein involved in the downregulation of Ras signaling. Despite a diverse clinical spectrum, one of several hallmarks of NF1 is a peripheral nerve sheath tumor (PNST), which comprises mixed nervous and fibrous components. The distinct spatiotemporal characteristics of plexiform and cutaneous neurofibromas have prompted hypotheses about the origin and developmental features of these tumors, involving various cellular transition processes. Methods: We retrieved published literature from PubMed, EMBASE, and Web of Science up to 21 June 2022 and searched references cited in the selected studies to identify other relevant papers. Original articles reporting the pathogenesis of PNSTs during development were included in this review. We highlighted the Schwann cell (SC) lineage shift to better present the evolution of its corresponding cellular origin hypothesis and its important effects on the progression and malignant transformation of neurofibromas. Conclusions: In this review, we summarized the vast array of evidence obtained on the full range of neurofibroma development based on cellular and molecular pathogenesis. By integrating findings relating to tumor formation, growth, and malignancy, we hope to reveal the role of SC lineage shift as well as the combined impact of additional determinants in the natural history of PNSTs. Full article
(This article belongs to the Special Issue Frontiers in Neurofibromatosis)
Show Figures

Figure 1

16 pages, 8305 KB  
Article
The Detection Algorithm Based on the Short Time Delay for Three-Phase Unbalanced Voltage Sag
by Xiaohong Hao, Yangtao Wang, Shuaizheng Sun, Shan Jiang and Yan Liu
Electronics 2022, 11(17), 2646; https://doi.org/10.3390/electronics11172646 - 24 Aug 2022
Cited by 3 | Viewed by 2171
Abstract
To improve the detection speed of the three-phase unbalanced voltage sag, the traditional αβ/dq transformation algorithm can be applied. However, in this algorithm, the virtual quadrature voltage signal (VQVS) needs to be accurately constructed in the αβ coordination system. Then, the [...] Read more.
To improve the detection speed of the three-phase unbalanced voltage sag, the traditional αβ/dq transformation algorithm can be applied. However, in this algorithm, the virtual quadrature voltage signal (VQVS) needs to be accurately constructed in the αβ coordination system. Then, the information of the voltage jump can be achieved by the αβ/dq transformation. However, the traditional algorithm for constructing the VQVS introduces the harmonic component, so that the detection speed and accuracy is low. To solve the problem, this article modifies the algorithm and presents a new algorithm based on the combination of the short time delay (STD) and the positive- and negative-sequence transformation (PNST) algorithm. The STD algorithm and its construction are firstly detailed. Then, the extraction step and performance of the PNST are given. Since the STD algorithm can avoid harmonic properties, voltage sag signal can be quickly obtained by analyzing the positive and negative sequence component derived from the PNST algorithm. The proposed algorithm is compared with two alternatives already proposed in the literature in terms of detection time. Finally, simulation and experimental results validate the validity of the proposed algorithm. Full article
(This article belongs to the Special Issue Smart Distribution System Analysis: Optimization and Control)
Show Figures

Figure 1

9 pages, 1396 KB  
Communication
Immunohistochemical Expression of Platelet-Derived Growth Factor Receptor β (PDGFR-β) in Canine Cutaneous Peripheral Nerve Sheath Tumors: A Preliminary Study
by Catarina Aluai-Cunha, Augusto Matos, Irina Amorim, Fátima Carvalho, Alexandra Rêma and Andreia Santos
Vet. Sci. 2022, 9(7), 345; https://doi.org/10.3390/vetsci9070345 - 9 Jul 2022
Cited by 1 | Viewed by 3322
Abstract
As in humans, the prevalence of tumors in companion animals is increasing dramatically and there is a strong need for research on new pharmacological agents particularly for the treatment of those tumors that are resistant to conventional chemotherapy agents such as soft tissue [...] Read more.
As in humans, the prevalence of tumors in companion animals is increasing dramatically and there is a strong need for research on new pharmacological agents particularly for the treatment of those tumors that are resistant to conventional chemotherapy agents such as soft tissue sarcomas (STS). Because malignant (MPNST) and benign peripheral nerve sheath tumors (BPNST) are relatively common STS in dogs, the aim of this retrospective study was to evaluate the immunohistochemical (IHC) expression of PDGFR-β, contributing to its characterization as a potential target for their treatment. A total of 19 samples were included, 9 histologically classified as benign and the other 10 as malignant. The results showed diffuse immunoexpression in the cytoplasm of neoplastic cells. Six (66.7%) BPNST expressed the receptor in less than 25% of neoplastic cells and only three (33.3%) exhibited labelling in more than 25% of neoplastic cells. In contrast, all MPNST expressed PDGFR-β, and in 8 (80%) of these samples, the receptor was expressed in more than 25% of neoplastic cells, and only 2 (20%) cases expressed the receptor in less than 25% of neoplastic cells. PDGFR-β expression was significantly higher in MPNST and larger tumors, suggesting that drugs able to inhibit the activity of this tyrosine kinase receptor, such as toceranib, may be considered in the approach of unresectable tumors and/or in the context of adjuvant or neoadjuvant therapies. Full article
Show Figures

Figure 1

9 pages, 5407 KB  
Article
Morphological Relation of Peripheral Nerve Sheath Tumors and Nerve Fascicles: Prospective Study and Classification
by Matthias Holzbauer, Kathrin Aufschnaiter-Hießböck, Maximilian Zaussinger, Oskar C. Aszmann and Manfred Schmidt
J. Clin. Med. 2022, 11(3), 552; https://doi.org/10.3390/jcm11030552 - 22 Jan 2022
Cited by 7 | Viewed by 5019
Abstract
Removal of benign peripheral nerve sheath tumors (bPNST) represents a surgical challenge. The morphological relation of bPNST and healthy nerve fascicles are of utmost importance for achieving both removal of the entire tumor and preservation of functional integrity of the peripheral nerve. Thus, [...] Read more.
Removal of benign peripheral nerve sheath tumors (bPNST) represents a surgical challenge. The morphological relation of bPNST and healthy nerve fascicles are of utmost importance for achieving both removal of the entire tumor and preservation of functional integrity of the peripheral nerve. Thus, we intraoperatively assessed the morphological patterns between bPNST and nerve fascicles using photo documentation obtained between January 2009 and September 2021. In 31 patients (20 women and 11 men) with a mean age of 48 ± 18 years a total of 34 bPNST were removed. Four constant morphological patterns between bPNST relatively to nerve fascicles were detected: (1) bPNST is located peripherally (n = 16), (2) it splits the nerve into two main fascicles (n = 5), (3) it totally splits up the nerve out of the nerve’s center (n = 8) und (4) it encloses the nerve and its fascicles (n = 5) without any detectable boundary layer. Histology revealed 28 schwannomas, five neurofibromas, and one perineurioma. The proposed classification reflects the increasing complexity of tumor removal with a higher type number. This might be beneficial for preoperative diagnostics, i.e., high-resolution ultrasound or MRI-tractography, as well as for planning the bPNST’s surgical resection and the possible need for nerve reconstruction. Full article
(This article belongs to the Section Clinical Neurology)
Show Figures

Figure 1

12 pages, 1728 KB  
Article
The Lipid Asset Is Unbalanced in Peripheral Nerve Sheath Tumors
by Ignazio G. Vetrano, Michele Dei Cas, Vittoria Nazzi, Marica Eoli, Niccolò Innocenti, Veronica Saletti, Antonella Potenza, Tatiana Carrozzini, Giuliana Pollaci, Gemma Gorla, Rita Paroni, Riccardo Ghidoni and Laura Gatti
Int. J. Mol. Sci. 2022, 23(1), 61; https://doi.org/10.3390/ijms23010061 - 22 Dec 2021
Cited by 6 | Viewed by 4309
Abstract
Peripheral nerve sheath tumors (PNSTs) include schwannomas, neurofibromas (NFs), and plexiform neurofibromas (PNFs), among others. While they are benign tumors, according to their biological behavior, some have the potential for malignant degeneration, mainly PNFs. The specific factors contributing to the more aggressive behavior [...] Read more.
Peripheral nerve sheath tumors (PNSTs) include schwannomas, neurofibromas (NFs), and plexiform neurofibromas (PNFs), among others. While they are benign tumors, according to their biological behavior, some have the potential for malignant degeneration, mainly PNFs. The specific factors contributing to the more aggressive behavior of some PNSTs compared to others are not precisely known. Considering that lipid homeostasis plays a crucial role in fibrotic/inflammatory processes and in several cancers, we hypothesized that the lipid asset was also unbalanced in this group of nerve tumors. Through untargeted lipidomics, NFs presented a significant increase in ceramide, phosphatidylcholine, and Vitamin A ester. PNFs displayed a marked decrease in 34 out of 50 lipid class analyzed. An increased level of ether- and oxidized-triacylglycerols was observed; phosphatidylcholines were reduced. After sphingolipidomic analysis, we observed six sphingolipid classes. Ceramide and dihydroceramides were statistically increased in NFs. All the glycosylated species appeared reduced in NFs, but increased in PNFs. Our findings suggested that different subtypes of PNSTs presented a specific modulation in the lipidic profile. The untargeted and targeted lipidomic approaches, which were not applied until now, contribute to better clarifying bioactive lipid roles in PNS natural history to highlight disease molecular features and pathogenesis. Full article
(This article belongs to the Special Issue Lipid Metabolism and Signaling in Tumors and Cerebrovascular Diseases)
Show Figures

Figure 1

19 pages, 2565 KB  
Article
Peripheral Nerve Sheath Tumors Resembling Human Atypical Neurofibroma in Goldfish (Carassius auratus, Linnaeus, 1758)
by Federico Armando, Claudio Pigoli, Matteo Gambini, Andrea Ghidelli, Gabriele Ghisleni, Attilio Corradi, Benedetta Passeri, Mario Caniatti, Valeria Grieco, Wolfgang Baumgärtner and Christina Puff
Animals 2021, 11(9), 2621; https://doi.org/10.3390/ani11092621 - 7 Sep 2021
Cited by 9 | Viewed by 5800
Abstract
Skin spindle cell tumors (SSTs) frequently occur in fishes, with peripheral nerve sheath tumors (PNSTs) being the most commonly reported neoplasms in goldfish. However, distinguishing PNSTs from other SCTs is not always possible when relying exclusively on routine cytological and histopathological findings. Therefore, [...] Read more.
Skin spindle cell tumors (SSTs) frequently occur in fishes, with peripheral nerve sheath tumors (PNSTs) being the most commonly reported neoplasms in goldfish. However, distinguishing PNSTs from other SCTs is not always possible when relying exclusively on routine cytological and histopathological findings. Therefore, the aim of this study is to characterize six skin nodules, resembling atypical neurofibromas in humans, found in six cohabiting goldfish (Carassius auratus), and to determine a minimal subset of special stains required to correctly identify PNSTs in this species. Routine cytology and histopathology were indicative of an SCT with nuclear atypia in all cases, with randomly distributed areas of hypercellularity and loss of neurofibroma architecture. Muscular and fibroblastic tumors were excluded using Azan trichrome staining. Alcian blue and Gomori’s reticulin stains revealed the presence of intratumoral areas of glycosaminoglycans or mucins and basement membrane fragments, respectively. PAS and PAS–diastase stains confirmed the latter finding and revealed intra- and extracellular glycogen granules. Immunohistochemistry displayed multifocal, randomly distributed aggregates of neoplastic cells positive for S100 protein and CNPase, intermingled with phosphorylated and non-phosphorylated neurofilament-positive axons. Collectively, these findings are consistent with a PNST resembling atypical neurofibroma in humans, an entity not previously reported in goldfish, and suggest that Azan trichrome staining, reticulin staining, and immunohistochemistry for S100 protein and CNPase represent a useful set of special stains to identify and characterize PNSTs in this species. Full article
(This article belongs to the Special Issue Pathology of Aquatic Animals)
Show Figures

Figure 1

Back to TopTop