TRPS1 Expression Is Frequently Seen in a Subset of Cutaneous Mesenchymal Neoplasms and Tumors of Uncertain Differentiation: A Potential Diagnostic Pitfall
Abstract
1. Introduction
2. Materials and Methods
2.1. Case Selection
2.2. Immunohistochemical Analysis
2.3. Statistical Analysis
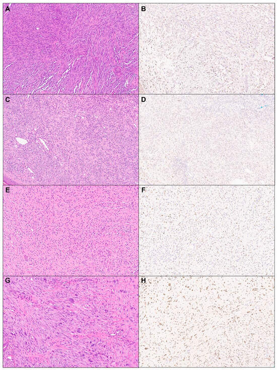
3. Results
3.1. TRPS1 Expression in Cutaneous Mesenchymal Neoplasms
3.2. TRPS1 Expression in Cutaneous Tumors with Uncertain Differentiation
3.3. Comparative Analysis of TRPS1 Expression in Atypical Fibroxanthoma/Pleomorphic Dermal Sarcoma Group and Their Morphological Mimics
4. Discussion
Supplementary Materials
Author Contributions
Funding
Institutional Review Board Statement
Informed Consent Statement
Data Availability Statement
Conflicts of Interest
References
- Ai, D.; Yao, J.; Yang, F.; Huo, L.; Chen, H.; Lu, W.; Soto, L.M.S.; Jiang, M.; Raso, M.G.; Wang, S.; et al. TRPS1: A highly sensitive and specific marker for breast carcinoma, especially for triple-negative breast cancer. Mod. Pathol. 2021, 34, 710–719. [Google Scholar] [CrossRef] [PubMed]
- Cho, W.C.; Ding, Q.; Wang, W.L.; Nagarajan, P.; Curry, J.L.; Torres-Cabala, C.A.; Ivan, D.; Albarracin, C.T.; Sahin, A.; Prieto, V.G.; et al. Immunohistochemical expression of TRPS1 in mammary Paget disease, extramammary Paget disease, and their close histopathologic mimics. J. Cutan. Pathol. 2023, 50, 434–440. [Google Scholar] [CrossRef] [PubMed]
- Liu, Y.A.; Aung, P.P.; Wang, Y.; Ning, J.; Nagarajan, P.; Curry, J.L.; Torres-Cabala, C.A.; Ivan, D.; Prieto, V.G.; Ding, Q.; et al. TRPS1 expression in non-melanocytic cutaneous neoplasms: An immunohistochemical analysis of 200 cases. J. Pathol. Transl. Med. 2024, 58, 72–80. [Google Scholar] [CrossRef]
- Liu, Y.A.; Collins, K.; Aung, P.P.; Nagarajan, P.; Curry, J.L.; Prieto, V.G.; Torres-Cabala, C.A.; Cho, W.C. TRPS1 expression in primary and secondary extramammary Paget diseases: An immunohistochemical analysis of 93 cases. Hum. Pathol. 2024, 143, 5–9. [Google Scholar] [CrossRef]
- Liu, Y.A.; Cho, W.C. TRPS1 expression in endocrine mucin-producing sweat gland carcinoma: Diagnostic utility and pitfalls. Am. J. Dermatopathol. 2024, 46, 133–135. [Google Scholar] [CrossRef]
- Zengin, H.B.; Bui, C.M.; Rybski, K.; Pukhalskaya, T.; Yildiz, B.; Smoller, B.R. TRPS1 is differentially expressed in a variety of malignant and benign cutaneous sweat gland neoplasms. Dermatopathology 2023, 10, 75–85. [Google Scholar] [CrossRef] [PubMed]
- Taniguchi, K.; Goto, K.; Yabushita, H.; Yamasaki, R.; Ichimura, K. Transcriptional repressor GATA binding 1 (TRPS1) immunoexpression in normal skin tissues and various cutaneous tumors. J. Cutan. Pathol. 2023, 50, 1006–1013. [Google Scholar] [CrossRef]
- Cloutier, J.M.; Ingram, D.R.; Wani, K.; Lazar, A.J.; Wang, W.L. Frequent TRPS1 expression in synovial sarcoma is associated with SS18-SSX fusion oncoprotein activity. Hum. Pathol. 2022, 130, 88–94. [Google Scholar] [CrossRef] [PubMed]
- Cho, W.C.; Nagarajan, P.; Ding, Q.; Prieto, V.G.; Torres-Cabala, C.A. Trichorhinophalangeal syndrome type 1-positive cells in breast dermal granulation tissues and scars: A potential diagnostic pitfall. Am. J. Dermatopathol. 2022, 44, 964–967. [Google Scholar] [CrossRef] [PubMed]


| Intensity Score | Proportion Score | H Score | ||||||||||
|---|---|---|---|---|---|---|---|---|---|---|---|---|
| 0 | 1 | 2 | 3 | Mean | Median | IQR | Range | Mean | Median | IQR | Range | |
| AFX/PDS (N = 21) | 1 (4.8%) | 2 (9.5%) | 6 (28.6%) | 12 (57.1%) | 80.0 | 90.0 | 15.0 | 0.0–100.0 | 209.5 | 240.0 | 125.0 | 0.0–300.0 |
| Angiosarcoma (N = 20) | 17 (85.0%) | 1 (5.0%) | 2 (10.0%) | 0 (0.0%) | 5.0 | 0.0 | 0.0 | 0.0–40.0 | 8.5 | 0.0 | 0.0 | 0.0–80.0 |
| Dermatofibroma (N = 24) | 0 (0.0%) | 3 (12.5%) | 21 (87.5%) | 0 (0.0%) | 66.7 | 70.0 | 20.0 | 5.0–95.0 | 131.2 | 140.0 | 45.0 | 20.0–190.0 |
| DFSP (N = 22) | 8 (36.4%) | 10 (45.5%) | 4 (18.2%) | 0 (0.0%) | 31.4 | 15.0 | 67.5 | 0.0–90.0 | 46.4 | 15.0 | 67.5 | 0.0–180.0 |
| Kaposi sarcoma (N = 8) | 6 (75.0%) | 1 (12.5%) | 1 (12.5%) | 0 (0.0%) | 1.9 | 0.0 | 1.2 | 0.0–10.0 | 3.1 | 0.0 | 1.2 | 0.0–20.0 |
| Leiomyoma (N = 8) | 0 (0.0%) | 1 (12.5%) | 6 (75.0%) | 1 (12.5%) | 75.0 | 85.0 | 15.0 | 20.0–90.0 | 158.8 | 170.0 | 30.0 | 20.0–270.0 |
| Leiomyosarcoma (N = 8) | 2 (25.0%) | 2 (25.0%) | 2 (25.0%) | 2 (25.0%) | 59.4 | 55.0 | 83.8 | 0.0–170.0 | 109.4 | 85.0 | 165.0 | 0.0–285.0 |
| Melanoma (N = 9) | 5 (55.6%) | 4 (44.4%) | 0 (0.0%) | 0 (0.0%) | 18.3 | 0.0 | 30.0 | 0.0–70.0 | 18.3 | 0.0 | 30.0 | 0.0–70.0 |
| Neurofibroma (N = 22) | 17 (77.3%) | 4 (18.2%) | 1 (4.5%) | 0 (0.0%) | 3.6 | 0.0 | 0.0 | 0.0–40.0 | 5.5 | 0.0 | 0.0 | 0.0–80.0 |
| SSCC (N = 5) | 0 (0.0%) | 2 (40.0%) | 1 (20.0%) | 2 (40.0%) | 63.0 | 60.0 | 30.0 | 15.0–90.0 | 138.0 | 60.0 | 210.0 | 30.0–270.0 |
| Total (N = 147) | 56 (38.1%) | 30 (20.4%) | 44 (29.9%) | 17 (11.6%) | 38.9 | 20.0 | 80.0 | 0.0–170.0 | 80.9 | 30.0 | 160.0 | 0.0–300.0 |
| p-value | <0.001 | <0.001 (<0.001 *) | <0.001 (<0.001 *) | |||||||||
| AFX/PDS (N = 21) | Angiosarcoma (N = 20) | Total (N = 41) | p-Value | |
|---|---|---|---|---|
| Intensity Score | <0.001 | |||
| 0 | 1 (4.8%) | 17 (85.0%) | 18 (43.9%) | |
| 1 | 2 (9.5%) | 1 (5.0%) | 3 (7.3%) | |
| 2 | 6 (28.6%) | 2 (10.0%) | 8 (19.5%) | |
| 3 | 12 (57.1%) | 0 (0.0%) | 12 (29.3%) | |
| Proportion Score | <0.001 (<0.001 *) | |||
| Mean | 80.0 | 5.0 | 43.4 | |
| Median | 90.0 | 0.0 | 30.0 | |
| IQR | 15.0 | 0.0 | 90.0 | |
| Range | 0.0–100.0 | 0.0–40.0 | 0.0–100.0 | |
| H score | <0.001 (<0.001 *) | |||
| Mean | 209.5 | 8.5 | 111.5 | |
| Median | 240.0 | 0.0 | 50.0 | |
| IQR | 125.0 | 0.0 | 240.0 | |
| Range | 0.0–300.0 | 0.0–80.0 | 0.0–300.0 |
| AFX/PDS (N = 21) | Melanoma (N = 9) | Total (N = 30) | p-Value | |
|---|---|---|---|---|
| Intensity Score | <0.001 | |||
| 0 | 1 (4.8%) | 5 (55.6%) | 6 (20.0%) | |
| 1 | 2 (9.5%) | 4 (44.4%) | 6 (20.0%) | |
| 2 | 6 (28.6%) | 0 (0.0%) | 6 (20.0%) | |
| 3 | 12 (57.1%) | 0 (0.0%) | 12 (40.0%) | |
| Proportion Score | <0.001 (<0.001 *) | |||
| Mean | 80.0 | 18.3 | 61.5 | |
| Median | 90.0 | 0.0 | 80.0 | |
| IQR | 15.0 | 30.0 | 71.2 | |
| Range | 0.0–100.0 | 0.0–70.0 | 0.0–100.0 | |
| H score | <0.001 (<0.001 *) | |||
| Mean | 209.5 | 18.3 | 152.2 | |
| Median | 240.0 | 0.0 | 160.0 | |
| IQR | 125.0 | 30.0 | 247.5 | |
| Range | 0.0–300.0 | 0.0–70.0 | 0.0–300.0 |
Disclaimer/Publisher’s Note: The statements, opinions and data contained in all publications are solely those of the individual author(s) and contributor(s) and not of MDPI and/or the editor(s). MDPI and/or the editor(s) disclaim responsibility for any injury to people or property resulting from any ideas, methods, instructions or products referred to in the content. |
© 2024 by the authors. Licensee MDPI, Basel, Switzerland. This article is an open access article distributed under the terms and conditions of the Creative Commons Attribution (CC BY) license (https://creativecommons.org/licenses/by/4.0/).
Share and Cite
Kim, M.J.; Liu, Y.A.; Wang, Y.; Ning, J.; Cho, W.C. TRPS1 Expression Is Frequently Seen in a Subset of Cutaneous Mesenchymal Neoplasms and Tumors of Uncertain Differentiation: A Potential Diagnostic Pitfall. Dermatopathology 2024, 11, 200-208. https://doi.org/10.3390/dermatopathology11030021
Kim MJ, Liu YA, Wang Y, Ning J, Cho WC. TRPS1 Expression Is Frequently Seen in a Subset of Cutaneous Mesenchymal Neoplasms and Tumors of Uncertain Differentiation: A Potential Diagnostic Pitfall. Dermatopathology. 2024; 11(3):200-208. https://doi.org/10.3390/dermatopathology11030021
Chicago/Turabian StyleKim, Moon Joo, Yi A. Liu, Yunyi Wang, Jing Ning, and Woo Cheal Cho. 2024. "TRPS1 Expression Is Frequently Seen in a Subset of Cutaneous Mesenchymal Neoplasms and Tumors of Uncertain Differentiation: A Potential Diagnostic Pitfall" Dermatopathology 11, no. 3: 200-208. https://doi.org/10.3390/dermatopathology11030021
APA StyleKim, M. J., Liu, Y. A., Wang, Y., Ning, J., & Cho, W. C. (2024). TRPS1 Expression Is Frequently Seen in a Subset of Cutaneous Mesenchymal Neoplasms and Tumors of Uncertain Differentiation: A Potential Diagnostic Pitfall. Dermatopathology, 11(3), 200-208. https://doi.org/10.3390/dermatopathology11030021

