Sign in to use this feature.

Years

Between: -

Subjects

remove_circle_outline
remove_circle_outline
remove_circle_outline
remove_circle_outline
remove_circle_outline
remove_circle_outline
remove_circle_outline
remove_circle_outline
remove_circle_outline

Journals

remove_circle_outline
remove_circle_outline
remove_circle_outline
remove_circle_outline
remove_circle_outline
remove_circle_outline
remove_circle_outline
remove_circle_outline

Article Types

Countries / Regions

remove_circle_outline
remove_circle_outline
remove_circle_outline
remove_circle_outline

Search Results (275)

Search Parameters:
Keywords = Operating Systems (OS)

Order results
Result details
Results per page
Select all
Export citation of selected articles as:
19 pages, 6743 KB  
Article
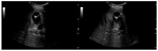
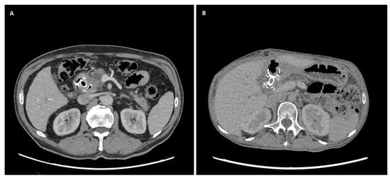
Endoscopic Ultrasound-Guided Versus Percutaneous Transhepatic Biliary Drainage After Failed Endoscopic Retrograde Cholangiopancreatography in Malignant Biliary Obstruction: A Single-Center Retrospective Cohort
by Wojciech Ciesielski, Łukasz Durko, Ludomir Stefańczyk, Adam Dobek, Anna Bulicz, Amelia Wojnicka, Zuzanna Sosnowska, Agata Grochowska, Janusz Strzelczyk, Piotr Hogendorf, Adam Durczyński and Tomasz Klimczak
Cancers 2026, 18(5), 783; https://doi.org/10.3390/cancers18050783 (registering DOI) - 28 Feb 2026
Abstract
Background: After a failed endoscopic retrograde cholangiopancreatography (ERCP) for malignant biliary obstruction (MBO), second-line drainage is performed with endoscopic ultrasound-guided biliary drainage (EUS-BD) or percutaneous transhepatic biliary drainage (PTBD). We compared their effectiveness, safety, and short-term survival. Methods: We conducted a single-center retrospective [...] Read more.
Background: After a failed endoscopic retrograde cholangiopancreatography (ERCP) for malignant biliary obstruction (MBO), second-line drainage is performed with endoscopic ultrasound-guided biliary drainage (EUS-BD) or percutaneous transhepatic biliary drainage (PTBD). We compared their effectiveness, safety, and short-term survival. Methods: We conducted a single-center retrospective cohort of 101 adults with MBO after they had experienced a failed ERCP (EUS-BD n = 37; PTBD n = 64). Allocation was non-randomized and driven by operational availability. Baseline laboratory tests (complete blood count, platelets, and C-reactive protein) and derived indices (neutrophil-to-lymphocyte ratio [NLR], platelet-to-lymphocyte ratio [PLR], lymphocyte-to-monocyte ratio [LMR], systemic immune-inflammation index [SII], systemic inflammation response index [SIRI], neutrophil-to-platelet score [NPS], and lymphocyte-to-CRP ratio [LCR]) were compared. Outcomes that were a technical success include: an early biochemical response (bilirubin reduction), complications (Clavien–Dindo), length of stay (LOS), and overall survival (OS). Between-group comparisons used the two-sided Mann–Whitney U test (continuous) and Fisher’s exact (binary) test. Survival was assessed by the Kaplan–Meier estimator using log-rank testing. To address later adoption of EUS-BD, we also estimated a restricted mean survival time of 180 days (RMST_0–180) with 95% confidence intervals (CIs). Results: Baseline inflammatory markers and composite indices were similar; baseline total bilirubin was higher in PTBD. The technical success was 100% in both groups. Early biochemical response was 86.5% after EUS-BD vs. 78.1% after PTBD (p = 0.43). Any complication occurred in 29.7% vs. 12.5% (p = 0.04); major complications (Clavien–Dindo ≥ III) occurred in 10.8% vs. 0% (p = 0.02), respectively; and the LOS did not differ (p = 0.21). OS favored EUS-BD (median 143 vs. 54 days and log-rank p = 0.012). RMST_0–180 was 111.1 days for EUS-BD vs. 71.4 days for PTBD (difference + 39.6 days; 95% CI 11.3–65.9). Conclusions: After a failed ERCP for MBO, EUS-BD and PTBD achieved universal technical success and similar early biochemical responses, but EUS-BD was associated with higher complication rates and a significantly longer six-month survival. These findings support the individualized selection balancing procedural risk with the anticipated survival benefit and highlight the need for prospective comparative studies. Full article
Show Figures

Figure 1

14 pages, 595 KB  
Article
Application and Modification of Nutritional Assessment Tools in Hematologic Malignancies
by Xinying Chen, Xin Zheng, Chenan Liu, Qibiao Shi, Xiaoyue Liu, Zhaoting Bu, Hong Zhao, Bing Yin, Changhong Xu and Hanping Shi
Cancers 2026, 18(5), 765; https://doi.org/10.3390/cancers18050765 - 27 Feb 2026
Viewed by 33
Abstract
Background: Hematologic malignancies pose a critical threat to global health, with their pathological progression intrinsically linked to metabolic dysregulation and nutrient imbalance. Malnutrition accelerates the trajectory of adverse outcomes while substantially diminishing the quality of survival. Although several nutritional assessment tools are currently [...] Read more.
Background: Hematologic malignancies pose a critical threat to global health, with their pathological progression intrinsically linked to metabolic dysregulation and nutrient imbalance. Malnutrition accelerates the trajectory of adverse outcomes while substantially diminishing the quality of survival. Although several nutritional assessment tools are currently used in clinical practice, a significant evidence gap persists regarding their validation in populations with hematologic neoplasms. This study systematically evaluates the prognostic performance of existing nutritional assessment instruments in this cohort. Based on these findings, we further explored the feasibility of a preliminary framework that reflects metabolic characteristics specific to this population. Methods: This prospective cohort study analyzed nutritional assessment data from 1067 patients with hematologic malignancies enrolled in the INSCOC registry. Eight assessment systems were examined: Patient-Generated Subjective Global Assessment (PG-SGA), Modified PGSGA (mPG-SGA), PGSGA Short Form (PG-SGA SF), Abbreviated PGSGA (abPG-SGA), Nutritional Risk Screening-2002 (NRS-2002), Global Leadership Initiative on Malnutrition criteria (GLIM), Scored-GLIM, and Karnofsky Performance Status Scale (KPS). Kaplan–Meier survival curves and multivariate Cox regression analyses were conducted to investigate the association between nutritional status and overall survival (OS) and to determine the prognostic weight of individual components within the nutritional assessment tools. Linear regression models were applied to examine the relationships between nutritional assessment tools, length of hospital stay (LOS), and EORTC QLQ-C30 scores. The predictive performance of the tools was evaluated using the area under the receiver operating characteristic curve (AUC) and the concordance index (C-index). Least absolute shrinkage and selection operator (LASSO) regression was applied to optimize the selection of inflammation-related biomarkers. Results: A total of 1067 participants were analyzed (mean [SD] age, 55.54 [17.4] years; 625 were male [58.6%]). Cox proportional hazards regression demonstrated statistically significant associations for all eight nutritional assessment tools (p ≤ 0.05). However, their prognostic discrimination was limited, as indicated by the AUC analysis. Specifically, the area under the curve (AUC) values for each tool were as follows: mPG-SGA, 0.561; NRS-2002, 0.557; PG-SGA, 0.550; KPS, 0.544; PG-SGA SF, 0.542; abPG-SGA, 0.528; Scored-GLIM, 0.489; and GLIM, 0.473. The concordance index validation further corroborated these findings. Prognostically significant components and inflammation-related biomarkers identified by Cox and LASSO regression were combined to explore a composite assessment approach, termed the Hematologic Marker–Patient Generated Subjective Global Assessment (HMPG-SGA), incorporating the albumin–globulin ratio (AGR). The HMPG-SGA was significantly associated with overall survival (p < 0.001), with an AUC of 0.616 and a C-index of 0.605. Conclusions: Multidimensional validation demonstrated limited prognostic discrimination of eight conventional nutritional assessment tools for overall survival in patients with hematologic malignancies. Based on existing assessment tools and integrated hematologic indicators, the HMPG-SGA was preliminarily explored as a prognostic assessment tool in hematologic malignancies. Full article
(This article belongs to the Special Issue Nursing and Supportive Care for Cancer Survivors)
Show Figures

Figure 1

15 pages, 697 KB  
Article
Prognostic Value of Baseline Systemic Immune-Inflammation Index in Advanced Intrahepatic Cholangiocarcinoma Treated with First-Line Gemcitabine–Cisplatin Plus PD-L1 Inhibitor: A Single-Center Retrospective Study
by Shuan Wu, Jiawei Xu, Yan Li and Decai Yu
Curr. Oncol. 2026, 33(2), 123; https://doi.org/10.3390/curroncol33020123 - 19 Feb 2026
Viewed by 160
Abstract
Background: Gemcitabine–cisplatin (GC) combined with a programmed death-ligand 1 (PD-L1) inhibitor has become an important first-line regimen for advanced intrahepatic cholangiocarcinoma (ICC). However, overall efficacy remains modest, and inter-patient heterogeneity in outcomes is substantial, highlighting the need for simple biomarkers for pretreatment risk [...] Read more.
Background: Gemcitabine–cisplatin (GC) combined with a programmed death-ligand 1 (PD-L1) inhibitor has become an important first-line regimen for advanced intrahepatic cholangiocarcinoma (ICC). However, overall efficacy remains modest, and inter-patient heterogeneity in outcomes is substantial, highlighting the need for simple biomarkers for pretreatment risk stratification. The systemic immune-inflammation index (SII), derived from peripheral neutrophil, lymphocyte, and platelet counts, has been associated with prognosis in various malignancies, but its clinical relevance in advanced ICC treated with first-line GC plus PD-L1 inhibitor remains unclear. Aims: To evaluate the association of baseline SII with objective response and survival outcomes in patients with advanced ICC receiving first-line GC plus PD-L1 inhibitor. Methods: We retrospectively analyzed 193 consecutive patients with advanced ICC who received first-line GC plus a PD-L1 inhibitor at our center. Baseline clinicopathologic characteristics and laboratory parameters were collected, and SII was calculated as platelet count (×109/L) × neutrophil count (×109/L)/lymphocyte count (×109/L). Receiver operating characteristic (ROC) analysis was performed to assess the discriminative ability of baseline SII for objective response and to determine an internally derived cut-off value. Patients were categorized into low- and high-SII groups accordingly. Logistic regression was used to identify factors associated with objective response rate (ORR). Progression-free survival (PFS) and overall survival (OS) were estimated by the Kaplan–Meier method and compared using the log-rank test. Multivariable Cox proportional hazards models were constructed to evaluate the independent prognostic significance of SII for PFS and OS. Results: Among the 193 patients included, 55 achieved complete or partial response and 138 had stable or progressive disease, yielding an ORR of 28.5%. Baseline SII showed good discrimination for objective response (AUC = 0.91), and the optimal cut-off value was 495.75. Patients in the low-SII group had a significantly higher ORR than those in the high-SII group (p < 0.001). Kaplan–Meier analysis demonstrated that both PFS and OS were longer in the low-SII group than in the high-SII group (median OS: 13.0 vs. 8.0 months, log-rank p < 0.001; median PFS: 8.5 vs. 6.0 months, p = 0.025). In multivariable Cox models adjusting for differentiation, CA19-9, tumor multiplicity, and distant metastasis, SII grouping remained independently associated with PFS and OS, and distant metastasis was consistently associated with increased risks of progression and death. Conclusions: Baseline SII is a readily available prognostic biomarker associated with objective response and survival in patients with advanced ICC treated with first-line GC plus PD-L1 inhibitor. Given the retrospective single-center design, the absence of a non-immunotherapy comparator cohort, and internal cut-off derivation, these findings should be interpreted as hypothesis-generating and warrant external validation. Full article
(This article belongs to the Section Oncology Biomarkers)
Show Figures

Figure 1

25 pages, 10893 KB  
Article
Integrating Single-Cell and RNA Sequencing to Predict Glioma Prognosis Through Lactylation
by Ruyi Shen, Yinan Chen, Yan Li and Zhijie Lin
Int. J. Mol. Sci. 2026, 27(4), 1649; https://doi.org/10.3390/ijms27041649 - 8 Feb 2026
Viewed by 325
Abstract
Gliomas are the most prevalent primary malignant neoplasms of the central nervous system, distinguished by their high recurrence rates and poor prognosis. Aerobic glycolysis in tumors generates excess lactate, which promotes lactylation, a post-translational modification (PTM). Although accumulating evidence implicates lactylation in glioma [...] Read more.
Gliomas are the most prevalent primary malignant neoplasms of the central nervous system, distinguished by their high recurrence rates and poor prognosis. Aerobic glycolysis in tumors generates excess lactate, which promotes lactylation, a post-translational modification (PTM). Although accumulating evidence implicates lactylation in glioma initiation and progression, previous lactylation-focused prognostic studies lacked single-cell resolution and broad validation, limiting their generalizability and clinical relevance. Single-cell and bulk RNA sequencing (RNA-seq) data were integrated to identify lactylation-enriched tumor cell populations and derive candidate genes. A risk model was developed using univariate Cox regression and the Least Absolute Shrinkage and Selection Operator (LASSO), and its predictive performance was validated in independent cohorts from the China Glioma Genome Atlas (CGGA). To improve clinical applicability, a nomogram integrating the risk score incorporating key clinical variables was constructed and externally validated. The risk groups showed distinct immune microenvironment profiles and differential drug sensitivity patterns. In this study, we established and validated a lactylation-related gene signature, with the derived risk score serving as a reliable prognostic biomarker for glioma. Furthermore, the model not only predicts overall survival (OS) but also exhibits the potential to inform drug selection and stratify patients for more precise and personalized therapeutic interventions. Full article
(This article belongs to the Special Issue Cancer Immunotherapy Biomarkers)
Show Figures

Figure 1

34 pages, 12750 KB  
Article
Nexus: A Modular Open-Source Multichannel Data Logger—Architecture and Proof of Concept
by Marcio Luis Munhoz Amorim, Oswaldo Hideo Ando Junior, Mario Gazziro and João Paulo Pereira do Carmo
Automation 2026, 7(1), 25; https://doi.org/10.3390/automation7010025 - 2 Feb 2026
Viewed by 408
Abstract
This paper presents Nexus, a proof-of-concept low-cost, modular, and reprogrammable multichannel data logger aimed at validating the architectural feasibility of an open and scalable acquisition platform for scientific instrumentation. The system was conceived to address common limitations of commercial data loggers, such as [...] Read more.
This paper presents Nexus, a proof-of-concept low-cost, modular, and reprogrammable multichannel data logger aimed at validating the architectural feasibility of an open and scalable acquisition platform for scientific instrumentation. The system was conceived to address common limitations of commercial data loggers, such as high cost, restricted configurability, and limited autonomy, by relying exclusively on widely available components and open hardware/software resources, thereby facilitating reproducibility and adoption in resource-constrained academic and industrial environments. The proposed architecture supports up to six interchangeable acquisition modules, enabling the integration of up to 20 analog channels with heterogeneous resolutions (24-bit, 12-bit, and 10-bit ADCs), as well as digital acquisition through multiple communication interfaces, including I2C (two independent buses), SPI (two buses), and UART (three interfaces). Quantitative validation was performed using representative acquisition configurations, including a 24-bit ADS1256 stage operating at sampling rates of up to 30 kSPS, 12-bit microcontroller-based stages operating at approximately 1 kSPS, and 10-bit operating at 100 SPS, consistent with stable real-time acquisition and visualization under proof-of-concept constraints. SPI communication was configured with an effective clock frequency of 2 MHz, ensuring deterministic data transfer across the tested acquisition modules. A hybrid data management strategy is implemented, combining high-capacity local storage via USB 3.0 solid-state drives, optional cloud synchronization, and a 7-inch touchscreen human–machine interface based on Raspberry Pi OS for system control and visualization. Power continuity is addressed through an integrated smart uninterruptible power supply, which provides telemetry, automatic source switching, and limited backup operation during power interruptions. As a proof of concept, the system was functionally validated through architectural and interface-level tests, demonstrating stable communication across all supported protocols and reliable acquisition of synthetic and biosignal-like waveforms. The results confirm the feasibility of the proposed modular architecture and its ability to integrate heterogeneous acquisition, storage, and interface subsystems within a unified open-source platform. While not intended as a finalized commercial product, Nexus establishes a validated foundation for future developments in modular data logging, embedded intelligence, and application-specific instrumentation. Full article
(This article belongs to the Section Automation in Energy Systems)
Show Figures

Figure 1

38 pages, 2357 KB  
Article
Aris-RPL: A Multi-Objective Reinforcement Learning Framework for Adaptive and Load-Balanced Routing in IoT Networks
by Najim Halloum, Ali Ahmadi and Yousef Darmani
Future Internet 2026, 18(2), 72; https://doi.org/10.3390/fi18020072 - 31 Jan 2026
Viewed by 302
Abstract
The fast-paced utilization of innovative Internet of Things (IoT) applications emphasizes the critical role that routing protocols play in designing an efficient communication system between network nodes. In this context, the lack of adaptive routing mechanisms in the standard Routing Protocol for Low-power [...] Read more.
The fast-paced utilization of innovative Internet of Things (IoT) applications emphasizes the critical role that routing protocols play in designing an efficient communication system between network nodes. In this context, the lack of adaptive routing mechanisms in the standard Routing Protocol for Low-power and Lossy Networks (RPL), such as load balancing and congestion mechanisms, especially under heavy load scenarios, causes significant degradation of network performance. In this regard, integrating innovative and effective learning abilities, such as Reinforcement Learning, into an efficient routing policy has demonstrated promising solutions for future networks. Hence, this paper introduces Aris-RPL, an adaptive routing policy for the RPL protocol. Aris-RPL utilizes a multi-objective Q-learning algorithm to learn optimal paths. Each node translates neighboring node information into a Q-value representing a composite multi-objective metric, including Buffer Utilization, Energy Level, Received Signal Strength Indicator (RSSI), Overflow Ratio, and Child Count. Furthermore, Aris-RPL operates effectively during the exploitation and exploration phases and continuously monitors the network overflow ratio during exploitation to respond to sudden changes and maintain performance. The extensive Contiki OS 3.0/COOJA simulator experiments have verified Aris-RPL efficiency. It enhanced Control Overhead, Packet Delivery Ratio (PDR), End-to-End Delay (E2E Delay), and Energy Consumption results compared to other counterparts for all scenarios on average by 39%, 25%, 7%, and 38%, respectively. Full article
(This article belongs to the Special Issue Wireless Sensor Networks and Internet of Things)
Show Figures

Graphical abstract

20 pages, 1244 KB  
Article
Prognostic Value of Systemic Inflammatory Markers in Locally Advanced or Metastatic Melanoma: A Real-World Analysis
by Burçin Çakan Demirel, Semra Taş, Taliha Güçlü Kantar, Melek Özdemir, Tolga Doğan, Canan Karan, Burcu Yapar Taşköylü, Atike Gökçen Demiray, Serkan Değirmencioğlu, Ahmet Bilici, Gamze Gököz Doğu and Arzu Yaren
Cancers 2026, 18(3), 420; https://doi.org/10.3390/cancers18030420 - 28 Jan 2026
Viewed by 288
Abstract
Background/Objectives: Malignant melanoma remains a highly aggressive malignancy with substantial mortality despite advances in systemic therapy. Identifying simple and reproducible prognostic biomarkers is essential for improving risk stratification. Inflammation- and nutrition-based indices—including the Systemic Immune–Inflammation Index (SII), Systemic Inflammatory Response Index (SIRI), dynamic [...] Read more.
Background/Objectives: Malignant melanoma remains a highly aggressive malignancy with substantial mortality despite advances in systemic therapy. Identifying simple and reproducible prognostic biomarkers is essential for improving risk stratification. Inflammation- and nutrition-based indices—including the Systemic Immune–Inflammation Index (SII), Systemic Inflammatory Response Index (SIRI), dynamic SIRI, and the Controlling Nutritional Status (CONUT) score—have shown prognostic value in various cancers. This study assessed the prognostic significance of these indices in patients with locally advanced or metastatic melanoma using real-world data. Methods: A retrospective cohort of 138 patients treated between 2010 and 2023 was analyzed. Baseline demographic, clinical, nutritional, and inflammatory parameters were collected. Optimal cut-off values for SII, SIRI, 6-month SIRI, and dynamic SIRI were determined using receiver operating characteristic analysis. Overall survival (OS) and progression-free survival (PFS) were evaluated using the Kaplan–Meier method, and independent predictors were identified with multivariate Cox regression. Results: Elevated baseline SII and SIRI were significantly associated with shorter overall survival. Both 6-month SIRI and dynamic SIRI demonstrated strong prognostic value, emphasizing the importance of longitudinal inflammatory changes. In multivariate analysis, response to first-line therapy emerged as the only independent predictor of disease progression. Patients with a CONUT score ≥ 3 showed significantly shorter OS and PFS in univariate analyses, underscoring the prognostic relevance of nutritional status. Conclusions: SII, SIRI, 6-month SIRI, dynamic SIRI, and CONUT are practical, accessible, and reproducible biomarkers with meaningful prognostic value in advanced melanoma. Incorporating these indices into routine clinical assessment may enhance risk stratification and support more personalized treatment decision-making. Full article
(This article belongs to the Section Cancer Biomarkers)
Show Figures

Figure 1

12 pages, 525 KB  
Article
Prognostic Value of Systemic Immune-Inflammation Index in Mucosal Malignant Melanoma
by Burak Paçacı, Erkam Kocaaslan, Ahmet Demirel, Fırat Akagündüz, Mustafa Alperen Tunç, Yeşim Ağyol, Ali Kaan Güren, Abdussamed Çelebi, Selver Işık, Ezgi Çoban, Nargiz Majidova, Nadiye Sever, Işık Paçacı, Buket Erkan Özmarasali, Adem Deligönül, Ali Fuat Gürbüz, Melek Karakurt Eryılmaz, Şüheda Ataş İpek, Nisanur Sarıyar Busery, Emre Yılmaz, Murat Sarı, İbrahim Vedat Bayoğlu, Osman Köstek and Nazım Can Demircanadd Show full author list remove Hide full author list
J. Clin. Med. 2026, 15(2), 890; https://doi.org/10.3390/jcm15020890 - 22 Jan 2026
Viewed by 172
Abstract
Background: Mucosal malignant melanoma (MMM) is a rare and aggressive malignancy with a dismal prognosis. While the Systemic Immune-Inflammation Index (SII) has emerged as a prognostic marker in various solid tumors, its specific value in MMM remains undefined. This study investigated the [...] Read more.
Background: Mucosal malignant melanoma (MMM) is a rare and aggressive malignancy with a dismal prognosis. While the Systemic Immune-Inflammation Index (SII) has emerged as a prognostic marker in various solid tumors, its specific value in MMM remains undefined. This study investigated the association between pretreatment SII and overall survival (OS) in patients with MMM. Methods: We retrospectively analyzed 106 adults with histologically confirmed MMM treated at six oncology centers in Turkey between 2005 and 2025. The baseline SII was calculated as platelet × neutrophil/lymphocyte counts obtained before definitive treatment. A receiver operating characteristic (ROC) analysis identified an optimal SII cutoff of 776 for overall survival (OS), defining low (<776) and high (≥776) SII groups. Results: Gastrointestinal and head and neck mucosa were the most frequent primary sites, and one-third of patients presented with metastatic disease. The median OS for the entire cohort was 23.3 months. Patients with a high versus low SII had a shorter OS (16.2 vs. 35.2 months; HR 2.71, 95% CI 1.67–4.40; p < 0.001). In multivariable analysis, a high SII (HR 1.88, 95% CI 1.12–3.14; p = 0.016), gastrointestinal primary site (HR 1.99, 95% CI 1.23–3.23; p = 0.005), and metastatic disease at diagnosis (HR 4.01, 95% CI 2.32–6.94; p < 0.001) independently predicted a worse OS. Conclusions: The SII is a novel, independent prognostic biomarker in MMM. Elevated pretreatment SII correlates with aggressive clinicopathologic features and inferior survival. As a readily accessible and cost-effective marker, SII may facilitate improved risk stratification in routine clinical practice for MMM patients. Full article
(This article belongs to the Section Oncology)
Show Figures

Figure 1

19 pages, 2936 KB  
Article
A Cross-Device and Cross-OS Benchmark of Modern Web Animation Systems
by Tajana Koren Ivančević, Trpimir Jeronim Ježić and Nikolina Stanić Loknar
J. Imaging 2026, 12(1), 45; https://doi.org/10.3390/jimaging12010045 - 15 Jan 2026
Viewed by 398
Abstract
Although modern web technologies increasingly rely on high-performance rendering methods to support rich visual content across a range of devices and operating systems, the field remains significantly under-researched. The performance of animated visual elements is affected by numerous factors, including browsers, operating systems, [...] Read more.
Although modern web technologies increasingly rely on high-performance rendering methods to support rich visual content across a range of devices and operating systems, the field remains significantly under-researched. The performance of animated visual elements is affected by numerous factors, including browsers, operating systems, GPU acceleration, scripting load, and device limitations. This study systematically evaluates animation performance across multiple platforms using a unified set of circle-based animations implemented with eight web-compatible technologies, including HTML, CSS, SVG, JavaScript, Canvas, and WebGL. Animations were evaluated under controlled feature combinations involving random motion, distance, colour variation, blending, and transformations, with object counts ranging from 10 to 10,000. Measurements were conducted on desktop operating systems (Windows, macOS, Linux) and mobile platforms (iOS, Android), using CPU utilisation, GPU memory usage, and frame rate (FPS) as key metrics. Results show that DOM-based approaches maintain stable performance at 100 animated objects but exhibit notable degradation by 500 objects. Canvas-based rendering extends usability to higher object counts, while WebGL demonstrates the most stable performance at large scales (5000–10,000 objects). These findings provide concrete guidance for selecting appropriate animation technologies based on scene complexity and target platform. Full article
(This article belongs to the Section Visualization and Computer Graphics)
Show Figures

Graphical abstract

22 pages, 363 KB  
Review
Human Factors, Competencies, and System Interaction in Remotely Piloted Aircraft Systems
by John Murray and Graham Wild
Aerospace 2026, 13(1), 85; https://doi.org/10.3390/aerospace13010085 - 13 Jan 2026
Viewed by 527
Abstract
Research into Remotely Piloted Aircraft Systems (RPASs) has expanded rapidly, yet the competencies, knowledge, skills, and other attributes (KSaOs) required of RPAS pilots remain comparatively underexamined. This review consolidates existing studies addressing human performance, subject matter expertise, training practices, and accident causation to [...] Read more.
Research into Remotely Piloted Aircraft Systems (RPASs) has expanded rapidly, yet the competencies, knowledge, skills, and other attributes (KSaOs) required of RPAS pilots remain comparatively underexamined. This review consolidates existing studies addressing human performance, subject matter expertise, training practices, and accident causation to provide a comprehensive account of the KSaOs underpinning safe civilian and commercial drone operations. Prior research demonstrates that early work drew heavily on military contexts, which may not generalize to contemporary civilian operations characterized by smaller platforms, single-pilot tasks, and diverse industry applications. Studies employing subject matter experts highlight cognitive demands in areas such as situational awareness, workload management, planning, fatigue recognition, perceptual acuity, and decision-making. Accident analyses, predominantly using the human factors accident classification system and related taxonomies, show that skill errors and preconditions for unsafe acts are the most frequent contributors to RPAS occurrences, with limited evidence of higher-level latent organizational factors in civilian contexts. Emerging research emphasizes that RPAS pilots increasingly perform data-collection tasks integral to professional workflows, requiring competencies beyond aircraft handling alone. The review identifies significant gaps in training specificity, selection processes, and taxonomy suitability, indicating opportunities for future research to refine RPAS competency frameworks and support improved operational safety. Full article
(This article belongs to the Special Issue Human Factors and Performance in Aviation Safety)
Show Figures

Graphical abstract

16 pages, 1109 KB  
Article
Monocyte-Driven Systemic Biomarkers and Survival After Pulmonary Metastasectomy in Metachronous Lung-Limited Oligometastatic Disease: A Retrospective Single-Center Study
by Hacer Boztepe Yesilcay, Asim Armagan Aydin, Ahmet Unlu, Sencan Akdag, Kamuran Yuceer and Mustafa Yildiz
J. Clin. Med. 2026, 15(2), 476; https://doi.org/10.3390/jcm15020476 - 7 Jan 2026
Viewed by 398
Abstract
Background/Objectives: Metachronous lung-limited oligometastatic disease represents a biologically heterogeneous state in which patient selection for pulmonary metastasectomy remains challenging. While systemic inflammation–nutrition indices have shown prognostic value across malignancies, their relevance in this strictly defined surgical setting is not well established. Methods: We [...] Read more.
Background/Objectives: Metachronous lung-limited oligometastatic disease represents a biologically heterogeneous state in which patient selection for pulmonary metastasectomy remains challenging. While systemic inflammation–nutrition indices have shown prognostic value across malignancies, their relevance in this strictly defined surgical setting is not well established. Methods: We conducted a retrospective single-center cohort study including 109 patients with isolated metachronous pulmonary recurrence who underwent curative intent R0 metastasectomy between September 2015 and April 2024. Preoperative systemic biomarkers, including neutrophil-to-lymphocyte ratio (NLR), systemic immune-inflammation index (SII), systemic inflammation response index (SIRI), pan-immune-inflammation value (PIV), and monocyte-to-albumin ratio (MAR), were evaluated using receiver operating characteristic (ROC) analysis and multivariable Cox models to determine their association with overall survival (OS) and progression-free survival (PFS). Clinicopathological variables, such as lymph node involvement and metastatic burden, were incorporated into the adjusted models. Results: The median age of the cohort was 61 years (range, 29–82 years), and the sex distribution was balanced (48.6% female and 51.4% male), with 62.4% of patients being younger than 65 years. Among the systemic indices evaluated, monocyte-weighted biomarkers demonstrated the strongest prognostic performance. The MAR showed the highest discriminative ability for mortality (AUC, 0.749; p < 0.001), followed by the SIRI (AUC, 0.682; p = 0.007). In multivariable analyses, MAR independently predicted OS (p = 0.043) and PFS (p = 0.023), while SIRI independently predicted PFS (p = 0.043). Lymph node involvement remained the dominant adverse prognostic factor for both outcomes (p < 0.001); however, monocyte-weighted indices provided additional prognostic value beyond conventional anatomic criteria. Conclusions: Preoperative SIRI and MAR capture host immune–metabolic states that are relevant to postoperative trajectories and may refine risk stratification in candidates for pulmonary metastasectomy. These readily obtainable markers warrant prospective validation within biologically integrated selection frameworks. Full article
(This article belongs to the Special Issue Surgical Oncology: Clinical Application of Translational Medicine)
Show Figures

Figure 1

20 pages, 2313 KB  
Article
Development and Validation of a GPS Error-Mitigation Algorithm for Mental Health Digital Phenotyping
by Joo Ho Lee, Jin Young Park, Se Hwan Park, Seong Jeon Lee, Gang Ho Do and Jee Hang Lee
Electronics 2026, 15(2), 272; https://doi.org/10.3390/electronics15020272 - 7 Jan 2026
Viewed by 259
Abstract
Mobile Global Positioning System (GPS) data offer a promising approach to inferring mental health status through behavioural analysis. Whilst previous research has explored location-based behavioural indicators including location clusters, entropy, and variance, persistent GPS measurement errors have compromised data reliability, limiting the practical [...] Read more.
Mobile Global Positioning System (GPS) data offer a promising approach to inferring mental health status through behavioural analysis. Whilst previous research has explored location-based behavioural indicators including location clusters, entropy, and variance, persistent GPS measurement errors have compromised data reliability, limiting the practical deployment of smartphone-based digital phenotyping systems. This study develops and validates an algorithmic preprocessing method designed to mitigate inherent GPS measurement limitations in mobile health applications. We conducted comprehensive evaluation through controlled experimental protocols and naturalistic field assessments involving 38 participants over a seven-day period, capturing GPS data across diverse environmental contexts on both Android and iOS platforms. The proposed preprocessing algorithm demonstrated exceptional precision, consistently detecting major activity centres within an average 50-metre margin of error across both platforms. In naturalistic settings, the algorithm yielded robust location detection capabilities, producing spatial patterns that reflected plausible and behaviourally meaningful traits at the individual level. Cross-platform analysis revealed consistent performance regardless of operating system, with no significant differences in accuracy metrics between Android and iOS devices. These findings substantiate the potential of mobile GPS data as a reliable, objective source of behavioural information for mental health monitoring systems, contingent upon implementing sophisticated error-mitigation techniques. The validated algorithm addresses a critical technical barrier to the practical implementation of GPS-based digital phenotyping, enabling the more accurate assessment of mobility-related behavioural markers across diverse mental health conditions. This research contributes to the growing field of mobile health technology by providing a robust algorithmic framework for leveraging smartphone sensing capabilities in healthcare applications. Full article
(This article belongs to the Section Electronic Materials, Devices and Applications)
Show Figures

Figure 1

18 pages, 943 KB  
Article
AVI-SHIELD: An Explainable TinyML Cross-Platform Threat Detection Framework for Aviation Mobile Security
by Chaymae Majdoubi, Saida EL Mendili, Youssef Gahi and Khalil El-Khatib
Information 2026, 17(1), 21; https://doi.org/10.3390/info17010021 - 31 Dec 2025
Viewed by 348
Abstract
The integration of mobile devices into aviation powering electronic flight bags, maintenance logs, and flight planning tools has created a critical and expanding cyber-attack surface. Security for these systems must be not only effective but also transparent, resource-efficient, and certifiable to meet stringent [...] Read more.
The integration of mobile devices into aviation powering electronic flight bags, maintenance logs, and flight planning tools has created a critical and expanding cyber-attack surface. Security for these systems must be not only effective but also transparent, resource-efficient, and certifiable to meet stringent aviation safety standards. This paper presents AVI-SHIELD, a novel framework for developing high-assurance, on-device threat detection. Our methodology, grounded in the MITRE ATT&CK® framework, models credible aviation-specific threats to generate the AviMal-TinyX dataset. We then design and optimize a set of compact, interpretable detection algorithms through quantization and pruning for deployment on resource-constrained hardware. Evaluation demonstrates that AVI-SHIELD achieves 97.2% detection accuracy on AviMal-TinyX while operating with strict resource efficiency (<1.5 MB model size, <35 ms inference time and <0.1 Joules per inference) on both Android and iOS. The framework provides crucial decision transparency through integrated, on-device analysis of detection results, adding a manageable overhead (~120 ms) only upon detection. Its successful deployment on both Android and iOS demonstrates that AVI-SHIELD can provide a uniform security posture across heterogeneous device fleets, a critical requirement for airline operations. This work provides a foundational approach for deploying certifiable, edge-based security that delivers the mandatory offline protection required for safety critical mobile aviation applications. Full article
Show Figures

Graphical abstract

14 pages, 818 KB  
Article
Prognostic Impact of Tumor Size in Patients with Stage T3N1 Colon Cancer
by Ezgi Turkoglu, Nisanur Sarıyar Busery, Sedat Yildirim, Goncagül Akdağ Topal, Cevher Burcu Salman, Erhan Conay, Furkan Turkoglu, Ozhan Albayrak, Seval Ay Ersoy, Deniz Isik, Hatice Odabaş, Cihad Tatar and Nedim Turan
J. Clin. Med. 2026, 15(1), 247; https://doi.org/10.3390/jcm15010247 - 29 Dec 2025
Viewed by 524
Abstract
Background/Objectives: Tumor size is not included in the TNM staging system for colon cancer, and its prognostic significance remains controversial. We aimed to evaluate the impact of tumor size on recurrence-free survival (RFS) and overall survival (OS) in patients with stage T3N1 [...] Read more.
Background/Objectives: Tumor size is not included in the TNM staging system for colon cancer, and its prognostic significance remains controversial. We aimed to evaluate the impact of tumor size on recurrence-free survival (RFS) and overall survival (OS) in patients with stage T3N1 colon cancer. Methods: We retrospectively analyzed 336 patients with pathologically confirmed pT3N1 colon cancer who underwent curative resection between January 2015 and January 2025 at our tertiary institution. Clinicopathological features, adjuvant chemotherapy details, and survival outcomes were collected. Tumor size was measured pathologically, and a cutoff was determined by receiver operating characteristic (ROC) analysis. Kaplan–Meier and Cox regression analyses were performed to identify prognostic factors. Results: The optimal cutoff for tumor size predicting recurrence was 4 cm. Patients with tumors ≥ 4 cm had significantly lower 5-year RFS compared to those with smaller tumors (65.1% vs. 80.3%, p = 0.007). In multivariate analysis, tumor size ≥ 4 cm (HR: 2.014, 95% CI: 1.093–3.714, p = 0.025), ECOG performance status ≥ 2 (p = 0.005), positive resection margin (p = 0.011), and failure to complete adjuvant chemotherapy (p = 0.007) were identified as independent adverse prognostic factors for RFS. Tumor size was not independently associated with OS (p = 0.46). Adjuvant chemotherapy significantly improved both RFS (p < 0.001) and OS (p < 0.001). Conclusions: In patients with stage T3N1 colon cancer, tumor size ≥ 4 cm is an independent adverse prognostic factor for RFS. Incorporating tumor size into risk stratification, alongside TNM staging and treatment completion status, may improve prognostic assessment and guide clinical decision-making. Full article
(This article belongs to the Section Oncology)
Show Figures

Figure 1

22 pages, 3852 KB  
Article
Improved Attendance Tracking System for Coffee Farm Workers Applying Computer Vision
by Hong-Danh Thai, YuanYuan Liu, Ngoc-Bao-Van Le, Daesung Lee and Jun-Ho Huh
Appl. Sci. 2026, 16(1), 319; https://doi.org/10.3390/app16010319 - 28 Dec 2025
Viewed by 600
Abstract
Agricultural mechanization and advanced technology have developed significantly in the coffee industry. However, there are still requirements for human laborers to operate, monitor crop health care, and manage production. The integration of advanced technology can significantly enhance the production efficiency and management practices [...] Read more.
Agricultural mechanization and advanced technology have developed significantly in the coffee industry. However, there are still requirements for human laborers to operate, monitor crop health care, and manage production. The integration of advanced technology can significantly enhance the production efficiency and management practices of agricultural enterprises. This paper aims to address these gaps by proposing and implementing a computer vision-based attendance tracking system on mobile platforms that are suitable for the requirements and limitations of agricultural enterprises. First, the face detection process involves interpreting and locating facial structure. Next, the model transforms a photographic image of a human face into digital data based on the unique features and facial structure. We utilize the InsightFace model with the buffalo_l variant, as well as ArcFace with a ResNet backbone, as a facial recognition algorithm. After capturing a facial image, the system conducts a matching process against the existing database to verify identity. Finally, we implement a mobile application prototype on both iOS and Android platforms, ensuring accessibility for farm workers. As a result, our system achieved 95.2% accuracy on the query set, with an average processing time of <200 ms per image (including face detection, embedding extraction, and database matching). The system performs real-time attendance monitoring, automatically recording the entry and exit times of farm workers using facial recognition technology, and enables quick registration of new workers. Our work is expected to enhance transparency and fairness in the human management process, focusing on the coffee farm use case. Full article
(This article belongs to the Special Issue Future Information & Communication Engineering 2025)
Show Figures

Figure 1

Back to TopTop