Sign in to use this feature.

Years

Between: -

Subjects

remove_circle_outline
remove_circle_outline
remove_circle_outline
remove_circle_outline
remove_circle_outline
remove_circle_outline
remove_circle_outline
remove_circle_outline
remove_circle_outline

Journals

remove_circle_outline
remove_circle_outline
remove_circle_outline
remove_circle_outline
remove_circle_outline
remove_circle_outline
remove_circle_outline
remove_circle_outline
remove_circle_outline
remove_circle_outline
remove_circle_outline
remove_circle_outline
remove_circle_outline
remove_circle_outline
remove_circle_outline
remove_circle_outline

Article Types

Countries / Regions

remove_circle_outline
remove_circle_outline
remove_circle_outline
remove_circle_outline
remove_circle_outline
remove_circle_outline
remove_circle_outline
remove_circle_outline

Search Results (1,493)

Search Parameters:
Keywords = Occlusion Analysis

Order results
Result details
Results per page
Select all
Export citation of selected articles as:
16 pages, 2780 KB  
Article
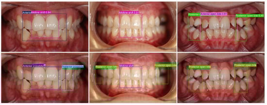
Multi-Class Malocclusion Detection on Standardized Intraoral Photographs Using YOLOv11
by Ani Nebiaj, Markus Mühling, Bernd Freisleben and Babak Sayahpour
Dent. J. 2026, 14(1), 60; https://doi.org/10.3390/dj14010060 - 16 Jan 2026
Abstract
Background/Objectives: Accurate identification of dental malocclusions from routine clinical photographs can be time-consuming and subject to interobserver variability. A YOLOv11-based deep learning approach is presented and evaluated for automatic malocclusion detection on routine intraoral photographs, testing the hypothesis that training on a structured [...] Read more.
Background/Objectives: Accurate identification of dental malocclusions from routine clinical photographs can be time-consuming and subject to interobserver variability. A YOLOv11-based deep learning approach is presented and evaluated for automatic malocclusion detection on routine intraoral photographs, testing the hypothesis that training on a structured annotation protocol enables reliable detection of multiple clinically relevant malocclusions. Methods: An anonymized dataset of 5854 intraoral photographs (frontal occlusion; right/left buccal; maxillary/mandibular occlusal) was labeled according to standardized instructions derived from the Index of Orthodontic Treatment Need (IOTN) A total of 17 clinically relevant classes were annotated with bounding boxes. Due to an insufficient number of examples, two malocclusions (transposition and non-occlusion) were excluded from our quantitative analysis. A YOLOv11 model was trained with augmented data and evaluated on a held-out test set using mean average precision at IoU 0.5 (mAP50), macro precision (macro-P), and macro recall (macro-R). Results: Across 15 analyzed classes, the model achieved 87.8% mAP50, 76.9% macro-P, and 86.1% macro-R. The highest per-class AP50 was observed for Deep bite (98.8%), Diastema (97.9%), Angle Class II canine (97.5%), Anterior open bite (92.8%), Midline shift (91.8%), Angle Class II molar (91.1%), Spacing (91%), and Crowding (90.1%). Moderate performance included Anterior crossbite (88.3%), Angle Class III molar (87.4%), Head bite (82.7%), and Posterior open bite (80.2%). Lower values were seen for Angle Class III canine (76%), Posterior crossbite (75.6%), and Big overjet (75.3%). Precision–recall trends indicate earlier precision drop-off for posterior/transverse classes and comparatively more missed detections in Posterior crossbite, whereas Big overjet exhibited more false positives at the chosen threshold. Conclusion: A YOLOv11-based deep learning system can accurately detect several clinically salient malocclusions on routine intraoral photographs, supporting efficient screening and standardized documentation. Performance gaps align with limited examples and visualization constraints in posterior regions. Larger, multi-center datasets, protocol standardization, quantitative metrics, and multimodal inputs may further improve robustness. Full article
(This article belongs to the Special Issue Artificial Intelligence in Oral Rehabilitation)
Show Figures

Graphical abstract

17 pages, 839 KB  
Article
Perceptions of Individuals/Patients with Temporomandibular Disorders About Their Diagnosis, Information Seeking and Treatment Expectations: A Comparative Qualitative Study of Brazilian and Spanish Individuals
by Luana Maria Ramos Mendes, María Palacios-Ceña, Domingo Palacios-Ceña, María-Luz Cuadrado, Farzin Falahat, Miguel Alonso-Juarranz, Jene Carolina Silva Marçal, Milena Dietrich Deitos Rosa, Débora Bevilaqua-Grossi and Lidiane Lima Florencio
Healthcare 2026, 14(2), 227; https://doi.org/10.3390/healthcare14020227 - 16 Jan 2026
Abstract
Background: Considering the significant impact on quality of life and the chronic nature of temporomandibular dysfunction (TMD), seeking healthcare is also part of the reality of individuals with this disorder. However, cultural differences and similarities in the experiences of individuals with TMD have [...] Read more.
Background: Considering the significant impact on quality of life and the chronic nature of temporomandibular dysfunction (TMD), seeking healthcare is also part of the reality of individuals with this disorder. However, cultural differences and similarities in the experiences of individuals with TMD have not yet been investigated. This study aimed to describe and compare the experiences, beliefs, and sociocultural factors of Brazilian and Spanish individuals with TMD, focusing on their perceptions of the disorder, diagnostic pathways, information-seeking behaviors, and treatment expectations. Methods: A descriptive qualitative study was conducted. A purposive sample of 50 participants (25 Brazilian, 25 Spanish), aged 18–50 and diagnosed with TMD according to DC/TMD criteria, was recruited. Data were obtained through semi-structured interviews and analyzed using thematic analysis. Results: Six themes emerged, revealing both similarities and differences between the groups. Brazilian participants reported uncertainty about which professional to consult and difficulty accessing specialized care. In contrast, Spanish participants frequently sought physical therapists as their first option and identified them as primary sources of information. Beliefs about TMD etiology varied across samples. Treatment expectations also differed. Brazilians emphasized the difficulty of obtaining effective care, while Spanish participants perceived physiotherapy as being limited to muscular disorders. Perceptions of occlusal splint effectiveness showed variation between the groups. Conclusions: These findings underscore the necessity of culturally sensitive approaches to patient care that address not only clinical aspects, but also the sociocultural context that influences health behaviors. Full article
(This article belongs to the Special Issue Application of Qualitative Methods and Mixed Designs in Healthcare)
Show Figures

Figure 1

19 pages, 9525 KB  
Article
Evaluating UAV and Handheld LiDAR Point Clouds for Radiative Transfer Modeling Using a Voxel-Based Point Density Proxy
by Takumi Fujiwara, Naoko Miura, Hiroki Naito and Fumiki Hosoi
Sensors 2026, 26(2), 590; https://doi.org/10.3390/s26020590 - 15 Jan 2026
Viewed by 114
Abstract
The potential of UAV-based LiDAR (UAV-LiDAR) and handheld LiDAR scanners (HLSs) for forest radiative transfer models (RTMs) was evaluated using a Voxel-Based Point Density Proxy (VPDP) as a diagnostic tool in a Larix kaempferi forest. Structural analysis-computed coverage gap ratio (CGR) revealed distinct [...] Read more.
The potential of UAV-based LiDAR (UAV-LiDAR) and handheld LiDAR scanners (HLSs) for forest radiative transfer models (RTMs) was evaluated using a Voxel-Based Point Density Proxy (VPDP) as a diagnostic tool in a Larix kaempferi forest. Structural analysis-computed coverage gap ratio (CGR) revealed distinct behaviors. UAV-LiDARs effectively captured canopy structures (10–45% CGR), whereas HLS provided superior understory coverage, but exhibited a high upper-canopy CGR (>40%). Integrating datasets reduced the CGR to below 10%, demonstrating strong complementarity. Radiative transfer simulations correlated well with Sentinel-2 NIR reflectance, with the UAV-LiDAR (r = 0.73–0.75) outperforming the HLS (r = 0.64–0.69). These results highlight the critical importance of upper-canopy modeling for nadir-viewing sensors. Although integrating HLS data did not improve correlation due to the dominance of upper-canopy signals, structural analysis confirmed that fusion is essential for achieving volumetric completeness. A voxel size range of 50–100 cm was identified as effective for balancing structural detail and radiative stability. These findings provide practical guidelines for selecting and integrating LiDAR platforms in forest monitoring, emphasizing that while aerial sensors suffice for top-of-canopy reflectance, multi-platform fusion is requisite for full 3D structural characterization. Full article
(This article belongs to the Special Issue Progress in LiDAR Technologies and Applications)
Show Figures

Figure 1

22 pages, 20100 KB  
Article
Real-Time Detection and Validation of a Target-Oriented Model for Spindle-Shaped Tree Trunks Leveraging Deep Learning
by Kang Zheng, Shuo Yang, Zhichong Wang, Hao Fu, Xiu Wang, Wei Zou, Changyuan Zhai and Liping Chen
Agronomy 2026, 16(2), 210; https://doi.org/10.3390/agronomy16020210 - 15 Jan 2026
Viewed by 100
Abstract
To enhance the automation and intelligence of trenching fertilization operations, this research proposes a real-time trunk detection model (Trunk-Seek) designed for spindle-shaped orchards. The model employs a customized data augmentation strategy and integrates the YOLO deep learning framework to effectively address visual challenges [...] Read more.
To enhance the automation and intelligence of trenching fertilization operations, this research proposes a real-time trunk detection model (Trunk-Seek) designed for spindle-shaped orchards. The model employs a customized data augmentation strategy and integrates the YOLO deep learning framework to effectively address visual challenges such as lighting variation, occlusion, and motion blur. Multiple object tracking algorithms were evaluated, and ByteTrack was selected for its superior performance in dynamic trunk tracking. In addition, a Positioning and Triggering Algorithm (PTA) was developed to enable precise localization and triggering for target-oriented fertilization. The system was deployed on an edge device, a test bench was established, and both laboratory and field experiments were conducted to validate its performance. Experimental results demonstrated that the detection model achieved an mAP50 of 98.9% and maintained a stable 32.53 FPS on the edge device, fulfilling real-time detection requirements. Test bench analysis revealed that variations in trunk diameter and operation speed affected triggering accuracy, with an average dynamic localization error of ±1.78 cm. An empirical model (T) was developed to describe the time-delay behavior associated with positioning errors. Field verification in orchards confirmed that Trunk-Seek achieved a triggering accuracy of 91.08%, representing a 24.08% improvement over conventional training methods. Combining high accuracy with robust real-time performance, Trunk-Seek and the proposed PTA provide essential technical support for the development of a visual target-oriented fertilization system in modern orchards. Full article
Show Figures

Figure 1

13 pages, 861 KB  
Article
Mid-Term Results of the Multicenter CAMPARI Registry Using the E-Liac Iliac Branch Device for Aorto-Iliac Aneurysms
by Francesca Noce, Giulio Accarino, Domenico Angiletta, Luca del Guercio, Sergio Zacà, Mafalda Massara, Pietro Volpe, Antonio Peluso, Loris Flora, Raffaele Serra and Umberto Marcello Bracale
J. Cardiovasc. Dev. Dis. 2026, 13(1), 48; https://doi.org/10.3390/jcdd13010048 - 15 Jan 2026
Viewed by 71
Abstract
Background: Intentional occlusion of the internal iliac artery (IIA) during endovascular repair of aorto-iliac aneurysms may predispose patients to pelvic ischemic complications such as gluteal claudication, erectile dysfunction, and bowel ischemia. Iliac branch devices (IBDs) have been developed to preserve hypogastric perfusion. [...] Read more.
Background: Intentional occlusion of the internal iliac artery (IIA) during endovascular repair of aorto-iliac aneurysms may predispose patients to pelvic ischemic complications such as gluteal claudication, erectile dysfunction, and bowel ischemia. Iliac branch devices (IBDs) have been developed to preserve hypogastric perfusion. E-Liac (Artivion/Jotec) is one of the latest modular IBDs yet reports on mid-term performance are limited to small single-center cohorts with short follow-up. The CAMpania PugliA bRanch IliaC (CAMPARI) study is a multicenter investigation of E-Liac outcomes. Methods: A retrospective observational cohort study was conducted across five Italian vascular centers. All consecutive patients undergoing E-Liac implantation for aorto-iliac or isolated iliac aneurysms between January 2015 and December 2024 were identified from prospectively maintained registries. Inclusion criteria comprised elective or urgent endovascular repair of aorto-iliac aneurysms in which an adequate distal sealing zone was not available without covering the IIA and suitability for the E-Liac device according to its instructions for use (IFU). Patients with a life expectancy < 1 year or hostile anatomy incompatible with the IFU were excluded. The primary end point was freedom from branch instability (occlusion/stenosis, kinking, or detachment of the bridging stent). Secondary end points included freedom from any endoleak, freedom from device-related reintervention, freedom from gluteal claudication, aneurysm-related and all-cause mortality, acute renal failure, and sac regression > 5 mm. Results: A total of 69 consecutive patients (68 male, 1 female, median age 72.0 years) received 74 E-Liac devices, including 5 bilateral implantations. The mean infrarenal aortic diameter was 45 mm and the mean CIA diameter 34 mm; 14 patients (20.0%) had a concomitant IIA aneurysm (>20 mm). Concomitant fenestrated or branched aortic repair was performed in 23% of procedures. Two patients received a standalone IBD without implantation of a proximal aortic endograft. Technical success was achieved in 71/74 cases (96.0%); three failures occurred due to inability to catheterize the IIA. Distal landing was in the main IIA trunk in 58 cases and in the posterior branch in 13 cases. Over a median follow-up of 18 (6; 36) months, there were four branch instability events (5.4%): three occlusions and one bridging stent detachment. Seven patients (9.5%) developed endoleaks (one type Ib, two type II, two type IIIa, and two type IIIc). Five patients (6.8%) required reintervention, and five (6.8%) reported gluteal claudication. There were seven all-cause deaths (10%), none within 30 days or related to aneurysm rupture; causes included COVID-19 pneumonia, acute coronary syndrome, melanoma, gastric cancer, and stroke. No acute renal or respiratory failure occurred. Kaplan–Meier analysis showed 92% (95% CI 77–100) freedom from branch instability in the main-trunk group and 89% (60–100) in the posterior-branch group (log-rank p = 0.69). Freedom from any endoleak at 48 months was 87% (95% CI 75–95), and freedom from reintervention was 93% (95% CI 83–98). Conclusions: In this multicenter cohort, the E-Liac branched endograft demonstrated high technical success and favorable early–mid-term outcomes. Preservation of hypogastric perfusion using E-Liac was associated with low rates of branch instability, endoleak, and reintervention, with no 30-day mortality or aneurysm-related deaths. These findings support the safety and efficacy of E-Liac for aorto-iliac aneurysm management, although larger prospective studies with longer follow-up are needed. Full article
Show Figures

Graphical abstract

13 pages, 882 KB  
Article
How Many Teeth Are Needed to Maintain Healthy Oral Function in Older Adults? A Cross-Sectional Analysis
by Ketsupha Suwanarpa, Yoko Hasegawa, Jarin Paphangkorakit, Atthasit Kanwiwatthanakun, Kazuhiro Hori and Takahiro Ono
Prosthesis 2026, 8(1), 10; https://doi.org/10.3390/prosthesis8010010 - 14 Jan 2026
Viewed by 111
Abstract
Background/Objectives: Oral function impairment negatively impacts nutrition, health, and quality of life in older adults. While retaining ≥20 natural teeth is often recommended for maintaining oral function, its validity is uncertain, particularly for those who adapt to tooth loss with dentures. This study [...] Read more.
Background/Objectives: Oral function impairment negatively impacts nutrition, health, and quality of life in older adults. While retaining ≥20 natural teeth is often recommended for maintaining oral function, its validity is uncertain, particularly for those who adapt to tooth loss with dentures. This study aimed to determine the minimum number of remaining functional teeth necessary to prevent oral hypofunction in older adults, focusing on two diagnostic criteria: decreased masticatory function and reduced occlusal force. Methods: A total of 154 participants (≥60 years) were included. Oral examination assessed the number of remaining functional teeth. To assess masticatory function, masticatory performance was objectively measured using a visual scoring method of gummy jelly, and occlusal force was quantified with pressure-sensitive film. Pearson’s correlation analyzed relationships among variables, while receiver operating characteristic (ROC) analysis identified optimal tooth number cut-offs for detecting decreased masticatory function (score ≤ 2) and reduced occlusal force (<500 N). Results: Significant positive correlations were found between the number of remaining functional teeth and both masticatory performance (r = 0.591, p < 0.001) and occlusal force (r = 0.453, p < 0.001). ROC indicated that 17 teeth was the optimal threshold for identifying both decreased masticatory performance and reduced occlusal force, with sensitivities of 0.79 and 0.72 and specificities of 0.93 and 0.88, respectively. Conclusions: Retention of 17 or more remaining functional teeth may be sufficient to maintain adequate masticatory performance and occlusal force. These findings serves as a preliminary guide for treatment planning and targeted interventions focused on preserving tooth retention and improving oral function in aging populations. Full article
Show Figures

Figure 1

28 pages, 13960 KB  
Article
Deep Learning Approaches for Brain Tumor Classification in MRI Scans: An Analysis of Model Interpretability
by Emanuela F. Gomes and Ramiro S. Barbosa
Appl. Sci. 2026, 16(2), 831; https://doi.org/10.3390/app16020831 - 14 Jan 2026
Viewed by 231
Abstract
This work presents the development and evaluation of Artificial Intelligence (AI) models for the automatic classification of brain tumors in Magnetic Resonance Imaging (MRI) scans. Several deep learning architectures were implemented and compared, including VGG-19, ResNet50, EfficientNetB3, Xception, MobileNetV2, DenseNet201, InceptionV3, Vision Transformer [...] Read more.
This work presents the development and evaluation of Artificial Intelligence (AI) models for the automatic classification of brain tumors in Magnetic Resonance Imaging (MRI) scans. Several deep learning architectures were implemented and compared, including VGG-19, ResNet50, EfficientNetB3, Xception, MobileNetV2, DenseNet201, InceptionV3, Vision Transformer (ViT), and an Ensemble model. The models were developed in Python (version 3.12.4) using the Keras and TensorFlow frameworks and trained on a public Brain Tumor MRI dataset containing 7023 images. Data augmentation and hyperparameter optimization techniques were applied to improve model generalization. The results showed high classification performance, with accuracies ranging from 89.47% to 98.17%. The Vision Transformer achieved the best performance, reaching 98.17% accuracy, outperforming traditional Convolutional Neural Network (CNN) architectures. Explainable AI (XAI) methods Grad-CAM, LIME, and Occlusion Sensitivity were employed to assess model interpretability, showing that the models predominantly focused on tumor regions. The proposed approach demonstrated the effectiveness of AI-based systems in supporting early diagnosis of brain tumors, reducing analysis time and assisting healthcare professionals. Full article
(This article belongs to the Special Issue Advanced Intelligent Technologies in Bioinformatics and Biomedicine)
Show Figures

Figure 1

19 pages, 6871 KB  
Article
A BIM-Derived Synthetic Point Cloud (SPC) Dataset for Construction Scene Component Segmentation
by Yiquan Zou, Tianxiang Liang, Wenxuan Chen, Zhixiang Ren and Yuhan Wen
Data 2026, 11(1), 16; https://doi.org/10.3390/data11010016 - 12 Jan 2026
Viewed by 137
Abstract
In intelligent construction and BIM–Reality integration applications, high-quality, large-scale construction scene point cloud data with component-level semantic annotations constitute a fundamental basis for three-dimensional semantic understanding and automated analysis. However, point clouds acquired from real construction sites commonly suffer from high labeling costs, [...] Read more.
In intelligent construction and BIM–Reality integration applications, high-quality, large-scale construction scene point cloud data with component-level semantic annotations constitute a fundamental basis for three-dimensional semantic understanding and automated analysis. However, point clouds acquired from real construction sites commonly suffer from high labeling costs, severe occlusion, and unstable data distributions. Existing public datasets remain insufficient in terms of scale, component coverage, and annotation consistency, limiting their suitability for data-driven approaches. To address these challenges, this paper constructs and releases a BIM-derived synthetic construction scene point cloud dataset, termed the Synthetic Point Cloud (SPC), targeting component-level point cloud semantic segmentation and related research tasks.The dataset is generated from publicly available BIM models through physics-based virtual LiDAR scanning, producing multi-view and multi-density three-dimensional point clouds while automatically inheriting component-level semantic labels from BIM without any manual intervention. The SPC dataset comprises 132 virtual scanning scenes, with an overall scale of approximately 8.75×109 points, covering typical construction components such as walls, columns, beams, and slabs. By systematically configuring scanning viewpoints, sampling densities, and occlusion conditions, the dataset introduces rich geometric and spatial distribution diversity. This paper presents a comprehensive description of the SPC data generation pipeline, semantic mapping strategy, virtual scanning configurations, and data organization scheme, followed by statistical analysis and technical validation in terms of point cloud scale evolution, spatial coverage characteristics, and component-wise semantic distributions. Furthermore, baseline experiments on component-level point cloud semantic segmentation are provided. The results demonstrate that models trained solely on the SPC dataset can achieve stable and engineering-meaningful component-level predictions on real construction point clouds, validating the dataset’s usability in virtual-to-real research scenarios. As a scalable and reproducible BIM-derived point cloud resource, the SPC dataset offers a unified data foundation and experimental support for research on construction scene point cloud semantic segmentation, virtual-to-real transfer learning, scan-to-BIM updating, and intelligent construction monitoring. Full article
Show Figures

Figure 1

22 pages, 5754 KB  
Article
Low-Cost Deep Learning for Building Detection with Application to Informal Urban Planning
by Lucas González, Jamal Toutouh and Sergio Nesmachnow
ISPRS Int. J. Geo-Inf. 2026, 15(1), 36; https://doi.org/10.3390/ijgi15010036 - 9 Jan 2026
Viewed by 225
Abstract
This article studies the application of deep neural networks for automatic building detection in aerial RGB images. Special focus is put on accuracy robustness in both well-structured and poorly planned urban scenarios, which pose significant challenges due to occlusions, irregular building layouts, and [...] Read more.
This article studies the application of deep neural networks for automatic building detection in aerial RGB images. Special focus is put on accuracy robustness in both well-structured and poorly planned urban scenarios, which pose significant challenges due to occlusions, irregular building layouts, and limited contextual cues. The applied methodology considers several CNNs using only RBG images as input, and both validation and transfer capabilities are studied. U-Net-based models achieve the highest single-model accuracy, with an Intersection over Union (IoU) of 0.9101. A soft-voting ensemble of the best U-Net models further increases performance, reaching a best ensemble IoU of 0.9665, improving over state-of-the-art building detection methods on standard benchmarks. The approach demonstrates strong generalization using only RGB imagery, supporting scalable, low-cost applications in urban planning and geospatial analysis. Full article
(This article belongs to the Special Issue Testing the Quality of GeoAI-Generated Data for VGI Mapping)
Show Figures

Figure 1

33 pages, 12778 KB  
Article
From Digital Planning to Surgical Precision: Assessing the Accuracy of NemoFAB in Orthognathic Surgery
by Robert-Paul Avrămuț, Serban Talpos, Andra-Alexandra Stăncioiu, Alexandru Cătălin Motofelea, Malina Popa and Camelia-Alexandrina Szuhanek
J. Clin. Med. 2026, 15(2), 532; https://doi.org/10.3390/jcm15020532 - 9 Jan 2026
Viewed by 148
Abstract
Background/Objectives: Three-dimensional virtual surgical planning (VSP) is increasingly central to contemporary orthognathic surgery, enhancing diagnostic precision and enabling more reliable forecasts of postoperative outcomes. NemoFAB (Nemotec, Madrid, Spain) is a recently developed digital platform that integrates CBCT data, digital dental models, and [...] Read more.
Background/Objectives: Three-dimensional virtual surgical planning (VSP) is increasingly central to contemporary orthognathic surgery, enhancing diagnostic precision and enabling more reliable forecasts of postoperative outcomes. NemoFAB (Nemotec, Madrid, Spain) is a recently developed digital platform that integrates CBCT data, digital dental models, and facial photographs into a single workflow. Despite its growing clinical use, independent validation of its predictive accuracy remains limited. This study evaluated how closely NemoFAB virtual predictions corresponded to actual postoperative results using standardized cephalometric parameters. Methods: Forty adult patients with dento-maxillofacial deformities requiring combined orthodontic–surgical treatment were included. Eleven cephalometric variables—common to both WebCeph (2D) and NemoFAB (3D)—were measured preoperatively, virtually in NemoFAB, and postoperatively. AI-assisted landmark placement was manually verified by two orthodontists. Statistical analyses included repeated-measures ANOVA, paired t-tests, Bland–Altman plots, and intraclass correlation coefficients (ICC) to evaluate agreement and predictive accuracy. Results: Overjet, overbite, maxillary incisor inclination, maxillary incisor exposure, mandibular incisor projection to the True Vertical Line, and occlusal plane angulation all showed statistically significant changes after surgery (p < 0.05). Bland–Altman analysis demonstrated the narrowest limits of agreement in Nemo–Post comparisons, indicating strong predictive alignment. ICC values showed excellent agreement for incisor angulation (ICC = 0.921–0.984) and Pogonion projection (ICC = 0.943). Consistently poor pre-Nemo agreement reflected expected discrepancies between initial anatomy and planned surgical correction. Conclusions: When predicting skeletal and dentoalveolar changes brought about by orthognathic surgery, NemoFAB showed a high degree of agreement, especially for parameters that are directly impacted by jaw repositioning. Its strong concordance with postoperative outcomes supports its reliability for virtual planning, interdisciplinary coordination, and surgical execution. Advances in soft-tissue modeling and AI-driven automation may further enhance predictive accuracy. Full article
(This article belongs to the Special Issue Orthodontics: Current Advances and Future Options)
Show Figures

Figure 1

26 pages, 6272 KB  
Article
Target Detection in Ship Remote Sensing Images Considering Cloud and Fog Occlusion
by Xiaopeng Shao, Zirui Wang, Yang Yang, Shaojie Zheng and Jianwu Mu
J. Mar. Sci. Eng. 2026, 14(2), 124; https://doi.org/10.3390/jmse14020124 - 7 Jan 2026
Viewed by 205
Abstract
The recognition of targets in ship remote sensing images is crucial for ship collision avoidance, military reconnaissance, and emergency rescue. However, climatic factors such as clouds and fog can obscure and blur remote sensing image targets, leading to missed and false detections in [...] Read more.
The recognition of targets in ship remote sensing images is crucial for ship collision avoidance, military reconnaissance, and emergency rescue. However, climatic factors such as clouds and fog can obscure and blur remote sensing image targets, leading to missed and false detections in target detection. Therefore, it is necessary to study ship remote sensing target detection that considers the impact of cloud and fog occlusion. Due to the large scale and vast amount of information in remote sensing images, in order to achieve high-precision target detection based on limited resource platforms, a comparison of the detection accuracy and parameter quantity of the YOLO series algorithms was first conducted. Based on the analysis results, the YOLOv8s network model with the least number of parameters while ensuring detection accuracy was selected for lightweight network model improvement. The FasterNet was utilized to replace the backbone feature extraction network of YOLOv8s, and the detection accuracy and lightweight level of the resulting FN-YOLOv8s network model were both improved. Furthermore, structural improvements were made to the AOD-Net dehazing network. By introducing a smoothness loss function, the halo artifacts often generated during the image dehazing process were addressed. Meanwhile, by integrating the atmospheric light value and transmittance, the accumulation error was effectively reduced, significantly enhancing the dehazing effect of remote sensing images. Full article
(This article belongs to the Section Ocean Engineering)
Show Figures

Figure 1

14 pages, 1153 KB  
Article
Assessment of Awake and Sleep Bruxism in Fibromyalgia Patients with Temporomandibular Disorders
by Davide Alessio Fontana, Salvatore Nigliaccio, Francesca Pusateri, Emanuele Di Vita, Pietro Messina, Enzo Cumbo, Antonio Scardina, Elisabetta Raia and Giuseppe Alessandro Scardina
J. Clin. Med. 2026, 15(2), 460; https://doi.org/10.3390/jcm15020460 - 7 Jan 2026
Viewed by 190
Abstract
Background/Objectives: Fibromyalgia (FM) is a chronic pain syndrome often associated with musculoskeletal tenderness, fatigue, and sleep disturbances. Temporomandibular disorders (TMDs) and bruxism are frequently observed comorbidities in patients with FM, yet their objective assessment remains limited. This study aimed to evaluate masticatory muscle [...] Read more.
Background/Objectives: Fibromyalgia (FM) is a chronic pain syndrome often associated with musculoskeletal tenderness, fatigue, and sleep disturbances. Temporomandibular disorders (TMDs) and bruxism are frequently observed comorbidities in patients with FM, yet their objective assessment remains limited. This study aimed to evaluate masticatory muscle activity in patients with fibromyalgia and temporomandibular disorders using both static surface electromyography (sEMG) and a 24 h portable EMG device (Dia-BRUXO®). Methods: Thirty female patients (mean age 53.6 ± 10.5 years) underwent comprehensive clinical and gnathological evaluations, followed by static EMG recordings of the masseter and temporalis muscles and continuous monitoring of the left masseter over a 24 h period. Results: Results revealed a significantly higher number of bruxism episodes during wakefulness (80.9 ± 130.8) compared to sleep (24.0 ± 26.8; p < 0.0001). The Masseter Time Index (MTI) and Masseter Work Index (MWI) were also significantly higher during wakefulness (p < 0.001), indicating a predominance of daytime masticatory muscle activity. Static sEMG analysis showed generally preserved bilateral muscle symmetry, accompanied by mild imbalances in occlusal load distribution and increased global muscle activation. Conclusions: These findings suggest that patients with fibromyalgia and temporomandibular disorders exhibit increased baseline masticatory muscle activity, particularly during wakefulness, possibly reflecting sustained neuromuscular tension. Continuous EMG monitoring appears to provide an objective tool for characterizing bruxism patterns and complements clinical assessment and self-reported data. However, the absence of a control group and the exclusive inclusion of female patients limit the generalizability of the results. Further studies including appropriate comparison groups are needed to clarify the specificity and clinical implications of these findings. Full article
(This article belongs to the Section Dentistry, Oral Surgery and Oral Medicine)
Show Figures

Figure 1

30 pages, 6797 KB  
Article
Voxel-Based Leaf Area Estimation in Trellis-Grown Grapevines: A Destructive Validation and Comparison with Optical LAI Methods
by Poching Teng, Hiroyoshi Sugiura, Tomoki Date, Unseok Lee, Takeshi Yoshida, Tomohiko Ota and Junichi Nakagawa
Remote Sens. 2026, 18(2), 198; https://doi.org/10.3390/rs18020198 - 7 Jan 2026
Viewed by 216
Abstract
This study develops a voxel-based leaf area estimation framework and validates it using a three-year multi-temporal dataset (2022–2024) of pergola-trained grapevines. The workflow integrates 2D image analysis, ExGR-based leaf segmentation, and 3D reconstruction using Structure-from-Motion (SfM). Multi-angle canopy images were collected repeatedly during [...] Read more.
This study develops a voxel-based leaf area estimation framework and validates it using a three-year multi-temporal dataset (2022–2024) of pergola-trained grapevines. The workflow integrates 2D image analysis, ExGR-based leaf segmentation, and 3D reconstruction using Structure-from-Motion (SfM). Multi-angle canopy images were collected repeatedly during the growing seasons, and destructive leaf sampling was conducted to quantify true leaf area across multiple vines and years. After removing non-leaf structures with ExGR filtering, the point clouds were voxelized at a 1 cm3 resolution to derive structural occupancy metrics. Voxel-based leaf area showed strong within-vine correlations with destructively measured values (R2 = 0.77–0.95), while cross-vine variability was influenced by canopy complexity, illumination, and point-cloud density. In contrast, optical LAI tools (DHP and LAI–2000) exhibited negligible correspondence with true leaf area due to multilayer occlusion and lateral light contamination typical of pergola systems. This expanded, multi-year analysis demonstrates that voxel occupancy provides a robust and scalable indicator of canopy structural density and leaf area, offering a practical foundation for remote-sensing-based phenotyping, yield estimation, and data-driven management in perennial fruit crops. Full article
(This article belongs to the Section Forest Remote Sensing)
Show Figures

Figure 1

12 pages, 594 KB  
Article
R-Wave Peak Time and Impaired Coronary Collateral Circulation in Chronic Total Occlusion
by Nadir Emlek, Hüseyin Durak, Mustafa Çetin, Ali Gökhan Özyıldız, Elif Ergül, Ahmet Seyda Yılmaz and Hakan Duman
J. Clin. Med. 2026, 15(2), 450; https://doi.org/10.3390/jcm15020450 - 7 Jan 2026
Viewed by 112
Abstract
Background/Objectives: Chronic total occlusion (CTO) is one of the most complex forms of coronary artery disease, and myocardial perfusion in patients with CTO largely depends on the adequacy of coronary collateral circulation (CCC). Identifying simple and non-invasive electrocardiographic markers associated with impaired collateralization [...] Read more.
Background/Objectives: Chronic total occlusion (CTO) is one of the most complex forms of coronary artery disease, and myocardial perfusion in patients with CTO largely depends on the adequacy of coronary collateral circulation (CCC). Identifying simple and non-invasive electrocardiographic markers associated with impaired collateralization remains clinically important. The R-wave peak time (RWPT), a surface electrocardiography (ECG) marker representing the time to peak R-wave deflection and an electrocardiographic surrogate of early intraventricular conduction, may provide insight into ischemia-related ventricular activation delay. The aim of this study was to evaluate whether RWPT is associated with poor CCC in patients with CTO. Methods: This cross-sectional observational study included 92 consecutive patients with CTO and complete clinical, angiographic, and 12-lead ECG data. Patients were categorized according to CCC adequacy into good (n = 52) and poor (n = 40) CCC groups. Demographic, laboratory, angiographic, and ECG parameters were compared. Variables showing significant differences were subjected to univariate analysis, followed by multivariate logistic regression using a backward stepwise selection method. Statistical significance was set at p < 0.05. Results: Patients with poor CCC were significantly older and exhibited longer QRS duration and prolonged RWPT, whereas triglyceride levels were significantly lower. In multivariate analysis, both age (OR: 1.058; 95% CI: 1.005–1.114; p = 0.033) and RWPT (OR: 1.069; 95% CI: 1.013–1.128; p = 0.015) were significantly associated with poor CCC. Conclusions: RWPT may provide adjunctive, non-invasive information regarding collateral adequacy rather than serving as a definitive predictive marker. As an easily obtainable ECG parameter, RWPT may offer incremental diagnostic information when interpreted alongside clinical and angiographic findings in patients with CTO. Full article
(This article belongs to the Section Cardiology)
Show Figures

Figure 1

13 pages, 2714 KB  
Article
Millimeter-Wave Radar and Mixed Reality Virtual Reality System for Agility Analysis of Table Tennis Players
by Yung-Hoh Sheu, Li-Wei Tai, Li-Chun Chang, Tz-Yun Chen and Sheng-K Wu
Computers 2026, 15(1), 28; https://doi.org/10.3390/computers15010028 - 6 Jan 2026
Viewed by 188
Abstract
This study proposes an integrated agility assessment system that combines Millimeter-Wave (MMW) radar, Ultra-Wideband (UWB) ranging, and Mixed Reality (MR) technologies to quantitatively evaluate athlete performance with high accuracy. The system utilizes the fine motion-tracking capability of MMW radar and the immersive real-time [...] Read more.
This study proposes an integrated agility assessment system that combines Millimeter-Wave (MMW) radar, Ultra-Wideband (UWB) ranging, and Mixed Reality (MR) technologies to quantitatively evaluate athlete performance with high accuracy. The system utilizes the fine motion-tracking capability of MMW radar and the immersive real-time visualization provided by MR to ensure reliable operation under low-light conditions and multi-object occlusion, thereby enabling precise measurement of mobility, reaction time, and movement distance. To address the challenge of player identification during doubles testing, a one-to-one UWB configuration was adopted, in which each base station was paired with a wearable tag to distinguish individual athletes. UWB identification was not required during single-player tests. The experimental protocol included three specialized agility assessments—Table Tennis Agility Test I (TTAT I), Table Tennis Doubles Agility Test II (TTAT II), and the Agility T-Test (ATT)—conducted with more than 80 table tennis players of different technical levels (80% male and 20% female). Each athlete completed two sets of two trials to ensure measurement consistency and data stability. Experimental results demonstrated that the proposed system effectively captured displacement trajectories, movement speed, and reaction time. The MMW radar achieved an average measurement error of less than 10%, and the overall classification model attained an accuracy of 91%, confirming the reliability and robustness of the integrated sensing pipeline. Beyond local storage and MR-based live visualization, the system also supports cloud-based data uploading for graphical analysis and enables MR content to be mirrored on connected computer displays. This feature allows coaches to monitor performance in real time and provide immediate feedback. By integrating the environmental adaptability of MMW radar, the real-time visualization capability of MR, UWB-assisted athlete identification, and cloud-based data management, the proposed system demonstrates strong potential for professional sports training, technical diagnostics, and tactical optimization. It delivers timely and accurate performance metrics and contributes to the advancement of data-driven sports science applications. Full article
(This article belongs to the Section Human–Computer Interactions)
Show Figures

Figure 1

Back to TopTop