Sign in to use this feature.

Years

Between: -

Subjects

remove_circle_outline
remove_circle_outline
remove_circle_outline
remove_circle_outline
remove_circle_outline
remove_circle_outline
remove_circle_outline
remove_circle_outline
remove_circle_outline

Journals

remove_circle_outline
remove_circle_outline
remove_circle_outline
remove_circle_outline
remove_circle_outline
remove_circle_outline
remove_circle_outline
remove_circle_outline
remove_circle_outline
remove_circle_outline
remove_circle_outline
remove_circle_outline

Article Types

Countries / Regions

remove_circle_outline
remove_circle_outline
remove_circle_outline
remove_circle_outline

Search Results (1,306)

Search Parameters:
Keywords = Neuroendocrine tumors

Order results
Result details
Results per page
Select all
Export citation of selected articles as:
20 pages, 7024 KB  
Article
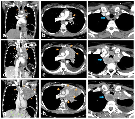
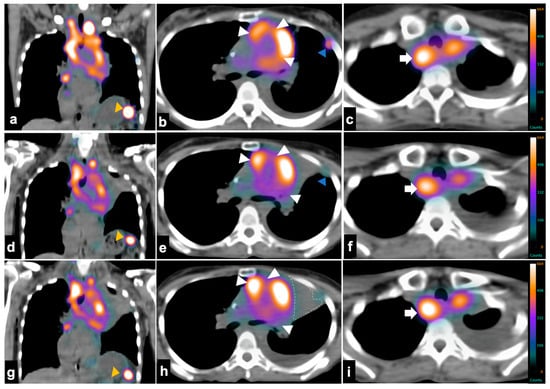
Paving the Way for CCK2R-Targeted Peptide Receptor Radionuclide Therapy with [177Lu]Lu-DOTA-MGS5 in Patients with Small Cell Lung Cancer
by Taraneh Sadat Zavvar, Giulia Santo, Leonhard Gruber, Ariane Kronthaler, Judith Hagenbuchner, Ira Skvortsova, Inken Piro, Katja Steiger, Vladan Martinovic, Danijela Minasch, Judith Löffler-Ragg, Gianpaolo di Santo, Irene J. Virgolini and Elisabeth von Guggenberg
Pharmaceutics 2026, 18(1), 138; https://doi.org/10.3390/pharmaceutics18010138 (registering DOI) - 22 Jan 2026
Abstract
Background/Objectives: Peptide receptor radionuclide therapy (PRRT) is an established treatment for neuroendocrine tumors (NETs), enabling targeted radiation delivery via radiolabeled peptides. Small cell lung cancer (SCLC) remains a major therapeutic challenge due to its aggressive nature and poor prognosis. Despite advances, relapse [...] Read more.
Background/Objectives: Peptide receptor radionuclide therapy (PRRT) is an established treatment for neuroendocrine tumors (NETs), enabling targeted radiation delivery via radiolabeled peptides. Small cell lung cancer (SCLC) remains a major therapeutic challenge due to its aggressive nature and poor prognosis. Despite advances, relapse rates are high and effective therapies are limited. We previously demonstrated the diagnostic potential of the cholecystokinin-2 receptor (CCK2R)-targeting minigastrin analog [68Ga]Ga-DOTA-MGS5 in PET/CT imaging of different NETs. Building on this, we developed and evaluated [177Lu]Lu-DOTA-MGS5 as a therapeutic PRRT agent. Methods: Preclinical studies investigating the receptor-mediated cellular internalization and intracellular distribution over time in A431 cells with and without CCK2R expression were performed using the fluorescent tracer ATTO-488-MGS5. Short- and long-term cytotoxic effects of [177Lu]Lu-DOTA-MGS5 were evaluated on the same cell line using trypan blue exclusion and clonogenic survival assays. CCK2R expression was assessed by immunohistochemistry in 42 SCLC tissue specimens. In addition, the first PRRT with [177Lu]Lu-DOTA-MGS5 was conducted in a patient with extensive disease SCLC (ED-SCLC) after confirming CCK2R-positive uptake in [68Ga]Ga-DOTA-MGS5 PET/CT. Results: Rapid binding and internalization into A431-CCK2R cells, with progressive accumulation in intracellular compartments, was observed for ATTO-488-MGS5. Short-term irradiation effects of [177Lu]Lu-DOTA-MGS5 were comparable for 4 h and 24 h incubation and were between the effects obtained with 2 and 4 Gy of external beam radiotherapy (EBRT). Clonogenic survival of A431-CCK2R cells incubated with increasing activity of [177Lu]Lu-DOTA-MGS5 decreased in a dose-dependent manner. Immunohistochemistry on SCLC specimens confirmed moderate to high CCK2R expression in 16 out of 42 SCLC samples. In the first patient with SCLC treated with four cycles of [177Lu]Lu-DOTA-MGS5 with a total activity of 17.2 GBq, an improvement in clinical symptoms was observed. Conclusions: The preclinical and clinical results confirm the feasibility of [177Lu]Lu-DOTA-MGS5 PRRT in patients with SCLC and support further clinical studies investigating the therapeutic value and clinical applicability of this new CCK2R-targeted theranostic approach in larger patient cohorts. Full article
Show Figures

Figure 1

18 pages, 10560 KB  
Article
Tangeretin Suppresses LUAD via SSTR4 Downregulation: Integrated Bioinformatics and Functional Validation
by Yizhen Yuan, Yongfu Wang, Wei Liu, Changmin Liu, Yajing Xue, Pengzhuo Tao, Shilin Chen and Chi Song
Int. J. Mol. Sci. 2026, 27(2), 1074; https://doi.org/10.3390/ijms27021074 - 21 Jan 2026
Abstract
Lung adenocarcinoma (LUAD) remains the leading cause of cancer-related mortality worldwide, highlighting the urgent need for novel therapeutic targets. While the role of the somatostatin receptor (SSTR) family is well established in neuroendocrine tumors, their expression patterns, clinical significance, and therapeutic potential in [...] Read more.
Lung adenocarcinoma (LUAD) remains the leading cause of cancer-related mortality worldwide, highlighting the urgent need for novel therapeutic targets. While the role of the somatostatin receptor (SSTR) family is well established in neuroendocrine tumors, their expression patterns, clinical significance, and therapeutic potential in LUAD are not fully understood. In this study, comprehensive analyses of publicly available databases, including TCGA, GSCA, and TIMER, revealed that SSTR4 transcriptional expression is significantly downregulated in LUAD tissues compared to adjacent normal lung tissues. Moreover, low SSTR4 expression correlates with advanced tumor stage, remodeling of the immune microenvironment, and decreased overall survival in patients with LUAD. Using the PRESTO-Tango system, we identified tangeretin (TAN) as a potential ligand for SSTR4. Functional assays demonstrated that SSTR4 knockdown markedly enhanced TAN-mediated proliferative, migratory, and survival inhibitory effects in LUAD cells. Subsequent RNA sequencing and pathway enrichment analyses revealed that the loss of SSTR4 altered the effects of TAN from extracellular matrix remodeling to disruption of calcium homeostasis and energy metabolism disorders, elucidating the mechanism underlying the enhanced antitumor activity. Collectively, these findings establish SSTR4 as a critical tumor suppressor and prognostic biomarker in LUAD and highlight the therapeutic potential of targeting the TAN–SSTR4 signaling axis. These results provide novel insights into the biological functions of SSTR family members in LUAD. Full article
(This article belongs to the Section Molecular Informatics)
Show Figures

Figure 1

14 pages, 239 KB  
Article
Predicting Hemodynamic Fluctuations During Adrenalectomy for Pheochromocytoma
by Marina Stojanovic, Magdalena Grujanic, Anka Toskovic, Milan Jovanovic, Biljana Milicic, Matija Buzejic, Branislav Rovcanin, Boban Stepanovic and Vladan Zivaljevic
Diagnostics 2026, 16(2), 340; https://doi.org/10.3390/diagnostics16020340 - 21 Jan 2026
Abstract
Background: Pheochromocytoma is a rare adrenal neuroendocrine tumor characterized by excessive catecholamine secretion, which can lead to significant perioperative hemodynamic instability. Despite advances in anesthetic and surgical management, intraoperative hypotension is a common complication. This study aimed to identify preoperative and intraoperative predictors [...] Read more.
Background: Pheochromocytoma is a rare adrenal neuroendocrine tumor characterized by excessive catecholamine secretion, which can lead to significant perioperative hemodynamic instability. Despite advances in anesthetic and surgical management, intraoperative hypotension is a common complication. This study aimed to identify preoperative and intraoperative predictors of hemodynamic instability during adrenalectomy for pheochromocytoma in order to improve intraoperative management and patient safety. Methods: This retrospective study included adult patients who underwent adrenalectomy for pheochromocytoma at the University Clinical Center of Serbia between January 2022 and June 2025. Preoperative clinical and biochemical data, tumor characteristics evaluated by imaging methods (CT or MRI), surgical approach, and intraoperative hemodynamic parameters were analyzed. Intraoperative hypotension was defined as mean arterial pressure (MAP) < 60 mmHg despite adequate volume resuscitation. Univariate and multivariate logistic regression analyses were performed to identify predictors of hypotension. Results: A total of 51 adult patients were included in the analysis. Intraoperative hypotension occurred in 26 patients (51%) and was significantly associated with larger tumor size and increased intraoperative fluid requirements. Multivariate analysis identified tumor diameter ≥ 49 mm (OR 0.176, 95% CI 0.034–0.895, p = 0.036) and intraoperative crystalloid infusion ≥ 1200 mL/h (OR 0.132, 95% CI 0.030–0.574, p = 0.007) as independent predictors of intraoperative hypotension. Preoperative catecholamine levels, surgical approach, and type of alpha-blocker were not significant predictors. Conclusions: Tumor size was identified as a significant predictor of intraoperative hemodynamic instability during adrenalectomy for pheochromocytoma. Careful preoperative assessment and individualized intraoperative fluid management may help reduce the risk of hypotension and optimize perioperative outcomes. Full article
(This article belongs to the Special Issue State of the Art in the Diagnosis and Management of Endocrine Tumors)
18 pages, 2038 KB  
Article
Integrative Epigenomic and Transcriptomic Profiling Define Malignancy- and Cluster-Specific Signatures in Pheochromocytomas and Paragangliomas
by Mouna Tabebi, Małgorzata Łysiak, Oliver Gimm and Peter Söderkvist
Cells 2026, 15(2), 198; https://doi.org/10.3390/cells15020198 - 20 Jan 2026
Abstract
Pheochromocytomas and paragangliomas (PPGLs) are rare neuroendocrine tumors primarily involving the adrenal medulla and its associated paraganglia, with heterogeneous clinical behavior and complex molecular drivers. This study aimed to characterize DNA methylation and gene expression patterns in PPGLs to understand the molecular differences [...] Read more.
Pheochromocytomas and paragangliomas (PPGLs) are rare neuroendocrine tumors primarily involving the adrenal medulla and its associated paraganglia, with heterogeneous clinical behavior and complex molecular drivers. This study aimed to characterize DNA methylation and gene expression patterns in PPGLs to understand the molecular differences between tumor subtypes and malignancy. We performed an integrative analysis of DNA methylation (Illumina EPIC 850K) and gene expression profiles (Affymetrix microarrays) in 24 PPGLs, comparing these with The Cancer Genome Atlas (TCGA) data, to delineate cluster- and malignancy-specific epigenetic patterns. Comparison between pseudohypoxic Cluster I and kinase-signaling Cluster II tumors revealed 13 differentially methylated CpG sites, with a specific CpG within DSCAML1 showing hypermethylation in Cluster II accompanied by increased expression, suggesting context-dependent gene body methylation effects. Benign versus malignant comparisons identified 101 differentially methylated CpGs, including hypermethylated CpG in BAIAP2L1 and hypomethylated CpG in SHANK1 in malignant tumors. Pathway enrichment of differentially methylated genes revealed alterations in Notch signaling, adherens junctions, cytoskeletal regulation, and intracellular transport. Gene expression analysis demonstrated partial overlap between clusters, with malignant tumors exhibiting distinct transcriptional profiles involving RNA processing, metabolism, and adhesion pathways. Correlation between methylation and expression was generally limited, emphasizing that methylation-dependent gene regulation is a locus-specific and context-dependent regulation. These findings illustrate a complex interplay between epigenetic modifications and transcriptional programs in PPGLs, enhancing our understanding of molecular heterogeneity and tumor classification, and identifying candidate biomarkers and therapeutic targets for malignant progression. Full article
10 pages, 3020 KB  
Article
Robotic Capsule Endoscopy: Simultaneous Gastric and Enteric Evaluation in Real-World Practice
by Hélder Cardoso, Miguel Mascarenhas, Joana Mota, Miguel Martins, Maria João Almeida, Joana Frias, Catarina Cardoso Araújo, Francisco Mendes, Margarida Marques, Patrícia Andrade and Guilherme Macedo
Diagnostics 2026, 16(2), 334; https://doi.org/10.3390/diagnostics16020334 - 20 Jan 2026
Abstract
Background/Objectives: Robotic capsule endoscopy (RCE) is an emerging technology that combines magnetically controlled gastric navigation with conventional capsule enteroscopy (CE), enabling a minimally invasive, comprehensive evaluation of the upper- and mid-gastrointestinal tract. This study aimed to characterize the real-world implementation and diagnostic [...] Read more.
Background/Objectives: Robotic capsule endoscopy (RCE) is an emerging technology that combines magnetically controlled gastric navigation with conventional capsule enteroscopy (CE), enabling a minimally invasive, comprehensive evaluation of the upper- and mid-gastrointestinal tract. This study aimed to characterize the real-world implementation and diagnostic performance of RCE in a European tertiary referral center. Methods: A retrospective, single-center analysis was conducted on adult patients (≥18 years) who underwent RCE (Omom RC) between June 2023 and July 2025. Eligible patients had a clinical indication for small bowel CE and a concurrent requirement for diagnostic gastroscopy or reassessment of known gastric lesions. The RCE protocol comprised an initial robotic-guided gastric examination followed by passive transit through the small bowel. Results: A total of 85 patients were included (52% female), with a median age of 49 years (IQR 40–64). The most common indications were suspected or established inflammatory bowel disease (57%) and iron deficiency anemia (31%). Gastric preparation was rated at least fair in 98% of cases, with good preparation in 38%. Median gastric transit time was 74 min (IQR 35–106). Relevant gastric findings were identified in 39 cases (46%), namely polyps (18%) and angiectasias (8%, including one with active bleeding), in addition to signs of chronic gastritis. Thirteen patients underwent subsequent endoscopy, resulting in seven therapeutic procedures. Small bowel findings were present in 60 patients (71%), including P3 (active bleeding) in 3% and P2 lesions (angiectasias, ulcers, tumors, varices) in 39%. One moderate adverse event occurred: small bowel capsule retention in a patient with multifocal neuroendocrine tumor and ileostomy, requiring endoscopic intervention. Conclusions: Robotic capsule endoscopy is a feasible tool for dual-region gastrointestinal evaluation. It enables high-quality gastric visualization, facilitates early detection of clinically actionable lesions, and maintains the diagnostic yield expected from standard small bowel CE. These findings support the integration of RCE into diagnostic pathways for patients requiring simultaneous gastric and small bowel assessment. Full article
(This article belongs to the Special Issue Artificial Intelligence and Big Data in Digestive Healthcare)
Show Figures

Figure 1

12 pages, 1419 KB  
Article
Alpha Therapy Beyond TOC and TATE—Production, Quality Control, and In-Human Results for the SSTR2 Antagonist DOTA-LM3
by Lukas Greifenstein, Marcel Martin, Sarah Stephan, Aleksandr Eismant, Carsten S. Kramer, Christian Landvogt, Corinna Mueller, Frank Rösch and Richard P. Baum
Pharmaceuticals 2026, 19(1), 172; https://doi.org/10.3390/ph19010172 - 19 Jan 2026
Viewed by 41
Abstract
Objectives: Peptide receptor radionuclide therapy (PRRT) of neuroendocrine tumors (NETs) commonly relies on somatostatin receptor subtype 2 (SSTR2) agonists such as DOTA-TOC/TATE, which may show limited efficacy due to high hepatic uptake and therapy resistance in some patients. SSTR2 antagonists have demonstrated [...] Read more.
Objectives: Peptide receptor radionuclide therapy (PRRT) of neuroendocrine tumors (NETs) commonly relies on somatostatin receptor subtype 2 (SSTR2) agonists such as DOTA-TOC/TATE, which may show limited efficacy due to high hepatic uptake and therapy resistance in some patients. SSTR2 antagonists have demonstrated superior tumor targeting. This study aimed to establish the production and quality control of the Actinium-225-labeled SSTR2 antagonist [225Ac]Ac-DOTA-LM3 and to report in-human clinical experience with targeted alpha therapy (TAT). Methods: [225Ac]Ac-DOTA-LM3 was produced by radiolabeling DOTA-LM3 with Actinium-225 under validated conditions. Radiochemical conversion, purity, yield, and stability were assessed using radio-TLC, fractionated radio-HPLC combined with gamma spectroscopy, and in vitro serum stability testing. Clinical feasibility and therapeutic response were evaluated in a patient with metastatic neuroendocrine pancreatic neoplasm refractory to prior 177Lu-based PRRT. Results: Radiolabeling achieved reproducibly high radiochemical purity (>97%) and decay-corrected yields exceeding 80%. The radiopharmaceutical showed high in vitro stability with minimal release of free Actinium-225 over five days. Fractionated radio-HPLC enabled indirect purity assessment. In the reported patient, [225Ac]Ac-DOTA-LM3 therapy resulted in partial remission without clinically relevant hematologic, renal, or hepatic toxicity and was associated with marked clinical improvement. Conclusions: [225Ac]Ac-DOTA-LM3 can be produced with high purity and stability using clinically applicable procedures. In-human results suggest promising efficacy and safety, supporting further clinical investigation of Actinium-225-labeled SSTR2 antagonists for advanced NETs. Full article
(This article belongs to the Special Issue Advancements in Radiopharmaceutical Theranostics)
Show Figures

Figure 1

10 pages, 701 KB  
Article
Vitamin D Deficiency and Replacement Challenges in Type 1 Gastric Neuroendocrine Tumors: A Comparative Study
by Elio Benevento, Michele Coletta, Alessia Liccardi, Roberto Minotta, Gianfranco Di Iasi, Massimo Di Nola, Annamaria Colao and Roberta Modica
Nutrients 2026, 18(2), 281; https://doi.org/10.3390/nu18020281 - 15 Jan 2026
Viewed by 156
Abstract
Background/Objectives: Type 1 gastric neuroendocrine tumors (gNET) arise in the setting of autoimmune chronic atrophic gastritis and secondary hypergastrinemia. Vitamin D deficiency (VDD) has been associated with bone impairment and adverse outcomes in patients with neuroendocrine tumor (NET); however, data specifically addressing [...] Read more.
Background/Objectives: Type 1 gastric neuroendocrine tumors (gNET) arise in the setting of autoimmune chronic atrophic gastritis and secondary hypergastrinemia. Vitamin D deficiency (VDD) has been associated with bone impairment and adverse outcomes in patients with neuroendocrine tumor (NET); however, data specifically addressing gNET remain limited. This study aimed to evaluate vitamin D status, supplementation requirements, and bone involvement in patients with type 1 gNET compared with those with entero-pancreatic NET (EP-NET). Methods: This retrospective study included patients with type 1 gNET followed at a tertiary referral center between 2010 and 2025 and an age- and sex-matched EP-NET cohort. VDD prevalence, time and dose required for normalization, supplementation formulations, bone status, and dietary habits were analyzed. Results: Twenty-six patients were included (thirteen gNET and thirteen EP-NET). VDD was significantly more prevalent in the gNET group compared with the EP-NET group (92.3% vs. 46.2%, p = 0.03, OR: 14). gNET required significantly higher daily cholecalciferol doses (3198.9 ± 1629 vs. 1580 ± 1121 IU/day, p = 0.008) and more frequently required multiple supplementation formulations (38.5% vs. 0%, p = 0.04). Multivariable linear regression analysis restricted to VDD patients confirmed that gNET was independently associated with higher daily cholecalciferol dose requirements (p = 0.037). Bone impairment, defined as osteoporosis or osteopenia, was significantly more common in the gNET group (61.5% vs. 15.4%, p = 0.04, OR: 8.8). Dietary adherence did not differ between groups. Conclusions: Type 1 gNET show a higher burden of VDD, increased vitamin D supplementation requirements, and a higher prevalence of bone impairment compared with EP-NET, irrespective of dietary habits. These findings suggest disease-specific mechanisms and support the need for tailored management in these patients. Full article
Show Figures

Figure 1

9 pages, 288 KB  
Article
Lung Carcinoids—Time to Change Practices
by Ana Rodrigues, Nuno Coimbra, Inês Lucena Sampaio, Isabel Azevedo, Marta Soares, Carmen Jerónimo and Rui Henrique
Curr. Oncol. 2026, 33(1), 50; https://doi.org/10.3390/curroncol33010050 - 15 Jan 2026
Viewed by 99
Abstract
Background: Lung carcinoids—typical and atypical—are rare neuroendocrine tumors (NETs) representing 1–2% of lung cancers. Despite clinicopathological differences, their clinical management often mirrors lung cancer protocols rather than NET-specific recommendations. Objectives: Portray a 12-year real-world experience with lung carcinoids at a Comprehensive [...] Read more.
Background: Lung carcinoids—typical and atypical—are rare neuroendocrine tumors (NETs) representing 1–2% of lung cancers. Despite clinicopathological differences, their clinical management often mirrors lung cancer protocols rather than NET-specific recommendations. Objectives: Portray a 12-year real-world experience with lung carcinoids at a Comprehensive Cancer Center, identifying gaps in diagnostic work-up, treatment decision-making, and follow-up. Methods: Retrospective observational cohort study of adult patients with histologically confirmed lung carcinoids diagnosed at IPO Porto between January 2013 and December 2024. Demographic, clinical, imaging, and treatment data were collected from electronic patient records. Analyses were descriptive. Results: Among 179 identified cases, 129 met eligibility criteria. Median age was 62 years (range 18–84); 53.6% were women and 53.5% were non-smokers; 84.5% had ECOG-PS 0–1. The most frequent presentation was respiratory symptoms (34.1%), followed by incidental findings (43.4%, of which ~20% were during staging or surveillance of other cancers). Typical carcinoids accounted for 49.6% and atypical for 43.4%. FDG-PET/CT was requested in 70.9% of cases, including many with typical carcinoid, and SSTR-PET/CT in 64.6% (dual PET in 38.8%). Most patients (65.1%) presented with stage I disease; 17.1% were stage IV. Mean time-to-first treatment was 83 days (range 1–259). Surgery was the first treatment option for 78.3% of patients. Conclusions: This real-world series highlights heterogeneity in diagnostic pathways, excessive FDG-PET use in typical carcinoids, and non-standardized follow-up. Dedicated multidisciplinary lung-NET boards and national reference centers are needed to homogenize and streamline patient management. Full article
(This article belongs to the Section Thoracic Oncology)
Show Figures

Figure 1

13 pages, 692 KB  
Article
Optimal Treatment Strategies for Pulmonary Large Cell Neuroendocrine Carcinoma Based on Molecular Subtypes
by Hakan Yücel, Tülay Kuş, Sibel Cangi and Gökmen Aktaş
J. Clin. Med. 2026, 15(2), 619; https://doi.org/10.3390/jcm15020619 - 12 Jan 2026
Viewed by 162
Abstract
Background: Pulmonary large-cell neuroendocrine carcinoma (LCNEC) is an uncommon and aggressive tumor for which the most effective systemic therapy remains uncertain. In metastatic LCNEC, chemotherapy approaches typically alternate between small-cell lung cancer (SCLC)-like and non-small-cell lung cancer (NSCLC)-like regimens. Emerging data indicate that [...] Read more.
Background: Pulmonary large-cell neuroendocrine carcinoma (LCNEC) is an uncommon and aggressive tumor for which the most effective systemic therapy remains uncertain. In metastatic LCNEC, chemotherapy approaches typically alternate between small-cell lung cancer (SCLC)-like and non-small-cell lung cancer (NSCLC)-like regimens. Emerging data indicate that treatment selection may be optimized through molecular subtype classification. This study aimed to evaluate the outcomes of SCLC-like and NSCLC-like chemotherapy (CT) regimens in relation to LCNEC molecular subtypes. Methods: This retrospective analysis included all patients diagnosed with LCNEC at Gaziantep University between January 2010 and October 2024. Individuals with available tumor tissue and complete clinical data were enrolled. LCNEC cases were categorized as SCLC-subtype or NSCLC-subtype according to the presence of TP53 and RB1 alterations. Platinum combined with etoposide, irinotecan, or topotecan was defined as SCLC-like CT, whereas platinum with taxanes or gemcitabine was considered NSCLC-like CT. Survival outcomes of both treatment types were compared across molecular subgroups using the Kaplan–Meier method. Results: Sixty-one patients met the inclusion criteria. The median overall survival (mOS) was 11.0 months (95% CI: 6.3–15.7). No significant difference in mOS was observed between SCLC-like and NSCLC-like regimens in the total cohort. When stratified by molecular subtype, patients with the SCLC subtype who received SCLC-like CT showed a longer mOS compared to those treated with NSCLC-like CT (15 [9.9–20.1] vs. 6 [3.9–8.1] months, respectively; p = 0.47), although this difference did not reach statistical significance. Conclusions: These findings suggest that molecular subclassification may help inform the choice of optimal systemic therapy in patients with LCNEC. Full article
(This article belongs to the Section Oncology)
Show Figures

Figure 1

18 pages, 4656 KB  
Review
Pancreatic Cystic Lesions: From Basic Knowledge to Recent Guidelines
by Ginevra Danti, Ludovica Scalzone, Lavinia Mattolini, Matilde Anichini, Francesca Treballi, Linda Calistri, Diletta Cozzi and Vittorio Miele
J. Clin. Med. 2026, 15(2), 585; https://doi.org/10.3390/jcm15020585 - 11 Jan 2026
Viewed by 335
Abstract
Pancreatic cystic lesions (PCLs) are increasingly detected due to widespread use of cross-sectional imaging. They encompass a heterogeneous group of lesions, ranging from benign pseudocysts and serous cystic neoplasms (SCNs) to premalignant mucinous cystic neoplasms (MCNs) and intraductal papillary mucinous neoplasms (IPMNs), as [...] Read more.
Pancreatic cystic lesions (PCLs) are increasingly detected due to widespread use of cross-sectional imaging. They encompass a heterogeneous group of lesions, ranging from benign pseudocysts and serous cystic neoplasms (SCNs) to premalignant mucinous cystic neoplasms (MCNs) and intraductal papillary mucinous neoplasms (IPMNs), as well as rare malignant entities such as solid pseudopapillary epithelial neoplasm (SPENs) and cystic pancreatic neuroendocrine tumors (cystic PanNETs). Management of PCLs depends on their malignant potential; therefore, an accurate classification is essential for optimizing treatment. This narrative review summarizes current knowledge on the epidemiology, imaging characteristics, diagnosis, and management of PCLs, highlighting the role of CT, MRI, MRCP, and endoscopic ultrasound. Recent advances in radiomics for lesion characterization and risk stratification, particularly in IPMNs, are discussed. Full article
(This article belongs to the Special Issue Clinical Updates in the Use of Artificial Intelligence for Radiology)
Show Figures

Figure 1

22 pages, 636 KB  
Review
Artificial Intelligence and Machine Learning in Pediatric Endocrine Tumors: Opportunities, Pitfalls, and a Roadmap for Trustworthy Clinical Translation
by Michaela Kuhlen, Fabio Hellmann, Elisabeth Pfaehler, Elisabeth André and Antje Redlich
Biomedicines 2026, 14(1), 146; https://doi.org/10.3390/biomedicines14010146 - 11 Jan 2026
Viewed by 210
Abstract
Artificial intelligence (AI) and machine learning (ML) are reshaping cancer research and care. In pediatric oncology, early evidence—most robust in imaging—suggests value for diagnosis, risk stratification, and assessment of treatment response. Pediatric endocrine tumors are rare and heterogeneous, including intra- and extra-adrenal paraganglioma [...] Read more.
Artificial intelligence (AI) and machine learning (ML) are reshaping cancer research and care. In pediatric oncology, early evidence—most robust in imaging—suggests value for diagnosis, risk stratification, and assessment of treatment response. Pediatric endocrine tumors are rare and heterogeneous, including intra- and extra-adrenal paraganglioma (PGL), adrenocortical tumors (ACT), differentiated and medullary thyroid carcinoma (DTC/MTC), and gastroenteropancreatic neuroendocrine neoplasms (GEP-NEN). Here, we provide a pediatric-first, entity-structured synthesis of AI/ML applications in endocrine tumors, paired with a methods-for-clinicians primer and a pediatric endocrine tumor guardrails checklist mapped to contemporary reporting/evaluation standards. We also outline a realistic EU-anchored roadmap for translation that leverages existing infrastructures (EXPeRT, ERN PaedCan). We find promising—yet preliminary—signals for early non-remission/recurrence modeling in pediatric DTC and interpretable survival prediction in pediatric ACT. For PGL and GEP-NEN, evidence remains adult-led (biochemical ML screening scores; CT/PET radiomics for metastatic risk or peptide receptor radionuclide therapy response) and serves primarily as methodological scaffolding for pediatrics. Cross-cutting insights include the centrality of calibration and validation hierarchy and the current limits of explainability (radiomics texture semantics; saliency ≠ mechanism). Translation is constrained by small datasets, domain shift across age groups and sites, limited external validation, and evolving regulatory expectations. We close with pragmatic, clinically anchored steps—benchmarks, multi-site pediatric validation, genotype-aware evaluation, and equity monitoring—to accelerate safe, equitable adoption in pediatric endocrine oncology. Full article
(This article belongs to the Special Issue Pediatric Tumors: Diagnosis, Pathogenesis, Treatment, and Outcome)
Show Figures

Figure 1

24 pages, 2061 KB  
Review
The Impact of Chronic Stress on Treatment Outcomes of Cancer Patients with Divergent Survival Rates: A Systematic Review
by Katarzyna Herbetko, Justyna Kaczor, Adam Sołtyk, Monika Kisielewska, Marcel Opęchowski, Aleksandra Sztuder and Julita Kulbacka
Int. J. Mol. Sci. 2026, 27(2), 686; https://doi.org/10.3390/ijms27020686 - 9 Jan 2026
Viewed by 184
Abstract
This systematic review investigates the impact of chronic stress on treatment outcomes among cancer patients with divergent survival rates, focusing on breast, prostate, pancreatic, and ovarian cancers. The analysis explores how chronic stress influences molecular pathways and tumor progression while comparing cancers with [...] Read more.
This systematic review investigates the impact of chronic stress on treatment outcomes among cancer patients with divergent survival rates, focusing on breast, prostate, pancreatic, and ovarian cancers. The analysis explores how chronic stress influences molecular pathways and tumor progression while comparing cancers with five-year survival rates above and below 50%. A comprehensive literature search was conducted in PubMed and Scopus for studies published between 2014 and 2025 using combinations of keywords related to “chronic stress,” “psychological stress,” “psychotherapy,” and selected cancer types. All studies met the inclusion criteria according to the PRISMA 2020 guidelines. Evidence suggests that chronic stress is associated with the activation of neuroendocrine and immune mechanisms, including β-adrenergic and glucocorticoid signaling. These multifactorial processes are associated with disease progression and survival, particularly in pancreatic and ovarian cancers; however, these links remain primarily associative rather than causative. Conversely, psychotherapeutic interventions alleviate stress-related biological responses, improve quality of life, and may indirectly enhance therapeutic efficacy. By structuring the evidence around cancers with higher versus lower five-year survival, our review provides a survival informed synthesis of cancer type specific stress biology and stress-mitigating interventions, highlighting potentially targetable pathways and clear evidence gaps for future trials. The findings underscore the need to integrate psychological care into oncological practice to improve overall outcomes. Full article
Show Figures

Figure 1

13 pages, 644 KB  
Article
Expression Profile of CEACAM-5, CA125 and HE4 Proteins in Tumor and Corresponding Margin Samples in a Group of Patients with Gastroenteropancreatic Neuroendocrine Tumors (GEP-NET)
by Agata Świętek, Joanna Katarzyna Strzelczyk, Dorota Hudy, Zenon P. Czuba, Karolina Snopek-Miśta, Mariusz Kryj, Katarzyna Kuśnierz, Sławomir Mrowiec, Marcin Zeman, Małgorzata Roś-Mazurczyk and Janusz Strzelczyk
Appl. Sci. 2026, 16(2), 692; https://doi.org/10.3390/app16020692 - 9 Jan 2026
Viewed by 198
Abstract
Biomarkers such as CEACAM-5, CA125 and HE4 have been implicated in tumor progression, invasion, and microenvironment modulation in several cancers, but their protein expression in GEP-NET remains poorly characterized. This study aimed to evaluate CEACAM-5, CA125 and HE4 levels in tumors and matched [...] Read more.
Biomarkers such as CEACAM-5, CA125 and HE4 have been implicated in tumor progression, invasion, and microenvironment modulation in several cancers, but their protein expression in GEP-NET remains poorly characterized. This study aimed to evaluate CEACAM-5, CA125 and HE4 levels in tumors and matched surgical margin samples from 59 GEP-NET patients and assess correlations with clinical and demographic variables. Total protein concentration was measured spectrophotometrically, and selected cytokines by multiplex immunoassay. No significant differences in CEACAM-5, CA125 and HE4 protein concentrations were found between tumor and margin samples. However, in tumor tissue, CA125 protein levels showed a statistically significant association with T and M status. A significantly higher level of all proteins was observed in ileum or colon tumors compared to pancreas. Analysis of HE4 revealed differences in protein levels between male and female tumor samples. CEACAM-5, CA125 and HE4 proteins showed distinct expression patterns in GEP-NET according to tumor stage, metastasis, primary tumor location, and sex, highlighting their potential as tissue biomarkers of tumor aggressiveness and microenvironmental activity. These findings provide a basis for future studies on their prognostic and therapeutic relevance. Full article
Show Figures

Figure 1

15 pages, 2428 KB  
Article
Pituitary Neuroendocrine Tumors Extending Primarily Below the Sella and into the Clivus: A Distinct Growth Pattern with Specific Challenges
by Lennart W. Sannwald, Nina Kreße, Nadja Grübel, Andreas Knoll, Johannes Roßkopf, Michal Hlavac, Christian R. Wirtz and Andrej Pala
Curr. Oncol. 2026, 33(1), 36; https://doi.org/10.3390/curroncol33010036 - 8 Jan 2026
Viewed by 153
Abstract
Evaluation of pituitary neuroendocrine tumors remains complex depending on the exact growth pattern, involvement of critical neurovascular structures, pituitary function and endocrinological activity of the tumor. A predominant growth into the sphenoid sinus and clivus poses specific challenges. We reviewed 557 surgeries for [...] Read more.
Evaluation of pituitary neuroendocrine tumors remains complex depending on the exact growth pattern, involvement of critical neurovascular structures, pituitary function and endocrinological activity of the tumor. A predominant growth into the sphenoid sinus and clivus poses specific challenges. We reviewed 557 surgeries for pituitary neuroendocrine tumors in an endonasal endoscopic technique performed between 1 January 2015 and 31 August 2025 to identify 13 cases (2.3%). Clinical, radiological and surgical data were selected by chart review. Thirteen cases aged from 31 to 68 years with almost exclusively non-functioning or clinically silent tumors (92%) were identified. Clival infiltration was restricted to the dorsum sellae in 2/13 (15%), spread to the floor of the sphenoid in 6/13 (46%) and extended inferior to the sphenoid in 5/13 (38%) cases with a high rate of cavernous sinus (62%) and sphenoid sinus infiltration (69%). Complete resection was achieved in 31%, and the residual tumor was clival/sphenoidal in 5/13 cases or within the cavernous sinus in 6/13 cases. The diaphragma sellae was reported to be intact in 92% of cases, and postoperative transient arginine vasopressin deficiency did not occur. Pituitary neuroendocrine tumors predominantly growing below the sella and infiltrating the clivus and sphenoid present specific challenges with a high rate of preoperative pituitary insufficiency, frequent cavernous sinus infiltration and postoperative tumor residuals in the cavernous sinus, sphenoid bone and clivus which are sometimes difficult to delineate. The surgical approach must be tailored specifically to treat the clival infiltration zone to reduce the risk of recurrence. Full article
Show Figures

Figure 1

11 pages, 3120 KB  
Article
Effectiveness of a Modified Transsellar Approach with Planum Sphenoidale Removal for Pituitary Neuroendocrine Tumors with Anterosuperior Extension
by Rei Yamaguchi, Masahiko Tosaka, Naoto Mukada, Masanori Aihara, Yuhei Yoshimoto and Soichi Oya
J. Clin. Med. 2026, 15(1), 367; https://doi.org/10.3390/jcm15010367 - 4 Jan 2026
Viewed by 176
Abstract
Background/Objectives: Achieving gross total resection is crucial in the surgical management of pituitary neuroendocrine tumors (PitNETs). However, PitNETs with anterosuperior extension remain challenging to completely remove using the conventional transsellar approach (TSA) due to limited access to the anterior suprasellar region. This study [...] Read more.
Background/Objectives: Achieving gross total resection is crucial in the surgical management of pituitary neuroendocrine tumors (PitNETs). However, PitNETs with anterosuperior extension remain challenging to completely remove using the conventional transsellar approach (TSA) due to limited access to the anterior suprasellar region. This study evaluated the efficacy and safety of a modified TSA (mTSA) that involves additional removal of the tuberculum sellae and planum sphenoidale (PS) bones without expanding the dural incision. Methods: We retrospectively reviewed 104 patients with nonfunctioning PitNETs who underwent endoscopic transsphenoidal surgery between 2017 and 2022. Seventy-seven patients were treated with the conventional TSA and 27 with the mTSA. Tumor configuration and accessible area were measured on pre- and postoperative MR imaging and CT. The ratio of the accessible to total tumor area was calculated on mid-sagittal images. Surgical outcomes and postoperative complications were compared between groups. Results: Gross total resection was achieved in all patients. Tumors treated with mTSA were larger (median height, 32 mm vs. 25 mm; p < 0.001) and showed greater anterosuperior extension. The mTSA increased the median accessible tumor area from 70% to 88%, with a median PS removal distance of 4.4 mm. Postoperative complications were minimal: cerebrospinal fluid leakage (3%), meningitis (3%), transient ocular movement disturbance (2%), and transient visual worsening (1%). No hemorrhage or anosmia occurred. Conclusions: The mTSA safely expands the surgical corridor to the anterior suprasellar region, enhancing accessibility and enabling complete resection without dural incision. This approach balances surgical radicality and safety in PitNETs with anterosuperior extension. Full article
(This article belongs to the Section Oncology)
Show Figures

Figure 1

Back to TopTop