Sign in to use this feature.

Years

Between: -

Subjects

remove_circle_outline
remove_circle_outline
remove_circle_outline
remove_circle_outline
remove_circle_outline
remove_circle_outline
remove_circle_outline
remove_circle_outline
remove_circle_outline

Journals

Article Types

Countries / Regions

remove_circle_outline
remove_circle_outline
remove_circle_outline
remove_circle_outline

Search Results (192)

Search Parameters:
Keywords = Mollusca

Order results
Result details
Results per page
Select all
Export citation of selected articles as:
14 pages, 15162 KB  
Article
Periostracum Formation in Sepia officinalis and Loligo vulgaris and Homology with Other Molluscs
by Ernesto Ruiz-Villaespesa, Antonio G. Checa, Cristina Lucena-Serrano and Carmen Salas
Animals 2026, 16(5), 841; https://doi.org/10.3390/ani16050841 - 7 Mar 2026
Viewed by 212
Abstract
The periostracum is the outermost shell layer and the first produced during shell formation in molluscs. This organic layer isolates the extrapallial space from the external environment and provides a scaffold for subsequent calcification. In cephalopods with an internal shell, some organic shell [...] Read more.
The periostracum is the outermost shell layer and the first produced during shell formation in molluscs. This organic layer isolates the extrapallial space from the external environment and provides a scaffold for subsequent calcification. In cephalopods with an internal shell, some organic shell structures are putatively homologous to the periostracum of other molluscan groups. However, neither their detailed structure nor their mode of formation has been described, leaving the extent of this homology unresolved. To address this issue, we investigated the morphology and formation of the organic layer of the dorsal shield and the gladius in embryos of the cuttlefish Sepia officinalis Linnaeus, 1758, and the squid Loligo vulgaris Lamarck, 1798, respectively, using light microscopy and transmission electron microscopy. In both species, the periostracum forms within a periostracal groove located along the lateral and anterior margins of the shell sac. As in other molluscs, secretions from columnar cells at the bottom of the groove produce a dense layer, while a translucent layer is subsequently added beneath it through secretions from cuboidal cells. The main difference is the absence of both a pellicle and of the specialized glandular cells that typically secrete it at the bottom of the periostracal groove. Full article
(This article belongs to the Special Issue Recent Advances in Cephalopod Biology Research)
Show Figures

Figure 1

18 pages, 3205 KB  
Article
Riverine Molluscan Communities in the Semi-Arid Zone of the Lower Volga Basin (Southern Russia): Species Richness and Factors Determining It
by Roman A. Mikhailov and Maxim V. Vinarski
Diversity 2026, 18(2), 129; https://doi.org/10.3390/d18020129 - 20 Feb 2026
Viewed by 220
Abstract
Freshwater ecosystems in arid and semi-arid zones of the East European Plain are characterized by severe habitat degradation, which negatively impacts their biodiversity. This study attempts to comprehensively examine the species richness of molluscs and determine the influence of abiotic factors on their [...] Read more.
Freshwater ecosystems in arid and semi-arid zones of the East European Plain are characterized by severe habitat degradation, which negatively impacts their biodiversity. This study attempts to comprehensively examine the species richness of molluscs and determine the influence of abiotic factors on their spatial distribution using the example of one of the river basins in southern Eastern Europe—the Yeruslan River basin (a tributary of the Volga River). Fifteen watercourses in the Yeruslan basin were surveyed, with 72 samples collected from the littoral and deepwater zones. A total of 28 mollusc species were identified in the samples, predominantly those with broad ranges (Holarctic, Palearctic, and Euro-Siberian). Estimating true species richness using nonparametric methods revealed that the collected samples contained at least 90% of the expected number of species. In the small tributaries of the Yeruslan River, the dominant species were the lymnaeids Lymnaea stagnalis (Linnaeus, 1758) and Radix auricularia (Linnaeus, 1758). The Yeruslan River is dominated by the non-native species Dreissena polymorpha (Pallas, 1771). The low values of the Shannon diversity index recorded in the rivers of the Yeruslan basin are typical of desert and semi-desert riverine ecosystems with low stability and productivity, caused by the constant reduction in habitats due to periodic and/or permanent drying. It was established that the most significant abiotic factors determining the distribution of molluscs are the bottom substrate and the concentrations of nitrites and phosphates. Moreover, non-critical concentrations of the latter in the water likely had a beneficial effect on the productivity of streams in an arid climate. Full article
(This article belongs to the Special Issue 2025 Feature Papers by Diversity’s Editorial Board Members)
Show Figures

Figure 1

21 pages, 2185 KB  
Article
Trophic and Microbial Dynamics in a Mediterranean Transitional Ecosystem (Lake Faro, Southern Italy): Implications for Pinna nobilis Conservation
by Gabriella Caruso, Salvatore Giacobbe, Filippo Azzaro, Franco Decembrini, Marcella Leonardi, Giovanna Maimone, Adriana Profeta and Paola Rinelli
Microorganisms 2026, 14(2), 423; https://doi.org/10.3390/microorganisms14020423 - 11 Feb 2026
Viewed by 244
Abstract
Transitional water bodies are coastal areas of strategic naturalistic and socio-economic importance, and highly vulnerable to increased anthropic pressure. A monitoring study was performed in the transitional area of Lake Faro (Cape Peloro Lagoon, Italy), where specimens of the threatened species Pinna nobilis [...] Read more.
Transitional water bodies are coastal areas of strategic naturalistic and socio-economic importance, and highly vulnerable to increased anthropic pressure. A monitoring study was performed in the transitional area of Lake Faro (Cape Peloro Lagoon, Italy), where specimens of the threatened species Pinna nobilis (Mollusca, Bivalvia) constitute a resident community, as a part of a wider research program aiming to preserve this organism in the context of safeguarding lake biodiversity. Five surface water samplings with a two-month frequency were carried out at four selected stations, three of which were located in the inner part of the lake and one control station outside, in a canal connecting the lake to the Messina Straits. Trophic conditions (total suspender matter, nutrients and chlorophyll-a) and the main environmental variables (temperature, salinity, dissolved oxygen) were measured. Insights into the total prokaryotic abundance and metabolism via the extracellular enzymatic activities (i.e., leucine aminopeptidase; beta-glucosidase and alkaline phosphatase) were obtained. The dataset indicated that microbial and trophic dynamics were associated with the abundance of the P. nobilis population. These parameters, moreover, proved to represent a suitable tool for characterizing the environmental health status of transitional areas, as well as for implementing new effective strategies for sustainable resource management. Full article
(This article belongs to the Section Environmental Microbiology)
Show Figures

Figure 1

12 pages, 12531 KB  
Article
Marine Organisms Fouling on Ghost Nets in the Sounio Marine Protected Area (Greece)
by Nikolaos Simantiris, Nikos Karatzas, Dimitra Papadoiliopoulou and Martha Z. Vardaki
Pollutants 2026, 6(1), 12; https://doi.org/10.3390/pollutants6010012 - 5 Feb 2026
Viewed by 623
Abstract
Ghost nets are the result of fishing nets ending up at sea by fishing vessels during operations, repairs, accidental loss, and from aquaculture activities. This is a major threat to the marine environment due to the entrapment of marine species, which often leads [...] Read more.
Ghost nets are the result of fishing nets ending up at sea by fishing vessels during operations, repairs, accidental loss, and from aquaculture activities. This is a major threat to the marine environment due to the entrapment of marine species, which often leads to the mortality of important species, the alteration of the marine benthic habitat, and the release of microplastics. In the current study, the authors conducted underwater clean-up activities in the marine protected area of Sounio in Greece (NATURA2000) to identify, evaluate whether they can be removed, and remove ghost nets. A total of 1200 Kg of ghost nets was removed within one year, with 68 different species reported to have colonized the nets. The reported groups were Mollusca, Porifera, Chordata, Arthropoda, Echinodermata, Bryozoa, Ochrophyta, Tracheophyta, Rhodophyta, Cnidaria, Chlorophyta, and Annelida. The species were not listed as threatened by the IUCN conservation status, while 86% were native, and 14% were invasive in the Mediterranean Sea. The current work presents the need to expand research efforts in the field of underwater plastic pollution, implement monitoring campaigns to a greater extent in the study area, and perform an assessment before the removal of ghost nets. Full article
(This article belongs to the Special Issue Marine Pollutants: 3rd Edition)
Show Figures

Figure 1

14 pages, 10526 KB  
Article
Reproductive Biology and Biochemical Composition of the Reared European Clam Ruditapes decussatus (Mollusca: Bivalvia) in Oualidia Lagoon, Morocco
by Mouhcine Medlouh, Ibtissam Doukilo, Ahmed Errhif, Mohamed Id Halla and Oum Keltoum Belhsen
Oceans 2026, 7(1), 13; https://doi.org/10.3390/oceans7010013 - 2 Feb 2026
Viewed by 333
Abstract
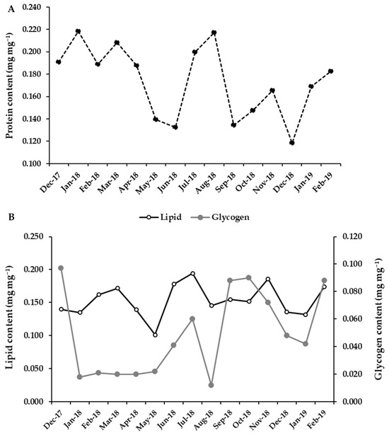
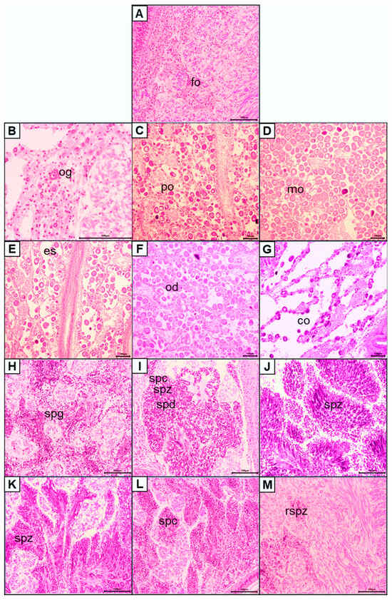
The reproductive cycle of the European clam Ruditapes decussatus reared in suspended double-net trays in the Oualidia Lagoon was investigated from October 2017 to February 2019. This study aimed to characterize gonadal development through histological analysis, gonadal index assessment, and the biochemical composition [...] Read more.
The reproductive cycle of the European clam Ruditapes decussatus reared in suspended double-net trays in the Oualidia Lagoon was investigated from October 2017 to February 2019. This study aimed to characterize gonadal development through histological analysis, gonadal index assessment, and the biochemical composition of key macromolecules (proteins, lipids, and carbohydrates) over an annual cycle. The results revealed that R. decussatus undergoes a prolonged spawning period from April to December, with a peak in October when 100% of the population reached the maturation stage (stage IIIA). A sexual rest phase was observed between November 2017 and December 2017. An overall sex ratio of 1:0.8 was observed, indicating a slight female bias, with no significant deviations. Statistical analyses highlighted a correlation between the gonadal index and seawater temperature, suggesting that temperature plays a crucial role in regulating reproductive activity. Biochemical analyses showed that proteins were the predominant macromolecule in clam tissues, followed by lipids and carbohydrates. Seasonal variations in biochemical composition were observed; however, no direct correlation was found between biochemical compound levels and the gonadal index (p > 0.05). These findings provide valuable insights into the reproductive biology of R. decussatus under suspended aquaculture conditions, contributing to improved management and optimization of farming practices. Full article
Show Figures

Figure 1

21 pages, 3717 KB  
Article
Dietary Analysis of Commercial Fish (Families Mullidae and Sparidae) from Bay of Cádiz, Southern Spain: An Integrative Approach
by José Manuel Guerra-García, Sandra Calero-Cano, Pablo Arechavala-Lopez, Juan Lucas Cervera-Currado and Iñigo Donázar-Aramendía
Fishes 2025, 10(12), 650; https://doi.org/10.3390/fishes10120650 - 16 Dec 2025
Viewed by 482
Abstract
A combination of stomach contents analysis (SCA) and nitrogen (δ15N) and carbon (δ13C) stable isotope analysis (SIA) was used to assess the trophic structure of nine fish species (two belonging to the family Mullidae, Mullus barbatus and Mullus surmuletus [...] Read more.
A combination of stomach contents analysis (SCA) and nitrogen (δ15N) and carbon (δ13C) stable isotope analysis (SIA) was used to assess the trophic structure of nine fish species (two belonging to the family Mullidae, Mullus barbatus and Mullus surmuletus, and seven belonging to the family Sparidae, Diplodus sargus, Diplodus vulgaris, Pagellus acarne, Pagellus erythrinus, Pagrus auriga, Pagrus pagrus, and Sparus aurata) with high commercial value in the Bay of Cádiz, Southern Spain. A total of 91 different food items were identified in the stomachs, mainly belonging to four animal phyla (Arthropoda, Mollusca, Annelida, and Echinodermata). Crustaceans (primarily decapods and amphipods) were the most common prey consumed by the species of Mullus, Pagrus, and Pagellus, whereas macroalgae, polychaetes, and molluscs were dominant in D. sargus, D. vulgaris, and S. aurata stomachs, respectively. Diet composition and isotopic signature differed among fish species, indicating food partitioning among coexisting species. Some discrepancies appeared when comparing fish trophic level using SCA versus SIA, since SCA provides information on recently consumed items, while SIA generates data about source utilization over a period of several months. Integration of both approaches offers a more comprehensive understanding of feeding strategies. Dietary studies shed light on the trophic ecology of commercial fish species, being the baseline for future ecological modelling and long-term management of marine resources. Full article
Show Figures

Figure 1

20 pages, 2210 KB  
Article
Environmental DNA: A Preliminary Characterization of Invertebrate Biodiversity in a Sicilian River
by Manuela Mauro, Rosi De Luca, Mario Lo Valvo, Slobodanka Radovic, Aiti Vizzini, Grazia Orecchio, Francesco Longo, Vinicius Queiroz, Rosario Badalamenti, Claudio Gargano and Mirella Vazzana
Environments 2025, 12(12), 465; https://doi.org/10.3390/environments12120465 - 1 Dec 2025
Viewed by 987
Abstract
Freshwater ecosystems are undergoing rapid species loss due to climate change and human impact. In this context, biomonitoring has become essential for species censusing and biodiversity conservation. In recent years, environmental DNA (eDNA) metabarcoding has emerged as a powerful, non-invasive alternative to traditional [...] Read more.
Freshwater ecosystems are undergoing rapid species loss due to climate change and human impact. In this context, biomonitoring has become essential for species censusing and biodiversity conservation. In recent years, environmental DNA (eDNA) metabarcoding has emerged as a powerful, non-invasive alternative to traditional sampling and morphological identification methods. This study is the first to apply eDNA analysis to the characterization of invertebrate communities in the Oreto River, Sicily (Italy). Water samples were collected at three points of the river (upstream, midstream, downstream), and eDNA was extracted for metabarcoding. Overall, the analysis identified 40 species belonging to different phyla, including Annelida, Arthropoda, Cnidaria, Mollusca, Porifera and Rotifera. Twelve species appear to be newly recorded in Sicily, including confirmed identifications (Simulium trifasciatum, Rotaria rotatoria, Euchlanis dilatata, Lecane clostero-cerca) and other potential new identifications (Microchironomus tener, Micropsectra pallidula, Tinodes dives, Philodina flaviceps, Buchholzia appendiculata, Lecane bulla, Drosophila incompta, Corynoneura coronata). The study also confirmed the presence of alien species (Physella acuta, Craspedacusta sowerbii). Furthermore, species composition varied among the three sampling points, with most taxa detected in the upstream section. These results provide a preliminary snapshot of the biodiversity of river invertebrates, highlighting the potential of eDNA to complement traditional methods. Full article
Show Figures

Figure 1

24 pages, 7669 KB  
Article
New Records of Marine Mollusca from the Culuccia Peninsula (NW Sardinia, Italy)
by Paolo Mariottini, Carlo Smriglio, Marco Oliverio, Sabrina Rossi and Andrea Di Giulio
Diversity 2025, 17(12), 809; https://doi.org/10.3390/d17120809 - 22 Nov 2025
Viewed by 1659
Abstract
The aim of this work is to update the checklist of the marine malacofauna of the Culuccia Peninsula (NW Sardinia, Italy), based on research carried out over two years by SCUBA and free diving in all the main marine habitats of the peninsula. [...] Read more.
The aim of this work is to update the checklist of the marine malacofauna of the Culuccia Peninsula (NW Sardinia, Italy), based on research carried out over two years by SCUBA and free diving in all the main marine habitats of the peninsula. We provide here new records, all accompanied by in situ images of living animals or photographs of shells. In some cases, ecological and systematic notes are provided. With the new records of 39 species (27 gastropods and 12 bivalves), a total of 295 taxa belonging to the classes Bivalvia (84), Gastropoda (199), Polyplacophora (11), and Scaphopoda (1) have been listed from this Sardinian high-biodiversity spot. Two alien species already reported, Pinctada radiata (Leach, 1814) and Bursatella leachii Blainville, 1817, can now be considered to be well established. Full article
(This article belongs to the Topic Mediterranean Biodiversity, 2nd Edition)
Show Figures

Graphical abstract

17 pages, 2676 KB  
Article
Observations on the Benthic Heterobranch “Sea Slugs” (Mollusca: Gastropoda) of Lampedusa, the Southernmost Island of Italy (MPA Isole Pelagie)
by Andrea Lombardo and Giuliana Marletta
J. Mar. Sci. Eng. 2025, 13(11), 2150; https://doi.org/10.3390/jmse13112150 - 13 Nov 2025
Viewed by 777
Abstract
Thanks to their striking shapes and colors, heterobranch “sea slugs” are probably the most sought-after group of marine critters by scuba divers around the world. Nevertheless, for many of the islands and coasts of Sicily, there are no specific studies on the fauna [...] Read more.
Thanks to their striking shapes and colors, heterobranch “sea slugs” are probably the most sought-after group of marine critters by scuba divers around the world. Nevertheless, for many of the islands and coasts of Sicily, there are no specific studies on the fauna of this group (formerly known as opisthobranchs). Even Lampedusa, one of the most famous islands in the Mediterranean, is no exception to this. To fill this knowledge gap, the authors conducted a faunal study dedicated to this group in July 2025. Data collection, carried out using the photographic-capture technique both during scuba diving and snorkeling, led to the finding of 22 species of heterobranch “sea slugs”. A comparison of the heterobranch “sea slugs” of Lampedusa with that of other Sicilian islands revealed a low diversity of these mollusks on this island. This scarcity of fauna is probably due to the lack of favorable environments and the considerable environmental homogeneity that characterizes the seabed and coastal areas of Lampedusa. Nevertheless, the discovery of some species of considerable biogeographical importance, together with the island’s unique geographical position, make it an important location to monitor for the study of the distribution patterns of allochthonous marine Heterobranchia species that enter into the Mediterranean Sea. Full article
(This article belongs to the Section Marine Biology)
Show Figures

Figure 1

31 pages, 15266 KB  
Article
Crustacean Protein Kinases A and C: Bioinformatic Characterization in Decapods and Other Non-Model Organisms
by Talia B. Head, Jorge L. Pérez-Moreno, Laura E. Antizzo, David S. Durica and Donald L. Mykles
Int. J. Mol. Sci. 2025, 26(21), 10585; https://doi.org/10.3390/ijms262110585 - 30 Oct 2025
Cited by 1 | Viewed by 1083
Abstract
The AGC kinases constitute a large and ancient gene superfamily with origins that coincided with the appearance of multicellularity. Three AGC kinase families—protein kinase A (PKA), protein kinase G (PKG), and protein kinase C (PKC)—mediate the actions of neuropeptide hormones, biogenic amines, and [...] Read more.
The AGC kinases constitute a large and ancient gene superfamily with origins that coincided with the appearance of multicellularity. Three AGC kinase families—protein kinase A (PKA), protein kinase G (PKG), and protein kinase C (PKC)—mediate the actions of neuropeptide hormones, biogenic amines, and other ligands on various physiological processes in metazoans. Metazoans express two PKG types. Jawed vertebrates express three PKA catalytic (C) subunits, four regulatory (R) subunits, and twelve PKCs, organized into conventional, novel delta-like, novel epsilon-like, atypical, and protein kinase N (PKN) subfamilies. By contrast, invertebrate PKA and PKC sequences are not well characterized. Consequently, limited database resources can result in misidentification or mischaracterization of proteins and can lead to misinterpretation of experimental data. A broad phylogenetic and sequence analysis of CrusTome transcriptome and GenBank databases was used to characterize 640 PKA-C sequences, 1122 PKA-R sequences, and 1844 PKC sequences distributed among the Annelida, Arthropoda, Chordata, Cnidaria, Nematoda, Mollusca, Echinodermata, Porifera, Platyhelminthes, and Tardigrada. Phylogenetic analysis and multiple sequence alignments revealed conservation of certain PKA-C, PKA-R and PKC isoforms across metazoans, as well as diversification of additional taxon-specific isoforms. Decapods expressed four PKA-C isoforms, designated PKA-C1, -CD1, -CGLY1, and -CGLY2; five PKA-R isoforms, designated PKA-RI1, -RID1, -RIIGLY, and -RIID1; and five PKC isoforms, designated PKND1-3, conventional cPKCD1, novel nPKCD1δ and nPKCD1ε, and atypical aPKCD1. PKA-CGLY1, -CGLY2, and -RIIGLY had glycine-rich N-terminal sequences that were unique to crustaceans. These data suggest lineage-specific diversification that retained the core catalytic function of each kinase, while regions outside of the kinase domain may provide specialized regulatory mechanisms and/or spatiotemporal subcellular localization in invertebrate tissues. Full article
Show Figures

Figure 1

15 pages, 1603 KB  
Article
Assessment of Non-Sessile Invertebrates Associated with Mats of the Red Alga Phyllophora crispa at Giglio Island, Mediterranean Sea
by Alexander Töpfel, Melissa Steinhoff and Christian Wild
Diversity 2025, 17(10), 728; https://doi.org/10.3390/d17100728 - 17 Oct 2025
Viewed by 768
Abstract
The Mediterranean Sea hosts highly diverse habitats such as Posidonia oceanica meadows, coralligenous communities, and gorgonian forests. Stressors including warming, eutrophication, pollution, and overfishing are driving shifts towards algae-dominated systems, often with reduced biodiversity. Among these, recent research surprisingly revealed that the mat-forming [...] Read more.
The Mediterranean Sea hosts highly diverse habitats such as Posidonia oceanica meadows, coralligenous communities, and gorgonian forests. Stressors including warming, eutrophication, pollution, and overfishing are driving shifts towards algae-dominated systems, often with reduced biodiversity. Among these, recent research surprisingly revealed that the mat-forming red alga Phyllophora crispa, which overgrows seagrass and gorgonian habitats, supports high sessile invertebrate diversity. However, little is known about its associated non-sessile fauna. This study thus investigated non-sessile invertebrates in P. crispa using a newly designed appropriate sampling technique at two study sites around Giglio Island (Italy), Fenaio, and Secca II (distance ca. 600 m from each other). Across all samples, 5464 organisms were identified, mostly to family level. We recorded 169 non-sessile taxa, including 96 families, 41 copepod morphotypes, 21 ostracod morphotypes, and 11 unclassified taxa. The dominant phyla were Arthropoda (67%), Mollusca (14%), Annelida (9%), and Nematoda (5%). The most abundant families were Calliopiidae (Amphipoda), Leptognathiidae (Malacostraca), and Mytilidae (Bivalvia). Of the 169 taxa, 128 occurred at both sites, while 20 were unique to Fenaio and 21 to Secca II, suggesting high connectivity likely linked to mobility. Organism abundances ranged from 1315 to 5759 individuals per m2 seafloor. Diversity indices were as follows: Shannon 1.5–3.4, Simpson 0.6–1.0, and Pielou 0.6–0.9. These values are similar or even exceed previously reported values for sessile invertebrates (Shannon 2.2–2.5). Notably, P. crispa supported diversity levels higher than those reported for seagrass meadows (Shannon 2.0–2.1) and even tropical coral reefs (2.0). Our study thus confirms P. crispa as a biodiversity hotspot and suggests that these algae mats should be considered in biodiversity conservation strategies. Full article
(This article belongs to the Section Marine Diversity)
Show Figures

Figure 1

18 pages, 2117 KB  
Article
Feeding Ecology and Reproductive Biology of the Common Smooth-Hound Shark Mustelus mustelus (Linnaeus, 1758) off the Coast of Türkiye
by Uğur Özden and Erhan Irmak
Fishes 2025, 10(10), 485; https://doi.org/10.3390/fishes10100485 - 1 Oct 2025
Cited by 1 | Viewed by 926
Abstract
Sharks play critical roles in marine ecosystems as apex or mesopredators, regulating trophic dynamics and ecosystem stability. However, their populations are increasingly threatened due to overexploitation caused by targeted fisheries, bycatch, and illegal activities. This study investigates the feeding ecology and reproductive biology [...] Read more.
Sharks play critical roles in marine ecosystems as apex or mesopredators, regulating trophic dynamics and ecosystem stability. However, their populations are increasingly threatened due to overexploitation caused by targeted fisheries, bycatch, and illegal activities. This study investigates the feeding ecology and reproductive biology of the shark species Mustelus mustelus, which has been heavily fished across the Mediterranean, leading to significant population declines. A total of 333 specimens were collected between October 2019 and October 2022 from Türkiye’s Aegean Sea, Sea of Marmara, and Levantine Sea coasts. The total lengths of the specimens ranged from 42.1 to 173.0 cm, with an average of 73.5 cm ± 26.8, and their weights ranged from 205 to 22,470 g, with an average of 1840.2 g ± 2525.5. Stomach content analyses revealed that M. mustelus is a benthic predator with a broad diet. Regional and size-based comparisons indicated that crustaceans were the primary food source, followed by teleost fish and mollusks. Ontogenetic dietary shifts were evident, with juveniles feeding predominantly on crustaceans, while adults consumed more teleost fish and mollusca. The reproductive biology analysis showed placental viviparity in M. mustelus, with the smallest observed mature male measuring 75 cm TL and the smallest observed pregnant female measuring 96 cm TL. The uterine fecundity of pregnant females ranged from 8 to 29 embryos. Additionally, the pupping season of M. mustelus in the Aegean Sea was found to occur in March and April. M. mustelus populations have declined dramatically in the western Mediterranean and in many other parts of their range. The scarcity of data on this species in the eastern Mediterranean basin, including Türkiye, is noteworthy. Therefore, this study investigated the populations in the study area from a bioecological perspective and provides fundamental data to support the development of conservation strategies for the species. Full article
(This article belongs to the Section Biology and Ecology)
Show Figures

Figure 1

28 pages, 5715 KB  
Article
Paleobiodiversity and Paleoecology Insights from a New MIS 5e Highstand Deposit on Santa Maria Island (Azores Archipelago, Portugal)
by Sergio Moreno, Mohamed Amine Doukani, Ana Hipólito, Patrícia Madeira, Sergio Pérez Pérez, Laura S. Dalmau, Gonçalo Castela Ávila, Luís Silva, Gustavo M. Martins, Esther Martín-González, Markes E. Johnson and Sérgio P. Ávila
Quaternary 2025, 8(4), 53; https://doi.org/10.3390/quat8040053 - 30 Sep 2025
Viewed by 1738
Abstract
During the last two decades, the Macaronesian archipelagos have been the focus of multiple studies targeting the abundant and diversified fossil record from late Neogene and Quaternary deposits. This record of past biota, ecosystems and climates is crucial for understanding the impact of [...] Read more.
During the last two decades, the Macaronesian archipelagos have been the focus of multiple studies targeting the abundant and diversified fossil record from late Neogene and Quaternary deposits. This record of past biota, ecosystems and climates is crucial for understanding the impact of glacial–interglacial cycles on Atlantic littoral marine organisms. Coupled with ongoing studies on the factors responsible for global climate change and associated sea-level variations, they contributed decisively towards the development of the modern marine island biogeography theory. Our current knowledge of the evolutionary and biogeographic history of the past and extant, shallow-water marine organisms from the Macaronesian geographic region relies on detailed analysis of many individual fossiliferous outcrops by means of quantitative and qualitative methodologies. Here, we focus on the fossil record of a newly studied MIS 5e outcrop at Pedra-que-pica (PQP), on Santa Maria Island (Azores Archipelago, Portugal). This multidisciplinary work integrates geology, paleontology and biology, providing the first detailed description of the sedimentary facies and stratigraphic framework of the PQP MIS 5e sequence that, coupled with the documentation of the biodiversity and ecological composition of PQP molluscan assemblages, allows us to produce a paleoecological reconstruction and to compare PQP with other last interglacial outcrops from Santa Maria Island. Our results increase the number of the Azorean MIS 5e marine molluscs to 140 taxa (116 Gastropoda and 24 Bivalvia). Ervilia castanea (Montagu, 1803) is the most abundant bivalve, while Bittium nanum (Mayer, 1864) and Melarhaphe neritoides (Linnaeus, 1758) are the most abundant gastropod species. In addition, this work emphasizes the crucial importance of complementing quantitative collecting with qualitative surveys of the fossiliferous outcrops, because nearly 42% of the bivalve species and 28% of the gastropod taxa would be missed if only quantitative samples were used. Derivation of Hill numbers and rarefaction curves both indicate that the sampling effort should be increased at PQP. Thus, although Santa Maria Island is recognized by the scientific community as one of the best-studied islands regarding the last interglacial fossil record, this study emphasizes the need to continue with similar efforts in less known outcrops on the island. Full article
Show Figures

Figure 1

16 pages, 2535 KB  
Article
Spatial and Seasonal Variations in Invertebrate Communities in the Chai River Based on eDNA Biomonitoring
by Yuanyuan Lin, Jingge Xu, Xuexiu Chang, Shan Xu, Liang Shen and Zheng Zhao
Diversity 2025, 17(9), 660; https://doi.org/10.3390/d17090660 - 20 Sep 2025
Viewed by 1622
Abstract
As environmental indicators, invertebrate communities are closely related to changes in the water environment. Efficient and accurate monitoring of invertebrates is of great significance for providing references for water environment conservation. However, environmental DNA metabarcoding has rarely been used in invertebrate research at [...] Read more.
As environmental indicators, invertebrate communities are closely related to changes in the water environment. Efficient and accurate monitoring of invertebrates is of great significance for providing references for water environment conservation. However, environmental DNA metabarcoding has rarely been used in invertebrate research at the Chai River in Kunming, Yunnan, China, and the current characteristics of invertebrate communities are unclear. Therefore, this study investigated the spatial and seasonal patterns of invertebrates and the environmental stressors of the Chai River. Based on eDNA metabarcoding, 873 ASVs of invertebrates belonging to Annelida, Arthropoda, Cnidaria, Gastrotricha, Mollusca, Nematoda, Platyhelminthes, Protozoa, and Rotifera were identified, with Arthropoda being the absolute dominant phylum. Distinct spatial and seasonal variations in the invertebrate communities (e.g., ASV number, dominant genera, relative abundances) were observed. Macrothrix and Acanthamoeba were the first and second most dominant genera, both in dry and wet periods. A spatial–seasonal heterogeneity of the relation between the invertebrate communities and environmental factors was observed in the Chai River. The water temperature (WT), chemical oxygen demand (COD), conductivity (C), and Chlorophyll-a (Chl-a) levels were deemed to be the crucial environmental factors influencing the distributions of invertebrate communities in the Chai River, which was consistent with the spatial and seasonal differences in pollution characteristics around the Chai River. This study provides insights into conserving the diversity of invertebrate communities and the management of the Chai River and similar agricultural rivers. Full article
(This article belongs to the Section Animal Diversity)
Show Figures

Figure 1

14 pages, 1736 KB  
Article
Fossil Tusk Shells (Mollusca, Scaphopoda) in Archaeological Sites in the South of the Iberian Peninsula (Spain)
by M. Carmen Lozano-Francisco, M. Dolores Simón-Vallejo, José A. Vera-Lozano, José L. Vera-Peláez and Miguel Cortés-Sánchez
Quaternary 2025, 8(3), 50; https://doi.org/10.3390/quat8030050 - 15 Sep 2025
Cited by 1 | Viewed by 1919
Abstract
The interest of human groups in fossil collecting from the Middle Pleistocene onwards has recently been highlighted. Among the taxa identified at several archaeological sites, a particular group of molluscs stands out: the scaphopods. This paper provides an exhaustive review of scaphopod (Mollusca, [...] Read more.
The interest of human groups in fossil collecting from the Middle Pleistocene onwards has recently been highlighted. Among the taxa identified at several archaeological sites, a particular group of molluscs stands out: the scaphopods. This paper provides an exhaustive review of scaphopod (Mollusca, Scaphopoda) fossils recovered from archaeological sites in southern Iberia, particularly two sites: Cueva del Hoyo de la Mina and El Tesoro, both in the province of Málaga (southern Spain). The importance of using fossils of this mollusc from the Magdalenian to the Neolithic period has been confirmed at these sites. While the Iberian Peninsula is home to a rich diversity of scaphopod species, with 24 species belonging to nine genera during the Neogene period alone, our analysis reveals that only two species, Paradentalium inaequale and Paradentalium sexangulum, were chosen for symbolic purposes. Additionally, we provide a synthesis of the presence of these species and this group in other Iberian sites. A total of 258 scaphopods were found at eight Iberian archaeological sites ranging from the Solutrean to the Bronze Age. We also discuss some of their cultural connotations. The fossil scaphopod species have been reviewed and compared with palaeontological collections from southern Iberia. Full article
Show Figures

Figure 1

Back to TopTop