Sign in to use this feature.

Years

Between: -

Subjects

remove_circle_outline
remove_circle_outline
remove_circle_outline
remove_circle_outline
remove_circle_outline

Journals

Article Types

Countries / Regions

Search Results (18)

Search Parameters:
Keywords = Meckel’s diverticulum

Order results
Result details
Results per page
Select all
Export citation of selected articles as:
18 pages, 375 KB  
Systematic Review
Association Between Congenital Gastrointestinal Malformation Outcome and Largely Asymptomatic SARS-CoV-2 Infection in Pediatric Patients—A Systematic Review
by Iulia Stratulat-Chiriac, Elena Țarcă, Raluca Ozana Chistol, Ioana-Alina Halip, Viorel Țarcă and Cristina Furnică
J. Clin. Med. 2025, 14(23), 8533; https://doi.org/10.3390/jcm14238533 - 1 Dec 2025
Viewed by 309
Abstract
Objective. Limited evidence is available concerning the surgical outcomes of patients with congenital gastrointestinal malformations and perioperative SARS-CoV-2 infection. This study examines the scientific evidence on SARS-CoV-2 infection and congenital gastrointestinal malformations requiring surgery in children. Material and Methods. We performed a systematic [...] Read more.
Objective. Limited evidence is available concerning the surgical outcomes of patients with congenital gastrointestinal malformations and perioperative SARS-CoV-2 infection. This study examines the scientific evidence on SARS-CoV-2 infection and congenital gastrointestinal malformations requiring surgery in children. Material and Methods. We performed a systematic review of studies reporting data on children with congenital gastrointestinal malformations and SARS-CoV-2 infection, published in international databases (PubMed and Embase) from pandemic inception up to August 2024. Studies not reporting data on the SARS-CoV-2 infection status on patients with congenital digestive malformation were excluded. We assessed the quality of the included studies according to the Joanna Institute (JBI) appraisal checklist, adhered to the Preferred Reporting Items for Systematic Reviews and Meta-Analysis (PRISMA) guidelines, and registered the protocol with the PROSPERO database (CRD42024550744). Results. From the 902 titles retrieved, eight observational studies met the inclusion criteria comprising 29 patients from countries with different socioeconomic statuses. Most patients were neonates (75%) with a median age of 3 days at diagnosis and male to female ratio of 2:1. In total, 18 (62%) presented upper gastrointestinal tract anomalies, including esophageal atresia ± tracheoesophageal fistula (n = 10, 34.48%), duodenal atresia (n = 3, 10.3%), and congenital hypertrophic pyloric stenosis (n = 5, 17.2%). Lower digestive tract malformations (11, 38%) included anorectal malformations (n = 6, 20.6%), intestinal atresia (n = 3, 10.3%), Hirschsprung disease (n = 1, 3.44%), and Meckel’s diverticulum (n = 1, 3.44%). Surgeries were primarily emergency or urgent procedures and only pyloromyotomy (5/5) was consistently operated minimally invasively. SARS-CoV-2 infection was identified mainly on routine screening (>95%). Of 29 patients, 85% were discharged home, and no postoperative surgical mortality and significant complications directly associated with COVID-19 were identified, although routine postoperative morbidity not linked to SARS-CoV-2 was observed. Conclusions. Pediatric patients with congenital gastrointestinal malformationsand perioperative SARS-CoV-2 infection typically have mild illness and favorable surgical outcomes. SARS-CoV-2 positivity alone should not delay essential surgery when infection control measures are ensured. Standardized, multicenter studies are needed to clarify perioperative risks to and inform management of this high-risk group. Full article
(This article belongs to the Special Issue Advances and Trends in Pediatric Surgery)
Show Figures

Figure 1

14 pages, 1313 KB  
Case Report
Various Phenotypes of Ectopic Pancreatic Tissue in Children: Case Series and Literature Review
by Elena Roxana Matran, Andra-Mihaela Diaconu, Oana Neagu and Alexandru-Ioan Ulmeanu
Diagnostics 2025, 15(10), 1193; https://doi.org/10.3390/diagnostics15101193 - 8 May 2025
Cited by 1 | Viewed by 1289
Abstract
Background and Clinical Significance: Ectopic pancreatic tissue (EPT), an infrequently documented condition within the pediatric population, is often asymptomatic. When clinical manifestations do occur, their severity is contingent upon the location, size, and involvement of the adjacent mucosa. Case presentation: This [...] Read more.
Background and Clinical Significance: Ectopic pancreatic tissue (EPT), an infrequently documented condition within the pediatric population, is often asymptomatic. When clinical manifestations do occur, their severity is contingent upon the location, size, and involvement of the adjacent mucosa. Case presentation: This is a case series study, involving six children aged 15 days–13 years diagnosed with EPT from a single institution. Five of the six cases presented with both EPT and ectopic gastric tissue, located at the site of Meckel’s diverticulum, while one case presented EPT exclusively, which was localized in the duodenum I. A case of Littre’s hernia was identified in a newborn. Two of the six cases experienced gastrointestinal bleeding. Due to limited data on EPT in children, a comprehensive review of the literature was conducted to integrate the findings of the case series. The review synthesized evidence on clinical manifestations, diagnostic approaches, phenotypic classifications, and management strategies. Articles were identified through searches on PubMed and publisher platforms such as Elsevier and Wiley Online Library, using keywords like “ectopic pancreatic tissue”, “heterotopic pancreas”, and “pediatric ectopic pancreas”. Conclusions: The identification of EPT continues to pose a diagnostic challenge, as the symptoms are nonspecific and can sometimes be life-threatening. Additionally, there are currently no specific paraclinical investigations available for this purpose. Histopathological evaluation remains crucial for establishing the diagnosis, which is often confirmed only after complications have arisen. Full article
(This article belongs to the Special Issue Diagnosis of Hepatobiliary and Pancreatic Diseases)
Show Figures

Figure 1

11 pages, 3669 KB  
Article
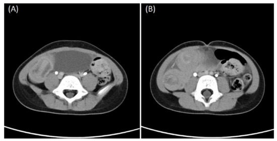
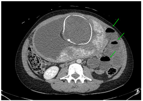
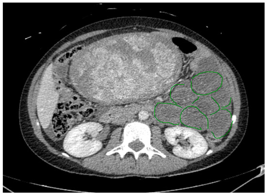
Laparoscopic-Assisted Removal of Bleeding Mesenteric Meckel’s Diverticulum in Children: Case Series and Systematic Review
by Veronica Vitali, Giulia Fusi, Alessandro Raffaele, Maria Ruffoli, Simonetta Mencherini, Carmine Noviello, Gian Battista Parigi and Mirko Bertozzi
Gastrointest. Disord. 2025, 7(1), 24; https://doi.org/10.3390/gidisord7010024 - 9 Mar 2025
Viewed by 1608
Abstract
Background: Meckel’s diverticulum on the mesenteric side has been reported only as case reports in the literature and presents a diagnostic challenge, with ultimate recognition often taking place intraoperatively. We describe a case series of children with mesenteric Meckel’s diverticulum (MMD) treated at [...] Read more.
Background: Meckel’s diverticulum on the mesenteric side has been reported only as case reports in the literature and presents a diagnostic challenge, with ultimate recognition often taking place intraoperatively. We describe a case series of children with mesenteric Meckel’s diverticulum (MMD) treated at our institution, along with the results of a systematic review of the literature. Methods: Our experience on MMD was analyzed along with a systematic literature review performed according to PRISMA criteria. We identified studies published from 1941 to 2023 from PubMed, EMBASE, SCOPUS, and WOS. Search terms were variations of “Meckel”, “diverticulum”, and “mesenteric”. Inclusion criteria were patients < 18 years of age and articles written in English. Results: A total of three cases of MMD were observed and treated in our hospital. The mean age was 7.6 years. The most common symptoms were rectal bleeding and abdominal pain. Diagnostic workup included ultrasound and both upper and lower endoscopy. Surgery was performed by the laparoscopy-assisted technique. One case had to be reoperated due to postoperative intestinal occlusion. The mean length of hospital stay was 9.3 days. The literature search yielded 795 citations; out of the 590 papers remaining after the exclusion of 205 duplications, only 15 papers matched the inclusion criteria and were included and analyzed. Conclusions: MMD remains a rare and elusive pathology, sharing with its normal counterpart symptoms and signs. In our experience, and in the more recent literature, laparoscopy-assisted surgery appears safe and effective both for final diagnosis and definitive treatment. Full article
Show Figures

Figure 1

2 pages, 335 KB  
Interesting Images
Ectopic “Ectopic” Gastric Mucosa
by Adeel Haq and Amin Haghighat Jahromi
Diagnostics 2024, 14(11), 1162; https://doi.org/10.3390/diagnostics14111162 - 31 May 2024
Viewed by 1853
Abstract
Meckel’s diverticulum is a developmental GI anomaly. It is a remnant of the omphalomesenteric duct (vitelline duct) and the most common congenital anomaly found in the small intestine. It contains ectopic/heterotopic gastric mucosa in half of the cases. Imaging investigations for diagnosing Meckel’s [...] Read more.
Meckel’s diverticulum is a developmental GI anomaly. It is a remnant of the omphalomesenteric duct (vitelline duct) and the most common congenital anomaly found in the small intestine. It contains ectopic/heterotopic gastric mucosa in half of the cases. Imaging investigations for diagnosing Meckel’s diverticulum may include a plain radiography; however, this has a very limited diagnostic value. A blind-ending fluid-filled structure can sometimes be seen with sonography, but again, this technique’s diagnostic value is limited due to multiple factors. A CT scan may be helpful in localizing the bleeding diverticulum, which can be better visualized with CT enterography. Diverticula containing gastric mucosa can be diagnosed with a higher sensitivity with Tc-99 scintigraphy. The typical location of Meckel’s diverticulum is within two feet of the ileocecal valve; thus, ectopic gastric mucosal uptake is typically seen in the lower right quadrant in scintigraphy. We present a rare case of Tc-99 pertechnetate scintigraphy showing ectopic gastric mucosa in the upper mid abdomen, which was surgically proven to be at the mid ileum. To our knowledge, there is no ectopic Meckel’s diverticulum case published in the literature. Familiarity with this atypical imaging presentation of relatively common ectopic gastric mucosa may help the radiologists in the timely diagnosis and management of the patient. Full article
(This article belongs to the Section Medical Imaging and Theranostics)
Show Figures

Figure 1

21 pages, 2778 KB  
Article
Could Capsule Endoscopy Be Useful in Detection of Suspected Small Bowel Bleeding and IBD-10 Years of Single Center Experience
by Jelena Martinov Nestorov, Aleksandra Sokic-Milutinovic, Aleksandra Pavlovic Markovic and Miodrag Krstic
Diagnostics 2024, 14(9), 862; https://doi.org/10.3390/diagnostics14090862 - 23 Apr 2024
Cited by 1 | Viewed by 2893
Abstract
A retrospective study in patients who underwent video capsule endoscopy (VCE) between 2006 and 2016 was conducted in the Clinic for gastroenterology and Hepatology, University Clinical Center of Serbia. A total of 245 patients underwent VCE. In 198 patients the indication was obscure [...] Read more.
A retrospective study in patients who underwent video capsule endoscopy (VCE) between 2006 and 2016 was conducted in the Clinic for gastroenterology and Hepatology, University Clinical Center of Serbia. A total of 245 patients underwent VCE. In 198 patients the indication was obscure gastrointestinal bleeding (OGIB), with 92 patients having overt and the other 106 occult bleeding. The remaining 47 patients underwent VCE due to suspected small bowel (SB) disease (i.e., Von Hippel–Lindau syndrome, familial adenomatous polyposis, Peutz Jeghers syndrome, Crohn’s disease, prolonged diarrhea, abdominal pain, congenital lymphangiectasia, protein-losing enteropathy, tumors, refractory celiac disease, etc.). VCE identified a source of bleeding in 38.9% of patients (in the obscure overt group in 48.9% of patients, and in the obscure occult group in 30.2% of patients). The most common findings were angiodysplasias, tumors, Meckel’s diverticulum and Crohn’s disease. In the smaller group of patients with an indication other than OGIB, 38.3% of patients had positive VCE findings. The most common indication is OGIB, and the best candidates are patients with overt bleeding; patients with IBD should be evaluated in this setting. Full article
Show Figures

Figure 1

10 pages, 242 KB  
Article
Meckel’s Diverticulum Injuries after Blunt Trauma
by Piotr T. Arkuszewski, Karol K. Kłosiński, Oliwia J. Kawa, Bartosz M. Czyżewski and Zbigniew W. Pasieka
J. Clin. Med. 2024, 13(6), 1614; https://doi.org/10.3390/jcm13061614 - 12 Mar 2024
Cited by 3 | Viewed by 1678
Abstract
Background: The complications associated with Meckel’s diverticulum (MD) are well-known. However, blunt injuries regarding MD have not been widely described in the literature. This was the reason for undertaking research on MD lesions. Materials and Methods: The materials consisted of 28 [...] Read more.
Background: The complications associated with Meckel’s diverticulum (MD) are well-known. However, blunt injuries regarding MD have not been widely described in the literature. This was the reason for undertaking research on MD lesions. Materials and Methods: The materials consisted of 28 cases of damage to MD after blunt trauma published during the years 1921–2022. The collected data were subjected to statistical analysis. Results: The following MD injuries have been identified, starting with the most common isolated perforation of MD, bleeding from the area of MD, perforation of MD with concomitant tearing of the mesentery intestines and bleeding, intussusception of MD, and intramural hematoma of MD with adjacent mesenteric hematoma. Most injuries were caused by a traffic accident, followed by sports, accidents at work, and then violence. Almost all the cases (27) involved men. Several possible mechanisms may contribute to post-traumatic damage to MD. First of all, they are associated with abdominal compression and a secondary increase in intra-abdominal pressure as well as with the action of shearing forces during deceleration. Conclusions: Traumatic MD injuries are differentiated and very rare. They can coexist with other serious injuries to the abdominal organs. Full article
(This article belongs to the Section General Surgery)
10 pages, 3689 KB  
Case Report
Meckel’s Diverticulum Causing Ileal Volvulus and Peritonitis after a Recent Appendectomy: A Case Report and Literature Review—We Should Likely Resect an Incidental MD
by Matteo Zanchetta, Davide Inversini, Vincenzo Pappalardo, Niccolo Grappolini, Marika Morabito, Simone Gianazza, Giulio Carcano and Giuseppe Ietto
Life 2023, 13(10), 1996; https://doi.org/10.3390/life13101996 - 30 Sep 2023
Cited by 3 | Viewed by 2328
Abstract
Meckel’s diverticulum (MD) is the most common congenital anomaly of the gastrointestinal tract with a 1–3% prevalence in the general population. The surgical management of symptomatic MD is well described in the literature, but there is still no consensus on the indication for [...] Read more.
Meckel’s diverticulum (MD) is the most common congenital anomaly of the gastrointestinal tract with a 1–3% prevalence in the general population. The surgical management of symptomatic MD is well described in the literature, but there is still no consensus on the indication for prophylactic resection of incidental asymptomatic MD. To address this issue, we extensively reviewed the current literature and report our experience with laparoscopic management of an unusual case of MD causing ileal volvulus and acute peritonitis two weeks after a laparoscopic appendectomy for acute gangrenous appendicitis performed in another hospital. A 50-year-old man presented to the emergency department with acute and severe abdominal pain, vomiting, and constipation. He had undergone a laparoscopic appendectomy for acute appendicitis two weeks before in another hospital. The patient was apyretic, distressed, and seeking an antalgic position. The abdomen was mildly distended and tender, and the Blumberg sign was mildly positive in the central quadrants. The clinical picture deteriorated with fever, peritonismus, and leukocytosis. A CT scan showed an ileo–ileal adhesion near the ileocolic junction and dilatation of the upstream loops with the air–fluid levels. Through an urgent laparoscopy, a necrotic mass, the MD, was wedge-resected, and the surrounding ileal volvulus derotated. The postoperative course was uneventful. There is no definitive consensus on the appropriate management of incidental asymptomatic MD, although several studies have attempted to identify guiding criteria. Features of the MD, the patient’s risk factors, clinical presentation, and surgical approach need to be considered to establish definitive guidelines for the management of incidental asymptomatic MD. In the absence of definitive guidelines, personal expertise and judgement are the main resources for the surgeon approaching an incidental asymptomatic MD. Full article
(This article belongs to the Special Issue Trauma and Emergency: Beyond Damage Control Surgery)
Show Figures

Figure 1

8 pages, 1128 KB  
Case Report
Meckel’s Diverticulum as a Cause of Small Bowel Obstruction Complicated with Gangrene in the Third Trimester of Pregnancy: A Case Report
by Monika Šiaudinytė, Karolina Vankevičienė, Rasa Povilaitienė, Gintautas Domža, Virginija Paliulytė and Diana Ramašauskaitė
J. Clin. Med. 2023, 12(14), 4569; https://doi.org/10.3390/jcm12144569 - 9 Jul 2023
Viewed by 2246
Abstract
Acute abdomen during pregnancy is rare. Despite advances in diagnostic imaging, preoperative diagnosis in the pregnant population due to anatomical and physiological changes can pose difficulties. Diagnosis and surgery delays increase the risk of adverse outcomes for both maternal and fetal health. In [...] Read more.
Acute abdomen during pregnancy is rare. Despite advances in diagnostic imaging, preoperative diagnosis in the pregnant population due to anatomical and physiological changes can pose difficulties. Diagnosis and surgery delays increase the risk of adverse outcomes for both maternal and fetal health. In symptomatic cases, explorative surgery might be essential for correct diagnosis and patient treatment. Here, we present Meckel’s diverticulum as an unusual cause of small bowel obstruction complicated with gangrene in a 34-week pregnant patient. The diagnosis was only apparent during explorative surgical laparotomy. Full article
(This article belongs to the Section Obstetrics & Gynecology)
Show Figures

Figure 1

34 pages, 6681 KB  
Review
Imaging of Gastrointestinal Tract Ailments
by Boyang Sun, Jingang Liu, Silu Li, Jonathan F. Lovell and Yumiao Zhang
J. Imaging 2023, 9(6), 115; https://doi.org/10.3390/jimaging9060115 - 8 Jun 2023
Cited by 12 | Viewed by 13963
Abstract
Gastrointestinal (GI) disorders comprise a diverse range of conditions that can significantly reduce the quality of life and can even be life-threatening in serious cases. The development of accurate and rapid detection approaches is of essential importance for early diagnosis and timely management [...] Read more.
Gastrointestinal (GI) disorders comprise a diverse range of conditions that can significantly reduce the quality of life and can even be life-threatening in serious cases. The development of accurate and rapid detection approaches is of essential importance for early diagnosis and timely management of GI diseases. This review mainly focuses on the imaging of several representative gastrointestinal ailments, such as inflammatory bowel disease, tumors, appendicitis, Meckel’s diverticulum, and others. Various imaging modalities commonly used for the gastrointestinal tract, including magnetic resonance imaging (MRI), positron emission tomography (PET) and single photon emission computed tomography (SPECT), and photoacoustic tomography (PAT) and multimodal imaging with mode overlap are summarized. These achievements in single and multimodal imaging provide useful guidance for improved diagnosis, staging, and treatment of the corresponding gastrointestinal diseases. The review evaluates the strengths and weaknesses of different imaging techniques and summarizes the development of imaging techniques used for diagnosing gastrointestinal ailments. Full article
Show Figures

Figure 1

15 pages, 914 KB  
Review
Management of Littre Hernia—Case Report and Systematic Review of Case Reports
by Marian Răcăreanu, Silviu Daniel Preda, Agnesa Preda, Victor Dan Eugen Strâmbu, Petru Adrian Radu, Tudor Constantin Bratiloveanu, Ștefan Pătrașcu, Daniela Marinescu, Konstantinos Sapalidis and Valeriu Șurlin
J. Clin. Med. 2023, 12(11), 3743; https://doi.org/10.3390/jcm12113743 - 29 May 2023
Cited by 14 | Viewed by 3428
Abstract
Littre hernia is a rare type of hernia in which a Meckel diverticulum is found in the hernia sac. Given the rare nature of this disease, little data on demographics and surgical management exists. In this article, we provide a case report of [...] Read more.
Littre hernia is a rare type of hernia in which a Meckel diverticulum is found in the hernia sac. Given the rare nature of this disease, little data on demographics and surgical management exists. In this article, we provide a case report of a strangulated inguinal Littre hernia and perform a systematic review of the literature. The PubMed database was searched on 5 March 2022, and all cases of Littre hernia in adults that had English abstracts or full-text were analyzed. Our primary objective was to evaluate the surgical management and outcomes of this particular type of hernia, and our secondary objectives were to assess demographic characteristics, presentation particularities, and recurrence rates. We identified 89 articles with 98 cases, including our own. Results show a high prevalence of complications described intraoperatively, with strangulation being present in up to 38.46% of patients. The laparoscopic approach was utilized in patients with femoral, inguinal, and umbilical hernias. The most commonly performed type of resection was MD resection, followed by bowel resection, while a minority of cases (5.48%) remained unresected. Mesh repair was more frequently performed in patients with MD resection. A mortality rate of 8.7% in patients who underwent bowel resection was found. A relatively high number of reports of ectopic tissue (21.21%), ulceration (12.12%), and tumors (9.09%) were found. The average follow-up was 19.5 ± 10.29 months, with no hernia recurrence. In conclusion, most cases are admitted in an emergency setting, and intestinal obstruction is frequently associated. A minimally invasive approach can be an option even for complicated hernias. MD resection or bowel resection is usually employed, depending on the extent of ischemic lesions. Patients undergoing bowel resection may be prone to worse outcomes. Full article
(This article belongs to the Special Issue Abdominal Surgery: Clinical Updates and Perspectives)
Show Figures

Figure 1

8 pages, 906 KB  
Case Report
A Pediatric Case of Inverted Meckel’s Diverticulum Presenting with Cyclic Vomiting-like Symptoms: A Case Report and Literature Review
by Yoshiko Endo, Keisuke Jimbo, Nobuyasu Arai, Takanori Ochi, Mitsuyoshi Suzuki, Atsuyuki Yamataka and Toshiaki Shimizu
Children 2022, 9(12), 1817; https://doi.org/10.3390/children9121817 - 24 Nov 2022
Cited by 3 | Viewed by 3501
Abstract
Asymptomatic Meckel’s diverticulum cases are not uncommon, leading to diagnostic difficulties in cases of atypical presentations with only gastrointestinal symptoms other than bloody stool. A nine-year-old boy diagnosed as having cyclic vomiting because of recurrent abdominal pain and vomiting for 6 months was [...] Read more.
Asymptomatic Meckel’s diverticulum cases are not uncommon, leading to diagnostic difficulties in cases of atypical presentations with only gastrointestinal symptoms other than bloody stool. A nine-year-old boy diagnosed as having cyclic vomiting because of recurrent abdominal pain and vomiting for 6 months was referred to our institute and hospitalized due to worsening symptoms. After admission, abdominal ultrasonography showed the multiple concentric ring sign and a pseudokidney sign at the lower ileum, leading to the diagnosis of ileo-ileal intussusception, but the gastrointestinal symptoms and ultrasonic findings disappeared spontaneously. Transanal, double-balloon, intestinal endoscopy demonstrated a pedunculated polyp-like structure, and surgical resection was performed. An inverted diverticulum was found in the resected intestinal lumen, and ectopic gastric mucosa was identified histologically, leading to the diagnosis of inverted Meckel’s diverticulum. In pediatric cases involving periodic attacks of vomiting and abdominal pain, unnecessary emergent surgery could be avoided by cautious imaging evaluation and consideration of ileo-ileal intussusception with advanced lesions of an inverted Meckel’s diverticulum as a differential diagnosis, without facilely diagnosing cyclic vomiting. In addition, previous reports of inverted Meckel’s diverticulum were reviewed, and the results were compared between adult and pediatric groups in each category. Full article
(This article belongs to the Special Issue Diagnosis, Treatment and Prognosis of Surgical Diseases in Children)
Show Figures

Figure 1

5 pages, 2275 KB  
Case Report
Chronic Nocturnal Abdominal Pain as the Presentation of Inverted Meckel Diverticulum: A Case Report
by Ting-Yu Wang, Yu-Tsun Su, Po-Jui Ko, Yea-Ling Chen, Hsiang-Hung Shih and Ching-Chung Tsai
Children 2022, 9(1), 69; https://doi.org/10.3390/children9010069 - 5 Jan 2022
Cited by 4 | Viewed by 2870
Abstract
The common clinical manifestations of Meckel’s diverticulum include painless lower gastrointestinal bleeding and intestinal obstruction due to intussusception. Intussusception induced by inverted Meckel’s diverticulum has rarely been reported; furthermore, there is no report thus far of chronic nocturnal abdominal pain as a presenting [...] Read more.
The common clinical manifestations of Meckel’s diverticulum include painless lower gastrointestinal bleeding and intestinal obstruction due to intussusception. Intussusception induced by inverted Meckel’s diverticulum has rarely been reported; furthermore, there is no report thus far of chronic nocturnal abdominal pain as a presenting symptom in children with Meckel’s diverticulum. A 4-year-and-10-month-old girl with no significant history of previous illness presented with the sole complaint of chronic nocturnal abdominal pain for 3 months. The patient was reported to be asymptomatic during the day. A provisional diagnosis of chronic ileoileal intussusception was already under consideration in her previous hospital visits elsewhere. Physical examination revealed a soft, non-distended abdomen without tenderness. Imaging studies revealed ileoileal intussusception. Exploratory laparotomy showed ileoileal intussusception induced by an inverted Meckel’s diverticulum with ulceration. The patient underwent successful surgery and made a full recovery. We report this case to remind physicians that Meckel’s diverticulum should be considered in differential diagnosis of children presenting with the isolated symptom of chronic nocturnal abdominal pain. Full article
Show Figures

Figure 1

10 pages, 257 KB  
Article
Meckel’s Diverticulum in Children: A Monocentric Experience and Mini-Review of Literature
by Matthias Nissen, Volker Sander, Phillip Rogge, Mohamad Alrefai and Ralf-Bodo Tröbs
Children 2022, 9(1), 35; https://doi.org/10.3390/children9010035 - 1 Jan 2022
Cited by 9 | Viewed by 3707
Abstract
Vitelline duct anomalies (VDA, including Meckel’s diverticulum (MD)) result from failed embryologic obliteration. This study aimed for characteristics in symptomatic versus asymptomatic VDA, analyzing clinico-laboratory data from 73 children, aged 1 day to 17 years, treated at a tertiary Pediatric Surgery Institution from [...] Read more.
Vitelline duct anomalies (VDA, including Meckel’s diverticulum (MD)) result from failed embryologic obliteration. This study aimed for characteristics in symptomatic versus asymptomatic VDA, analyzing clinico-laboratory data from 73 children, aged 1 day to 17 years, treated at a tertiary Pediatric Surgery Institution from 2002–2017. A male preponderance was obtained (ratio 3.6:1). MD accounted for 85% of VDA. Incidence of symptomatic VDA decreased with older age. Leading symptoms were intestinal obstruction and hemorrhage. Mucosal heterotopia (present in 39% of symptomatic MD) was associated with anemia and lowered CRP-levels. On ROC-analysis, hemoglobin < 8.6 g/dL, CRP < 0.6 mg/dL and MD distance to ileocecal valve >40 cm were predictors of ectopic tissue in symptomatic MD. Our data confirmed known characteristics as male preponderance, declined incidence of symptomatic cases with age and predominance of gastric ectopia in symptomatic MD. Moreover, anemia and prolonged distance of MD to ileocecal valve were predictors of ectopic mucosa in symptomatic MD. Full article
(This article belongs to the Special Issue Abdominal Surgery in Pediatrics)
6 pages, 1514 KB  
Case Report
An Unusual Case of Meckel Diverticulitis Misdiagnosed as an Infected Urachal Cyst
by Ioana Anca Stefanopol, Magdalena Miulescu, Liliana Baroiu, Aurelian-Dumitrache Anghele, Dumitru Marius Danila and Zina Tiron
Medicina 2021, 57(5), 495; https://doi.org/10.3390/medicina57050495 - 13 May 2021
Cited by 14 | Viewed by 4086
Abstract
Introduction: Meckel’s diverticulum (MD), a remnant of the omphaloenteric duct, is among the most frequent intestinal malformations. Another embryonic vestige is the urachus, which obliterates, becoming the median umbilical ligament; the failure of this process can lead to a urachal cyst formation. We [...] Read more.
Introduction: Meckel’s diverticulum (MD), a remnant of the omphaloenteric duct, is among the most frequent intestinal malformations. Another embryonic vestige is the urachus, which obliterates, becoming the median umbilical ligament; the failure of this process can lead to a urachal cyst formation. We present a case of Meckel diverticulitis misdiagnosed as an infected urachal cyst. Presentation of case: A 16-year-old girl presented with hypogastric pain, fever and vomiting. She had undergone an appendectomy 6 years prior and no digestive malformation had been documented. In the last 2 years, she had 3 events of urinary tract infections with Escherichia coli, and anabdominal ultrasound discovered a 28/21 mm hypoechogenic preperitoneal round tumor, anterosuperior to the bladder. We established the diagnosis of an infected urachal cyst, confirmed later by magnetic resonance imaging. Intraoperative, we found MD with necrotic diverticulitis attached to the bladder dome. Discussions: Meckel’s diverticulum and urachal cyst (UC) are embryonic remnants. Both conditions are usually asymptomatic, being incidentally discovered during imaging or surgery performed for other abdominal pathology. Imaging diagnosis is accurate for UC, but for MD they are low sensitivity and specificity. For UC treatment, there is a tendency to follow an algorithm related to age and symptoms, but there is no general consensus on whether to perform a routine resection of incidentally discovered MD. Conclusion: Preoperatory diagnosis of MD represents a challenge. We want to emphasize the necessity of a thorough inspection of the small bowel during all abdominal surgical interventions and MD surgical excision regardless of its macroscopic appearance. These two actions seem to be the best prophylaxis measures for MD complications and consequently to avoid emergency surgery, in which case more extensive surgical procedures on an unstable patient may be needed. Full article
Show Figures

Figure 1

5 pages, 791 KB  
Case Report
Internal Hernia and Volvulus in an Adult Male Caused by Meckel’s Diverticulum: A Case Report
by Konstantinos Sapalidis, Christina Sevva, Vasiliki Magra, Vasiliki Manaki, Charilaos Koulouris, Panagiota Roulia, Athanasios Katsaounis, Despoina Vasileiou, Stelian Pantea and Isaak Kesisoglou
Medicina 2021, 57(5), 443; https://doi.org/10.3390/medicina57050443 - 3 May 2021
Cited by 1 | Viewed by 2561
Abstract
Background: Meckel’s diverticulum is a common congenital abnormality of the gastrointestinal tract encountered in about 1–3% of the general population. Although most patients remain asymptomatic, a minority will experience serious complications such as acute abdomen, haemorrhage or obstructive ileus. Of all patients presenting [...] Read more.
Background: Meckel’s diverticulum is a common congenital abnormality of the gastrointestinal tract encountered in about 1–3% of the general population. Although most patients remain asymptomatic, a minority will experience serious complications such as acute abdomen, haemorrhage or obstructive ileus. Of all patients presenting with symptoms of obstruction due to Meckel’s diverticulum 7–18% is due to volvulus. Case Report: A 39-year-old male with multiple previous episodes of obstructive ileus presented with an acute abdomen. An exploratory laparotomy was performed in order to reveal the cause of the obstruction. An internal hernia with ileal volvulus and a Meckel’s diverticulum was found, which was later confirmed by histopathological examination. Conclusion: Meckel’s diverticulum is a rare cause of acute abdomen and obstructive ileus which should be considered when the symptoms date back to childhood. The difficulty of preoperative diagnosis dictates the need for exploratory laparoscopy or laparotomy as diagnostic tools. Full article
(This article belongs to the Section Surgery)
Show Figures

Figure 1

Back to TopTop