Sign in to use this feature.

Years

Between: -

Subjects

remove_circle_outline
remove_circle_outline
remove_circle_outline
remove_circle_outline

Journals

Article Types

Countries / Regions

Search Results (20)

Search Parameters:
Keywords = Horner syndrome

Order results
Result details
Results per page
Select all
Export citation of selected articles as:
17 pages, 1793 KB  
Article
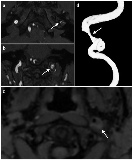
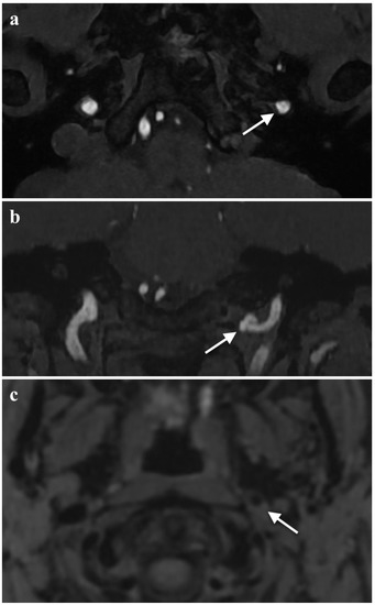
Spontaneous Multiple Cervical Artery Dissections Detected with High-Resolution MRI: A Prospective, Case-Series Study
by Aikaterini Foska, Aikaterini Theodorou, Maria Chondrogianni, Georgios Velonakis, Stefanos Lachanis, Eleni Bakola, Georgia Papagiannopoulou, Alexandra Akrivaki, Stella Fanouraki, Christos Moschovos, Panagiota-Eleni Tsalouchidou, Ermioni Papageorgiou, Athina Andrikopoulou, Klearchos Psychogios, Odysseas Kargiotis, Apostolοs Safouris, Effrosyni Koutsouraki, Georgios Magoufis, Dimos-Dimitrios Mitsikostas, Sotirios Giannopoulos, Lina Palaiodimou and Georgios Tsivgoulisadd Show full author list remove Hide full author list
J. Clin. Med. 2025, 14(18), 6635; https://doi.org/10.3390/jcm14186635 - 20 Sep 2025
Viewed by 1824
Abstract
Background: Cervical artery dissection (CAD) is a leading cause of acute ischemic stroke among young and middle-aged patients. Currently, the growing availability of high-resolution magnetic resonance imaging (MRI), particularly fat-saturated T1-weighted black-blood SPACE sequences, allows the non-invasive, rapid, and reliable diagnosis of [...] Read more.
Background: Cervical artery dissection (CAD) is a leading cause of acute ischemic stroke among young and middle-aged patients. Currently, the growing availability of high-resolution magnetic resonance imaging (MRI), particularly fat-saturated T1-weighted black-blood SPACE sequences, allows the non-invasive, rapid, and reliable diagnosis of multiple arterial dissections. Methods: We reported our experience from two tertiary stroke centers of patients diagnosed with spontaneous multiple cervical artery dissections, detected with high-resolution MRI, during a three-year period (2022–2025). Results: Among 95 consecutive patients with CAD, 11 patients (mean age: 48 ± 9 years, 6 (55%) females) were diagnosed with multiple symptomatic or asymptomatic CADs, whereas in 84 patients (mean age: 49 ± 11 years, 32 (38%) females) a single CAD was detected. In all patients, high-resolution MRI and MR-angiography were performed, whereas digital subtraction angiography (DSA) with simultaneous evaluation of renal arteries was conducted in nine patients. A history of trauma or chiropractic manipulations, intense physical exercise prior to symptom onset, recent influenza-like illness, and recent childbirth in a young female patient were reported as predisposing risk factors. Cervicocranial pain, cerebral infarctions leading to focal neurological signs, and Horner’s syndrome were among the most commonly documented symptoms. Characteristic findings in the high-resolution 3D T1 SPACE sequence were detected in all patients. Fibromuscular dysplasia and Eagle syndrome were detected in four patients and one patient, respectively. Eight patients were treated with antiplatelets, whereas three patients received anticoagulation with low-molecular-weight heparin. There was only one case of stroke recurrence during a mean follow-up period of 9 ± 4 months. Conclusions: This case series highlights the utility of specific high-resolution MRI sequences as a very promising method for detecting multiple CADs in young patients. The systematic use of these sequences could enhance the sensitivity of detecting multiple cervical CADs, affecting also the thorough investigation for underlying connective tissue vasculopathies, stratifying the risk for first-ever or recurrent ischemic stroke, and influencing acute reperfusion and secondary prevention therapeutic strategies. Full article
(This article belongs to the Special Issue Ischemic Stroke: Diagnosis and Treatment)
Show Figures

Figure 1

11 pages, 6334 KB  
Article
Endoscopic-Assisted Transoral Approach (EATA) for Extracranial Tumors: A Multicentric Case Series
by Giovanni Motta, Arianna Di Stadio, Luca D’Ascanio, Luigi D’avino, Vincenzo della Peruta, Francesco Chiari, Carlo Magno, Giuseppe Tortoriello and Gaetano Motta
Life 2025, 15(6), 975; https://doi.org/10.3390/life15060975 - 18 Jun 2025
Cited by 2 | Viewed by 877
Abstract
Endoscopic surgery is useful and helpful especially to access areas with limited visibility. The combination of this technique with innovative approaches could be the solution to improve quality of surgery and patients’ outcome. This study aimed to illustrate how Endoscopic-Assisted Transoral Approach (EATA) [...] Read more.
Endoscopic surgery is useful and helpful especially to access areas with limited visibility. The combination of this technique with innovative approaches could be the solution to improve quality of surgery and patients’ outcome. This study aimed to illustrate how Endoscopic-Assisted Transoral Approach (EATA) can be used to successfully remove specific extracranial tumors with defined characteristics. Eleven patients with extracranial tumors underwent surgical resection using an EATA between 2003 and 2025. All patients underwent clinical examination and fiberoptic laryngoscopy. Preoperative CT and/or MRI was performed in all cases. All patients were successfully treated utilizing an EATA. Histological examination revealed nine parapharyngiomas, comprising five pleomorphic adenomas, two schwannomas, one ectopic thyroid gland, one lipoma, one masticator space schwannoma, and one nasopharyngeal pleomorphic adenoma. No intra-operative nor peri-operatory complications were observed. The only long-term sequela observed was Horner’s syndrome in the two schwannomas originating from the parapharyngeal-carotid space. The mean hospital stay was 2.6 days, while the mean follow-up duration was 9.8 years. The EATA represents a valid surgical technique for the treatment of benign, encapsulated, and non-vascular parapharyngeal space (PPS) tumors exhibiting posterior displacement of major vessels. This approach may also prove beneficial for the management of other benign, encapsulated, and non-vascular tumors located in the nasopharynx and masticator space. Full article
(This article belongs to the Section Medical Research)
Show Figures

Figure 1

16 pages, 1455 KB  
Article
Multimorbidity Through the Lens of the Eye: Pathogenic Variants for Multiple Systemic Disorders Found in an Autosomal Dominant Congenital Cataract Cohort
by Vanita Berry, Manav B. Ponnekanti, Nancy Aychoua, Alex Ionides, Chrysanthi Tsika, Roy A. Quinlan and Michel Michaelides
Genes 2025, 16(5), 604; https://doi.org/10.3390/genes16050604 - 20 May 2025
Cited by 1 | Viewed by 1471
Abstract
Background: This paper will identify the potential genetic causes of multimorbidity associated with autosomal dominant congenital cataract (ADCC). Methods: Whole exome sequencing (WES) was performed on 13 individuals affected with ADCC. Subsequent bioinformatic analyses identified variants with deleterious pathogenicity scores. Results: Disease-causing variants [...] Read more.
Background: This paper will identify the potential genetic causes of multimorbidity associated with autosomal dominant congenital cataract (ADCC). Methods: Whole exome sequencing (WES) was performed on 13 individuals affected with ADCC. Subsequent bioinformatic analyses identified variants with deleterious pathogenicity scores. Results: Disease-causing variants were identified in 8 genes already linked to cataract (CHMP4B, CRYAA, CRYBA1, CRYGD, CYP21A2, GJA8, OPA1, and POMGNT1), but variants previously associated with systemic disorders were also found in a further 11 genes (ACTL9, ALDH18A1, CBS, COL4A3, GALT, LRP5, NOD2, PCK2, POMT2, RSPH4A, and SMO). All variants were identified via pipeline data analysis, prioritising rare coding variants using Kaviar and the Genome Aggregation Database. The following ADCC-associated non-ocular phenotypes were identified in four patients in the cohort: (i) Horner’s pupils, vaso-vagal syncope, and paroxysmal orthostatic tachycardia syndrome; (ii) reduced kidney function and high cholesterol; (iii) hypertension, high cholesterol, and kidney stones; and (iv) grade 1 spondylolysis. Conclusions: We report 11 novel genes identified in an ADCC patient cohort associated with systemic disorders found, along with 8 known cataract-causing genes. Our findings broaden the spectrum of potentially cataract-associated genes and their related lens phenotypes, as well as evidence multimorbidities in four patients, highlighting the importance of careful multisystem phenotyping following genetic analysis. Full article
(This article belongs to the Special Issue Advances in Medical Genetics)
Show Figures

Figure 1

14 pages, 1628 KB  
Article
Radiofrequency Ablation for Locoregional Structural Incomplete Response in Differentiated Thyroid Cancer: Initial Experience in Greece
by George Simeakis, Aikaterini Kapama, Rodis D. Paparodis, Pyrros Gkousis, Panayiotis Koursaros, Christos Kokkinis, Maria Zozolou and Myrsini Gkeli
Biomedicines 2025, 13(2), 255; https://doi.org/10.3390/biomedicines13020255 - 21 Jan 2025
Viewed by 2060
Abstract
Background/Objectives: Structural incomplete response (SIR) (persistence/recurrence) may occur in 2–6% of low-risk differentiated thyroid cancer (DTC)-cases and in 67–75% of high risk. Regarding locoregional disease, surgery is the optimal therapeutic modality if the smallest dimension of the targeted node is ≥8 mm or [...] Read more.
Background/Objectives: Structural incomplete response (SIR) (persistence/recurrence) may occur in 2–6% of low-risk differentiated thyroid cancer (DTC)-cases and in 67–75% of high risk. Regarding locoregional disease, surgery is the optimal therapeutic modality if the smallest dimension of the targeted node is ≥8 mm or ≥10 mm (central or lateral compartment). In the presence of smaller nodes, contraindications or the patient’s unwillingness for reoperation, active surveillance (AS) or minimally invasive treatments (MITs) may be considered. Methods: We retrospectively studied eight DTC patients with SIR confirmed by ultrasound (U/S)-guided fine-needle aspiration cytology (FNAC) and the measurement of Thyroglobulin (Tg) in the washout fluid. Fourteen malignant lesions were ablated by radiofrequency (RF). We assessed prior to RF ablation (RFA) and consecutively at one month, three months and, then, every three months the volume of each lesion, serum Tg and Anti-Tg antibodies and calculated the volume reduction ratio (VRR). Results: Patients were followed for a mean period of 13.25 months (range: 4–24) after RFA was performed. The targeted lesions reduced significantly from a median volume of 0.24 mL (range: 0.09–0.9) to 0.02 mL (range: 0–0.03) (p < 0.05), with a median VRR of 94.5% (range: 78–100%) and concomitant significant biochemical remission (decrease in serum Tg from a median of 1.05 ng/mL to 0.2 ng/mL, p < 0.05). In one patient with an aggressive radioiodine (RAI)-refractory histological variant, re-recurrence was documented, which was successfully re-ablated by RF. In two patients, Horner syndrome was diagnosed as an RFA complication, which was totally resolved within six months. Conclusions: RFA may be considered as an effective and safe MIT in selective DTC patients with SIR, especially in cases of smaller lesions. Additional prospective studies are needed, including aggressive DTC histological variants towards a tailored therapeutic approach. Full article
(This article belongs to the Special Issue Emerging Trends in Thyroid Cancer)
Show Figures

Figure 1

10 pages, 421 KB  
Article
Impact of Severe Obesity on Outcomes in Single-Level Anterior Cervical Discectomy and Fusion (ACDF): A Large-Scale Comparative Study
by David Maman, Ofek Bar, Yaniv Steinfeld, Ali Sleiman, Arsen Shpigelman, Lior Ben Zvi and Yaron Berkovich
Surg. Tech. Dev. 2025, 14(1), 1; https://doi.org/10.3390/std14010001 - 9 Jan 2025
Viewed by 1819
Abstract
Background: Anterior cervical discectomy and fusion (ACDF) is a common procedure for cervical radiculopathy and myelopathy. Severe obesity (BMI ≥ 40 or BMI ≥ 35 with comorbidities) is associated with increased perioperative risks. This study examines the impact of severe obesity on outcomes [...] Read more.
Background: Anterior cervical discectomy and fusion (ACDF) is a common procedure for cervical radiculopathy and myelopathy. Severe obesity (BMI ≥ 40 or BMI ≥ 35 with comorbidities) is associated with increased perioperative risks. This study examines the impact of severe obesity on outcomes in patients undergoing single-level ACDF. Methods: Data from the Nationwide Inpatient Sample (2016–2019) were analyzed, including 85,585 patients who underwent single-level ACDF. Patients were classified as severely obese (n = 4935) or non-obese (n = 80,650). Outcomes such as length of stay, complications, and in-hospital mortality were compared using SPSS and MATLAB, with a significance level of p < 0.05. Results: Severely obese patients were younger (54 vs. 55.7 years, p < 0.001) and had more comorbidities like type 2 diabetes (38% vs. 17.8%, p < 0.001) and obstructive sleep apnea (31.1% vs. 9.5%, p < 0.001). They experienced longer hospital stays (1.92 vs. 1.65 days, p < 0.001) but similar in-hospital mortality (0.1%, p = 0.506). Severe obesity was linked to higher odds of complications, including increased risks of dehiscence (OR 8.2), respiratory failure (OR 6.5), myocardial infarction (OR 5.5), Horner syndrome (OR 4.7), pulmonary edema (OR 4.5), and dural tears (OR 4.1). Risks of acute kidney injury, pulmonary embolism, and dysphonia were also elevated in severely obese patients. Conclusion: Severe obesity is associated with higher complication rates and longer hospital stays following ACDF. Tailored perioperative management is essential to mitigate these risks and improve outcomes in this high-risk population. Full article
Show Figures

Figure 1

11 pages, 560 KB  
Article
Learnability of Ultrasound-Guided Locoregional Anesthesia for Carotid Endarterectomy
by Benjamin Seybold, Nils Gaier, Andreas Ofenloch, Dittmar Boeckler, Armin Kalenka and Mascha O. Fiedler-Kalenka
J. Clin. Med. 2024, 13(24), 7557; https://doi.org/10.3390/jcm13247557 - 12 Dec 2024
Cited by 1 | Viewed by 1337
Abstract
Background/Objectives: There is an ongoing debate about the most advantageous anesthesia technique for carotid endarterectomy (CEA). From an anesthesiologic perspective, locoregional anesthesia (LRA) appears to offer significant benefits. However, the learning curve and complication rates for anesthesiologists newly performing ultrasound-guided LRA for [...] Read more.
Background/Objectives: There is an ongoing debate about the most advantageous anesthesia technique for carotid endarterectomy (CEA). From an anesthesiologic perspective, locoregional anesthesia (LRA) appears to offer significant benefits. However, the learning curve and complication rates for anesthesiologists newly performing ultrasound-guided LRA for CEA remain unclear and are to be examined in greater detail in this study. Methods: This retrospective, single-center study included all consecutive LRA administrations for CEA following the introduction of this procedure at a district hospital in Germany from November 2013 to November 2017. Nine board-certified anesthesiologists, initially inexperienced in LRA for CEA but with prior experience in other ultrasound-guided peripheral nerve blocks (PNBs), received theoretical training and supervision during their first six combined deep and superficial cervical plexus blocks under ultrasound guidance. The primary endpoint was the incidence of insufficient block quality, indicated by pain and restlessness or the additional need for analgesics. Secondary endpoints included LRA-associated complications. Patients were divided into four groups based on the number of previously performed LRA procedures by the attending anesthesiologist. Results: In 83 patients, LRA was performed by initially inexperienced anesthesiologists. Group A (patients managed by anesthesiologists performing their 1st to 3rd cervical plexus blockades) included 21 patients, Group B (blockades 4–6) included 12 patients, Group C (blockades 7–9) included 9 patients, and Group D (≥10 blockades) included 41 patients, respectively. The overall complication rate was 22% (18/83). Insufficient block quality occurred in 18.1% of patients (15/83), resulting in three conversions to general anesthesia (3.6%). Additional complications included dysphagia (n = 2) and Horner’s syndrome (n = 1). The incidence of insufficient block quality was significantly reduced (p = 0.008) after performing the first three blockades. Conclusions: Ultrasound-guided cervical plexus block for CEA appears to be a rapidly learnable anesthesia technique for anesthesiologists experienced in other ultrasound-guided PNBs, with a low risk of complications. After three supervised blockades, the failure rate of LRA decreases significantly. Full article
(This article belongs to the Special Issue Advances in Regional Anaesthesia and Acute Pain Management)
Show Figures

Figure 1

6 pages, 348 KB  
Case Report
Synchronous Cervical Sympathetic Chain Schwannoma, Parathyroid Adenoma and Hypofunctional Nodular Goiter—A Case Report and Literature Review
by Flaviu Muresan, Alexandrina-Manuela Muresan, Gabriel-Emil Petre, Iacob Domsa, Vasile Ovidiu Fabian and Olga Hilda Orasan
J. Mind Med. Sci. 2024, 11(1), 261-266; https://doi.org/10.22543/2392-7674.1432 - 30 Apr 2024
Viewed by 680
Abstract
Simultaneously diagnosing cervical sympathetic chain schwannoma, nodular goiter and parathyroid adenoma is a very rare event during clinical practice. We had the opportunity to find this unusual association on a female patient. While nodular goiter and parathyroid adenoma are more common diseases and [...] Read more.
Simultaneously diagnosing cervical sympathetic chain schwannoma, nodular goiter and parathyroid adenoma is a very rare event during clinical practice. We had the opportunity to find this unusual association on a female patient. While nodular goiter and parathyroid adenoma are more common diseases and easier to diagnose, identifying the etiology of a parapharyngeal space tumor remains a challenge and requires multiple imaging studies such as computed tomography scan, magnetic resonance imaging or angiography. A cervical sympathetic chain schwannoma, a carotid body tumor, a paraganglioma or a vagal schwannoma must be taken into account as possible diagnostic variants. Complaints such as Horner`s syndrome, hoarse voice or dysphagia may suggest a nerve originating tumor, but this is a rare situation. Only the surgical exploration is successful in detecting the tumor origin from the cervical sympathetic chain. Even so, the exact origin of the tumor cannot usually be detected without surgical exploration and removal of the piece or biopsies. Therefore, the pathological report of the specimen (adding or not immunohistochemistry tests) is mandatory to be able to confirm the diagnosis of schwannoma. Full article
Show Figures

Figure 1

12 pages, 1444 KB  
Article
Clinical Outcomes of Severe Rhinosinusitis Complicated with Cavernous Sinus Syndrome
by Jin-Yi Lin, Chien-Lin Liu, Zheng-Yan Dai, Yu-Ting Li, Yung-An Tsou, Chia-Der Lin, Chih-Jaan Tai and Liang-Chun Shih
J. Clin. Med. 2024, 13(8), 2420; https://doi.org/10.3390/jcm13082420 - 21 Apr 2024
Cited by 1 | Viewed by 3545
Abstract
Background: Various diseases involving the cavernous sinus can cause a condition called cavernous sinus syndrome (CSS), which is characterized by ophthalmoplegia or sensory deficits over the face resulting from the compression effect of internal structure. While tumor compression is the most reported cause [...] Read more.
Background: Various diseases involving the cavernous sinus can cause a condition called cavernous sinus syndrome (CSS), which is characterized by ophthalmoplegia or sensory deficits over the face resulting from the compression effect of internal structure. While tumor compression is the most reported cause of CSS, statistical data on CSS caused by infections are limited. Its risk factors, treatment methods, and clinical outcomes are not well-documented. Methods: In this retrospective study, we reviewed the data of patients admitted to a tertiary medical center from 2015 to 2022 with a diagnosis of acute and chronic sinusitis and at least one diagnostic code for CSS symptoms. We manually reviewed whether patients were involved in two or more of the following cranial nerves (CN): CN III, CN IV, CN V, or CN VI, or at least one of these nerves with a neuroimaging-confirmed lesion in the cavernous sinus. Results: Nine patients were diagnosed with rhinosinusitis-related CSS. The most common comorbidity was type 2 diabetes, and the most common clinical manifestations were diplopia and blurred vision. The sphenoid sinus was the most affected sinus. One patient expired due to a severe brain abscess infection without surgery. The remaining patients underwent functional endoscopic sinus surgery, and 50% of the pathology reports indicated fungal infections. Staphylococcus spp. was the most cultured bacteria, and Amoxycillin/Clavulanate was the most used antibiotic. Only four patients had total recovery during the follow-up one year later. Conclusions: CSS is a rare but serious complication of rhinosinusitis. Patients with diabetes and the elderly may be at a higher risk for this complication. Even after treatment, some patients may still have neurological symptoms. Full article
(This article belongs to the Section Otolaryngology)
Show Figures

Figure 1

18 pages, 837 KB  
Review
A Narrative Review on Neuro-Ophthalmological Manifestations That May Occur during Pregnancy
by Nicoleta Anton, Camelia Margareta Bogdănici, Daniel Constantin Branișteanu, Theodora Armeanu, Ovidiu-Dumitru Ilie and Bogdan Doroftei
Life 2024, 14(4), 431; https://doi.org/10.3390/life14040431 - 24 Mar 2024
Cited by 4 | Viewed by 4151
Abstract
Aim: As a medical condition, pregnancy mandates the simultaneous treatment of both the mother and the fetus, making it a distinctive aspect of clinical medicine. Material and Method: We analyze the physiological changes occurring in the eyes and brain during pregnancy, as well [...] Read more.
Aim: As a medical condition, pregnancy mandates the simultaneous treatment of both the mother and the fetus, making it a distinctive aspect of clinical medicine. Material and Method: We analyze the physiological changes occurring in the eyes and brain during pregnancy, as well as the neuro-ophthalmological manifestations that can occur during pregnancy. Studies published in both English and other languages, case reports, and reviews from 2011 to 2023 onwards were included. All surveys were acquired by exploring the databases. Results: We found a total of 2135 articles that showcase neuro-ophthalmic changes related to pregnancy: review and research articles (Science Direct 804, Web of Science 923, Scopus 345, and 63 Pub Med). In total, 86 studies were examined after applying the inclusion and exclusion criteria. Bilateral papilledema can be a warning sign for intracranial hypertension or cerebral venous sinus thrombosis. Additionally, when unilateral, it is important to differentially diagnose anterior ischemic optic neuropathy secondary to a hypercoagulant, compressive or inflammatory optic neuropathy, optic neuritis, or even orbital pseudotumor state. Severe eclampsia and preeclampsia can manifest as choroidal infarction, serous retinal detachment, and even cortical blindness. There can also be implications at the level of cranial nerves or transient Horner syndrome. Conclusions: Evaluating and treating a pregnant woman with neuro-ophthalmological manifestations is challenging. The obstetrician closely follows and has a medical relationship with the pregnant woman; hence he/she might be the first to be informed about the general condition of the pregnant woman or might request an ophthalmologic examination tailored to each specific case. Full article
(This article belongs to the Special Issue Research Update in Pregnancy Complications)
Show Figures

Figure 1

18 pages, 3636 KB  
Article
Cervical Artery Dissections—A Demographical Analysis of Risk Factors, Clinical Characteristics Treatment Procedures, and Outcomes—A Single Centre Study of 54 Consecutive Cases
by Iulian Roman Filip, Valentin Morosanu, Doina Spinu, Claudiu Motoc, Zoltan Bajko, Emanuela Sarmasan, Corina Roman and Rodica Balasa
J. Pers. Med. 2024, 14(1), 48; https://doi.org/10.3390/jpm14010048 - 29 Dec 2023
Cited by 4 | Viewed by 2993
Abstract
Cervical artery dissections (CAD) are a common cause of ischemic cerebrovascular events among the younger and middle-aged population. Altogether, CAD counts for up to 15% of all causes of stroke in patients aged 50 or younger. Among the known etiological causes, especially addressing [...] Read more.
Cervical artery dissections (CAD) are a common cause of ischemic cerebrovascular events among the younger and middle-aged population. Altogether, CAD counts for up to 15% of all causes of stroke in patients aged 50 or younger. Among the known etiological causes, especially addressing the younger population with mechanical traumas and whiplash injuries are regarded as the main culprits. However, cases of spontaneous dissection are also widespread, with risk factors such as hypertension, migraine, and lifestyle factors increasing the risk of occurrence. Clinically, the symptoms associated with a cerebrovascular event caused by CADs are highly variable and can be classified as either compressive symptoms (such as Horner’s syndrome and cervical pain) or stroke syndromes attributable to cerebral ischemia. Therefore, establishing an early diagnosis might be particularly challenging as it requires particular attention and quick clinical reasoning when interviewing the patient. With these certain particularities, our main focus was to conduct a prospective study involving up to 54 patients who were diagnosed with CAD in our clinical facility between January 2015 and December 2022, with the focus of assessing certain individual parameters attributable to each patient and their influence and prognosis value for their short and long term evolution. An important emphasis was placed on parameters such as topographical localization, clinical presentation, severity of the questioned cerebrovascular event, outcomes, and causative factors. Statistical validity tools were applied when possible. Full article
(This article belongs to the Section Personalized Therapy in Clinical Medicine)
Show Figures

Figure 1

11 pages, 424 KB  
Article
Thoracoscopy for Pediatric Thoracic Neurogenic Tumors—A European Multi-Center Study
by Jean François Lecompte, Sabine Sarnacki, Sabine Irtan, Christian Piolat, Aurélien Scalabre, Isabelle Talon, Julien Rod, Nicoleta Panait, Gregory Rodesch, Ana Lourdes Luis Huertas, Olivier Abbo, Martine Demarche, Edouard Habonimana, Quentin Ballouhey, Dominique Valteau-Couanet and Florent Guérin
Cancers 2023, 15(22), 5467; https://doi.org/10.3390/cancers15225467 - 18 Nov 2023
Cited by 1 | Viewed by 2121
Abstract
Objectives: To assess the efficacy of thoracoscopy and the outcome for children with thoracic neurogenic tumors. Methods: We performed a retrospective review of 15 European centers between 2000 and 2020 with patients who underwent thoracoscopy for a neurogenic mediastinal tumor. We assessed preoperative [...] Read more.
Objectives: To assess the efficacy of thoracoscopy and the outcome for children with thoracic neurogenic tumors. Methods: We performed a retrospective review of 15 European centers between 2000 and 2020 with patients who underwent thoracoscopy for a neurogenic mediastinal tumor. We assessed preoperative data, complications, and outcomes. Results were expressed with the median and range values. Results: We identified 119 patients with a median age of 4 years old (3 months–17 years). The diameter was 5.7 cm (1.1–15). INRG stage was L1 n = 46, L2 n = 56, MS n = 5, M n = 12. Of 69 patients with image-defined risk factors (IDRF), 29 had only (T9–T12) locations. Twenty-three out of 34 patients with preoperative chemotherapy had an 18 mm (7–24) decrease in diameter. Seven out of 31 patients lost their IDRF after chemotherapy. Fourteen had a conversion to thoracotomy. The length of the hospital stay was 4 days (0–46). The main complications included chylothorax (n = 7) and pneumothorax (n = 5). Long-term complications included Horner’s syndrome (n = 5), back pain, and scoliosis (n = 5). Pathology was 53 neuroblastomas, 36 ganglioneuromas, and 30 ganglioneuroblastomas. Fourteen had a postoperative residue. With a median follow-up of 21 months (4–195), 9 patients had a recurrence, and 5 died of disease. Relapses were associated with tumor biology, histology, and the need for chemotherapy (p = 0.034, <0.001, and 0.015, respectively). Residues were associated with preoperative IDRF (excluding T9–T12 only) and the need for preoperative chemotherapy (p = 0.04 and 0.020). Conclusion: Our results show that thoracoscopy is safe, with good outcomes for thoracic neurogenic tumors in selected cases. Surgical outcomes are related to the IDRFs, whereas oncologic outcomes are related to tumor histology and biology. Full article
(This article belongs to the Special Issue Advances in Thoracic Oncology)
Show Figures

Figure 1

11 pages, 5682 KB  
Review
Sinonasal Orbital Apex Syndrome, Horner Syndrome and Pterygopalatine Fossa Infection: A Case Report and Mini-Review
by Gregorio Benites, Jure Urbančič, Carolina Bardales and Domen Vozel
Life 2023, 13(8), 1658; https://doi.org/10.3390/life13081658 - 29 Jul 2023
Cited by 3 | Viewed by 4519
Abstract
This paper presents a literature review and a case of an 83-year-old otherwise healthy female patient with a history of recent syncope, a sudden-onset right-sided temporal headache, diplopia, and vision loss. An exam revealed right-sided upper eyelid ptosis, myosis, vision loss, ophthalmoplegia, and [...] Read more.
This paper presents a literature review and a case of an 83-year-old otherwise healthy female patient with a history of recent syncope, a sudden-onset right-sided temporal headache, diplopia, and vision loss. An exam revealed right-sided upper eyelid ptosis, myosis, vision loss, ophthalmoplegia, and a positive relative afferent pupillary defect on the right eye. CT showed sphenoid sinus opacification, eroded lateral sinus wall, Vidian canal, disease extension to the posterior ethmoid air cells, orbital apex, medial orbital wall, and pterygopalatine fossa. An orbital apex syndrome (Jacod’s syndrome), Horner syndrome, and pterygopalatine fossa infection were diagnosed due to the acute invasive fungal sinusitis developed from a sphenoid sinus fungal ball. The patient was treated with antimicrobial therapy and transnasal endoscopic surgery twice to decompress the orbital apex, drain the abscess and obtain specimens for analysis. The right-sided ptosis, visual loss, ophthalmoplegia, and headache resolved entirely. No immune or comorbid diseases were identified, microbiological and histopathological analyses were negative, and MRI could not be performed on the presented patient. For that reason, the diagnostic procedure was non-standard. Nevertheless, the treatment outcome of this vision and life-threatening disease was satisfactory. Treating the fungal ball in an older or immunocompromised patient is essential to prevent invasive fungal rhinosinusitis and fatal complications. Full article
(This article belongs to the Collection New Diagnostic and Therapeutic Developments in Eye Diseases)
Show Figures

Figure 1

13 pages, 2455 KB  
Case Report
Acute Tongue Swelling as a Still Unexpected Manifestation of Internal Carotid Artery Dissection: A Case Report
by Wioletta Pawlukowska, Krystian Mross, Marta Jankowska, Łukasz Zwarzany, Wojciech Poncyljusz and Marta Masztalewicz
Brain Sci. 2023, 13(4), 603; https://doi.org/10.3390/brainsci13040603 - 2 Apr 2023
Cited by 3 | Viewed by 4246
Abstract
The diagnosis of internal carotid artery dissection (ICAD) at the stage of local signs is essential in the prevention of the life-treating cerebral complication; however, making this diagnosis has significant difficulties. We present the case of a 36-year-old female with left ICAD with [...] Read more.
The diagnosis of internal carotid artery dissection (ICAD) at the stage of local signs is essential in the prevention of the life-treating cerebral complication; however, making this diagnosis has significant difficulties. We present the case of a 36-year-old female with left ICAD with asymmetric left-sided tongue swelling as an unusual and still unexpected symptom. The patient’s complaints at admission were left-sided numbness of the tongue and swallowing difficulties but its movements were intact. Despite the provided treatment for suspected angioedema, no improvement was noted. Additional examination revealed left-sided tongue weakness, ipsilateral soft palate palsy, paralysis and reduced tension of the left vocal fold, and left-sided Horner’s syndrome. Another suspected diagnosis was a dysfunction of the IX, X, and XII cranial nerves. A head MRI revealed an intramural hematoma of the left internal carotid artery. The radiologists suggested ICAD. The angio-MRI of the head arteries confirmed this diagnosis. The patient received dual antiplatelet therapy. The neuro-logopaedic therapy was also implemented. Currently, the patient’s symptoms are gradually improving with significantly better results on follow-up neuroimaging. Among the possible local symptoms of ICAD, proper attention should be paid to asymmetric swelling of the tongue as an atypical manifestation of damage to the hypoglossal nerve. Full article
(This article belongs to the Section Neurotechnology and Neuroimaging)
Show Figures

Figure 1

13 pages, 3402 KB  
Article
Transoral Approach to Parapharyngeal Space Tumours: Preliminary Reports from a Single-Centre Retrospective Analysis
by Giovanni Motta, Domenico Testa, Anna Donadio, Filippo Ricciardiello, Michele Cavaliere, Eva Aurora Massimilla and Gaetano Motta
Curr. Oncol. 2023, 30(4), 3927-3939; https://doi.org/10.3390/curroncol30040297 - 30 Mar 2023
Cited by 14 | Viewed by 3890
Abstract
Purpose: The aim of this study is to identify certain parapharyngeal space tumours with specific characteristics that can be treated successfully through an endoscopically assisted transoral approach (EATA). Methods: Nine patients with PPS tumours underwent surgery through an EATA between 2003 and 2021. [...] Read more.
Purpose: The aim of this study is to identify certain parapharyngeal space tumours with specific characteristics that can be treated successfully through an endoscopically assisted transoral approach (EATA). Methods: Nine patients with PPS tumours underwent surgery through an EATA between 2003 and 2021. All patients underwent clinical examination and fibrolaryngoscopy. Preoperative CT and/or MRI was performed on all patients. Results: All the patients were successfully treated through an endoscopically assisted transoral approach. Histological examination revealed five pleomorphic adenomas, two schwannomas, one ectopic thyroid gland and one lipoma. The only long-term sequelae observed was Horner syndrome in the two schwannomas arising from the carotid space. The mean hospitalisation time was 2.6 days, while the mean follow-up time was of 9.7 years. Conclusions: An endoscopically assisted transoral approach (EATA) is a valid technique for treating benign capsulated tumours of the true PPS and some benign capsulated tumours of the superomedial aspect of the carotid space. Full article
Show Figures

Figure 1

9 pages, 7966 KB  
Case Report
A Rare Complication of Thoracic Spine Surgery: Pediatric Horner’s Syndrome after Posterior Vertebral Column Resection—A Case Report
by Pawel Grabala, Kinga Danowska-Idziok and Ilkka J. Helenius
Children 2023, 10(1), 156; https://doi.org/10.3390/children10010156 - 13 Jan 2023
Cited by 3 | Viewed by 3539
Abstract
Background: Horner’s syndrome (HS) classically consists of the symptom triad of miosis, ptosis, and anhidrosis. It is caused by impairment of a certain pathway in the sympathetic nervous system. It may also appear as part of the clinical signs of other diseases and [...] Read more.
Background: Horner’s syndrome (HS) classically consists of the symptom triad of miosis, ptosis, and anhidrosis. It is caused by impairment of a certain pathway in the sympathetic nervous system. It may also appear as part of the clinical signs of other diseases and syndromes, including Pancoast tumors, intradural and/or epidural tumors, thoracic outlet syndrome, syringomyelia, brachial plexus injury, and aortic dissection. Here, we report a very rare complication of vertebral column resection in children, and we present the clinical findings of a case of Horner’s syndrome with a current literature review. Case presentation: A five-year-old child with severe congenital kyphoscoliosis qualified for surgical treatment of the spinal deformity via a posterior approach, with three-column osteotomy and fusion. Results: After successful surgery, the patient presented with HS due to distraction of the sympathetic nerve trunk and, thus, innervation to the left eye. At the 4-year follow-up, the child had fully recovered. Conclusions: Pediatric HS after posterior instrumented scoliosis correction surgery with posterior vertebral column resection of the thoracic spine is very rare. This is the first reported case of HS after posterior vertebral column resection and spinal fusion for congenital kyphoscoliosis without the use of epidural analgesia. Symptom resolution may be variable and, in some cases, delayed. Full article
(This article belongs to the Special Issue Advance in Pediatric Surgery)
Show Figures

Figure 1

Back to TopTop