Clinical Outcomes of Severe Rhinosinusitis Complicated with Cavernous Sinus Syndrome
Abstract
1. Introduction
2. Patients and Method
3. Results
4. Discussion
5. Conclusions
Author Contributions
Funding
Institutional Review Board Statement
Informed Consent Statement
Data Availability Statement
Acknowledgments
Conflicts of Interest
References
- Kuybu, O.; Dossani, R.H. Cavernous Sinus Syndromes. In StatPearls; StatPearls Publishing: Treasure Island, FL, USA, 2023. [Google Scholar]
- Munawar, K.; Nayak, G.; Fatterpekar, G.M.; Sen, C.; Zagzag, D.; Zan, E.; Hagiwara, M. Cavernous sinus lesions. Clin. Imaging 2020, 68, 71–89. [Google Scholar] [CrossRef] [PubMed]
- Yamanoi, T.; Shibano, K.; Soeda, T.; Hoshi, A.; Matsuura, Y.; Sugiura, Y.; Endo, K.; Yamamoto, T. Intracranial invasive aspergillosis originating in the sphenoid sinus: A successful treatment with high-dose itraconazole in three cases. Tohoku J. Exp. Med. 2004, 203, 133–139. [Google Scholar] [CrossRef] [PubMed]
- Chen, H.W.; Su, C.P.; Su, D.H.; Chen, H.W.; Chen, Y.C. Septic cavernous sinus thrombosis: An unusual and fatal disease. J. Formos. Med. Assoc. 2006, 105, 203–209. [Google Scholar] [CrossRef] [PubMed][Green Version]
- Lizé, F.; Verillaud, B.; Vironneau, P.; Blancal, J.P.; Guichard, J.P.; Kania, R.; Herman, P. Septic cavernous sinus thrombosis secondary to acute bacterial sinusitis: A retrospective study of seven cases. Am. J. Rhinol. Allergy 2015, 29, e7–e12. [Google Scholar] [CrossRef] [PubMed]
- Wang, Y.H.; Chen, P.Y.; Ting, P.J.; Huang, F.L. A review of eight cases of cavernous sinus thrombosis secondary to sphenoid sinusitis, including a12-year-old girl at the present department. Infect. Dis. 2017, 49, 641–646. [Google Scholar] [CrossRef] [PubMed]
- Hsu, C.W.; Tsai, W.C.; Lien, C.Y.; Lee, J.J.; Chang, W.N. The clinical characteristics, implicated pathogens and therapeutic outcomes of culture-proven septic cavernous sinus thrombosis. J. Clin. Neurosci. 2019, 68, 111–116. [Google Scholar] [CrossRef] [PubMed]
- Zhang, H.; Jiang, N.; Lin, X.; Wanggou, S.; Olson, J.J.; Li, X. Invasive sphenoid sinus aspergillosis mimicking sellar tumor: A report of 4 cases and systematic literature review. Chin. Neurosurg. J. 2020, 6, 10. [Google Scholar] [CrossRef] [PubMed]
- Cannon, M.L.; Antonio, B.L.; McCloskey, J.J.; Hines, M.H.; Tobin, J.R.; Shetty, A.K. Cavernous sinus thrombosis complicating sinusitis. Pediatr. Crit. Care Med. 2004, 5, 86–88. [Google Scholar] [CrossRef] [PubMed]
- Saldaña Inda, I.; Sancho Saldaña, A.; García Rubio, S.; Sagarra Mur, D. Cavernous sinus syndrome secondary to invasive aspergilosis with carotid involvement in a HIV pacient. Neurologia 2021, 36, 552–554. [Google Scholar] [CrossRef] [PubMed]
- Lee, J.H.; Lee, H.K.; Park, J.K.; Choi, C.G.; Suh, D.C. Cavernous sinus syndrome: Clinical features and differential diagnosis with MR imaging. AJR Am. J. Roentgenol. 2003, 181, 583–590. [Google Scholar] [CrossRef] [PubMed]
- Bhatkar, S.; Goyal, M.K.; Takkar, A.; Mukherjee, K.K.; Singh, P.; Singh, R.; Lal, V. Cavernous sinus syndrome: A prospective study of 73 cases at a tertiary care centre in Northern India. Clin. Neurol. Neurosurg. 2017, 155, 63–69. [Google Scholar] [CrossRef] [PubMed]
- Walters, Z.A.; Sedaghat, A.R.; Phillips, K.M. Acute exacerbations of chronic rhinosinusitis: The current state of knowledge. Laryngoscope Investig. Otolaryngol. 2022, 7, 935–942. [Google Scholar] [CrossRef] [PubMed]
- Parikh, A.; Scadding, G.K.; Darby, Y.; Baker, R.C. Topical corticosteroids in chronic rhinosinusitis: A randomized, double-blind, placebo-controlled trial using fluticasone propionate aqueous nasal spray. Rhinology 2001, 39, 75–79. [Google Scholar] [PubMed]
- Fernández, S.; Godino, O.; Martínez-Yélamos, S.; Mesa, E.; Arruga, J.; Ramón, J.M.; Acebes, J.J.; Rubio, F. Cavernous sinus syndrome: A series of 126 patients. Medicine 2007, 86, 278–281. [Google Scholar] [CrossRef] [PubMed]
- Bhatkar, S.; Mahesh, K.V.; Sachdeva, J.; Goel, A.; Goyal, M.K.; Takkar, A.; Ray, S.; Shree, R.; Balaini, N.; Singh, P.; et al. Magnetic resonance imaging (MRI) versus computed tomographic scan (CT scan) of brain in evaluation of suspected cavernous sinus syndrome. Neuroradiol. J. 2020, 33, 501–507. [Google Scholar] [CrossRef] [PubMed]
- Southwick, F.S.; Richardson, E.P., Jr.; Swartz, M.N. Septic thrombosis of the dural venous sinuses. Medicine 1986, 65, 82–106. [Google Scholar] [CrossRef] [PubMed]
- Huang, Y.; Gui, L. Cavernous sinus-orbital apex aspergillus infection in a diabetic patient: A case report. Medicine 2019, 98, e15041. [Google Scholar] [CrossRef]
- Kumar, A.; Gupta, K.; Tyagi, A.K.; Varshney, S.; Kumar, N. Isolated Acute Sphenoid Fungal Sinusitis with Cavernous Sinus Thrombosis: Our Experience. Indian J. Otolaryngol. Head Neck Surg. 2022, 74 (Suppl. 2), 987–993. [Google Scholar] [CrossRef] [PubMed]
- Ronen, J.A.; Malik, F.A.; Wiechmann, C.; Kolli, S.; Nwojo, R. More than Meets the Eye: Aspergillus-Related Orbital Apex Syndrome. Cureus 2020, 12, e9352. [Google Scholar] [CrossRef] [PubMed]
- Toda, M.; Kosugi, K.; Ozawa, H.; Ogawa, K.; Yoshida, K. Surgical Treatment of Cavernous Sinus Lesion in Patients with Nonfunctioning Pituitary Adenomas via the Endoscopic Endonasal Approach. J. Neurol. Surg. B Skull Base 2018, 79 (Suppl. 4), S311–S315. [Google Scholar] [CrossRef] [PubMed]



| Case | Age/Sex | BMI | HTN | DM | Dyslipidemia | Other Underlying Conditions | Clinical Signs on Admission |
|---|---|---|---|---|---|---|---|
| Case 1 | 66 year/M | 30.09 | + | + | + | CAD, HBV, CRS s/p FESS, and Luc procedure 10 years ago | double vision, EOM limitation |
| Case 2 | 77 year/M | 22.5 | + | + | − | renal insufficiency | ptosis, eyelid swelling, mydriasis |
| Case 3 | 44 year/M | 20.45 | − | + | − | − | eyelid swelling, blindness, alert mental status, mydriasis, fever, headache |
| Case 4 | 73 year/F | 29.37 | + | − | − | OA knee, CAD | facial numbness |
| Case 5 | 79 year/M | 31.36 | + | + | - | Af, gout, CAD | double vision, EOM limitation |
| Case 6 | 72 year/M | 23.42 | − | + | − | − | double vision, blurred vision, headache |
| Case 7 | 74 year/M | 19.4 | − | + | + | − | ptosis, EOM limitation, eyelid swelling, blurred vision, fever |
| Case 8 | 61 year/F | 27.3 | − | + | − | − | ptosis, double vision, EOM limitation, blurred vision, fever |
| Case 9 | 65 year/F | 29 | + | + | − | CAD | ptosis, double vision, EOM limitation, facial numbness, eyelid swelling, blurred vision |
| Case | Maxillary Sinus | Ethmoid Sinus | Frontal Sinus | Sphenoid Sinus | Lund–Mackay Score | Image Feature |
|---|---|---|---|---|---|---|
| Case 1 | Bilateral | Bilateral | Bilateral | Bilateral | 21 | Status post bilateral FESS and left Luc procedure, Bilateral nasal polyposis, mucus retention, and mucosal swelling in sinuses |
| Case 2 | Bilateral | Bilateral | Left | Bilateral | 13 | Extraconal infiltrative enhanced soft tissue density at medial superior aspect of left orbital cavity; secretion accumulation within the sinus antrum |
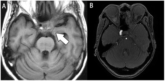
| Case 3 | - | Bilateral | Right | Bilateral | 14 | Subperiosteal empyema, bony wall erosion, bilateral bulging of the cavernous sinus, and signal enhancement over cavernous sinus and skull base |
| Case 4 | Bilateral | Left | - | Left | 7 | sinonasal polyposis |
| Case 5 | Left | - | - | - | 2 | Left maxillary sinus heterogeneous opacification with calcification and mucoperiosteal thickening |
| Case 6 | - | Bilateral | - | Bilateral | 10 | Expansion of the sphenoid sinus, with peripheral bony erosion, even destruction and disappearance of the clivus and the sellar floor |
| Case 7 | Bilateral | Bilateral | Bilateral | Bilateral | 12 | Mucus retention with mucosa thickening in the bilateral maxillary, ethmoid, sphenoid, and frontal sinuses. Left cavernous sinus engorged |
| Case 8 | - | Left | - | Left | 3 | Fluid accumulated over the left cavernous sinus; luminal narrowing of the left carotid artery |
| Case 9 | - | Bilateral | Bilateral | Bilateral | 13 | Bilateral optic nerves and superior and oblique superior rectus muscles were swelling; middle and inferior turbinates in the left nasal cavity were enlarged; mucus retention with mucosa thickening in the bilateral ethmoid, frontal, and sphenoid sinuses |
| average | 5 (55%) | 7 (77%) | 5 (55%) | 8 (88%) | 9.22 |
| Case | Antibiotic Treatment | Pathology and Cultural Pathogen | Length of Hospital Stay | Outcome (1 Month Follow-up) | Outcome (6 Month Follow-up) | Outcome (1 Year Follow-up) |
|---|---|---|---|---|---|---|
| Case 1 | Amoxycillin/Clavulanate | Corynebacterium accolens, Cutibacterium acnes, chronic paranasal sinusitis | 5 days | Total recovery | Total recovery | Total recovery |
| Case 2 | Teicoplanin, tazocin | - | 7 days | Lost | Lost | Lost |
| Case 3 | Fluconazole, tazocin, cefepime, vancomycin | - | 14 days | Mortality | Mortality | Mortality |
| Case 4 | Amoxycillin/Clavulanate | Klebsiella pneumoniae, Streptococcus constellatus, Fusobacterium nucleatum, Fungal sinusitis | 3 days | Partial improvement | Partial improvement | Total recovery |
| Case 5 | Amoxycillin/Clavulanate | Citrobacter koseri, Staphylococcus epidermidis, Corynebacterium accolens, Cutibacterium avidum, Fungal sinusitis | 4 days | Partial improvement | Total recovery | Total recovery |
| Case 6 | Amoxycillin/Clavulanate | chronic paranasal sinusitis | 4 days | Total recovery | Total recovery | Total recovery |
| Case 7 | Cefepime, vancomycin, voriconazole, tazocin | Staphylococcus epidermidis, Candida albicans, Aspergillus, chronic paranasal sinusitis | 19 days | Partial improvement | Partial improvement | Partial improvement |
| Case 8 | Ceftriaxone, clindamycin, cefepime, Fluconazole | Pseudomonas aeruginosa, Staphylococcus epidermidis, aspergillosis mucormycosis, chronic paranasal sinusitis | 19 days | No improvement | Partial improvement | Mortality |
| Case 9 | Ceftriaxone, vancomycin, rifampicin, levofloxacin, baktar | Staphylococcus aureus (MRSA), chronic paranasal sinusitis | 21 days | Partial improvement | Partial improvement | Partial improvement |
| Author and Publish Date | Cases Number | Mean Age | Clinical Feature | Comorbidity | Sinus Involvement | Pathogen | Notes |
|---|---|---|---|---|---|---|---|
| Takahiko Yamanoi et al. [3]. June 2004 | 3 | 65.6 | vision loss (3) ophthalmoplegia (3) exophthalmos (2) seizure (1) | not calculated | sphenoid (3) | Aspergillus (3) | This article mainly discussed successful cases of treating sphenoidal Aspergillus infection leading to cavernous sinus invasion with high-dose itraconazole therapy. |
| Huan-Wen Chen et al. [4]. March 2006 | 9 | 58.5 | headache (5) diplopia (5) blurred vision (5) ptosis (4) fever (3) proptosis (2) facial numbness (2) photophobia (1) | DM (5) hematologic diseases (3) | ethmoid (6) sphenoid (4) maxillary (3) frontal (2) | Zygomycete (3) Staphylococcus (1) Streptococcus (1) fungus (1) Aspergillus (1) Peptostreptococcus (1) | The results of this study are consistent with our observations in terms of the patient population, including elderly individuals, patients with diabetes, and those with immunodeficiency, and also underscored the importance of fungal infections. |
| Franklin Lizé et al. [5]. January 2015 | 7 | 35.7 | headache (7) fever (6) ptosis (3) chemosis (3) diplopia (3) proptosis (2) ophthalmoplegia (1) Horner’s syndrome (1) photophobia (1) | not calculated | sphenoid (7) ethmoid (3) maxillary (1) frontal (1) | Streptococcus spp. (3) Staphylococcus aureus (2) Aspergillus fumigatus (2) Haemophilus influenzae (1) Serratia marcescens (1) Buccal bacterial flora (1) | This study provided detailed statistics on the radiological characteristics of sinusitis-related CSS and the duration of anticoagulation therapy use. |
| Yun-Hu Wang et al. [6]. May 2017 | 8 | 30.8 | headache (8) ophthalmoplegia (6) fever (5) ptosis (5) diplopia (4) photophobia (2) mydriasis (2) | not calculated | Sphenoid (8) Ethmoid (3) Maxillary (2) | Streptococcus viridans (2) Mycobacterium avium (1) MRSA (1) Streptococcus intermedius (1) | The clinical outcomes of this study were similar to ours, with comparable results in terms of disease characteristics, treatment, and effectiveness. It further emphasized the importance of anticoagulation therapy. |
| Che-Wei Hsu et al. [7]. October 2019 | 14 | 60.4 | ophthalmoplegia (14) headache (13) ptosis (9) fever (9) chemosis (8) eyelid swelling (5) trigeminal hypesthesia (5) hemiparesis (5) eye pain (4) exophthalmos (4) decreased visual activity (3) Facial palsy (3) dysarthria (3) seizure (2) Horner’s syndrome (1) | DM (10) CRI (2) CHF (1) RA (1) COPD (1) NPC (1) liver cirrhosis (1) | sphenoid (13) ethmoid (11) maxillary (10) frontal (3) | Aspergillus spp. (6) Staphylococcus spp. (5) Pseudomonas aeruginosa (4) MRSA (2) Acinetobacter baumannii (2) Citrobacter freundii (2) CoNS (2) viridians streptococci (2) Enterobacter faecalis (1) Veillonella dispar (1) Streptococcus constellatus (1) Fusobacterium nucleatum (1) Prevotella spp. (1) Unknown fungus (1) Citrobacter freundii (1) Propionibacterium spp. (1) Klebsiella pneumoniae (1) | This study provided detailed pathogen culture results and specific antibiotic treatment regimens and evaluated the prognosis using the Modified Rankin Scale (MRS), discussing risk factors contributing to poor outcomes. |
| Han-wen Zhang et al. [8]. April 2020 | 4 | 58.7 | visual disturbance (4) headache (4) facial paresthesia (2) proptosis (1) diplopia (1) ptosis (1) fever (1) pupils’ asymmetry (1) | DM (1) HTN (1) CAD (1) | sphenoid (4) ethmoid (1) maxillary (1) | Aspergillus species (4) | This study focused on aspergillosis-related CSS and included many cases of Aspergillus infections. |
Disclaimer/Publisher’s Note: The statements, opinions and data contained in all publications are solely those of the individual author(s) and contributor(s) and not of MDPI and/or the editor(s). MDPI and/or the editor(s) disclaim responsibility for any injury to people or property resulting from any ideas, methods, instructions or products referred to in the content. |
© 2024 by the authors. Licensee MDPI, Basel, Switzerland. This article is an open access article distributed under the terms and conditions of the Creative Commons Attribution (CC BY) license (https://creativecommons.org/licenses/by/4.0/).
Share and Cite
Lin, J.-Y.; Liu, C.-L.; Dai, Z.-Y.; Li, Y.-T.; Tsou, Y.-A.; Lin, C.-D.; Tai, C.-J.; Shih, L.-C. Clinical Outcomes of Severe Rhinosinusitis Complicated with Cavernous Sinus Syndrome. J. Clin. Med. 2024, 13, 2420. https://doi.org/10.3390/jcm13082420
Lin J-Y, Liu C-L, Dai Z-Y, Li Y-T, Tsou Y-A, Lin C-D, Tai C-J, Shih L-C. Clinical Outcomes of Severe Rhinosinusitis Complicated with Cavernous Sinus Syndrome. Journal of Clinical Medicine. 2024; 13(8):2420. https://doi.org/10.3390/jcm13082420
Chicago/Turabian StyleLin, Jin-Yi, Chien-Lin Liu, Zheng-Yan Dai, Yu-Ting Li, Yung-An Tsou, Chia-Der Lin, Chih-Jaan Tai, and Liang-Chun Shih. 2024. "Clinical Outcomes of Severe Rhinosinusitis Complicated with Cavernous Sinus Syndrome" Journal of Clinical Medicine 13, no. 8: 2420. https://doi.org/10.3390/jcm13082420
APA StyleLin, J.-Y., Liu, C.-L., Dai, Z.-Y., Li, Y.-T., Tsou, Y.-A., Lin, C.-D., Tai, C.-J., & Shih, L.-C. (2024). Clinical Outcomes of Severe Rhinosinusitis Complicated with Cavernous Sinus Syndrome. Journal of Clinical Medicine, 13(8), 2420. https://doi.org/10.3390/jcm13082420

