Sign in to use this feature.

Years

Between: -

Subjects

remove_circle_outline
remove_circle_outline
remove_circle_outline
remove_circle_outline
remove_circle_outline
remove_circle_outline
remove_circle_outline
remove_circle_outline

Journals

Article Types

Countries / Regions

Search Results (22)

Search Parameters:
Keywords = HJM

Order results
Result details
Results per page
Select all
Export citation of selected articles as:
25 pages, 1288 KB  
Article
An Analysis of Implied Volatility, Sensitivity, and Calibration of the Kennedy Model
by Dalma Tóth-Lakits, Miklós Arató and András Ványolos
Mathematics 2025, 13(21), 3396; https://doi.org/10.3390/math13213396 - 24 Oct 2025
Viewed by 374
Abstract
The Kennedy model provides a flexible and mathematically consistent framework for modeling the term structure of interest rates, leveraging Gaussian random fields to capture the dynamics of forward rates. Building upon our earlier work, where we developed both theoretical results—including novel proofs of [...] Read more.
The Kennedy model provides a flexible and mathematically consistent framework for modeling the term structure of interest rates, leveraging Gaussian random fields to capture the dynamics of forward rates. Building upon our earlier work, where we developed both theoretical results—including novel proofs of the martingale property, connections between the Kennedy and HJM frameworks, and parameter estimation theory—and practical calibration methods, using maximum likelihood, Radon–Nikodym derivatives, and numerical optimization (stochastic gradient descent) on simulated and real par swap rate data, this study extends the analysis in several directions. We derive detailed formulas for the volatilities implied by the Kennedy model and investigate their asymptotic properties. A comprehensive sensitivity analysis is conducted to evaluate the impact of key parameters on derivative prices. We implement an industry-standard Monte Carlo method, tailored to the conditional distribution of the Kennedy field, to efficiently generate scenarios consistent with observed initial forward curves. Furthermore, we present closed-form pricing formulas for various interest rate derivatives, including zero-coupon bonds, caplets, floorlets, swaplets, and the par swap rate. A key advantage of these results is that the formulas are expressed explicitly in terms of the initial forward curve and the original parameters of the Kennedy model, which ensures both analytical tractability and consistency with market-observed data. These closed-form expressions can be directly utilized in calibration procedures, substantially accelerating multidimensional nonlinear optimization algorithms. Moreover, given an observed initial forward curve, the model provides significantly more accurate pricing formulas, enhancing both theoretical precision and practical applicability. Finally, we calibrate the Kennedy model to market-observed caplet prices. The findings provide valuable insights into the practical applicability and robustness of the Kennedy model in real-world financial markets. Full article
(This article belongs to the Special Issue Modern Trends in Mathematics, Probability and Statistics for Finance)
Show Figures

Figure 1

22 pages, 4149 KB  
Article
Profiling of Bacterial Communities of Hospital Wastewater Reveals Clinically Relevant Genera and Antimicrobial Resistance Genes
by Clemente Cruz-Cruz, Javier Gaytán-Cervantes, Carolina González-Torres, Andres Emmanuel Nolasco-Rojas, Miguel Ángel Loyola-Cruz, Laura Delgado-Balbuena, Josué Delgado-Balbuena, Marianela Paredes-Mendoza, María Concepción Tamayo-Ordóñez, Yahaira de Jesús Tamayo-Ordoñez, Emilio Mariano Durán-Manuel, Araceli Rojas-Bernabé, Carlos Alberto Jiménez-Zamarripa, Oscar Sosa-Hernández, Omar Agni García-Hernández, Esther Ocharan-Hernández, Paola Berenice Zárate-Segura, Elizabeth González-Terreros, Daniel Alejandro Ramírez-Villanueva, Claudia Camelia Calzada-Mendoza and Juan Manuel Bello-Lópezadd Show full author list remove Hide full author list
Microorganisms 2025, 13(6), 1316; https://doi.org/10.3390/microorganisms13061316 - 5 Jun 2025
Cited by 1 | Viewed by 2708
Abstract
In Mexico, hospital wastewater (HWW) is a source of chemical and microbiological contamination, and it is released into the municipal sewage system without prior treatment. This water may contain pathogenic bacteria and antimicrobial resistance genes, which represent a risk to Public Health and [...] Read more.
In Mexico, hospital wastewater (HWW) is a source of chemical and microbiological contamination, and it is released into the municipal sewage system without prior treatment. This water may contain pathogenic bacteria and antimicrobial resistance genes, which represent a risk to Public Health and the environment. So far, there are no studies that analyse this problem comprehensively, relating bacterial population structures, chemical contaminants, and seasonality. The aim of this work was to seasonally characterise the bacterial communities of HWW, including clinically relevant bacteria and resistance genes in Hospital Juárez de México (HJM), and to evaluate the impact of physicochemical factors on their composition. A one-year observational, cross-sectional study was conducted at five HWW discharge points of HJM. Fourteen physicochemical parameters were determined by using standard methodologies, and statistical differences between discharges and seasons were evaluated. Bacterial communities were analysed by targeted amplicon sequencing of the V3-V4 region of the 16S rRNA gene. In addition, the presence of eight antimicrobial resistance genes of local epidemiological importance was assessed. Data were analysed using alpha and beta diversity indices, principal component analysis, and multivariate statistical tests. HWW showed high taxonomic diversity, with Proteobacteria, Firmicutes, and Bacteroidetes standing out. Clinically relevant bacteria were identified in 73.3% of the analyses, with Enterobacter and Escherichia-Shigella predominating. Total and dissolved solids, temperature, nitrate, and pH significantly influenced the bacterial composition of HWW. Seven out of the eight genes evaluated were identified, with blaKPC, blaOXA-40, and mcr-1 being the most frequent, showing significant seasonal differences. This study underlines the microbiological and chemical complexity of HWW, highlighting the impact of clinically relevant bacteria and antimicrobial resistance genes on Public Health. The findings emphasise the need to implement hospital waste management programmes and ideally specific treatment plants to minimise the associated risks and protect the environment and human health. Full article
(This article belongs to the Section Environmental Microbiology)
Show Figures

Graphical abstract

11 pages, 1061 KB  
Article
Hip Manipulation Increases Electromyography Amplitude and Hip Joint Performance: A Double-Blind Randomized Controlled Study
by Rafał Studnicki, Karol Skup, Monika Sochaj, Bartłomiej Niespodziński, Piotr Aschenbrenner, Radosław Laskowski and Piotr Łuczkiewicz
Life 2024, 14(11), 1353; https://doi.org/10.3390/life14111353 - 23 Oct 2024
Cited by 3 | Viewed by 2622
Abstract
(1) Background: Activation of the gluteus medius (GM) muscle while minimizing the involvement of the tensor fascia latae (TFL) is crucial in treating many lower limb and lumbar spine injuries. Previous studies have demonstrated the effectiveness of joint manipulations in regulating muscle activity. [...] Read more.
(1) Background: Activation of the gluteus medius (GM) muscle while minimizing the involvement of the tensor fascia latae (TFL) is crucial in treating many lower limb and lumbar spine injuries. Previous studies have demonstrated the effectiveness of joint manipulations in regulating muscle activity. The main objective of this study was to evaluate the effects of hip joint manipulation (HJM) on the muscle strength and activity (GM and TFL) of hip abductors in asymptomatic young participants. (2) Methods: The study followed a double-blind randomized controlled design. Thirty healthy, physically active women and men, free from spinal and lower limb injuries, voluntarily participated. The participants were allocated to two groups: those allocated to the HJM intervention and those in the control group receiving a sham intervention. They were assessed before and after the intervention using surface electromyography to measure muscle activation (EMGRMS) of the GM and TFL during maximal voluntary isometric hip abduction. (3) Results: HJM resulted in a significant increase in EMGRMS amplitude solely within the GM muscle (p < 0.01); (4) Conclusions: This study suggests that HJM may increase EMGRMS amplitude in the GM muscle; however, the effects are neither statistically nor clinically significant when compared to the control group for most of the muscles analyzed. Full article
(This article belongs to the Special Issue Physical Rehabilitation for Musculoskeletal Disorders)
Show Figures

Figure 1

29 pages, 695 KB  
Article
On the Calibration of the Kennedy Model
by Dalma Tóth-Lakits and Miklós Arató
Mathematics 2024, 12(19), 3059; https://doi.org/10.3390/math12193059 - 29 Sep 2024
Cited by 1 | Viewed by 1556
Abstract
The Kennedy model offers a robust framework for modeling forward rates, leveraging Gaussian random fields to accommodate emerging phenomena such as negative rates. In our study, we employ maximum likelihood estimations to determine the parameters of the Kennedy field, utilizing Radon–Nikodym derivatives for [...] Read more.
The Kennedy model offers a robust framework for modeling forward rates, leveraging Gaussian random fields to accommodate emerging phenomena such as negative rates. In our study, we employ maximum likelihood estimations to determine the parameters of the Kennedy field, utilizing Radon–Nikodym derivatives for enhanced accuracy. We introduce an efficient simulation method for the Kennedy field and develop a Black–Scholes-like analytical pricing formula for diverse financial assets. Additionally, we present a novel parameter estimation algorithm grounded in numerical extreme value optimization, enabling the recalibration of parameters based on observed financial product prices. To validate the efficacy of our approach, we assess its performance using real-world par swap rates in the latter part of this article. Full article
Show Figures

Figure 1

17 pages, 2056 KB  
Review
Helicase HELQ: Molecular Characters Fit for DSB Repair Function
by Yuqin Zhao, Kaiping Hou, Yu Liu, Yinan Na, Chao Li, Haoyuan Luo and Hailong Wang
Int. J. Mol. Sci. 2024, 25(16), 8634; https://doi.org/10.3390/ijms25168634 - 8 Aug 2024
Viewed by 2233
Abstract
The protein sequence and spatial structure of DNA helicase HELQ are highly conserved, spanning from archaea to humans. Aside from its helicase activity, which is based on DNA binding and translocation, it has also been recently reconfirmed that human HELQ possesses DNA–strand–annealing activity, [...] Read more.
The protein sequence and spatial structure of DNA helicase HELQ are highly conserved, spanning from archaea to humans. Aside from its helicase activity, which is based on DNA binding and translocation, it has also been recently reconfirmed that human HELQ possesses DNA–strand–annealing activity, similar to that of the archaeal HELQ homolog StoHjm. These biochemical functions play an important role in regulating various double–strand break (DSB) repair pathways, as well as multiple steps in different DSB repair processes. HELQ primarily facilitates repair in end–resection–dependent DSB repair pathways, such as homologous recombination (HR), single–strand annealing (SSA), microhomology–mediated end joining (MMEJ), as well as the sub-pathways’ synthesis–dependent strand annealing (SDSA) and break–induced replication (BIR) within HR. The biochemical functions of HELQ are significant in end resection and its downstream pathways, such as strand invasion, DNA synthesis, and gene conversion. Different biochemical activities are required to support DSB repair at various stages. This review focuses on the functional studies of the biochemical roles of HELQ during different stages of diverse DSB repair pathways. Full article
(This article belongs to the Special Issue Editorial Board Members’ Collection Series: Genome Stability)
Show Figures

Figure 1

23 pages, 2734 KB  
Article
Results Obtained from a Pivotal Validation Trial of a Microsatellite Analysis (MSA) Assay for Bladder Cancer Detection through a Statistical Approach Using a Four-Stage Pipeline of Modern Machine Learning Techniques
by Thomas Reynolds, Gregory Riddick, Gregory Meyers, Maxie Gordon, Gabriela Vanessa Flores Monar, David Moon and Chulso Moon
Int. J. Mol. Sci. 2024, 25(1), 472; https://doi.org/10.3390/ijms25010472 - 29 Dec 2023
Cited by 5 | Viewed by 2183
Abstract
Several studies have shown that microsatellite changes can be profiled in urine for the detection of bladder cancer. The use of microsatellite analysis (MSA) for bladder cancer detection requires a comprehensive analysis of as many as 15 to 20 markers, based on the [...] Read more.
Several studies have shown that microsatellite changes can be profiled in urine for the detection of bladder cancer. The use of microsatellite analysis (MSA) for bladder cancer detection requires a comprehensive analysis of as many as 15 to 20 markers, based on the amplification and interpretations of many individual MSA markers, and it can be technically challenging. Here, to develop fast, more efficient, standardized, and less costly MSA for the detection of bladder cancer, we developed three multiplex-polymerase-chain-reaction-(PCR)-based MSA assays, all of which were analyzed via a genetic analyzer. First, we selected 16 MSA markers based on 9 selected publications. Based on samples from Johns Hopkins University (the JHU sample, the first set sample), we developed an MSA based on triplet, three-tube-based multiplex PCR (a Triplet MSA assay). The discovery, validation, and translation of biomarkers for the early detection of cancer are the primary focuses of the Early Detection Research Network (EDRN), an initiative of the National Cancer Institute (NCI). A prospective study sponsored by the EDRN was undertaken to determine the efficacy of a novel set of MSA markers for the early detection of bladder cancer. This work and data analysis were performed through a collaboration between academics and industry partners. In the current study, we undertook a re-analysis of the primary data from the Compass study to enhance the predictive power of the dataset in bladder cancer diagnosis. Using a four-stage pipeline of modern machine learning techniques, including outlier removal with a nonlinear model, correcting for majority/minority class imbalance, feature engineering, and the use of a model-derived variable importance measure to select predictors, we were able to increase the utility of the original dataset to predict the occurrence of bladder cancer. The results of this analysis showed an increase in accuracy (85%), sensitivity (82%), and specificity (83%) compared to the original analysis. The re-analysis of the EDRN study results using machine learning statistical analysis proved to achieve an appropriate level of accuracy, sensitivity, and specificity to support the use of the MSA for bladder cancer detection and monitoring. This assay can be a significant addition to the tools urologists use to both detect primary bladder cancers and monitor recurrent bladder cancer. Full article
(This article belongs to the Special Issue Genetics of Health and Disease)
Show Figures

Figure 1

17 pages, 301 KB  
Article
Qualification of the Microsatellite Instability Analysis (MSA) for Bladder Cancer Detection: The Technical Challenges of Concordance Analysis
by Thomas Reynolds, Katie Bertsche, David Moon and Chulso Moon
Int. J. Mol. Sci. 2024, 25(1), 209; https://doi.org/10.3390/ijms25010209 - 22 Dec 2023
Cited by 2 | Viewed by 1539
Abstract
Bladder cancer (here we refer to transitional carcinoma of bladder) is a major cause of morbidity and mortality in the Western world, and recent understanding of its etiology, the molecular characteristics associated with its progression, renders bladder cancer an ideal candidate for screening. [...] Read more.
Bladder cancer (here we refer to transitional carcinoma of bladder) is a major cause of morbidity and mortality in the Western world, and recent understanding of its etiology, the molecular characteristics associated with its progression, renders bladder cancer an ideal candidate for screening. Cystoscopy is invasive and sometimes carries unwanted complications, but it is the gold standard for the detection of bladder cancer. Urine cytology, while the most commonly used test as an initial screening tool, is of limited value due to its low sensitivity, particularly for low-grade tumors. Several new “molecular assays” for the diagnosis of urothelial cancer have been developed over the last two decades. Here, we have established our new bladder cancer test based on an assay established for the Early Detection Research Network (EDRN) study. As a part of the study, a quality control CLIA/College of American Pathology (CAP) accredited laboratory, (QA Lab), University of Maryland Baltimore Biomarker Reference Laboratory (UMB-BRL), performed quality assurance analysis. Quality assurance measures included a concordance study between the testing laboratory (AIBioTech), also CLIA/CAP accredited, and the QA lab to ensure that the assay was performed and the results were analyzed in a consistent manner. Therefore, following the technical transfer and training of the microsatellite analysis assay to the UMB-BRL and prior to the initiation of analysis of the clinical samples by the testing lab, a series of qualification studies were performed. This report details the steps taken to ensure qualification of the assay and illustrates the technical challenges facing biomarker validation of this kind. Full article
(This article belongs to the Special Issue Genetics of Health and Disease)
24 pages, 407 KB  
Review
Molecular Markers for Bladder Cancer Screening: An Insight into Bladder Cancer and FDA-Approved Biomarkers
by Gabriela Vanessa Flores Monar, Thomas Reynolds, Maxie Gordon, David Moon and Chulso Moon
Int. J. Mol. Sci. 2023, 24(18), 14374; https://doi.org/10.3390/ijms241814374 - 21 Sep 2023
Cited by 32 | Viewed by 6678
Abstract
Bladder cancer is one of the most financially burdensome cancers globally, from its diagnostic to its terminal stages. The impact it imposes on patients and the medical community is substantial, exacerbated by the absence of disease-specific characteristics and limited disease-free spans. Frequent recurrences, [...] Read more.
Bladder cancer is one of the most financially burdensome cancers globally, from its diagnostic to its terminal stages. The impact it imposes on patients and the medical community is substantial, exacerbated by the absence of disease-specific characteristics and limited disease-free spans. Frequent recurrences, impacting nearly half of the diagnosed population, require frequent and invasive monitoring. Given the advancing comprehension of its etiology and attributes, bladder cancer is an appealing candidate for screening strategies. Cystoscopy is the current gold standard for bladder cancer detection, but it is invasive and has the potential for undesired complications and elevated costs. Although urine cytology is a supplementary tool in select instances, its efficacy is limited due to its restricted sensitivity, mainly when targeting low-grade tumors. Although most of these assays exhibit higher sensitivity than urine cytology, clinical guidelines do not currently incorporate them. Consequently, it is necessary to explore novel screening assays to identify distinctive alterations exclusive to bladder cancer. Thus, integrating potential molecular assays requires further investigation through more extensive validation studies. Within this article, we offer a comprehensive overview of the critical features of bladder cancer while conducting a thorough analysis of the FDA-approved assays designed to diagnose and monitor its recurrences. Full article
(This article belongs to the Special Issue The Role of Genes Variation in Cancer and Other Pathologies)
13 pages, 447 KB  
Article
Development of Multiplex Polymerase Chain Reaction (PCR)-Based MSA Assay for Bladder Cancer Detection
by Thomas Reynolds, Maxie Gordon, Gabriela Vanessa Flores Monar, David Moon and Chulso Moon
Int. J. Mol. Sci. 2023, 24(17), 13651; https://doi.org/10.3390/ijms241713651 - 4 Sep 2023
Cited by 3 | Viewed by 2812
Abstract
Several studies have shown that microsatellite changes can be profiled in the urine to detect bladder cancer. Microsatellite analysis (MSA) of bladder cancer detection requires a comprehensive analysis of up to 15–20 markers based on amplifying and interpreting many individual MSA markers, which [...] Read more.
Several studies have shown that microsatellite changes can be profiled in the urine to detect bladder cancer. Microsatellite analysis (MSA) of bladder cancer detection requires a comprehensive analysis of up to 15–20 markers based on amplifying and interpreting many individual MSA markers, which can be technically challenging. To develop fast, efficient, standardized, and less costly MSA to detect bladder cancer, we developed three multiplex polymerase chain reaction (PCR) based MSA assays, all of which were analyzed by a genetic analyzer. First, we selected 16 MSA markers based on nine publications. We developed MSA assays based on triplet or three-tube-based multiplex PCR (Triplet MSA assay) using samples from Johns Hopkins University (JHU Sample, first set of samples). In the second set of samples (samples from six cancer patients and fourteen healthy individuals), our Triplet Assay with 15 MSA markers correctly predicted all 6/6 cancer samples to be cancerous and 14/14 healthy samples to be healthy. Although we could improve our report with more clinical information from patient samples and an increased number of cancer patients, our overall results suggest that our Triplet MSA Assay combined with a genetic analyzer is a potentially time- and cost-effective genetic assay for bladder cancer detection and has potential use as a dependable assay in patient care. Full article
(This article belongs to the Special Issue The Role of Genes Variation in Cancer and Other Pathologies)
Show Figures

Figure 1

13 pages, 1618 KB  
Article
Genetic Study of Four Candidate Holliday Junction Processing Proteins in the Thermophilic Crenarchaeon Sulfolobus acidocaldarius
by Ryo Matsuda, Shoji Suzuki and Norio Kurosawa
Int. J. Mol. Sci. 2022, 23(2), 707; https://doi.org/10.3390/ijms23020707 - 9 Jan 2022
Cited by 2 | Viewed by 2159
Abstract
Homologous recombination (HR) is thought to be important for the repair of stalled replication forks in hyperthermophilic archaea. Previous biochemical studies identified two branch migration helicases (Hjm and PINA) and two Holliday junction (HJ) resolvases (Hjc and Hje) as HJ-processing proteins; however, due [...] Read more.
Homologous recombination (HR) is thought to be important for the repair of stalled replication forks in hyperthermophilic archaea. Previous biochemical studies identified two branch migration helicases (Hjm and PINA) and two Holliday junction (HJ) resolvases (Hjc and Hje) as HJ-processing proteins; however, due to the lack of genetic evidence, it is still unclear whether these proteins are actually involved in HR in vivo and how their functional relation is associated with the process. To address the above questions, we constructed hjc-, hje-, hjm-, and pina single-knockout strains and double-knockout strains of the thermophilic crenarchaeon Sulfolobus acidocaldarius and characterized the mutant phenotypes. Notably, we succeeded in isolating the hjm- and/or pina-deleted strains, suggesting that the functions of Hjm and PINA are not essential for cellular growth in this archaeon, as they were previously thought to be essential. Growth retardation in Δpina was observed at low temperatures (cold sensitivity). When deletion of the HJ resolvase genes was combined, Δpina Δhjc and Δpina Δhje exhibited severe cold sensitivity. Δhjm exhibited severe sensitivity to interstrand crosslinkers, suggesting that Hjm is involved in repairing stalled replication forks, as previously demonstrated in euryarchaea. Our findings suggest that the function of PINA and HJ resolvases is functionally related at lower temperatures to support robust cellular growth, and Hjm is important for the repair of stalled replication forks in vivo. Full article
(This article belongs to the Special Issue Mechanisms of DNA Replication Fork Progression, Stalling, and Rescue)
Show Figures

Figure 1

20 pages, 3118 KB  
Article
Genetic and Biochemical Characterizations of aLhr1 Helicase in the Thermophilic Crenarchaeon Sulfolobus acidocaldarius
by Shoji Suzuki, Norio Kurosawa, Takeshi Yamagami, Shunsuke Matsumoto, Tomoyuki Numata, Sonoko Ishino and Yoshizumi Ishino
Catalysts 2022, 12(1), 34; https://doi.org/10.3390/catal12010034 - 29 Dec 2021
Cited by 1 | Viewed by 2476
Abstract
Homologous recombination (HR) refers to the process of information exchange between homologous DNA duplexes and is composed of four main steps: end resection, strand invasion and formation of a Holliday junction (HJ), branch migration, and resolution of the HJ. Within each step of [...] Read more.
Homologous recombination (HR) refers to the process of information exchange between homologous DNA duplexes and is composed of four main steps: end resection, strand invasion and formation of a Holliday junction (HJ), branch migration, and resolution of the HJ. Within each step of HR in Archaea, the helicase-promoting branch migration is not fully understood. Previous biochemical studies identified three candidates for archaeal helicase promoting branch migration in vitro: Hjm/Hel308, PINA, and archaeal long helicase related (aLhr) 2. However, there is no direct evidence of their involvement in HR in vivo. Here, we identified a novel helicase encoded by Saci_0814, isolated from the thermophilic crenarchaeon Sulfolobus acidocaldarius; the helicase dissociated a synthetic HJ. Notably, HR frequency in the Saci_0814-deleted strain was lower than that of the parent strain (5-fold decrease), indicating that Saci_0814 may be involved in HR in vivo. Saci_0814 is classified as an aLhr1 under superfamily 2 helicases; its homologs are conserved among Archaea. Purified protein produced in Escherichia coli showed branch migration activity in vitro. Based on both genetic and biochemical evidence, we suggest that aLhr1 is involved in HR and may function as a branch migration helicase in S. acidocaldarius. Full article
(This article belongs to the Special Issue Biocatalysis and Biotransformation of Extremozymes)
Show Figures

Graphical abstract

20 pages, 981 KB  
Review
Microsatellite Instability Analysis (MSA) for Bladder Cancer: Past History and Future Directions
by Chulso Moon, Maxie Gordon, David Moon and Thomas Reynolds
Int. J. Mol. Sci. 2021, 22(23), 12864; https://doi.org/10.3390/ijms222312864 - 28 Nov 2021
Cited by 18 | Viewed by 6737
Abstract
Microsatellite instability (MSI), the spontaneous loss or gain of nucleotides from repetitive DNA tracts, is a diagnostic phenotype for gastrointestinal, endometrial, colorectal, and bladder cancers; yet a landscape of instability events across a wider variety of cancer types is beginning to be discovered. [...] Read more.
Microsatellite instability (MSI), the spontaneous loss or gain of nucleotides from repetitive DNA tracts, is a diagnostic phenotype for gastrointestinal, endometrial, colorectal, and bladder cancers; yet a landscape of instability events across a wider variety of cancer types is beginning to be discovered. The epigenetic inactivation of the MLH1 gene is often associated with sporadic MSI cancers. Recent next-generation sequencing (NGS)-based analyses have comprehensively characterized MSI-positive (MSI+) cancers, and several approaches to the detection of the MSI phenotype of tumors using NGS have been developed. Bladder cancer (here we refer to transitional carcinoma of the bladder) is a major cause of morbidity and mortality in the Western world. Cystoscopy, a gold standard for the detection of bladder cancer, is invasive and sometimes carries unwanted complications, while its cost is relatively high. Urine cytology is of limited value due to its low sensitivity, particularly to low-grade tumors. Therefore, over the last two decades, several new “molecular assays” for the diagnosis of urothelial cancer have been developed. Here, we provide an update on the development of a microsatellite instability assay (MSA) and the development of MSA associated with bladder cancers, focusing on findings obtained from urine analysis from bladder cancer patients as compared with individuals without bladder cancer. In our review, based on over 18 publications with approximately 900 sample cohorts, we provide the sensitivity (87% to 90%) and specificity (94% to 98%) of MSA. We also provide a comparative analysis between MSA and other assays, as well as discussing the details of four different FDA-approved assays. We conclude that MSA is a potentially powerful test for bladder cancer detection and may improve the quality of life of bladder cancer patients. Full article
(This article belongs to the Section Molecular Genetics and Genomics)
Show Figures

Figure 1

13 pages, 316 KB  
Article
Associations of Human Colorectal Adenoma with Serum Biomarkers of Body Iron Stores, Inflammation and Antioxidant Protein Thiols
by Ben Schöttker, Xīn Gào, Eugène HJM Jansen and Hermann Brenner
Antioxidants 2021, 10(8), 1195; https://doi.org/10.3390/antiox10081195 - 27 Jul 2021
Cited by 7 | Viewed by 2598
Abstract
Red and processed meat consumption and obesity are established risk factors for colorectal adenoma (CRA). Adverse changes in biomarkers of body iron stores (total serum iron, ferritin, transferrin and transferrin saturation), inflammation (high-sensitivity C-reactive protein [hs-CRP]) and anti-oxidative capacity (total of thiol groups [...] Read more.
Red and processed meat consumption and obesity are established risk factors for colorectal adenoma (CRA). Adverse changes in biomarkers of body iron stores (total serum iron, ferritin, transferrin and transferrin saturation), inflammation (high-sensitivity C-reactive protein [hs-CRP]) and anti-oxidative capacity (total of thiol groups (-S-H) of proteins [SHP]) might reflect underlying mechanisms that could explain the association of red/processed meat consumption and obesity with CRA. Overall, 100 CRA cases (including 71 advanced cases) and 100 CRA-free controls were frequency-matched on age and sex and were selected from a colonoscopy screening cohort. Odds ratios (OR) and 95% confidence intervals (95%CI) for comparisons of top and bottom biomarker tertiles were derived from multivariable logistic regression models. Ferritin levels were significantly positively associated with red/processed meat consumption and hs-CRP levels with obesity. SHP levels were significantly inversely associated with obesity. Transferrin saturation was strongly positively associated with overall and advanced CRA (ORs [95%CIs]: 3.05 [1.30–7.19] and 2.71 [1.03–7.13], respectively). Due to the high correlation with transferrin saturation, results for total serum iron concentration were similar (but not statistically significant). Furthermore, SHP concentration was significantly inversely associated with advanced CRA (OR [95%CI]: 0.29 [0.10–0.84]) but not with overall CRA (OR [95%CI]: 0.65 [0.27–1.56]). Ferritin, transferrin, and hs-CRP levels were not associated with CRA. High transferrin saturation as a sign of iron overload and a low SHP concentration as a sign of redox imbalance in obese patients might reflect underlying mechanisms that could in part explain the associations of iron overload and obesity with CRA. Full article
(This article belongs to the Special Issue Anticancer Antioxidants)
11 pages, 2459 KB  
Article
Subchronic Oral Toxicity Study of Genetically Modified Rice Rich in β-Carotene in Wistar Rats
by Ying Xia, Shanshan Zuo, Yanhua Zheng, Jin Liu, Wenxiang Yang, Xiaoqiao Tang, Xianghong Ke, Qin Zhuo, Xiaoguang Yang, Yang Li and Bolin Fan
Int. J. Environ. Res. Public Health 2021, 18(11), 5526; https://doi.org/10.3390/ijerph18115526 - 21 May 2021
Cited by 2 | Viewed by 3034
Abstract
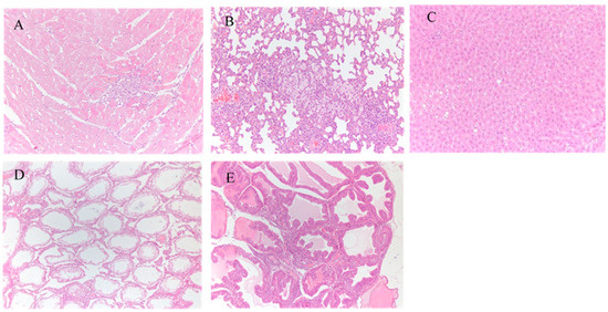
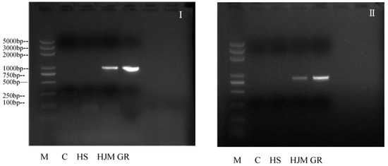
(1) Background: a hybrid black rice rich in β-carotene carrying the psy and crtI genes (HJM) was evaluated in Wistar rats by a 90-day feeding study, aiming to assess its dietary safety. (2) Methods: the HJM rice and its parental line HS were [...] Read more.
(1) Background: a hybrid black rice rich in β-carotene carrying the psy and crtI genes (HJM) was evaluated in Wistar rats by a 90-day feeding study, aiming to assess its dietary safety. (2) Methods: the HJM rice and its parental line HS were included in rats’ diets at levels of 73.5% and 75.5%, respectively. The AIN-93 diet was administered as a nutritional control. No adverse effects on animal behavior or weight gain were observed during the study. Blood samples were collected and analyzed, and standard hematological and biochemical parameters were compared. (3) Results: Some parameters were found to be significantly different, though they remained within the normal range for rats of this breed and age. In addition, upon sacrifice, various organs were weighed, and macroscopic and histopathological examinations were performed, with only minor changes to report. (4) Conclusions: HJM rice exhibited no adverse or toxic effects in Wistar rats in this 90-day study. Full article
(This article belongs to the Section Toxicology and Public Health)
Show Figures

Figure 1

25 pages, 2473 KB  
Article
Applying Heath-Jarrow-Morton Model to Forecasting the US Treasury Daily Yield Curve Rates
by Valerii Maltsev and Michael Pokojovy
Mathematics 2021, 9(2), 114; https://doi.org/10.3390/math9020114 - 6 Jan 2021
Cited by 3 | Viewed by 5905
Abstract
The Heath-Jarrow-Morton (HJM) model is a powerful instrument for describing the stochastic evolution of interest rate curves under no-arbitrage assumption. An important feature of the HJM approach is the fact that the drifts can be expressed as functions of respective volatilities and the [...] Read more.
The Heath-Jarrow-Morton (HJM) model is a powerful instrument for describing the stochastic evolution of interest rate curves under no-arbitrage assumption. An important feature of the HJM approach is the fact that the drifts can be expressed as functions of respective volatilities and the underlying correlation structure. Aimed at researchers and practitioners, the purpose of this article is to present a self-contained, but concise review of the abstract HJM framework founded upon the theory of interest and stochastic partial differential equations in infinite dimensions. To illustrate the predictive power of this theory, we apply it to modeling and forecasting the US Treasury daily yield curve rates. We fit a non-parametric model to real data available from the US Department of the Treasury and illustrate its statistical performance in forecasting future yield curve rates. Full article
Show Figures

Figure 1

Back to TopTop