Subchronic Oral Toxicity Study of Genetically Modified Rice Rich in β-Carotene in Wistar Rats
Abstract
1. Introduction
2. Materials and Methods
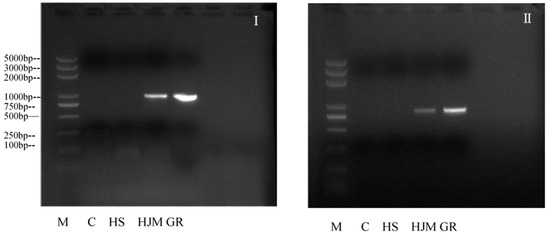
2.1. Test Materials
2.2. Diet Formulation and Feeding
2.3. Animals and Housing
2.4. Study Method
2.5. Statistical Analysis
3. Results
3.1. Diet Nutritional Composition
3.2. Clinical Observations, Body Weight, and Food Consumption
3.3. Hematology
3.4. Serum Biochemistry
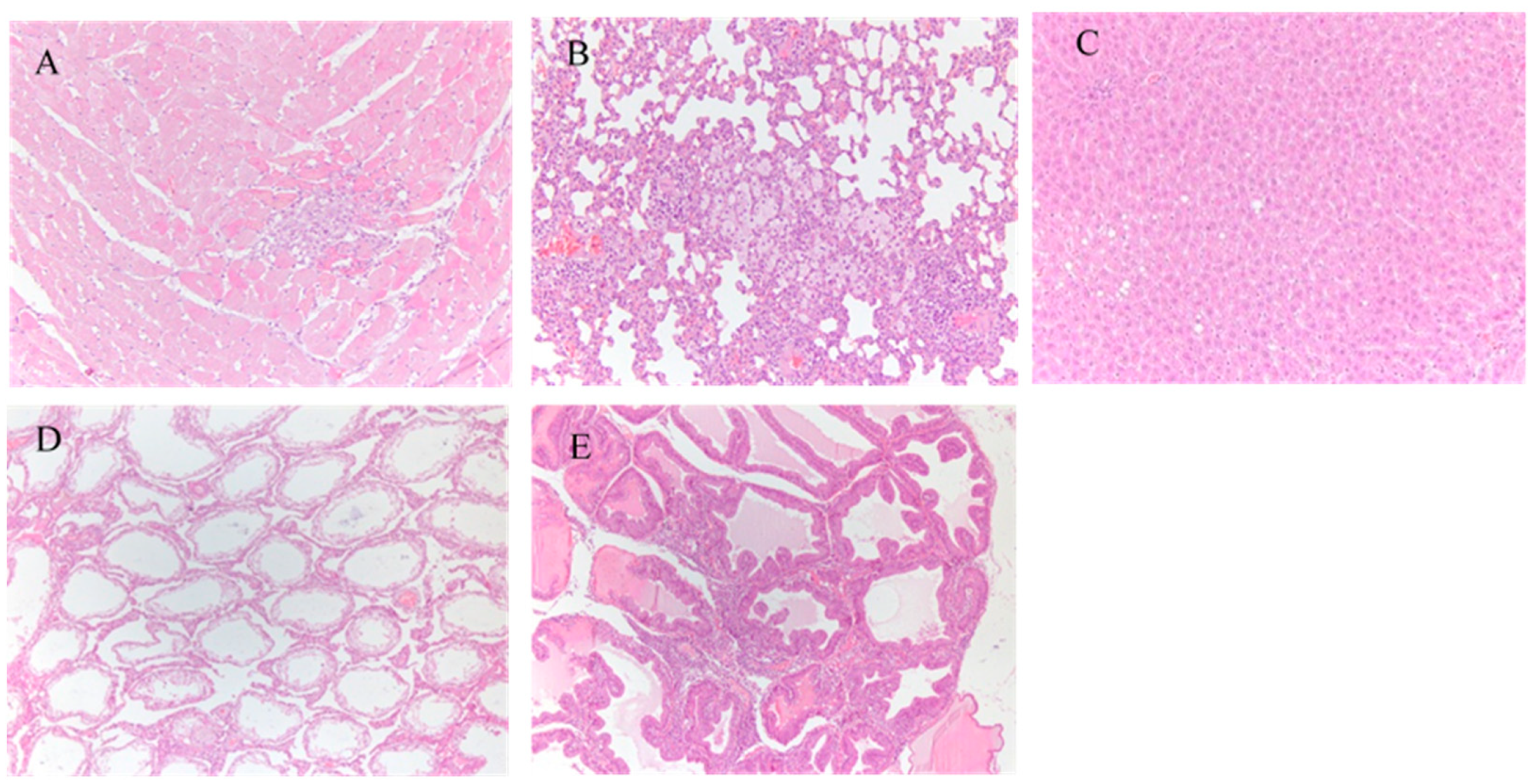
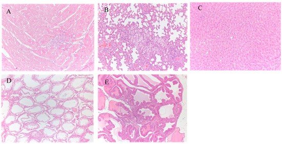
3.5. Organ/Brain Weight Ratios and Histopathology
4. Discussion
5. Conclusions
Author Contributions
Funding
Institutional Review Board Statement
Data Availability Statement
Acknowledgments
Conflicts of Interest
References
- Wing, R.A.; Purugganan, M.D.; Zhang, Q. The rice genome revolution: From an ancient grain to Green Super Rice. Nat. Rev. Genet. 2018, 19, 505–517. [Google Scholar] [CrossRef] [PubMed]
- OECD. Consensus Document on Compositional Considerations for New Varieties of Rice (Oryza sativa): Key Food anhe d Feed Nutrients and Antinutrients. Organisation for Economic Cooperation and Development(OECD); Organisation for Economic Co-operation and Development: Paris, France, 2004. [Google Scholar]
- Ye, X.; Al-Babili, S.; Klöti, A.; Zhang, J.; Lucca, P.; Beyer, P.; Potrykus, I. Engineering the provitamin A (beta-carotene) biosynthetic pathway into (carotenoid-free) rice endosperm. Science 2000, 287, 303–305. [Google Scholar] [CrossRef] [PubMed]
- Mayne, S.T. Beta-carotene, carotenoids, and disease prevention in humans. FASEB J. 1996, 10, 690–701. [Google Scholar] [CrossRef] [PubMed]
- West, K.P., Jr. Extent of Vitamin A Deficiency among Preschool Children and Women of Reproductive Age. J. Nutr. 2002, 132, 2857S–2866S. [Google Scholar] [CrossRef]
- Al-Babili, S.; Hoa, T.T.C.; Schaub, P. Exploring the potential of the bacterial carotene desaturase CrtI to increase the beta-carotene content in Golden Rice. J. Exp. Bot. 2006, 57, 1007–1014. [Google Scholar] [CrossRef][Green Version]
- Du, L. Cultivation of Transgenic Rice with Enhanced Beta-Carotene and Alpha-Tocopherol Content; Huazhong agricultural university: Wuhan, China, 2013. [Google Scholar]
- Zhou, Y. Whole Genome Wide Association Study of Tocopherol and Genetic Analysis of an-Thocyanin Biosynthesis Pathway in Rice; Huazhong agricultural university: Wuhan, China, 2014. [Google Scholar]
- OECD. Safety Evaluation of Foods Derived by Modern Biotechnology, Concepts and Principles, Organisation for Economic Cooperation and Development; Organisation for Economic Co-operation and Development: Paris, France, 1993. [Google Scholar]
- EFSA. Safety and nutritional assessment of GM plants and derived food and feed: The role of animal feeding trials. Food Chem. Toxicol. 2008, 46, S2–S70.
- Cao, S.; Xu, W.; Luo, Y.; He, X.; Yuan, Y.; Ran, W.; Liang, L.; Huang, K. Metabonomics study of transgenic Bacillus thuringiensis rice (T2A-1) meal in a 90-day dietary toxicity study in rats. Mol. BioSyst. 2011, 7, 2304–2310. [Google Scholar] [CrossRef]
- Schrøder, M.; Poulsen, M.; Wilcks, A.; Kroghsbo, S.; Miller, A.; Frenzel, T.; Danier, J.; Rychlik, M.; Emami, K.; Gatehouse, A.; et al. A 90-day safety study of genetically modified rice expressing Cry1Ab protein (Bacillus thuringiensis toxin) in Wistar rats. Food Chem. Toxicol. 2007, 45, 339–349. [Google Scholar] [CrossRef] [PubMed]
- Wang, E.H.; Yu, Z.; Hu, J.; Bin Xu, H. Effects of 90-day feeding of transgenic Bt rice TT51 on the reproductive system in male rats. Food Chem. Toxicol. 2013, 62, 390–396. [Google Scholar] [CrossRef]
- Tang, X.; Wang, Y.; Pei, L.; Yang, W.; Fan, J.; Zhuo, Q.; Yang, X.; Yu, Z.; Jia, X.; Liu, J.; et al. Chronic toxicity study in Sprague-Dawley rats on transgenic rice T1c-19 with cry1C* gene. Food Chem. Toxicol. 2020, 140, 111324. [Google Scholar] [CrossRef] [PubMed]
- He, X.Y.; Tang, M.Z.; Luo, Y.B.; Li, X.; Cao, S.S.; Yu, J.J.; Delaney, B.; Huang, K.L. A 90-day toxicology study of transgenic lysine-rich maize grain (Y642) in Sprague–Dawley rats. Food Chem. Toxicol. 2009, 47, 425–432. [Google Scholar] [CrossRef] [PubMed]
- MacKenzie, S.A.; Lamb, I.; Schmidt, J.; Deege, L.; Morrisey, M.J.; Harper, M.; Delaney, B. Thirteen week feeding study with transgenic maize grain containing event DAS-Ø15Ø7-1 in Sprague-Dawley rats. Food Chem. Toxicol. 2007, 45, 551–562. [Google Scholar] [CrossRef] [PubMed]
- Appenzeller, L.M.; Munley, S.M.; Hoban, D.; Sykes, G.P.; Malley, L.A.; Delaney, B. Subchronic feeding study of herbicide-tolerant soybean DP-356Ø43-5 in Sprague-Dawley rats. Food Chem. Toxicol. 2008, 46, 2201–2213. [Google Scholar] [CrossRef] [PubMed]
- Delaney, B.; Appenzeller, L.M.; Munley, S.M.; Hoban, D.; Sykes, G.P.; Malley, L.A.; Sanders, C. Subchronic feeding study of high oleic acid soybeans (Event DP-3Ø5423-1) in Sprague–Dawley rats. Food Chem. Toxicol. 2008, 46, 3808–3817. [Google Scholar] [CrossRef] [PubMed]
- Poulsen, M.; Kroghsbo, S.; Schrøder, M.; Wilcks, A.; Jacobsen, H.; Miller, A.; Frenzel, T.; Danier, J.; Rychlik, M.; Shu, Q.; et al. A 90-day safety study in Wistar rats fed genetically modified rice expressing snowdrop lectin Galanthus nivalis (GNA). Food Chem. Toxicol. 2007, 45, 350–363. [Google Scholar] [CrossRef]
- Junhua, H.; Yuexin, Y.; Shurong, C.; Zhu, W.; Xiaoli, Y.; Guodong, W.; Jianhua, M. Comparison of nutrient composition of parental rice and rice genetically modified with cowpea trypsin inhibitor in China. J. Food Compos. Anal. 2005, 18, 297–302. [Google Scholar] [CrossRef]
- Ahmad, P.; Ashraf, M.; Younis, M.; Hu, X.; Kumar, A.; Akram, N.A.; Al-Qurainy, F. Role of transgenic plants in agriculture and biopharming. Biotechnol. Adv. 2012, 30, 524–540. [Google Scholar] [CrossRef]
- Zhou, X.H.; Dong, Y.; Wang, Y.; Xiao, X.; Xu, Y.; Xu, B.; Li, X.; Wei, X.S.; Liu, Q.Q. A three generation study with high-lysine transgenic rice in Sprague–Dawley rats. Food Chem. Toxicol. 2012, 50, 1902–1910. [Google Scholar] [CrossRef]
- Zhou, X.H.; Dong, Y.; Xiao, X.; Wang, Y.; Xu, Y.; Xu, B.; Shi, W.D.; Zhang, Y.; Zhu, L.J.; Liu, Q.Q. A 90-day toxicology study of high-amylose transgenic rice grain in Sprague–Dawley rats. Food Chem. Toxicol. 2011, 49, 3112–3118. [Google Scholar] [CrossRef] [PubMed]
- Conner, A.J.; Glare, T.R.; Nap, J.-P. The release of genetically modified crops into the environment. Part II. Overview of ecological risk assessment. Plant J. 2003, 33, 19–46. [Google Scholar] [CrossRef] [PubMed]
- Park, S.-Y.; Lee, S.M.; Lee, J.-H.; Ko, H.-S.; Kweon, S.J.; Suh, S.-C.; Shin, K.-S.; Kim, J.K. Compositional comparative analysis between insect-resistant rice (Oryza sativa L.) with a synthetic cry1Ac gene and its non-transgenic counterpart. Plant Biotechnol. Rep. 2012, 6, 29–37. [Google Scholar] [CrossRef]
- Wu, Y.; Xu, Y.; Du, Y.; Zhao, X.; Hu, R.; Fan, X.; Ren, F.; Yao, Q.; Peng, R.; Tang, X.; et al. Dietary safety assessment of genetically modified rice EH rich in β-carotene. Regul. Toxicol. Pharmacol. 2017, 88, 66–71. [Google Scholar] [CrossRef] [PubMed]
- Song, H.; He, X.; Zou, S.; Zhang, T.; Luo, Y.; Huang, K.; Zhu, Z.; Xu, W. A 90-day subchronic feeding study of genetically modified rice expressing Cry1Ab protein in Sprague–Dawley rats. Transgenic Res. 2014, 24, 295–308. [Google Scholar] [CrossRef] [PubMed]





| Nutrients | HJM | HS | Literature Range a |
|---|---|---|---|
| Protein (g/100 g) | 9.8 | 11.7 | 6.1–9.5 |
| Fat (g/100 g) | 2.8 | 3.1 | 1.4–5.3 |
| Carbohydrate (g/100 g) | 71.9 | 69.5 | 57–77 |
| Fiber (%) | 0.5 | 0.5 | 0.5–6.8 |
| Ash (%) | 1.2 | 1.2 | 0.9–1.5 |
| Moisture (%) | 14.2 | 14.5 | 9.1–14.1 |
| Energy (kJ/100 g) | 1494 | 1495 | - |
| Phosphorus (mg/100 g) | 289 | 285 | - |
| Potassium (mg/100 g) | 275 | 272 | - |
| Magnesium (mg/100 g) | 97.3 | 108 | - |
| Calcium (mg/100 g) | 12.1 | 11.1 | - |
| β-carotene (mg/kg) | 11.5 | 0.31 | - |
| Procyanidins (mg/kg) | 1396.9 | 1187.9 | - |
| Lutein (mg/kg) | 34.95 | 22.45 | - |
| Components (%) | Control Group | HS Group | HJM Group |
|---|---|---|---|
| Crude Protein | 17.86 | 18.01 | 18.79 |
| Crude Fat | 7.0 | 6.5 | 6.1 |
| Carbohydrate | 64.3 | 59.2 | 60.7 |
| Energy, kcal/g | 3.77 | 3.73 | 3.74 |
| WBC (109/μL) | RBC (1012/μL) | HGB (g/L) | HCT (%) | PLT (109/μL) | NEUT % | LYMPH % | MONO % | EO % | BASO % | APTT (s) | PT (s) | |
|---|---|---|---|---|---|---|---|---|---|---|---|---|
| Female | ||||||||||||
| Control group | 5.3 ± 1.9 | 7.59 ± 0.36 | 149 ± 7 | 43.8 ± 2.7 | 787 ± 105 | 26.7 ± 7.1 | 70.3 ± 7.2 | 1.2 ± 0.6 | 1.8 ± 0.8 | 0.0 ± 0.0 | 9.9 ± 1.6 | 13.5 ± 0.5 |
| HS group | 4.6 ± 1.3 | 7.65 ± 0.44 | 150 ± 9 | 44.2 ± 2.6 | 737 ± 95 | 24.7 ± 5.3 | 72.6 ± 5.5 | 1.0 ± 0.4 | 1.7 ± 0.6 | 0.0 ± 0.0 | 10.1 ± 2.2 | 13.1 ± 0.6 |
| HJM group | 5.2 ± 1.6 | 7.54 ± 0.42 | 149 ± 9 | 43.4 ± 2.2 | 745 ± 107 | 25.3 ± 4.6 | 71.6 ± 5.2 | 1.3 ± 0.5 ## | 1.8 ± 0.8 | 0.0 ± 0.0 | 10.2 ± 1.9 | 13.1 ± 0.5 * |
| Male | ||||||||||||
| Control group | 6.9 ± 1.8 | 8.20 ± 0.47 | 148 ± 8 | 43.1 ± 1.9 | 875 ± 147 | 28.4 ± 6.6 | 69.0 ± 6.9 | 1.3 ± 0.4 | 1.3 ± 0.5 | 0.0 ± 0.0 | 21.9 ± 7.3 | 12.8 ± 0.7 |
| HS group | 6.0 ± 2.0 | 8.14 ± 0.55 | 147 ± 9 | 43.1 ± 3.0 | 825 ± 193 | 29.5 ± 5.0 | 67.0 ± 5.5 | 1.3 ± 0.5 | 2.1 ± 1.2 | 0.0 ± 0.0 | 21.4 ± 7.2 | 12.6 ± 0.8 |
| HJM group | 6.5 ± 3.0 | 8.14 ± 0.46 | 146 ± 7 | 42.5 ± 1.9 | 845 ± 245 | 30.7 ± 8.8 | 66.3 ± 8.9 | 1.2 ± 0.6 | 1.8 ± 0.7 * | 0.0 ± 0.0 | 21.3 ± 6.5 | 12.7 ± 0.8 |
| ALT (U/L) | AST (U/L) | TP (g/L) | ALB (g/L) | ALP (IU/L) | GLU (mmol/L) | BUN (mmol/L) | |
|---|---|---|---|---|---|---|---|
| Female | |||||||
| Control group | 35 ± 10 | 116 ± 28 | 59.5 ± 3.7 | 30.8 ± 2.1 | 61 ± 26 | 5.87 ± 1.04 | 3.86 ± 0.65 |
| HS group | 28 ± 6 | 102 ± 24 | 62.6 ± 4.1 | 33.0 ± 2.5 | 60 ± 18 | 6.33 ± 1.28 | 3.19 ± 1.18 |
| HJM group | 27 ± 4 ** | 96 ± 22 ** | 63.6 ± 3.5 ** | 33.5 ± 2.1** | 60 ± 23 | 7.27 ± 1.60 **# | 2.96 ± 0.69 ** |
| Male | |||||||
| Control group | 43 ± 7 | 141 ± 27 | 56.6 ± 2.9 | 28.4 ± 1.3 | 103 ± 25 | 6.27 ± 0.78 | 3.63±0.65 |
| HS group | 35 ± 8 | 132 ± 26 | 59.4 ± 4.8 | 29.5 ± 1.9 | 101 ± 22 | 6.56 ± 1.60 | 3.23 ± 0.60 |
| HJM group | 37 ± 6 ** | 132 ± 26 | 55.8 ± 3.0 ## | 28.1 ± 1.2 ## | 94 ± 30 | 6.81 ± 1.90 | 3.40 ± 0.40 |
| CREA (mmol) | CHOL (mmol/L) | TG (mmol/L) | K+ (mmol/L) | Na+ (mmol/L) | Cl− (mmol/L) | Ca2+ (mmol/L) | |
| Female | |||||||
| Control group | 78.7 ± 15.4 | 1.76 ± 0.29 | 0.71 ± 0.20 | 4.17 ± 0.22 | 139.9 ± 1.9 | 104.7 ± 2.2 | 2.64 ± 0.08 |
| HS group | 61.8 ± 15.9 | 1.97 ± 0.16 | 0.88 ± 0.28 | 4.17 ± 0.25 | 140.7 ± 2.0 | 105.1 ± 1.5 | 2.75 ± 0.10 |
| HJM group | 58.3 ± 16.2 ** | 2.07 ± 0.42 ** | 0.96 ± 0.52 * | 4.08 ± 0.30 | 139.7 ± 2.0 | 104.6 ± 1.6 | 2.74 ± 0.10 ** |
| Male | |||||||
| Control group | 59.5 ± 12.5 | 1.49 ± 0.38 | 0.59 ± 0.20 | 4.60 ± 0.64 | 140.8 ± 4.2 | 103.7 ± 2.7 | 2.39 ± 0.18 |
| HS group | 55.5 ± 10.5 | 1.77 ± 0.40 | 0.81 ± 0.32 | 5.08 ± 1.23 | 142.1 ± 4.3 | 102.9 ± 3.3 | 2.52 ± 0.30 |
| HJM group | 56.7 ± 7.4 | 1.56 ± 0.35 | 0.82 ± 0.53 | 4.64 ± 0.48 | 141.4 ± 4.1 | 103.8 ± 2.3 | 2.42 ± 0.20 |
| Heading | Heart | Liver | Spleen | Kidney | Adrenal Gland | Thymus | Uterus/Testis | Ovary/Epididymis |
|---|---|---|---|---|---|---|---|---|
| Female | ||||||||
| Control group | 0.66 ± 0.06 | 5.17 ± 0.56 | 0.35 ± 0.05 | 1.17 ± 0.14 | 0.039 ± 0.005 | 0.164 ± 0.033 | 0.36 ± 0.12 | 0.091 ± 0.019 |
| HS group | 0.66 ± 0.08 | 5.08 ± 0.89 | 0.35 ± 0.06 | 1.13 ± 0.15 | 0.038 ± 0.007 | 0.208 ± 0.073 | 0.33 ± 0.10 | 0.107 ± 0.081 |
| HJM group | 0.69 ± 0.10 | 5.47 ± 0.81 | 0.35 ± 0.06 | 1.13 ± 0.14 | 0.038 ± 0.013 | 0.218 ± 0.047 ** | 0.33 ± 0.07 | 0.091 ± 0.017 |
| Male | ||||||||
| Control group | 0.92 ± 0.20 | 7.29 ± 1.69 | 0.41 ± 0.11 | 1.70 ± 0.35 | 0.031 ± 0.009 | 0.201 ± 0.103 | 1.72 ± 0.44 | 0.35 ± 0.08 |
| HS group | 0.92 ± 0.12 | 7.12 ± 0.91 | 0.42 ± 0.09 | 1.69 ± 0.22 | 0.029 ± 0.007 | 0.289 ± 0.078 | 1.78 ± 0.21 | 0.38 ± 0.05 |
| HJM group | 0.98 ± 0.08 | 7.87 ± 0.97 | 0.44 ± 0.11 | 1.77 ± 0.16 | 0.027 ± 0.007 | 0.276 ± 0.081 | 1.80 ± 0.27 | 0.39 ± 0.04 |
Publisher’s Note: MDPI stays neutral with regard to jurisdictional claims in published maps and institutional affiliations. |
© 2021 by the authors. Licensee MDPI, Basel, Switzerland. This article is an open access article distributed under the terms and conditions of the Creative Commons Attribution (CC BY) license (https://creativecommons.org/licenses/by/4.0/).
Share and Cite
Xia, Y.; Zuo, S.; Zheng, Y.; Liu, J.; Yang, W.; Tang, X.; Ke, X.; Zhuo, Q.; Yang, X.; Li, Y.; et al. Subchronic Oral Toxicity Study of Genetically Modified Rice Rich in β-Carotene in Wistar Rats. Int. J. Environ. Res. Public Health 2021, 18, 5526. https://doi.org/10.3390/ijerph18115526
Xia Y, Zuo S, Zheng Y, Liu J, Yang W, Tang X, Ke X, Zhuo Q, Yang X, Li Y, et al. Subchronic Oral Toxicity Study of Genetically Modified Rice Rich in β-Carotene in Wistar Rats. International Journal of Environmental Research and Public Health. 2021; 18(11):5526. https://doi.org/10.3390/ijerph18115526
Chicago/Turabian StyleXia, Ying, Shanshan Zuo, Yanhua Zheng, Jin Liu, Wenxiang Yang, Xiaoqiao Tang, Xianghong Ke, Qin Zhuo, Xiaoguang Yang, Yang Li, and et al. 2021. "Subchronic Oral Toxicity Study of Genetically Modified Rice Rich in β-Carotene in Wistar Rats" International Journal of Environmental Research and Public Health 18, no. 11: 5526. https://doi.org/10.3390/ijerph18115526
APA StyleXia, Y., Zuo, S., Zheng, Y., Liu, J., Yang, W., Tang, X., Ke, X., Zhuo, Q., Yang, X., Li, Y., & Fan, B. (2021). Subchronic Oral Toxicity Study of Genetically Modified Rice Rich in β-Carotene in Wistar Rats. International Journal of Environmental Research and Public Health, 18(11), 5526. https://doi.org/10.3390/ijerph18115526

