Sign in to use this feature.

Years

Between: -

Subjects

remove_circle_outline
remove_circle_outline
remove_circle_outline
remove_circle_outline
remove_circle_outline
remove_circle_outline
remove_circle_outline
remove_circle_outline

Journals

Article Types

Countries / Regions

Search Results (140)

Search Parameters:
Keywords = FabG1

Order results
Result details
Results per page
Select all
Export citation of selected articles as:
13 pages, 17540 KB  
Article
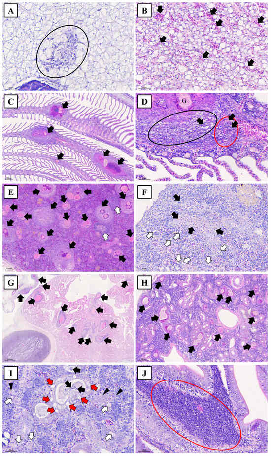
First Report of Elizabethkingia miricola Isolated from Low-Salinity-Cultured River Puffer (Takifugu obscurus) in South Korea
by Ki-Taek Cho, Dong-Hoon Lee, Beom-Hee Lee and Bo-Seong Kim
Fishes 2026, 11(4), 214; https://doi.org/10.3390/fishes11040214 - 2 Apr 2026
Viewed by 233
Abstract
This study reports the first isolation of Elizabethkingia miricola from cultured river puffer (Takifugu obscurus) in South Korea under low-salinity aquaculture conditions. A total of 5000 juvenile T. obscurus were reared for 20 months in a recirculating aquaculture system with salinity [...] Read more.
This study reports the first isolation of Elizabethkingia miricola from cultured river puffer (Takifugu obscurus) in South Korea under low-salinity aquaculture conditions. A total of 5000 juvenile T. obscurus were reared for 20 months in a recirculating aquaculture system with salinity maintained at 3–5 ppt. During the rearing period, fish exhibited a cumulative mortality rate of 58.17%, presenting clinical signs such as lethargy, fin rot, hepatic hemorrhage, and white nodules in the spleen and kidney. Biochemical and molecular analyses identified E. miricola in the internal organs of diseased fish. All isolates exhibited multidrug resistance and showed 98.8–99.8% 16S rRNA gene sequence similarity to E. miricola, forming a distinct phylogenetic cluster. Additionally, several virulence-associated genes (fabG, fabV, wecB, ureB, aceA, acyl) were detected in the isolates. Histopathological examination revealed granulomatous lesions in multiple organs, including the gill, heart, kidney, and spleen. This study represents the first report of E. miricola isolated from cultured river puffer in South Korea and suggests its potential association with disease in this species, as well as its possible zoonotic relevance. These findings highlight the importance of disease monitoring and pathogen surveillance in low-salinity aquaculture systems. Full article
Show Figures

Figure 1

17 pages, 6338 KB  
Article
Microwave-Assisted Composite Alkali Activation of Low-Calcium Fly Ash: Preparation and Analysis
by Zeyu Tang, Hongyue Yin, Xin Lv, Jingjie Jiang, Yu Gao, Yue Gao, Minmin Liu, Jianying Deng and Chul B. Park
Minerals 2026, 16(3), 322; https://doi.org/10.3390/min16030322 - 19 Mar 2026
Viewed by 269
Abstract
To promote the high-value utilization of fly ash (FA) and address the prolonged setting time and limited strength associated with conventional single-alkali activation, this study proposes a synergistic dual-alkali activation strategy using Ca(OH)2 and Na2SiO3 in combination with microwave-assisted [...] Read more.
To promote the high-value utilization of fly ash (FA) and address the prolonged setting time and limited strength associated with conventional single-alkali activation, this study proposes a synergistic dual-alkali activation strategy using Ca(OH)2 and Na2SiO3 in combination with microwave-assisted curing for low-calcium fly ash. Samples containing varying amounts of Ca(OH)2 were systematically characterized by X-ray diffraction (XRD), Fourier transform infrared spectroscopy (FTIR), scanning electron microscopy (SEM), compressive strength testing, and pore structure analysis. The results show that Ca(OH)2 facilitates the formation of calcium aluminosilicate hydrate (C-A-S-H) gel, while Na2SiO3 sustains the alkaline environment and enhances the dissolution of SiO2 and Al2O3 from FA. The dual-alkali synergistic system, when coupled with microwave treatment, markedly refines the pore structure, increases the degree of polymerization, and improves compressive strength from 0.5 MPa to 1.7 MPa with increasing Ca(OH)2 content. In addition, the prepared fly ash-based geopolymer (FABG) demonstrates pronounced pH-buffering capacity in acidic environments and exhibits antibacterial activity, primarily attributable to its sustained release of alkalinity. This work highlights that integrating dual-alkali activation with microwave curing can simultaneously enhance microstructural development, chemical stability, and functional performance in low-calcium FA systems, thereby offering a viable route for the development of sustainable and multifunctional green building materials derived from industrial solid waste. Full article
Show Figures

Figure 1

29 pages, 13700 KB  
Article
CSL305: A Dual Functional Therapeutic Antibody Targeting Complement C2 and FcRn
by Sandra Wymann, Rodrigo A. V. Morales, Wei Hong Toh, Jana Remlinger, Kirsten Guse, Rajesh Ghai, Sabine Pestel, Georgina Sansome, Chao-Guang Chen, Veronika Rayzman, Jenny Chia, Adam J. Quek, Michael A. Gorman, Partho Halder, Glenn Powers, Tanja Ruthsatz, Michael W. Parker, Tony Rowe, Sharon Vyas, Anne M. Verhagen and Matthew P. Hardyadd Show full author list remove Hide full author list
Int. J. Mol. Sci. 2026, 27(5), 2383; https://doi.org/10.3390/ijms27052383 - 4 Mar 2026
Viewed by 892
Abstract
Complement and pathogenic antibodies act independently and together to mediate the pathology of many autoimmune diseases. To address these drivers of disease, we generated a monoclonal antibody (mAb), CSL305, that binds and inhibits both complement and the neonatal Fc (fragment crystallizable) receptor FcRn. [...] Read more.
Complement and pathogenic antibodies act independently and together to mediate the pathology of many autoimmune diseases. To address these drivers of disease, we generated a monoclonal antibody (mAb), CSL305, that binds and inhibits both complement and the neonatal Fc (fragment crystallizable) receptor FcRn. The fragment antigen binding (Fab) portion of CSL305 was engineered to bind both human C2 (huC2) zymogen and the active fragment huC2b to inhibit the classical and lectin complement pathways in vitro, and C3b deposition on primary lung endothelial cells using a 3-dimensional microvascular model system. Engineering of a triple amino acid mutation (“YPY” motif) into the Fc region of CSL305 increased its affinity to FcRn at both acidic and neutral pH, allowing it to also act as a potent FcRn antagonist. Intracellular trafficking experiments demonstrated that CSL305, but not the wild-type (WT) mAb lacking the YPY motif, was able to block immunoglobulin G (IgG) recycling in vitro. The generation of a high resolution 2.6Å crystal structure of CSL305 Fab region bound to huC2b showed that the epitope lies directly over the huC2b catalytic triad, providing evidence of its complement mechanism of action as a neutralising mAb. Early pharmacokinetic (PK)/pharmacodynamic (PD) studies using CSL305 in cynomolgus monkeys demonstrated both complement inhibition and FcRn antagonism in vivo, with reductions in complement classical pathway activity and endogenous IgG observed following single intravenous (IV) administration. CSL305 thus represents a dual-functional mAb as a potential therapeutic candidate. Full article
(This article belongs to the Section Molecular Immunology)
Show Figures

Figure 1

25 pages, 5962 KB  
Article
Glycomic Profiles of IgG, C3 and Alpha-1-Acid Glycoprotein (AGP) Before and One Year After Treatment for Active Lupus Nephritis
by Dionysis Nikolopoulos, Ana Cindrić, Konstantinos Charitidis, Natalia Sherina, Barbara Radovani Trbojević, Maja Pučić-Baković, Jelena Šimunović, Anne-Marie Patenaude, Tea Pribić, Farah Tamirou, Gordan Lauc, Frédéric A. Houssiau and Ioannis Parodis
Cells 2026, 15(5), 433; https://doi.org/10.3390/cells15050433 - 28 Feb 2026
Viewed by 457
Abstract
Background: Lupus nephritis (LN) is a severe manifestation of systemic lupus erythematosus (SLE), characterised by unpredictable outcomes due to the absence of reliable biomarkers. This hypothesis-generating study aimed to evaluate whether changes in the N-glycosylation of IgG, C3, AGP, and the serum proteins [...] Read more.
Background: Lupus nephritis (LN) is a severe manifestation of systemic lupus erythematosus (SLE), characterised by unpredictable outcomes due to the absence of reliable biomarkers. This hypothesis-generating study aimed to evaluate whether changes in the N-glycosylation of IgG, C3, AGP, and the serum proteins over one year of treatment correlate with clinical and histological features of LN and predict renal outcomes. Methods: Serum samples from 19 treatment-naïve patients with LN were collected at baseline and 12 months post-treatment, in conjunction with per-protocol repeat kidney biopsy. IgG (Fc, Fab, and total), C3, AGP, and total serum glycoproteins were isolated and analysed as either released N-glycans or N-glycopeptides using high-throughput glycomic approaches. Clinical and histological data were obtained at both time points, along with assessments of clinical and histological response at 12 months and long-term renal function. Results: In total, we identified 24/243 increased N-glycosylation traits (2 total IgG, 5 IgG Fc, 7 IgG Fab, 5 serum glycoproteins, 4 AGP, and 1 C3) and 10/243 decreased N-glycosylation traits (7 total IgG, 2 IgG Fc, 1 IgG Fab) following treatment. Baseline AGP IORMIF1N5H6S2F1 showed a positive correlation with eGFR both at baseline (r = 0.64, p = 0.005) and at 12 months (r = 0.51, p = 0.032). Among AGP N-glycosylation traits, IVORMI1N7H8S3 (r = 0.66, p = 0.002; r = 0.48, p = 0.041, respectively), VORMI1N8H9S4 (r = 0.51, p = 0.029; r = 0.49, p = 0.038, respectively), and VORMI1N8H9S4F1 (r = 0.48, p = 0.039; r = 0.49, p = 0.034, respectively) significantly correlated with activity index (AI) at baseline and at 12 months. Presence of cellular crescents at baseline positively correlated with three AGP N-glycosylation traits: IORMISORMIIA1N4H5S2 (r = 0.49, p = 0.036), VORMII1N5H6S3F1 (r = 0.63, p = 0.006), and VORMII1N4H5S2 (r = 0.48, p = 0.046). Total serum N-glycan (structure) N5H4F1 at 12 months was associated with both clinical and histological response to treatment. Delta of total serum N-glycan structure N5H5S1 was independently associated with poor long-term outcome. Conclusions: This study suggests that glycosylation changes over one year of treatment are associated with specific clinical and histological features and both short- and long-term renal outcomes in LN. Given the small cohort size, results should be considered hypothesis-generating warranting further investigation in independent cohorts. Full article
Show Figures

Figure 1

21 pages, 2320 KB  
Article
In Vitro Evaluation of Poly(D,L-lactide-co-glycolide) In Situ Gels and Pharmacokinetics Following Subcutaneous Injection in Rats for Model Drugs
by Sandy Van Hemelryck, Charlotte Vercammen, Eline Seldeslachts, Koen Wuyts, Ils Pijpers, René Holm, Erik Mannaert and Peter Langguth
Pharmaceutics 2026, 18(2), 219; https://doi.org/10.3390/pharmaceutics18020219 - 9 Feb 2026
Viewed by 537
Abstract
Background/Objectives. This research supports the development of long-acting injectables (LAIs) via in situ gel (ISG) technology by illustrating the influence of drug properties and formulation variables on in vitro drug release (Part 1), and providing an example of a point-to-point in vitro–in vivo [...] Read more.
Background/Objectives. This research supports the development of long-acting injectables (LAIs) via in situ gel (ISG) technology by illustrating the influence of drug properties and formulation variables on in vitro drug release (Part 1), and providing an example of a point-to-point in vitro–in vivo correlation (IVIVC) for celecoxib ISGs (Part 2). Methods/Results. Part 1 evaluated the in vitro release (IVR) for ISGs containing 10 mg/g of five model drugs—paracetamol, theophylline, felbinac, indomethacin, and celecoxib—using two different poly(D,L-lactide-co-glycolide) (PLGA) grades with lactide/glycolide ratios (L/G) of 50:50 or 85:15 in N-methyl-2-pyrrolidone (NMP) at polymer/solvent ratios of 30/70% or 40/60% (w/w). The results demonstrated sustained IVR, with approximately 80% of the drug released within 1 to 5 days for the sparingly soluble compounds paracetamol and theophylline ISGs, and within 1.5 to 11 days, 3 to over 20 days, and 19 to 74 days for the slightly soluble compounds felbinac, indomethacin, and celecoxib, respectively. The IVR rate increased with decreasing polymer lipophilicity and concentration and with increasing drug solubility in the IVR medium. In Part 2, the pharmacokinetics of celecoxib ISGs were assessed following subcutaneous (SC) injection in rats. A point-to-point IVIVC was established between the fraction of drug absorbed derived via deconvolution (deconvoluted Fabs) and the fraction dissolved (observed Fdiss) obtained in Part 1, based on Korsmeyer–Peppas fitting and release phase-specific scaling. Conclusions. In summary, this research highlights the significant impact of drug solubility, polymer grade, and concentration on the IVR rates of ISGs and provides an example of a point-to-point IVIVC for celecoxib ISGs with varying polymer concentrations and grades, following SC injection in rats. Full article
(This article belongs to the Special Issue Long Acting Drug Delivery Formulations)
Show Figures

Figure 1

14 pages, 891 KB  
Review
Why Cemiplimab? Defining a Unique Therapeutic Niche in First-Line Non-Small-Cell Lung Cancer with Ultra-High PD-L1 Expression and Squamous Histology
by Satoshi Ikeda, Keigo Araki, Mai Kitagawa, Natsuno Makihara, Yutaro Nagata, Kazuki Fujii, Kiyori Yoshida, Tatsuki Ikoma, Kahori Nakahama, Yuki Takeyasu, Utae Katsushima, Yuta Yamanaka and Takayasu Kurata
Cancers 2026, 18(2), 272; https://doi.org/10.3390/cancers18020272 - 15 Jan 2026
Viewed by 1203
Abstract
The landscape of first-line treatment for metastatic non-small cell lung cancer (NSCLC) without actionable driver mutations is rapidly evolving, currently dominated by pembrolizumab-based regimens. This review discusses the unique molecular characteristics of cemiplimab, a newer anti-PD-1 antibody, and defines its optimal positioning against [...] Read more.
The landscape of first-line treatment for metastatic non-small cell lung cancer (NSCLC) without actionable driver mutations is rapidly evolving, currently dominated by pembrolizumab-based regimens. This review discusses the unique molecular characteristics of cemiplimab, a newer anti-PD-1 antibody, and defines its optimal positioning against established standards. Cemiplimab is a fully human IgG4 monoclonal antibody distinguished by two key features: an engineered hinge-region mutation that prevents Fab-arm exchange, ensuring exceptional molecular stability which minimizes anti-drug antibody (ADA) risks associated with unstable molecules; and a unique interaction with PD-1 glycosylation sites, potentially enhancing binding efficacy. These structural advantages may be particularly relevant in histologies like squamous NSCLC, where accumulating somatic mutations drive high neoantigen loads and heightened immune responses, creating an environment historically prone to ADA formation. Based on data from the pivotal EMPOWER-Lung program, we highlight cemiplimab’s exceptional promise in specific populations. Firstly, in the EMPOWER-Lung 1 trial, cemiplimab monotherapy demonstrated extraordinary survival benefits in a pre-specified analysis of the distinct “ultra-high” PD-L1 expression subgroup (TPS ≥90%), potentially surpassing historical benchmarks. Secondly, cemiplimab displays consistent, robust efficacy in challenging-to-treat squamous histology, both as monotherapy for patients with high PD-L1 expression and in combination with chemotherapy for patients with PD-L1 < 50%. In conclusion, cemiplimab establishes a unique therapeutic niche for patients with squamous histology and ultra-high PD-L1 expression, likely driven by its distinct structural stability and reduced immunogenicity. Full article
(This article belongs to the Special Issue Oncology: State-of-the-Art Research and Initiatives in Japan)
Show Figures

Figure 1

18 pages, 2012 KB  
Article
Fab Antibody Fragments to Dog Leukocyte Antigen DR (DLA-DR) Directly Suppress Canine Lymphoma Cell Line Growth In Vitro and in Murine Xenotransplant Model
by Aleksandra Studzińska, Marek Pieczka, Angelika Kruszyńska, Leszek Moniakowski, Anna Urbaniak, Andrzej Rapak and Arkadiusz Miazek
Cancers 2026, 18(1), 48; https://doi.org/10.3390/cancers18010048 - 23 Dec 2025
Viewed by 747
Abstract
Background/Objectives: Canine Diffuse Large B-cell Lymphoma (cDLBCL) is characterized by a high prevalence of MHC II DR (DLA-DR) antigen overexpression. Murine anti-pan-DLA-DR monoclonal antibodies (mAbs) B5 and E11 have been previously observed to promote death of cDLBCL cells in vitro and in vivo. [...] Read more.
Background/Objectives: Canine Diffuse Large B-cell Lymphoma (cDLBCL) is characterized by a high prevalence of MHC II DR (DLA-DR) antigen overexpression. Murine anti-pan-DLA-DR monoclonal antibodies (mAbs) B5 and E11 have been previously observed to promote death of cDLBCL cells in vitro and in vivo. Consequently, DLA-DR antigens are considered a prospective target for passive immunotherapy aside from CD20. While infusion of anti-pan MHC II mAbs has demonstrated tumor suppression in cDLBCL xenografted immunodeficient mice, the relative contributions of direct cellular versus immune-mediated mechanisms to this therapeutic effect remain undefined. This study aimed to dissect these potential mechanisms of mAb E11. Methods: Canine lymphoma and leukemia cell lines CLBL1 and CLB70 were incubated with full E11 antibody or its F(ab′)2 and Fab fragments and cell viability was assessed with sub-G1 assay then, NOD-SCID mice were xenotransplanted with 1.5 × 107 canine CLBL1 cells expressing nanoluciferase and were infused either with mAb E11 or its fragments, each at 1 mg/kg body mass, twice weekly for three consecutive weeks. Tumor burden was monitored by assessing body weight, nanoluciferase activity in blood, and by flow cytometric analyses of bone marrow tumor cell content. Time to tumor progression (TTP) was calculated based on weight loss and luminescence measurements. Results: We observed cytotoxic activity of monovalent E11-Fab fragments in vitro and in vivo. The mean TTP for mice treated with irrelevant mouse IgG antibodies was 9.8 ± 4.65 days. In contrast, treatment with E11 Fab fragments resulted in a TTP of 19.1 ± 2.67 days, which was similar to that achieved with the full E11 mAb (19.5 ± 1.73 days) and E11 F(ab′)2 fragments (18.1 ± 2.9 days). Conclusions: Our findings demonstrate a potent antibody cytotoxicity mechanism that operates in vivo and is independent of cell surface MHC II crosslinking or Fc engagement. These data support the promising potential of E11-Fab fragments for further clinical development as a therapeutic agent in canine lymphoma. Full article
(This article belongs to the Special Issue Advances in B-Cell Lymphoma: From Diagnostics to Cure)
Show Figures

Figure 1

13 pages, 1660 KB  
Article
Enhancement of Structural Stability and IgG Affinity of a Z34C-Derived α-Helical Peptide via Lactam Stapling
by Jung Gu Lee, Inseo Lee, Joo-young Kim, Suin Kim, Woo-jin Jeong and Ji-eun Kim
Antibodies 2025, 14(4), 108; https://doi.org/10.3390/antib14040108 - 16 Dec 2025
Viewed by 937
Abstract
Background: The Fc region of immunoglobulin G (IgG) is a key target in therapeutic and analytical applications, such as antibody purification and site-specific bioconjugation. Although Protein A exhibits strong Fc-binding affinity, its large molecular weight and limited chemical flexibility pose challenges for use [...] Read more.
Background: The Fc region of immunoglobulin G (IgG) is a key target in therapeutic and analytical applications, such as antibody purification and site-specific bioconjugation. Although Protein A exhibits strong Fc-binding affinity, its large molecular weight and limited chemical flexibility pose challenges for use in compact or chemically defined systems. To address these limitations, we designed two α-helical peptides, SpA h1 and SpA h2, based on the Fc-binding helices of the Z34C domain from Staphylococcus aureus Protein A. Method: To enhance the structural stability and Fc-binding capability of these peptides, a lactam-based stapling strategy was employed by introducing lysine and glutamic acid residues at positions i and i + 4. Result: The resulting stapled peptides, (s)SpA h1 and (s)SpA h2, exhibited significantly improved α-helical content and IgG-binding performance, as demonstrated by circular dichroism (CD) spectroscopy and fluorescence-based IgG capture assays. Surface plasmon resonance (SPR) analysis confirmed specific, concentration-dependent interactions with the Fc region of human IgG, with (s)SpA h1 consistently showing the binding affinity and stability. Proteolytic resistance assays using α-chymotrypsin revealed that (s)SpA h1 maintained its structural integrity over time, exhibiting markedly enhanced resistance to enzymatic degradation compared to its linear counterpart. Furthermore, (s)SpA h1 exhibited strong Fc selectivity with minimal Fab affinity, confirming its suitability as a compact and Fc-specific binding ligand. Conclusions: These results confirm the successful design and development of structurally reinforced Fc-binding peptides that overcome the inherent limitations of short linear sequences through both high-affinity sequence optimization and lactam-based stapling. Among them, (s)SpA h1 demonstrates the most promising characteristics as a compact yet stable Fc-binding ligand, suitable for applications such as antibody purification and site-specific bioconjugation. Full article
(This article belongs to the Section Antibody Discovery and Engineering)
Show Figures

Figure 1

13 pages, 4475 KB  
Article
Comparative In Vitro and In Vivo Evaluation of Anti-CCR8 Full-Sized IgG and Its Fab Fragments in Murine Colorectal Cancer Models
by Tongshuo Hu, Rubin Jiao, Kevin J. H. Allen, Connor Frank, Mackenzie E. Malo and Ekaterina Dadachova
Molecules 2025, 30(22), 4445; https://doi.org/10.3390/molecules30224445 - 18 Nov 2025
Viewed by 871
Abstract
CCR8 chemokine receptor is a selective marker of tumor-infiltrating regulatory T cells (ti-Tregs) which interfere with the efficacy of checkpoint inhibitor immunotherapy (ICI) in many types of cancer. Eliminating CCR8+ ti-Tregs dramatically improves the results of subsequent ICI. We have recently reported using [...] Read more.
CCR8 chemokine receptor is a selective marker of tumor-infiltrating regulatory T cells (ti-Tregs) which interfere with the efficacy of checkpoint inhibitor immunotherapy (ICI) in many types of cancer. Eliminating CCR8+ ti-Tregs dramatically improves the results of subsequent ICI. We have recently reported using 225Actinium-labeled anti-CCR8 IgG for killing CCR8+ ti-Tregs in murine colorectal tumors which synergized with subsequent anti-CTLA4 ICI. Here, we aimed to compare the in vivo behavior of anti-CCR8 full-sized IgG and its Fab fragments to select the best antibody format for the pre-clinical development of this combination modality. Anti-CCR8 Fab fragments were generated by papain digest of the whole IgG. The whole IgG and Fab were conjugated to bifunctional chelating agent DOTA and labeled with 111Indium (111In). MC8 and CT6 murine colorectal tumor-bearing C57Bl6 and Balb/c mice, respectively, were administered 111In-DOTA-IgG or 111In-DOTA-Fab and imaged with microSPECT/CT at 2–72 h post-injection. A biodistribution was performed after the last imaging time point. Both 111In-DOTA-IgG and 111In-DOTA-Fab demonstrated high tumor uptake in both MC38 and CT26 tumors, with 111In-DOTA-IgG uptake being significantly higher from the 24 h time point and onwards. 111In-DOTA-Fab also exhibited pronounced kidney uptake which persisted even at 72 h. The kidney clearance and retention of 111In-DOTA-Fab might represent a problem during therapy employing 225Actimium or other long-lived therapeutic radionuclides by potentially causing a dose-limiting kidney toxicity. This imaging/biodistribution evaluation not only determined that full-size anti-CCR8 IgG is the optimal antibody format for pre-clinical development but also informed on the timing of immunotherapy administration in future radioimmunotherapy and immunotherapy combination studies. Full article
(This article belongs to the Special Issue New Advances in Radiopharmaceutical Sciences, 2nd Edition)
Show Figures

Figure 1

15 pages, 756 KB  
Review
Fab N-Glycosylation in IgG: Implications in Physiological and Pathological Immune Regulation
by Shuqi Chen, Feiyuan Yu, Binliang Huang, Ganbo Liang, Jieyi Xu, Yuning Lin and Qian Xu
Biomolecules 2025, 15(11), 1508; https://doi.org/10.3390/biom15111508 - 25 Oct 2025
Viewed by 1675
Abstract
Compared with classical Fc N-glycosylation, Fab N-glycosylation displays site heterogeneity and structural diversity. It contributes to immune regulation by modulating antibody stability, half-life, and antigen-binding activity, as well as by mediating blocking antibody effects. This review highlights the expression patterns and potential mechanisms [...] Read more.
Compared with classical Fc N-glycosylation, Fab N-glycosylation displays site heterogeneity and structural diversity. It contributes to immune regulation by modulating antibody stability, half-life, and antigen-binding activity, as well as by mediating blocking antibody effects. This review highlights the expression patterns and potential mechanisms of Fab N-glycosylated IgG in autoimmune diseases, pregnancy-induced immune tolerance, and tumor immune evasion, and discusses its structural and functional similarities to IgG4. Although Fab N-glycosylation plays an important role in both physiological and pathological conditions, the complexity of its glycan structures and variability in glycosylation sites hinder a precise understanding of its functional impacts. Clarifying these aspects is expected to emerge as a major focus in glycomics and antibody engineering research. Full article
(This article belongs to the Special Issue Advances in Cancer and Glycosylation)
Show Figures

Figure 1

17 pages, 1594 KB  
Article
Isolation, Identification, and Virulence Properties of Enterobacter bugandensis Pathogen from Big-Belly Seahorse Hippocampus abdominalis
by Haibin Ye, Chenhao Teng, Yueqi Yang, Yiyao Liu, Li Li, Ying Fan, Youhong Wang, Jing Diao, Lingling Yu, Chunlei Gai and Haipeng Cao
Fishes 2025, 10(8), 411; https://doi.org/10.3390/fishes10080411 - 14 Aug 2025
Viewed by 1197
Abstract
Nowadays, members of the genus Enterobacter have been documented as human and aquaculture pathogens. To date, no reports have described Enterobacter bugandensis infecting Hippocampus abdominalis. In the present study, an isolate of E. bugandensis, designated H4, was identified as a causative pathogen [...] Read more.
Nowadays, members of the genus Enterobacter have been documented as human and aquaculture pathogens. To date, no reports have described Enterobacter bugandensis infecting Hippocampus abdominalis. In the present study, an isolate of E. bugandensis, designated H4, was identified as a causative pathogen in cultured H. abdominalis following Koch’s postulate, and its virulence properties were further described. The isolate’s genome consisted of a single circular chromosome and harbored several virulence and resistance genes, including, but not limited to, csgG, acrB, hcp, gndA, galF, rpoS, fur, rcsB, and phoP involved in adherence, antimicrobial activity, effector delivery systems, immune modulation, and regulation, as well as baeR, blaACT-49, ramA, hns, ftsI, acrA, gyrA, fabI, crp, oqxB, parE, gyrB, phoP, rpoB, tuf, ptsI, and fosA2 functioning against aminoglycoside, cephamycin, disinfecting agent and antiseptic, fluoroquinolone, macrolide, peptide, and other antimicrobials. Additionally, the isolate exhibited multiple resistance to cephalosporins, penicillins, and tetracyclines and demonstrated a median lethal dose (LD50) of 4.47 × 105 CFU/mL in H. abdominalis. To our knowledge, this is the first study to describe E. bugandensis infecting H. abdominalis. These findings highlight the zoonotic potential of E. bugandensis and underscore the need for targeted health management in seahorse farming. Full article
Show Figures

Figure 1

20 pages, 3857 KB  
Article
Temporal and Sex-Dependent N-Glycosylation Dynamics in Rat Serum
by Hirokazu Yagi, Sachiko Kondo, Reiko Murakami, Rina Yogo, Saeko Yanaka, Fumiko Umezawa, Maho Yagi-Utsumi, Akihiro Fujita, Masako Okina, Yutaka Hashimoto, Yuji Hotta, Yoichi Kato, Kazuki Nakajima, Jun-ichi Furukawa and Koichi Kato
Int. J. Mol. Sci. 2025, 26(15), 7266; https://doi.org/10.3390/ijms26157266 - 27 Jul 2025
Cited by 1 | Viewed by 1501
Abstract
We conducted systematic glycomic and glycoproteomic profiling to characterize the dynamic N-glycosylation landscape of rat serum, with particular focus on sex- and time-dependent variations. MALDI-TOF-MS analysis revealed that rat serum N-glycans are predominantly biantennary, disialylated complex-type structures with extensive O-acetylation [...] Read more.
We conducted systematic glycomic and glycoproteomic profiling to characterize the dynamic N-glycosylation landscape of rat serum, with particular focus on sex- and time-dependent variations. MALDI-TOF-MS analysis revealed that rat serum N-glycans are predominantly biantennary, disialylated complex-type structures with extensive O-acetylation of Neu5Ac residues, especially in females. LC-MS/MS-based glycoproteomic analysis of albumin/IgG-depleted serum identified 87 glycoproteins enriched in protease inhibitors (e.g., serine protease inhibitor A3K) and immune-related proteins such as complement C3. Temporal analyses revealed stable sialylation in males but pronounced daily fluctuations in females, suggesting hormonal influence. Neu5Gc-containing glycans were rare and mainly derived from residual IgG, as confirmed by glycomic analysis. In contrast to liver-derived glycoproteins, purified IgG exhibited Neu5Gc-only sialylation without O-acetylation, underscoring distinct sialylation profiles characteristic of B cell-derived glycoproteins. Region-specific glycosylation patterns were observed in IgG, with the Fab region carrying more disialylated structures than Fc. These findings highlight cell-type and sex-specific differences in sialylation patterns between hepatic and immune tissues, with implications for hormonal regulation and biomarker research. This study provides a valuable dataset on rat serum glycoproteins and underscores the distinctive glycosylation features of rats, reinforcing their utility as model organisms in glycobiology and disease research. Full article
(This article belongs to the Special Issue Glycobiology of Health and Diseases)
Show Figures

Figure 1

17 pages, 7840 KB  
Article
Systemic and Retinal Protective Effects of Butyrate in Early Type 2 Diabetes via Gut Microbiota–Lipid Metabolism Interaction
by Haijun Gong, Haoyu Zuo, Keling Wu, Xinbo Gao, Yuqing Lan and Ling Zhao
Nutrients 2025, 17(14), 2363; https://doi.org/10.3390/nu17142363 - 18 Jul 2025
Cited by 7 | Viewed by 2073
Abstract
Background: Early neurovascular unit (NVU) impairment plays a critical role in the pathogenesis of diabetic retinopathy (DR), often preceding clinically detectable changes. Butyrate, a short-chain fatty acid (SCFA) derived from gut microbiota, has shown promising metabolic and anti-inflammatory effects. Methods: This study [...] Read more.
Background: Early neurovascular unit (NVU) impairment plays a critical role in the pathogenesis of diabetic retinopathy (DR), often preceding clinically detectable changes. Butyrate, a short-chain fatty acid (SCFA) derived from gut microbiota, has shown promising metabolic and anti-inflammatory effects. Methods: This study investigated the protective potential of oral butyrate supplementation in a mouse model of early type 2 diabetes mellitus (T2DM) induced by a high-fat diet and streptozotocin. Mice (C57BL/6J) received sodium butyrate (5 g/L in drinking water) for 12 weeks. Retinal NVU integrity was assessed using widefield swept-source optical coherence tomography angiography (WF SS-OCTA), alongside evaluations of systemic glucose and lipid metabolism, hepatic steatosis, visual function, and gut microbiota composition via 16S rRNA sequencing. Results: Butyrate supplementation significantly reduced body weight, fasting glucose, serum cholesterol, and hepatic lipid accumulation. Microbiome analysis demonstrated a partial reversal of gut dysbiosis, characterized by increased SCFA-producing taxa (Ruminococcaceae, Oscillibacter, Lachnospiraceae) and decreased pro-inflammatory, lipid-metabolism-related genera (Rikenella, Ileibacterium). KEGG pathway analysis further revealed enrichment in microbial lipid metabolism functions (fabG, ABC.CD.A, and transketolase). Retinal vascular and neurodegenerative alterations—including reduced vessel density and retinal thinning—were markedly attenuated by butyrate, as revealed by WF SS-OCTA. OKN testing indicated partial improvement in visual function, despite unchanged ERG amplitudes. Conclusions: Butyrate supplementation mitigates early NVU damage in the diabetic retina by improving glucose and lipid metabolism and partially restoring gut microbial balance. This study also underscores the utility of WF SS-OCTA as a powerful noninvasive tool for detecting early neurovascular changes in DR. Full article
(This article belongs to the Section Nutrition and Diabetes)
Show Figures

Figure 1

19 pages, 1938 KB  
Article
Identification of Pharmacophore Groups with Antimalarial Potential in Flavonoids by QSAR-Based Virtual Screening
by Adriana de Oliveira Fernandes, Valéria Vieira Moura Paixão, Yria Jaine Andrade Santos, Eduardo Borba Alves, Ricardo Pereira Rodrigues, Daniela Aparecida Chagas-Paula, Aurélia Santos Faraoni, Rosana Casoti, Marcus Vinicius de Aragão Batista, Marcel Bermudez, Silvio Santana Dolabella and Tiago Branquinho Oliveira
Drugs Drug Candidates 2025, 4(3), 33; https://doi.org/10.3390/ddc4030033 - 4 Jul 2025
Viewed by 1876
Abstract
Background/Objectives: Severe malaria, mainly caused by Plasmodium falciparum, remains a significant therapeutic challenge due to increasing drug resistance and adverse effects. Flavonoids, known for their wide range of bioactivities, offer a promising route for antimalarial drug discovery. The aim of this [...] Read more.
Background/Objectives: Severe malaria, mainly caused by Plasmodium falciparum, remains a significant therapeutic challenge due to increasing drug resistance and adverse effects. Flavonoids, known for their wide range of bioactivities, offer a promising route for antimalarial drug discovery. The aim of this study was to elucidate key structural features associated with antimalarial activity in flavonoids and to develop accurate, interpretable predictive models. Methods: Curated databases of flavonoid structures and their activity against P. falciparum strains and enzymes were constructed. Molecular fingerprinting and decision tree analyses were used to identify key pharmacophoric groups. Subsequently, molecular descriptors were generated and reduced to build multiple classification and regression models. Results: These models demonstrated high predictive accuracy, with test set accuracies ranging from 92.85% to 100%, and R2 values from 0.64 to 0.97. Virtual screening identified novel flavonoid candidates with potential inhibitory activity. These were further evaluated using molecular docking and molecular dynamics simulations to assess binding affinity and stability with Plasmodium proteins (FabG, FabZ, and FabI). The predicted active ligands exhibited stable pharmacophore interactions with key protein residues, providing insights into binding mechanisms. Conclusions: This study provides highly predictive models for antimalarial flavonoids and enhances the understanding of structure–activity relationships, offering a strong foundation for further experimental validation. Full article
(This article belongs to the Section In Silico Approaches in Drug Discovery)
Show Figures

Figure 1

13 pages, 1776 KB  
Article
Altered IgG N-Glycosylation at Onset of Type 1 Diabetes in Children Is Predominantly Driven by Changes in the Fab N-Glycans
by Branimir Plavša, Najda Rudman, Flemming Pociot and Olga Gornik
Biomedicines 2025, 13(5), 1206; https://doi.org/10.3390/biomedicines13051206 - 15 May 2025
Cited by 2 | Viewed by 1285
Abstract
BackgroundN-glycosylation is a post-translational modification involving the attachment of oligosaccharides to proteins and is known to influence immunoglobulin G (IgG) effector functions and even antigen binding. IgG contains an evolutionarily conserved N-glycosylation site in its fragment crystallizable (Fc) region, [...] Read more.
BackgroundN-glycosylation is a post-translational modification involving the attachment of oligosaccharides to proteins and is known to influence immunoglobulin G (IgG) effector functions and even antigen binding. IgG contains an evolutionarily conserved N-glycosylation site in its fragment crystallizable (Fc) region, while during V-D-J recombination and somatic hypermutation processes it can also obtain N-glycosylation sites in its antigen binding fragment (Fab). Our previous study demonstrated altered IgG N-glycosylation in children at type 1 diabetes (T1D) onset, with the most prominent changes involving sialylated glycans, hypothesized to mainly come from the Fab region, however, the analytical method used could not distinguish between Fc and Fab. Methods: IgG was isolated from plasma from 118 children with T1D and 98 healthy controls from the Danish Registry of Childhood and Adolescent Diabetes. Isolated IgG was cleaved into Fc and Fab fragments using IdeS enzyme. N-glycans were enzymatically released from each fragment, fluorescently labelled with procainamide, and analyzed separately using the UPLC-MS method. Structural annotation of resulting chromatograms was performed using MS/MS. Results: T1D related N-glycosylation changes were more pronounced in the Fab glycans compared to Fc glycans, with five Fab glycans (Man5, Man7, FA2BG1S1, A2G2S2, FA2BG2S1) being significantly altered compared to only one in the Fc region (FA2[3]BG1). Comparing Fc and Fab glycosylation overall reveals stark differences in the types of glycans on each region, with a more diverse and complex repertoire being present in the Fab region. Conclusions: These findings suggest that N-glycosylation changes in early onset T1D predominantly originate from the Fab region, underscoring their potential role in modulating (auto)immunity and highlighting distinct glycosylation patterns between Fc and Fab. Full article
(This article belongs to the Special Issue Diabetes: Comorbidities, Therapeutics and Insights (2nd Edition))
Show Figures

Figure 1

Back to TopTop