Sign in to use this feature.

Years

Between: -

Subjects

remove_circle_outline
remove_circle_outline
remove_circle_outline
remove_circle_outline
remove_circle_outline
remove_circle_outline
remove_circle_outline
remove_circle_outline
remove_circle_outline

Journals

remove_circle_outline
remove_circle_outline
remove_circle_outline
remove_circle_outline
remove_circle_outline
remove_circle_outline
remove_circle_outline
remove_circle_outline
remove_circle_outline
remove_circle_outline
remove_circle_outline
remove_circle_outline
remove_circle_outline
remove_circle_outline
remove_circle_outline
remove_circle_outline
remove_circle_outline
remove_circle_outline

Article Types

Countries / Regions

remove_circle_outline
remove_circle_outline
remove_circle_outline
remove_circle_outline
remove_circle_outline
remove_circle_outline
remove_circle_outline

Search Results (1,053)

Search Parameters:
Keywords = EDA

Order results
Result details
Results per page
Select all
Export citation of selected articles as:
22 pages, 1972 KB  
Article
Layout-Aware Analysis of Transistor Fingering Effects on Hysteresis and Reliability in CMOS Schmitt Triggers
by Liron Cohen and Emmanuel Bender
Chips 2025, 4(4), 45; https://doi.org/10.3390/chips4040045 (registering DOI) - 1 Nov 2025
Abstract
Schmitt Triggers are essential building blocks in noise-resilient systems and are useful in managing switching behavior in low-power designs. Yet, as CMOS technologies scale down, their designs become increasingly challenging. This paper presents a comprehensive investigation into the performance and reliability of multiple [...] Read more.
Schmitt Triggers are essential building blocks in noise-resilient systems and are useful in managing switching behavior in low-power designs. Yet, as CMOS technologies scale down, their designs become increasingly challenging. This paper presents a comprehensive investigation into the performance and reliability of multiple Schmitt Trigger topologies across two CMOS technology nodes (180 nm and 45 nm), with a particular focus on transistor sizing and layout optimization through multi-finger transistor structures. A series of pre-layout and post-layout simulations reveal that fingered implementations significantly enhance hysteresis robustness, switching speed, and delay consistency in PVT variations. Notably, post-layout results in 45 nm technology demonstrate remarkable improvements in both speed and power efficiency. This highlights the inadequacy of schematic-level models to predict the true behavior of fingered transistor configurations. Additionally, we explored the implications of finger designs on reliability concerns including electromigration and IR drop to determine the tradeoff between interconnect reliability optimization and internal routing. The findings establish practical design guidelines for optimizing number of fingers based on device width and technology node, offering new insights into layout-aware Schmitt Trigger design for high-performance and area-constrained applications. Full article
26 pages, 23199 KB  
Article
Development and Validation of a Multimodal Wearable Belt for Abdominal Biosignal Monitoring with Application to Irritable Bowel Syndrome
by Amir Mohammad Karimi Forood, Sibi M. Pandian, Riley Q. McNaboe, Thuany De Carvalho Lachos, Daniel Octavio Lantigua and Hugo F. Posada-Quintero
Micromachines 2025, 16(11), 1255; https://doi.org/10.3390/mi16111255 (registering DOI) - 1 Nov 2025
Abstract
Visceral pain in Irritable Bowel Syndrome (IBS) is difficult to evaluate objectively due to its complex physiological nature and lack of reliable biomarkers. Given the complexity of IBS, a multimodal physiological monitoring approach, combining electrodermal activity (EDA), electrocardiogram (ECG), and surface electromyography (sEMG), [...] Read more.
Visceral pain in Irritable Bowel Syndrome (IBS) is difficult to evaluate objectively due to its complex physiological nature and lack of reliable biomarkers. Given the complexity of IBS, a multimodal physiological monitoring approach, combining electrodermal activity (EDA), electrocardiogram (ECG), and surface electromyography (sEMG), offers a promising approach to capture the autonomic and muscular responses linked to visceral pain. However, no existing wearable device supports simultaneous EDA, ECG, and sEMG acquisition from the abdomen in a format suitable for long-term, real-world use. This study presents the development and validation of a novel wearable belt for concurrent ECG, sEMG, and EDA monitoring, with EDA measured at both the torso and wrist. The system was built using modified BITalino platforms with custom-fabricated reusable electrodes and Bluetooth connectivity for real-time smartphone display. Signal quality was validated against laboratory-grade systems in 20 healthy participants during a four-stage protocol involving cognitive, orthostatic, muscular, and combined stress tasks. Time and frequency-domain analyses showed high correlations and comparable spectral features across all modalities. The belt maintained stable skin contact even during movement-intensive tasks. By enabling anatomically targeted, multimodal data acquisition, this wearable system supports real-world visceral pain assessment in IBS and is ready for deployment in ambulatory and home-based monitoring scenarios. Full article
Show Figures

Figure 1

11 pages, 2434 KB  
Article
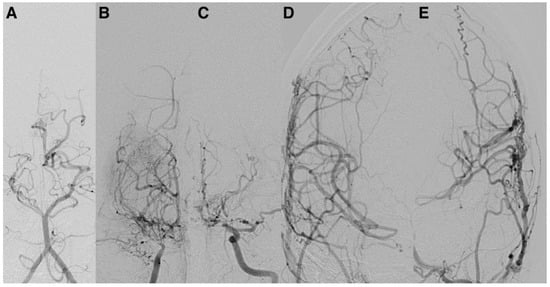
Indirect Revascularization for Pediatric Moyamoya Angiopathy: Insights from a Brazilian Cohort
by Alexandre Mello Savoldi, Zeferino Demartini and Mara L. Cordeiro
J. Clin. Med. 2025, 14(21), 7739; https://doi.org/10.3390/jcm14217739 (registering DOI) - 31 Oct 2025
Abstract
Background/Objectives: Moyamoya angiopathy is a progressive occlusive cerebrovascular disorder and a relevant cause of pediatric stroke. While most published data originate from Asian and North American populations, reports from South America remain scarce. This study aimed to characterize the clinical, angiographic, and [...] Read more.
Background/Objectives: Moyamoya angiopathy is a progressive occlusive cerebrovascular disorder and a relevant cause of pediatric stroke. While most published data originate from Asian and North American populations, reports from South America remain scarce. This study aimed to characterize the clinical, angiographic, and functional outcomes of pediatric patients with Moyamoya disease (MMD) or Moyamoya syndrome (MMS) who underwent indirect revascularization in a Brazilian cohort, and to contextualize these findings within the international literature. Methods: We retrospectively reviewed all patients under 18 years of age who underwent indirect bypass (EDAS/EDAMS) for MMD or MMS at a tertiary pediatric center in Curitiba, Brazil, between 2009 and 2023. Demographic, clinical, and angiographic data were analyzed, including postoperative Matsushima grading, and functional outcomes assessed by the modified Rankin Scale (mRS) and Glasgow Outcome Scale (GOS). All eligible patients received perioperative aspirin (3–5 mg/kg/day). Results: Fourteen patients (64% female; mean age 9.9 years) were included: 43% with MMD and 57% with MMS. Hemiparesis (86%), seizures (57%), and cognitive impairment (57%) were the most common symptoms. Most were classified as Suzuki stages II–III. All underwent indirect revascularization; 79% received bilateral procedures. Angiographic follow-up (14 hemispheres) showed good collateral formation (Matsushima grade A: 43%; B: 57%). Complications occurred in three patients (21%), and two (14%)—both MMD—developed new postoperative ischemic strokes despite receiving aspirin therapy. At 3.5 years of mean follow-up, the mean mRS was 1.9 ± 0.8 and the GOS was 4.0 ± 0.3. Conclusions: Indirect revascularization in this Brazilian pediatric cohort was feasible and safe, yielding outcomes comparable to international series. Collateral development correlated with functional improvement. These exploratory findings emphasize the importance of early diagnosis, standardized perioperative care, and long-term follow-up, and highlight the need for multicenter collaboration in Latin America. Full article
(This article belongs to the Section Clinical Pediatrics)
Show Figures

Figure 1

11 pages, 2809 KB  
Article
Utilization of All-Chitin Composite Films for High-Density Three-Dimensional Cell Cultivation
by Masayasu Totani, Mako Eda, Hiroyuki Shinchi and Jun-ichi Kadokawa
Molecules 2025, 30(21), 4243; https://doi.org/10.3390/molecules30214243 (registering DOI) - 31 Oct 2025
Abstract
In this study, the potential of an all-chitin composite (AChC) film, prepared by dispersing and mixing high-crystalline scaled-down chitin nanofibers (SD-ChNFs) and low-crystalline chitin nanoparticles (ChNPs) in aqueous acetic acids, was evaluated for the formation of tissue-like cellular networks using a layered culture [...] Read more.
In this study, the potential of an all-chitin composite (AChC) film, prepared by dispersing and mixing high-crystalline scaled-down chitin nanofibers (SD-ChNFs) and low-crystalline chitin nanoparticles (ChNPs) in aqueous acetic acids, was evaluated for the formation of tissue-like cellular networks using a layered culture approach. The AChC film exhibited strong adhesion properties that enabled human cervical cancer (HeLa) cells to form a cellular network structure, whereas such adhesion and network formation were not observed with the individual components, SD-ChNFs and ChNPs. Furthermore, the cellular network structure was found to bridge the gaps between films, establishing three-dimensional (3D) connectivity. These findings demonstrate that AChC films serve as highly suitable functional biomaterials for constructing 3D tissue-like structures. Full article
(This article belongs to the Special Issue Novel Membranes and Coatings for Biomedical and Food Applications)
Show Figures

Figure 1

24 pages, 6717 KB  
Review
Dissecting the Genetic Contribution of Tooth Agenesis
by Antonio Fallea, Mirella Vinci, Simona L’Episcopo, Massimiliano Bartolone, Antonino Musumeci, Alda Ragalmuto, Simone Treccarichi and Francesco Calì
Int. J. Mol. Sci. 2025, 26(21), 10485; https://doi.org/10.3390/ijms262110485 - 28 Oct 2025
Viewed by 130
Abstract
Tooth agenesis (TA), the congenital absence of one or more teeth, is the most common manifestation of defective dental morphogenesis in humans. TA can occur as an isolated (non-syndromic) condition or as part of a broader syndromic presentation. In this review, we analyzed [...] Read more.
Tooth agenesis (TA), the congenital absence of one or more teeth, is the most common manifestation of defective dental morphogenesis in humans. TA can occur as an isolated (non-syndromic) condition or as part of a broader syndromic presentation. In this review, we analyzed a total of 73 manuscripts to provide a comprehensive update on the genetic landscape of TA. To investigate the genes, variants, and associated phenotypes, we reviewed data from curated databases including Human Phenotype Ontology (HPO), OMIM, ClinVar and MalaCards. Based on the current evidence, the genes most frequently implicated in TA are MSX1, EDA, and PAX9. However, chromosomal abnormalities, such as those seen in Down syndrome and Williams syndrome, along with structural variations (e.g., deletions and duplications), also contribute significantly to TA etiology. The most involved pathways include TNF receptor binding, encompassing genes such as EDA, EDA2R, EDAR, and EDARADD, and the mTOR signaling pathway, which includes AXIN2, FGFR1, LRP6, WNT10A, and WNT10B. The aim of this review is to provide an critical synthesis of the genetic mechanisms underlying TA, highlighting the contribution of major signaling pathways, regulatory networks, and emerging molecular insights that may inform diagnostic and therapeutic advances. Full article
(This article belongs to the Section Molecular Genetics and Genomics)
Show Figures

Figure 1

14 pages, 3453 KB  
Article
Hepatoprotection by Methylene Blue Against Doxorubicin Toxicity Through Coordinated Modulation of Oxidative Stress, ER Stress, and Apoptotic Pathways
by Enas S. Gad, Ahmed M. Ashour, Amany M. Gad, Ali Khames, Shaimaa G. Ibrahim, Mohamed H. A. Gadelmawla and Mona Mansour
Pharmaceuticals 2025, 18(11), 1625; https://doi.org/10.3390/ph18111625 - 28 Oct 2025
Viewed by 189
Abstract
Background and Objectives: Doxorubicin (DOX) is a potential chemotherapeutic whose clinical application is limited by hepatotoxicity mediated through apoptosis, endoplasmic reticulum (ER) stress, and oxidative stress (OS). This study aimed to assess the hepatoprotective impact of methylene blue (MB) against DOX-induced liver injury. [...] Read more.
Background and Objectives: Doxorubicin (DOX) is a potential chemotherapeutic whose clinical application is limited by hepatotoxicity mediated through apoptosis, endoplasmic reticulum (ER) stress, and oxidative stress (OS). This study aimed to assess the hepatoprotective impact of methylene blue (MB) against DOX-induced liver injury. Methods: Forty rats were arbitrarily divided equally into four groups: control, DOX (15 mg/kg, i.p., single dose), MB (4 mg/kg, i.p., daily for 7 days), and DOX + MB (same regimen, MB initiated 1 h post DOX). Serum ALT, AST, and γ-GT were measured, along with hepatic TAC and HO-1. ELISA quantified PERK, GRP78, and CHOP. Immunohistochemistry assessed Caspase-3, p53, NF-κB, and Nrf2. Histopathological evaluation was performed using H&E staining. Results: DOX administration significantly elevated ALT, AST, γ-GT, HO-1, PERK, GRP78, and CHOP while reducing TAC and Nrf2 expression. Strong Caspase-3, p53, and NF-κB immunoreactivity and severe histopathological damage were observed. MB treatment markedly reversed these changes, restoring antioxidant status, downregulating ER stress markers, preserving Nrf2 expression, and improving hepatic architecture. Conclusions: MB exerts significant hepatoprotection against DOX-induced injury, likely via attenuation of OS, ER stress, apoptosis, and inflammation. Full article
(This article belongs to the Special Issue Topoisomerases as Targets for Novel Drug Discovery)
Show Figures

Figure 1

25 pages, 568 KB  
Article
Exploring the Psychological and Social Dynamics of Steroid and Performance-Enhancing Drug (PED) Use Among Late Adolescents and Emerging Adults (16–22): A Thematic Analysis
by Metin Çınaroğlu, Eda Yılmazer and Esra Noyan Ahlatcıoğlu
Adolescents 2025, 5(4), 63; https://doi.org/10.3390/adolescents5040063 - 27 Oct 2025
Viewed by 124
Abstract
Background: Performance-enhancing drug (PED) use has become increasingly prevalent among adolescents and emerging adults, not solely for athletic advantage but as a psychological and sociocultural coping mechanism. In Türkiye, where Westernized body ideals intersect with traditional values, the emotional and symbolic meanings of [...] Read more.
Background: Performance-enhancing drug (PED) use has become increasingly prevalent among adolescents and emerging adults, not solely for athletic advantage but as a psychological and sociocultural coping mechanism. In Türkiye, where Westernized body ideals intersect with traditional values, the emotional and symbolic meanings of PED use among youth remain underexplored. Methods: This qualitative study employed semi-structured interviews and reflexive thematic analysis to examine the subjective experiences of 26 Turkish adolescents and emerging adults (19 males, 7 females; ages 16–22) in Istanbul who reported non-medical use of steroids or other PEDs. Participants were recruited through snowball sampling in gym-adjacent communities across six urban districts. Interviews were conducted online, recorded, transcribed, and analyzed to identify emergent psychological themes. Results: Six interconnected themes were identified: (1) body-based insecurity and the fantasy of reinvention; (2) emotional regulation through bodily control; (3) secrecy as autonomy; (4) compulsive enhancement and dissatisfaction; (5) psychological dependency and regret; and (6) PED use as agency and protest. While male and female participants differed in aesthetic goals and social narratives, both groups framed PED use as a means of identity construction, emotional survival, and social validation. Participants did not perceive themselves as deviant but as strategic actors navigating a performance-driven culture. Conclusions: PED use among youth in urban Türkiye emerges as a psychologically embedded coping mechanism rooted in emotional regulation, self-concept, and perceived control. Rather than a deviant behavior, it reflects an adaptive but precarious strategy for managing insecurity and achieving recognition during a critical developmental stage. Full article
Show Figures

Figure 1

24 pages, 1558 KB  
Article
Short-Term Detection of Dynamic Stress Levels in Exergaming with Wearables
by Giulia Masi, Gianluca Amprimo, Irene Rechichi, Gabriella Olmo and Claudia Ferraris
Sensors 2025, 25(21), 6572; https://doi.org/10.3390/s25216572 - 25 Oct 2025
Viewed by 371
Abstract
This study evaluates the feasibility of using a lightweight, off-the-shelf sensing system for short-term stress detection during exergaming. Most existing studies in stress detection compare rest and task conditions, providing limited insight into continuous stress dynamics, and there is no agreement on optimal [...] Read more.
This study evaluates the feasibility of using a lightweight, off-the-shelf sensing system for short-term stress detection during exergaming. Most existing studies in stress detection compare rest and task conditions, providing limited insight into continuous stress dynamics, and there is no agreement on optimal sensor configurations. To address these limitations, we investigated dynamic stress responses induced by a cognitive–motor task designed to simulate rehabilitation-like scenarios. Twenty-three participants completed the experiment, providing electrodermal activity (EDA), blood volume pulse (BVP), self-report, and in-game data. Features extracted from physiological signals were analyzed statistically, and shallow machine learning classifiers were applied to discriminate among stress levels. EDA-based features reliably differentiated stress conditions, while BVP features showed less consistent behavior. The classification achieved an overall accuracy of 0.70 across four stress levels, with most errors between adjacent levels. Correlations between EDA dynamics and perceived stress scores suggested individual variability possibly linked to chronic stress. These results demonstrate the feasibility of low-cost, unobtrusive stress monitoring in interactive environments, supporting future applications of dynamic stress detection in rehabilitation and personalized health technologies. Full article
(This article belongs to the Special Issue Wearable Devices for Physical Activity and Healthcare Monitoring)
Show Figures

Figure 1

23 pages, 1986 KB  
Article
GMHCA-MCBILSTM: A Gated Multi-Head Cross-Modal Attention-Based Network for Emotion Recognition Using Multi-Physiological Signals
by Xueping Li, Yanbo Li, Yuhang Li and Yuan Yang
Algorithms 2025, 18(10), 664; https://doi.org/10.3390/a18100664 - 20 Oct 2025
Viewed by 478
Abstract
To address the limitations of the single-modal electroencephalogram (EEG), such as its single physiological dimension, weak anti-interference ability, and inability to fully reflect emotional states, this paper proposes a gated multi-head cross-attention module (GMHCA) for multimodal fusion of EEG, electrooculography (EOG),and electrodermal activity [...] Read more.
To address the limitations of the single-modal electroencephalogram (EEG), such as its single physiological dimension, weak anti-interference ability, and inability to fully reflect emotional states, this paper proposes a gated multi-head cross-attention module (GMHCA) for multimodal fusion of EEG, electrooculography (EOG),and electrodermal activity (EDA). This attention module employs three independent and parallel attention computation units to assign independent attention weights to different feature subsets across modalities. Combined with a modality complementarity metric, the gating mechanism suppresses redundant heads and enhances the information transmission of key heads. Through multi-head concatenation, cross-modal interaction results from different perspectives are fused. For the backbone network, a multi-scale convolution and bidirectional long short-term memory network (MC-BiLSTM) is designed for feature extraction, tailored to the characteristics of each modality. Experiments show that this method, which primarily fuses eight-channel EEG with peripheral physiological signals, achieves an emotion recognition accuracy of 89.45%, a 7.68% improvement over single-modal EEG. In addition, in cross-subject experiments conducted on the SEED-IV dataset, the EEG+EOG modality achieved a classification accuracy of 92.73%. All were significantly better than the baseline method. This fully demonstrates the effectiveness of the innovative GMHCA module architecture and MC-BiLSTM feature extraction network proposed in this paper for multimodal fusion methods. Through the novel attention gating mechanism, higher recognition accuracy is achieved while significantly reducing the number of EEG channels, providing new ideas and approaches based on attention mechanisms and gated fusion for multimodal emotion recognition in resource-constrained environments. Full article
(This article belongs to the Special Issue Machine Learning in Medical Signal and Image Processing (4th Edition))
Show Figures

Graphical abstract

20 pages, 11158 KB  
Article
Effect of Roller Angle on Formability in Rotary Forming of Spiral Corrugated Tubes
by Shiliang Zhang, Hikaru Eda, Kazuyori Okabe and Yoshihiko Mizuta
J. Manuf. Mater. Process. 2025, 9(10), 337; https://doi.org/10.3390/jmmp9100337 - 15 Oct 2025
Viewed by 298
Abstract
Spiral corrugated tubes are widely utilized to enhance the performance of heat exchangers. However, they are typically formed via hydroforming, which renders efficient manufacturing challenging. Therefore, this study presents a rotary forming method using multiple rollers for the continuous production of spiral corrugated [...] Read more.
Spiral corrugated tubes are widely utilized to enhance the performance of heat exchangers. However, they are typically formed via hydroforming, which renders efficient manufacturing challenging. Therefore, this study presents a rotary forming method using multiple rollers for the continuous production of spiral corrugated tubes. During the forming process, the rollers rotate around the tube, pressing against its outer surface, and the tube moves axially, forming spiral grooves. This study experimentally evaluated the effects of varying roller angles on formability by analyzing maximum rotation speed, outside diameter, thickness distribution, groove depth, and peak pitch. The experiments were performed thrice under each condition to ensure reproducibility. The results indicate that the formable rotation speed increases by 40% when the roller angle is adjusted from 32° to 40°. For the same rotational speed, a larger roller angle prevents stress concentration. As the roller angle decreases, the outside diameter also decreases, and the groove depth and peak pitch tend to increase. Under a roller angle of 40° and a rotational speed of 150 rpm, the thickness deviation ratio of the formed product is only 0.13, demonstrating improved uniformity. Full article
(This article belongs to the Special Issue Advances in Material Forming: 2nd Edition)
Show Figures

Figure 1

24 pages, 1312 KB  
Article
Differences in Human Response When Interacting in Real and Virtual (VR) Human–Robot Scenarios
by Jonas Birkle and Verena Wagner-Hartl
Automation 2025, 6(4), 58; https://doi.org/10.3390/automation6040058 - 15 Oct 2025
Viewed by 310
Abstract
The utilization of robots has become an integral aspect of industrial operations. In this particular context, the study of the interaction of humans and robots aims to integrate their relevant capabilities with the intention of attaining maximum efficiency. Moreover, in the private sector, [...] Read more.
The utilization of robots has become an integral aspect of industrial operations. In this particular context, the study of the interaction of humans and robots aims to integrate their relevant capabilities with the intention of attaining maximum efficiency. Moreover, in the private sector, interaction with robots is already common in many places. Acceptance, trust, and perceived emotions vary widely depending on specific contexts. This highlights the necessity for adequate training to mitigate fears and enhance trust and acceptance. Currently, no such training is available. Virtual realities have frequently proven to be helpful platforms for the implementation of training. This study aims to evaluate the suitability of virtual realities for training in this specific application area. For this purpose, simple object handovers were performed in three different scenarios (reality, virtual reality, and hybrid reality). Subjective evaluations of the participants were extended by psychophysiological (ECG and EDA) and performance measures. In most cases, the results show no significant differences between the scenarios, indicating that personal perception during interaction is transferable to a virtual reality. This demonstrates the general suitability of virtual realities in this context. Full article
(This article belongs to the Section Robotics and Autonomous Systems)
Show Figures

Figure 1

22 pages, 617 KB  
Review
Mapping the Neurophysiological Link Between Voice and Autonomic Function: A Scoping Review
by Carmen Morales-Luque, Laura Carrillo-Franco, Manuel Víctor López-González, Marta González-García and Marc Stefan Dawid-Milner
Biology 2025, 14(10), 1382; https://doi.org/10.3390/biology14101382 - 10 Oct 2025
Viewed by 454
Abstract
Vocal production requires the coordinated control of respiratory, laryngeal, and autonomic systems. In individuals with high vocal demand, this physiological load may influence autonomic regulation, even in the absence of voice disorders. This scoping review systematically mapped current evidence on the relationship between [...] Read more.
Vocal production requires the coordinated control of respiratory, laryngeal, and autonomic systems. In individuals with high vocal demand, this physiological load may influence autonomic regulation, even in the absence of voice disorders. This scoping review systematically mapped current evidence on the relationship between voice production and autonomic nervous system (ANS) activity in adults, focusing exclusively on studies that assessed both systems simultaneously. A systematic search was conducted in PubMed, Scopus, Web of Science, Embase, and CINAHL, following PRISMA-ScR guidelines. Eligible studies included adults performing structured vocal tasks with concurrent autonomic measurements. Data were extracted and synthesized descriptively. Fifteen studies met the inclusion criteria. Most involved healthy adults with high vocal demand, while some included participants with subclinical or functional voice traits. Vocal tasks ranged from singing and sustained phonation to speech under cognitive or emotional load. Autonomic measures included heart rate (HR), heart rate variability (HRV), and electrodermal activity (EDA), among others. Four thematic trends emerged: autonomic synchronization during group vocalization; modulation of autonomic tone by vocal rhythm and structure; voice–ANS interplay under stress; and physiological coupling in hyperfunctional vocal behaviours. This review’s findings suggest that vocal activity can modulate autonomic function, supporting the potential integration of autonomic markers into experimental and clinical voice research. Full article
Show Figures

Figure 1

27 pages, 6474 KB  
Article
Symmetry-Aware EKV-Based Metaheuristic Optimization of CMOS LC-VCOs for Low-Phase-Noise Applications
by Abdelaziz Lberni, Malika Alami Marktani, Abdelaziz Ahaitouf and Ali Ahaitouf
Symmetry 2025, 17(10), 1693; https://doi.org/10.3390/sym17101693 - 9 Oct 2025
Viewed by 309
Abstract
The integration of AI-driven optimization into Electronic Design Automation (EDA) enables smarter and more adaptive circuit design, where symmetry and asymmetry play key roles in balancing performance, robustness, and manufacturability. This work presents a model-driven optimization methodology for sizing low-phase-noise LC voltage-controlled oscillators [...] Read more.
The integration of AI-driven optimization into Electronic Design Automation (EDA) enables smarter and more adaptive circuit design, where symmetry and asymmetry play key roles in balancing performance, robustness, and manufacturability. This work presents a model-driven optimization methodology for sizing low-phase-noise LC voltage-controlled oscillators (VCOs) at 5 GHz, targeting Wi-Fi, 5G, and automotive radar applications. The approach uses the EKV transistor model for analytical CMOS device characterization and applies a diverse set of metaheuristic algorithms for both single-objective (phase noise minimization) and multi-objective (joint phase noise and power) optimization. A central focus is on how symmetry—embedded in the complementary cross-coupled LC-VCO topology—and asymmetry—introduced by parasitics, mismatch, and layout constraints—affect optimization outcomes. The methodology implicitly captures these effects during simulation-based optimization, enabling design-space exploration that is both symmetry-aware and robust to unavoidable asymmetries. Implemented in CMOS 180 nm technology, the approach delivers designs with improved phase noise and power efficiency while ensuring manufacturability. Yield analysis confirms that integrating symmetry considerations into metaheuristic-based optimization enhances performance predictability and resilience to process variations, offering a scalable, AI-aligned solution for high-performance analog circuit design within EDA workflows. Full article
(This article belongs to the Special Issue AI-Driven Optimization for EDA: Balancing Symmetry and Asymmetry)
Show Figures

Figure 1

17 pages, 9922 KB  
Article
Edaravone Mitigates Postovulatory Aging by Preserving Oocyte and Embryo Quality in Mice
by Kyeoung-Hwa Kim, Eun-Young Kim, Ah-Reum Lee, Mi-Kyoung Koong and Kyung-Ah Lee
Antioxidants 2025, 14(10), 1215; https://doi.org/10.3390/antiox14101215 - 9 Oct 2025
Viewed by 579
Abstract
Postovulatory aging (POA) significantly contributes to fertility decline, primarily through oxidative stress, which impairs oocyte quality, reduces embryonic developmental competence, and may adversely affect offspring health. Edaravone (EDA), a potent free radical scavenger, is known for its cytoprotective effects in various disease models. [...] Read more.
Postovulatory aging (POA) significantly contributes to fertility decline, primarily through oxidative stress, which impairs oocyte quality, reduces embryonic developmental competence, and may adversely affect offspring health. Edaravone (EDA), a potent free radical scavenger, is known for its cytoprotective effects in various disease models. This study aimed to evaluate whether EDA can mitigate the detrimental effects of POA on mouse oocyte and embryo quality and confirm its reproductive safety. Supplementation with 10 nM EDA significantly reduced meiotic abnormalities, restored mitochondrial distribution, enhanced mitochondrial membrane potential and ATP production, and decreased intracellular reactive oxygen species (ROS) in aged oocytes. Although EDA did not markedly improve fertilization or blastocyst formation rates, it enhanced embryo quality, with morphokinetic parameters comparable to those of young oocytes. Moreover, F1 offspring derived from embryos produced by EDA-treated POA oocytes were healthy, and female progeny exhibited normal reproductive competence. These findings demonstrate that EDA safely improves oocyte quality by alleviating POA-induced oxidative damage, offering a potential antioxidant strategy to enhance assisted reproductive technology (ART) outcomes when applied to IVF clinics. Full article
Show Figures

Graphical abstract

20 pages, 2005 KB  
Perspective
A Perspective on Analog and Mixed-Signal IC Design Amid Semiconductor Paradigm Shifts
by Gabriele Manganaro
Chips 2025, 4(4), 42; https://doi.org/10.3390/chips4040042 - 9 Oct 2025
Viewed by 567
Abstract
This position paper extends the author’s keynote address from the 2024 IEEE European Solid-State Electronics Research Conference, offering a perspective on effective strategies for the advancement of analog and mixed-signal (AMS) integrated circuit (IC) design. It is argued that traditional methodologies, characterized by [...] Read more.
This position paper extends the author’s keynote address from the 2024 IEEE European Solid-State Electronics Research Conference, offering a perspective on effective strategies for the advancement of analog and mixed-signal (AMS) integrated circuit (IC) design. It is argued that traditional methodologies, characterized by their focus on transistor-level optimization within individual sub-blocks, are insufficient for satisfying the stringent performance and power consumption demands of contemporary information and communication technologies (ICT), especially in the context of expanding AI applications. Consequently, a paradigm shift is necessary, emphasizing “full-stack” solutions that prioritize comprehensive system-level analysis and aim to minimize physical resources and reduce complexity by innovating across the established boundaries of design abstraction levels. Building on prior work, this manuscript offers a more thorough justification for the proposed full-stack analog design methodology, supported by broader evidence and more comprehensive discussion. It also identifies key considerations regarding EDA and workforce development as topics for future work. Full article
Show Figures

Figure 1

Back to TopTop