Hepatoprotection by Methylene Blue Against Doxorubicin Toxicity Through Coordinated Modulation of Oxidative Stress, ER Stress, and Apoptotic Pathways
Abstract
1. Introduction
2. Results
2.1. Effect of MB on DOX-Induced Hepatic Dysfunction
2.2. MB Effects on Hepatic OS Markers Against DIHT
2.3. Effects of MB on PERK/GRP78/CHOP Pathway Markers
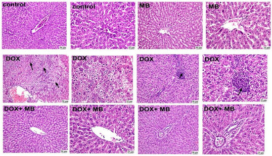
2.4. Evaluation of Histological Changes
2.5. Evaluation of Immunohistochemistry Changes
3. Discussion
4. Materials and Methods
4.1. Experimental Animals and Design
4.2. Sample Collection
4.3. Biochemical Analysis
4.3.1. Serum Hepatic Markers
4.3.2. Oxidative and Antioxidant Stress Markers
4.3.3. Estimation of Hepatic Tissue Concentrations of Apoptotic Biomarkers
4.4. Histopathological Examination
4.5. Immunohistochemistry (IHC)
4.6. Assessment of IHC Staining
4.7. Statistical Analysis
5. Conclusions
Supplementary Materials
Author Contributions
Funding
Institutional Review Board Statement
Data Availability Statement
Acknowledgments
Conflicts of Interest
References
- Jacevic, V.; Djordjevic, A.; Srdjenovic, B.; Milic-Tores, V.; Segrt, Z.; Dragojevic-Simic, V.; Kuca, K. Fullerenol Nanoparticles Prevents Doxorubicin-Induced Acute Hepatotoxicity in Rats. Exp. Mol. Pathol. 2017, 102, 360–369. [Google Scholar] [CrossRef]
- Martindale, W.; Sweetman, S.C. (Eds.) Martindale: The Complete Drug Reference, 36th ed.; Pharmaceuticale Press, PhP: London, UK; Chicago, IL, USA, 2009; ISBN 978-0-85369-840-1. [Google Scholar]
- Clinton, J.W.; Kiparizoska, S.; Aggarwal, S.; Woo, S.; Davis, W.; Lewis, J.H. Drug-Induced Liver Injury: Highlights and Controversies in the Recent Literature. Drug Saf. 2021, 44, 1125–1149. [Google Scholar] [CrossRef]
- Renu, K.; Valsala Gopalakrishnan, A. Deciphering the Molecular Mechanism during Doxorubicin-Mediated Oxidative Stress, Apoptosis through Nrf2 and PGC-1α in a Rat Testicular Milieu. Reprod. Biol. 2019, 19, 22–37. [Google Scholar] [CrossRef]
- Renu, K.; Sruthy, K.B.; Parthiban, S.; Sugunapriyadharshini, S.; George, A.; Pichiah, P.B.T.; Suman, S.; Abilash, V.G.; Arunachalam, S. Elevated Lipolysis in Adipose Tissue by Doxorubicin via PPARα Activation Associated with Hepatic Steatosis and Insulin Resistance. Eur. J. Pharmacol. 2019, 843, 162–176. [Google Scholar] [CrossRef]
- Renu, K.; Abilash, V.G.; Pichiah, P.B.T.; Arunachalam, S. Molecular Mechanism of Doxorubicin-Induced Cardiomyopathy—An Update. Eur. J. Pharmacol. 2018, 818, 241–253. [Google Scholar] [CrossRef]
- Henninger, C.; Huelsenbeck, J.; Huelsenbeck, S.; Grösch, S.; Schad, A.; Lackner, K.J.; Kaina, B.; Fritz, G. The Lipid Lowering Drug Lovastatin Protects against Doxorubicin-Induced Hepatotoxicity. Toxicol. Appl. Pharmacol. 2012, 261, 66–73. [Google Scholar] [CrossRef]
- Barakat, B.M.; Ahmed, H.I.; Bahr, H.I.; Elbahaie, A.M. Protective Effect of Boswellic Acids against Doxorubicin-Induced Hepatotoxicity: Impact on Nrf2/HO-1 Defense Pathway. Oxidative Med. Cell Longev. 2018, 2018, 8296451. [Google Scholar] [CrossRef]
- Zhao, X.; Zhang, J.; Tong, N.; Chen, Y.; Luo, Y. Protective Effects of Berberine on Doxorubicin-Induced Hepatotoxicity in Mice. Biol. Pharm. Bull. 2012, 35, 796–800. [Google Scholar] [CrossRef]
- Mansouri, E.; Jangaran, A.; Ashtari, A. Protective Effect of Pravastatin on Doxorubicin-Induced Hepatotoxicity. Bratisl. Lek. Listy 2017, 118, 273–277. [Google Scholar] [CrossRef]
- Indu, R.; Azhar, T.S.; Nair, A.; Nair, C.K.K. Amelioration of Doxorubicin Induced Cardio-and Hepato-Toxicity by Carotenoids. J. Cancer Res. Ther. 2014, 10, 62–67. [Google Scholar] [CrossRef]
- Enomoto, A.; Itoh, K.; Nagayoshi, E.; Haruta, J.; Kimura, T.; O’Connor, T.; Harada, T.; Yamamoto, M. High Sensitivity of Nrf2 Knockout Mice to Acetaminophen Hepatotoxicity Associated with Decreased Expression of ARE-Regulated Drug Metabolizing Enzymes and Antioxidant Genes. Toxicol. Sci. 2001, 59, 169–177. [Google Scholar] [CrossRef]
- Tacar, O.; Sriamornsak, P.; Dass, C.R. Doxorubicin: An Update on Anticancer Molecular Action, Toxicity and Novel Drug Delivery Systems. J. Pharm. Pharmacol. 2013, 65, 157–170. [Google Scholar] [CrossRef]
- Heidari, R.; Moezi, L.; Asadi, B.; Ommati, M.M.; Azarpira, N. Hepatoprotective Effect of Boldine in a Bile Duct Ligated Rat Model of Cholestasis/Cirrhosis. PharmaNutrition 2017, 5, 109–117. [Google Scholar] [CrossRef]
- Gureev, A.P.; Sadovnikova, I.S.; Popov, V.N. Molecular Mechanisms of the Neuroprotective Effect of Methylene Blue. Biochemistry 2022, 87, 940–956. [Google Scholar] [CrossRef]
- Gores, G.J.; Miyoshi, H.; Botla, R.; Aguilar, H.I.; Bronk, S.F. Induction of the Mitochondrial Permeability Transition as a Mechanism of Liver Injury during Cholestasis: A Potential Role for Mitochondrial Proteases. Biochim. Biophys. Acta 1998, 1366, 167–175. [Google Scholar] [CrossRef] [PubMed]
- Palmeira, C.M.; Rolo, A.P. Mitochondrially-Mediated Toxicity of Bile Acids. Toxicology 2004, 203, 1–15. [Google Scholar] [CrossRef] [PubMed]
- Arduini, A.; Serviddio, G.; Tormos, A.M.; Monsalve, M.; Sastre, J. Mitochondrial Dysfunction in Cholestatic Liver Diseases. Front. Biosci. (Elite Ed.) 2012, 4, 2233–2252. [Google Scholar] [CrossRef]
- Schulz, S.; Schmitt, S.; Wimmer, R.; Aichler, M.; Eisenhofer, S.; Lichtmannegger, J.; Eberhagen, C.; Artmann, R.; Tookos, F.; Walch, A.; et al. Progressive Stages of Mitochondrial Destruction Caused by Cell Toxic Bile Salts. Biochim. Biophys. Acta 2013, 1828, 2121–2133. [Google Scholar] [CrossRef] [PubMed]
- Heidari, R.; Ahmadi, A.; Ommati, M.M.; Niknahad, H. Methylene Blue Improves Mitochondrial Function in The Liver of Cholestatic Rats. Trends Pharm. Sci. Technol. 2020, 6, 73–86. [Google Scholar] [CrossRef]
- Bužga, M.; Machytka, E.; Dvořáčková, E.; Švagera, Z.; Stejskal, D.; Máca, J.; Král, J. Methylene Blue: A Controversial Diagnostic Acid and Medication? Toxicol. Res. 2022, 11, 711–717. [Google Scholar] [CrossRef]
- Saddik, M.S.; Elsayed, M.M.A.; Abdel-Rheem, A.A.; El-Mokhtar, M.A.; Mosa, E.S.; Al-Hakkani, M.F.; Al-Shelkamy, S.A.; Khames, A.; Daha, M.A.; Abdel-Aleem, J.A. A Novel C@Fe@Cu Nanocomposite Loaded with Doxorubicin Tailored for the Treatment of Hepatocellular Carcinoma. Pharmaceutics 2022, 14, 1845. [Google Scholar] [CrossRef] [PubMed]
- Khames, A.; Khalaf, M.M.; Gad, A.M.; Abd El-Raouf, O.M.; Kandeil, M.A. Nicorandil Combats Doxorubicin-Induced Nephrotoxicity via Amendment of TLR4/P38 MAPK/NFκ-B Signaling Pathway. Chem. Biol. Interact. 2019, 311, 108777. [Google Scholar] [CrossRef]
- Zhang, J.; Guo, J.; Yang, N.; Huang, Y.; Hu, T.; Rao, C. Endoplasmic Reticulum Stress-Mediated Cell Death in Liver Injury. Cell Death Dis. 2022, 13, 1051. [Google Scholar] [CrossRef]
- Pu, S.; Pan, Y.; Zhang, Q.; You, T.; Yue, T.; Zhang, Y.; Wang, M. Endoplasmic Reticulum Stress and Mitochondrial Stress in Drug-Induced Liver Injury. Molecules 2023, 28, 3160. [Google Scholar] [CrossRef]
- Gotama, K.T.; Soetikno, V.; Louisa, M.; Arozal, W. Hepatoprotective Effects of L-Citrulline against Doxorubicin-Induced Liver Damage in Rats: An Analysis of Serum Biomarkers. Int. J. Appl. Pharm. 2019, 11, 230–233. [Google Scholar] [CrossRef]
- Wu, Y.-Z.; Wang, K.-X.; Ma, X.; Wang, C.-C.; Chen, N.-N.; Xiong, C.; Li, J.-X.; Su, S.-W. Therapeutic Effects of Atorvastatin on Doxorubicin-Induced Hepatotoxicity in Rats via Antioxidative Damage, Anti-Inflammatory, and Anti-Lipotoxicity. J. Biochem. Mol. Toxicol. 2023, 37, e23329. [Google Scholar] [CrossRef]
- Villanueva-Paz, M.; Morán, L.; López-Alcántara, N.; Freixo, C.; Andrade, R.J.; Lucena, M.I.; Cubero, F.J. Oxidative Stress in Drug-Induced Liver Injury (DILI): From Mechanisms to Biomarkers for Use in Clinical Practice. Antioxidants 2021, 10, 390. [Google Scholar] [CrossRef]
- Saleh, D.O.; Mahmoud, S.S.; Hassan, A.; Sanad, E.F. Doxorubicin-Induced Hepatic Toxicity in Rats: Mechanistic Protective Role of Omega-3 Fatty Acids through Nrf2/HO-1 Activation and PI3K/Akt/GSK-3β Axis Modulation. Saudi J. Biol. Sci. 2022, 29, 103308. [Google Scholar] [CrossRef]
- Li, S.; Li, H.; Xu, X.; Saw, P.E.; Zhang, L. Nanocarrier-Mediated Antioxidant Delivery for Liver Diseases. Theranostics 2020, 10, 1262–1280. [Google Scholar] [CrossRef]
- Meng, Z.; Wang, L.; Liao, Y.; Peng, Z.; Li, D.; Zhou, X.; Liu, S.; Li, Y.; Nüssler, A.K.; Liu, L.; et al. The Protective Effect of Heme Oxygenase-1 on Liver Injury Caused by DON-Induced Oxidative Stress and Cytotoxicity. Toxins 2021, 13, 732. [Google Scholar] [CrossRef] [PubMed]
- Yarmohammadi, F.; Rezaee, R.; Haye, A.W.; Karimi, G. Endoplasmic Reticulum Stress in Doxorubicin-Induced Cardiotoxicity May Be Therapeutically Targeted by Natural and Chemical Compounds: A Review. Pharmacol. Res. 2021, 164, 105383. [Google Scholar] [CrossRef] [PubMed]
- Kopsida, M.; Clavero, A.L.; Khaled, J.; Balgoma, D.; Luna-Marco, C.; Chowdhury, A.; Nyman, S.S.; Rorsman, F.; Ebeling Barbier, C.; Bergsten, P.; et al. Inhibiting the Endoplasmic Reticulum Stress Response Enhances the Effect of Doxorubicin by Altering the Lipid Metabolism of Liver Cancer Cells. Mol. Metab. 2024, 79, 101846. [Google Scholar] [CrossRef]
- Hughes, D.; Mallucci, G.R. The Unfolded Protein Response in Neurodegenerative Disorders—Therapeutic Modulation of the PERK Pathway. FEBS J. 2019, 286, 342–355. [Google Scholar] [CrossRef]
- Ong, G.; Logue, S.E. Unfolding the Interactions between Endoplasmic Reticulum Stress and Oxidative Stress. Antioxidants 2023, 12, 981. [Google Scholar] [CrossRef]
- Lin, R.-W.; Ho, C.-J.; Chen, H.-W.; Pao, Y.-H.; Chen, L.-E.; Yang, M.-C.; Huang, S.-B.; Wang, S.; Chen, C.-H.; Wang, C. P53 Enhances Apoptosis Induced by Doxorubicin Only under Conditions of Severe DNA Damage. Cell Cycle 2018, 17, 2175–2186. [Google Scholar] [CrossRef]
- Khafaga, A.F.; El-Sayed, Y.S. All-Trans-Retinoic Acid Ameliorates Doxorubicin-Induced Cardiotoxicity: In Vivo Potential Involvement of Oxidative Stress, Inflammation, and Apoptosis via Caspase-3 and P53 down-Expression. Naunyn Schmiedebergs Arch. Pharmacol. 2018, 391, 59–70. [Google Scholar] [CrossRef]
- Mustafa, M.; Ahmad, R.; Tantry, I.Q.; Ahmad, W.; Siddiqui, S.; Alam, M.; Abbas, K.; Moinuddin, N.; Hassan, M.I.; Habib, S.; et al. Apoptosis: A Comprehensive Overview of Signaling Pathways, Morphological Changes, and Physiological Significance and Therapeutic Implications. Cells 2024, 13, 1838. [Google Scholar] [CrossRef]
- Gadelmawla, M.H.A.; Alazzouni, A.S.; Farag, A.H.; Gabri, M.S.; Hassan, B.N. Enhanced Effects of Ferulic Acid against the Harmful Side Effects of Chemotherapy in Colon Cancer: Docking and in Vivo Study. JOBAZ 2022, 83, 28. [Google Scholar] [CrossRef]
- Dhara, A.; Kaur, R.; Chattopadhyay, R.; Das, S.; Pal, S.; Sen, N. Role of Apoptosis in Cancer: War of the Worlds, Therapeutic Targets and Strategies. In Apoptosis and Human Health: Understanding Mechanistic and Therapeutic Potential; Jana, K., Ed.; Springer Nature: Singapore, 2024; pp. 169–205. ISBN 978-981-97-7905-5. [Google Scholar]
- Özturk, N.; Ceylan, H.; Demir, Y. The Hepatoprotective Potential of Tannic Acid against Doxorubicin-Induced Hepatotoxicity: Insights into Its Antioxidative, Anti-Inflammatory, and Antiapoptotic Mechanisms. J. Biochem. Mol. Toxicol. 2024, 38, e23798. [Google Scholar] [CrossRef] [PubMed]
- AlAsmari, A.F.; Alharbi, M.; Alqahtani, F.; Alasmari, F.; AlSwayyed, M.; Alzarea, S.I.; Al-Alallah, I.A.; Alghamdi, A.; Hakami, H.M.; Alyousef, M.K.; et al. Diosmin Alleviates Doxorubicin-Induced Liver Injury via Modulation of Oxidative Stress-Mediated Hepatic Inflammation and Apoptosis via NfkB and MAPK Pathway: A Preclinical Study. Antioxidants 2021, 10, 1998. [Google Scholar] [CrossRef] [PubMed]
- Wang, L.; Wei, C.; Jing, J.; Shao, M.; Wang, Z.; Wen, B.; Lu, M.; Jia, Z.; Zhang, Y. The Effects of Polyphenols on Doxorubicin-Induced Nephrotoxicity by Modulating Inflammatory Cytokines, Apoptosis, Oxidative Stress, and Oxidative DNA Damage. Phytother. Res. 2025, 39, 2147–2164. [Google Scholar] [CrossRef]
- Poteet, E.; Winters, A.; Yan, L.-J.; Shufelt, K.; Green, K.N.; Simpkins, J.W.; Wen, Y.; Yang, S.-H. Neuroprotective Actions of Methylene Blue and Its Derivatives. PLoS ONE 2012, 7, e48279. [Google Scholar] [CrossRef] [PubMed]
- Duicu, O.M.; Privistirescu, A.; Wolf, A.; Petruş, A.; Dănilă, M.D.; Raţiu, C.D.; Muntean, D.M.; Sturza, A. Methylene Blue Improves Mitochondrial Respiration and Decreases Oxidative Stress in a Substrate-Dependent Manner in Diabetic Rat Hearts. Can. J. Physiol. Pharmacol. 2017, 95, 1376–1382. [Google Scholar] [CrossRef] [PubMed]
- Jiang, Z.; Watts, L.T.; Huang, S.; Shen, Q.; Rodriguez, P.; Chen, C.; Zhou, C.; Duong, T.Q. The Effects of Methylene Blue on Autophagy and Apoptosis in MRI-Defined Normal Tissue, Ischemic Penumbra and Ischemic Core. PLoS ONE 2015, 10, e0131929. [Google Scholar] [CrossRef]
- Mantawy, E.M.; El-Bakly, W.M.; Esmat, A.; Badr, A.M.; El-Demerdash, E. Chrysin Alleviates Acute Doxorubicin Cardiotoxicity in Rats via Suppression of Oxidative Stress, Inflammation and Apoptosis. Eur. J. Pharmacol. 2014, 728, 107–118. [Google Scholar] [CrossRef]
- Gholami Jourabi, F.; Yari, S.; Amiri, P.; Heidarianpour, A.; Hashemi, H. The Ameliorative Effects of Methylene Blue on Testicular Damage Induced by Cisplatin in Rats. Andrologia 2021, 53, e13850. [Google Scholar] [CrossRef]
- Abdallah, O.A.; Risha, E.F.; Elshopakey, G.E. Hepatoprotective and Antioxidant Effects of Artichoke against Carbon Tetrachloride-Toxicity in Rats. Life Sci. J. 2013, 10, 1436–1444. [Google Scholar]
- Abdel-Wahhab, K.G.; Ashry, M.; Hassan, L.K.; El-Azma, M.H.; Elqattan, G.M.; Gadelmawla, M.H.A.; Mannaa, F.A. Hepatic and Immune Modulatory Effectiveness of Lactoferrin Loaded Selenium Nanoparticles on Bleomycin Induced Hepatic Injury. Sci. Rep. 2024, 14, 21066. [Google Scholar] [CrossRef]
- Arab, H.H.; Alsufyani, S.E.; Ashour, A.M.; Gad, A.M.; Elhemiely, A.A.; Gadelmawla, M.H.A.; Mahmoud, M.A.; Khames, A. Targeting JAK2/STAT3, NLRP3/Caspase-1, and PK2/PKR2 Pathways with Arbutin Ameliorates Lead Acetate-Induced Testicular Injury in Rats. Pharmaceuticals 2024, 17, 909. [Google Scholar] [CrossRef]
- Abdel-Wahhab, K.G.; Ashry, M.; Hassan, L.K.; Gadelmawla, M.H.A.; Elqattan, G.M.; El-Fakharany, E.M.; Mannaaa, F.A. Nano-Chitosan/Bovine Lactoperoxidase and Lactoferrin Formulation Modulates the Hepatic Deterioration Induced by 7,12-Dimethylbenz[a]Anthracene. Comp. Clin. Pathol. 2023, 32, 981–991. [Google Scholar] [CrossRef]
- Alrashdi, B.M.; Askar, H.; Germoush, M.O.; Fouda, M.; Massoud, D.; Alzwain, S.; Abdelsater, N.; Salim, L.M.S.; Gadelmawla, M.H.A.; Ashry, M. Cardioprotective, Anti-Inflammatory, and Antioxidative Outcome of Costus against Bleomycin-Induced Cardiotoxicity in Rat Model. J. Genet. Eng. Biotechnol. 2025, 23, 100466. [Google Scholar] [CrossRef] [PubMed]








Disclaimer/Publisher’s Note: The statements, opinions and data contained in all publications are solely those of the individual author(s) and contributor(s) and not of MDPI and/or the editor(s). MDPI and/or the editor(s) disclaim responsibility for any injury to people or property resulting from any ideas, methods, instructions or products referred to in the content. |
© 2025 by the authors. Licensee MDPI, Basel, Switzerland. This article is an open access article distributed under the terms and conditions of the Creative Commons Attribution (CC BY) license (https://creativecommons.org/licenses/by/4.0/).
Share and Cite
Gad, E.S.; Ashour, A.M.; Gad, A.M.; Khames, A.; Ibrahim, S.G.; Gadelmawla, M.H.A.; Mansour, M. Hepatoprotection by Methylene Blue Against Doxorubicin Toxicity Through Coordinated Modulation of Oxidative Stress, ER Stress, and Apoptotic Pathways. Pharmaceuticals 2025, 18, 1625. https://doi.org/10.3390/ph18111625
Gad ES, Ashour AM, Gad AM, Khames A, Ibrahim SG, Gadelmawla MHA, Mansour M. Hepatoprotection by Methylene Blue Against Doxorubicin Toxicity Through Coordinated Modulation of Oxidative Stress, ER Stress, and Apoptotic Pathways. Pharmaceuticals. 2025; 18(11):1625. https://doi.org/10.3390/ph18111625
Chicago/Turabian StyleGad, Enas S., Ahmed M. Ashour, Amany M. Gad, Ali Khames, Shaimaa G. Ibrahim, Mohamed H. A. Gadelmawla, and Mona Mansour. 2025. "Hepatoprotection by Methylene Blue Against Doxorubicin Toxicity Through Coordinated Modulation of Oxidative Stress, ER Stress, and Apoptotic Pathways" Pharmaceuticals 18, no. 11: 1625. https://doi.org/10.3390/ph18111625
APA StyleGad, E. S., Ashour, A. M., Gad, A. M., Khames, A., Ibrahim, S. G., Gadelmawla, M. H. A., & Mansour, M. (2025). Hepatoprotection by Methylene Blue Against Doxorubicin Toxicity Through Coordinated Modulation of Oxidative Stress, ER Stress, and Apoptotic Pathways. Pharmaceuticals, 18(11), 1625. https://doi.org/10.3390/ph18111625

