More Bone with Less Minerals? The Effects of Dietary Phosphorus on the Post-Cranial Skeleton in Zebrafish
Abstract
1. Introduction
2. Results
2.1. Zebrafish Growth Depends on Dietary P
2.2. T0 Animals Display a Mineralised Vertebral Column without Any Anomaly
2.3. Mineralisation of Endoskeleton and Dermal Skeleton Is Arrested under Low P Conditions
2.4. Dietary P Has No Effect on Vertebral Morphology but HP Animals Have Fused Vertebral Centra
2.5. High Dietary P Is Associated with a Higher Stiffness in the Vertebral Endplates
2.6. LP Individuals Have Increased Bone Matrix Formation and Highly Active Osteoblasts
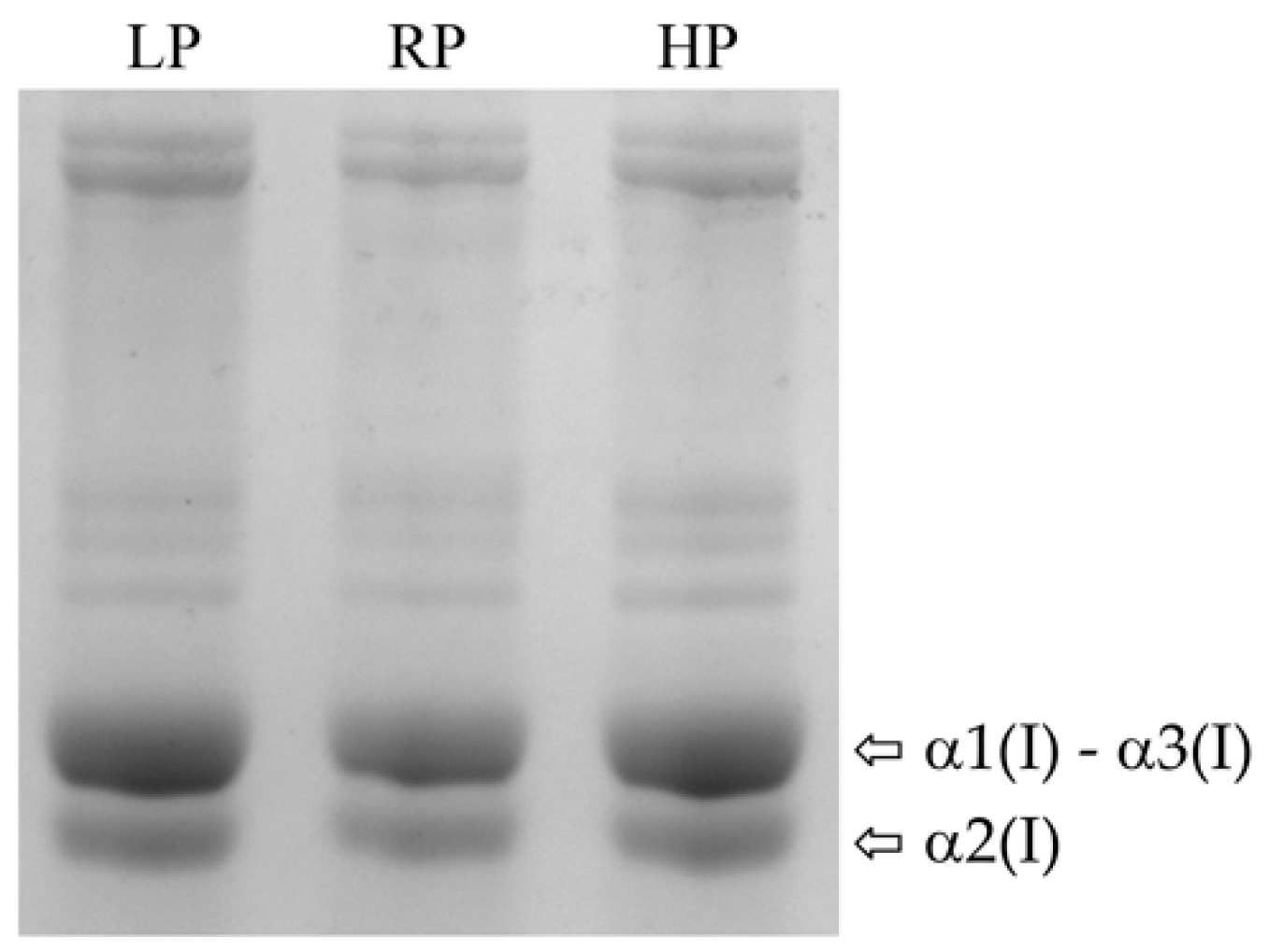
2.7. Collagen Type I is Unaltered in All Dietary Groups
3. Discussion
3.1. Skeletal Mineralisation Arrest under Low P Conditions
3.2. A Functional and Unaltered Axial Skeleton Despite Low Dietary P
3.3. Is There a Link between Excess P Content and Vertebral Fusion?
3.4. Less Minerals but More Bone Production by Osteoblasts
4. Materials and Methods
4.1. Zebrafish and Ethical Statement
4.2. Experimental Diets
4.3. Morphometric Analysis
4.4. Whole Mount Staining with Alizarin Red S
4.5. Histological Analysis
4.6. Transmission Electron Microscopy
4.7. X-rays
4.8. Synchrotron X-ray Tomographic Microscopy
4.9. Nanoindentation
4.10. Collagen Extraction from Bone
4.11. Statistical Analysis
5. Conclusions
Supplementary Materials
Author Contributions
Funding
Acknowledgments
Conflicts of Interest
References
- Witten, P.E.; Huysseune, A. A comparative view on mechanisms and functions of skeletal remodelling in teleost fish, with special emphasis on osteoclasts and their function. Biol. Rev. Camb. Philos. Soc. 2009, 84, 315–346. [Google Scholar] [CrossRef]
- Dean, M.N.; Ekstrom, L.; Monsonego-Ornan, E.; Ballantyne, J.; Witten, P.E.; Riley, C.; Habraken, W.; Omelon, S. Mineral homeostasis and regulation of mineralization processes in the skeletons of sharks, rays and relatives (Elasmobranchii). Semin. Cell Dev. Biol. 2015, 46, 51–67. [Google Scholar] [CrossRef]
- Carroll, R.L. Vertebrate Paleontology and Evolution; W. H. Freeman and Company: New York, NY, USA, 1988. [Google Scholar]
- Hall, B.K.; Witten, P.E. Plasticity of and Transitions between Skeletal Tissues in Vertebrate Evolution and Development. In Major Transitions in Vertebrate Evolution; Anderson, J.S., Sues, H.D., Eds.; Indiana University Press: Bloomington, IN, USA, 2007; pp. 13–59. [Google Scholar]
- Tarlo, L.B.H. The origin of bone. In Bone and Tooth. Proceedings of the First European Bone and Tooth Symposium; Blackwood, H.J.J., Ed.; Pergamon Press: Oxford, UK, 1964; pp. 3–15. [Google Scholar]
- Murshed, M.; Harmey, D.; Millán, J.L.; McKee, M.D.; Karsenty, G. Unique coexpression in osteoblasts of broadly expressed genes accounts for the spatial restriction of ECM mineralization to bone. Genes. Dev. 2005, 19, 1093–1104. [Google Scholar] [CrossRef]
- Boivin, G.; Meunier, P.J. The degree of mineralization of bone tissue measured by computerized quantitative contact microradiography. Calcif. Tissue Int. 2002, 70, 503–511. [Google Scholar] [CrossRef]
- Klein-Nulend, J.; Bakker, A.D.; Bacabac, R.G.; Vatsa, A.; Weinbaum, S. Mechanosensation and transduction in osteocytes. Bone 2013, 54, 182–190. [Google Scholar] [CrossRef]
- Vielma, J.; Lall, S.P. Phosphorus utilization by Atlantic salmon (Salmo salar) reared in freshwater is not influenced by higher dietary calcium intake. Aquaculture 1998, 160, 117–128. [Google Scholar] [CrossRef]
- Witten, P.E.; Owen, M.A.; Fontanillas, R.; Soenens, M.; McGurk, C.; Obach, A. A primary phosphorus-deficient skeletal phenotype in juvenile Atlantic salmon Salmo salar: The uncoupling of bone formation and mineralization. J. Fish Biol. 2016, 88, 690–708. [Google Scholar] [CrossRef]
- Verri, T.; Werner, A. Type II Na+ -phosphate Cotransporters and Phosphate Balance in Teleost Fish. Pflugers Arch. 2019, 471, 193–212. [Google Scholar] [CrossRef]
- Witten, P.E.; Fjelldal, P.G.; Huysseune, A.; McGurk, C.; Obach, A.; Owen, M.A.G. Bone without minerals and its secondary mineralization in Atlantic salmon. J. Exp. Biol. 2019, 222, jeb188763. [Google Scholar] [CrossRef]
- Takagi, Y.; Yamada, J. Effects of Calcium and Phosphate Deficiencies on Bone Metabolism in a Teleost, Tilapia (Oreochromis niloticus): A Histomorphometric Study. In Mechanisms and Phylogeny of Mineralization in Biological Systems; Suga, S., Nakahara, H., Eds.; Springer: Tokyo, Japan, 1991; pp. 187–191. [Google Scholar]
- Baylink, D.; Wergedal, J.; Stauffer, M. Formation, mineralization, and resorption of bone in hypophosphatemic rats. J. Clin. Investig. 1971, 50, 2519–2530. [Google Scholar] [CrossRef]
- Bonjour, J.P. Calcium and Phosphate: A Duet of Ions Playing for Bone Health. J. Am. Coll. Nutr. 2011, 30, 438S–448S. [Google Scholar] [CrossRef]
- Knochel, J.P. The Pathophysiology and Clinical Characteristics of Severe Hypophosphatemia. Arch. Intern. Med. 1977, 137, 203–220. [Google Scholar] [CrossRef]
- Anderson, M.F. Phosphates in Nutrition, and the Mineral Theory of Consumption and Allied Diseases. Edinb. Med. J. 1878, 24, 449–453. [Google Scholar] [CrossRef]
- Bishop, J. On the causes, pathology, and treatment of deformities in the human body (with cases and engravings). Lancet 1848, 52, 7–10. [Google Scholar] [CrossRef]
- Francis, F.; Henning, S.; Korn, B.; Reinhardt, R.; de Jong, P.; Poustka, A.; Lehrach, H.; Rowe, P.; Goulding, J.; Summerfield, T.; et al. A gene (PEX) with homologies to endopeptidases is mutated in patients with X-linked hypophosphatemic rickets. Nat. Genet. 1995, 11, 130–136. [Google Scholar] [CrossRef]
- Baeverfjord, G.; Antony Jesu Prabhu, P.; Fjelldal, P.G.; Albrektsen, S.; Hatlen, B.; Denstadli, V.; Ytteborg, E.; Takle, H.; Lock, E.J.; Berntssen, M.H.; et al. Mineral nutrition and bone health in salmonids. Rev. Aquacult. 2019, 11, 740–765. [Google Scholar] [CrossRef]
- Deschamps, M.H.; Kacem, A.; Ventura, R.; Courty, G.; Haffray, P.; Meunier, F.J.; Sire, J.Y. Assessment of “discreet” vertebral abnormalities, bone mineralization and bone compactness in farmed rainbow trout. Acquaculture 2008, 279, 11–17. [Google Scholar] [CrossRef]
- Poirier Stewart, N.; Deschamps, M.H.; Witten, P.E.; Le Luyer, J.; Proulx, E.; Huysseune, A.; Bureau, D.P.; Vandenberg, G.W. X-ray-based morphometrics: An approach to diagnose vertebral abnormalities in under-mineralized vertebrae of juvenile triploid all-female rainbow trout (Oncorhynchus mykiss) fed with a phosphorus deficient diet. J. Appl. Ichtyol. 2014, 30, 496–803. [Google Scholar] [CrossRef]
- Sullivan, M.; Reid, S.W.; Ternent, H.; Manchester, N.J.; Roberts, R.J.; Stone, D.A.; Hardy, R.W. The aetiology of spinal deformity in Atlantic salmon, Salmo salar L.: Influence of different commercial diets on the incidence and severity of the preclinical condition in salmon parr under two contrasting husbandry regimes. J. Fish Dis. 2007, 30, 759–767. [Google Scholar] [CrossRef]
- Fjelldal, P.G.; Hansen, T.; Albrektsen, S. Inadequate phosphorus nutrition in juvenile Atlantic salmon has a negative effect on long-term bone health. Aquaculture 2012, 334-337, 117–123. [Google Scholar] [CrossRef]
- Komaba, H.; Fukagawa, M. Phosphate—A poison for humans? Kidney Int. 2016, 90, 753–763. [Google Scholar] [CrossRef] [PubMed]
- Razzaque, M.S. Phosphate toxicity: New insights into an old problem. Clin. Sci. 2011, 120, 91–97. [Google Scholar] [CrossRef]
- Chen, N.X.; O’Neill, K.D.; Duan, D.; Moe, S.M. Phosphorus and uremic serum up-regulate osteopontin expression in vascular smooth muscle cells. Kidney Int. 2002, 62, 1724–1731. [Google Scholar] [CrossRef]
- Jono, S.; McKee, M.D.; Murry, C.E.; Shioi, A.; Nishizawa, Y.; Mori, K.; Morii, H.; Giachelli, C.M. Phosphate Regulation of Vascular Smooth Muscle Cell Calcification. Circ. Res. 2000, 87, e10–e17. [Google Scholar] [CrossRef]
- Leopold, J.A. Vascular calcification: Mechanisms of vascular smooth muscle cell calcification. Trends Cardiovasc. Med. 2015, 25, 267–274. [Google Scholar] [CrossRef]
- Cook, S.D.; Skinner, H.B.; Haddad, R.J. A Quantitative Histologic Study of Osteoporosis Produced by Nutritional Secondary Hyperparathyroidism in Dogs. Clin. Orthop. Relat. Res. 1983, 105–120. [Google Scholar] [CrossRef] [PubMed]
- Saville, P.D.; Krook, L. Gravimetric and isotopic studies in nutritional hyperparathyroidism in beagles. Clin. Orthop. Relat. Res. 1969, 62, 15–24. [Google Scholar] [CrossRef]
- Krook, L.; Lutwak, L.; Henrikson, P.A.; Kallfelz, F.; Hirsch, C.; Romanus, B.; Bélanger, L.F.; Marier, J.R.; Sheffy, B.E. Reversibility of Nutritional Osteoporosis: Physicochemical Data on Bones from an Experimental Study in Dogs. J. Nutr. 1971, 101, 233–246. [Google Scholar] [CrossRef]
- Laflamme, G.H.; Jowsey, J. Bone and soft tissue changes with oral phosphate supplements. J. Clin. Investig. 1972, 51, 2834–2840. [Google Scholar] [CrossRef]
- Harris, W.H.; Heaney, R.P.; Davis, L.A.; Weinberg, E.H.; Coutts, R.D.; Schiller, A.L. Stimulation of bone formation in vivo by phosphate supplementation. Calcif. Tissue Res. 1976, 22, 85–98. [Google Scholar] [CrossRef]
- Witten, P.E.; Harris, M.P.; Huysseune, A.; Winkler, C. Small teleost fish provide new insights into human skeletal diseases. Methods Cell Biol. 2017, 138, 321–346. [Google Scholar] [CrossRef] [PubMed]
- Tonelli, F.; Cotti, S.; Leoni, L.; Besio, R.; Gioia, R.; Marchese, L.; Giorgetti, S.; Villani, S.; Gistelinck, C.; Wagener, R.; et al. Crtap and p3h1 knock out zebrafish support defective collagen chaperoning as the cause of their osteogenesis imperfecta phenotype. Matrix Biol. 2020, 90, 40–60. [Google Scholar] [CrossRef] [PubMed]
- Gisbert, E.; Darias, M.J.; Font-i-Furnols, M. Advantages and limitations of X-ray and computed tomography systems for the study of the skeleton in meagre (Argyrosomus regius). J. Appl. Ichthyol. 2012, 28, 441–445. [Google Scholar] [CrossRef]
- Phan, H.E.; Northorp, M.; Lalonde, R.L.; Ngo, D.; Akimenko, M.A. Differential actinodin1 regulation in embryonic development and adult fin regeneration in Danio rerio. PLoS ONE 2019, 14, e0216370. [Google Scholar] [CrossRef]
- Christou, M.; Iliopoulou, M.; Witten, P.E.; Koumoundouros, G. Segmentation pattern of zebrafish caudal fin is affected by developmental temperature and defined by multiple fusions between segments. J. Exp. Zool. B Mol. Dev. Evol. 2018, 330, 330–340. [Google Scholar] [CrossRef]
- Bird, N.C.; Mabee, P.M. Developmental morphology of the axial skeleton of the zebrafish, Danio rerio (Ostariophysi: Cyprinidae). Dev. Dyn. 2003, 228, 337–357. [Google Scholar] [CrossRef]
- Ferreri, F.; Nicolais, C.; Boglione, C.; Bmertoline, B. Skeletal characterization of wild and reared zebrafish: Anomalies and meristic characters. J. Fish Biol. 2000, 56, 1115–1128. [Google Scholar] [CrossRef]
- Printzi, A.; Fragkoulis, S.; Dimitriadi, A.; Keklikoglou, K.; Arvanitidis, C.; Witten, P.E.; Koumoundouros, G. Exercise-induced lordosis in zebrafish Danio rerio (Hamilton, 1822). J. Fish Biol. 2020. [Google Scholar] [CrossRef]
- Martini, A.; Huysseune, A.; Witten, P.E.; Boglione, C. Plasticity of the skeleton and skeletal deformities in zebrafish (Danio rerio) linked to rearing density. J. Fish Biol. 2020, 1–16. [Google Scholar] [CrossRef]
- Witten, P.E.; Huysseune, A. Mechanisms of Chondrogenesis and Osteogenesis in Fins. In Fins into Limbs: Evolution, Development, and Transformation; Hall, B.K., Ed.; The University of Chicago Press: Chicago, IL, USA, 2007; pp. 79–92. [Google Scholar]
- Ishikawa, Y.; Bächinger, H.P. A molecular ensemble in the rER for procollagen maturation. Biochim. Biophys. Acta 2013, 1833, 2479–2491. [Google Scholar] [CrossRef]
- De Ricqlès, A.; Meunier, F.; Castanet, J.; Francillon-Vieillot, H. Comparative Microstructure of Bone. In Bone Metabolism and Mineralisation; Hall, B.K., Ed.; CRC Press: Boca Raton, FL, USA, 1982; Volume 3, pp. 1–19. [Google Scholar]
- Eicher, E.M.; Southard, J.L.; Scriver, C.R.; Glorieux, F.H. Hypophosphatemia: Mouse model for human familial hypophosphatemic (vitamin D-resistant) rickets. Proc. Natl. Acad. Sci. USA 1976, 73, 4667–4671. [Google Scholar] [CrossRef]
- Tenenhouse, H.S. X-linked hypophosphataemia: A homologous disorder in humans and mice. Nephrol. Dial. Transpl. 1999, 14, 333–341. [Google Scholar] [CrossRef]
- Wang, X.; Wang, S.; Li, C.; Gao, T.; Liu, Y.; Rangiani, A.; Sun, Y.; Hao, J.; George, A.; Lu, Y.; et al. Inactivation of a Novel FGF23 Regulator, FAM20C, Leads to Hypophosphatemic Rickets in Mice. PLoS Genet. 2012, 8, e1002708. [Google Scholar] [CrossRef]
- Bacchetta, J.; Salusky, I.B. Evaluation of Hypophosphatemia: Lessons from Patients with Genetic Disorders. Am. J. Kidney Dis. 2012, 59, 152–159. [Google Scholar] [CrossRef]
- Maisey, J.G. Discovering Fossil Fishes; Westview Press: Boulder, CO, USA, 2000. [Google Scholar]
- Reif, W.E. Evolution of Dermal Skeleton and Dentition in Vertebrates. The Odontode Regulation Theory. In Evolutionary Biology; Hecht, M.K., Wallace, B., Prance, G.T., Eds.; Plenum Press: New York, NY, USA, 1982; pp. 287–368. [Google Scholar]
- Sire, J.Y.; Huysseune, A. Formation of dermal skeletal and dental tissues in fish: A comparative and evolutionary approach. Biol. Rev. Camb. Philos. Soc. 2003, 78, 219–249. [Google Scholar] [CrossRef]
- Huitema, L.F.; Apschner, A.; Logister, I.; Spoorendonk, K.M.; Bussmann, J.; Hammond, C.L.; Schulte-Merker, S. Entpd5 is essential for skeletal mineralization and regulates phosphate homeostasis in zebrafish. Proc. Natl. Acad. Sci. USA 2012, 109, 21372–21377. [Google Scholar] [CrossRef]
- Bensimon-Brito, A.; Cardeira, J.; Dionísio, G.; Huysseune, A.; Cancela, M.L.; Witten, P.E. Revisiting in vivo staining with alizarin red S—A valuable approach to analyse zebrafish skeletal mineralization during development and regeneration. BMC Dev. Biol. 2016, 16, 2. [Google Scholar] [CrossRef]
- Witten, P.E.; Obach, A.; Huysseune, A.; Baeverfjord, G. Vertebrae fusion in Atlantic salmon (Salmo salar): Development, aggravation and pathways of containment. Aquaculture 2006, 258, 164–172. [Google Scholar] [CrossRef]
- Witten, P.E.; Gil-Martens, L.; Huysseune, A.; Takle, H.; Hjelde, K. Towards a classification and an understanding of developmental relationships of vertebral body malformations in Atlantic salmon (Salmo salar L.). Aquaculture 2009, 295, 6–14. [Google Scholar] [CrossRef]
- Baeverfjord, G.; Åsgård, T.; Shearer, K.D. Development and detection of phosphorous deficiency in Atlantic salmon, Salmo salar L., parr and post-smolts. Aquacult. Nutr. 1998, 4, 1–11. [Google Scholar] [CrossRef]
- Lall, S.P.; Lewis-McCrea, L.M. Role of nutrients in skeletal metabolism and pathology in fish—An overview. Aquaculture 2007, 267, 3–19. [Google Scholar] [CrossRef]
- Roy, P.K.; Lall, S.P. Dietary phosphorus requirement of juvenile haddock (Melanogrammus aeglefinus L.). Aquaculture 2003, 221, 451–468. [Google Scholar] [CrossRef]
- Currey, J.D. Effects of differences in mineralization on the mechanical properties of bone. Philos. Trans. R. Soc. Lond. B Biol. Sci. 1984, 304, 509–518. [Google Scholar] [CrossRef]
- Currey, J.D. The many adaptations of bone. J. Biomech. 2003, 36, 1487–1495. [Google Scholar] [CrossRef]
- De Azevedo, T.P.; Witten, P.E.; Huysseune, A.; Bensimon-Brito, A.; Winkler, C.; To, T.T.; Palmeirim, I. Interrelationship and modularity of notochord and somites: A comparative view on zebrafish and chicken vertebral body development. J. Appl. Ichtyol. 2012, 28, 316–319. [Google Scholar] [CrossRef]
- De Clercq, A.; Perrott, M.R.; Davie, P.S.; Preece, M.A.; Wybourne, B.; Ruff, N.; Huysseune, A.; Witten, P.E. Vertebral column regionalisation in Chinook salmon, Oncorhynchus tshawytscha. J. Anat. 2017, 231, 500–514. [Google Scholar] [CrossRef]
- Fleming, A.; Kishida, M.G.; Kimmel, C.B.; Keynes, R.J. Building the backbone: The development and evolution of vertebral patterning. Development 2015, 142, 1733–1744. [Google Scholar] [CrossRef]
- van Eeden, F.J.; Granato, M.; Schach, U.; Brand, M.; Furutani-Seiki, M.; Haffter, P.; Hammerschmidt, M.; Heisenberg, C.P.; Jiang, Y.J.; Kane, D.A.; et al. Mutations affecting somite formation and patterning in the zebrafish, Danio rerio. Development 1996, 123, 153–164. [Google Scholar]
- Favaloro, E.; Mazzola, A. Meristic character counts and incidence of skeletal anomalies in the wild Diplodus puntazzo (Cetti, 1777) of an area of the south-eastern Mediterranean Sea. Fish Physiol. Biochem. 2006, 32, 159–166. [Google Scholar] [CrossRef]
- Backiel, T.; Kokurewicz, B.; Ogorzałek, A. High incidence of skeletal anomalies in carp, Cyprinus carpio, reared in cages in flowing water. Aquaculture 1984, 43, 369–380. [Google Scholar] [CrossRef]
- Costa, J.M.; Sartori, M.M.P.; Nascimento, N.F.D.; Kadri, S.M.; Ribolla, P.E.M.; Pinhal, D.; Pezzato, L.E. Inadequate Dietary Phosphorus Levels Cause Skeletal Anomalies and Alter Osteocalcin Gene Expression in Zebrafish. Int. J. Mol. Sci. 2018, 19, 364. [Google Scholar] [CrossRef]
- Lall, S.P. Digestibility, metabolism and excretion of dietary phosphorous in fish. In Nutritional Strategies and Aquaculture Wastes; Cowey, C.B., Cho, C.Y., Eds.; University Guelph: Guelph, ON, Canada, 1991; pp. 21–36. [Google Scholar]
- Morales, G.A.; Azcuy, R.L.; Casaretto, M.E.; Márquez, L.; Hernández, A.J.; Gómez, F.; Koppe, W.; Mereu, A. Effect of different inorganic phosphorus sources on growth performance, digestibility, retention efficiency and discharge of nutrients in rainbow trout (Oncorhynchus mykiss). Aquaculture 2018, 495, 568–574. [Google Scholar] [CrossRef]
- Balon, E.K. Alternative Ontogenies and Evolution: A Farewell to Gradualism. In Environment, Development, and Evolution. Toward a Synthesis; Hall, B.K., Pearson, R.D., Müller, G.B., Eds.; The MIT Press: Cambridge, UK, 2003; pp. 37–66. [Google Scholar]
- Bensimon-Brito, A.; Cancela, M.L.; Huysseune, A.; Witten, P.E. Vestiges, rudiments and fusion events: The zebrafish caudal fin endoskeleton in an evo-devo perspective. Evol. Dev. 2012, 14, 116–127. [Google Scholar] [CrossRef]
- Arratia, G.; Schultze, H.P.; Casciotta, J. Vertebral column and associated elements in dipnoans and comparison with other fishes: Development and homology. J. Morphol. 2001, 250, 101–172. [Google Scholar] [CrossRef]
- Leprévost, A.; Azaïs, T.; Trichet, M.; Sire, J.Y. Identification of a new mineralized tissue in the notochord of reared Siberian sturgeon (Acipenser baerii). J. Morphol. 2017, 278, 1586–1597. [Google Scholar] [CrossRef]
- Locket, N.A. Review Lecture: Some advances in coelacanth biology. Proc. R. Soc. Lond. B 1980, 208, 265–307. [Google Scholar] [CrossRef]
- Denton, E.J.; Marshall, N.B. The buoyancy of bathypelagic fishes without a gas-filled swimbladder. J. Mar. Biol. Assoc. UK 1958, 37, 753–767. [Google Scholar] [CrossRef][Green Version]
- Germain, D.; Schnell, N.K.; Meunier, F.J. Histological data on bone and teeth in two dragonfishes (Stomiidae; Stomiiformes): Borostomias panamensis Regan & Trewavas, 1929 and Stomias boa Reinhardt, 1842. Cybium 2019, 43, 103–107. [Google Scholar] [CrossRef]
- Schnell, N.K.; Johnson, G.D. Evolution of a Functional Head Joint in Deep-Sea Fishes (Stomiidae). PLoS ONE 2017, 12, e0170224. [Google Scholar] [CrossRef]
- Schaeffer, B. Osteichthyan vertebrae. Zool. J. Linnean Soc. 1967, 47, 185–195. [Google Scholar] [CrossRef]
- Ytteborg, E.; Torgersen, J.; Baeverfjord, G.; Takle, H. Morphological and molecular characterization of developing vertebral fusions using a teleost model. BMC Physiol. 2010, 10, 13. [Google Scholar] [CrossRef]
- Boglione, C.; Gisbert, E.; Gavaia, P.; Witten, P.E.; Moren, M.; Fontagné, S.; Koumoundouros, G. Skeletal anomalies in reared European fish larvae and juveniles. Part 2: Main typologies, occurrences and causative factors. Rev. Aquacult. 2013, 5, S121–S167. [Google Scholar] [CrossRef]
- Fernández, I.; Granadeiro, L.; Darias, M.J.; Gavaia, P.J.; Andree, K.B.; Gisbert, E. Solea senegalensis skeletal ossification and gene expression patterns during metamorphosis: New clues on the onset of skeletal deformities during larval to juvenile transition. Aquaculture 2018, 496, 153–165. [Google Scholar] [CrossRef]
- Moe, S.M.; Chen, N.X. Mechanisms of Vascular Calcification in Chronic Kidney Disease. J. Am. Soc. Nephrol. 2008, 19, 213–216. [Google Scholar] [CrossRef]
- Ichikawa, S.; Sorenson, A.H.; Austin, A.M.; Mackenzie, D.S.; Fritz, T.A.; Moh, A.; Hui, S.L.; Econs, M.J. Ablation of the Galnt3 Gene Leads to Low-Circulating Intact Fibroblast Growth Factor 23 (Fgf23) Concentrations and Hyperphosphatemia Despite Increased Fgf23 Expression. Endocrinology 2009, 150, 2543–2550. [Google Scholar] [CrossRef]
- Sitara, D.; Kim, S.; Razzaque, M.S.; Bergwitz, C.; Taguchi, T.; Schüler, C.; Erben, R.G.; Lanske, B. Genetic Evidence of Serum Phosphate-Independent Functions of FGF-23 on Bone. PLoS Genet. 2008, 4, e1000154. [Google Scholar] [CrossRef]
- Apschner, A.; Huitema, L.F.; Ponsioen, B.; Peterson-Maduro, J.; Schulte-Merker, S. Zebrafish enpp1 mutants exhibit pathological mineralization, mimicking features of generalized arterial calcification of infancy (GACI) and pseudoxanthoma elasticum (PXE). Dis. Model Mech. 2014, 7, 811–822. [Google Scholar] [CrossRef]
- Pinheiro, M.M.; Schuch, N.J.; Genaro, P.S.; Ciconelli, R.M.; Ferraz, M.B.; Martini, L.A. Nutrient intakes related to osteoporotic fractures in men and women—The Brazilian Osteoporosis Study (BRAZOS). Nutr. J. 2009, 8, 6. [Google Scholar] [CrossRef]
- Symmons, S. Notochordal and elastic components of the axial skeleton of fishes and their functions in locomotion. J. Zool. 1979, 189, 157–206. [Google Scholar] [CrossRef]
- Weinans, H.; Prendergast, P.J. Tissue adaptation as a dynamical process far from equilibrium. Bone 1996, 19, 143–149. [Google Scholar] [CrossRef]
- Laerm, J. The development, function, and design of amphicoelous vertebrae in teleost fishes. Zool. J. Linn. Soc. 1976, 58, 237–254. [Google Scholar] [CrossRef]
- Boivin, G.; Anthoine-Terrier, C.; Obrant, K.J. Transmission electron microscopy of bone tissue: A review. Acta Orthop. Scand. 1990, 61, 170–180. [Google Scholar] [CrossRef] [PubMed]
- Shapiro, F.; Holtrop, M.E.; Glimcher, M.J. Organization and cellular biology of the perichondrial ossification groove of ranvier: A morphological study in rabbits. J. Bone Jt. Surg. Am. 1977, 59, 703–723. [Google Scholar] [CrossRef]
- Jackson, S.F. The fine structure of developing bone in the embryonic fowl. Proc. R. Soc. Lond. B Biol. Sci. 1956, 146, 270–280. [Google Scholar] [CrossRef] [PubMed]
- Baylink, D.; Stauffer, M.; Wergedal, J.; Rich, C. Formation, mineralization, and resorption of bone in vitamin D-deficient rats. J. Clin. Investig. 1970, 49, 1122–1134. [Google Scholar] [CrossRef]
- Nakashima, T.; Hayashi, M.; Fukunaga, T.; Kurata, K.; Oh-Hora, M.; Feng, J.Q.; Bonewald, L.F.; Kodama, T.; Wutz, A.; Wagner, E.F.; et al. Evidence for osteocyte regulation of bone homeostasis through RANKL expression. Nat. Med. 2011, 17, 1231–1234. [Google Scholar] [CrossRef]
- Smith, W.L.; Garavito, R.M.; DeWitt, D.L. Prostaglandin Endoperoxide H Synthases (Cyclooxygenases)-1 and -2. J. Biol. Chem. 1996, 271, 33157–33160. [Google Scholar] [CrossRef]
- National Research Council. Nutrient Requirements of Fish and Shrimp; The National Academies Press: Washington, DC, USA, 2011. [Google Scholar]
- Parichy, D.M.; Elizondo, M.R.; Mills, M.G.; Gordon, T.N.; Engeszer, R.E. Normal table of postembryonic zebrafish development: Staging by externally visible anatomy of the living fish. Dev. Dyn. 2009, 238, 2975–3015. [Google Scholar] [CrossRef]
- Taylor, W.R.; Van Dyke, G.C. Revised procedures for staining and clearing small fishes and other vertebrates for bone and cartilage study. Cybium 1985, 9, 107–119. [Google Scholar]
- Witten, P.E.; Hansen, A.; Hall, B.K. Features of mono- and multinucleated bone resorbing cells of the zebrafish Danio rerio and their contribution to skeletal development, remodeling, and growth. J. Morphol. 2001, 250, 197–207. [Google Scholar] [CrossRef]
- Humason, G.L.; Presnell, J.K.; Schreibman, M.P. Humason’s Animal Tissue Techniques; Johns Hopkins University Press: Baltimore, MD, USA, 1997. [Google Scholar]
- Spurr, A.R. A low-viscosity epoxy resin embedding medium for electron microscopy. J. Ultrastruct. Res. 1969, 26, 31–43. [Google Scholar] [CrossRef]
- Witten, P.E. Enzyme histochemical characteristics of osteoblasts and mononucleated osteoclasts in a teleost fish with acellular bone (Oreochromis niloticus, Cichlidae). Cell Tissue Res. 1997, 287, 591–599. [Google Scholar] [CrossRef] [PubMed]
- Doeland, M.; Couzens, A.M.C.; Donoghue, P.C.J.; Rücklin, M. Tooth replacement in early sarcopterygians. R. Soc. Open Sci. 2019, 6, 191173. [Google Scholar] [CrossRef] [PubMed]
- Fiedler, I.A.K.; Schmidt, F.N.; Wölfel, E.M.; Plumeyer, C.; Milovanovic, P.; Gioia, R.; Tonelli, F.; Bale, H.A.; Jähn, K.; Besio, R.; et al. Severely Impaired Bone Material Quality in Chihuahua Zebrafish Resembles Classical Dominant Human Osteogenesis Imperfecta. J. Bone Miner. Res. 2018, 33, 1489–1499. [Google Scholar] [CrossRef] [PubMed]
- Oliver, W.C.; Pharr, G.M. An improved technique for determining hardness and elastic modulus using load and displacement sensing indentation experiments. J. Mater. Res. 1992, 7, 1564–1583. [Google Scholar] [CrossRef]
- Gistelinck, C.; Gioia, R.; Gagliardi, A.; Tonelli, F.; Marchese, L.; Bianchi, L.; Landi, C.; Bini, L.; Huysseune, A.; Witten, P.E.; et al. Zebrafish Collagen Type I: Molecular and Biochemical Characterization of the Major Structural Protein in Bone and Skin. Sci. Rep. 2016, 6, 21540. [Google Scholar] [CrossRef] [PubMed]
- Hammer, Ø.; Harper, D.A.T.; Ryan, P.D. Past: Paleontological statistics software package for education and data analysis. Palaeontol. Electronica 2001, 4, 1–9. [Google Scholar]







| Groups | No. of Fish | Standard Length Mean ± SD (mm) | Pairwise p-Values | |||
|---|---|---|---|---|---|---|
| LP | RP | HP | ||||
| 28 dpf | T0 | 96 | 6.02 ± 0.84 | |||
| One Month Treatment | LP | 70 | 8.90 ± 2.47 | p = 0.001 | p = 0.001 | |
| RP | 34 | 10.95 ± 3.13 | p = 0.001 | |||
| HP | 42 | 10.76 ± 3.03 | p = 0.001 | |||
| Two Months Treatment | LP | 59 | 10.60 ± 2.79 | p < 0.001 | p < 0.001 | |
| RP | 63 | 12.16 ± 3.15 | p < 0.001 | p < 0.05 | ||
| HP | 47 | 13.46 ± 3.62 | p < 0.001 | p < 0.05 | ||
| Diets | No. of Fish | Vertebral Body Compression | Vertebral Body Fusion | ||||||
|---|---|---|---|---|---|---|---|---|---|
| No of Fish with Compression | Total No of Compression | Frequency | No. of Fish with Fusion | Total No. of Fusion | Frequency | ||||
| One Month Treatment | LP | 51 | 5 | 6 | 10% | 4 | 4 | 8% | |
| RP | 21 | 2 | 2 | 10% | 0 | 0 | 0% | ||
| HP | 31 | 4 | 4 | 13% | 1 | 1 | 3% | ||
| Two Months Treatment | LP | 44 | 3 | 4 | 7% | 2 | 2 | 5% | |
| RP | 49 | 2 | 2 | 4% | 7 | 10 | 14% | ||
| HP | 32 | 3 | 3 | 9% | 9 * | 18 | 28% | ||
| Ingredients (%) | Diets | ||
|---|---|---|---|
| LP | RP | HP | |
| Rapeseed lecitin (Bergathin) | 2.00 | 2.00 | 2.00 |
| Krill meal | 3.00 | 3.00 | 3.00 |
| Wheat starch | 18.77 | 18.77 | 18.77 |
| Corn gluten meal | 8.0 | 8.0 | 8.0 |
| Wheat gluten meal | 19.01 | 19.01 | 19.01 |
| Soy protein concentrate | 31.00 | 31.00 | 31.00 |
| Capelin fish meal | 5.00 | 5.00 | 5.00 |
| Rapeseed oil | 1.58 | 1.58 | 1.58 |
| Peruvian fishoil | 2.60 | 2.60 | 2.60 |
| DL-Methionine | 0.60 | 0.60 | 0.60 |
| Biolys 54.6% | 2.00 | 2.00 | 2.00 |
| Lutavit C Aquastab 35% | 0.10 | 0.10 | 0.10 |
| Vitamin mix | 0.50 | 0.50 | 0.50 |
| Choline chloride 50% | 1.50 | 1.50 | 1.50 |
| Trace mineral mix (P free) | 0.30 | 0.30 | 0.30 |
| Monoammonium phosphate 26% | 0.00 | 1.95 | 3.90 |
| Diamol (diatomaceous earth) | 4.00 | 2.05 | 0.10 |
| Astaxanthin 10% | 0.07 | 0.07 | 0.07 |
| Total | 100.00 | 100.00 | 100.00 |
| Chemical composition (g/kg) | |||
| Crude protein | 497 | 508 | 520 |
| Crude lipids | 97 | 97 | 96 |
| Crude ash | 84 | 73 | 71 |
| Calcium | 4.84 | 4.79 | 4.65 |
| Magnesium | 1.96 | 1.98 | 1.99 |
| Phosphorus | 5.04 | 9.84 | 14.64 |
© 2020 by the authors. Licensee MDPI, Basel, Switzerland. This article is an open access article distributed under the terms and conditions of the Creative Commons Attribution (CC BY) license (http://creativecommons.org/licenses/by/4.0/).
Share and Cite
Cotti, S.; Huysseune, A.; Koppe, W.; Rücklin, M.; Marone, F.; Wölfel, E.M.; Fiedler, I.A.K.; Busse, B.; Forlino, A.; Witten, P.E. More Bone with Less Minerals? The Effects of Dietary Phosphorus on the Post-Cranial Skeleton in Zebrafish. Int. J. Mol. Sci. 2020, 21, 5429. https://doi.org/10.3390/ijms21155429
Cotti S, Huysseune A, Koppe W, Rücklin M, Marone F, Wölfel EM, Fiedler IAK, Busse B, Forlino A, Witten PE. More Bone with Less Minerals? The Effects of Dietary Phosphorus on the Post-Cranial Skeleton in Zebrafish. International Journal of Molecular Sciences. 2020; 21(15):5429. https://doi.org/10.3390/ijms21155429
Chicago/Turabian StyleCotti, Silvia, Ann Huysseune, Wolfgang Koppe, Martin Rücklin, Federica Marone, Eva M. Wölfel, Imke A. K. Fiedler, Björn Busse, Antonella Forlino, and P. Eckhard Witten. 2020. "More Bone with Less Minerals? The Effects of Dietary Phosphorus on the Post-Cranial Skeleton in Zebrafish" International Journal of Molecular Sciences 21, no. 15: 5429. https://doi.org/10.3390/ijms21155429
APA StyleCotti, S., Huysseune, A., Koppe, W., Rücklin, M., Marone, F., Wölfel, E. M., Fiedler, I. A. K., Busse, B., Forlino, A., & Witten, P. E. (2020). More Bone with Less Minerals? The Effects of Dietary Phosphorus on the Post-Cranial Skeleton in Zebrafish. International Journal of Molecular Sciences, 21(15), 5429. https://doi.org/10.3390/ijms21155429

