Utilization of Blackmouth Catshark (Galeus melastomus) Skins as an Alternative Source of Gelatin: Extraction and Physicochemical Characterization in Comparison to Porcine Skin Gelatin
Abstract
1. Introduction
2. Materials and Methods
2.1. Materials
2.2. Reagents
2.3. Gelatin Extraction Process
2.4. Gelatin Yield
2.5. Proximate Composition
2.6. Molecular Weight (MW) Distribution
2.7. Amino Acid Analysis
2.8. Color
2.9. Physical Properties
2.9.1. Gel Strength
2.9.2. Viscosity
2.9.3. Melting and Setting Points and Setting Time
2.10. Statistical Analysis
3. Results and Discussion
3.1. Gelatin Yield
3.2. Proximate Composition
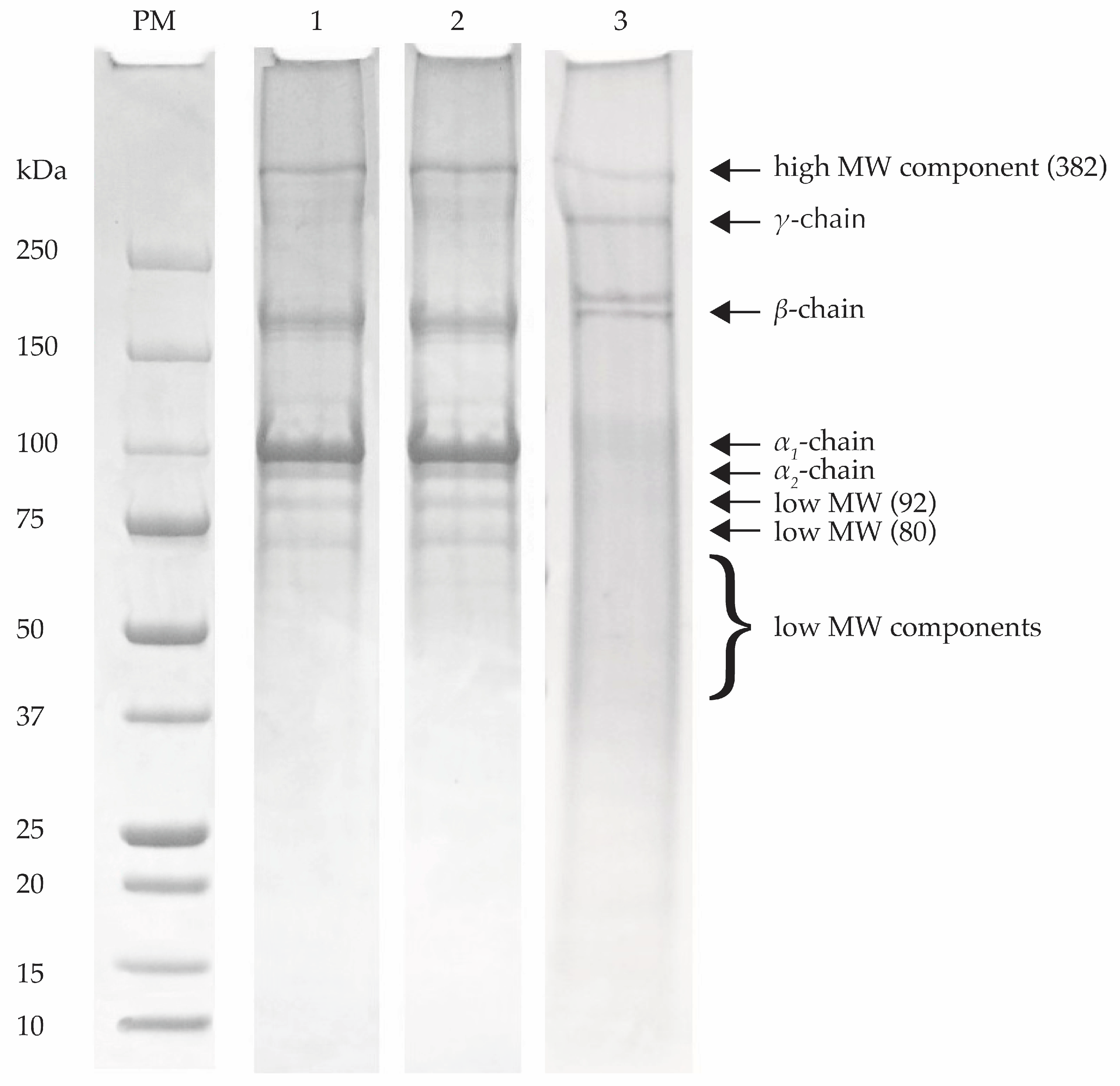
3.3. MW Distribution
3.4. Amino Acid Analysis
3.5. Color
3.6. Physical Properties
3.6.1. Gel Strength
3.6.2. Viscosity
3.6.3. Melting and Setting Points and Setting Time
4. Conclusions
Author Contributions
Funding
Institutional Review Board Statement
Informed Consent Statement
Data Availability Statement
Acknowledgments
Conflicts of Interest
References
- Karayannakidis, P.D.; Zotos, A. Physicochemical properties of yellowfin tuna (Thunnus albacares) skin gelatin and its modification by the addition of various coenhancers. J. Food Process. Preserv. 2015, 39, 530–538. [Google Scholar] [CrossRef]
- Baziwane, D.; He, Q. Gelatin: The paramount food additive. Food Rev. Int. 2003, 19, 423–435. [Google Scholar] [CrossRef]
- Boran, G.; Mulvaney, S.J.; Regenstein, J.M. Rheological properties of gelatin from silver carp skin compared to commercially available gelatins from different sources. J. Food Sci. 2010, 75, E565–E571. [Google Scholar] [CrossRef]
- Gelatine Manufacturers of Europe (GME). Available online: https://www.gelatine.org/en/gelatine/manufacturing.html (accessed on 22 December 2023).
- Songchotikunpan, P.; Tattiyakul, J.; Supaphol, P. Extraction and electrospinning of gelatin from fish skin. Int. J. Biol. Macromol. 2008, 42, 247–255. [Google Scholar] [CrossRef] [PubMed]
- Ahmad, M.; Benjakul, S. Characteristics of gelatin from the skin of unicorn leatherjacket (Aluterus monoceros) as influenced by acid pretreatment and extraction time. Food Hydrocoll. 2011, 25, 381–388. [Google Scholar] [CrossRef]
- Karayannakidis, P.D.; Zotos, A. Fish processing by-products as a potential source of gelatin: A review. J. Aquat. Food Prod. Technol. 2016, 25, 65–92. [Google Scholar] [CrossRef]
- Karim, A.A.; Bhat, R. Fish gelatin: Properties, challenges, and prospects as an alternative to mammalian gelatins. Food Hydrocoll. 2009, 23, 563–576. [Google Scholar] [CrossRef]
- Montero, M.; Acosta, O.G. Tuna skin gelatin production: Optimization of extraction steps and process scale-up. CyTA J. Food 2020, 18, 580–590. [Google Scholar] [CrossRef]
- Muyonga, J.H.; Cole, C.G.B.; Duodu, K.G. Extraction and physico-chemical characterization of Nile perch (Lates niloticus) skin and bone gelatin. Food Hydrocoll. 2004, 18, 581–592. [Google Scholar] [CrossRef]
- Wang, Y.; Regenstein, J.M. Effect of EDTA, HCl, and citric acid on Ca salt removal from Asian (silver) carp scales prior to gelatin extraction. J. Food Sci. 2009, 74, C426–C431. [Google Scholar] [CrossRef]
- Hu, B.; Cen, S.; Sun, W.; Zhan, S.; Jia, R.; Ou, C.; Huang, T. Effects of different phsphorylation times and pH on fish gelatin: Functional properties, structural and mechanism analysis. Food Hydrocoll. 2024, 152, 109876. [Google Scholar] [CrossRef]
- Gelken Gelatin. Available online: https://www.gelkengelatin.com/customized-gelatin-food-grade-halal-fish-gelatin-for-marshmallows-product/ (accessed on 31 March 2024).
- Lv, L.C.; Huang, Q.Y.; Ding, W.; Xiao, X.H.; Zhang, H.Y.; Xiong, L.X. Fish gelatin: The novel potential applications. J. Funct. Foods 2019, 63, 103581. [Google Scholar] [CrossRef]
- Eysturskarð, J.; Haug, I.J.; Elharfaoui, N.; Djabourov, M.; Draget, K.I. Structural and mechanical properties of fish gelatin as a function of extraction conditions. Food Hydrocoll. 2009, 23, 1702–1711. [Google Scholar] [CrossRef]
- Ninan, G.; Jose, J.; Abubacker, Z. Preparation and characterization of gelatin extracted from the skins of rohu (Labeo rohita) and common carp (Cyprinus carpio). J. Food Process. Preserv. 2011, 35, 143–162. [Google Scholar] [CrossRef]
- Rahman, M.S.; Al-Saidi, G.S.; Guizani, N. Thermal characterisation of gelatin extracted from yellowfin tuna skin and commercial mammalian gelatin. Food Chem. 2008, 108, 472–481. [Google Scholar] [CrossRef] [PubMed]
- Sadowska, M.; Kołodziejska, I.; Niecikowska, C. Isolation of collagen from the skins of Baltic cod (Gadus morhua). Food Chem. 2003, 81, 257–262. [Google Scholar] [CrossRef]
- Gómez-Guillén, M.C.; Montero, P. Extraction of gelatin from megrim (Lepidorhombus boscii) skins with several organic acids. J. Food Sci. 2001, 66, 213–216. [Google Scholar] [CrossRef]
- Anastasopoulou, A.; Mytilineou, C.; Lefkaditou, E.; Dokos, J.; Smith, C.J.; Siapatis, A.; Bekas, P.; Papadopoulou, K.N. Diet and feeding strategy of blackmouth catshark Galeus melastomus. J. Fish Biol. 2013, 83, 1637–1655. [Google Scholar] [CrossRef]
- Costa, M.E.; Erzini, K.; Borges, T.C. Reproductive biology of the blackmouth catshark Galeus melastomus (Chondrichthyes: Scyliorhinidae) off the south coast of Portugal. J. Mar. Biol. Ass. UK 2005, 85, 1173–1183. [Google Scholar] [CrossRef]
- Karayannakidis, P.D.; Chatziantoniou, S.E.; Zotos, A. Process for the Production of Gelatin from the Skins of Lean and Fatty Fish Species, Patent No. 1008421, International Classification C09H 3/00, A23J 1/04; Hellenic Industrial Property Organization: Athens, Greece, 2015. [Google Scholar]
- AOAC. Official Methods of Analysis; Association of Official Analytical Chemists: Washington, DC, USA, 1990. [Google Scholar]
- Bligh, G.E.; Dyer, W.J. A rapid method of total lipid extraction and purification. Can. J. Biochem. Physiol. 1959, 37, 911–917. [Google Scholar] [CrossRef]
- Hanson, S.W.F.; Olley, J. Application of the Bligh and Dyer method of lipid extraction to tissue homogenates. Biochem. J. 1963, 89, 101. [Google Scholar]
- Laemmli, U.K. Cleavage of structural proteins during the assembly of the bacteriophage T4. Nature 1970, 227, 680–685. [Google Scholar] [CrossRef]
- Karayannakidis, P.D.; Chatziantoniou, S.E.; Zotos, A. Effects of selected process parameters on physical and sensorial properties of yellowfin (Thunnus albacares) skin gelatin. J. Food Process. Eng. 2014, 37, 461–473. [Google Scholar] [CrossRef]
- Merril, C.R.; Washart, K.M. Protein detection methods. In Gel Electrophoresis of Proteins: A Practical Approach, 3rd ed.; Hames, B.D., Ed.; Oxford University Press: Oxford, UK, 1998; pp. 53–91. [Google Scholar]
- Boran, G.; Regenstein, J.M. Optimization of gelatin extraction from silver carp skin. J. Food Sci. 2009, 74, E432–E441. [Google Scholar] [CrossRef] [PubMed]
- Gudmundsson, M. Rheological properties of fish gelatins. J. Food Sci. 2002, 67, 2172–2176. [Google Scholar] [CrossRef]
- Petridis, D.N. Applied Statistics with Emphasis in Food Science, 4th ed.; Back Office Publications: Sindos, Greece, 2016; pp. 39–98. (In Greek) [Google Scholar]
- Schrieber, R.; Gareis, H. Gelatine Handbook, Theory and Industrial Practice; Wiley-VCH Verlag GmbH & Co. KGaA: Weinheim, Germany, 2007; pp. 45–56. [Google Scholar]
- Karayannakidis, P.D.; Chatziantoniou, S.E.; Zotos, A. Co-extraction of gelatin and lipids from yellowfin tuna (Thunnus albacares) skins: Physicochemical characterization, process simulation and economic analysis. J. Food Process. Preserv. 2015, 39, 2361–2370. [Google Scholar] [CrossRef]
- Jellouli, K.; Balti, R.; Bougatef, A.; Hmidet, N.; Barkia, A.; Nasri, M. Chemical composition and characteristics of skin gelatin from grey triggerfish (Balistes capriscus). Food Sci. Technol. 2011, 44, 1965–1970. [Google Scholar] [CrossRef]
- Rawdkuen, S.; Thitipramote, N.; Benjakul, S. Preparation and functional characterisation of fish skin gelatin and comparison with commercial gelatin. Int. J. Food Sci. Technol. 2013, 48, 1093–1102. [Google Scholar] [CrossRef]
- Liu, D.; Liang, L.; Regenstein, J.M.; Zhou, P. Extraction and characterisation of pepsin-solubilised collagen from fins, scales, skins, bones and swim bladders of bighead carp (Hypophthalmichthys nobilis). Food Chem. 2012, 133, 1441–1448. [Google Scholar] [CrossRef]
- Zhou, P.; Regenstein, J.M. Effects of alkaline and acidic pretreatments on Alaska pollock skin gelatin extraction. J. Food Sci. 2005, 70, C392–C396. [Google Scholar] [CrossRef]
- Arnesen, J.A.; Gildberg, A. Extraction and characterisation of gelatine from Atlantic salmon (Salmo salar) skin. Bioresour. Technol. 2007, 98, 53–57. [Google Scholar] [CrossRef]
- Eastoe, J.E.; Leach, A.A. Chemical constitution of gelatin. In The Science and Technology of Gelatin; Ward, A.G., Courts, A., Eds.; Academic Press Inc.: London, UK, 1977; pp. 73–107. [Google Scholar]
- Wasswa, J.; Tang, J.; Gu, X. Utilization of fish processing by-products in the gelatin industry. Food Rev. Int. 2007, 23, 159–174. [Google Scholar] [CrossRef]
- Khiari, Z.; Rico, D.; Martin-Diana, A.B.; Barry-Ryan, C. Comparison between gelatines extracted from mackerel and blue whiting bones after different pre-treatments. Food Chem. 2013, 139, 347–354. [Google Scholar] [CrossRef]
- Veis, A.; Anesey, J.; Cohen, J. The characterization of γ-component of gelatin. Arch. Biochem. Biophys. 1962, 98, 104–110. [Google Scholar] [CrossRef]
- Jongjareonrak, A.; Rawdkuen, S.; Chaijan, M.; Benjakul, S.; Osako, K.; Munehiko, T. Chemical compositions and characterisation of skin gelatin from farmed giant catfish (Pangasianodon gigas). Food Sci. Technol. 2010, 43, 161–165. [Google Scholar] [CrossRef]
- Burjanadze, T.V. New analysis on the phylogenetic change of collagen thermostability. Biopolymers 2000, 53, 523–528. [Google Scholar]
- Arnesen, J.A.; Gildberg, A. Extraction of muscle proteins and gelatin from cod head. Process. Biochem. 2006, 41, 697–700. [Google Scholar] [CrossRef]
- Johnston-Banks, F.A. Gelatine. In Food Gels; Harris, P., Ed.; Elsevier Applied Science: London, UK, 1990; pp. 233–289. [Google Scholar]
- Boran, G.; Regenstein, J.M. Fish gelatin. In Advances in Food and Nutrition Research; Taylor, S.L., Ed.; Academic Press: Burlington, UK, 2010; Volume 60, pp. 119–143. [Google Scholar]
- Wainewright, F.W. Physical tests for gelatin and gelatin product. In The Science and Technology of Gelatin; Ward, A.G., Courts, A., Eds.; Academic Press Inc.: London, UK, 1977; pp. 507–534. [Google Scholar]
- Ritzoulis, C.; Karayannakidis, P.D. Proteins as texture modifiers. In Modifying Food Texture; Chen, J., Rosenthal, A., Eds.; Woodhead Publishing: Sawston, UK, 2015; Volume 1, pp. 51–69. [Google Scholar]
- Haug, I.J.; Draget, K.I. Gelatin. In Handbook of Food Proteins; Phillips, G.O., Williams, P.A., Eds.; Woodhead Publishing: Sawston, UK, 2011; pp. 92–115. [Google Scholar]
- Badii, F.; Howell, N.K. Fish gelatin: Structure, gelling properties and interaction with egg albumen. Food Hydrocoll. 2006, 20, 630–640. [Google Scholar] [CrossRef]
- Jamilah, B.; Harvinder, K.G. Properties of gelatins from skins of fish—Black tilapia (Oreochromis mossambicus) and red tilapia (Oreochromis nilotica). Food Chem. 2002, 77, 81–84. [Google Scholar] [CrossRef]
- Gómez-Guillén, M.C.; Turnay, J.; Fernández-Díaz, M.D.; Ulmo, N.; Lizarbe, M.A.; Montero, P. Structural and physical properties of gelatin extracted from different marine species: A comparative study. Food Hydrocoll. 2002, 16, 25–34. [Google Scholar] [CrossRef]
- Derkach, S.R.; Voron’ko, N.G.; Kuchina, Y.A.; Kolotova, D.S. Modified fish gelatin as an alternative to mammalian gelatin in modern food technologies. Polymers 2020, 12, 3001. [Google Scholar] [CrossRef]
- Choi, S.S.; Regenstein, J.M. Physicochemical and sensory characteristics of fish gelatin. J. Food Sci. 2000, 65, 194–199. [Google Scholar] [CrossRef]



| Component | Fish Skin Gelatin | Porcine Skin Gelatin |
|---|---|---|
| Moisture | 10.64 ± 0.45 a | 10.19 ± 0.11 a |
| Protein | 87.80 ± 0.17 a | 87.29 ± 1.45 a |
| Ash | 1.34 ± 0.17 a | 0.48 ± 0.03 b |
| Lipid | 0.03 ± 0.01 b | 0.09 ± 0.01 a |
| Amino Acid | Fish Skin Gelatin | Porcine Skin Gelatin |
|---|---|---|
| Alanine | 5.28 ± 0.45 a | 5.18 ± 0.35 a |
| Glycine | 20.35 ± 0.67 b | 21.54 ± 0.14 a |
| Valine | 1.75 ± 0.08 b | 2.50 ± 0.23 a |
| Leucine | 2.20 ± 0.17 b | 3.39 ± 0.05 a |
| Isoleucine | 1.35 ± 0.20 a | 1.62 ± 0.08 a |
| Threonine | 0.48 ± 0.04 a | 0.09 ± 0.02 b |
| Serine | 1.09 ± 0.18 b | 3.72 ± 0.53 a |
| Proline | 10.46 ± 0.32 b | 12.47 ± 0.38 a |
| Asparagine/Aspartic acid | 7.50 ± 1.09 a | 2.69 ± 0.35 b |
| Methionine | 0.97 ± 0.16 a | 0.59 ± 0.10 b |
| Hydroxyproline | 7.63 ± 0.13 b | 8.60 ± 0.17 a |
| Glutamine/Glutamic acid | 10.41 ± 0.36 b | 12.23 ± 0.06 a |
| Phenylalanine | 1.81 ± 0.10 a | 1.89 ± 0.15 a |
| Cysteine | 0.14 ± 0.02 b | 0.25 ± 0.01 a |
| Arginine | 2.93 ± 0.20 a | 0.96 ± 0.07 b |
| Lysine | 3.77 ± 0.38 a | 3.75 ± 0.15 a |
| Histidine | 3.49 ± 0.48 a | 1.35 ± 0.06 b |
| Hydroxylysine | 2.13 ± 0.42 a | 1.17 ± 0.01 b |
| Tyrosine | ND | 0.66 ± 0.01 |
| Tryptophan | ND | ND |
| Cystine | ND | ND |
| ΣImino acids | 18.20 ± 0.50 b | 20.90 ± 0.07 a |
| Color Coordinates | Fish Skin Gelatin | Porcine Skin Gelatin |
|---|---|---|
| L* | 70.0 ± 2.3 a | 63.5 ± 1.4 b |
| a* | 0.2 ± 0.7 a | 0.8 ± 0.7 b |
| b* | 4.6 ± 0.3 b | 16.3 ± 1.1 a |
| Physical Properties | Fish Skin Gelatin | Porcine Skin Gelatin |
|---|---|---|
| Gel strength (g) | 315.4 ± 10.8 a | 297.9 ± 8.1 a |
| Viscosity (cP) | 5.90 ± 0.21 a | 4.88 ± 0.28 b |
| Tm (°C) | 21.5 ± 0.1 b | 30.4 ± 0.2 a |
| Ts (°C) | 10.6 ± 0.1 b | 19.4 ± 0.1 a |
| ts (min) | 29.5 ± 0.3 a | 20.7 ± 0.1 b |
Disclaimer/Publisher’s Note: The statements, opinions and data contained in all publications are solely those of the individual author(s) and contributor(s) and not of MDPI and/or the editor(s). MDPI and/or the editor(s) disclaim responsibility for any injury to people or property resulting from any ideas, methods, instructions or products referred to in the content. |
© 2024 by the authors. Licensee MDPI, Basel, Switzerland. This article is an open access article distributed under the terms and conditions of the Creative Commons Attribution (CC BY) license (https://creativecommons.org/licenses/by/4.0/).
Share and Cite
Karayannakidis, P.D.; Chatziantoniou, S.E.; Lee, C.M. Utilization of Blackmouth Catshark (Galeus melastomus) Skins as an Alternative Source of Gelatin: Extraction and Physicochemical Characterization in Comparison to Porcine Skin Gelatin. Biomass 2024, 4, 349-362. https://doi.org/10.3390/biomass4020017
Karayannakidis PD, Chatziantoniou SE, Lee CM. Utilization of Blackmouth Catshark (Galeus melastomus) Skins as an Alternative Source of Gelatin: Extraction and Physicochemical Characterization in Comparison to Porcine Skin Gelatin. Biomass. 2024; 4(2):349-362. https://doi.org/10.3390/biomass4020017
Chicago/Turabian StyleKarayannakidis, Panayotis D., Soumela E. Chatziantoniou, and Chong M. Lee. 2024. "Utilization of Blackmouth Catshark (Galeus melastomus) Skins as an Alternative Source of Gelatin: Extraction and Physicochemical Characterization in Comparison to Porcine Skin Gelatin" Biomass 4, no. 2: 349-362. https://doi.org/10.3390/biomass4020017
APA StyleKarayannakidis, P. D., Chatziantoniou, S. E., & Lee, C. M. (2024). Utilization of Blackmouth Catshark (Galeus melastomus) Skins as an Alternative Source of Gelatin: Extraction and Physicochemical Characterization in Comparison to Porcine Skin Gelatin. Biomass, 4(2), 349-362. https://doi.org/10.3390/biomass4020017

