Genicular Artery Embolization with Imipenem/Cilastatin for Pigmented Villonodular Synovitis of the Knee: A Case Report
Abstract
1. Introduction
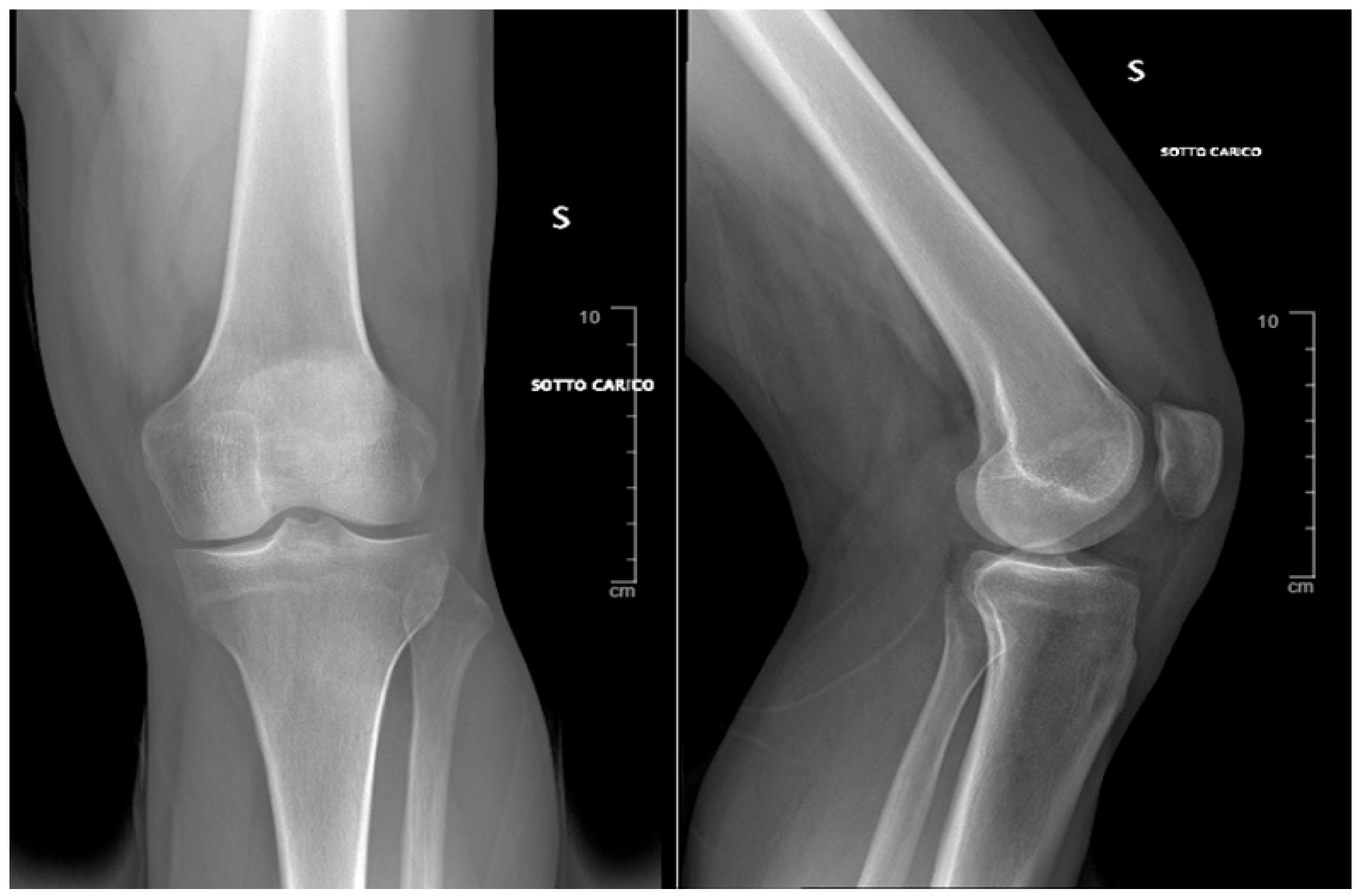
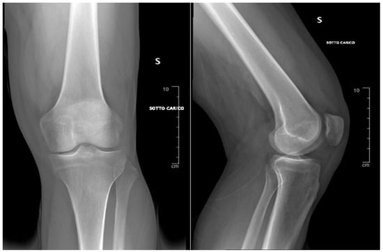
2. Case Presentation
3. Results
4. Discussion
5. Conclusions
Author Contributions
Funding
Institutional Review Board Statement
Informed Consent Statement
Data Availability Statement
Acknowledgments
Conflicts of Interest
References
- Kapoor, C.; Jhaveri, M.; Soni, R.; Shah, M.; Rathi, P.; Golwala, P. Pigmented Villonodular Synovitis of the Knee Joint: A Case Report. Cureus 2016, 8, e816. [Google Scholar] [CrossRef] [PubMed] [PubMed Central]
- Cao, C.; Wu, F.; Niu, X.; Hu, X.; Cheng, J.; Zhang, Y.; Li, C.; Duan, X.; Fu, X.; Zhang, J.; et al. Cadherin-11 cooperates with inflammatory factors to promote the migration and invasion of fibroblast-like synoviocytes in pigmented villonodular synovitis. Theranostics 2020, 10, 10573–10588. [Google Scholar] [CrossRef] [PubMed]
- Zimmermann-Górska, I.; Puszczewicz, M.; Bialkowska-Puszczewicz, G. Diagnostic value of synovial fluid analysis in pigmented villonodular synovitis (PVS)- a proposal of diagnostic criteria. Arthritis Res. 2001, 3, P117. [Google Scholar] [CrossRef][Green Version]
- Temponi, E.F.; Barros, A.A.G.; Paganini, V.O.; Barbosa, V.A.K.; Badet, R.; Carvalho, L.H.D. Diffuse pigmented villonodular synovitis in knee joint: Diagnosis and treatment. Rev. Bras. Ortop. 2017, 52, 450–457. [Google Scholar] [CrossRef] [PubMed]
- Fernandes, T.L.; Videira, L.D.; Sasaki, S.U.; Natalino, R.J.M.; Almeida, A.M.; Pedrinelli, A.; Hernandez, A.J. Bilateral Localized Pigmented Villonodular Synovitis of The Knee: Case Report and Review. Acta Ortop. Bras. 2018, 26, 183–186. [Google Scholar] [CrossRef] [PubMed] [PubMed Central]
- Sung, K.-S.; Ko, K.R. Surgical Outcomes After Excision of Pigmented Villonodular Synovitis Localized to the Ankle and Hindfoot Without Adjuvant Therapy. J. Foot Ankle Surg. 2015, 54, 160–163. [Google Scholar] [CrossRef]
- Panciera, A.; Colangelo, A.; Di Martino, A.; Ferri, R.; Bogucki, B.D.B.; Cecchin, D.; Brunello, M.; Benvenuti, L.; Digennaro, V. Total knee arthroplasty in pigmented villonodular synovitis osteoarthritis: A systematic review of literature. Musculoskelet. Surg. 2024, 108, 145–152. [Google Scholar] [CrossRef]
- De Ponti, A.; Sansone, V.; Malcherè, M. Result of arthroscopic treatment of pigmented villonodular synovitis of the knee. Arthroscopy 2003, 19, 602–607. [Google Scholar] [CrossRef] [PubMed]
- Heyd, R.; Micke, O.; Berger, B.; Eich, H.T.; Ackermann, H.; Seegenschmiedt, M.H. German Cooperative Group on Radiotherapy for Benign Diseases. Radiation therapy for treatment of pigmented villonodular synovitis: Results of a national patterns of care study. Int. J. Radiat. Oncol. Biol. Phys. 2010, 78, 199–204. [Google Scholar] [CrossRef] [PubMed]
- Bickels, J.; Isaakov, J.; Kollender, Y.; Meller, I. Unacceptable complications following intra-articular injection of yttrium 90 in the ankle joint for diffuse pigmented villonodular synovitis. J. Bone Jt. Surg. Am. 2008, 90, 326–328. [Google Scholar] [CrossRef] [PubMed]
- Bagla, S.; Piechowiak, R.; Hartman, T.; Orlando, J.; Del Gaizo, D.; Isaacson, A. Genicular Artery Embolization for the Treatment of Knee Pain Secondary to Osteoarthritis. J. Vasc. Interv. Radiol. 2020, 31, 1096–1102. [Google Scholar] [CrossRef] [PubMed]
- Casadaban, L.C.; Mandell, J.C.; Epelboym, Y. Genicular artery embolization for osteoarthritis related knee pain: A systematic review and qualitative analysis of clinical outcomes. Cardiovasc. Intervent. Radiol. 2021, 44, 1–9. [Google Scholar] [CrossRef]
- Torkian, P.; Golzarian, J.; Chalian, M.; Clayton, A.; Rahimi-Dehgolan, S.; Tabibian, E.; Talaie, R. Osteoarthritis-related knee pain treated with genicular artery embolization: A systematic review and meta-analysis. Orthop. J. Sports Med. 2021, 9, 23259671211021356. [Google Scholar] [CrossRef] [PubMed]
- Waldenberger, P.; Chemelli, A.; Hennerbichler, A.; Wick, M.; Freund, M.; Jaschke, W.; Thaler, M.; Chemelli-Steingruber, I. Transarterial embolization for the management of hemarthrosis of the knee. Eur. J. Radiol. 2012, 81, 2737–2740. [Google Scholar] [CrossRef]
- Yamada, K.; Jahangiri, Y.; Li, J.; Gabr, A.; Anoushiravani, A.; Kumagai, K.; Uchida, B.; Farsad, K.; Horikawa, M. Embolic Characteristics of Imipenem-Cilastatin Particles in Vitro and in Vivo: Implications for Transarterial Embolization in Joint Arthropathies. J. Vasc. Interv. Radiol. 2021, 32, 1031–1039.e2. [Google Scholar] [CrossRef] [PubMed]
- Koucheki, R.; Dowling, K.I.; Patel, N.R.; Matsuura, N.; Mafeld, S. Characteristics of Imipenem/Cilastatin: Cosiderations for Musculoskeletal Embolotherapy. J. Vasc. Interv. Radiol. 2021, 32, 1040–1043. [Google Scholar] [CrossRef] [PubMed]
- Nakamura, H.; Yamamoto, A.; Fukunaga, T.; Watanabe, H.; Ito, K.; Higaki, A.; Kanki, A.; Fukukura, Y.; Tamada, T. In vitro study of the embolic characteristics of imipenem/cilastatin particles. CVIR Endovasc. 2024, 7, 27. [Google Scholar] [CrossRef] [PubMed] [PubMed Central]
- Tsuda, S.; Nakai, H.; Murakami, T.; Seryu, S.; Takashima, T.; Tanaka, S.; Nakagawa, H.; Nishigaki, H.; Okuda, T.; Nishida, K.; et al. Clinical evaluation of imipenem/cilastatin sodium as a second line regimen in severe infections associated with hematologic disorders. Jpn. J. Antibiot. 1991, 44, 886–898. (In Japanese) [Google Scholar] [PubMed]
- Ogilvie-Harris, D.J.; McLean, J.; Zarnett, M.E. Pigmented villonodular synovitis of the knee: The results of total arthroscopic synovectomy, partial, arthroscopic syno- vectomy, and arthroscopic local excision. J. Bone Jt. Surg. Am. 1992, 74, 119–123. [Google Scholar] [CrossRef]
- Zvijac, J.E.; Lau, A.C.; Hechtman, K.S.; Uribe, J.W.; Tjin-A-Tsoi, E.W. Arthroscopic treatment of pigmented villonodular synovitis of the knee. Arthroscopy 1999, 15, 613–617. [Google Scholar] [CrossRef] [PubMed]
- Liu, S.; Swilling, D.; Morris, E.M.; Macaulay, W.; Golzarian, J.; Hickey, R.; Taslakian, B. Genicular Artery Embolization: A Review of Essential Anatomic Considerations. J. Vasc. Interv. Radiol. 2024, 35, 487–496.e6. [Google Scholar] [CrossRef] [PubMed]
- Langley, G.B.; Sheppeard, H. The visual analogue scale: Its use in pain measurement. Rheumatol. Int. 1985, 5, 145–148. [Google Scholar] [CrossRef] [PubMed]
- Lins, L.; Carvalho, F.M. SF-36 total score as a single measure of health-related quality of life: Scoping review. SAGE Open Med. 2016, 4, 2050312116671725. [Google Scholar] [CrossRef] [PubMed] [PubMed Central]
- Collins, N.J.; Prinsen, C.A.; Christensen, R.; Bartels, E.M.; Terwee, C.B.; Roos, E.M. Knee Injury and Osteoarthritis Outcome Score (KOOS): Systematic review and meta-analysis of measurement properties. Osteoarthr. Cartil. 2016, 24, 1317–1329. [Google Scholar] [CrossRef] [PubMed]
- Duan, Y.; Qian, J.; Chen, K.; Zhang, Z. Necessity of adjuvant postoperative radiotherapy for diffuse pigmented villonodular synovitis of the knee: A case report and literature review. Medicine 2018, 97, e9637. [Google Scholar] [CrossRef] [PubMed]
- Murphey, M.D.; Rhee, J.H.; Lewis, R.B.; Fanburg-Smith, J.C.; Flemming, D.J.; Walker, E.A. Pigmented villonodular synovitis: Radiologic-pathologic correlation. Radiographics 2008, 28, 1493–1518. [Google Scholar] [CrossRef]
- Qu, Y.P.; Jin, W.; Huang, B.; Shen, J. Combination of manual lymphatic drainage and Kinesio taping for treating pigmented villonodular synovitis: A case report. World J. Clin. Cases 2024, 12, 3971–3977. [Google Scholar] [CrossRef] [PubMed] [PubMed Central]
- Fałek, A.; Niemunis-Sawicka, J.; Wrona, K.; Szczypiór, G.; Rzepecka-Wejs, L.; Cięszczyk, K.; Burdan, M.; Puderecki, M.; Burzec, P.; Marzec-Kotarska, B.; et al. Pigmented villonodular synovitis. Folia Med. Cracov. 2018, 58, 93–104. [Google Scholar] [PubMed]
- Schindler, M.; Puchner, S.; Reinhard, J.; Leiss, F.; Windhager, R.; Lass, R. Recurrence-Free Survival after Synovectomy and Subsequent Radiosynoviorthesis in Patients with Synovitis of the Knee-A Retrospective Data Analysis. J. Clin. Med. 2024, 13, 601. [Google Scholar] [CrossRef] [PubMed]
- Taslakian, B.; Miller, L.E.; Mabud, T.S.; Macaulay, W.; Samuels, J.; Attur, M.; Alaia, E.F.; Kijowski, R.; Hickey, R.; Sista, A.K. Genicular artery embolization for treatment of knee osteoarthritis pain: Systematic review and meta-analysis. Osteoarthr. Cartil. Open 2023, 5, 100342. [Google Scholar] [CrossRef] [PubMed] [PubMed Central]
- Walsh, D.A.; Bonnet, C.S.; Turner, E.L.; Wilson, D.; Situ, M.; McWilliams, D.F. Angiogenesis in the synovium and at the osteochondral junction in osteoarthritis. Osteoarthr. Cartil. 2007, 15, 743–751. [Google Scholar] [CrossRef] [PubMed]
- Nakamura, H.; Yamamoto, A.; Watanabe, H.; Hayashida, M.; Higaki, A.; Kanki, A.; Fukunaga, T.; Maruhisa, T.; Fukukura, Y.; Tamada, T. Microembolization effects of imipenem/cilastatin in vivo Depicted by Monochromatic Synchrotron X-ray Microangiography. J. Vasc. Interv. Radiol. 2025, 36, 340–346. [Google Scholar] [CrossRef] [PubMed]
- Bemporad, J.A.; Chaloupka, J.C.; Putman, C.M.; Roth, T.C.; Tarro, J.; Mitra, S.; Sinard, J.H.; Sasaki, C.T. Pigmented villonodular synovitis of the temporomandibular joint: Diagnostic imaging and endovascular therapeutic embolization of a rare head and neck tumor. Am. J. Neuroradiol. 1999, 20, 159–162. [Google Scholar] [PubMed]
- Woodhams, R.; Nishimaki, H.; Ogasawara, G.; Fujii, K.; Yamane, T.; Ishida, K.; Kashimi, F.; Matsunaga, K.; Takigawa, M. Imipenem/cilastatin sodium (IPM/CS) as an embolic agent for transcatheter arterial embolisation: A preliminary clinical study of gastrointestinal bleeding from neoplasms. SpringerPlus 2013, 2, 344. [Google Scholar] [CrossRef] [PubMed]
- Padia, S.A.; Genshaft, S.; Blumstein, G.; Plotnik, A.; Kim, G.H.J.; Gilbert, S.J.; Lauko, K.; Stavrakis, A.I. Genicular Artery Embolization for the Treatment of Symptomatic Knee Osteoarthritis. JBJS Open Access 2021, 6, e21.00085. [Google Scholar] [CrossRef] [PubMed] [PubMed Central]
- Okuno, Y.; Korchi, A.M.; Shinjo, T.; Kato, S.; Kaneko, T. Midterm clinical outcomes and MR imaging changes after transcatheter arterial embolization as a treatment for mild to moderate radiographic knee osteoarthritis resistant to conservative treatment. J. Vasc. Intervent. Radiol. 2017, 28, 995–1002. [Google Scholar] [CrossRef] [PubMed]
- Amber, I.B.; Clark, B.J.; Greene, G.S. Pigmented villonodular synovitis: Dedicated PET imaging findings. BMJ Case Rep. 2013, 2013, bcr2013009401. [Google Scholar] [CrossRef] [PubMed] [PubMed Central]
- Stevenson, J.D.; Jaiswal, A.; Gregory, J.J.; Mangham, D.C.; Cribb, G.; Cool, P. Diffuse pig- mented villonodular synovitis (diffuse-type giant cell tumour) of the foot and ankle. J. Bone Jt. Br. 2013, 95 Pt B, 384–390. [Google Scholar] [CrossRef]
- Buckley, M.M.; Brogden, R.N.; Barradell, L.B.; Goa, K.L. Imipenem/cilastatin. A reappraisal of its antibacterial activity, pharmacokinetic properties and therapeutic efficacy. Drugs 1992, 44, 408–444, Erratum in Drugs 1992, 44, 1012. [Google Scholar] [CrossRef] [PubMed]
- Sahra, S.; Jahangir, A.; Hamadi, R.; Jahangir, A.; Glaser, A. Clinical and Microbiologic Efficacy and Safety of Imipenem/Cilastatin/Relebactam in Complicated Infections: A Meta-analysis. Infect. Chemother. 2021, 53, 271–283. [Google Scholar] [CrossRef] [PubMed] [PubMed Central]




| Time Point | VAS Score | KOOS Pain | KOOS Symptoms | KOOS ADL | KOOS Sport/Recreation | KOOS Quality of Life | SF-36 Physical Functioning | SF-36 Role Limitations | SF-36 Bodily Pain | SF-36 General Health |
|---|---|---|---|---|---|---|---|---|---|---|
| Pre-OP | 7/10 | 42 | 45 | 40 | 30 | 35 | 45 | 40 | 38 | 42 |
| 1-Month FUP | 3/10 | 65 | 62 | 68 | 50 | 55 | 60 | 55 | 65 | 58 |
| 3-Month FUP | 1/10 | 80 | 78 | 85 | 70 | 75 | 75 | 70 | 85 | 72 |
| 6-Month FUP | 0/10 | 95 | 92 | 96 | 88 | 90 | 90 | 88 | 95 | 90 |
Disclaimer/Publisher’s Note: The statements, opinions and data contained in all publications are solely those of the individual author(s) and contributor(s) and not of MDPI and/or the editor(s). MDPI and/or the editor(s) disclaim responsibility for any injury to people or property resulting from any ideas, methods, instructions or products referred to in the content. |
© 2025 by the authors. Licensee MDPI, Basel, Switzerland. This article is an open access article distributed under the terms and conditions of the Creative Commons Attribution (CC BY) license (https://creativecommons.org/licenses/by/4.0/).
Share and Cite
Cappucci, M.; Totti, R.; Bocchino, G.; Comodo, R.M.; Capece, G.; Rinaldi, P.M.; De Santis, V. Genicular Artery Embolization with Imipenem/Cilastatin for Pigmented Villonodular Synovitis of the Knee: A Case Report. Surgeries 2025, 6, 14. https://doi.org/10.3390/surgeries6010014
Cappucci M, Totti R, Bocchino G, Comodo RM, Capece G, Rinaldi PM, De Santis V. Genicular Artery Embolization with Imipenem/Cilastatin for Pigmented Villonodular Synovitis of the Knee: A Case Report. Surgeries. 2025; 6(1):14. https://doi.org/10.3390/surgeries6010014
Chicago/Turabian StyleCappucci, Matteo, Riccardo Totti, Guido Bocchino, Rocco Maria Comodo, Giacomo Capece, Pierluigi Maria Rinaldi, and Vincenzo De Santis. 2025. "Genicular Artery Embolization with Imipenem/Cilastatin for Pigmented Villonodular Synovitis of the Knee: A Case Report" Surgeries 6, no. 1: 14. https://doi.org/10.3390/surgeries6010014
APA StyleCappucci, M., Totti, R., Bocchino, G., Comodo, R. M., Capece, G., Rinaldi, P. M., & De Santis, V. (2025). Genicular Artery Embolization with Imipenem/Cilastatin for Pigmented Villonodular Synovitis of the Knee: A Case Report. Surgeries, 6(1), 14. https://doi.org/10.3390/surgeries6010014

