Unilateral Deforming Warthin’s Tumor: Case Report and Literature Review
Abstract
1. Introduction
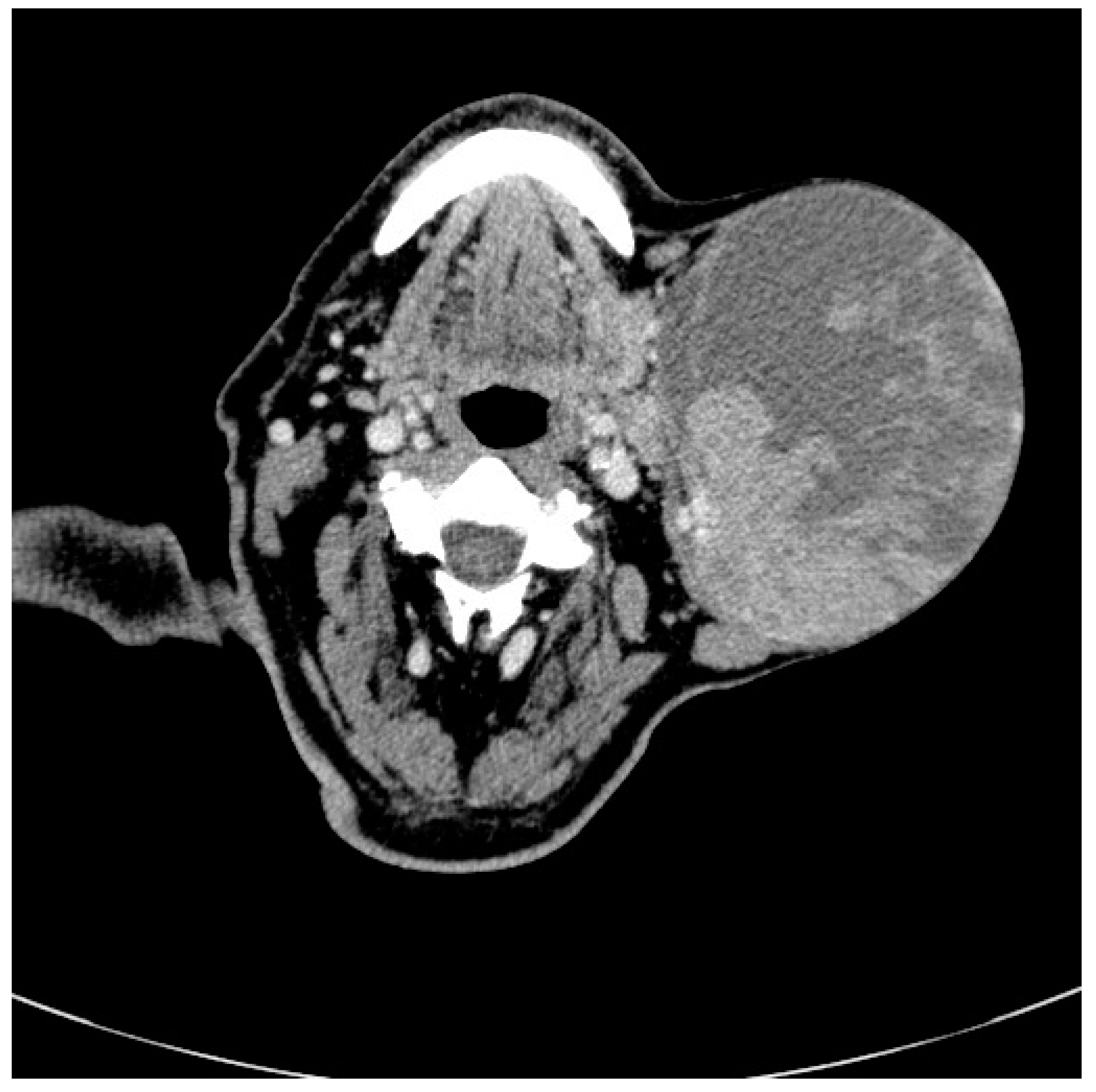
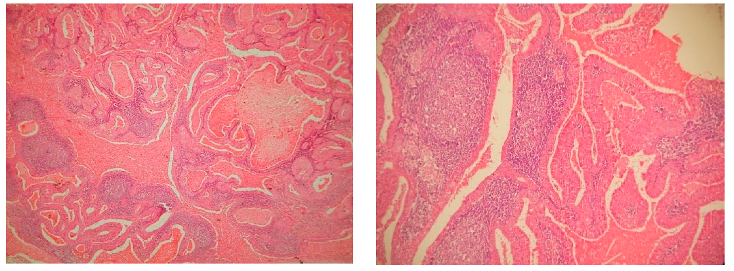
2. Case Presentation
3. Discussions
4. Conclusions
Author Contributions
Funding
Conflicts of Interest
References
- Liu, X.; Du, D.; Lin, X. Large and multiple Warthin’s tumors of bilateral parotid glands: A case report of bilateral regional excision of the parotid. Oral Maxillofac. Surg. Cases 2018, 4, 118–123. [Google Scholar] [CrossRef]
- So, T.; Sahovaler, A.; Nichols, A.; Fung, K.; Yoo, J.; Weir, M.M.; MacNeil, S.D. Utility of clinical features with fine needle aspiration biopsy for diagnosis of Warthin tumor. J. Otolaryngol. Head Neck Surg. 2019, 48, 41. [Google Scholar] [CrossRef] [PubMed]
- Vogl, T.J.; Albrecht, M.H.; Nour-Eldin, N.-E.-D.A.; Ackermann, H.; Maataoui, A.; Stöver, T.; Bickford, M.W.; Stark-Paulsen, T. Assessment of salivary gland tumors using MRI and CT: Impact of experience on diagnostic accuracy. Radiol. Med. 2017, 123, 105–116. [Google Scholar] [CrossRef] [PubMed]
- Quer, M.; Poorten, V.V.; Takes, R.P.; Silver, C.E.; Boedeker, C.C.; De Bree, R.; Rinaldo, A.; Sanabria, A.; Shaha, A.R.; Pujol, A.; et al. Surgical options in benign parotid tumors: A proposal for classification. Eur. Arch. Oto Rhino Laryngol. 2017, 274, 3825–3836. [Google Scholar] [CrossRef] [PubMed]
- Sučić, M.; Ljubić, N.; Perković, L.; Ivanović, D.; Pažanin, L.; Radovanović, T.S.; Župnić-Krmek, D.; Knežević, F. Cytopathology and diagnostics of Warthin’s tumour. Cytopathology 2020, 31, 193–207. [Google Scholar] [CrossRef] [PubMed]
- Franzen, A.M.; Kaup Franzen, C.; Guenzel, T.; Lieder, A. Increased incidence of Warthin tumours of the parotid gland: A 42-year evaluation. Eur. Arch. Oto Rhino Laryngol. 2018, 275, 2593–2598. [Google Scholar] [CrossRef] [PubMed]
- Kadletz, L.; Grasl, S.; Perisanidis, C.; Grasl, M.C.; Erovic, B.M. Rising incidences of Warthin’s tumors may be linked to obesity: A single-institutional experience. Eur. Arch. Oto Rhino Laryngol. 2019, 276, 1191–1196. [Google Scholar] [CrossRef] [PubMed]
- Psychogios, G.; Vlastos, I.; Thölken, R.; Zenk, J. Warthin’s tumour seems to be the most common benign neoplasm of the parotid gland in Germany. Eur. Arch. Oto Rhino Laryngol. 2020, 277, 2081–2084. [Google Scholar] [CrossRef] [PubMed]
- Jechova, A.; Kuchar, M.; Novak, S.; Koucky, V.; Dostalova, L.; Zabrodsky, M.; Kalfert, D.; Plzak, J. The role of fine-needle aspiration biopsy (FNAB) in Warthin tumour diagnosis and management. Eur. Arch. Oto Rhino Laryngol. 2019, 276, 2941–2946. [Google Scholar] [CrossRef] [PubMed]
- Orabona, G.D.; Abbate, V.; Piombino, P.; Romano, A.; Schonauer, F.; Iaconetta, G.; Salzano, G.; Farina, F.; Califano, L. Warthin’s tumour: Aetiopathogenesis dilemma, ten years of our experience. J. Cranio Maxillofac. Surg. 2015, 43, 427–431. [Google Scholar] [CrossRef] [PubMed]
- Mandic, R.; Agaimy, A.; Pinto-Quintero, D.; Roth, K.; Teymoortash, A.; Schwarzbach, H.; Stöhr, C.G.; Rodepeter, F.R.; Stuck, B.A.; Bette, M. Aberrant Expression of Glyceraldehyde-3-Phosphate Dehydrogenase (GAPDH) in Warthin Tumors. Cancers 2020, 12, 1112. [Google Scholar] [CrossRef] [PubMed]
- Rehani, S. Warthin’s Tumour: A Case Report and Review on Pathogenesis and its Histological Subtypes. J. Clin. Diagn. Res. 2014, 8, ZD37–ZD40. [Google Scholar] [CrossRef] [PubMed]
- Salaria, N.; Garg, U.; Kumar, S.; Verma, D.; Sharma, N.; Singh, K. Giant Warthin’s Tumour of the Parotid Gland: A Rare Case Report. Indian J. Otolaryngol. Head Neck Surg. 2019, 71, 839–843. [Google Scholar] [CrossRef] [PubMed]
- Zhang, D.; Li, X.; Lv, L.; Yu, J.; Yang, C.; Xiong, H.; Liao, R.; Zhou, B.; Huang, X.; Liu, X.; et al. Improving the diagnosis of common parotid tumors via the combination of CT image biomarkers and clinical parameters. BMC Med. Imaging 2020, 20, 38. [Google Scholar] [CrossRef] [PubMed]
- Vlantis, A.C.; Ng, S.K.; Mak, C.K.; Cheung, J.M.; Chan, A.B.; Van Hasselt, C.A. If cytology of Warthin tumor is accurate, can management be conservative? Ear Nose Throat J. 2016, 95, 185–188. [Google Scholar] [PubMed]
- Liu, C.C.; Jethwa, A.R.; Khariwala, S.S.; Johnson, J.; Shin, J.J. Sensitivity, Specificity, and Posttest Probability of Parotid Fine-Needle Aspiration: A Systematic Review and Meta-analysis. Otolaryngol. Neck Surg. 2015, 154, 9–23. [Google Scholar] [CrossRef] [PubMed]
- Schwalje, A.; Uzelac, A.; Ryan, W. Growth rate characteristics of Warthin’s tumours of the parotid gland. Int. J. Oral Maxillofac. Surg. 2015, 44, 1474–1479. [Google Scholar] [CrossRef] [PubMed]
- Alnoor, F.N.U.; Gandhi, J.S.; Stein, M.K.; Solares, J.; Gradowski, J.F. Prevalence of Lymphoid Neoplasia in a Retrospective Analysis of Warthin Tumor: A Single Institution Experience. Head Neck Pathol. 2020, 1–7. [Google Scholar] [CrossRef] [PubMed]






© 2020 by the authors. Licensee MDPI, Basel, Switzerland. This article is an open access article distributed under the terms and conditions of the Creative Commons Attribution (CC BY) license (http://creativecommons.org/licenses/by/4.0/).
Share and Cite
Porfire, I.M.; Pers, N.; Apostol, A.; Albu, S. Unilateral Deforming Warthin’s Tumor: Case Report and Literature Review. Surgeries 2020, 1, 46-53. https://doi.org/10.3390/surgeries1020006
Porfire IM, Pers N, Apostol A, Albu S. Unilateral Deforming Warthin’s Tumor: Case Report and Literature Review. Surgeries. 2020; 1(2):46-53. https://doi.org/10.3390/surgeries1020006
Chicago/Turabian StylePorfire, Ioana Maria, Nicoleta Pers, Anda Apostol, and Silviu Albu. 2020. "Unilateral Deforming Warthin’s Tumor: Case Report and Literature Review" Surgeries 1, no. 2: 46-53. https://doi.org/10.3390/surgeries1020006
APA StylePorfire, I. M., Pers, N., Apostol, A., & Albu, S. (2020). Unilateral Deforming Warthin’s Tumor: Case Report and Literature Review. Surgeries, 1(2), 46-53. https://doi.org/10.3390/surgeries1020006

