Male LEW.1WR1 Rats Develop Metabolic Dysfunction, Steatohepatitis, and Liver Damage
Abstract
1. Introduction
2. Materials and Methods
2.1. Animals
2.2. Diets
2.3. Blood-Based Analysis
2.3.1. Glucose Tolerance Test
2.3.2. Terminal Serum and Plasma Collection
2.3.3. Homeostatic Model Assessment for Insulin Resistance (HOMA-IR)
2.3.4. Extraction of Serum Metabolites for 1H-Nuclear Magnetic Resonance (NMR) Analysis
2.3.5. 1H-NMR Analysis of Serum Metabolite Extracts
2.3.6. Quantitation of Serum Metabolites
2.4. Liver Analysis
2.4.1. Triglyceride Assay
2.4.2. Liver Histology
2.4.3. Histological Analysis
2.4.4. QuPath Analysis
2.4.5. Western Blot
2.4.6. qPCR
2.5. Abdominal and Visceral Fat Analysis
2.6. Statistical Analysis
3. Results
3.1. LEW.1WR1 Rats Have Increased Fat Storage
3.2. LEW.1WR1 Rats Have Impaired Metabolism
3.3. LEW.1WR1 Rats Develop Fatty Liver Disease
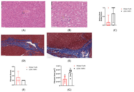
3.4. LEW.1WR1 Rats Have Increased Inflammation
3.5. LEW.1WR1 Rats Have Increased Markers of Liver Damage
4. Discussion
Supplementary Materials
Author Contributions
Funding
Institutional Review Board Statement
Informed Consent Statement
Data Availability Statement
Acknowledgments
Conflicts of Interest
Appendix A
| Primer sequences | |
| Gene name | Sequence 5′-3′ |
| Rpl32 forward | AAACTGGCGGAAACCCAGAG |
| Rpl32 reverse | GCAATCTCAGCACAGTAAGATT |
| Vegf-a forward | CGACAGAAGGGGAGCAGAAA |
| Vegf-a reverse | CCTTGGCTTGTCACATCTGC |
| Vegf-c forward | GTTCGGATGTCCGGTTTCCT |
| Vegf-c reverse | GCCTTCGAAACCCTTGACCT |
| Ccl3 forward | CCTATGGACGGCAAATTCCAC |
| Ccl3 reverse | AGATCTGCCGGTTTCTCTTGG |
| Ccl5 forward | CATATGGCTCGGACACCACT |
| Ccl5 reverse | GACTGCAAGGTTGGAGCACT |
| Acox1 forward | TGCTTTGGTGTCTGTCACTTC |
| Acox1 reverse | ATTGAGGCCAACAGGTTCCA |
| Mcp-1 forward | CTTCCTCCACCACTATGCAGG |
| Mcp-1 reverse | GATGCTACAGGCAGCAACTG |
| Lxr-a forward | GAGGGCTGCAAGGGATTCTT |
| Lxr-a reverse | CATTTGCGAAGGCGACACTC |
| Tgf-β forward | CCACGTAGTAGACGATGGGC |
| Tgf-β reverse | GCTAGCTGATTACTTCTGTGTAGT |
| IFN-β forward | ACTACAAGCAGCTCCAGTTC |
| IFN-β reverse | TGAGGTTGAGCCTTCCATTC |
| Plin2 forward | GGCCAGTGAGATGGCTTAAT |
| Plin2 reverse | TGTGTGTGTGTGTGTGTAGAG |
| Pnpla2 forward | GAGTTTCGGATGGAGAGAATGT |
| Pnpla2 reverse | GCCACAGTACACAGGGATAAA |
| Acadvl forward | ACTGTCTTTGCCAAAACGCC |
| Acadvl reverse | GCCCATCTTCTTTTCGGGGA |
| Ppar-a forward | CATACAGGAGAGCAGGGATTTG |
| Ppar-a reverse | GCCTCTGATCACCACCATTT |
| Cpt1-a forward | CCACGAAGCCCTCAAACAGA |
| Cpt1-a reverse | CACACCCACCACCACGATAA |
| Prkaa forward | TGGAGGTGAATTGTTCGACTACAT |
| Prkaa reverse | ACAGTAGTCCACGGCAGACAGA |
| Acc1 forward | CTTGGGGTGATGCTCCCATT |
| Acc1 reverse | GCTGGGCTTAAACCCCTCAT |
| Fasn forward | GCATTTCCACAACCCCAACC |
| Fasn reverse | AACGAGTTGATGCCCACGAT |
| Scd-1 forward | ACATTCAATCTCGGGAGAACA |
| Scd-1 reverse | CCATGCAGTCGATGAAGAAC |
| Srebf-1 forward | CATGGACGAGCTACCCTTCG |
| Srbf-1 reverse | GGGCATCAAATAGGCCAGGG |
References
- Shetty, A.; Syn, W.-K. Health and Economic Burden of Nonalcoholic Fatty Liver Disease in the United States and Its Impact on Veterans. Fed. Pract. 2019, 36, 14–19. [Google Scholar] [PubMed]
- Estes, C.; Anstee, Q.M.; Arias-Loste, M.T.; Bantel, H.; Bellentani, S.; Caballeria, J.; Colombo, M.; Craxi, A.; Crespo, J.; Day, C.P.; et al. Modeling NAFLD Disease Burden in China, France, Germany, Italy, Japan, Spain, United Kingdom, and United States for the Period 2016–2030. J. Hepatol. 2018, 69, 896–904. [Google Scholar] [CrossRef]
- Muzurović, E.; Peng, C.C.-H.; Belanger, M.J.; Sanoudou, D.; Mikhailidis, D.P.; Mantzoros, C.S. Nonalcoholic Fatty Liver Disease and Cardiovascular Disease: A Review of Shared Cardiometabolic Risk Factors. Hypertension 2022, 79, 1319–1326. [Google Scholar] [CrossRef]
- Buzzetti, E.; Pinzani, M.; Tsochatzis, E.A. The Multiple-Hit Pathogenesis of Non-Alcoholic Fatty Liver Disease (NAFLD). Metabolism 2016, 65, 1038–1048. [Google Scholar] [CrossRef] [PubMed]
- Begriche, K.; Massart, J.; Robin, M.-A.; Bonnet, F.; Fromenty, B. Mitochondrial Adaptations and Dysfunctions in Nonalcoholic Fatty Liver Disease. Hepatology 2013, 58, 1497–1507. [Google Scholar] [CrossRef]
- Van Den Brandt, J.; Kovács, P.; Klöting, I. Features of the Metabolic Syndrome in the Spontaneously Hypertriglyceridemic Wistar Ottawa Karlsburg W (RT1u Haplotype) Rat. Metabolism 2000, 49, 1140–1144. [Google Scholar] [CrossRef]
- Gaggini, M.; Morelli, M.; Buzzigoli, E.; DeFronzo, R.A.; Bugianesi, E.; Gastaldelli, A. Non-Alcoholic Fatty Liver Disease (NAFLD) and Its Connection with Insulin Resistance, Dyslipidemia, Atherosclerosis and Coronary Heart Disease. Nutrients 2013, 5, 1544–1560. [Google Scholar] [CrossRef] [PubMed]
- Chalasani, N.; Younossi, Z.; Lavine, J.E.; Diehl, A.M.; Brunt, E.M.; Cusi, K.; Charlton, M.; Sanyal, A.J.; American Gastroenterological Association; American Association for the Study of Liver Diseases. The Diagnosis and Management of Non-Alcoholic Fatty Liver Disease: Practice Guideline by the American Gastroenterological Association, American Association for the Study of Liver Diseases, and American College of Gastroenterology. Gastroenterology 2012, 142, 1592–1609. [Google Scholar] [CrossRef]
- Bellentani, S.; Saccoccio, G.; Masutti, F.; Crocè, L.S.; Brandi, G.; Sasso, F.; Cristanini, G.; Tiribelli, C. Prevalence of and Risk Factors for Hepatic Steatosis in Northern Italy. Ann. Intern. Med. 2000, 132, 112–117. [Google Scholar] [CrossRef]
- Marušić, M.; Paić, M.; Knobloch, M.; Liberati Pršo, A.-M. NAFLD, Insulin Resistance, and Diabetes Mellitus Type 2. Can. J. Gastroenterol. Hepatol. 2021, 2021, 6613827. [Google Scholar] [CrossRef]
- Chen, Z.; Yu, R.; Xiong, Y.; Du, F.; Zhu, S. A Vicious Circle between Insulin Resistance and Inflammation in Nonalcoholic Fatty Liver Disease. Lipids Health Dis. 2017, 16, 203. [Google Scholar] [CrossRef] [PubMed]
- Pasmans, K.; Adriaens, M.E.; Olinga, P.; Langen, R.; Rensen, S.S.; Schaap, F.G.; Olde Damink, S.W.M.; Caiment, F.; van Loon, L.J.C.; Blaak, E.E.; et al. Hepatic Steatosis Contributes to the Development of Muscle Atrophy via Inter-Organ Crosstalk. Front. Endocrinol. 2021, 12, 733625. [Google Scholar] [CrossRef] [PubMed]
- Robertson, R.P.; Harmon, J.; Tran, P.O.T.; Poitout, V. Beta-Cell Glucose Toxicity, Lipotoxicity, and Chronic Oxidative Stress in Type 2 Diabetes. Diabetes 2004, 53 (Suppl. S1), S119–S124. [Google Scholar] [CrossRef]
- Gao, B.; Tsukamoto, H. Inflammation in Alcoholic and Nonalcoholic Fatty Liver Disease: Friend or Foe? Gastroenterology 2016, 150, 1704–1709. [Google Scholar] [CrossRef]
- Hermans, M.P.; Valensi, P. Elevated Triglycerides and Low High-Density Lipoprotein Cholesterol Level as Marker of Very High Risk in Type 2 Diabetes. Curr. Opin. Endocrinol. Diabetes Obes. 2018, 25, 118–129. [Google Scholar] [CrossRef]
- Tesfay, M.; Goldkamp, W.J.; Neuschwander-Tetri, B.A. NASH: The Emerging Most Common Form of Chronic Liver Disease. Mo. Med. 2018, 115, 225–229. [Google Scholar]
- Hansen, H.H.; Feigh, M.; Veidal, S.S.; Rigbolt, K.T.; Vrang, N.; Fosgerau, K. Mouse Models of Nonalcoholic Steatohepatitis in Preclinical Drug Development. Drug Discov. Today 2017, 22, 1707–1718. [Google Scholar] [CrossRef] [PubMed]
- Kucera, O.; Cervinkova, Z. Experimental Models of Non-Alcoholic Fatty Liver Disease in Rats. World J. Gastroenterol. 2014, 20, 8364–8376. [Google Scholar] [CrossRef]
- Cort, L.; Habib, M.; Eberwine, R.; Hessner, M.J.; Mordes, J.P.; Blankenhorn, E.P. Diubiquitin (Ubd) is a Susceptibility Gene for Virus-triggered Autoimmune Diabetes in Rats. Genes Immun. 2014, 15, 168. [Google Scholar] [CrossRef]
- Mordes, J.P.; Guberski, D.L.; Leif, J.H.; Woda, B.A.; Flanagan, J.F.; Greiner, D.L.; Kislauskis, E.H.; Tirabassi, R.S. LEW.1WR1 Rats Develop Autoimmune Diabetes Spontaneously and in Response to Environmental Perturbation. Diabetes 2005, 54, 2727–2733. [Google Scholar] [CrossRef]
- Blankenhorn, E.P.; Cort, L.; Greiner, D.L.; Guberski, D.L.; Mordes, J.P. Virus-Induced Autoimmune Diabetes in the LEW.1WR1 Rat Requires Iddm14 and a Genetic Locus Proximal to the Major Histocompatibility Complex. Diabetes 2009, 58, 2930. [Google Scholar] [CrossRef]
- Bril, F.; Lomonaco, R.; Orsak, B.; Ortiz-Lopez, C.; Webb, A.; Tio, F.; Hecht, J.; Cusi, K. Relationship between Disease Severity, Hyperinsulinemia, and Impaired Insulin Clearance in Patients with Nonalcoholic Steatohepatitis. Hepatology 2014, 59, 2178–2187. [Google Scholar] [CrossRef] [PubMed]
- Wilkerson-Vidal, Q.C.; Wimalarathne, M.; Collins, G.; Wolfsberger, J.G.; Clopp, A.; Mercado, L.; Fowler, E.; Gibson, H.; McConnell, V.; Martin, S.; et al. Young Adult Male LEW.1WR1 Rats Have Reduced Beta Cell Area and Develop Glucose Intolerance. Mol. Cell. Endocrinol. 2023, 562, 111837. [Google Scholar] [CrossRef] [PubMed]
- Chitturi, S.; Abeygunasekera, S.; Farrell, G.C.; Holmes-Walker, J.; Hui, J.M.; Fung, C.; Karim, R.; Lin, R.; Samarasinghe, D.; Liddle, C.; et al. NASH and Insulin Resistance: Insulin Hypersecretion and Specific Association with the Insulin Resistance Syndrome. Hepatology 2002, 35, 373–379. [Google Scholar] [CrossRef]
- Kruger, A.J.; Yang, C.; Tam, S.W.; Hinerfeld, D.; Evans, J.E.; Green, K.M.; Leszyk, J.; Yang, K.; Guberski, D.L.; Mordes, J.P.; et al. Haptoglobin as an Early Serum Biomarker of Virus-Induced Autoimmune Type 1 Diabetes in Biobreeding Diabetes Resistant and LEW1.WR1 Rats. Exp. Biol. Med. 2010, 235, 1328–1337. [Google Scholar] [CrossRef]
- Wimalarathne, M.M.; Wade, A.M.; Love-Rutledge, S. LEW.1WR1 Rats Have Increased Insulin Levels and Liver Lipid Lipolytic Gene Expression during Their Type 1 Diabetes Susceptibility Window. FASEB J. 2020, 34 (Suppl. S1), 1. [Google Scholar] [CrossRef]
- Dali-Youcef, N.; Vix, M.; Costantino, F.; El-Saghire, H.; Lhermitte, B.; Callari, C.; D’Agostino, J.; Perretta, S.; Paveliu, S.; Gualtierotti, M.; et al. Interleukin-32 Contributes to Human Nonalcoholic Fatty Liver Disease and Insulin Resistance. Hepatol. Commun. 2019, 3, 1205–1220. [Google Scholar] [CrossRef]
- Matthews, D.R.; Hosker, J.P.; Rudenski, A.S.; Naylor, B.A.; Treacher, D.F.; Turner, R.C. Homeostasis model assessment: Insulin resistance and ꞵ-cell function from fasting plasma glucose and insulin concentrations in man. Diabetologia 1985, 28, 412–419. [Google Scholar] [CrossRef]
- Snytnikova, O.A.; Khlichkina, A.A.; Sagdeev, R.Z.; Tsentalovich, Y.P. Evaluation of sample preparation protocols for quantitative NMR-based metabolomics. Metabolomics 2019, 15, 84. [Google Scholar] [CrossRef]
- Nowick, J.S.; Khakshoor, O.; Hashemzadeh, M.; Brower, J.O. DSA: A New Internal Standard for NMR Studies in Aqueous Solution. Org. Lett. 2003, 5, 3511–3513. [Google Scholar] [CrossRef]
- Wolfsberger, J.G.; Hunt, E.C.; Bobba, S.S.; Love-Rutledge, S.; Vogler, B. Metabolite quantification: A fluorescence-based method for urine sample normalization prior to 1H-NMR analysis. Metabolomics 2022, 18, 80. [Google Scholar] [CrossRef] [PubMed]
- Kleiner, D.E.; Brunt, E.M.; Van Natta, M.; Behling, C.; Contos, M.J.; Cummings, O.W.; Ferrell, L.D.; Liu, Y.; Torbenson, M.S.; Unalp-Arida, A.; et al. Nonalcoholic Steatohepatitis Clinical Research Network. Design and validation of a histological scoring system for nonalcoholic fatty liver disease. Hepatology 2005, 41, 1313–1321. [Google Scholar] [CrossRef] [PubMed]
- Bankhead, P.; Loughrey, M.B.; Fernández, J.A.; Dombrowski, Y.; McArt, D.G.; Dunne, P.D.; McQuaid, S.; Gray, R.T.; Murray, L.J.; Coleman, H.G.; et al. QuPath: Open source software for digital pathology image analysis. Sci. Rep. 2017, 7, 16878. [Google Scholar] [CrossRef] [PubMed]
- Chusyd, D.E.; Wang, D.; Huffman, D.M.; Nagy, T.R. Relationships between Rodent White Adipose Fat Pads and Human White Adipose Fat Depots. Front Nutr. 2016, 3, 10. [Google Scholar] [CrossRef] [PubMed]
- Snel, M.; Jonker, J.T.; Schoones, J.; Lamb, H.; De Roos, A.; Pijl, H.; Smit, J.W.A.; Meinders, A.E.; Jazet, I.M. Ectopic Fat and Insulin Resistance: Pathophysiology and Effect of Diet and Lifestyle Interventions. Int. J. Endocrinol. 2012, 2012, 983814. [Google Scholar] [CrossRef] [PubMed]
- Peiseler, M.; Schwabe, R.; Hampe, J.; Kubes, P.; Heikenwälder, M.; Tacke, F. Immune mechanisms linking metabolic injury to inflammation and fibrosis in fatty liver disease—Novel insights into cellular communication circuits. J. Hepatol. 2022, 77, 1136–1160. [Google Scholar] [CrossRef] [PubMed]
- Tiniakos, D.G.; Vos, M.B.; Brunt, E.M. Nonalcoholic fatty liver disease: Pathology and pathogenesis. Annu. Rev. Pathol. 2010, 5, 145–171. [Google Scholar] [CrossRef] [PubMed]
- Takahashi, Y.; Fukusato, T. Histopathology of nonalcoholic fatty liver disease/nonalcoholic steatohepatitis. World J. Gastroenterol. 2014, 20, 15539. [Google Scholar] [CrossRef] [PubMed]
- Wimalarathne, M.M. Hyperinsulinemic LEW.1WR1 Rats Develop Insulin Resistance and Nonalcoholic Steatohepatitis (Order No. 30309824). Available from Dissertations & Theses @ University of Alabama in Huntsville; ProQuest One Academic. (2786218946). 2023. Available online: https://www.proquest.com/dissertations-theses/hyperinsulinemic-lew-1wr1-rats-develop-insulin/docview/2786218946/se-2 (accessed on 5 January 2024).
- Oliva, J.; Bardag-Gorce, F.; Lin, A.; French, B.A.; French, S.W. The role of cytokines in Ubd promoter regulation and Mallory-denk body-like aggresomes. Exp. Mol. Pathol. 2010, 89, 1. [Google Scholar] [CrossRef]
- Gu, X.; Al Dubayee, M.; Alshahrani, A.; Masood, A.; Benabdelkamel, H.; Zahra, M.; Li, L.; Abdel Rahman, A.M.; Aljada, A. Distinctive Metabolomics Patterns Associated With Insulin Resistance and Type 2 Diabetes Mellitus. Front. Mol. Biosci. 2020, 7, 609806. [Google Scholar] [CrossRef]
- Zhang, X.; Wang, Y.; Hao, F.; Zhou, X.; Han, X.; Tang, H.; Ji, L. Human serum metabonomic analysis reveals progression axes for glucose intolerance and insulin resistance statuses. J. Proteome Res. 2009, 8, 5188–5195. [Google Scholar] [CrossRef] [PubMed]
- Fromenty, B.; Berson, A.; Pessayre, D. Microvesicular steatosis and steatohepatitis: Role of mitochondrial dysfunction and lipid peroxidation. J. Hepatol. 1997, 26, 13–22. [Google Scholar] [CrossRef] [PubMed]
- Chalasani, N.; Wilson, L.; Kleiner, D.E.; Cummings, O.W.; Brunt, E.M.; Ünalp, A. Relationship of steatosis grade and zonal location to histological features of steatohepatitis in adult patients with non-alcoholic fatty liver disease. J. Hepatol. 2008, 48, 829–834. [Google Scholar] [CrossRef] [PubMed]
- Shimozono, R.; Asaoka, Y.; Yoshizawa, Y.; Aoki, T.; Noda, H.; Yamada, M.; Kaino, M.; Mochizuki, H. Nrf2 activators attenuate the progression of nonalcoholic steatohepatitis-related fibrosis in a dietary rat model. Mol. Pharmacol. 2013, 84, 62–70. [Google Scholar] [CrossRef] [PubMed]
- Carreres, L.; Jílková, Z.M.; Vial, G.; Marche, P.N.; Decaens, T.; Lerat, H. Modeling Diet-Induced NAFLD and NASH in Rats: A Comprehensive Review. Biomedicines 2021, 9, 378. [Google Scholar] [CrossRef] [PubMed]
- French, S.W.; Lee, J.; Zhong, J.; Morgan, T.R.; Buslon, V.; Lungo, W.; French, B.A. Alcoholic liver disease- Hepato-cellular carcinoma transformation. J. Gastrointest. Oncol. 2012, 3, 174–181. [Google Scholar] [CrossRef] [PubMed]
- French, S.W.; French, B.A.; Oliva, J.; Li, J.; Bardag-Gorce, F.; Tillman, B.; Canaan, A. FAT10 knock out mice livers fail to develop Mallory-denk bodies in the DDC mouse model. Exp. Mol. Pathol. 2012, 93, 309. [Google Scholar] [CrossRef]
- Beaven, S.W.; Wroblewski, K.; Wang, J.; Hong, C.; Bensinger, S.; Tsukamoto, H.; Tontonoz, P. Liver X receptor signaling is a determinant of stellate cell activation and susceptibility to fibrotic liver disease. Gastroenterology 2011, 140, 1052–1062. [Google Scholar] [CrossRef]
- Dooley, S.; ten Dijke, P. TGF-β in progression of liver disease. Cell Tissue Res. 2012, 347, 245–256. [Google Scholar] [CrossRef]
- Carmeliet, P.; Jain, R.K. Molecular mechanisms and clinical applications of angiogenesis. Nature 2011, 473, 298–307. [Google Scholar] [CrossRef]
- Nath, B.; Szabo, G. Hypoxia and Hypoxia Inducible Factors: Diverse Roles in Liver Diseases. Hepatology 2012, 55, 622. [Google Scholar] [CrossRef] [PubMed]
- Kanda, T.; Matsuoka, S.; Yamazaki, M.; Shibata, T.; Nirei, K.; Takahashi, H.; Kaneko, T.; Fujisawa, M.; Higuchi, T.; Nakamura, H.; et al. Apoptosis and non-alcoholic fatty liver diseases. World J. Gastroenterol. 2018, 24, 2661–2672. [Google Scholar] [CrossRef] [PubMed]
- Porter, A.G.; Jänicke, R.U. Emerging roles of caspase-3 in apoptosis. Cell Death Differ. 1999, 6, 99–104. [Google Scholar] [CrossRef] [PubMed]
- Dandan, M.; Han, J.; Mann, S.; Kim, R.; Li, K.; Mohammed, H.; Chuang, J.C.; Zhu, K.; Billin, A.N.; Huss, R.S.; et al. Acetyl-CoA carboxylase inhibitor increases LDL-apoB production rate in NASH with cirrhosis: Prevention by fenofibrate. J. Lipid Res. 2023, 64, 100339. [Google Scholar] [CrossRef] [PubMed]
- Ruan, G.X.; Kazlauskas, A. VEGF-A engages at least three tyrosine kinases to activate PI3K/Akt. Cell Cycle 2012, 11, 2047. [Google Scholar] [CrossRef] [PubMed]
- Pugh, C.W.; Ratcliffe, P.J. Regulation of angiogenesis by hypoxia: Role of the HIF system. Nat. Med. 2003, 9, 677–684. [Google Scholar] [CrossRef]
- Zhao, G.; Nakano, K.; Chijiiwa, K.; Ueda, J.; Tanaka, M. Inhibited activities in CCAAT/enhancer-binding protein, activating protein-1 and cyclins after hepatectomy in rats with thioacetamide-induced liver cirrhosis. Biochem. Biophys. Res. Commun. 2002, 292, 474–481. [Google Scholar] [CrossRef]







| 0 | 1 | 2 | 3 | 4 | |
|---|---|---|---|---|---|
| Steatosis (lipid-containing hepatocytes) | <5% | 5–33% | >33–66% | >66% | N/A |
| Microvesicular steatosis | not present | present | N/A | N/A | N/A |
| Inflammatory foci | no foci | <2 foci | 2–4 foci | >4 foci | N/A |
| Mallory–Denk bodies | not present | present | N/A | N/A | N/A |
| Fibrosis | not present | perisinusoidal or periportal * | perisinusoidal and portal/periportal | bridging fibrosis | cirrhosis |
| Wistar Furth Rats | LEW.1WR1 Rats | ||||
|---|---|---|---|---|---|
| Metabolite | Concentration (mM) | Standard Deviation | Concentration (mM) | Standard Deviation | p-Value |
| Glucose | 20.6196 | 3.1140 | 20.4280 | 2.0572 | 0.8906 |
| Pyruvate | 0.2257 | 0.0459 | 0.2356 | 0.0390 | 0.6544 |
| Lactate | 5.5627 | 2.5033 | 6.0274 | 1.2059 | 0.6613 |
| Alanine | 1.2020 | 0.2484 | 1.2086 | 0.1643 | 0.9525 |
| Sorbitol | 1.5494 | 0.1507 | 1.4738 | 0.1529 | 0.3386 |
| Leucine | 0.3130 | 0.0527 | 0.2993 | 0.0330 | 0.5578 |
| Isoleucine | 0.6228 | 0.1407 | 0.6187 | 0.1806 | 0.9601 |
| Valine | 0.3363 | 0.0378 | 0.3243 | 0.0394 | 0.5439 |
| Citrate | 0.2962 | 0.1101 | 0.3032 | 0.0453 | 0.8774 |
| α-Ketoglutarate | 1.1705 | 0.4535 | 1.5396 | 0.1782 | 0.0734 |
| Succinate | 0.0822 | 0.0500 | 0.0646 | 0.0185 | 0.4016 |
| Fumarate | n.d. * | N/A | n.d. | N/A | N/A |
| Malate | n.d. | N/A | n.d. | N/A | N/A |
| Oxaloacetate | 0.1326 | 0.0174 | 0.1499 | 0.0140 | 0.0679 |
| Glutamine | 1.1730 | 0.2360 | 1.3151 | 0.2239 | 0.2413 |
| Glutamate | 1.6471 | 0.3862 | 1.6246 | 0.2536 | 0.8962 |
| Acetoacetate | 0.0635 | 0.0276 | 0.0611 | 0.0206 | 0.8543 |
| 3-Hydroxybutyrate | 0.6027 | 0.2243 | 0.5377 | 0.1223 | 0.5052 |
| Acetone | 0.0504 | 0.0306 | 0.0416 | 0.0096 | 0.4844 |
| Glycerol | 0.3335 | 0.0609 | 0.3815 | 0.0339 | 0.0895 |
| Carnitine | 0.1225 | 0.0162 | 0.1349 | 0.0202 | 0.1929 |
| Acylcarnitine | 0.0529 | 0.0154 | 0.0492 | 0.0102 | 0.5893 |
| Choline | 0.0271 | 0.0050 | 0.0305 | 0.0034 | 0.1416 |
| Glycine | 1.3853 | 0.1809 | 1.3225 | 0.3024 | 0.6140 |
| Taurine | 9.3063 | 0.8361 | 9.6016 | 0.9838 | 0.5261 |
| Phenylalanine | 0.4926 | 0.1172 | 0.5715 | 0.0736 | 0.1469 |
| Tryptophan | 0.2364 | 0.0289 | 0.2081 | 0.0275 | 0.1437 |
| Tyrosine | 0.2208 | 0.0282 | 0.2585 | 0.0432 | 0.0521 |
Disclaimer/Publisher’s Note: The statements, opinions and data contained in all publications are solely those of the individual author(s) and contributor(s) and not of MDPI and/or the editor(s). MDPI and/or the editor(s) disclaim responsibility for any injury to people or property resulting from any ideas, methods, instructions or products referred to in the content. |
© 2024 by the authors. Licensee MDPI, Basel, Switzerland. This article is an open access article distributed under the terms and conditions of the Creative Commons Attribution (CC BY) license (https://creativecommons.org/licenses/by/4.0/).
Share and Cite
Wilkerson-Vidal, Q.C.; Wimalarathne, M.M.; Hunt, E.C.; Mercado, L.; David, M.A.; Apperson, C.R.; Smiley, A.; Love-Rutledge, S.T.; Vogler, B.W.G. Male LEW.1WR1 Rats Develop Metabolic Dysfunction, Steatohepatitis, and Liver Damage. Endocrines 2024, 5, 166-185. https://doi.org/10.3390/endocrines5020012
Wilkerson-Vidal QC, Wimalarathne MM, Hunt EC, Mercado L, David MA, Apperson CR, Smiley A, Love-Rutledge ST, Vogler BWG. Male LEW.1WR1 Rats Develop Metabolic Dysfunction, Steatohepatitis, and Liver Damage. Endocrines. 2024; 5(2):166-185. https://doi.org/10.3390/endocrines5020012
Chicago/Turabian StyleWilkerson-Vidal, Quiana C., Madushika M. Wimalarathne, Emily C. Hunt, Luis Mercado, Moses Adaji David, Christopher R. Apperson, Alan Smiley, Sharifa Tahirah Love-Rutledge, and Bernhard W. G. Vogler. 2024. "Male LEW.1WR1 Rats Develop Metabolic Dysfunction, Steatohepatitis, and Liver Damage" Endocrines 5, no. 2: 166-185. https://doi.org/10.3390/endocrines5020012
APA StyleWilkerson-Vidal, Q. C., Wimalarathne, M. M., Hunt, E. C., Mercado, L., David, M. A., Apperson, C. R., Smiley, A., Love-Rutledge, S. T., & Vogler, B. W. G. (2024). Male LEW.1WR1 Rats Develop Metabolic Dysfunction, Steatohepatitis, and Liver Damage. Endocrines, 5(2), 166-185. https://doi.org/10.3390/endocrines5020012

