Arginine-Vasotocin Neuronal System in Steindachneridion parahybae (Siluriformes: Pimelodidae) and Its Influence on Artificially Induced Spawning in Captivity
Abstract
1. Introduction
2. Materials and Methods
2.1. Broodstock Selection, Hormonal Induction, Reproductive Behavior, and Spawning
2.2. Fish Collection to Steroid Analysis, Ovarian Histological Analysis, and Brain and Pituitary Gland Histological and Immunohistochemical Analysis
2.2.1. Steroid Analysis
2.2.2. Ovarian, Brain, and Pituitary Gland Histological Analysis
2.2.3. Single Immunohistochemistry of the Brain and Pituitary Gland
2.2.4. Morphometric Analysis
2.3. Statistical Analyses
3. Results
3.1. Water Quality
3.2. Broodstock Selection, Hormonal Induction, Reproductive Behavior, and Spawning
3.3. Steroid Analysis
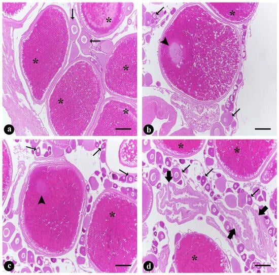
3.4. Histological and Immunohistochemical Analyses of the Ovarian, Brain, and Pituitary Glands
3.5. Morphometry of AVT-ir Cellular and Nuclear Areas in POA Area and between Dominant vs. Nondominant Females
4. Discussion
4.1. Water Parameters and General Characteristics of the Breeders
4.2. Vasotocinergic System Characterization, and Social Status: Dominant and Nondominant Females
4.3. AVT System Influences the Brain-Pituitary-Gonads Axis of Steindachneridion parahybae
5. Conclusions
Author Contributions
Funding
Institutional Review Board Statement
Informed Consent Statement
Data Availability Statement
Acknowledgments
Conflicts of Interest
References
- Honji, R.M.; Caneppele, D.; Hilsdorf, A.W.S.; Moreira, R.G. Threatened fishes of the world: Steindachneridion parahybae (Steindachner, 1877) (Siluriformes: Pimelodidae). Environ. Biol. Fishes 2009, 85, 207–208. [Google Scholar] [CrossRef]
- IUCN. The IUCN Red List of Threatened Species. Version 2023-1. 2024. Available online: https://www.iucnredlist.org (accessed on 21 March 2024).
- Caneppele, D.; Honji, R.M.; Hilsdorf, A.W.S.; Moreira, R.G. Induced spawning of the endangered Neotropical species Steindachneridion parahybae (Siluriformes: Pimelodidae). Neotrop. Ichthyol. 2009, 7, 759–762. [Google Scholar] [CrossRef]
- Honji, R.M.; Caneppele, D.; Moreira, R.G. Caracterização macroscópica das gônadas durante a reprodução induzida em cativeiro do surubim-do-paraíba. Pesqui. Agropecu. Bras. 2013, 48, 1110–1114. [Google Scholar] [CrossRef]
- Honji, R.M.; Tolussi, C.E.; Mello, P.H.; Caneppele, D.; Moreira, R.G. Embryonic development and larval stages of Steindachneridion parahybae (Siluriformes: Pimelodidae): Implications for the conservation and rearing of this endangered Neotropical species. Neotrop. Ichthyol. 2012, 10, 313–327. [Google Scholar] [CrossRef]
- Lopes, T.d.S.; Sanches, E.A.; Okawara, R.Y.; Romagosa, E. Chilling of Steindachneridion parahybae (Siluriformes: Pimelodidae) embryos. Theriogenology 2015, 84, 538–544. [Google Scholar] [CrossRef]
- Okawara, R.Y.; Sanches, E.A.; Caneppele, D.; Damasceno, D.Z.; Romagosa, E. Ovulation and initial rearing of Steindachneridion parahybae (Siluriformes: Pimelodidae) larvae from different accumulated thermal units. Ichthyol. Res. 2015, 62, 495–503. [Google Scholar] [CrossRef]
- Tolussi, C.E.; Gomes, A.D.; Ribeiro, C.d.S.; Caneppele, D.; Moreira, R.G.; Honji, R.M. Mobilization of energetic substrates in the endangered catfish Steindachneridion parahybae (Siluriformes: Pimelodidae): Changes in annual reproductive cycle in captivity. Neotrop. Ichthyol. 2018, 16, e170120. [Google Scholar] [CrossRef]
- Honji, R.M.; Caneppele, D.; Pandolfi, M.; Nostro, F.L.L.; Moreira, R.G. Gonadotropins and growth hormone family characterization in an endangered Siluriform species, Steindachneridion parahybae (Pimelodidae): Relationship with annual reproductive cycle and induced spawning in captivity. Anat. Rec. 2015, 298, 1644–1658. [Google Scholar] [CrossRef]
- Honji, R.M.; Caneppele, D.; Pandolfi, M.; Nostro, F.L.L.; Moreira, R.G. Characterization of the gonadotropin-releasing hormone system in the Neotropical teleost, Steindachneridion parahybae during the annual reproductive cycle in captivity. Gen. Comp. Endocrinol. 2019, 273, 73–85. [Google Scholar] [CrossRef]
- Honji, R.M.; Araújo, B.C.; Caneppele, D.; Nostro, F.L.L.; Moreira, R.G. Dynamics of ovarian maturation during the annual reproductive cycle of the endangered fish Steindachneridion parahybae (Siluriformes: Pimelodidae) in captivity. J. Fish Biol. 2022, 101, 55–68. [Google Scholar] [CrossRef]
- Sanches, E.A.; Marcos, R.M.; Okawara, R.Y.; Caneppele, D.; Bombardelli, R.A.; Romagosa, E. Sperm motility parameters for Steindachneridion parahybae based on open-source software. J. Appl. Ichthyol. 2013, 29, 1114–1122. [Google Scholar] [CrossRef]
- Sanches, E.A.; Caneppele, D.; Okawara, R.Y.; Damasceno, D.Z.; Bombardelli, R.A.; Romagosa, E. Inseminating dose and water volume applied to the artificial fertilization of Steindachneridion parahybae (Steindachner, 1877) (Siluriformes: Pimelodidae): Brazilian endangered fish. Neotrop. Ichthyol. 2016, 14, e140158. [Google Scholar] [CrossRef]
- Alix, M.; Kjesbu, O.S.; Anderson, K.C. From gametogenesis to spawning: How climate-driven warming affects teleost reproductive biology. J. Fish Biol. 2020, 97, 607–632. [Google Scholar] [CrossRef]
- Servili, A.; Canario, A.V.; Mouchel, O.; Muñoz-Cueto, J.A. Climate change impacts on fish reproduction are mediated at multiple levels of the brain-pituitary-gonad axis. Gen. Comp. Endocrinol. 2020, 291, 113439. [Google Scholar] [CrossRef]
- Trudeau, V.L.; Somoza, G.M. Multimodal hypothalamo-hypophysial communication in the vertebrates. Gen. Comp. Endocrinol. 2020, 293, 113475. [Google Scholar] [CrossRef]
- Zohar, Y. Fish reproductive biology—Reflecting on five decades of fundamental and translational research. Gen. Comp. Endocrinol. 2020, 300, 113544. [Google Scholar] [CrossRef]
- Santhakumar, K. Neuroendocrine regulation of reproduction in fish—Mini review. Aquac. Fish. 2024, 9, 437–446. [Google Scholar] [CrossRef]
- Greenwood, A.K.; Wark, A.R.; Fernald, R.D.; Hofmann, H.A. Expression of arginine vasotocin in distinct preoptic regions is associated with dominant and subordinate behaviour in an African cichlid fish. Proc. R. Soc. B Biol. Sci. 2008, 275, 2393–2402. [Google Scholar] [CrossRef]
- Sokołowska, E.; Gozdowska, M.; Kulczykowska, E. Nonapeptides arginine vasotocin and isotocin in fishes: Advantage of bioactive molecules measurement. Front. Mar. Sci. 2020, 7, 610. [Google Scholar] [CrossRef]
- Pandolfi, M.; Scaia, M.F.; Fernandez, M.P. Sexual dimorphism in aggression: Sex-specific fighting strategies across species. Front. Behav. Neurosci. 2021, 15, 659615. [Google Scholar] [CrossRef]
- Silva, A.C.; Pandolfi, M. Vasotocinergic control of agonistic behavior told by Neotropical fishes. Gen. Comp. Endocrinol. 2019, 273, 67–72. [Google Scholar] [CrossRef]
- Cavallino, L.; Rincón, L.; Scaia, M.F. Social behaviors as welfare indicators in teleost fish. Front. Veter-Sci. 2023, 10, 1050510. [Google Scholar] [CrossRef]
- Godwin, J.; Thompson, R. Nonapeptides and social behavior in fishes. Horm. Behav. 2012, 61, 230–238. [Google Scholar] [CrossRef]
- Butler, J.M.; Anselmo, C.M.; Maruska, K.P. Female reproductive state is associated with changes in distinct arginine vasotocin cell types in the preoptic area of Astatotilapia burtoni. J. Comp. Neurol. 2020, 529, 987–1003. [Google Scholar] [CrossRef]
- Balment, R.; Lu, W.; Weybourne, E.; Warne, J. Arginine vasotocin a key hormone in fish physiology and behaviour: A review with insights from mammalian models. Gen. Comp. Endocrinol. 2006, 147, 9–16. [Google Scholar] [CrossRef]
- Urano, A.; Ando, H. Diversity of the hypothalamo-neurohypophysial system and its hormonal genes. Gen. Comp. Endocrinol. 2011, 170, 41–56. [Google Scholar] [CrossRef]
- Martos-Sitcha, J.A.; Cádiz, L.; Gozdowska, M.; Kulczykowska, E.; Martínez-Rodríguez, G.; Mancera, J.M. Arginine vasotocin and cortisol co-regulate vasotocinergic, isotocinergic, stress, and thyroid pathways in the Gilthead Sea Bream (Sparus aurata). Front. Physiol. 2019, 10, 261. [Google Scholar] [CrossRef]
- Godwin, J. Neuroendocrinology of sexual plasticity in teleost fishes. Front. Neuroendocr. 2010, 31, 203–216. [Google Scholar] [CrossRef]
- Ramallo, M.R.; Grober, M.; Cánepa, M.M.; Morandini, L.; Pandolfi, M. Arginine-vasotocin expression and participation in reproduction and social behavior in males of the cichlid fish Cichlasoma dimerus. Gen. Comp. Endocrinol. 2012, 179, 221–231. [Google Scholar] [CrossRef]
- Cunha-Saraiva, F.; Balshine, S.; Gozdowska, M.; Kulczykowska, E.; Wagner, R.H.; Schaedelin, F.C. Parental care and neuropeptide dynamics in a cichlid fish Neolamprologus caudopunctatus. Horm. Behav. 2019, 116, 104576. [Google Scholar] [CrossRef]
- Santangelo, N.; Bass, A.H. Individual behavioral and neuronal phenotypes for arginine vasotocin mediated courtship and aggression in a territorial teleost. Brain, Behav. Evol. 2010, 75, 282–291. [Google Scholar] [CrossRef] [PubMed]
- da Silva, M.C.; Canário, A.V.M.; Hubbard, P.C.; Gonçalves, D.M.F. Physiology, endocrinology and chemical communication in aggressive behaviour of fishes. J. Fish Biol. 2021, 98, 1217–1233. [Google Scholar] [CrossRef] [PubMed]
- Foran, C.M.; Bass, A.H. Preoptic GnRH and AVT: Axes for sexual plasticity in teleost fish. Gen. Comp. Endocrinol. 1999, 116, 141–152. [Google Scholar] [CrossRef] [PubMed]
- Goodson, J.L.; Bass, A.H. Forebrain peptide modulation of sexually polymorphic vocal circuitry. Nature 2000, 403, 769–772. [Google Scholar] [CrossRef] [PubMed]
- Goodson, J.L.; Bass, A.H. Social behavior functions and related anatomical characteristics of vasotocin/vasopressin systems in vertebrates. Brain Res. Rev. 2001, 35, 246–265. [Google Scholar] [CrossRef] [PubMed]
- Zanuy, S.; Cerdá-Reverter, J.M.; Muñoz-Cueto, J.A. Cytoarchitectonic study of the brain of a Perciform species, the sea bass (Dicentrarchus labrax). I. The telencephalon. J. Morphol. 2001, 247, 217–228. [Google Scholar] [CrossRef]
- Zanuy, S.; Cerdá-Reverter, J.M.; Muñoz-Cueto, J.A. Cytoarchitectonic study of the brain of a Perciform species, the sea bass (Dicentrarchus labrax). II. The diencephalon. J. Morphol. 2001, 247, 229–251. [Google Scholar] [CrossRef]
- Cerdá-Reverter, J.M.; Muriach, B.; Zanuy, S.; Muñoz-Cueto, J.A. A cytoarchitectonic study of the brain of a perciform species, the sea bass (Dicentrarchus labrax): The midbrain and hindbrain. Acta Histochem. 2008, 110, 433–450. [Google Scholar] [CrossRef] [PubMed]
- Wullimann, M.F.; Rupp, B.; Relchert, H. Neuroanatomy of Zebrafish Brain: A Topological Atlas; Birkhaeuser Verlag: Basel, Switzerland, 1996. [Google Scholar]
- Zandbergen, M.A.; Kah, O.; Bogerd, J.; Peute, J.; Goos, H.J. Expression and distribution of two gonadotropin-releasing hormone in the catfish brain. Neuroendocrinology 1995, 62, 571–578. [Google Scholar] [CrossRef]
- Dubois, E.A.; Zandbergen, M.A.; Peute, J.; Bogerd, J.; Goos, H.J.T. Development of three distinct GnRH neuron populations expressing two different GnRH forms in the brain of the African catfish (Clarias gariepinus). J. Comp. Neurol. 2001, 437, 308–320. [Google Scholar] [CrossRef]
- Ishikawa, Y.; Yoshimoto, M.; Ito, H. A brain atlas of a wild-type inbred strain of the medaka, Oryzias latipes. Fish Biol. J. Medaka 1999, 10, 1–26. [Google Scholar] [CrossRef]
- Pandolfi, M.; Pozzi, A.G.; Cánepa, M.; Vissio, P.G.; Shimizu, A.; Maggese, M.C.; Lobo, G. Presence of β-follicle-stimulating hormone and β-luteinizing hormone transcripts in the brain of Cichlasoma dimerus (Perciformes: Cichlidae). Neuroendocrinology 2008, 89, 27–37. [Google Scholar] [CrossRef] [PubMed]
- Honji, R.M.; Nóbrega, R.H.; Pandolfi, M.; Shimizu, A.; Borella, M.I.; Moreira, R.G. Immunohistochemical study of pituitary cells in wild and captive Salminus hilarii (Characiformes: Characidae) females during the annual reproductive cycle. SpringerPlus 2013, 2, 460. [Google Scholar] [CrossRef]
- Araújo, B.C.; Honji, R.M.; Rombenso, A.N.; de Souza, G.B.; de Mello, P.H.; Hilsdorf, A.W.S.; Moreira, R.G. Influences of different arachidonic acid levels and temperature on the growth performance, fatty acid profile, liver morphology and expression of lipid genes in cobia (Rachycentron canadum) juveniles. Aquaculture 2019, 511, 734245. [Google Scholar] [CrossRef]
- de Oliveira, E.F.; Araújo, B.C.; Marques, V.H.; de Mello, P.H.; Moreira, R.G.; Honji, R.M. Influence of docosahexaenoic and eicosapentaenoic acid ratio and temperature on the growth performance, fatty acid profile, and liver morphology of Dusky Grouper (Epinephelus marginatus) (Teleostei: Serranidae) juveniles. Animals 2023, 13, 3212. [Google Scholar] [CrossRef] [PubMed]
- Dewan, A.K.; Maruska, K.P.; Tricas, T.C. Arginine vasotocin neuronal phenotypes among congeneric territorial and shoaling reef butterflyfishes: Species, sex and reproductive season comparisons. J. Neuroendocr. 2008, 20, 1382–1394. [Google Scholar] [CrossRef] [PubMed]
- Ohya, T.; Hayashi, S. Vasotocin/isotocin-immunoreactive neurons in the medaka fish brain are sexually dimorphic and their numbers decrease after spawning in the female. Zool. Sci. 2006, 23, 23–29. [Google Scholar] [CrossRef] [PubMed]
- Parhar, I.; Tosaki, H.; Sakuma, Y.; Kobayashi, M. Sex differences in the brain of goldfish: Gonadotropin-releasing hormone and vasotocinergic neurons. Neuroscience 2001, 104, 1099–1110. [Google Scholar] [CrossRef]
- Lema, S.C.; Nevitt, G.A. Variation in vasotocin immunoreactivity in the brain of recently isolated populations of a death valley pupfish, Cyprinodon nevadensis. Gen. Comp. Endocrinol. 2003, 135, 300–309. [Google Scholar] [CrossRef]
- Grober, M.S.; George, A.A.; Watkins, K.K.; Carneiro, L.A.; Oliveira, R.F. Forebrain AVT and courtship in a fish with male alternative reproductive tactics. Brain Res. Bull. 2002, 57, 423–425. [Google Scholar] [CrossRef]
- Miranda, J.A.; Oliveira, R.F.; Carneiro, L.A.; Santos, R.S.; Grober, M.S. Neurochemical correlates of male polymorphism and alternative reproductive tactics in the Azorean rock-pool blenny, Parablennius parvicornis. Gen. Comp. Endocrinol. 2003, 132, 183–189. [Google Scholar] [CrossRef] [PubMed]
- Larson, E.T.; O’malley, D.M.; Melloni, R.H. Aggression and vasotocin are associated with dominant–subordinate relationships in zebrafish. Behav. Brain Res. 2006, 167, 94–102. [Google Scholar] [CrossRef] [PubMed]
- Iwata, E.; Nagai, Y.; Sasaki, H. Immunohistochemistry of brain arginine vasotocin and isotocin in false clown anemonefish Amphiprion ocellaris. Open Fish Sci. J. 2010, 3, 147–153. [Google Scholar] [CrossRef][Green Version]
- Alonso, F.; Cánepa, M.; Moreira, R.G.; Pandolfi, M. Social and reproductive physiology and behavior of the Neotropical cichlid fish Cichlasoma dimerus under laboratory conditions. Neotrop. Ichthyol. 2011, 9, 559–570. [Google Scholar] [CrossRef]
- Xiong, Y.; Wang, X.; Sun, R.; Jiang, Y.; He, Z.; Chen, J.; Li, P.; Mei, J. Administration of arginine vasotocin and modified isotocin improve artificial propagation and post-spawning survival of female yellow catfish. Aquaculture 2024, 587, 740849. [Google Scholar] [CrossRef]
- Maruska, K.P.; Mizobe, M.H.; Tricas, T.C. Sex and seasonal co-variation of arginine vasotocin (AVT) and gonadotropin-releasing hormone (GnRH) neurons in the brain of the halfspotted goby. Comp. Biochem. Physiol. Part A Mol. Integr. Physiol. 2007, 147, 129–144. [Google Scholar] [CrossRef] [PubMed]
- Holmgvist, B.I.; Ekström, P. Hypophysiotrophic systems in the brain of the Atlantic salmon. Neuronal innervation of the pituitary and the origin of pituitary dopamine and nonapeptides identified by means of combined carbocyanine tract tracing and immunocytochemistry. J. Chem. Neuroanat. 1995, 8, 125–145. [Google Scholar] [CrossRef] [PubMed]
- Fox, H.E.; White, S.A.; Kao, M.H.F.; Fernald, R.D. Stress and dominance in a social fish. J. Neurosci. 1997, 17, 6463–6469. [Google Scholar] [CrossRef] [PubMed]
- Pankhurst, N. The endocrinology of stress in fish: An environmental perspective. Gen. Comp. Endocrinol. 2011, 170, 265–275. [Google Scholar] [CrossRef]
- Herrera, M.; Mancera, J.M.; Costas, B. The use of dietary additives in fish stress mitigation: Comparative endocrine and physiological responses. Front. Endocrinol. 2019, 10, 447. [Google Scholar] [CrossRef]
- Morandini, L.; Honji, R.M.; Ramallo, M.R.; Moreira, R.G.; Pandolfi, M. The interrenal gland in males of the cichlid fish Cichlasoma dimerus: Relationship with stress and the establishment of social hierarchies. Gen. Comp. Endocrinol. 2014, 195, 88–98. [Google Scholar] [CrossRef] [PubMed]
- Ramallo, M.R.; Birba, A.; Honji, R.M.; Morandini, L.; Moreira, R.G.; Somoza, G.M.; Pandolfi, M. A multidisciplinary study on social status and the relationship between inter-individual variation in hormone levels and agonistic behavior in a Neotropical cichlid fish. Horm. Behav. 2015, 69, 139–151. [Google Scholar] [CrossRef] [PubMed]
- White, S.A.; Fernald, R.D. Changing through doing: Behavioral influences on the brain. Recent Prog. Horm. Res. 1997, 52, 455. [Google Scholar] [PubMed]
- Alward, B.A.; Hilliard, A.T.; York, R.A.; Fernald, R.D. Hormonal regulation of social ascent and temporal patterns of behavior in an African cichlid. Horm. Behav. 2019, 107, 83–95. [Google Scholar] [CrossRef] [PubMed]
- Suarez-Bregua, P.; Guerreiro, P.M.; Rotllant, J. Stress, glucocorticoids and bone: A review from mammals and fish. Front. Endocrinol. 2018, 9, 526. [Google Scholar] [CrossRef] [PubMed]
- Borg, B. Androgens in teleost fishes. Comp. Biochem. Physiol. Part C Pharmacol. Toxicol. Endocrinol. 1994, 109, 219–245. [Google Scholar] [CrossRef]
- Schulz, R.W.; de França, L.R.; Lareyre, J.J.; Le Gac, F.; Chiarini-Garcia, H.; Nobrega, R.H.; Miura, T. Spermatogenesis in fish. Gen. Comp. Endocrinol. 2010, 165, 390–411. [Google Scholar] [CrossRef]
- Damsteegt, E.L.; Thomson-Laing, G.; Wylie, M.J.; Lokman, P.M. Effects of estradiol and 11-ketotestosterone pre-treatment on artificial induction of maturation in silver female shortfinned eels (Anguilla australis). PLoS ONE 2020, 15, e0229391. [Google Scholar] [CrossRef] [PubMed]
- Rahdari, A.; Khoshkholgh, M.; Yarmohammadi, M.; Ortiz-Zarragoitia, M.; Lokman, P.M.; Akhavan, S.R.; de Cerio, O.D.; Cancio, I.; Falahatkar, B. The effects of 11-ketotestosterone implants on transcript levels of gonadotropin receptors, and foxl2 and dmrt1 genes in the Previtellogenic ovary of cultured beluga (Huso huso). J. Fish Biol. 2020, 97, 374–382. [Google Scholar] [CrossRef]
- Alonso, F.; Honji, R.M.; Moreira, R.G.; Pandolfi, M. Dominance hierarchies and social status ascent opportunity: Anticipatory behavioral and physiological adjustments in a Neotropical cichlid fish. Physiol. Behav. 2012, 106, 612–618. [Google Scholar] [CrossRef]
- Ramallo, M.R.; Honji, R.M.; Birba, A.; Morandini, L.; Varela, M.L.; Genovese, G.; Moreira, R.G.; Somoza, G.M.; Pandolfi, M. A game of two? Gene expression analysis of brain (cyp19a1b) and gonadal (cyp19a1a) aromatase in females of a Neotropical cichlid fish through the parental care period and removal of the offspring. Gen. Comp. Endocrinol. 2017, 252, 119–129. [Google Scholar] [CrossRef] [PubMed]
- Nagahama, Y.; Yamashita, M. Regulation of oocyte maturation in fish. Dev. Growth Differ. 2008, 50, S195–S219. [Google Scholar] [CrossRef] [PubMed]
- Groves, D.; Batten, T. Direct control of the gonadotroph in a teleost, Poecilia latipinna. II. Neurohormones and neurotransmitters. Gen. Comp. Endocrinol. 1986, 62, 315–326. [Google Scholar] [CrossRef] [PubMed]








| Animal | n | Total Length (cm) | Total Weight (g) | hCG (IU/kg) | First CPE Dose (mg/kg) | Second CPE Dose (mg/kg) |
|---|---|---|---|---|---|---|
| Females | 9 | 38.92 ± 1.39 | 612,78 ± 17.33 | 2 | 0.5 | 5 |
| Males | 3 | 43.00 ± 2.08 | 1575.00 ± 75.00 | - | - | 3 |
| First injection (0.5 mg cPE per kg−1) | 24.6 °C and 7.74 mgL−1 | |||||
| Second injection (5.0 mg cPE per kg−1) | 23.9 °C and 8.14 mgL−1 | |||||
| Spawning | 25.0 °C and 8.20 mgL−1 | |||||
| Animal | n | Total Length (cm) | Total Weight (g) | Total Oocytes Spawned Weight (g) | Oocytes/Grams Spawned | Oocytes/kg of Female |
|---|---|---|---|---|---|---|
| Females (control) | 3 | 38.92 ± 0.52 | 633.33 ± 18.78 | 29.90 | 295.87 ± 14.56 | ~5523 |
| Females (Dominant) | 3 | 39.43 ± 0.41 | 626.67 ± 35.28 | 30.80 | 298.67 ± 10.48 | ~5125 |
| Females (Nondominant) | 3 | 38.40 ± 0.59 | 598,33 ± 15.90 | 19.40 | 294.29 ± 18.99 | ~3225 |
| Total fertilization rate (%) | 31.50 ± 10.20% (control); 27.20 ± 18.70% (dominant); 21.50 ± 10.00% (nondominant) | |||||
| Cellular Subpopulations in the Preoptic Area | Cellular Area (µm2) | Nuclear Area (µm2) |
|---|---|---|
| Parvocellular (pPOA) | 102.37 ± 3.40 a | 72.40 ± 1.19 a |
| Magnocellular (mPOA) | 157.93 ± 2.76 b | 78.55 ± 1.28 b |
| Gigantocellular (gPOA) | 245.43 ± 4.10 c | 146.14 ± 2.74 c |
| Cellular Subpopulations in the Preoptic Area | Control | Dominant | Nondominant | |||
|---|---|---|---|---|---|---|
| Cellular Area | Nuclear Area | Cellular Area | Nuclear Area | Cellular Area | Nuclear Area | |
| AVT pPOA | 103.11 ± 3.20 a | 74.10 ± 2.50 a | 102.18 ± 2.10 a | 72.44 ± 2.10 a | 102.56 ± 3.60 a | 72.36 ± 1.24 a |
| AVT mPOA | 157.77 ± 3.24 a | 77.20 ± 1.85 a | 159.76 ± 4.34 a | 75.25 ± 1.17 a | 156.10 ± 1.77 a | 61.86 ± 1.77 b |
| AVT gPOA | 254.52 ± 7.34 a | 137.50 ± 4.22 a | 243.61 ± 7.42 a | 146.60 ± 4.39 a | 247.24 ± 3.92 a | 145.68 ± 3.54 a |
| cfGnRH | 27.34 ± 0.99 a | 13.07 ± 0.44 a | 26.31 ± 1.49 a | 12.97 ± 0.63 a | 23.78 ± 0.71 b | 11.01 ± 0.45 a |
| cGnRH-II | 28.31 ± 1.33 a | 11.59 ± 0.55 a | 26.45 ± 1.27 a | 10.61 ± 0.54 a | 25.09 ± 1.27 a | 7.89 ± 0.27 b |
| β-LH | 14.40 ± 0.44 a | 6.80 ± 0.96 a | 13.46 ± 0.22 a | 6.93 ± 0.24 a | 12.11 ± 0.43 b | 6.54 ± 0.11 b |
Disclaimer/Publisher’s Note: The statements, opinions and data contained in all publications are solely those of the individual author(s) and contributor(s) and not of MDPI and/or the editor(s). MDPI and/or the editor(s) disclaim responsibility for any injury to people or property resulting from any ideas, methods, instructions or products referred to in the content. |
© 2024 by the authors. Licensee MDPI, Basel, Switzerland. This article is an open access article distributed under the terms and conditions of the Creative Commons Attribution (CC BY) license (https://creativecommons.org/licenses/by/4.0/).
Share and Cite
Honji, R.M.; Araújo, B.C.; de Mello, P.H.; Ramallo, M.R.; Morandini, L.; Caneppele, D.; Moreira, R.G. Arginine-Vasotocin Neuronal System in Steindachneridion parahybae (Siluriformes: Pimelodidae) and Its Influence on Artificially Induced Spawning in Captivity. Fishes 2024, 9, 235. https://doi.org/10.3390/fishes9060235
Honji RM, Araújo BC, de Mello PH, Ramallo MR, Morandini L, Caneppele D, Moreira RG. Arginine-Vasotocin Neuronal System in Steindachneridion parahybae (Siluriformes: Pimelodidae) and Its Influence on Artificially Induced Spawning in Captivity. Fishes. 2024; 9(6):235. https://doi.org/10.3390/fishes9060235
Chicago/Turabian StyleHonji, Renato M., Bruno C. Araújo, Paulo H. de Mello, Martín R. Ramallo, Leonel Morandini, Danilo Caneppele, and Renata G. Moreira. 2024. "Arginine-Vasotocin Neuronal System in Steindachneridion parahybae (Siluriformes: Pimelodidae) and Its Influence on Artificially Induced Spawning in Captivity" Fishes 9, no. 6: 235. https://doi.org/10.3390/fishes9060235
APA StyleHonji, R. M., Araújo, B. C., de Mello, P. H., Ramallo, M. R., Morandini, L., Caneppele, D., & Moreira, R. G. (2024). Arginine-Vasotocin Neuronal System in Steindachneridion parahybae (Siluriformes: Pimelodidae) and Its Influence on Artificially Induced Spawning in Captivity. Fishes, 9(6), 235. https://doi.org/10.3390/fishes9060235

