Gene Expression and Epigenetic Modification of Aromatase during Sex Reversal and Gonadal Development in Blotched Snakehead (Channa maculata)
Abstract
1. Introduction
2. Materials and Methods
2.1. Animal and Sample Collection
2.2. Full-Length cDNA Cloning and Sequence Analysis
2.3. Expression Analysis Using qRT-PCR
2.4. Genomic Sequence Cloning and Structure Analysis
2.5. Bisulfite Sequencing PCR (BSP)
2.6. Statistical Analysis
3. Results
3.1. Nucleotide and Amino Acid Sequences of cyp19a1a and cyp19a1b in C. maculata
3.2. Gene Structure of cyp19a1a and cyp19a1b in C. maculata
3.3. Gene Expression of cyp19a1a and cyp19a1b in C. maculata
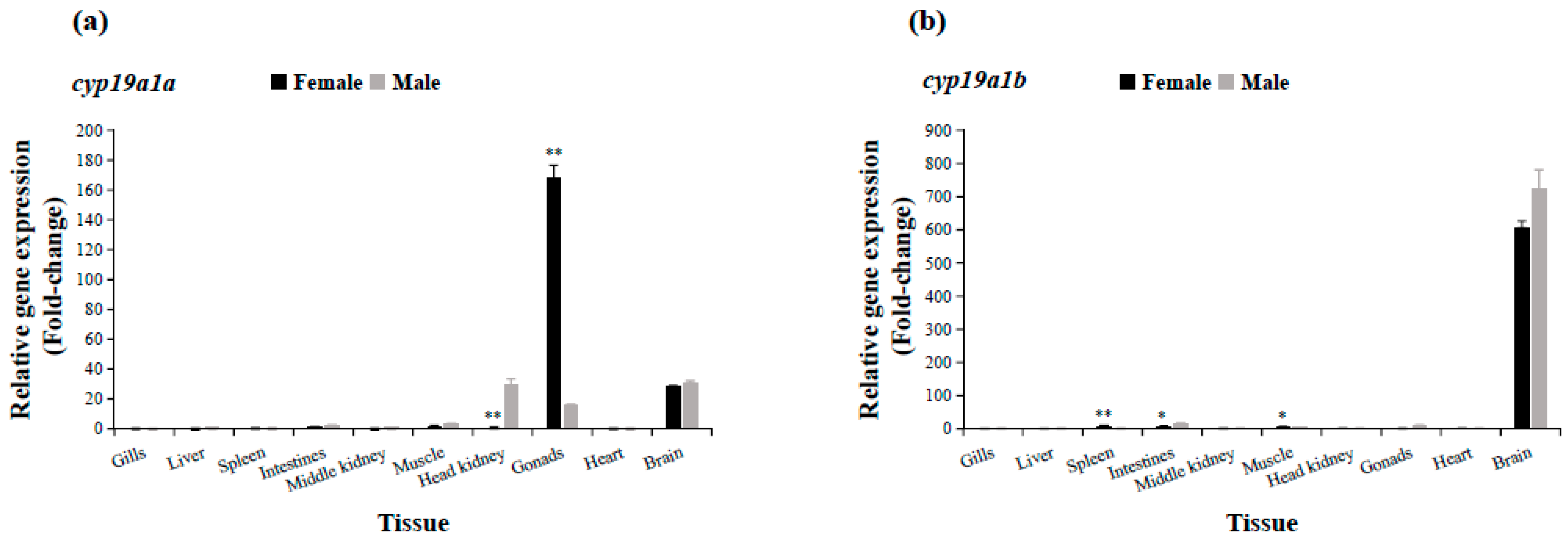
3.3.1. Gene Expression in Adult Tissues
3.3.2. Gene Expression in Sex Reversal
3.3.3. Gene Expression during the Gonadal Development Stage
3.4. CpG Methylation Levels of cyp19a1a and cyp19a1b in C. maculata
3.4.1. CpG Methylation Levels in Adult Gonads and Brain
3.4.2. CpG Methylation Levels during the Gonadal Development Stage
4. Discussion
5. Conclusions
Supplementary Materials
Author Contributions
Funding
Institutional Review Board Statement
Informed Consent Statement
Data Availability Statement
Conflicts of Interest
References
- Mei, J.; Gui, J.F. Genetic basis and biotechnological manipulation of sexual dimorphism and sex determination in fish. Sci. China Life. Sci. 2015, 58, 124–136. [Google Scholar] [CrossRef] [PubMed]
- Berta, P.; Hawkins, J.R.; Sinclair, A.H.; Taylor, A.; Griffiths, B.L.; Goodfellow, P.N.; Fellous, M. Genetic evidence equating SRY and the testis-determining factor. Nature 1990, 348, 448–450. [Google Scholar] [CrossRef] [PubMed]
- Natri, H.M.; Merilä, J.; Shikano, T. The evolution of sex determination associated with a chromosomal inversion. Nat. Commun. 2019, 10, 145. [Google Scholar] [CrossRef] [PubMed]
- Li, X.Y.; Mei, J.; Ge, C.T.; Liu, X.L.; Gui, J.F. Sex determination mechanisms and sex control approaches in aquaculture animals. Sci. China Life Sci. 2022, 65, 1091–1122. [Google Scholar] [CrossRef]
- Piferrer, F.; Ribas, L.; Díaz, N. Genomic approaches to study genetic and environmental influences on fish sex determination and differentiation. Mar. Biotechnol. 2012, 14, 591–604. [Google Scholar] [CrossRef]
- Li, M.; Sun, L.; Wang, D. Roles of estrogens in fish sexual plasticity and sex differentiation. Gen. Comp. Endocrinol. 2019, 277, 9–16. [Google Scholar] [CrossRef]
- Herpin, A.; Schartl, M. Plasticity of gene-regulatory networks controlling sex determination: Of masters, slaves, usual suspects, newcomers, and usurpators. EMBO Rep. 2015, 16, 1260–1274. [Google Scholar] [CrossRef]
- Crespo, B.; Gómez, A.; Mazón, M.J.; Carrillo, M.; Zanuy, S. Isolation and characterization of Ff1 and Gsdf family genes in European sea bass and identification of early gonadal markers of precocious puberty in males. Gen. Comp. Endocrinol. 2013, 191, 155–167. [Google Scholar] [CrossRef]
- Capel, B. Vertebrate sex determination: Evolutionary plasticity of a fundamental switch. Nat. Rev. Genet. 2017, 18, 675–689. [Google Scholar] [CrossRef]
- Wu, K.; Song, W.; Zhang, Z.W.; Ge, W. Disruption of dmrt1 rescues the all-male phenotype of cyp19a1a mutant in zebrafish—A novel insight into the roles of aromatase/estrogens in gonadal differentiation and early folliculogenesis. Development 2020, 147, 182758. [Google Scholar] [CrossRef]
- Dai, S.; Qi, S.; Wei, X.; Liu, X.; Li, Y.; Zhou, X.; Xiao, H.; Lu, B.; Wang, D.; Li, M. Germline sexual fate is determined by the antagonistic action of dmrt1 and foxl3/foxl2 in tilapia. Development 2021, 148, 199380. [Google Scholar] [CrossRef] [PubMed]
- Guiguen, Y.; Fostier, A.; Piferrer, F.; Chang, C.F. Ovarian aromatase and estrogens: A pivotal role for gonadal sex differentiation and sex change in fish. Gen. Comp. Endocrinol. 2010, 165, 352–366. [Google Scholar] [CrossRef] [PubMed]
- Coumailleau, P.; Pellegrini, E.; Adrio, F.; Diotel, N.; Cano-Nicolau, J.; Nasri, A.; Vaillant, C.; Kah, O. Aromatase, estrogen receptors and brain development in fish and amphibians. BBA Gene. Regul. Mech. 2015, 1849, 152–162. [Google Scholar] [CrossRef] [PubMed]
- Miyashita, K.; Shimizu, N.; Osanai, S.; Miyata, S. Sequence analysis and expression of the P450 aromatase and estrogen receptor genes in the Xenopus ovary. J. Steroid. Biochem. 2000, 75, 101–107. [Google Scholar] [CrossRef]
- Bulun, S.E.; Sebastian, S.; Takayama, K.; Suzuki, T.; Sasano, H.; Shozu, M. The human CYP19 (aromatase P450) gene: Update on physiologic roles and genomic organization of promoters. J. Steroid Biochem. 2003, 86, 219–224. [Google Scholar] [CrossRef] [PubMed]
- Golovine, K.; Schwerin, M.; Vanselow, J. Three different promoters control expression of the aromatase cytochrome P450 gene (Cyp19) in mouse gonads and brain. Biol. Reprod. 2003, 68, 978–984. [Google Scholar] [CrossRef] [PubMed]
- Lin, C.J.; Maugars, G.; Lafont, A.G.; Jeng, S.R.; Wu, G.C.; Dufour, S.; Chang, C.F. Basal teleosts provide new insights into the evolutionary history of teleost-duplicated aromatase. Gen. Comp. Endocrinol. 2020, 291, 113395. [Google Scholar] [CrossRef] [PubMed]
- Diotel, N.; Page, Y.L.; Mouriec, K.; Tong, S.-K.; Pellegrini, E.; Vaillant, C.; Anglade, I.; Brion, F.; Pakdel, F.; Chung, B.; et al. Aromatase in the brain of teleost fish: Expression, regulation and putative functions. Front. Neuroendocr. 2010, 31, 172–192. [Google Scholar] [CrossRef]
- Driscoll, R.M.; Faber-Hammond, J.J.; O’Rourke, C.F.; Hurd, P.L.; Renn, S.C. Epigenetic regulation of gonadal and brain aromatase expression in a cichlid fish with environmental sex determination. Gen. Comp. Endocrinol. 2020, 296, 113538. [Google Scholar] [CrossRef]
- Wang, H.; Piferrer, F.; Chen, S.; Shen, Z. Sex Control in Aquaculture; John Wiley&Sons Ltd.: Oxford, UK, 2018. [Google Scholar]
- Todd, E.V.; Ortega-Recalde, O.; Liu, H.; Lamm, M.S.; Rutherford, K.M.; Cross, H.; Black, M.A.; Kardailsky, O.; Graves, J.A.M.; Hore, T.A.; et al. Stress, novel sex genes and epigenetic reprogramming orchestrate socially-controlled sex change. Sci. Adv. 2018, 5, 7006. [Google Scholar] [CrossRef]
- Ortega-Recalde, O.; Goikoetxea, A.; Hore, T.A.; Todd, E.V.; Gemmell, N.J. The genetics and epigenetics of sex change in fish. Annu. Rev. Anim. Biosci. 2020, 8, 47–69. [Google Scholar] [CrossRef] [PubMed]
- Zhang, Y.; Zhang, S.; Liu, Z.; Zhang, L.; Zhang, W. Epigenetic modifications during sex change repress gonadotropin stimulation of cyp19a1a in a teleost ricefield eel (Monopterus albus). Endocrinology 2013, 154, 2881–2890. [Google Scholar] [CrossRef]
- Guo, C.Y.; Tseng, P.W.; Hwang, J.S.; Wu, G.C.; Chang, C.F. Potential role of DNA methylation of cyp19a1a promoter during sex change in protogynous orange-spotted grouper, Epinephelus coioides. Gen. Comp. Endocrinol. 2021, 311, 113840. [Google Scholar] [CrossRef] [PubMed]
- Wu, G.C.; Li, H.W.; Huang, C.H.; Lin, H.J.; Lin, C.J.; Chang, C.F. The testis is a primary factor that contributes to epigenetic modifications in the ovaries of the protandrous black porgy, Acanthopagrus schlegelii. Biol. Reprod. 2016, 94, 132. [Google Scholar] [CrossRef] [PubMed]
- Navarro-Martín, L.; Viñas, J.; Ribas, L.; Díaz, N.; Gutiérrez, A.; Di Croce, L.; Piferrer, F. DNA methylation of the gonadal aromatase (cyp19a) promoter is involved in temperature-dependent sex ratio shifts in the European sea bass. PLoS Genet. 2011, 7, e1002447. [Google Scholar] [CrossRef]
- Shao, C.; Li, Q.; Chen, S.; Zhang, P.; Lian, J.; Hu, Q.; Sun, B.; Jin, L.; Liu, S.; Wang, Z.; et al. Epigenetic modification and inheritance in sexual reversal of fish. Genome Res. 2014, 24, 604–615. [Google Scholar] [CrossRef] [PubMed]
- Fan, Z.; Zou, Y.; Jiao, S.; Tan, X.; Wu, Z.; Liang, D.; Zhang, P.; You, F. Significant association of cyp19a promoter methylation with environmental factors and gonadal differentiation in olive flounder Paralichthys olivaceus. Comp. Biochem. Physiol. A 2017, 208, 70–79. [Google Scholar] [CrossRef]
- Wang, Y.Y.; Sun, L.X.; Zhu, J.J.; Zhao, Y.; Wang, H.; Liu, H.J.; Ji, X.S. Epigenetic control of cyp19a1a expression is critical for high temperature induced Nile tilapia masculinization. J. Therm. Biol. 2017, 69, 76–84. [Google Scholar] [CrossRef]
- Bureau of Fisheries; Ministry of Agriculture. China Fishery Statistics Yearbook 2022; Agriculture Press: Beijing, China, 2022. [Google Scholar]
- Ou, M.; Chen, K.; Gao, D.; Wu, Y.; Chen, Z.; Luo, Q.; Liu, H.; Zhao, J. Comparative transcriptome analysis on four types of gonadal tissues of blotched snakehead (Channa maculata). Comp. Biochem. Physiol. D 2020, 35, 100708. [Google Scholar] [CrossRef]
- Zhao, J.; Ou, M.; Wang, Y.; Liu, H.; Luo, Q.; Zhu, X.; Chen, B.; Chen, K. Breeding of YY super-male of blotched snakehead (Channa maculata) and production of all-male hybrid (Channa argus ♀ × C. maculata ♂). Aquaculture 2021, 538, 736450. [Google Scholar] [CrossRef]
- Ou, M.; Chen, K.; Gao, D.; Wu, Y.; Luo, Q.; Liu, H.; Zhao, J. Characterization, expression and CpG methylation analysis of Dmrt1 and its response to steroid hormone in blotched snakehead (Channa maculata). Comp. Biochem. Physiol. B 2022, 257, 110672. [Google Scholar] [CrossRef] [PubMed]
- Ou, M.; Huang, R.; Yang, C.; Gui, B.; Luo, Q.; Zhao, J.; Li, Y.; Liao, L.; Zhu, Z.; Wang, Y.; et al. Chromosome-level genome assemblies of Channa argus and Channa maculata and comparative analysis of their temperature adaptability. Gigascience 2021, 10, giab070. [Google Scholar] [CrossRef] [PubMed]
- Mao, H.; Chen, K.; Zhu, X.; Luo, Q.; Zhao, J.; Li, W.; Wu, X.; Xu, H. Identification of suitable reference genes for quantitative real-time PCR normalization in blotched snakehead Channa maculata. J. Fish Biol. 2017, 90, 2312–2322. [Google Scholar] [CrossRef] [PubMed]
- Chaube, R.; Rawat, A.; Joy, K.P. Molecular cloning and characterization of brain and ovarian cytochrome P450 aromatase genes in the catfish Heteropneustes fossilis: Sex, tissue and seasonal variation in, and effects of gonadotropin on gene expression. Gen. Comp. Endocrinol. 2015, 221, 120–133. [Google Scholar] [CrossRef] [PubMed]
- Shanthanagouda, A.H.; Patil, J.G.; Nugegoda, D. Ontogenic and sexually dimorphic expression of cyp19 isoforms in the rainbowfish, Melanotaenia fluviatilis (Castelnau 1878). Comp. Biochem. Physiol. A 2012, 161, 250–258. [Google Scholar] [CrossRef] [PubMed]
- Chen, X.; He, Y.; Wang, Z.; Li, J. Expression and DNA methylation analysis of cyp19a1a in Chinese sea perch Lateolabrax maculatus. Comp. Biochem. Phys. B 2018, 226, 85–90. [Google Scholar] [CrossRef]
- Delalande, C.; Goupil, A.S.; Lareyre, J.J.; Le Gac, F. Differential expression patterns of three aromatase genes and of four estrogen receptors genes in the testes of trout (Oncorhynchus mykiss). Mol. Reprod. Dev. 2015, 82, 694–708. [Google Scholar] [CrossRef]
- Yan, T.; Cai, Y.; He, J.; Zhang, Q.; Wang, X.; Zhang, S.; He, L.; He, Z. Characterization and expression profiles of cyp19a1a in the schizothoracine fish Schizothorax prenanti. Tissue Cell 2019, 58, 70–75. [Google Scholar] [CrossRef]
- Barney, M.L.; Patil, J.G.; Gunasekera, R.M.; Carter, C.G. Distinct cytochrome P450 aromatase isoforms in the common carp (Cyprinus carpio): Sexual dimorphism and onset of ontogenic expression. Gen. Comp. Endocr. 2008, 156, 499–508. [Google Scholar] [CrossRef]
- Yue, Z.; Gao, S.; Deng, F.; Xu, H.; Liu, Z. A histological study on the ovary development of Channa argus. J. Wuhan Univ. 1996, 42, 225–232. (In Chinese) [Google Scholar] [CrossRef]
- Mishra, A.; Joy, K.P. Effects of gonadotropin in vivo and 2-hydroxyestradiol-17β in vitro on follicular steroid hormone profile associated with oocyte maturation in the catfish Heteropneustes fossilis. J. Endocrinol. 2006, 189, 341–353. [Google Scholar] [CrossRef]
- Wu, Y.; Ou, M.; Gao, D.; Chen, K.; Luo, Q.; Liu, H.; Zhao, J. Molecular cloning, expression and response of Foxl2 gene indued by sex steroid hormones in blotched snakehead (Channa maculata). J. Dalian Ocean Uni. 2022, 37, 49–50. (In Chinese) [Google Scholar] [CrossRef]
- Kumar, R.S.; Ijiri, S.; Trant, J.M. Changes in the expression of genes encoding steroidogenic enzymes in the channel catfish (Ictalurus punctatus) ovary throughout a reproductive cycle. Biol. Reprod. 2000, 63, 1676–1682. [Google Scholar] [CrossRef]
- Harvey, S.C.; Kwon, J.Y.; Penman, D.J. Physical mapping of the brain and ovarian aromatase genes in the Nile Tilapia, Oreochromis niloticus, by fluorescence in situ hybridization. Anim. Genet. 2003, 34, 62–64. [Google Scholar] [CrossRef] [PubMed]
- Bai, J.; Gong, W.; Wang, C.; Gao, Y.; Hong, W.; Chen, S.X. Dynamic methylation pattern of cyp19a1a core promoter during zebrafish ovarian folliculogenesis. Fish Physiol. Biochem. 2016, 42, 947–954. [Google Scholar] [CrossRef] [PubMed]








| Primer Name | Sequence (5′–3′) | Application |
|---|---|---|
| Cyp19a1a-F1 | GCACTGCCAGCAACTACTAC | partial sequence obtaining |
| Cyp19a1a-R1 | AATGGCTGGAAGTAACGAC | |
| Cyp19a1b-F1 | AGTCACTGCGATTCTGCTTCT | |
| Cyp19a1b-R1 | CGACAGGTTGTTGGTCTGC | |
| Cyp19a1a-5′F-out | GCAAGTGTATTGTCCA | 5′-Race PCR amplification |
| Cyp19a1a-5′F-in | GGGTCTCCTCTCCATTGA | |
| Cyp19a1b-5′F-out | GCTTGCTGTTCCAATC | |
| Cyp19a1b-5′F-in | AAGTCCTGCTAGGAAACG | |
| Cyp19a1a-3′F-out | CCCTGTCTGATGACATCATAGATGGCTAC | 3′-Race PCR amplification |
| Cyp19a1a-3′F-in | TCTCAAACAAAATGAATTCAGTCTGGAG | |
| Cyp19a1b-3′F-out | CCAATATCATTCTCAACATTGGTCTCATGC | |
| Cyp19a1b-3′F-in | GTGATGATGAAGGCCATCTTGGTCACTC | |
| Cyp19a1a-F2 | ATTGTGTCAAGTCTCCCTC | ORF qualifying |
| Cyp19a1a-R2 | TCTCACTATGTGGACTCG | |
| Cyp19a1b-F2 | TGTACTGGTGAGAGACACTT | |
| Cyp19a1b-R2 | AGGGATGCTGTTACACATC | |
| Cyp19a1a-BSP-F1 | TTTTTAAGAGTGTAGGTATAAATT | DNA methylation analysis |
| Cyp19a1a-BSP-R1 | TCCTACCTAAAACATTATTCTTA | |
| Cyp19a1b-BSP-F1 | TGTGGTTTTAACGAGTAATGTT | |
| Cyp19a1b-BSP-R1 | TTACGAAAATAAATAACAAAAAACTA | |
| Cyp19a1a-qF | CCTCGTCGTTACTTCCAGCC | qRT-PCR amplification |
| Cyp19a1a-qR | TCAAACCCTTATGGAGGCAAA | |
| Cyp19a1b-qF | GTGCCGCTAAACGAGAAAGA | |
| Cyp19a1b-qR | GGTTCTGGGCAAGGATGAG | |
| β-actin-qF | AGCAAGCAGGAGTATGATGA | |
| β-actin-qR | AGAACGCCAGGGAGTTTTAT | |
| EF1α-qF | GGGACACCCACAATAACATCC | |
| EF1α-qR | CCAGGCATACTTGAAGGAGC |
| Primer Name | Sequence (5′–3′) | Length (bp) |
|---|---|---|
| Cyp19a1a-gDNA-F1 | GCAACAAGGATTTTAGTAGGG | 1490 bp |
| Cyp19a1a-gDNA-R1 | GTGTGGCTCCAGGCGA | |
| Cyp19a1a-gDNA-F2 | GTGTCAAGTCTCCCTCCCTAT | 1379 bp |
| Cyp19a1a-gDNA-R2 | CTTCTGTTCTACAAGGCTCTCTAT | |
| Cyp19a1a-gDNA-F3 | GCCATAGAGAGCCTTGTAGAA | 1147 bp |
| Cyp19a1a-gDNA-R3 | CCGAATGGCTGGAAGTAAG | |
| Cyp19a1a-gDNA-F4 | TAATTGGCTACTTCTCCCTAA | 927 bp |
| Cyp19a1a-gDNA-R4 | TGGTGATCTCAGTCTAACATACATA | |
| Cyp19a1b-gDNA-F1 | GCAAAAGTGCAAGCCCAAC | 1174 bp |
| Cyp19a1b-gDNA-R1 | GAAGAAGCAGAATCGCAGTGA | |
| Cyp19a1b-gDNA-F2 | TACTGGTGAGAGACACTTTATGAG | 1388 bp |
| Cyp19a1b-gDNA-R2 | CTGAGCAGATTGAGAGTGTCC | |
| Cyp19a1b-gDNA-F3 | GGATGGAAGGAAGGGGT | 1336 bp |
| Cyp19a1b-gDNA-R3 | ATGAGACCAATGTTGAGAATG | |
| Cyp19a1b-gDNA-F4 | CAACATCATTCTCAACATTGG | 649 bp |
| Cyp19a1b-gDNA-R4 | CTACTTGTGACTACACTTGCTTG |
Disclaimer/Publisher’s Note: The statements, opinions and data contained in all publications are solely those of the individual author(s) and contributor(s) and not of MDPI and/or the editor(s). MDPI and/or the editor(s) disclaim responsibility for any injury to people or property resulting from any ideas, methods, instructions or products referred to in the content. |
© 2023 by the authors. Licensee MDPI, Basel, Switzerland. This article is an open access article distributed under the terms and conditions of the Creative Commons Attribution (CC BY) license (https://creativecommons.org/licenses/by/4.0/).
Share and Cite
Huang, S.; Wu, Y.; Chen, K.; Zhang, X.; Zhao, J.; Luo, Q.; Liu, H.; Wang, F.; Li, K.; Fei, S.; et al. Gene Expression and Epigenetic Modification of Aromatase during Sex Reversal and Gonadal Development in Blotched Snakehead (Channa maculata). Fishes 2023, 8, 129. https://doi.org/10.3390/fishes8030129
Huang S, Wu Y, Chen K, Zhang X, Zhao J, Luo Q, Liu H, Wang F, Li K, Fei S, et al. Gene Expression and Epigenetic Modification of Aromatase during Sex Reversal and Gonadal Development in Blotched Snakehead (Channa maculata). Fishes. 2023; 8(3):129. https://doi.org/10.3390/fishes8030129
Chicago/Turabian StyleHuang, Sujing, Yuxia Wu, Kunci Chen, Xiaotian Zhang, Jian Zhao, Qing Luo, Haiyang Liu, Fang Wang, Kaibin Li, Shuzhan Fei, and et al. 2023. "Gene Expression and Epigenetic Modification of Aromatase during Sex Reversal and Gonadal Development in Blotched Snakehead (Channa maculata)" Fishes 8, no. 3: 129. https://doi.org/10.3390/fishes8030129
APA StyleHuang, S., Wu, Y., Chen, K., Zhang, X., Zhao, J., Luo, Q., Liu, H., Wang, F., Li, K., Fei, S., Zhang, X., & Ou, M. (2023). Gene Expression and Epigenetic Modification of Aromatase during Sex Reversal and Gonadal Development in Blotched Snakehead (Channa maculata). Fishes, 8(3), 129. https://doi.org/10.3390/fishes8030129

