First Detection of Photobacterium spp. in Acute Hemorrhagic Septicemia from the Nursehound Shark Scyliorhinus stellaris
Abstract
1. Introduction
2. Materials and Methods
2.1. Sampling and Placement in Aquarium
2.2. Case History
2.3. Analytical Procedures
3. Results and Discussion
3.1. Physical and Chemical Parameters
3.2. Gross Macroscopic Observations
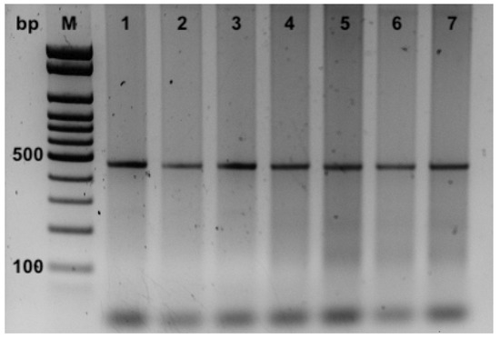
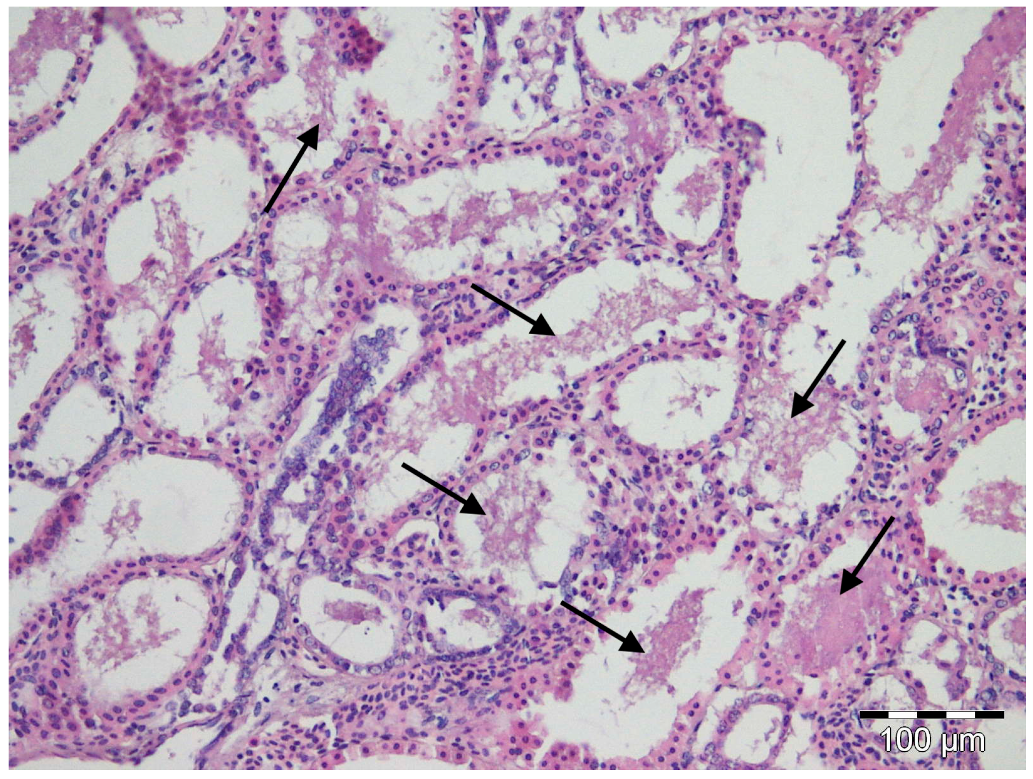
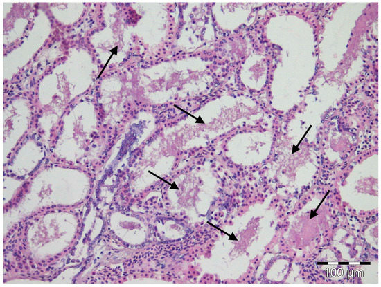
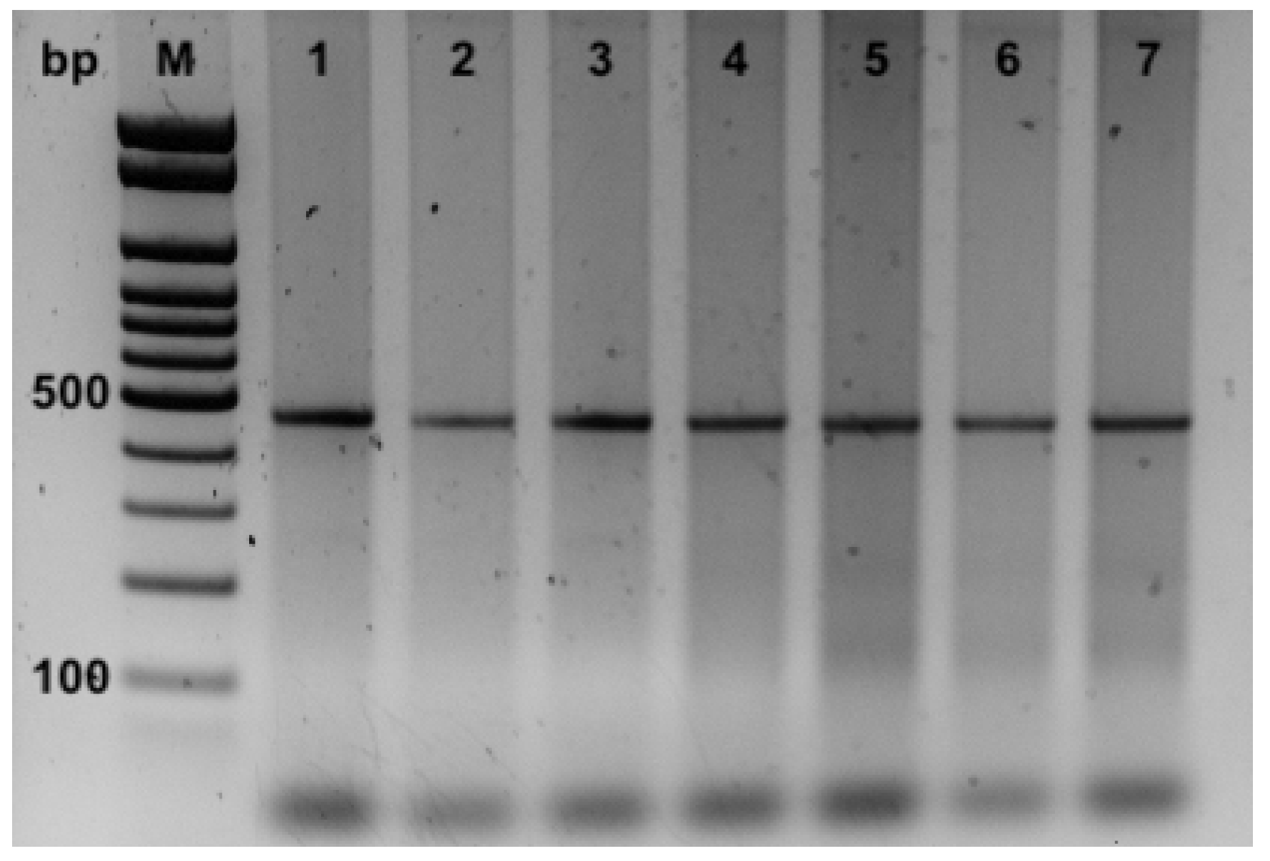
3.3. Histopathological and Molecular Biology Analysis
4. Conclusions
Author Contributions
Funding
Institutional Review Board Statement
Data Availability Statement
Acknowledgments
Conflicts of Interest
References
- Ebert, D.A.; Dando, M.; Fowler, S. Sharks of the World: A Complete Guide; Princeton University Press: Princeton, NJ, USA, 2021. [Google Scholar]
- Finucci, B.; Derrick, D.; Pacoureau, N. Scyliorhinus stellaris. The IUCN Red List of Threatened Species 2021, e.T161484A124493465. Available online: https://www.iucnredlist.org/species/161484/124493465 (accessed on 15 December 2022).
- Grau, A.M.; Mayol, J.; Oliver, J.; Riera, F.; Riera, M.I. Llibre Vermell dels Peixos de les Illes Balears; Conselleria de Medi Ambient, Agricultura i Pesca: Palma, Spain, 2015; 150p. [Google Scholar]
- Catanese, G.; Morey, G.; Verger, F.; Grau, A.M. The Nursehound Scyliorhinus stellaris mitochondrial genome—Phylogeny, relationships among Scyliorhinidae and variability in waters of the Balearic Islands. Int. J. Mol. Sci. 2022, 23, 10355. [Google Scholar] [CrossRef] [PubMed]
- Ward, J.R.; Lafferty, K.D. The elusive baseline of marine disease: Are diseases in ocean ecosystems increasing? PLoS Biol. 2004, 2, 542–547. [Google Scholar] [CrossRef] [PubMed]
- Austin, B. The effects of pollution on fish health. J. Appl. Microbiol. Symp. Suppl. 1998, 85, 234–242. [Google Scholar] [CrossRef] [PubMed]
- Romalde, J.L. Photobacterium damselae subsp. piscicida: An integrated view of a bacterial fish pathogen. Int. Microbiol. 2002, 5, 3–9. [Google Scholar] [CrossRef]
- Lattos, A.; Giantsis, I.A.; Tsavea, E.; Kolygas, M.; Athanassopoulou, F.; Bitchava, K. Virulence genes and in vitro antibiotic profile of Photobacterium damselae strains, isolated from fish reared in Greek aquaculture facilities. Animals 2022, 12, 3133. [Google Scholar] [CrossRef]
- Terceti, M.S.; Ogut, H.; Osorio, C.R. Photobacterium damselae subsp. damselae, an emerging fish pathogen in the Black Sea: Evidence of a multiclonal origin. Appl. Environ. Microbiol. 2016, 82, 3736–3745. [Google Scholar] [CrossRef]
- Fouz, B.; Toranzo, A.E.; Marco-Noales, E.; Amaro, C. Survival of fish-virulent strains of Photobacterium damselae subsp. Damselae in seawater under starvation conditions. FEMS Microbiol. Lett. 1998, 168, 181–186. [Google Scholar] [CrossRef]
- Morris, J.G., Jr.; Wilson, R.; Hollis, D.G.; Weaver, R.E.; Miller, H.G.; Tacket, C.O.; Hickamn, F.W. Illness caused by Vibrio damsela and Vibrio hollisae. Lancet 1982, 319, 1294–1297. [Google Scholar] [CrossRef]
- Yamane, K.; Asato, J.; Kawade, N.; Takahashi, H.; Kimura, B.; Arakawa, Y. Two cases of fatal necrotizing fasciitis caused by Photobacterium damsela in Japan. J. Clin. Microbiol. 2004, 42, 1370–1372. [Google Scholar] [CrossRef]
- Nakamura, Y.; Uchihira, M.; Ichimiya, M.; Morita, K.; Muto, M. Necrotizing fasciitis of the leg due to Photobacterium damsela. J. Dermatol. 2008, 35, 44–45. [Google Scholar] [CrossRef]
- Aigbivbalu, L.; Maraqa, N. Photobacterium damsela wound infection in a 14-year-old surfer. South Med. J. 2009, 102, 425–426. [Google Scholar] [CrossRef]
- Matanza, X.M.; Osorio, C.R. Exposure of the opportunistic marine pathogen Photobacterium damselae subsp. damselae to human body temperature is a stressful condition that shapes the transcriptome, viability, cell morphology, and virulence. Front. Microbiol. 2020, 11, 1771. [Google Scholar] [CrossRef]
- Abu-Elala, N.M.; Abd-Elsalam, R.M.; Marzouk, M.S. Molecular and immunohistochemical diagnosis of Photobacterium damselae Subspecies piscicida during naturally occurring disease in Egypt. J. World Aquac. Soc. 2015, 46, 583–595. [Google Scholar] [CrossRef]
- Yardimci, R.E.; Turgay, E.; Karatas Steinum, S. Diagnosis of Photobacterium sanguinicancri in Smooth-hound shark (Mustelus mustelus, Linnaeus 1758). Acta Aquat. Turc. 2020, 16, 338–343. [Google Scholar] [CrossRef]
- Hawke, J.P. 1.2.14 Photobacteriosis. In FHS Blue Book: Suggested Procedures for the Detection and Identification of Certain Finfish and Shellfish Pathogens; AFS—FHS (American Fisheries Society—Fish Health Section): Bethesda, MD, USA, 2012; Available online: http://www.afs-fhs.org/perch/resources/14069221931.2.14photobacteriosis2014.pdf (accessed on 18 December 2022).
- Company, R.; Sitja-Bobadilla, A.; Pujalte, M.J.; Garay, E.; Alvarez-Pellitero, P.; Pérez-Sanchez, J. Bacterial and parasitic pathogens in cultured common dentex, Dentex dentex L. J. Fish Dis. 1999, 22, 299–309. [Google Scholar] [CrossRef]
- Labella, A.; Vida, M.; Alonso, M.C.; Infante, C.; Cardenas, S.; López-Romalde, S.; Manchado, M.; Borrego, J.J. First isolation of Photobacterium damselae ssp. damselae from cultured redbanded seabream, Pagrus auriga Valenciennes, in Spain. J. Fish Dis. 2006, 29, 175–179. [Google Scholar] [CrossRef]
- Garcia-Rosado, E.; Cano, I.; Martín-Antonio, B.; Labella, A.; Manchado, M.; Alonso, M.C.; Castro, D.; Borrego, J.J. Co-occurrence of viral and bacterial pathogens in disease outbreaks affecting newly cultured sparid fish. Int. Microbiol. 2007, 10, 193–199. [Google Scholar]
- Labella, A.; Sanchez-Montes, N.; Berbel, C.; Aparicio, M.; Castro, D.; Manchado, M.; Borrego, J.J. Toxicity of Photobacterium damselae subsp. damselae strains isolated from new cultured marine fish. Dis. Aquat. Org. 2010, 92, 31–40. [Google Scholar] [CrossRef]
- Pujalte, M.J.; Sitja-Bobadilla, A.; Álvarez-Pellitero, P.; Garay, E. Carriage of potentially fish-pathogenic bacteria in Sparus aurata cultured in Mediterranean fish farms. Dis. Aquat. Org. 2003, 54, 119–126. [Google Scholar] [CrossRef]
- Morick, D.; Maron, Y.; Davidovich, N.; Zemah-Shamir, Z.; Nachum-Biala, Y.; Itay, P.; Wosnick, N.; Tchernov, D.; Harrus, S. Molecular identification of Photobacterium damselae in wild marine fish from the Eastern Mediterranean Sea. Fishes 2023, 8, 60. [Google Scholar] [CrossRef]
- Parte, A.C.; Sardà Carbasse, J.; Meier-Kolthoff, J.P.; Reimer, L.C.; Göker, M. List of Prokaryotic names with Standing in Nomenclature (LPSN) moves to the DSMZ. Int. J. Syst. Evol. Microbiol. 2020, 70, 5607–5612. [Google Scholar] [CrossRef] [PubMed]
- Gomez-Gil, B.; Roque, A.; Rotllant, G.; Peinado, L.; Romalde, J.L.; Doce, A.; Cabanillas-Beltran, H.; Chimetto, L.; Thompson, F.L. Photobacterium swingsii sp. nov. isolated from marine organisms. Int. J. Syst. Evol. Microbiol. 2011, 61, 315–319. [Google Scholar] [CrossRef] [PubMed]
- Grimes, D.J.; Colwell, R.R.; Stemmler, J.; Hada, H.; Maneval, D.; Hetrick, F.M.; May, E.B.; Jones, R.T.; Stoskopf, M. Vibrio species as agents of elasmobranch disease. Helgol. Meeresunters 1984, 37, 309–315. [Google Scholar] [CrossRef]
- Grimes, D.J.; Stemmler, J.; Hada, H.; May, E.B.; Maneval, D.; Hetrick, F.M.; Jones, R.T.; Stoskopf, M.; Colwell, R.R. Vibrio species associated with mortality of sharks held in captivity. Microb. Ecol. 1984, 10, 271–282. [Google Scholar] [CrossRef]
- Grimes, D.J.; Brayton, P.; Colwell, R.R.; Gruber, S.H. Vibrios as autochthonous flora of neritic sharks. Syst. Appl. Microbiol. 1985, 6, 221–226. [Google Scholar] [CrossRef]
- Givens, C.E.; Ransom, B.; Bano, N.; Hollibaugh, J.T. Comparison of the gut microbiomes of 12 bony fish and 3 shark species. Mar. Ecol. Prog. Ser. 2015, 518, 209–223. [Google Scholar] [CrossRef]
- Juste-Poinapen, N.M.S.; Yang, L.; Ferreira, M.; Poinapen, J.; Rico, C. Community profiling of the intestinal microbial community of juvenile Hammerhead Sharks (Sphyrna lewini) from the Rewa Delta, Fiji. Sci. Rep. 2019, 9, 7182. [Google Scholar] [CrossRef]
- Han, J.E.; Gomez, D.K.; Kim, J.H.; Choresca, C.H., Jr.; Shin, S.P.; Baeck, G.W.; Park, S.C. Isolation of Photobacterium damselae subsp. damselae from zebra shark Stegostoma fasciatum. Korean J. Vet. Res. 2009, 49, 35–38. [Google Scholar]
- Dorsch, M.; Stackebrandt, E. Some modifications in the procedure of direct sequencing of PCR amplified 16S rDNA. J. Microbiol. Methods 1992, 16, 271–279. [Google Scholar] [CrossRef]
- Stackebrandt, E.; Charfreitag, O. Partial 16S rRNA primary structure of five Actinomyces species: Phylogenetic implications and development of an Actinomyces israelii-specific oligonucleotide probe. J. Gen. Microbiol. 1990, 136, 37–43. [Google Scholar] [CrossRef]
- Osorio, C.R.; Toranzo, A.E.; Romalde, J.L.; Barja, J.L. Multiplex PCR assay for ureC and 16S rRNA genes clearly discriminates between both subspecies of Photobacterium damselae. Dis. Aquat. Org. 2000, 40, 177–183. [Google Scholar] [CrossRef]
- Amagliani, G.; Omiccioli, E.; Andreoni, F.; Boiani, R.; Bianconi, I.; Zaccone, R.; Mancuso, M.; Magnani, M. Development of a multiplex PCR assay for Photobacterium damselae subsp piscicida identification in fish samples. J. Fish Dis. 2009, 32, 645–653. [Google Scholar] [CrossRef]
- Kumar, S.; Stecher, G.; Li, M.; Knyaz, C.; Tamura, K. MEGA X: Molecular Evolutionary Genetics Analysis across computing platforms. Mol. Biol. Evol. 2018, 35, 1547–1549. [Google Scholar] [CrossRef]
- Ronquist, F.; Teslenko, M.; van der Mark, P.; Ayres, D.L.; Darling, A.; Hohna, S.; Larget, B.; Liu, L.; Suchard, M.A.; Huelsenbeck, J.P. MrBayes 3.2: Efficient Bayesian phylogenetic inference and model choice across a large model space. Syst. Biol. 2012, 61, 539–542. [Google Scholar] [CrossRef]
- Barton, B.A.; Iwama, G.K. Physiological changes in fish from stress in aquaculture, with emphasis on the responses and effect of corticosteroids, Ann. Rev. Fish Dis. 1991, 1, 3–26. [Google Scholar] [CrossRef]
- Rivas, A.J.; Lemos, M.L.; Osorio, C.R. Photobacterium damselae subsp. damselae, a bacterium pathogenic for marine animals and humans. Front. Microbiol. 2013, 4, 283. [Google Scholar] [CrossRef]
- Deng, C.Y.; Peng, J.H.; Chen, M.M.; Chen, M.H.; Chang, P.H. Lipoidosis, steatitis, and streptococcosis in mariculture of silver perch (Bidyanus bidyanus). Bull. Eur. Ass. Fish Pathol. 2012, 32, 49. [Google Scholar]
- Toranzo, A.E.; Barreiro, S.; Casal, J.F.; Figueras, A.; Margarinos, B.; Barja, J.L. Pasteurellosis in cultured gilthead seabream (Sparus aurata): First report in Spain. Aquaculture 1991, 99, 1–15. [Google Scholar] [CrossRef]
- Magarinos, B.; Toranzo, A.E.; Romalde, J.L. Phenotypic and pathobiological characteristics of Pasteurella piscicida. Annu. Rev. Fish Dis. 1996, 6, 41–64. [Google Scholar] [CrossRef]
- Candan, A.A.; Kucker, M.; Karatas, S. Pasteurellosis in cultured sea bass (Dicentrarchus labrax) in Turkey. Bull. Eur. Assoc. Fish Pathol. 1996, 16, 195–196. [Google Scholar]
- Essam, H.M.; Abdellrazeq, G.S.; Tayel, S.I.; Torky, H.A.; Fadel, A.H. Pathogenesis of Photobacterium damselae subspecies infections in sea bass and sea bream. Microb. Pathog. 2016, 99, 41–50. [Google Scholar] [CrossRef]
- Crespo, S.; Grau, A.; Padrós, F. Epitheliocystis disease in the cultured amberjack, Seriola dumerili Risso (Carangidae). Aquaculture 1990, 90, 197–207. [Google Scholar] [CrossRef]
- Crespo, S.; Grau, A.; Padrós, F. Sanguinicoliasis in the cultured amberjack Seriola dumerili Risso, from the Spanish Mediterranean area. Bull. Eur. Ass. Fish Pathol. 1992, 12, 157–159. [Google Scholar]
- Crespo, S.; Grau, A.; Padrós, F. The intensive culture of 0-group amberjack in the western Mediterranean is compromised by disease problems. Aquacult. Int. 1994, 2, 262–265. [Google Scholar]
- Grau, A.; Crespo, S. Epitheliocystis in the wild and cultured amberjack, Seriola dumerili Risso: Ultrastructural observations. Aquaculture 1991, 95, 1–6. [Google Scholar] [CrossRef]
- Valencia, J.M.; Grau, A.; Pons, J.; Jurado, J.A.; Castro, J.A.; Catanese, G. Viral encephalopathy and retinopathy disease in Epinephelus marginatus from Balearic Islands Marine Protected Areas. Dis. Aquat. Org. 2019, 135, 49–58. [Google Scholar] [CrossRef]
- Valencia, J.M.; Grau, A.; Box, A.; Nuñez-Reyes, V.; Cohen-Sanchez, A.; Catanese, G. Primera Detección de un Nodavirus como Agente Etiológico del Evento de Mortalidad Masiva de Morenas (Muraena helena) en Ibiza y Formentera. In VII Jornades de Medi Ambient de les Illes Balears Palma de Mallorca (Spain) Libro de Actas; Societat d’Història Natural de les Balears: Palma, Spain, 2018; pp. 172–175. ISBN 978-84-09-06632-2. [Google Scholar]
- Schlaff, A.M.; Heupel, M.R.; Simpfendorfer, C.A. Influence of environmental factors on shark and ray movement, behaviour and habitat use: A review. Rev. Fish Biol. Fish. 2014, 24, 1089–1103. [Google Scholar] [CrossRef]
- Plumb, J.A. Infectious Diseases of Striped Bass, Chapter 11. In Developments in Aquaculture and Fisheries Science; Reginal, M.H., Ed.; Elsevier: Amsterdam, The Netherlands, 1997; Volume 30, pp. 271–313. [Google Scholar] [CrossRef]
- Magariños, B.; Couso, N.; Noya, M.; Merino, P.; Toranzo, A.E.; Lamas, J. Effect of temperature on the development of pasteurellosis in carrier gilthead seabream (Sparus aurata). Aquaculture 2001, 195, 17–21. [Google Scholar] [CrossRef]
- Desoubeaux, G.; Debourgogne, A.; Wiederhold, N.P.; Zaffino, M.; Sutton, D.; Burns, R.E.; Frasca, S.; Hyatt, M.W.J.; Cray, C. Multi-locus sequence typing provides epidemiological insights for diseased sharks infected with fungi belonging to the Fusarium solani species complex. Med. Mycol. 2018, 56, 591–601. [Google Scholar] [CrossRef]
- Emam, A.M.; Hashem, M.; Gadallah, A.M.; Haridy, M. An outbreak of Vibrio alginolyticus infection in aquarium-maintained dark-spotted (Himantura uarnak) and Tahitian (H. fai) stingrays. Egypt J. Aquat. Res. 2019, 45, 153–158. [Google Scholar] [CrossRef]
- Tomasoni, M.; Esposito, G.; Mugetti, D.; Pastorino, P.; Stoppani, N.; Menconi, V.; Gagliardi, F.; Corrias, I.; Pira, A.; Acutis, P.L.; et al. The Isolation of Vibrio crassostreae and V. cyclitrophicus in Lesser-Spotted Dogfish (Scyliorhinus canicula) Juveniles Reared in a Public Aquarium. J. Mar. Sci. Eng. 2022, 10, 114. [Google Scholar] [CrossRef]
- Osorio, C.R.; Vences, A.; Matanza, X.M.; Terceti, M.S. Photobacterium damselae subsp damselae, a generalist pathogen with unique virulence factors and high genetic diversity. J. Bacteriol. 2018, 200, e00002-18. [Google Scholar] [CrossRef]
- Kreger, A.S. Cytolytic activity and virulence of Vibrio damsela. Infect. Immun. 1984, 44, 326–331. [Google Scholar] [CrossRef]
- Fouz, B.; Barja, J.L.; Amaro, C.; Rivas, C.; Toranzo, A.E. Toxicity of the extracellular products of Vibrio damsela isolated from diseased fish. Curr. Microbiol. 1993, 27, 341–347. [Google Scholar] [CrossRef]
- Kothary, M.H.; Kreger, A.S. Purification and characterization of an extracellular cytolysin produced by Vibrio damsela. Infect. Immun. 1985, 49, 25–31. [Google Scholar] [CrossRef]
- Clarridge, J.E.; Zighelboimdaum, S. Isolation and characterization of 2 hemolytic phenotypes of Vibrio damsela associated with a fatal wound-infection. J. Clin. Microbiol. 1985, 21, 302–306. [Google Scholar] [CrossRef]
- Allison, G.W.; Lubchenco, J.; Carr, M.H. Marine reserves are necessary but not sufficient for marine conservation. Ecol. Appl. 1998, 8, 79–92. [Google Scholar] [CrossRef]
- Romalde, J.L.; Magariños, B. Immunization with bacterial antigens: Pasteurellosis. Dev. Biol. 1997, 90, 167–177. [Google Scholar]
- Romalde, J.L. Vaccination against photobacteriosis. In Fish Vaccination; Gudding, R., Lillehaug, A., Evensen, O., Eds.; John Wiley & Sons: Chichester, UK, 2014; pp. 200–210. [Google Scholar]




Disclaimer/Publisher’s Note: The statements, opinions and data contained in all publications are solely those of the individual author(s) and contributor(s) and not of MDPI and/or the editor(s). MDPI and/or the editor(s) disclaim responsibility for any injury to people or property resulting from any ideas, methods, instructions or products referred to in the content. |
© 2023 by the authors. Licensee MDPI, Basel, Switzerland. This article is an open access article distributed under the terms and conditions of the Creative Commons Attribution (CC BY) license (https://creativecommons.org/licenses/by/4.0/).
Share and Cite
Catanese, G.; Grau, A. First Detection of Photobacterium spp. in Acute Hemorrhagic Septicemia from the Nursehound Shark Scyliorhinus stellaris. Fishes 2023, 8, 128. https://doi.org/10.3390/fishes8030128
Catanese G, Grau A. First Detection of Photobacterium spp. in Acute Hemorrhagic Septicemia from the Nursehound Shark Scyliorhinus stellaris. Fishes. 2023; 8(3):128. https://doi.org/10.3390/fishes8030128
Chicago/Turabian StyleCatanese, Gaetano, and Amalia Grau. 2023. "First Detection of Photobacterium spp. in Acute Hemorrhagic Septicemia from the Nursehound Shark Scyliorhinus stellaris" Fishes 8, no. 3: 128. https://doi.org/10.3390/fishes8030128
APA StyleCatanese, G., & Grau, A. (2023). First Detection of Photobacterium spp. in Acute Hemorrhagic Septicemia from the Nursehound Shark Scyliorhinus stellaris. Fishes, 8(3), 128. https://doi.org/10.3390/fishes8030128

