Infectivity and Transmissibility of Acute Hepatopancreatic Necrosis Disease Associated Vibrio parahaemolyticus in Frozen Shrimp Archived at −80 °C
Abstract
1. Introduction
2. Materials and Methods
2.1. Preparation of Frozen Shrimp with AHPND
2.2. AHPND Polymerase Chain Reaction (PCR) Assay and VpAHPND Bacterial Isolation from Frozen Shrimp
2.3. Infectivity Test for VpAHPND in Frozen Shrimp
3. Results
3.1. Isolation of VpAHPND from Frozen Shrimp
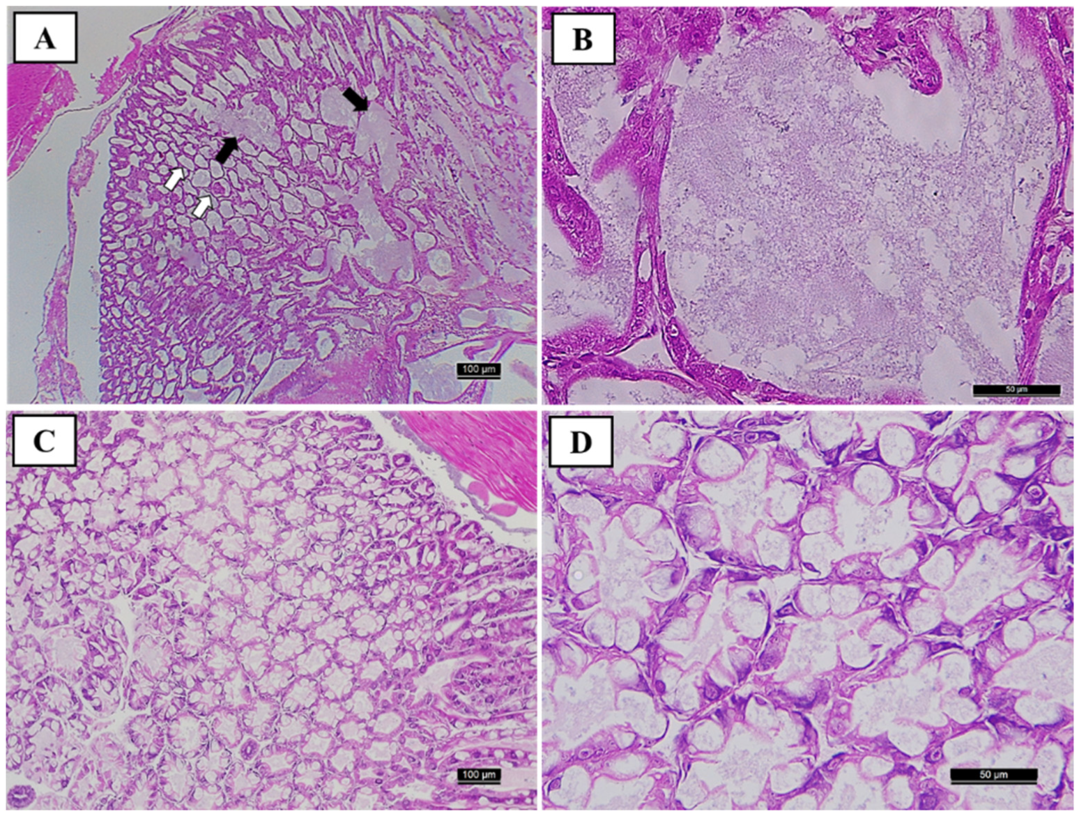
3.2. Infectivity of VpAHPND in Frozen Shrimp
4. Discussion
Author Contributions
Funding
Institutional Review Board Statement
Informed Consent Statement
Data Availability Statement
Conflicts of Interest
References
- Velázquez-Lizárraga, A.E.; Juárez-Morales, J.L.; Racotta, I.S.; Villarreal-Colmenares, H.; Valdes-Lopez, O.; Luna-González, A.; Rodriguez-Jaramillo, C.; Estrada, N.; Ascencio, F. Transcriptomic analysis of Pacific white shrimp (Litopenaeus vannamei, Boone 1931) in response to acute hepatopancreatic necrosis disease caused by Vibrio parahaemolyticus. PLoS ONE 2019, 14, e0220993. [Google Scholar] [CrossRef] [PubMed]
- Thornber, K.; Verner-Jeffreys, D.; Hinchliffe, S.; Rahman, M.M.; Bass, D.; Tyler, C.R. Evaluating antimicrobial resistance in the global shrimp industry. Rev. Aquac. 2020, 12, 966–986. [Google Scholar] [CrossRef]
- Karunasagar, I.; Ababouch, L. Shrimp viral diseases, import risk assessment and international trade. Indian J. Virol. 2012, 23, 141–148. [Google Scholar] [CrossRef]
- Yang, Y.T.; Chen, I.T.; Lee, C.T.; Chen, C.Y.; Lin, S.S.; Hor, L.I.; Tseng, T.C.; Huang, Y.T.; Sritunyalucksana, K.; Thiamadee, S.; et al. Draft genome sequences of four strains of Vibrio parahaemolyticus, three of which cause early mortality syndrome/acute hepatopancreatic necrosis disease in shrimp in China and Thailand. Genome Announc. 2014, 2, e00816-14. [Google Scholar] [CrossRef] [PubMed]
- Han, J.E.; Tang, K.F.; Tran, L.H.; Lightner, D.V. Photorhabdus insect-related (Pir) toxin-like genes in a plasmid of Vibrio parahaemolyticus, the causative agent of acute hepatopancreatic necrosis disease (AHPND) of shrimp. Dis. Aquat. Org. 2015, 113, 33–40. [Google Scholar] [CrossRef] [PubMed]
- Dhar, A.K.; Mai, H.N. Acute hepatopancreatic necrosis disease (AHPND) and hepatopancreatic microsporidiosis (HPM): Two threats to sustainable shrimp aquaculture. In Proceedings of the International Workshop on the Promotion of Sustainable Aquaculture, Aquatic Animal Health, and Resource Enhancement in Southeast Asia; Aquaculture Department, Southeast Asian Fisheries Development Center: Tigbauan, Philippines, 2021; pp. 200–216. [Google Scholar]
- OIE (World Organisation for Animal Health). Chapter 9.1 Acute Hepatopancreatic Necrosis Disease. In Manual of Diagnostic Tests for Aquatic Animals; 2021; Available online: https://www.oie.int/fileadmin/Home/eng/Health_standards/aahm/current/chapitre_ahpnd.pdf (accessed on 6 September 2021).
- Shinn, A.P.; Pratoomyot, J.; Griffiths, D.; Trong, T.Q.; Vu, N.T.; Jiravanichpaisal, P.; Briggs, M. Asian shrimp production and the economic costs of disease. Asian Fish Sci. 2018, 31, 29–58. [Google Scholar] [CrossRef]
- Han, J.E.; Lee, S.C.; Park, S.C.; Jeon, H.J.; Kim, K.Y.; Lee, Y.S.; Park, S.; Han, S.; Kim, J.H.; Choi, S.K. Molecular detection of Enterocytozoon hepatopenaei and Vibrio parahaemolyticus-associated acute hepatopancreatic necrosis disease in Southeast Asian Penaeus vannamei shrimp imported into Korea. Aquaculture 2020, 517, 734812. [Google Scholar] [CrossRef]
- Thitamadee, S.; Prachumwat, A.; Srisala, J.; Jaroenlak, P.; Salachan, P.V.; Sritunyalucksana, K.; Flegel, T.W.; Itsathitphaisarn, O. Review of current disease threats for cultivated penaeid shrimp in Asia. Aquaculture 2016, 452, 69–87. [Google Scholar] [CrossRef]
- Desrina, J.V.; Verdegem, M.C.J.; Vlak, J.M. Polychaetes as potential risks for shrimp Pathogen transmission. Asian Fish Sci. 2018, 31, 155–167. [Google Scholar] [CrossRef]
- Tang, K.F.; Bondad-Reantaso, M.G.; Arthur, J.R.; MacKinnon, B.; Hao, B.; Alday-Sanz, V.; Liang, Y.; Dong, X. Shrimp Acute Hepatopancreatic Necrosis Disease Strategy Manual; Food and Agriculture Organization: Rome, Italy, 2020. [Google Scholar]
- De Silva, B.C.; Hossain, S.; Dahanayake, P.S.; Heo, G.J. Frozen white-leg shrimp (Litopenaeus vannamei) in Korean markets as a source of Aeromonas spp. harboring antibiotic and heavy metal resistance genes. Microb. Drug Resist. 2018, 24, 1587–1598. [Google Scholar] [CrossRef]
- Tran, L.; Nunan, L.; Redman, R.M.; Mohney, L.L.; Pantoja, C.R.; Fitzsimmons., K.; Lightner, D.V. Determination of the infectious nature of the agent of acute hepatopancreatic necrosis syndrome affecting penaeid shrimp. Dis. Aquat. Org. 2013, 105, 45–55. [Google Scholar] [CrossRef] [PubMed]
- Kim, N.E.; Kim, D.H. Acute hepatopancreatic necrosis disease of shrimp and import health measures. Fish Pathol. 2015, 28, 1–7. [Google Scholar] [CrossRef][Green Version]
- Zorriehzahra, M.J.; Banaederakhshan, R. Early mortality syndrome (EMS) as new emerging threat in shrimp industry. Adv. Anim. Vet. Sci. 2015, 3, 64–72. [Google Scholar] [CrossRef]
- Consumer Reports. Consumer Reportsfinds Potentially Harmful Bacteria Andillegal Antibiotic Residues in Tests of Frozen Shrimp. 2015. Available online: http://pressroom.consumerreports.org/pressroom/2015/04/consumer-reports-finds-potentially-harmful-bacteria-and-illegal-antibiotic-residues-in-tests-of-frozen-shrimp.html (accessed on 8 December 2021).
- Elbashir, S.; Parveen, S.; Schwarz, J.; Rippen, T.; Jahncke, M.; DePaola, A. Seafood pathogens and information on antimicrobial resistance: A review. Food Microbiol. 2018, 70, 85–93. [Google Scholar] [CrossRef] [PubMed]
- Nunan, L.M.; Lightner, D.V. Optimized PCR assay for detection of white spot syndrome virus (WSSV). J. Virol. Methods 2011, 171, 318–321. [Google Scholar] [CrossRef] [PubMed]
- Tang, K.F.; Lightner, D.V. Infectious hypodermal and hematopoietic necrosis virus (IHHNV)-related sequences in the genome of the black tiger prawn Penaeus monodon from Africa and Australia. Virus Res. 2006, 118, 185–191. [Google Scholar] [CrossRef]
- Jaroenlak, P.; Sanguanrut, P.; Williams, B.A.; Stentiford, G.D.; Flegel, T.W.; Sritunyalucksana, K.; Itsathitphaisarn, O. A nested PCR assay to avoid false positive detection of the microsporidian Enterocytozoon hepatopenaei (EHP) in environmental samples in shrimp farms. PLoS ONE 2016, 11, e0166320. [Google Scholar] [CrossRef]
- Lightner, D.V. A Handbook of Shrimp Pathology and Diagnostic Procedures for Diseases of Cultured Penaeid Shrimp; World Aquaculture Society: Baton Rouge, LA, USA, 1996. [Google Scholar]
- Lightner, D.V.; Redman, R.M.; Poulos, B.T.; Nunan, L.M.; Mari, J.L.; Hasson, K.W. Risk of spread of penaeid shrimp viruses in the Americas by the international movement of live and frozen shrimp. Rev. Sci. Tech. 1997, 16, 146–160. [Google Scholar] [CrossRef]
- Durand, S.V.; Tang, K.F.J.; Lightner, D.V. Frozen commodity shrimp: Potential avenue for introduction of white spot syndrome virus and yellow head virus. J. Aquat. Anim. Health 2000, 12, 128–135. [Google Scholar] [CrossRef]
- Walker, P.J.; Mohan, C.V. Viral disease emergence in shrimp aquaculture: Origins, impact and the effectiveness of health management strategies. Rev. Aquac. 2009, 1, 125–154. [Google Scholar] [CrossRef]
- Hasson, K.W.; Fan, Y.; Reisinger, T.; Venuti, J.; Varner, P.W. White-spot syndrome virus (WSSV) introduction into the Gulf of Mexico and Texas freshwater systems through imported, frozen bait-shrimp. Dis. Aquat. Org. 2006, 71, 91–100. [Google Scholar] [CrossRef] [PubMed]
- Flegel, T.W. Review of disease transmission risks from prawn products exported for human consumption. Aquaculture 2009, 290, 179–189. [Google Scholar] [CrossRef]
- Yoon, J.H.; Lee, S.Y. Characteristics of viable-but-nonculturable Vibrio parahaemolyticus induced by nutrient-deficiency at cold temperature. Crit. Rev. Food Sci. Nutr. 2020, 60, 1302–1320. [Google Scholar] [CrossRef] [PubMed]
- OIE (World Organisation for Animal Health). Acute Hepatopancreatic Necrosis Disease Etiology Epidemiology Diagnosis Prevention and Control OIE Technical Disease Cards. 2013. Available online: http://www.oie.int/fileadmin/Home/eng/Internationa_Standard_Setting/docs/pdf/Aquatic_Commission/AHPND_DEC_2013.pdpf (accessed on 4 December 2013).
- Archer, D.L. Freezing: An underutilized food safety technology? Int. J. Food Microbiol. 2004, 90, 127–138. [Google Scholar] [CrossRef]
- Devadas, S.; Banerjee, S.; Yusoff, F.M.; Bhassu, S.; Shariff, M. Experimental methodologies and diagnostic procedures for acute hepatopancreatic necrosis disease (AHPND). Aquaculture 2019, 499, 389–400. [Google Scholar] [CrossRef]
- Wagley, S.; Morcrette, H.; Kovacs-Simon, A.; Yang, Z.R.; Power, A.; Tennant, R.K.; Love, J.; Murray, N.; Titball, R.W.; Butler, C.S. Bacterial dormancy: A subpopulation of viable but non-culturable cells demonstrates better fitness for revival. PLoS Pathog. 2021, 17, e1009194. [Google Scholar] [CrossRef]
- Wong, H.C.; Wang, P. Induction of viable but nonculturable state in Vibrio parahaemolyticus and its susceptibility to environmental stresses. J. Appl. Microbiol. 2004, 96, 359–366. [Google Scholar] [CrossRef]
- Wong, H.C.; Wang, P.; Chen, S.Y.; Chiu, S.W. Resuscitation of viable but non-; culturable Vibrio parahaemolyticus in a minimum salt medium. FEMS Microbiol. Lett. 2004, 233, 269–275. [Google Scholar] [CrossRef]
- Park, S.C.; Choi, S.K.; Han, S.H.; Park, S.; Jeon, H.J.; Lee, S.C.; Kim, K.Y.; Lee, Y.S.; Kim, J.H.; Han, J.E. Detection of infectious hypodermal and hematopoietic necrosis virus and white spot syndrome virus in whiteleg shrimp (Penaeus vannamei) imported from Vietnam to South Korea. J. Vet. Sci. 2020, 21, e31. [Google Scholar] [CrossRef]
- Lee, C.; Kim, J.H.; Choi, S.K.; Jeon, H.J.; Lee, S.H.; Kim, B.K.; Kim, Y.K.; Kee, K.J.; Han, J.E. Detection of infectious white spot syndrome virus in red claw crayfish (Cherax quadricarinatus) and red swamp crayfish (Procambarus clarkii) imported into Korea. Aquaculture 2021, 544, 737117. [Google Scholar] [CrossRef]



Publisher’s Note: MDPI stays neutral with regard to jurisdictional claims in published maps and institutional affiliations. |
© 2022 by the authors. Licensee MDPI, Basel, Switzerland. This article is an open access article distributed under the terms and conditions of the Creative Commons Attribution (CC BY) license (https://creativecommons.org/licenses/by/4.0/).
Share and Cite
Lee, C.; Jeon, H.J.; Kim, B.K.; Choi, S.-K.; Kim, S.; Jang, G.I.; Kim, J.H.; Han, J.E. Infectivity and Transmissibility of Acute Hepatopancreatic Necrosis Disease Associated Vibrio parahaemolyticus in Frozen Shrimp Archived at −80 °C. Fishes 2022, 7, 125. https://doi.org/10.3390/fishes7030125
Lee C, Jeon HJ, Kim BK, Choi S-K, Kim S, Jang GI, Kim JH, Han JE. Infectivity and Transmissibility of Acute Hepatopancreatic Necrosis Disease Associated Vibrio parahaemolyticus in Frozen Shrimp Archived at −80 °C. Fishes. 2022; 7(3):125. https://doi.org/10.3390/fishes7030125
Chicago/Turabian StyleLee, Chorong, Hye Jin Jeon, Bum Keun Kim, Seong-Kyoon Choi, Sumi Kim, Gwang Il Jang, Ji Hyung Kim, and Jee Eun Han. 2022. "Infectivity and Transmissibility of Acute Hepatopancreatic Necrosis Disease Associated Vibrio parahaemolyticus in Frozen Shrimp Archived at −80 °C" Fishes 7, no. 3: 125. https://doi.org/10.3390/fishes7030125
APA StyleLee, C., Jeon, H. J., Kim, B. K., Choi, S.-K., Kim, S., Jang, G. I., Kim, J. H., & Han, J. E. (2022). Infectivity and Transmissibility of Acute Hepatopancreatic Necrosis Disease Associated Vibrio parahaemolyticus in Frozen Shrimp Archived at −80 °C. Fishes, 7(3), 125. https://doi.org/10.3390/fishes7030125

