Aurantiochytrium sp. Meal Improved Body Fatty Acid Profile and Morphophysiology in Nile Tilapia Reared at Low Temperature
Abstract
:1. Introduction
2. Materials and Methods
2.1. Experimental Design and Diets
2.2. Fish and Experimental Procedures
2.3. Sample Collection
2.4. Proximate and Biochemical Composition Analyses
2.5. Histological Analyses
2.6. Statistical Analyses
3. Results
3.1. Body Fatty Acid Composition and Apparent Retention
3.2. Fatty Acid Composition in the Hepatopancreas
3.3. Somatic Indexes and Hepatic Glycogen Concentration
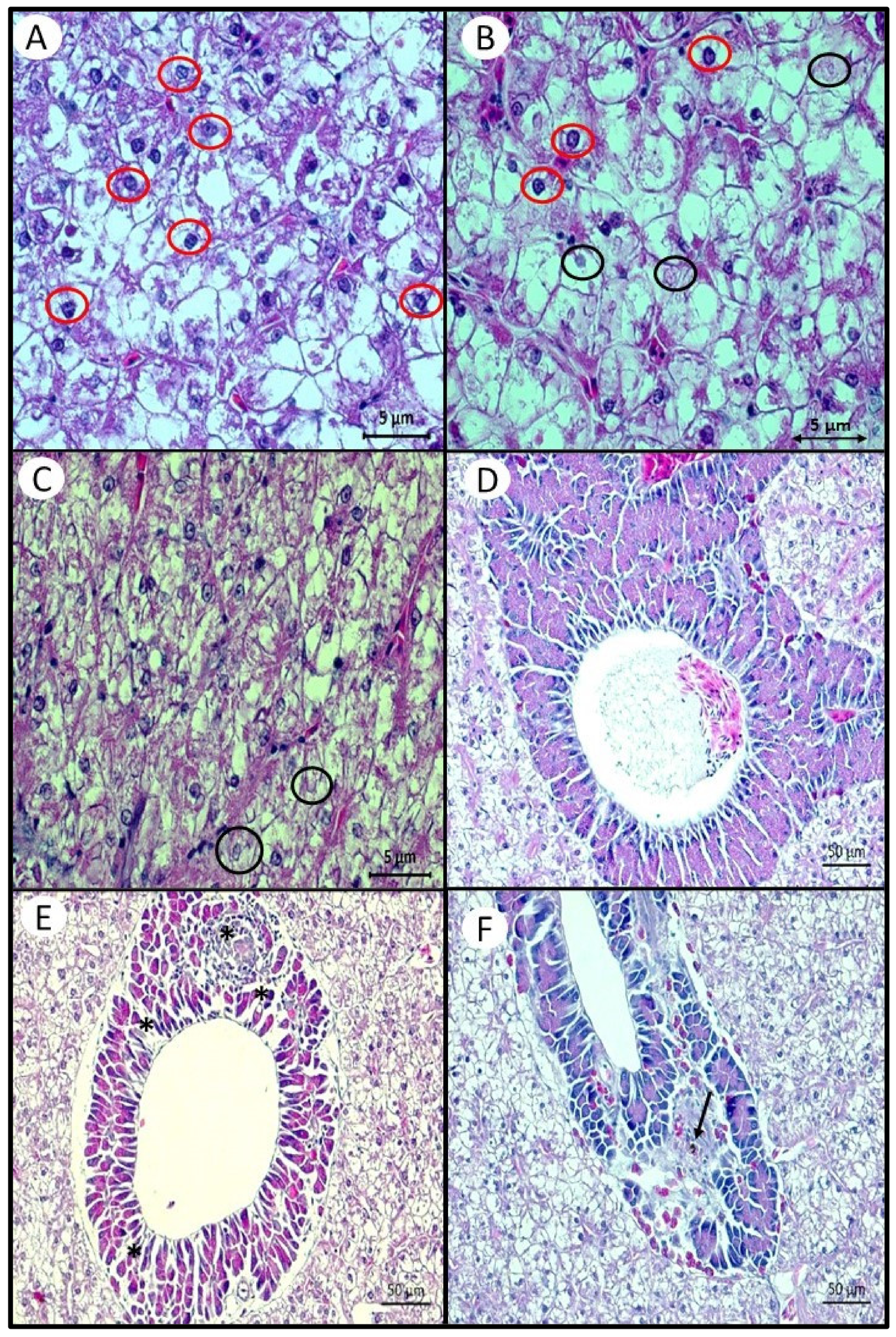
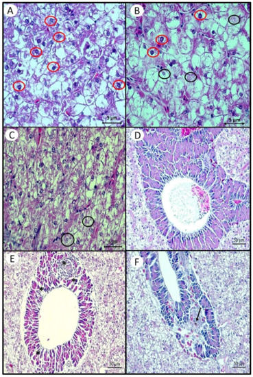
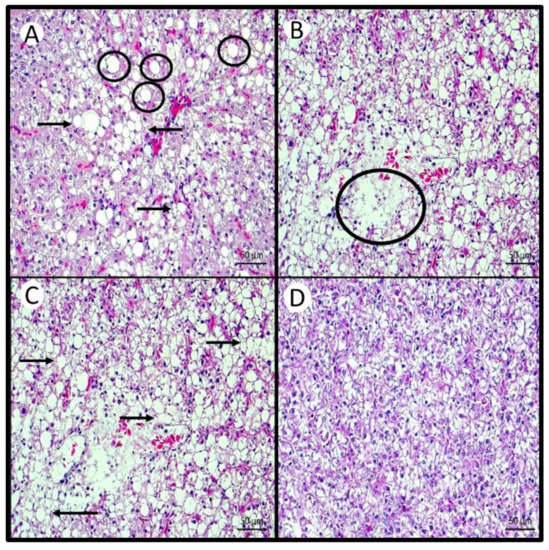
3.4. Morphology and Histological Changes in the Intestine and Hepatopancreas
4. Discussion
4.1. Body Fatty Acid Composition and Apparent Retention
4.2. Fatty Acid Composition in the Hepatopancreas
4.3. Morphology and Histological Changes in the Intestine and Hepatopancreas
5. Conclusions
Author Contributions
Funding
Institutional Review Board Statement
Informed Consent Statement
Data Availability Statement
Acknowledgments
Conflicts of Interest
References
- Martinez-Palacios, C.A.; Charez-Sanchez, M.C.; Ross, L.G. The effects of water temperature on food intake, growth and body composition of Cichlasoma urophthalmus (Gunther) juveniles. Aquac. Res. 1996, 27, 455–461. [Google Scholar] [CrossRef]
- Fatma, S.; Ahmed, I. Effect of water temperature on protein requirement of Heteropneustes fossilis (Bloch) fry as determined by nutrient deposition, hemato-biochemical parameters and stress resistance response. Fish. Aquat. Sci. 2020, 23, 1–14. [Google Scholar] [CrossRef] [Green Version]
- Barton, B.A. Stress in fishes: A diversity of responses with particular reference to changes in circulating corticosteroids. Integr. Comp. Biol. 2002, 42, 517–525. [Google Scholar] [CrossRef]
- Panase, P.; Saenphet, S.; Saenphet, K. Biochemical and physiological responses of Nile tilapia Oreochromis niloticus Lin subjected to cold shock of water temperature. Aquac. Rep. 2018, 11, 17–23. [Google Scholar] [CrossRef]
- Donaldson, M.R.; Cooke, S.J.; Patterson, D.A.; Macdonald, J.S. Cold shock and fish. J. Fish Biol. 2008, 73, 1491–1530. [Google Scholar] [CrossRef]
- FAO. The State of World Fisheries and Aquaculture 2020. Sustainability in Action; FAO: Rome, Italy, 2020. [Google Scholar] [CrossRef]
- Peixe-BR Anuário da Piscicultura 2020. Assoc. Bras. Piscic. 2020, 1, 1–136.
- Sebastião, F.A.; Pilarski, F.; Kearney, M.T.; Soto, E. Molecular detection of Francisella noatunensis subsp. orientalis in cultured Nile tilapia (Oreochromis niloticus L.) in three Brazilian states. J. Fish Dis. 2017, 40, 1731–1735. [Google Scholar] [CrossRef] [PubMed]
- Da Silva, B.C.; Pereira, A.; Marchiori, N.D.C.; Mariguele, K.H.; Massago, H.; Klabunde, G.H.F. Cold tolerance and performance of selected Nile tilapia for suboptimal temperatures. Aquac. Res. 2021, 52, 1071–1077. [Google Scholar] [CrossRef]
- Ma, X.Y.; Qiang, J.; He, J.; Gabriel, N.N.; Xu, P. Changes in the physiological parameters, fatty acid metabolism, and SCD activity and expression in juvenile GIFT tilapia (Oreochromis niloticus) reared at three different temperatures. Fish Physiol. Biochem. 2015, 41, 937–950. [Google Scholar] [CrossRef]
- Azaza, M.S.; Dhraïef, M.N.; Kraïem, M.M. Effects of water temperature on growth and sex ratio of juvenile Nile tilapia Oreochromis niloticus (Linnaeus) reared in geothermal waters in southern Tunisia. J. Therm. Biol. 2008, 33, 98–105. [Google Scholar] [CrossRef]
- Nobrega, R.O.; Banze, J.F.; Batista, R.O.; Fracalossi, D.M. Improving winter production of Nile tilapia: What can be done? Aquac. Rep. 2020, 18, 100453. [Google Scholar] [CrossRef]
- Lima de Almeida, C.A.; Lima de Almeida, C.K.; de Fátima Ferreira Martins, E.; Gomes, Â.M.; da Anunciação Pimentel, L.; Pereira, R.T.; Fortes-Silva, R. Effect of the dietary linoleic/α-linolenic ratio (n6/n3) on histopathological alterations caused by suboptimal temperature in tilapia (Oreochromis niloticus). J. Therm. Biol. 2019, 85, 102386. [Google Scholar] [CrossRef]
- Corrêa, C.F.; Nobrega, R.O.; Mattioni, B.; Block, J.M.; Fracalossi, D.M. Dietary lipid sources affect the performance of Nile tilapia at optimal and cold, suboptimal temperatures. Aquac. Nutr. 2017, 23, 1016–1026. [Google Scholar] [CrossRef]
- Nobrega, R.O.; Batista, R.O.; Corrêa, C.F.; Mattioni, B.; Filer, K.; Pettigrew, J.E.; Fracalossi, D.M. Dietary supplementation of Aurantiochytrium sp. meal, a docosahexaenoic-acid source, promotes growth of Nile tilapia at a suboptimal low temperature. Aquaculture 2019, 507, 500–509. [Google Scholar] [CrossRef]
- Abdel-Ghany, H.M.; El-Sayed, A.F.M.; Ezzat, A.A.; Essa, M.A.; Helal, A.M. Dietary lipid sources affect cold tolerance of Nile tilapia (Oreochromis niloticus). J. Therm. Biol. 2019, 79, 50–55. [Google Scholar] [CrossRef] [PubMed]
- Glencross, B.D. Exploring the nutritional demand for essential fatty acids by aquaculture species. Rev. Aquac. 2009, 1, 71–124. [Google Scholar] [CrossRef]
- Corrêa, C.F.; Nobrega, R.O.; Block, J.M.; Fracalossi, D.M. Mixes of plant oils as fish oil substitutes for Nile tilapia at optimal and cold suboptimal temperature. Aquaculture 2018, 497, 82–90. [Google Scholar] [CrossRef]
- FAO. The State of Fisheries and Aquaculture in the World 2018; FAO: Rome, Italy, 2018. [Google Scholar]
- Turchini, G.M.; Torstensen, B.E.; Ng, W.K. Fish oil replacement in finfish nutrition. Rev. Aquac. 2009, 1, 10–57. [Google Scholar] [CrossRef]
- Caballero, M.J.; Izquierdo, M.S.; Kjørsvik, E.; Fernández, A.J.; Rosenlund, G. Histological alterations in the liver of sea bream, Sparus aurata L., caused by short- or long-term feeding with vegetable oils. Recovery of normal morphology after feeding fish oil as the sole lipid source. J. Fish Dis. 2004, 27, 531–541. [Google Scholar] [CrossRef] [PubMed]
- Brignol, F.D.; Fernandes, V.A.G.; Nobrega, R.O.; Corrêa, C.F.; Filler, K.; Pettigrew, J.; Fracalossi, D.M. Aurantiochytrium sp. meal as DHA source in Nile tilapia diet, part II: Body fatty acid retention and muscle fatty acid profile. Aquac. Res. 2019, 50, 707–716. [Google Scholar] [CrossRef]
- Fernandes, V.A.G.; Brignol, F.D.; Filler, K.; Pettigrew, J.; Fracalossi, D.M. Aurantiochytrium sp. meal as DHA source in Nile tilapia diet, part I: Growth performance and body composition. Aquac. Res. 2019, 50, 390–399. [Google Scholar] [CrossRef]
- Furuya, W.M.; Furuya, V.R.B.; Nagae, M.Y.; Graciano, T.S.; Michelato, M.; Xavier, T.O.; Vidal, L.V. Nutrição de Tilápias no Brasil. Sci. Agrar. Parana. 2012, 11, 19–34. [Google Scholar] [CrossRef]
- NRC. Nutrient Requirements of Fish and Shrimp; National Academic Press (National Research Council): Washington, DC, USA, 2011. [Google Scholar]
- AOAC. Official Methods of Analysis, 16th ed.; Association of Official Analytical Chemists: Washington, DC, USA, 1999; Available online: http://www.sciepub.com/reference/180240 (accessed on 16 July 2021).
- Carroll, N.V.; Longley, W.; And Roe, J.H. The determination of glycogen in liver and muscle by use of anthrone reagent. J. Biol. Chem. 1956, 220, 583–593. [Google Scholar] [CrossRef]
- Brum, A.; Cardoso, L.; Chagas, E.C.; Chaves, F.C.M.; Mouriño, J.L.P.; Martins, M.L. Histological changes in Nile tilapia fed essential oils of clove basil and ginger after challenge with Streptococcus agalactiae. Aquaculture 2018, 490, 98–107. [Google Scholar] [CrossRef]
- Schwaiger, J.; Wanke, R.; Adam, S.; Pawert, M.; Hönnen, W.; Triebskorn, R. The use of histopathological indicators to evaluate contaminant-related stress in fish. J. Aquat. Ecosyst. Stress Recover. 1997, 6, 75–86. [Google Scholar] [CrossRef]
- Tonial, I.B.; Stevanato, F.B.; Matsushita, M.; De Souza, N.E.; Furuya, W.M.; Visentainer, J.V. Optimization of flaxseed oil feeding time length in adult Nile tilapia (Oreochromis niloticus) as a function of muscle omega-3 fatty acids composition. Aquac. Nutr. 2009, 15, 564–568. [Google Scholar] [CrossRef]
- Qiu, H.; Jin, M.; Li, Y.; Lu, Y.; Hou, Y.; Zhou, Q. Dietary lipid sources influence fatty acid composition in tissue of large yellow croaker (Larmichthys crocea) by regulating triacylglycerol synthesis and catabolism at the transcriptional level. PLoS ONE 2017, 12, e0169985. [Google Scholar] [CrossRef] [PubMed]
- Chen, C.; Guan, W.; Xie, Q.; Chen, G.; He, X.; Zhang, H.; Guo, W.; Chen, F.; Tan, Y.; Pan, Q. n-3 essential fatty acids in Nile tilapia, Oreochromis niloticus: Bioconverting LNA to DHA is relatively efficient and the LC-PUFA biosynthetic pathway is substrate limited in juvenile fish. Aquaculture 2018, 495, 513–522. [Google Scholar] [CrossRef]
- Liu, C.; Ge, J.; Zhou, Y.; Thirumurugan, R.; Gao, Q.; Dong, S. Effects of decreasing temperature on phospholipid fatty acid composition of different tissues and hematology in Atlantic salmon (Salmo salar). Aquaculture 2020, 515, 734587. [Google Scholar] [CrossRef]
- Mufatto, L.M.; Nobrega, R.O.; Menoyo, D.; Fracalossi, D.M. Dietary ratios of n-3/n-6 fatty acids do not affect growth of Nile tilapia at optimal temperatures (28°C) nor at temperatures that simulate the onset of winter (22°C). Aquac. Nutr. 2019, 25, 646–661. [Google Scholar] [CrossRef]
- Khripach, V.A.; Zhabinskii, V.N.; de Groot, A.E. Biosynthesis and Metabolism; Elsevier Inc.: Amsterdam, The Netherlands, 1999; ISBN 9780128112304. [Google Scholar]
- Oboh, A.; Kabeya, N.; Carmona-Antoñanzas, G.; Castro, L.F.C.; Dick, J.R.; Tocher, D.R.; Monroig, O. Two alternative pathways for docosahexaenoic acid (DHA, 22:6n-3) biosynthesis are widespread among teleost fish. Sci. Rep. 2017, 7, 1–10. [Google Scholar] [CrossRef]
- Kiessling, K.H.; Kiessling, A. Selective utilization of fatty acids in rainbow trout (Oncorhynchus mykiss Walbaum) red muscle mitochondria. Can. J. Zoo. 1993, 71, 248–251. [Google Scholar] [CrossRef]
- Salini, M.J.; Turchini, G.M.; Glencross, B.D. Effect of dietary saturated and monounsaturated fatty acids in juvenile barramundi Lates calcarifer. Aquac. Nutr. 2017, 23, 264–275. [Google Scholar] [CrossRef]
- Glencross, B.D.; Hawkins, W.E.; Curnow, J.G. Restoration of the fatty acid composition of red seabream (Pagrus auratus) using a fish oil finishing diet after grow-out on plant oil based diets. Aquac. Nutr. 2003, 9, 409–418. [Google Scholar] [CrossRef]
- Betancor, M.B.; Howarth, F.J.E.; Glencross, B.D.; Tocher, D.R. Influence of dietary docosahexaenoic acid in combination with other long-chain polyunsaturated fatty acids on expression of biosynthesis genes and phospholipid fatty acid compositions in tissues of post-smolt Atlantic salmon (Salmo salar). Comp. Biochem. Physiol. Part B Biochem. Mol. Biol. 2014, 172–173, 74–89. [Google Scholar] [CrossRef] [Green Version]
- Henderson, R.J. Fatty acid metabolism in freshwater fish with particular reference to polyunsaturated fatty acids. Arch. Anim. Nutr. 1996, 49, 5–22. [Google Scholar] [CrossRef] [PubMed]
- Duplus, E.; Glorian, M.; Forest, C. Fatty acid regulation of gene transcription. J. Biol. Chem. 2000, 275, 30749–30752. [Google Scholar] [CrossRef] [PubMed] [Green Version]
- Shikata, T.; Iwanaga, S.; Shimeno, S. Metabolic Response of Acclimation Temperature in Carp. Fish. Sci. 1995, 61, 512–516. [Google Scholar] [CrossRef] [Green Version]
- Menoyo, D.; Izquierdo, M.S.; Robaina, L.; Ginés, R.; Lopez-Bote, C.J.; Bautista, J.M. Adaptation of lipid metabolism, tissue composition and flesh quality in gilthead sea bream (Sparus aurata) to the replacement of dietary fish oil by linseed and soyabean oils. Br. J. Nutr. 2004, 92, 41–52. [Google Scholar] [CrossRef] [Green Version]
- Alvarez, M.J.; Díez, A.; López-Bote, C.; Gallego, M.; Bautista, J.M. Short-term modulation of lipogenesis by macronutrients in rainbow trout (Oncorhynchus mykiss) hepatocytes. Br. J. Nutr. 2000, 84, 619–628. [Google Scholar] [CrossRef] [PubMed] [Green Version]
- Regost, C.; Arzel, J.; Robin, J.; Rosenlund, G.; Kaushik, S.J. Total replacement of fish oil by soybean or linseed oil with a return to fish oil in turbot (Psetta maxima) 1. Growth performance, flesh fatty acid profile, and lipid metabolism. Aquaculture 2003, 217, 465–482. [Google Scholar] [CrossRef] [Green Version]
- Ferreira, P.M.F.; Caldas, D.W.; Salaro, A.L.; Sartori, S.S.R.; Oliveira, J.M.; Cardoso, A.J.S.; Zuanon, J.A.S. Intestinal and liver morphometry of the Yellow Tail Tetra (Astyanax altiparanae) fed with oregano oil. An. Acad. Bras. Cienc. 2016, 88, 911–922. [Google Scholar] [CrossRef] [PubMed] [Green Version]
- Durkin, L.A.; Childs, C.E.; Calder, P.C. Omega-3 polyunsaturated fatty acids and the intestinal epithelium—A review. Foods 2021, 10, 99. [Google Scholar] [CrossRef] [PubMed]
- Xiao, F.; Xing, J.; Li, H.; Xu, X.; Hu, Z.; Ji, H. Effects of the defatted Schizochytrium sp. on growth performance, fatty acid composition, histomorphology and antioxidant status of juvenile mirror carp (Cyprinus carpio var. specularis). Aquac. Res. 2021, 52, 3062–3076. [Google Scholar] [CrossRef]
- Shah, M.R.; Lutzu, G.A.; Alam, A.; Sarker, P.; Kabir Chowdhury, M.A.; Parsaeimehr, A.; Liang, Y.; Daroch, M. Microalgae in aquafeeds for a sustainable aquaculture industry. J. Appl. Phycol. 2018, 30, 197–213. [Google Scholar] [CrossRef]
- Gupta, A.; Barrow, C.J.; Puri, M. Omega-3 biotechnology: Thraustochytrids as a novel source of omega-3 oils. Biotechnol. Adv. 2012, 30, 1733–1745. [Google Scholar] [CrossRef]
- Kousoulaki, K.; Østbye, T.K.K.; Krasnov, A.; Torgersen, J.S.; Mørkøre, T.; Sweetman, J. Metabolism, health and fillet nutritional quality in Atlantic salmon (Salmo salar) fed diets containing n-3-rich microalgae. J. Nutr. Sci. 2015, 4, 1–13. [Google Scholar] [CrossRef] [Green Version]
- Subramanian, S.; MacKinnon, S.L.; Ross, N.W. A comparative study on innate immune parameters in the epidermal mucus of various fish species. Comp. Biochem. Physiol. B Biochem. Mol. Biol. 2007, 148, 256–263. [Google Scholar] [CrossRef]
- You, C.; Chen, B.; Zhang, M.; Shao, Y.; Wang, S.; Chen, C.; Lin, L.; Huang, Y.; Zhou, M.; Dong, Y.; et al. Evaluation of different dietary n-3 lc-pufa on the growth, intestinal health and microbiota profile of golden pompano (Trachinotus ovatus). Aquac. Nutr. 2021, 27, 953–965. [Google Scholar] [CrossRef]
- Maranduba, C.M.D.C.; De Castro, S.B.R.; De Souza, G.T.; Rossato, C.; Da Guia, F.C.; Valente, M.A.S.; Rettore, J.V.P.; Maranduba, C.P.; De Souza, C.M.; Do Carmo, A.M.R.; et al. Intestinal microbiota as modulators of the immune system and neuroimmune system: Impact on the host health and homeostasis. J. Immunol. Res. 2015, 2015, 931574. [Google Scholar] [CrossRef]
- Ruyter, B.; Moya-Falcón, C.; Rosenlund, G.; Vegusdal, A. Fat content and morphology of liver and intestine of Atlantic salmon (Salmo salar): Effects of temperature and dietary soybean oil. Aquaculture 2006, 252, 441–452. [Google Scholar] [CrossRef]
- Bibbo, M.; Wilbur, D. Comprehensive Cytopathology; Elsevier: Amsterdam, The Netherlands, 2008. [Google Scholar]
- Brraich, O.S.; Kaur, M. Histopathological alterations in the kidneys of Labeo rohita due to lead toxicity. J. Environ. Biol. 2017, 38, 257–262. [Google Scholar] [CrossRef]
- Li, L.; Xie, P.; Guo, L.; Ke, Z.; Zhou, Q.; Liu, Y.; Qiu, T. Field and laboratory studies on pathological and biochemical characterization of microcystin-induced liver and kidney damage in the phytoplanktivorous bighead carp. Sci. World J. 2008, 8, 121–137. [Google Scholar] [CrossRef] [Green Version]
- Råbergh, C.M.I.; Bylund, G.; Eriksson, J.E. Histopathological effects of microcystin-LR, a cyclic peptide toxin from the cyanobacterium (blue-green alga) Microcystis aeruginosa on common carp (Cyprinus carpio L.). Aquat. Toxicol. 1991, 20, 131–145. [Google Scholar] [CrossRef]
- Ibarz, A.; Padrós, F.; Gallardo, M.Á.; Fernández-Borràs, J.; Blasco, J.; Tort, L. Low-temperature challenges to gilthead sea bream culture: Review of cold-induced alterations and “Winter Syndrome”. Rev. Fish Biol. Fish. 2010, 20, 539–556. [Google Scholar] [CrossRef]
- Ghasemi Fard, S.; Wang, F.; Sinclair, A.J.; Elliott, G.; Turchini, G.M. How does high DHA fish oil affect health? A systematic review of evidence. Crit. Rev. Food Sci. Nutr. 2019, 59, 1684–1727. [Google Scholar] [CrossRef] [PubMed] [Green Version]



| Diets | ||||||
|---|---|---|---|---|---|---|
| 0AM | 5AM | 10AM | 20AM | 40AM | CLO | |
| Ingredient a, g kg−1 dry diet | ||||||
| Soybean meal | 473.8 | 471.6 | 472.0 | 469.9 | 465.9 | 477.4 |
| Corn | 321.7 | 320.0 | 316.0 | 315.6 | 305.0 | 314.1 |
| Poultry by-product meal | 157.2 | 157.2 | 157.2 | 157.2 | 157.2 | 157.2 |
| Vitamin and mineral premix b | 28.3 | 28.3 | 28.3 | 28.3 | 28.3 | 28.3 |
| Swine lard | 19.0 | 17.9 | 16.5 | 9.0 | - | - |
| Corn oil | - | - | - | - | 3.60 | 3.00 |
| ALL-G-RICH™ | - | 5.0 | 10.0 | 20.0 | 40.0 | - |
| Cod liver oil | - | - | - | - | - | 20.0 |
| Composition, g 100 g−1 dry weight | ||||||
| Gross energy, kcal kg−1 | 4168 | 4251 | 4216 | 4257 | 4297 | 4168 |
| Dry matter | 89.47 | 90.32 | 89.22 | 89.74 | 90.66 | 90.32 |
| Crude protein | 36.40 | 36.30 | 36.08 | 35.93 | 35.85 | 36.20 |
| Lipid | 8.64 | 8.93 | 8.99 | 9.13 | 9.90 | 9.20 |
| Ash | 7.11 | 7.17 | 7.18 | 7.20 | 7.61 | 7.20 |
| 16:0 PAL c | 1.55 | 1.63 | 1.77 | 2.03 | 2.43 | 1.16 |
| 18:1 n-9 OLA | 2.56 | 2.31 | 1.93 | 1.89 | 1.49 | 1.89 |
| 18:2 n-6 LOA | 1.92 | 1.81 | 1.75 | 1.76 | 1.71 | 1.81 |
| 20:4 n-6 ARA | ND e | ND | ND | ND | ND | 0.05 |
| 18:3 n-3 α-LNA | 0.04 | 0.03 | 0.03 | 0.02 | 0.02 | 0.23 |
| 20:5 n-3 EPA | ND | ND | ND | 0.01 | 0.02 | 0.17 |
| 22:5 n-3 DPA | ND | ND | ND | 0.01 | 0.02 | 0.04 |
| 22:6 n-3 DHA | ND | 0.09 | 0.20 | 0.38 | 0.75 | 0.23 |
| Σ SFA d | 2.14 | 2.17 | 2.24 | 2.57 | 2.98 | 1.29 |
| Σ MUFA | 3.02 | 2.72 | 2.28 | 2.26 | 1.80 | 2.65 |
| Σ PUFA | 1.98 | 2.00 | 2.04 | 2.37 | 2.70 | 2.79 |
| Σ PUFA n-6 | 1.94 | 1.86 | 1.83 | 1.89 | 1.87 | 1.89 |
| Σ LC-PUFA n-6 | 0.02 | 0.06 | 0.08 | 0.13 | 0.16 | 0.08 |
| Σ PUFA n-3 | 0.04 | 0.13 | 0.21 | 0.47 | 0.84 | 0.83 |
| Σ LC-PUFA n-3 | ND | 0.09 | 0.20 | 0.45 | 0.82 | 0.54 |
| n-3:n-6 | 0.02 | 0.07 | 0.12 | 0.25 | 0.45 | 0.44 |
| Fatty Acids g 100 g−1 Dry Weight | Initial Fish | Diets | Pooled SEM 2 | p Value 3 | ||||
|---|---|---|---|---|---|---|---|---|
| 0AM | 5AM | 10AM | 20AM | 40AM | ||||
| 16:0 PAL | 0.52 | 2.09 | 2.22 | 2.02 | 2.09 | 2.02 | 0.18 | NS 4 |
| 18:2 n-6 LOA | 0.20 | 1.08 | 1.15 | 1.10 | 1.15 | 1.14 | 0.10 | NS |
| 20:4 n-6 ARA | 0.03 | 0.11 | 0.09 | 0.08 | 0.08 | 0.07 | 0.01 | <0.001 |
| 22:4 n-6 ADA | ND 5 | 0.13 | 0.10 | 0.10 | 0.10 | 0.11 | 0.02 | NS |
| 18:3 n-3 α-LNA | 0.01 | 0.05 | 0.06 | 0.06 | 0.06 | 0.06 | 0.01 | NS |
| 20:5 n-3 EPA | ND | ND | ND | ND | 0.04 | 0.04 | 0.01 | <0.001 |
| 22:5 n-3 DPA | ND | ND | ND | ND | 0.03 | 0.03 | 0.00 | <0.001 |
| 22:6 n-3 DHA | 0.02 | 0.04 | 0.09 | 0.11 | 0.23 | 0.41 | 0.02 | <0.001 |
| Σ SFA 6 | 0.78 | 3.05 | 3.21 | 2.89 | 2.78 | 2.50 | 0.26 | 0.007 |
| Σ MUFA | 0.88 | 4.31 | 4.39 | 4.08 | 4.02 | 3.67 | 0.36 | <0.001 |
| Σ PUFA | 0.27 | 1.84 | 1.87 | 1.80 | 2.02 | 2.16 | 0.16 | <0.001 |
| Σ PUFA n-6 | 0.25 | 1.83 | 1.79 | 1.63 | 1.60 | 1.55 | 0.14 | <0.001 |
| Σ LC-PUFA n-6 | 0.03 | 0.35 | 0.30 | 0.29 | 0.28 | 0.27 | 0.03 | <0.001 |
| Σ PUFA n-3 | 0.04 | 0.15 | 0.20 | 0.22 | 0.40 | 0.60 | 0.03 | <0.001 |
| Σ LC-PUFA n-3 | 0.03 | 0.04 | 0.09 | 0.11 | 0.30 | 0.48 | 0.02 | <0.001 |
| n-3:n-6 | 0.18 | 0.10 | 0.12 | 0.14 | 0.24 | 0.32 | 0.01 | <0.001 |
| Fatty Acids g 100 g−1 Dry Weight | Diets | p Value | |
|---|---|---|---|
| 10AM | CLO | ||
| 16:0 PAL | 2.02 ± 0.14 | 1.72 ± 0.18 | 0.037 |
| 18:2 n-6 LOA | 1.10 ± 0.08 | 1.01 ± 0.07 | NS 3 |
| 20:4 n-6 ARA | 0.08 ± 0.00 | 0.08 ± 0.01 | NS |
| 18:3 n-3 α-LNA | 0.06 ± 0.01 | 0.08 ± 0.01 | <0.001 |
| 20:5 n-3 EPA | ND 4 | 0.06 ± 0.01 | - |
| 22:5 n-3 DPA | ND | 0.05 ± 0.00 | - |
| 22:6 n-3 DHA | 0.11 ± 0.01 | 0.18 ± 0.01 | <0.001 |
| Σ SFA 5 | 2.89 ± 0.21 | 2.54 ± 0.26 | NS |
| Σ MUFA | 4.08 ± 0.33 | 3.76 ± 0.34 | NS |
| Σ PUFA | 1.80 ± 0.13 | 1.83 ± 0.12 | NS |
| Σ PUFA n-6 | 1.55 ± 0.11 | 1.46 ± 0.10 | NS |
| Σ LC-PUFA n-6 | 0.29 ± 0.02 | 0.23 ± 0.02 | <0.001 |
| Σ PUFA n-3 | 0.22 ± 0.02 | 0.42 ± 0.03 | <0.001 |
| Σ LC-PUFA n-3 | 0.11 ± 0.01 | 0.29 ± 0.02 | 0.008 |
| n-3:n-6 | 0.14 ± 0.00 | 0.29 ± 0.10 | <0.001 |
| ARR, % | Diets | Pooled SEM 2 | p Value ³ | ||||
|---|---|---|---|---|---|---|---|
| 0AM | 5AM | 10AM | 20AM | 40AM | |||
| 18:2 n-6 LOA | 38.52 | 38.29 | 37.72 | 36.02 | 36.21 | 1.83 | NS 4 |
| 18:3 n-3 α-LNA | 102.60 | 107.21 | 116.81 | 138.67 | 174.98 | 7.20 | <0.001 |
| 22:6 n-3 DHA | - | 57.96 | 34.41 | 32.75 | 29.59 | 2.09 | <0.001 |
| Σ PUFA 5 n-6 | 54.19 | 49.01 | 47.30 | 42.97 | 41.25 | 2.27 | 0.004 |
| Σ PUFA n-3 | 277.15 | 95.85 | 58.11 | 46.49 | 38.48 | 4.44 | <0.001 |
| ARR, % | Diets | p Value 3 | |
|---|---|---|---|
| 10AM | CLO | ||
| 18:2 n-6 LOA | 37.72 ± 5.74 | 32.49 ± 1.84 | NS 4 |
| 18:3 n-3 α-LNA | 116.81 ± 19.64 | 17.47 ± 0.65 | 0.008 |
| 22:6 n-3 DHA | 34.41 ± 5.59 | 44.52 ± 2.68 | 0.007 |
| Σ PUFA 4 n-6 | 47.30 ± 6.90 | 39.32 ± 1.83 | 0.032 |
| Σ PUFA n-3 | 58.11 ± 9.18 | 287.86 ± 41.73 | <0.001 |
| Fatty Acids g 100 g−1 Dry Weight | Diets | Pooled SEM 2 | p Value 3 | ||||
|---|---|---|---|---|---|---|---|
| 0AM | 5AM | 10AM | 20AM | 40AM | |||
| Total lipid | 30.69 | 28.88 | 27.44 | 24.43 | 23.65 | 6.30 | 0.024 |
| 16:0 PAL | 4.11 | 4.00 | 4.42 | 3.57 | 3.44 | 1.30 | NS 4 |
| 18:2 n-6 LOA | 0.72 | 1.03 | 0.99 | 0.85 | 1.02 | 0.37 | NS |
| 20:4 n-6 ARA | 0.50 | 0.51 | 0.50 | 0.46 | 0.38 | 0.09 | 0.002 |
| 22:4 n-6 ADA | 0.83 | 0.72 | 0.64 | 0.51 | 0.43 | 0.15 | <0.001 |
| 18:3 n-3 α-LNA | 0.47 | 0.67 | 0.75 | 0.47 | 0.46 | 0.24 | NS |
| 20:5 n-3 EPA | 0.09 | 0.08 | 0.08 | 0.07 | 0.06 | 0.02 | 0.008 |
| 22:6 n-3 DHA | 0.15 | 0.40 | 0.56 | 0.80 | 1.05 | 0.08 | <0.001 |
| Σ SFA 5 | 7.89 | 8.29 | 8.55 | 7.17 | 6.82 | 2.04 | NS |
| Σ MUFA | 8.21 | 8.39 | 9.36 | 7.28 | 7.06 | 2.87 | NS |
| Σ PUFA | 3.25 | 4.28 | 4.01 | 3.57 | 3.94 | 0.90 | NS |
| Σ PUFA n-6 | 2.40 | 2.93 | 2.47 | 2.12 | 2.09 | 0.66 | NS |
| Σ LC-PUFA n-6 | 1.61 | 1.91 | 1.48 | 1.27 | 1.07 | 0.33 | <0.001 |
| Σ PUFA n-3 | 0.85 | 1.35 | 1.54 | 1.45 | 1.70 | 0.32 | <0.001 |
| Σ LC-PUFA n-3 | 0.26 | 0.48 | 0.64 | 0.87 | 1.13 | 0.09 | <0.001 |
| n-3:n-6 | 0.36 | 0.46 | 0.62 | 0.69 | 0.82 | 0.11 | <0.001 |
| Fatty Acids g 100 g−1 Dry Weight | Diets | p Value | |
|---|---|---|---|
| 10AM | CLO | ||
| Total lipid | 27.44 ± 3.5 | 22.70 ± 1.72 | 0.026 |
| 16:0 PAL | 4.42 ± 1.09 | 3.08 ± 0.22 | 0.032 |
| 18:2 n-6 LOA | 0.99 ± 0.25 | 0.73 ± 0.05 | NS 3 |
| 20:4 n-6 ARA | 0.50 ± 0.02 | 0.48 ± 0.10 | NS |
| 22:4 n-6 ADA | 0.64 ± 0.08 | 0.32 ± 0.03 | <0.001 |
| 18:3 n-3 α-LNA | 0.75 ± 0.33 | 0.48 ± 0.09 | NS |
| 20:5 n-3 EPA | 0.08 ± 0.0 | 0.08 ± 0.01 | NS |
| 22:6 n-3 DHA | 0.56 ± 0.05 | 0.84 ± 0.04 | <0.001 |
| Σ SFA 4 | 8.55 ± 1.89 | 6.33 ± 0.38 | 0.033 |
| Σ MUFA | 9.36 ± 2.47 | 6.45 ± 0.66 | 0.034 |
| Σ PUFA | 4.01 ± 0.65 | 3.63 ± 0.29 | NS |
| Σ PUFA n-6 | 2.47 ± 0.38 | 1.65 ± 0.11 | NS |
| Σ LC-PUFA n-6 | 1.48 ± 0.07 | 1.03 ± 0.06 | 0.008 |
| Σ PUFA n-3 | 1.54 ± 0.40 | 1.90 ± 0.16 | 0.017 |
| Σ LC-PUFA n-3 | 0.64 ± 0.19 | 1.17 ± 0.14 | 0.008 |
| n-3:n-6 | 0.62 ± 0.13 | 0.87 ± 0.03 | 0.008 |
| Variables | Diets | Pooled SEM 2 | p Value 3 | ||||
|---|---|---|---|---|---|---|---|
| 0AM | 5AM | 10AM | 20AM | 40AM | |||
| Viscerosomatic index | 11.76 | 11.93 | 12.10 | 12.08 | 12.26 | 0.93 | NS 4 |
| Hepatosomatic index | 2.73 | 2.95 | 2.85 | 2.76 | 2.70 | 0.48 | NS |
| Hepatic glycogen | 5.43 | 4.88 | 6.17 | 5.63 | 5.57 | 1.31 | NS |
| Intestinal morphometry | |||||||
| Number of folds | 39.56 | 39.50 | 46.67 | 45.33 | 46.22 | 5.26 | 0.019 |
| Fold height, µm | 420.5 | 479.0 | 449.5 | 404.1 | 392.0 | 81.50 | NS |
| Fold width, µm | 113.2 | 119.3 | 114.3 | 110.7 | 118.6 | 22.10 | NS |
| Number of goblet cells | 362.9 | 379.6 | 428.0 | 472.0 | 324.0 | 251.90 | 0.047 |
| Variables | Diets | p Value | |
|---|---|---|---|
| 10AM | CLO | ||
| Viscerosomatic index | 12.10 ± 0.49 | 11.41 ± 0.71 | NS 3 |
| Hepatosomatic index | 2.85 ± 0.35 | 2.93 ± 0.20 | NS |
| Hepatic glycogen | 6.17 ± 0.66 | 5.58 ± 0.82 | NS |
| Intestinal morphometry | |||
| Number of folds | 45.60 ± 1.60 | 41.60 ± 1.60 | NS |
| Fold height, µm | 449.56 ± 20.29 | 440.81 ± 17.58 | NS |
| Fold width, µm | 114.38 ± 4.30 | 120.04 ± 5.86 | NS |
| Number of goblet cells | 428.00 ± 97.43 | 400.36 ± 273.50 | NS |
| Variable | Diets | p Value 2 | |||||
|---|---|---|---|---|---|---|---|
| 0AM | 5AM | 10AM | 20AM | 40AM | CLO | ||
| Cell size variation | 1.83 ± 0.69 a | 1.00 ± 0.49 ab | 0.92 ± 0.41 ab | 1.08 ± 0.76 ab | 0.45 ± 0.66 b | 1.10 ± 0.30 ab | 0.0001 |
| Hypotrophy of hepatocyte nucleus | 1.00 ± 0.0 a | 0.08 ± 0.28 b | 0.00 ± 0.0 b | 0.00 ± 0.0 b | 0.00 ± 0.0 b | 0.00 ± 0.0 b | <0.0001 |
| Macrosteatosis | 1.50 ±1.16 a | 0.92 ± 0.9 ab | 1.08 ± 0.7 ab | 0.42 ± 0.67 b | 0.36 ± 0.82 b | 0.54 ± 0.82 b | 0.0288 |
| Microsteatosis | 0.83 ± 0.85 a | 0.00 ± 0.0 b | 0.00 ± 0.0 b | 0.00 ± 0.0 b | 0.00 ± 0.0 b | 0.00 ± 0.0 b | <0.0001 |
| Necrosis | 1.92 ± 0.28 a | 1.75 ± 0.74 ab | 1.58 ± 0.67 ab | 1.33 ± 0.65 ab | 1.18 ± 0.60 b | 1.45 ± 0.68 ab | 0.0376 |
| Nuclei with karyolysis | 1.58 ± 0.51 ab | 1.17 ± 0.39 b | 1.92 ± 0.67 a | 1.92 ± 0.29 a | 1.81 ± 0.60 ab | 1.81 ± 0.60 ab | 0.0066 |
| Nuclei with karyorrhexis | 1.58 ± 0.51 bc | 1.41 ± 0.51 c | 1.83 ± 0.58 abc | 1.92 ± 0.29 ab | 2.09 ± 0.54 a | 1.82 ± 0.60 abc | 0.0419 |
| Loss of hepatocyte nucleus | 0.92 ± 0.29 a | 0.25 ± 0.45 b | 0.17 ± 0.58 b | 0.25 ± 0.62 b | 0.00 ± 0.00 b | 0.27 ± 0.65 b | <0.0001 |
| Loss of nucleus in pancreatic acini | 0.00 ± 0.00 b | 0.58 ± 0.67 a | 0.25 ± 0.45 a | 0.00 ± 0.0 b | 0.00 ± 0.00 b | 0.00 ± 0.00 b | 0.015 |
| Macrophage with bilirubin | 0.00 ± 0.00 b | 0.00 ± 0.0 b | 0.00 ± 0.00 b | 0.00 ± 0.00 b | 0.00 ± 0.00 b | 0.55 ± 0.52 a | <0.0001 |
Publisher’s Note: MDPI stays neutral with regard to jurisdictional claims in published maps and institutional affiliations. |
© 2021 by the authors. Licensee MDPI, Basel, Switzerland. This article is an open access article distributed under the terms and conditions of the Creative Commons Attribution (CC BY) license (https://creativecommons.org/licenses/by/4.0/).
Share and Cite
Batista, R.O.; Nobrega, R.O.; Schleder, D.D.; Pettigrew, J.E.; Fracalossi, D.M. Aurantiochytrium sp. Meal Improved Body Fatty Acid Profile and Morphophysiology in Nile Tilapia Reared at Low Temperature. Fishes 2021, 6, 45. https://doi.org/10.3390/fishes6040045
Batista RO, Nobrega RO, Schleder DD, Pettigrew JE, Fracalossi DM. Aurantiochytrium sp. Meal Improved Body Fatty Acid Profile and Morphophysiology in Nile Tilapia Reared at Low Temperature. Fishes. 2021; 6(4):45. https://doi.org/10.3390/fishes6040045
Chicago/Turabian StyleBatista, Rosana Oliveira, Renata Oselame Nobrega, Delano Dias Schleder, James Eugene Pettigrew, and Débora Machado Fracalossi. 2021. "Aurantiochytrium sp. Meal Improved Body Fatty Acid Profile and Morphophysiology in Nile Tilapia Reared at Low Temperature" Fishes 6, no. 4: 45. https://doi.org/10.3390/fishes6040045
APA StyleBatista, R. O., Nobrega, R. O., Schleder, D. D., Pettigrew, J. E., & Fracalossi, D. M. (2021). Aurantiochytrium sp. Meal Improved Body Fatty Acid Profile and Morphophysiology in Nile Tilapia Reared at Low Temperature. Fishes, 6(4), 45. https://doi.org/10.3390/fishes6040045

