Hydrolase Activities of Sourdough Microorganisms
Abstract
1. Introduction
2. Materials and Methods
2.1. Materials
2.2. Microorganisms
2.2.1. Probiotics Strains
2.2.2. Isolation of Bacteria and Yeasts from Sourdough
2.3. Microorganisms Identification
2.3.1. Matrix-Assisted Laser Desorption-Ionization Time-of-Flight Mass Spectrometry (MALDI-TOF)
2.3.2. 16S rDNA Identification
2.4. Hydrolases Detection
2.4.1. Detection of Amylase, Cellulase, and Peptidase Activity on Agar Plates
2.4.2. Quantitative Assay for Amylase, Cellulase, and Peptidase
2.4.3. Analysis of Gluten and Wheat Flour Protein Hydrolysis by Peptidases
2.5. Analysis of Leavening Effect of Yeasts Using White Wheat Flour
2.6. Electrophoretic Analyses
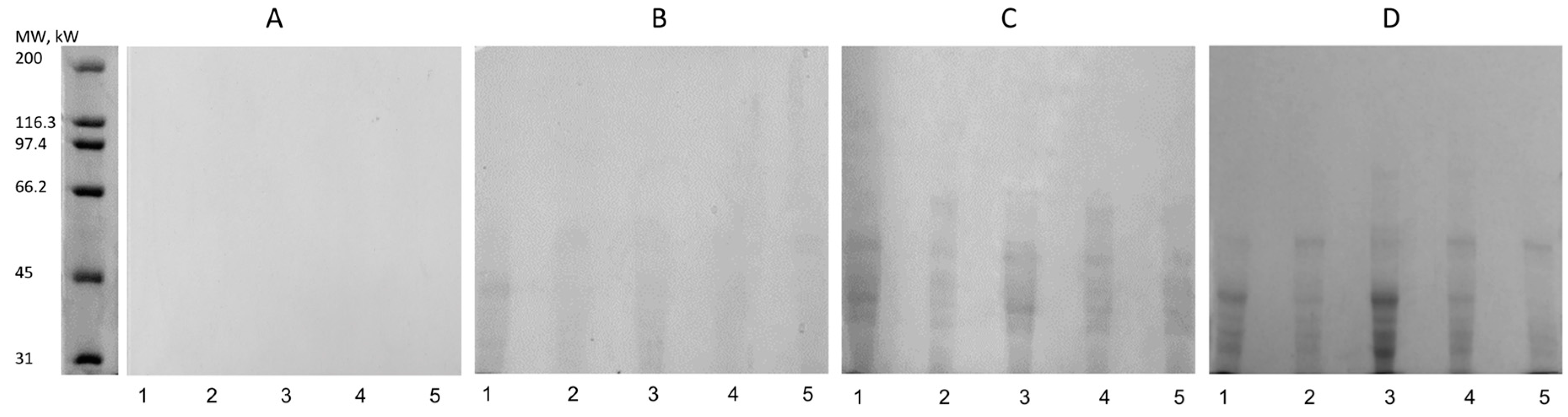
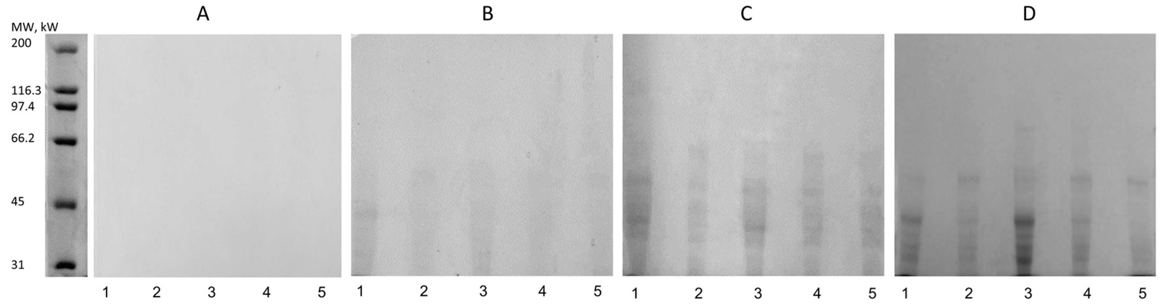
Gluten Zymography and Enzymography
2.7. Statistical Analysis
3. Results and Discussion
3.1. Microorganisms Identification
3.2. Qualitative and Quantitative Hydrolases Analysis
3.3. Leavening Effect of Yeasts
3.4. Enzymography and Zymography
4. Conclusions
Author Contributions
Funding
Institutional Review Board Statement
Informed Consent Statement
Data Availability Statement
Acknowledgments
Conflicts of Interest
References
- Di Cagno, R.; De Angelis, M.; Corsetti, A.; Lavermicocca, P.; Arnault, P.; Tossut, P.; Gallo, G.; Gobbetti, M. Interactions between Sourdough Lactic Acid Bacteria and Exogenous Enzymes: Effects on the Microbial Kinetics of Acidification and Dough Textural Properties. Food Microbiol. 2003, 20, 67–75. [Google Scholar] [CrossRef]
- Rashmi, B.S.; Gayathri, D.; Vasudha, M.; Prashantkumar, C.S.; Swamy, C.T.; Sunil, K.S.; Somaraja, P.K.; Prakash, P. Gluten Hydrolyzing Activity of Bacillus spp. Isolated from Sourdough. Microb. Cell Factories 2020, 19, 130. [Google Scholar] [CrossRef]
- Wieser, H. Chemistry of Gluten Proteins. Food Microbiol. 2007, 24, 115–119. [Google Scholar] [CrossRef]
- Abedi, E.; Pourmohammadi, K. The Effect of Redox Agents on Conformation and Structure Characterization of Gluten Protein: An Extensive Review. Food Sci. Nutr. 2020, 8, 6301–6319. [Google Scholar] [CrossRef]
- D’Ovidio, R.; Masci, S. The Low-Molecular-Weight Glutenin Subunits of Wheat Gluten. J. Cereal Sci. 2004, 39, 321–339. [Google Scholar] [CrossRef]
- Thiele, C.; Gänzle, M.G.; Vogel, R.F. Contribution of Sourdough Lactobacilli, Yeast, and Cereal Enzymes to the Generation of Amino Acids in Dough Relevant for Bread Flavor. Cereal Chem. J. 2002, 79, 45–51. [Google Scholar] [CrossRef]
- Bonilla, J.C.; Erturk, M.Y.; Kokini, J.L. Understanding the Role of Gluten Subunits (LMW, HMW Glutenins and Gliadin) in the Networking Behavior of a Weak Soft Wheat Dough and a Strong Semolina Wheat Flour Dough and the Relationship with Linear and Non-Linear Rheology. Food Hydrocoll. 2020, 108, 106002. [Google Scholar] [CrossRef]
- Wieser, H.; Koehler, P.; Scherf, K.A. Chemistry of Wheat Gluten Proteins: Quantitative Composition. Cereal Chem. 2023, 100, 36–55. [Google Scholar] [CrossRef]
- Fu, W.; Jia, X.; Liu, C.; Meng, X.; Zhang, K.; Tao, S.; Xue, W. Sourdough Yeast-Bacteria Interactions Results in Reduced Immunogenicity by Increasing Depolymerization and Hydrolysis of Gluten. Innov. Food Sci. Emerg. Technol. 2023, 84, 103281. [Google Scholar] [CrossRef]
- Gänzle, M.G.; Loponen, J.; Gobbetti, M. Proteolysis in Sourdough Fermentations: Mechanisms and Potential for Improved Bread Quality. Trends Food Sci. Technol. 2008, 19, 513–521. [Google Scholar] [CrossRef]
- Fu, W.; Chen, C.; Liu, C.; Tao, S.; Xue, W. Changes in Wheat Protein Digestibility and Allergenicity: Role of Pediococcus acidilactici XZ31 and Yeast during Dough Fermentation. Food Sci. Hum. Wellness 2023, 12, 2381–2389. [Google Scholar] [CrossRef]
- Huang, X.; Schuppan, D.; Rojas Tovar, L.E.; Zevallos, V.F.; Loponen, J.; Gänzle, M. Sourdough Fermentation Degrades Wheat Alpha-Amylase/Trypsin Inhibitor (ATI) and Reduces Pro-Inflammatory Activity. Foods 2020, 9, 943. [Google Scholar] [CrossRef]
- Gänzle, M.G. Enzymatic and Bacterial Conversions during Sourdough Fermentation. Food Microbiol. 2014, 37, 2–10. [Google Scholar] [CrossRef]
- Chen, Y.; Eder, S.; Schubert, S.; Gorgerat, S.; Boschet, E.; Baltensperger, L.; Boschet, E.; Städeli, C.; Kuster, S.; Fischer, P.; et al. Influence of Amylase Addition on Bread Quality and Bread Staling. ACS Food Sci. Technol. 2021, 1, 1143–1150. [Google Scholar] [CrossRef]
- Maicas, S. The Role of Yeasts in Fermentation Processes. Microorganisms 2020, 8, 1142. [Google Scholar] [CrossRef]
- Ayivi, R.D.; Gyawali, R.; Krastanov, A.; Aljaloud, S.O.; Worku, M.; Tahergorabi, R.; Silva, R.C.D.; Ibrahim, S.A. Lactic Acid Bacteria: Food Safety and Human Health Applications. Dairy 2020, 1, 202–232. [Google Scholar] [CrossRef]
- Liu, W.; Brennan, M.A.; Serventi, L.; Brennan, C.S. Effect of Cellulase, Xylanase and α-Amylase Combinations on the Rheological Properties of Chinese Steamed Bread Dough Enriched in Wheat Bran. Food Chem. 2017, 234, 93–102. [Google Scholar] [CrossRef]
- Liu, W.; Brennan, M.; Tu, D.; Brennan, C. Influence of α-Amylase, Xylanase and Cellulase on the Rheological Properties of Bread Dough Enriched with Oat Bran. Sci. Rep. 2023, 13, 4534. [Google Scholar] [CrossRef]
- Coda, R.; Kianjam, M.; Pontonio, E.; Verni, M.; Di Cagno, R.; Katina, K.; Rizzello, C.G.; Gobbetti, M. Sourdough-Type Propagation of Faba Bean Flour: Dynamics of Microbial Consortia and Biochemical Implications. Int. J. Food Microbiol. 2017, 248, 10–21. [Google Scholar] [CrossRef]
- Hsieh, S.-Y.; Tseng, C.-L.; Lee, Y.-S.; Kuo, A.-J.; Sun, C.-F.; Lin, Y.-H.; Chen, J.-K. Highly Efficient Classification and Identification of Human Pathogenic Bacteria by MALDI-TOF MS. Mol. Cell. Proteomics MCP 2008, 7, 448–456. [Google Scholar] [CrossRef] [PubMed]
- Mougin, J.; Flahaut, C.; Roquigny, R.; Bonnin-Jusserand, M.; Grard, T.; Le Bris, C. Rapid Identification of Vibrio Species of the Harveyi Clade Using MALDI-TOF MS Profiling with Main Spectral Profile Database Implemented with an In-House Database: Luvibase. Front. Microbiol. 2020, 11, 586536. [Google Scholar] [CrossRef]
- Meier-Kolthoff, J.P.; Carbasse, J.S.; Peinado-Olarte, R.L.; Göker, M. TYGS and LPSN: A Database Tandem for Fast and Reliable Genome-Based Classification and Nomenclature of Prokaryotes. Nucleic Acids Res. 2022, 50, D801–D807. [Google Scholar] [CrossRef]
- Pruesse, E.; Peplies, J.; Glöckner, F.O. SINA: Accurate High-Throughput Multiple Sequence Alignment of Ribosomal RNA Genes. Bioinformatics 2012, 28, 1823–1829. [Google Scholar] [CrossRef] [PubMed]
- Neves Junior, A.; da Silva Cardoso, V.; Mansoldo, F.R.P.; Cedrola, S.M.L.; Reis Mansur, M.C.P.P.; Godoy, M.G.; Vermelho, A.B. A Microplate Assay for Extracellular Hydrolase Detection. J. Microbiol. Methods 2020, 175, 105948. [Google Scholar] [CrossRef] [PubMed]
- Vermelho, A.B.; Meirelles, M.N.L.; Lopes, A.; Petinate, S.D.G.; Chaia, A.A.; Branquinha, M.H. Detection of Extracellular Proteases from Microorganisms on Agar Plates. Mem. Inst. Oswaldo Cruz 1996, 91, 755–760. [Google Scholar] [CrossRef] [PubMed]
- Miller, G.L. Use of Dinitrosalicylic Acid Reagent for Determination of Reducing Sugar. Anal. Chem. 1959, 31, 426–428. [Google Scholar] [CrossRef]
- Mazotto, A.M.; de Melo, A.C.N.; Macrae, A.; Rosado, A.S.; Peixoto, R.; Cedrola, S.M.L.; Couri, S.; Zingali, R.B.; Villa, A.L.V.; Rabinovitch, L.; et al. Biodegradation of Feather Waste by Extracellular Keratinases and Gelatinases from Bacillus spp. World J. Microbiol. Biotechnol. 2011, 27, 1355–1365. [Google Scholar] [CrossRef]
- Lowry, O.H.; Rosebrough, N.J.; Farr, A.L.; Randall, R.J. Protein Measurement with the Folin Phenol Reagent. J. Biol. Chem. 1951, 193, 265–275. [Google Scholar] [CrossRef]
- Dalmaso, G.Z.L.; Lage, C.A.S.; Mazotto, A.M.; Dias, E.P.d.S.; Caldas, L.A.; Ferreira, D.; Vermelho, A.B. Extracellular Peptidases from Deinococcus radiodurans. Extremophiles 2015, 19, 989–999. [Google Scholar] [CrossRef]
- El Fechtali, T.; Mimoune Reffai, Y.; Idbella, M. The Leavening Ability of Many Lactic Acid Bacteria Isolated from Spontaneous Sourdough. Emir. J. Food Agric. 2023, 35, 23–31. [Google Scholar] [CrossRef]
- Semumu, T.; Gamero, A.; Boekhout, T.; Zhou, N. Evolutionary Engineering to Improve Wickerhamomyces subpelliculosus and Kazachstania gamospora for Baking. World J. Microbiol. Biotechnol. 2022, 38, 48. [Google Scholar] [CrossRef]
- R Core Team. R: A Language and Environment for Statistical Computing; R Foundation for Statistical Computing: Vienna, Austria, 2022; Available online: https://www.R-project.org/ (accessed on 10 March 2023).
- Labouriau, R. postHoc: Tools for Post-Hoc Analysis. R Package Version 0.1.3. 2020. Available online: https://CRAN.R-project.org/package=postHoc (accessed on 10 March 2023).
- Ercolini, D.; Pontonio, E.; De Filippis, F.; Minervini, F.; Storia, A.L.; Gobbetti, M.; Di Cagno, R. Microbial Ecology Dynamics during Rye and Wheat Sourdough Preparation. Appl. Environ. Microbiol. 2013, 79, 7827–7836. [Google Scholar] [CrossRef]
- Celano, G.; De Angelis, M.; Minervini, F.; Gobbetti, M. Different Flour Microbial Communities Drive to Sourdoughs Characterized by Diverse Bacterial Strains and Free Amino Acid Profiles. Front. Microbiol. 2016, 7, 1770. [Google Scholar] [CrossRef]
- Dinardo, F.R.; Minervini, F.; De Angelis, M.; Gobbetti, M.; Gänzle, M.G. Dynamics of Enterobacteriaceae and Lactobacilli in Model Sourdoughs Are Driven by pH and Concentrations of Sucrose and Ferulic Acid. LWT 2019, 114, 108394. [Google Scholar] [CrossRef]
- Menezes, L.A.A.; Sardaro, M.L.S.; Duarte, R.T.D.; Mazzon, R.R.; Neviani, E.; Gatti, M.; De Dea Lindner, J. Sourdough Bacterial Dynamics Revealed by Metagenomic Analysis in Brazil. Food Microbiol. 2020, 85, 103302. [Google Scholar] [CrossRef]
- Arora, K.; Ameur, H.; Polo, A.; Di Cagno, R.; Rizzello, C.G.; Gobbetti, M. Thirty Years of Knowledge on Sourdough Fermentation: A Systematic Review. Trends Food Sci. Technol. 2021, 108, 71–83. [Google Scholar] [CrossRef]
- De Vuyst, L.; Neysens, P. The Sourdough Microflora: Biodiversity and Metabolic Interactions. Trends Food Sci. Technol. 2005, 16, 43–56. [Google Scholar] [CrossRef]
- Fraberger, V.; Unger, C.; Kummer, C.; Domig, K.J. Insights into Microbial Diversity of Traditional Austrian Sourdough. LWT 2020, 127, 109358. [Google Scholar] [CrossRef]
- Minervini, F.; Di Cagno, R.; Lattanzi, A.; De Angelis, M.; Antonielli, L.; Cardinali, G.; Cappelle, S.; Gobbetti, M. Lactic Acid Bacterium and Yeast Microbiotas of 19 Sourdoughs Used for Traditional/Typical Italian Breads: Interactions between Ingredients and Microbial Species Diversity. Appl. Environ. Microbiol. 2012, 78, 1251–1264. [Google Scholar] [CrossRef] [PubMed]
- De Vuyst, L.; Harth, H.; Van Kerrebroeck, S.; Leroy, F. Yeast Diversity of Sourdoughs and Associated Metabolic Properties and Functionalities. Int. J. Food Microbiol. 2016, 239, 26–34. [Google Scholar] [CrossRef]
- Van Kerrebroeck, S.; Bastos, F.C.C.; Harth, H.; De Vuyst, L. A Low pH Does Not Determine the Community Dynamics of Spontaneously Developed Backslopped Liquid Wheat Sourdoughs but Does Influence Their Metabolite Kinetics. Int. J. Food Microbiol. 2016, 239, 54–64. [Google Scholar] [CrossRef]
- Rocha, J.M.; Malcata, F.X. Microbial Ecology Dynamics in Portuguese Broa Sourdough. J. Food Qual. 2016, 39, 634–648. [Google Scholar] [CrossRef]
- Rocha, J.M.; Malcata, F.X. On the Microbiological Profile of Traditional Portuguese Sourdough. J. Food Prot. 1999, 62, 1416–1429. [Google Scholar] [CrossRef] [PubMed]
- Anisha, A.H.N.; Anandham, R.; Kwon, S.W.; Gandhi, P.I.; Gopal, N.O. Evaluation of Bacillus spp. as Dough Starters for Adhirasam-A Traditional Rice Based Fermented Food of Southern India. Braz. J. Microbiol. 2015, 46, 1183–1191. [Google Scholar] [CrossRef]
- Li, Z.; Zheng, M.; Zheng, J.; Gänzle, M.G. Bacillus Species in Food Fermentations: An Underappreciated Group of Organisms for Safe Use in Food Fermentations. Curr. Opin. Food Sci. 2023, 50, 101007. [Google Scholar] [CrossRef]
- Paulitsch, F.; Dos Reis, F.B.; Hungria, M. Twenty Years of Paradigm-Breaking Studies of Taxonomy and Symbiotic Nitrogen Fixation by Beta-Rhizobia, and Indication of Brazil as a Hotspot of Paraburkholderia Diversity. Arch. Microbiol. 2021, 203, 4785–4803. [Google Scholar] [CrossRef]
- Ndukwe, J.K.; Aduba, C.C.; Ughamba, K.T.; Chukwu, K.O.; Eze, C.N.; Nwaiwu, O.; Onyeaka, H. Diet Diversification and Priming with Kunu: An Indigenous Probiotic Cereal-Based Non-Alcoholic Beverage in Nigeria. Beverages 2023, 9, 14. [Google Scholar] [CrossRef]
- Atudorei, D.; Mironeasa, S.; Codină, G.G. Dough Rheological Behavior and Bread Quality as Affected by Addition of Soybean Flour in a Germinated Form. Foods 2023, 12, 1316. [Google Scholar] [CrossRef] [PubMed]
- Rakita, S.; Torbica, A.; Dokic, L.; Tomic, J.; Pojic, M.; Hadnadjev, M.; Hadnadjev-Dapcevic, T. Alpha-Amylase Activity in Wheat Flour and Breadmaking Properties in Relation to Different Climatic Conditions. Food Feed Res. 2015, 42, 91–99. [Google Scholar] [CrossRef]
- Ruan, Y.; Xu, Y.; Zhang, W.; Zhang, R. A New Maltogenic Amylase from Bacillus licheniformis R-53 Significantly Improves Bread Quality and Extends Shelf Life. Food Chem. 2021, 344, 128599. [Google Scholar] [CrossRef]
- Song, S.H. Analysis of Microflora Profile in Korean Traditional Nuruk. J. Microbiol. Biotechnol. 2013, 23, 40–46. [Google Scholar] [CrossRef] [PubMed]
- Oguntoyinbo, F.A.; Narbad, A. Molecular Characterization of Lactic Acid Bacteria and in Situ Amylase Expression during Traditional Fermentation of Cereal Foods. Food Microbiol. 2012, 31, 254–262. [Google Scholar] [CrossRef]
- Khusniati, T.; Gresi Hatmaya, P.; Amir, M.; Rachmach, J.; Safriana, V.; Sulistiani. Characterization of α-Amylase and Protease from Indigenous Lactobacillus fermentum EN17-2 and Its Use in Tuber Paste Flour. IOP Conf. Ser. Earth Environ. Sci. 2020, 439, 012059. [Google Scholar] [CrossRef]
- Knox, A.M.; Du Preez, J.C.; Kilian, S.G. Starch Fermentation Characteristics of Saccharomyces cerevisiae Strains Transformed with Amylase Genes from Lipomyces kononenkoae and Saccharomycopsis fibuligera. Enzyme Microb. Technol. 2004, 34, 453–460. [Google Scholar] [CrossRef]
- del Moral, S.; Barradas-Dermitz, D.M.; Aguilar-Uscanga, M.G. Production and Biochemical Characterization of α-Glucosidase from Aspergillus niger ITV-01 Isolated from Sugar Cane Bagasse. 3 Biotech 2017, 8, 7. [Google Scholar] [CrossRef] [PubMed]
- Najmalddin, H.; Yurdugül, S.; Hamzah, H. Screening of Enzyme Activities for Improvement of Bread Quality by Potato Peel Addition to the Yeast Growth Medium. Food Biosci. 2023, 51, 102239. [Google Scholar] [CrossRef]
- Olasupo, N.A.; Teniola, O.D.; Okosun, R.; Omowaye, A.; Olatope, S.O.; Scott-Emuakpor, M.B. Studies on an Amylolytic Strain of Saccharomyces cerevisiae Isolated from Yam Tuber. J. Basic Microbiol. 1996, 36, 283–288. [Google Scholar] [CrossRef]
- Jayalakshmi, N.; Umamaheswari, G. Production and Optimization of Amylase Enzyme from Saccharomyces cerevisiae by Mangrove Environ. Int. J. Sci. Res. 2017, 6, 2524–2526. [Google Scholar]
- Monika; Savitri; Kumar, V.; Kumari, A.; Angmo, K.; Bhalla, T.C. Isolation and Characterization of Lactic Acid Bacteria from Traditional Pickles of Himachal Pradesh, India. J. Food Sci. Technol. 2017, 54, 1945–1952. [Google Scholar] [CrossRef]
- Kim, S.; Hong, S.; Lim, S.-D. Physiological Characteristics and Anti-Diabetic Effect of Pediococcus pentosaceus KI62. Food Sci. Anim. Resour. 2021, 41, 274–287. [Google Scholar] [CrossRef]
- Baye, K.; Guyot, J.-P.; Icard-Vernière, C.; Rochette, I.; Mouquet-Rivier, C. Enzymatic Degradation of Phytate, Polyphenols and Dietary Fibers in Ethiopian Injera Flours: Effect on Iron Bioaccessibility. Food Chem. 2015, 174, 60–67. [Google Scholar] [CrossRef]
- Pourmohammadi, K.; Abedi, E. Hydrolytic Enzymes and Their Directly and Indirectly Effects on Gluten and Dough Properties: An Extensive Review. Food Sci. Nutr. 2021, 9, 3988–4006. [Google Scholar] [CrossRef]
- Messia, M.C.; Reale, A.; Maiuro, L.; Candigliota, T.; Sorrentino, E.; Marconi, E. Effects of Pre-Fermented Wheat Bran on Dough and Bread Characteristics. J. Cereal Sci. 2016, 69, 138–144. [Google Scholar] [CrossRef]
- Qi, N.; Zhan, X.; Milmine, J.; Sahar, M.; Chang, K.-H.; Li, J. Isolation and Characterization of a Novel Hydrolase-Producing Probiotic Bacillus licheniformis and Its Application in the Fermentation of Soybean Meal. Front. Nutr. 2023, 10, 1123422. [Google Scholar] [CrossRef] [PubMed]
- Acharya, S.; Chaudhary, A. Optimization of Fermentation Conditions for Cellulases Production by Bacillus licheniformis MVS1 and Bacillus sp. MVS3 Isolated from Indian Hot Spring. Braz. Arch. Biol. Technol. 2012, 55, 497–503. [Google Scholar] [CrossRef]
- Demirbaş, F.; İspirli, H.; Kurnaz, A.A.; Yilmaz, M.T.; Dertli, E. Antimicrobial and Functional Properties of Lactic Acid Bacteria Isolated from Sourdoughs. LWT Food Sci. Technol. 2017, 79, 361–366. [Google Scholar] [CrossRef]
- Galli, V.; Mazzoli, L.; Luti, S.; Venturi, M.; Guerrini, S.; Paoli, P.; Vincenzini, M.; Granchi, L.; Pazzagli, L. Effect of Selected Strains of Lactobacilli on the Antioxidant and Anti-Inflammatory Properties of Sourdough. Int. J. Food Microbiol. 2018, 286, 55–65. [Google Scholar] [CrossRef]
- Gu, M.; Hong, T.; Ma, Y.; Xi, J.; Zhao, Q.; Xu, D.; Jin, Y.; Wu, F.; Xu, X. Effects of a Commercial Peptidase on Rheology, Microstructure, Gluten Properties of Wheat Dough and Bread Quality. LWT 2022, 160, 113266. [Google Scholar] [CrossRef]
- Brzozowski, B.; Stasiewicz, K.; Ostolski, M.; Adamczak, M. Reducing Immunoreactivity of Gliadins and Coeliac-Toxic Peptides Using Peptidases from L. acidophilus 5e2 and A. niger. Catalysts 2020, 10, 923. [Google Scholar] [CrossRef]
- Abramov, V.M.; Kosarev, I.V.; Machulin, A.V.; Priputnevich, T.V.; Deryusheva, E.I.; Nemashkalova, E.L.; Chikileva, I.O.; Abashina, T.N.; Panin, A.N.; Melnikov, V.G.; et al. Limosilactobacillus fermentum 3872 That Produces Class III Bacteriocin Forms Co-Aggregates with the Antibiotic-Resistant Staphylococcus aureus Strains and Induces Their Lethal Damage. Antibiotics 2023, 12, 471. [Google Scholar] [CrossRef] [PubMed]
- Souza, T.S.P.D.; De Andrade, C.J.; Koblitz, M.G.B.; Fai, A.E.C. Microbial Peptidase in Food Processing: Current State of the Art and Future Trends. Catal. Lett. 2023, 153, 114–137. [Google Scholar] [CrossRef]
- Arnaut, F.; Verte, F.; Vekemans, N. Method and Composition for the Prevention or Retarding of Staling of Bakery Products. U.S. Patent US9456616B2, 4 October 2016. [Google Scholar]
- Foophow, T.; Sittipol, D.; Rukying, N.; Phoohinkong, W.; Jongruja, N. Purification and Characterization of a Novel Extracellular Haloprotease Vpr from Bacillus licheniformis Strain KB111. Food Technol. Biotechnol. 2022, 60, 225–236. [Google Scholar] [CrossRef]
- Pacher, N.; Burtscher, J.; Johler, S.; Etter, D.; Bender, D.; Fieseler, L.; Domig, K.J. Ropiness in Bread—A Re-Emerging Spoilage Phenomenon. Foods 2022, 11, 3021. [Google Scholar] [CrossRef] [PubMed]
- Hailegiorgis, D.; Mekonnen, F.; Hailu, F.; Lee, C.A.; Yun, S.J. Composition and Molecular Weight Distribution of Albumin and Globulin Protein Isolates from Durum Wheat Genotypes. Am. J. Plant Sci. 2020, 11, 137–147. [Google Scholar] [CrossRef]
- Goesaert, H.; Brijs, K.; Veraverbeke, W.S.; Courtin, C.M.; Gebruers, K.; Delcour, J.A. Wheat Flour Constituents: How They Impact Bread Quality, and How to Impact Their Functionality. Trends Food Sci. Technol. 2005, 16, 12–30. [Google Scholar] [CrossRef]
- Mietton, L.; Samson, M.-F.; Marlin, T.; Godet, T.; Nolleau, V.; Guezenec, S.; Segond, D.; Nidelet, T.; Desclaux, D.; Sicard, D. Impact of Leavening Agent and Wheat Variety on Bread Organoleptic and Nutritional Quality. Microorganisms 2022, 10, 1416. [Google Scholar] [CrossRef] [PubMed]
- Carbonetto, B.; Ramsayer, J.; Nidelet, T.; Legrand, J.; Sicard, D. Bakery Yeasts, a New Model for Studies in Ecology and Evolution. Yeast 2018, 35, 591–603. [Google Scholar] [CrossRef] [PubMed]
- Korcari, D.; Ricci, G.; Capusoni, C.; Fortina, M.G. Physiological Performance of Kazachstania unispora in Sourdough Environments. World J. Microbiol. Biotechnol. 2021, 37, 88. [Google Scholar] [CrossRef]
- Marolia, K.Z.; Khan, B.K.; Raval, N.; Sharma, Y. Production of Bio-Flavored Sourdough Bread. Afr. J. Biol. Sci. 2022, 4, 127. [Google Scholar] [CrossRef]
- Vandooren, J.; Geurts, N.; Martens, E.; Van Den Steen, P.E.; Opdenakker, G. Zymography Methods for Visualizing Hydrolytic Enzymes. Nat. Methods 2013, 10, 211–220. [Google Scholar] [CrossRef]
- Vermelho, A.B.; Mazotto, A.M.; De Melo, A.C.N.; Vieira, F.H.C.; Duarte, T.R.; Macrae, A.; Nishikawa, M.M.; Da Silva Bon, E.P. Identification of a Candida parapsilosis Strain Producing Extracellular Serine Peptidase with Keratinolytic Activity. Mycopathologia 2010, 169, 57–65. [Google Scholar] [CrossRef] [PubMed]
- Del Amo-Maestro, L.; Mendes, S.R.; Rodríguez-Banqueri, A.; Garzon-Flores, L.; Girbal, M.; Rodríguez-Lagunas, M.J.; Guevara, T.; Franch, À.; Pérez-Cano, F.J.; Eckhard, U.; et al. Molecular and in Vivo Studies of a Glutamate-Class Prolyl-Endopeptidase for Coeliac Disease Therapy. Nat. Commun. 2022, 13, 4446. [Google Scholar] [CrossRef] [PubMed]
- Gutiérrez, S.; Pérez-Andrés, J.; Martínez-Blanco, H.; Ferrero, M.A.; Vaquero, L.; Vivas, S.; Casqueiro, J.; Rodríguez-Aparicio, L.B. The Human Digestive Tract Has Proteases Capable of Gluten Hydrolysis. Mol. Metab. 2017, 6, 693–702. [Google Scholar] [CrossRef] [PubMed]
- Ciurko, D.; Łaba, W.; Żarowska, B.; Janek, T. Enzymatic Hydrolysis Using Bacterial Cultures as a Novel Method for Obtaining Antioxidant Peptides from Brewers’ Spent Grain. RSC Adv. 2021, 11, 4688–4700. [Google Scholar] [CrossRef]
- Lal, S.; Tabacchioni, S. Ecology and Biotechnological Potential of Paenibacillus polymyxa: A Minireview. Indian J. Microbiol. 2009, 49, 2–10. [Google Scholar] [CrossRef]
- Liu, Y.-Y.; Lee, C.-C.; Hsu, J.-H.; Leu, W.-M.; Meng, M. Efficient Hydrolysis of Gluten-Derived Celiac Disease-Triggering Immunogenic Peptides by a Bacterial Serine Protease from Burkholderia gladioli. Biomolecules 2021, 11, 451. [Google Scholar] [CrossRef]
- Wei, G.; Tian, N.; Valery, A.C.; Zhong, Y.; Schuppan, D.; Helmerhorst, E.J. Identification of Pseudolysin (lasB) as an Aciduric Gluten-Degrading Enzyme with High Therapeutic Potential for Celiac Disease. Am. J. Gastroenterol. 2015, 110, 899–908. [Google Scholar] [CrossRef]
- Lu, J.; Wu, Y.; Yuan, J.; Yuan, J.; Wang, Z.; Gao, J.; Chen, H. Characterization of Bacillus cereus AFA01 Capable of Degrading Gluten and Celiac-Immunotoxic Peptides. Foods 2021, 10, 1725. [Google Scholar] [CrossRef]







| Identification Method | Microorganism | Sourdough |
|---|---|---|
| MALDI-TOF | Bacillus cereus (S) | WF |
| MALDI-TOF | Candida guilliermondii (S) | WF |
| MALDI-TOF | Enterococcus faecium (S1) | WF |
| MALDI-TOF | Enterococcus faecium (S2) | WF |
| MALDI-TOF | Kazachstania unispora (S) | WOF |
| MALDI-TOF | Kosakonia cowanii (S) | WF |
| MALDI-TOF | Lactobacillus plantarum (S) | WF |
| MALDI-TOF | Limosilactobacillus fermentum (S) | WF |
| MALDI-TOF | Pantoea agglomerans (S) | WOF |
| MALDI-TOF | Pediococcus acidilactici (S) | WF |
| MALDI-TOF | Pediococcus pentosaceus (S) | WF |
| MALDI-TOF | Rhodotorula mucilaginosa (S) | WF |
| MALDI-TOF | Saccharomyces cerevisiae (S1) | WF |
| MALDI-TOF | Saccharomyces cerevisiae (S2) | WF |
| 16S rDNA | Bacillus sp. (S1) | WOF |
| 16S rDNA | Bacillus sp. (S2) | WF |
| 16S rDNA | Lactiplantibacillus sp. (S) | WF |
| 16S rDNA | Paraburkholderia sp. (S) | WOF |
| Microorganisms | Amylase | Cellulase | Peptidase | Wheat Peptidase | Glutenase |
|---|---|---|---|---|---|
| B. licheniformis LMG 12363 (P) | + | + | + | + | ++ |
| E. faecium (S1) | - | ++ | - | - | - |
| E. faecium (S2) | - | - | + | + | + |
| K. unispora (S) | + | - | + | + | + |
| L. plantarum (S) | - | - | + | + | + |
| L. fermentum (S) | ++ | + | ++ | ++ | + |
| P. acidilactici (S) | - | ++ | + | + | + |
| P. pentosaceus (S) | + | + | + | + | + |
| S. boulardii MUCL 43341 (P) | + | - | + | + | + |
| S. cerevisiae (S1) | + | - | + | + | + |
| S. cerevisiae (S2) | ++ | + | ++ | ++ | + |
Disclaimer/Publisher’s Note: The statements, opinions and data contained in all publications are solely those of the individual author(s) and contributor(s) and not of MDPI and/or the editor(s). MDPI and/or the editor(s) disclaim responsibility for any injury to people or property resulting from any ideas, methods, instructions or products referred to in the content. |
© 2023 by the authors. Licensee MDPI, Basel, Switzerland. This article is an open access article distributed under the terms and conditions of the Creative Commons Attribution (CC BY) license (https://creativecommons.org/licenses/by/4.0/).
Share and Cite
Akamine, I.T.; Mansoldo, F.R.P.; Cardoso, V.S.; de Souza Dias, E.P.; Vermelho, A.B. Hydrolase Activities of Sourdough Microorganisms. Fermentation 2023, 9, 703. https://doi.org/10.3390/fermentation9080703
Akamine IT, Mansoldo FRP, Cardoso VS, de Souza Dias EP, Vermelho AB. Hydrolase Activities of Sourdough Microorganisms. Fermentation. 2023; 9(8):703. https://doi.org/10.3390/fermentation9080703
Chicago/Turabian StyleAkamine, Ingrid Teixeira, Felipe R. P. Mansoldo, Verônica S. Cardoso, Edilma Paraguai de Souza Dias, and Alane Beatriz Vermelho. 2023. "Hydrolase Activities of Sourdough Microorganisms" Fermentation 9, no. 8: 703. https://doi.org/10.3390/fermentation9080703
APA StyleAkamine, I. T., Mansoldo, F. R. P., Cardoso, V. S., de Souza Dias, E. P., & Vermelho, A. B. (2023). Hydrolase Activities of Sourdough Microorganisms. Fermentation, 9(8), 703. https://doi.org/10.3390/fermentation9080703

