Cost-Effective Strategy and Feasibility for Amylase Production from Okara by Bacillus subtilis J12
Abstract
1. Introduction
2. Materials and Methods
2.1. Bacterial Strain and Inoculum Preparation
2.2. Media Preparation
2.3. Production of Amylase
2.4. Determination of Amylase Activity
2.5. Characterization of Amylase
2.5.1. Effect of pH on Amylase Activity
2.5.2. Effect of Temperature on Amylase Activity
2.5.3. Thermostability of Amylase Activity
2.5.4. Effect of Organic Solvent on Amylase Activity
2.5.5. Effect of Metal Ion on Amylase Activity
2.5.6. Effect of Ferric Ion on Amylase Activity
2.6. Hydrolysis Pattern
2.7. Purification of Amylase
2.8. Native PAGE, SDS-PAGE, and Zymography of Amylase
2.9. Material Cost Evaluation
2.10. Statistical Analysis
3. Results and Discussion
3.1. Production of Amylase Under Solid-state Fermentation
3.2. Characterization of Amylase
3.2.1. Effect of pH on Amylase Activity
3.2.2. Effect of Temperature on Amylase Activity
3.2.3. Thermostability of Amylase Activity
3.2.4. Effect of Organic Solvent on Amylase Activity
3.2.5. Effect of Metal Ion on Amylase Activity
3.2.6. Effect of Ferric Ion on Amylase Activity

3.3. Hydrolysis Pattern of B. subtilis J12 Amylase
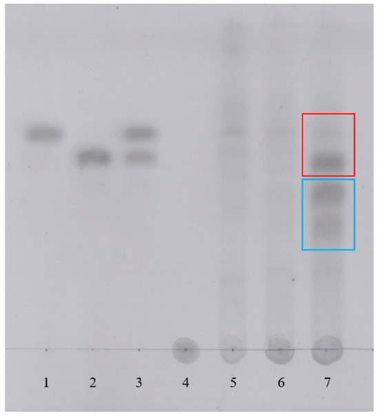
3.4. Partial Purification of Amylase
3.5. Feasibility of Media Cost for Amylase Production
4. Conclusions
Author Contributions
Funding
Institutional Review Board Statement
Informed Consent Statement
Data Availability Statement
Acknowledgments
Conflicts of Interest
References
- Bhatt, K.; Lal, S.; R, S.; Joshi, B. Bioconversion of agriculture wastes to produce α-amylase from Bacillus velezensis KB 2216: Purification and characterization. Biocatal. Agric. Biotechnol. 2020, 28, 101703. [Google Scholar] [CrossRef]
- Hadj Saadoun, J.; Calani, L.; Cirlini, M.; Bernini, V.; Neviani, E.; Del Rio, D.; Galaverna, G.; Lazzi, C. Effect of fermentation with single and co-culture of lactic acid bacteria on okara: Evaluation of bioactive compounds and volatile profiles. Food Funct. 2021, 12, 3033–3043. [Google Scholar] [CrossRef] [PubMed]
- Li, B.; Qiao, M.; Lu, F. Composition, nutrition, and utilization of okara (soybean residue). Food Rev. Int. 2012, 28, 231–252. [Google Scholar] [CrossRef]
- Joo, K.H.; Kerr, W.L.; Cavender, G.A. The effects of okara ratio and particle size on the physical properties and consumer acceptance of tofu. Foods 2023, 12, 3004. [Google Scholar] [CrossRef]
- Naik, B.; Kumar, V.; Rizwanuddin, S.; Chauhan, M.; Gupta, A.K.; Rustagi, S.; Kumar, V.; Gupta, S. Agro-industrial waste: A cost-effective and eco-friendly substrate to produce amylase. Food Prod. Process. Nutr. 2023, 5, 30. [Google Scholar] [CrossRef]
- Mondal, S.; Mondal, K.; Halder, S.K.; Thakur, N.; Mondal, K.C. Microbial amylase: Old but still at the forefront of all major industrial enzymes. Biocatal. Agric. Biotechnol. 2022, 45, 102509. [Google Scholar] [CrossRef]
- Saleh, F.; Hussain, A.; Younis, T.; Ali, S.; Rashid, M.; Ali, A.; Mustafa, G.; Jabeen, F.; AL-Surhanee, A.A.; Alnoman, M.M.; et al. Comparative growth potential of thermophilic amylolytic Bacillus sp. on unconventional media food wastes and its industrial application. Saudi J. Biol. Sci. 2020, 27, 3499–3504. [Google Scholar] [CrossRef]
- Sadeghian Motahar, S.F.; Ariaeenejad, S.; Salami, M.; Emam-Djomeh, Z.; Sheykh Abdollahzadeh Mamaghani, A. Improving the quality of gluten-free bread by a novel acidic thermostable α-amylase from metagenomics data. Food Chem. 2021, 352, 129307. [Google Scholar] [CrossRef]
- Paul, J.S.; Gupta, N.; Beliya, E.; Tiwari, S.; Jadhav, S.K. Aspects and recent trends in microbial α-Amylase: A review. Appl. Biochem. Biotechnol. 2021, 193, 2649–2698. [Google Scholar] [CrossRef]
- Paul, J.S.; Beliya, E.; Tiwari, S.; Patel, K.; Gupta, N.; Jadhav, S.K. Production of biocatalyst α-amylase from agro-waste ‘rice bran’ by using Bacillus tequilensis TB5 and standardizing its production process. Biocatal. Agric. Biotechnol. 2020, 26, 101648. [Google Scholar] [CrossRef]
- Kuancha, C.; Sukklang, S.; Detvisitsakun, C.; Chanton, S.; Apiraksakorn, J. Fermentable sugars production from lignocellulosic materials hydrolysis by thermophilic enzymes from Bacillus subtilis J12. In Proceedings of the International Conference on Alternative Energy in Developing Countries and Emerging Economies, Bangkok, Thailand, 25–26 May 2017. [Google Scholar] [CrossRef]
- Su, Y.; Liu, C.; Fang, H.; Zhang, D. Bacillus subtilis: A universal cell factory for industry, agriculture, biomaterials and medicine. Microb. Cell Factories 2020, 19, 173. [Google Scholar] [CrossRef] [PubMed]
- Oiza, N.; Moral-Vico, J.; Sánchez, A.; Oviedo, E.R.; Gea, T. Solid-state fermentation from organic wastes: A new generation of bioproducts. Processes 2022, 10, 2675. [Google Scholar] [CrossRef]
- Barrios-González, J. Solid-state fermentation: Physiology of solid medium, its molecular basis, and applications. Process Biochem. 2012, 47, 175–185. [Google Scholar] [CrossRef]
- Chilakamarry, C.R.; Mimi Sakinah, A.M.; Zularisam, A.W.; Sirohi, R.; Khilji, I.A.; Ahmad, N.; Pandey, A. Advances in solid-state fermentation for bioconversion of agricultural wastes to value-added products: Opportunities and challenges. Bioresour. Technol. 2022, 343, 126065. [Google Scholar] [CrossRef]
- Pranay, K.; Padmadeo, S.R.; Prasad, B. Production of amylase from Bacillus subtilis sp. strain KR1 under solid state fermentation on different agrowastes. Biocatal. Agric. Biotechnol. 2019, 21, 101300. [Google Scholar] [CrossRef]
- Bernfeld, P. Methods of Enzymology; Academic Press: New York, NY, USA, 1955; Volume 1, pp. 149–158. [Google Scholar]
- Miller, G.L. Use of dinitrosalisylic acid reagent for determination of reducing sugar. Anal. Chem. 1959, 31, 426–428. [Google Scholar] [CrossRef]
- Phirom-on, K.; Apiraksakorn, J. Development of cellulose-based prebiotic fiber from banana peel by enzymatic hydrolysis. Food Biosci. 2021, 41, 101083. [Google Scholar] [CrossRef]
- Laemmli, U.K. Cleavage of structural protein during the assembly of the head of bacteriophage T4. Nature 1970, 227, 680–685. [Google Scholar] [CrossRef] [PubMed]
- Elumalai, P.; Lim, J.M.; Park, Y.J.; Cho, M.; Shea, P.J.; Oh, B.T. Agricultural waste materials enhance protease production by Bacillus subtilis B22 in submerged fermentation under blue light-emitting diodes. Bioprocess Biosyst. Eng. 2020, 43, 821–830. [Google Scholar] [CrossRef]
- Siddiqui, K.S.; Ertan, H.; Poljak, A.; Bridge, W.J. Evaluating enzymatic productivity-The missing link to enzyme utility. Int. J. Mol. Sci. 2022, 23, 6908. [Google Scholar] [CrossRef]
- Mojumdar, A.; Deka, J. Recycling agro-industrial waste to produce amylase and characterizing amylase–gold nanoparticle composite. Int. J. Recycl. Org. Waste Agric. 2019, 8, 263–269. [Google Scholar] [CrossRef]
- Ghosh, P.; Das, A.; Gayen, S.; Chandra Mondal, K.; Ghosh, U. Statistical optimization of α-amylase production from Penicillium notatum NCIM 923 and kinetics study of the purified enzyme. Acta Biol. Szeged. 2015, 59, 179–188. [Google Scholar]
- Melnichuk, N.; Braia, M.J.; Anselmi, P.A.; Meini, M.R.; Romanini, D. Valorization of two agroindustrial wastes to produce alpha-amylase enzyme from Aspergillus oryzae by solid-state fermentation. Waste Manag. 2020, 106, 155–161. [Google Scholar] [CrossRef]
- Mondal, S.; Soren, J.P.; Mondal, J.; Rakshit, S.; Kumar Halder, S.; Mondal, K.C. Contemporaneous synthesis of multiple carbohydrate debranching enzymes from newly isolated Aspergillus fumigatus SKF-2 under solid state fermentation: A unique enzyme mixture for proficient saccharification of plant bioresources. Ind. Crop. Prod. 2020, 150, 112409. [Google Scholar] [CrossRef]
- Balakrishnan, M.; Jeevarathinam, G.; Kumar, S.K.S.; Muniraj, I.; Uthandi, S. Optimization and scale-up of α-amylase production by Aspergillus oryzae using solid-state fermentation of edible oil cakes. BMC Biotechnol. 2021, 21, 33. [Google Scholar] [CrossRef]
- Hmidet, N.; Jemil, N.; Nasri, M. Simultaneous production of alkaline amylase and biosurfactant by Bacillus methylotrophicus DCS1: Application as detergent additive. Biodegradation 2019, 30, 247–258. [Google Scholar] [CrossRef]
- Abdulaal, W.H. Purification and characterization of α-amylase from Trichoderma pseudokoningii. BMC Biochem. 2018, 19, 4. [Google Scholar] [CrossRef]
- Doukyu, N.; Ogino, H. Organic solvent-tolerant enzymes. Biochem. Eng. J. 2010, 48, 270–282. [Google Scholar] [CrossRef]
- Pandey, S.; Singh, S.P. Organic solvent tolerance of an α-amylase from haloalkaliphilic bacteria as a function of pH, temperature, and salt concentrations. Appl. Biochem. Biotechnol. 2012, 166, 1747–1757. [Google Scholar] [CrossRef]
- Timilsina, P.M.; Pandey, G.R.; Shrestha, A.; Ojha, M.; Karki, T.B. Purification and characterization of a noble thermostable algal starch liquefying alpha-amylase from Aeribacillus pallidus BTPS-2 isolated from geothermal spring of Nepal. Biotechnol. Rep. 2020, 28, e00551. [Google Scholar] [CrossRef]
- Bano, S.; Qader, A.U.; Aman, A.; Azhar, A. Partial purification and some properties of α-amylase from Bacillus subtilis KIBGE-HAS. Indian J. Biochem. Biophys. 2009, 46, 401–404. [Google Scholar] [PubMed]
- Karaca Açarı, İ.; Dik, G.; Bakar, B.; Ulu, A.; Önal, Y.; Ateş, B. Immobilization of α-amylase onto Quantum Dots prepared from Hypericum perforatum L. flowers and Hypericum capitatum seeds: Its physicochemical and biochemical characterization. Top. Catal. 2022, 66, 563–576. [Google Scholar] [CrossRef]
- Kizhakedathil, M.P.J.; C, S.D. Acid stable α-amylase from Pseudomonas balearica VITPS19—Production, purification and characterization. Biotechnol. Rep. 2021, 30, e00603. [Google Scholar] [CrossRef]
- Konsula, Z.; Liakopoulou-Kyriakides, M. Hydrolysis of starches by the action of an α-amylase from Bacillus subtilis. Process Biochem. 2004, 39, 1745–1749. [Google Scholar] [CrossRef]
- Matpan Bekler, F.; Güven, K.; Gül Güven, R. Purification and characterization of novel α-amylase from Anoxybacillus ayderensis FMB1. Biocatal. Biotransform. 2021, 39, 322–332. [Google Scholar] [CrossRef]
- Rajesh, R.; Gummadi, S.N. α-Amylase and cellulase production by novel halotolerant Bacillus sp.PM06 isolated from sugarcane pressmud. Biotechnol. Appl. Biochem. 2022, 69, 149–159. [Google Scholar] [CrossRef]
- Mattedi, A.; Sabbi, E.; Farda, B.; Djebaili, R.; Mitra, D.; Ercole, C.; Cacchio, P.; del Gallo, M.; Pellegrini, M. Solid-state fermentation: Applications and future perspectives for biostimulant and biopesticides production. Microorganisms 2023, 11, 1408. [Google Scholar] [CrossRef]
- Prabhu, G.; Bhat, D.; Bhat, R.M.; Selvaraj, S. A critical look at bioproducts co-cultured under solid state fermentation and their challenges and industrial applications. Waste Biomass Valorization 2022, 13, 3095–3111. [Google Scholar] [CrossRef]
- Bibi, F.; Ilyas, N.; Saeed, M.; Shabir, S.; Shati, A.A.; Alfaifi, M.Y.; Amesho, K.T.T.; Chowdhury, S.; Sayyed, R.Z. Innovative production of value-added products using agro-industrial wastes via solid-state fermentation. Environ. Sci. Pollut. Res. 2023, 30, 125197–125213. [Google Scholar] [CrossRef]






| Producer | Media | Enzyme Activity | Fermentation Time | Productivity (U/h) 2 | Reference |
|---|---|---|---|---|---|
| B. subtilis J12 | Okara | 983 U/g | 24 h | 40.96 | This study |
| B. amyloliquefaciens | Wheat bran and potato peel | 99 U/mL | 240 h | 0.41 | [23] |
| B. subtilis KR1 | Wheat bran | 82.6 U/gds | 72 h | 1.15 | [16] |
| B. velezensis KB 2216 | Moong husk and soybean cake | 75.78 U/mL | 72 h | 1.05 | [1] |
| B. tequilensis TB5 | Rice bran | 37.7 U/mL | 72 h | 0.52 | [10] |
| Penicillium notatum NCIM 923 | Wheat bran | 2819.24 U/g | 94 h | 29.99 | [24] |
| Aspergillus oryzae NRRL695 | Soybean husk and flour mill waste | 47,000 U/gds | 360 h | 130.5 | [25] |
| Aspergillus fumigatus SKF-2 | Agricultural residues 1 | 1523.3 U/gds | 300 h | 5.08 | [26] |
| Aspergillus oryzae | Oil cake | 10,994.7 U/gds | 108 h | 101.8 | [27] |
| Producer | Media Composition * | Material Cost (USD/100 g) | Material Used (g/L of Enzyme) | Cost Per Unit (USD) | Total Cost (USD) | Enzyme Activity | Productivity (U/h) | Reference |
|---|---|---|---|---|---|---|---|---|
| B. subtilis J12 | Okara | 0 | 143 | 0 | 0 | 983 U/g | 40.96 | This study |
| B. amyloliquefaciens | Wheat bran Potato peel KH2PO4 MgSO4·7H2O NaCl Na2HPO4·7H2O NaH2PO4·H2O | 0 0 26.85 18.81 12.42 66.12 35.25 | 125 125 0.5 0.25 0.25 3.89 1.50 | 0 0 0.13 0.05 0.03 2.57 0.53 | 3.31 | 99 U/mL | 0.41 | [23] |
| B. subtilis KR1 | Wheat bran MgSO4 NaH2PO4 K2HPO4 Soluble starch Yeast extract Na2HPO4·7H2O NaH2PO4·H2O | 0 31.08 42.76 92.96 45.36 78.83 66.12 35.25 | 100 8.02 7.99 11.60 1 1 0.08 0.03 | 0 2.49 3.41 10.78 0.45 0.79 0.05 0.01 | 17.98 | 82.6 U/gds | 1.15 | [16] |
| B. velezensis KB 2216 | Moong husk Soybean cake Peptone MgSO4 KH2PO4 Fructose NaNO3 | 0 0 19.33 31.08 26.85 77.34 25.73 | 40 20 20 1 3 15 5 | 0 0 3.87 0.31 0.81 11.60 1.29 | 17.88 | 75.78 U/mL | 1.05 | [1] |
| B. tequilensis TB5 | Rice bran Yeast extract K2HPO4 MgSO4.7H2O CaCl2.2H2O Peptone Beef extract NH4NO3 MgSO4 NH4Cl (NH4)2SO4 MgCl2 CaCl2 FeCl3 | 0 78.83 92.96 38.60 33.17 19.33 229.79 15.47 23.11 15.32 18.52 41.42 122.70 59.49 | 100 1.39 0.14 0.06 0.03 9 4 2 1 1 1 1 5 1 | 0 1.10 0.13 0.02 0.01 1.74 9.19 0.31 0.23 0.15 0.18 0.41 6.13 0.59 | 20.19 | 37.7 U/mL | 0.52 | [10] |
| Aspergillus oryzae | Oil cake KH2PO4 NH4NO3 NaCl MgSO4·7H2O Tween 80 | 0 26.85 15.47 12.42 38.60 16.51 | 500 0.4 1 0.2 0.2 1 | 0 0.12 0.15 0.02 0.08 0.16 | 0.53 | 10,994.7 U/gds | 101.8 | [27] |
| Aspergillus oryzae NRRL695 | Soybean husk Flour mill waste KH2PO4 NaNO3 MgSO4·7H2O CaCl2·2H2O FeSO4·7H2O MnSO4·H2O CoCl2·6H2O ZnSO4·7H2O K2HPO4 | 0 0 26.85 25.73 38.60 33.17 28.33 35.25 130.88 84.78 92.96 | 34.65 42.35 3.65 2.31 0.38 0.38 0.006 0.002 0.002 0.001 0.22 | 0 0 0.98 0.59 0.15 0.13 0.002 0.001 0.003 0.001 0.20 | 2.06 | 47,000 U/gds | 130.5 | [25] |
Disclaimer/Publisher’s Note: The statements, opinions and data contained in all publications are solely those of the individual author(s) and contributor(s) and not of MDPI and/or the editor(s). MDPI and/or the editor(s) disclaim responsibility for any injury to people or property resulting from any ideas, methods, instructions or products referred to in the content. |
© 2024 by the authors. Licensee MDPI, Basel, Switzerland. This article is an open access article distributed under the terms and conditions of the Creative Commons Attribution (CC BY) license (https://creativecommons.org/licenses/by/4.0/).
Share and Cite
Mahfudz, M.K.; Jaikhan, S.; Phirom-on, K.; Apiraksakorn, J. Cost-Effective Strategy and Feasibility for Amylase Production from Okara by Bacillus subtilis J12. Fermentation 2024, 10, 561. https://doi.org/10.3390/fermentation10110561
Mahfudz MK, Jaikhan S, Phirom-on K, Apiraksakorn J. Cost-Effective Strategy and Feasibility for Amylase Production from Okara by Bacillus subtilis J12. Fermentation. 2024; 10(11):561. https://doi.org/10.3390/fermentation10110561
Chicago/Turabian StyleMahfudz, Muhamad Khairi, Somchai Jaikhan, Konlarat Phirom-on, and Jirawan Apiraksakorn. 2024. "Cost-Effective Strategy and Feasibility for Amylase Production from Okara by Bacillus subtilis J12" Fermentation 10, no. 11: 561. https://doi.org/10.3390/fermentation10110561
APA StyleMahfudz, M. K., Jaikhan, S., Phirom-on, K., & Apiraksakorn, J. (2024). Cost-Effective Strategy and Feasibility for Amylase Production from Okara by Bacillus subtilis J12. Fermentation, 10(11), 561. https://doi.org/10.3390/fermentation10110561

