Conjugation of Soybean Proteins 7S/11S Isolate with Glucose/Fructose in Gels through Wet-Heating Maillard Reaction
Abstract
1. Introduction
2. Results and Discussion
2.1. Determination of the Grafting Degree and Browning Degree
2.2. Sulfhydryl Content of the Protein Surface
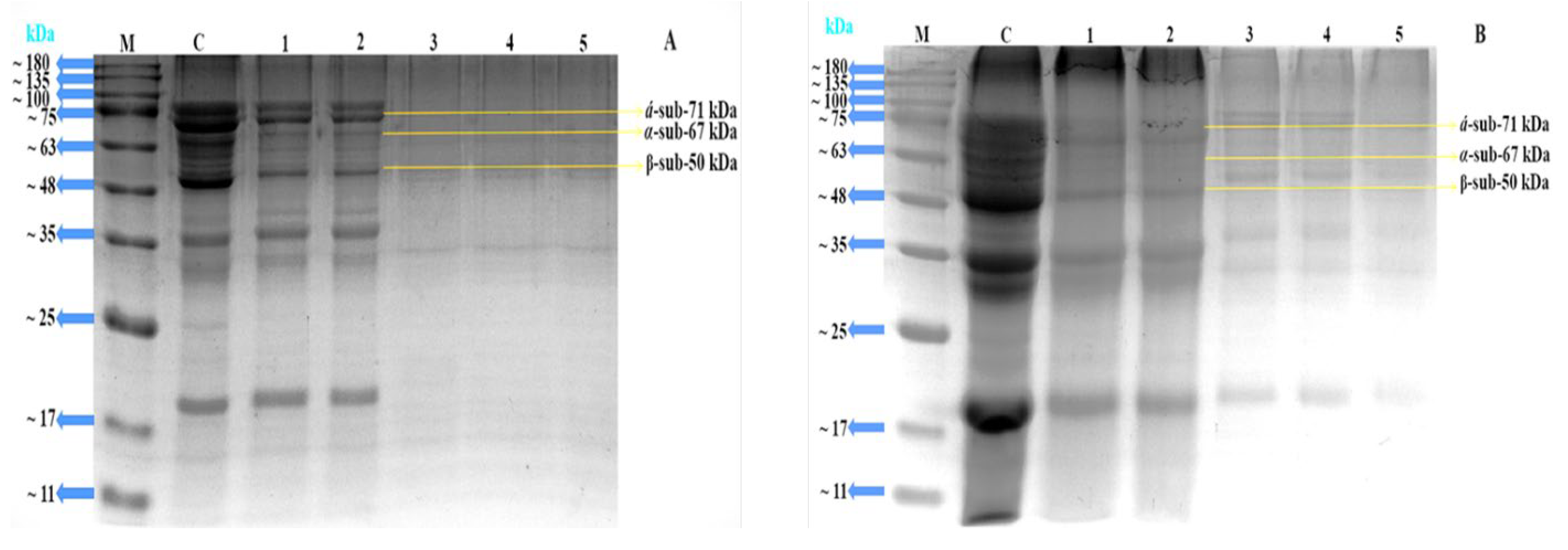
2.3. SDS-PAGE Analysis
2.4. Surface Hydrophobicity (H0)
2.5. CD Analysis
2.6. Thermal Properties
3. Conclusions
4. Materials and Methods
4.1. Chemical Reagents
4.2. Isolation and Separation of 7S and 11S from Soy Protein Isolate
4.3. S/11S-G/F Conjugates Preparation
4.4. Analysis of the Grafting and Browning Degree
4.5. Analysis of Sulfhydryl Content on the Protein Surface
4.6. Confirmation of Soy Protein Isolate–G/F Conjugates
4.7. Surface Hydrophobicity (H0)
4.8. Measurement of Circular Dichroism Spectra
4.9. Thermal Properties
4.10. Statistical Analysis
Author Contributions
Funding
Institutional Review Board Statement
Informed Consent Statement
Data Availability Statement
Conflicts of Interest
List of Abbreviations
| ANS | 1-anilino-8-naphthalene sulfonate |
| AP | Ammonium persulfate |
| BA | Bis N,N-Methylene-bis-(acrylamide) |
| BG | Browning degree |
| CD | Circular dichroism spectroscopy |
| DTNB | 5,5′-dithiobis-(2-nitrobenzoic acid) |
| DSM | Defatted soybean meals |
| DSC | Differential scanning calorimeter |
| EDTA | Ethylene diamine tetraacetic acid |
| F | Fructose |
| FI | Fluorescence intensities |
| G | Glucose |
| GD | Grafting degree |
| G250 | Coomassie brilliant blue R-250 |
| H0 | Surface hydrophobicity |
| kDa | Kilodalton |
| Liq | Liquid |
| Mw | Molecular weight |
| NEM | N-ethylmaleimide |
| OPA | o-phthaldialdehyde |
| pI | Isoelectric point |
| SB | 4× Laemmli sample buffer |
| SBS | Sodium bisulfite |
| SDS-PAGE | Sodium dodecylsulphate polyacrylamide gel electrophoresis |
| SH | Sulfhydryl content |
| SPI | Soybean protein isolate |
| Tris | Tris-(hydroxymethyl) amionmethane |
| TEMED | N, N, N′, N′-Tetramethyl ethylere-diamine |
| UV | Ultraviolet |
| 2-ME | 2-mercaptoethanol |
References
- Kanatt, S.R.; Arjun, K.; Sharma, A. Antioxidant and Antimicrobial Activity of Legume Hulls. Food Res. Int. 2010, 44, 3182–3187. [Google Scholar] [CrossRef]
- Qi, P.X.; Xiao, Y.; Wickham, E.D. Stabilization of whey protein isolate (WPI) through interactions with 532 sugar beet pectin (SBP) induced by controlled dry-heating. Food Hydrocoll. 2016, 67, 1–13. [Google Scholar] [CrossRef]
- Seiffert, G. Protective effects of soy-isoffavones in cardiovascular disease. Hämostaseologie 2008, 28, 85–88. [Google Scholar]
- Zhang, Q.-T.; Tu, Z.-C.; Xiao, H.; Wang, H.; Huang, X.-Q.; Liu, G.-X.; Liu, C.-M.; Shi, Y.; Fan, L.-L.; Lin, D.-R. Influence of ultrasonic treatment on the structure and emulsifying properties of peanut protein isolate. Food Bioprod. Process. 2014, 92, 30–37. [Google Scholar] [CrossRef]
- Preece, K.E.; Hooshyar, N.; Zuidam, N.J. Whole soybean protein extraction processes: A review. Innov. Food Sci. Emerg. Technol. 2017, 43, 163–172. [Google Scholar] [CrossRef]
- Zheng, T.; Li, X.; Taha, A.; Wei, Y.; Hu, T.; Fatamorgana, P.B.; Zhang, Z.; Liu, F.; Xu, X.; Pan, S.; et al. Effect of high intensity ultrasound on the structure and physicochemical properties of soy protein isolates produced by different denaturation methods. Food Hydrocoll. 2019, 97, 105216. [Google Scholar] [CrossRef]
- He, M.; Li, L.; Wu, C.; Zheng, L.; Jiang, L.; Huang, Y.; Teng, F.; Li, Y. Effects of glycation and acylation on the structural characteristics and physicochemical properties of soy protein isolate. J. Food Sci. 2021, 86, 1737–1750. [Google Scholar] [CrossRef]
- Zhao, X.; Chen, F.; Xue, W.; Lee, L. FTIR spectra studies on the secondary structures of 7S and 11S globulins from soybean proteins using AOT reverse micellar extraction. Food Hydrocoll. 2007, 22, 568–575. [Google Scholar] [CrossRef]
- Jiménez-Munoz, L.M.; Tavares, G.M.; Corredig, M. Design future foods using plant protein blends for best nutritional and technological functionality. Trends Food Sci. Technol. 2021, 113, 139–150. [Google Scholar] [CrossRef]
- Gastaldello, A.; Giampieri, F.; Giuseppe, R.D.; Grosso, G.; Baroni, L.; Battino, M. The rise of processed meat alternatives: A narrative review of the manufacturing, composition, nutritional profile and health effects of newer sources of protein, and their place in healthier diets. Trends Food Sci. Technol. 2022, 127, 263–271. [Google Scholar] [CrossRef]
- Meltretter, J.; Wüst, J.; Pischetsrieder, M. Comprehensive analysis of nonenzymatic post-translational b-lactoglobulin modifications in processed milk by ultra-high-performance liquid chromatographytandem mass spectrometry. J. Agric. Food Chem. 2013, 61, 6971–6981. [Google Scholar] [CrossRef] [PubMed]
- Meltretter, J.; Wüst, J.; Pischetsrieder, M. Modified peptides as indicators for thermal and nonthermal reactions in processed milk. J. Agric. Food Chem. 2014, 62, 10903–10915. [Google Scholar] [CrossRef] [PubMed]
- Kasran, M.; Cui, S.W.; Goff, H.D. Emulsifying properties of soy whey protein isolate fenugreek gum conjugates in oil-in-water emulsion model system. Food Hydrocoll. 2013, 30, 691–697. [Google Scholar] [CrossRef]
- Wang, Q.; Li, W.; Liu, P.; Hu, Z.; Qin, X.; Liu, G. A glycated whey protein isolate–epigallocatechin gallate nanocomplex enhances the stability of emulsion delivery of β-carotene during simulated digestion. Food Funct. 2019, 10, 6829–6839. [Google Scholar] [CrossRef] [PubMed]
- Zhu, Z.; Fang, R.; Huang, M.; Wei, Y.; Zhou, G. Oxidation combined with Maillard reaction induced free and protein-bound Nε-carboxymethyllysine and Nε-carboxyethyllysine formation during braised chicken processing. Food Sci. Hum. Wellness 2020, 9, 383–393. [Google Scholar] [CrossRef]
- Liu, J.; Ru, Q.; Ding, Y. Glycation a promising method for food protein modification: Physicochemical properties and structure, a review. Food Res. Int. 2012, 49, 170–183. [Google Scholar] [CrossRef]
- Liu, J.; Lyu, F.; Zhou, X.; Wang, B.; Wang, X.; Ding, Y.; Liu, J.; Lyu, F.; Zhou, X.; Wang, B.; et al. Preparation of Skipjack Tuna (Katsuwonus pelamis) protein hydrolysate using combined controlled enzymatic hydrolysis and glycation for improved solubility and emulsifying properties. J. Food Nutr. Res. 2015, 7, 471–477. [Google Scholar]
- Du, Q.; Zhou, L.; Li, M.; Lyu, F.; Liu, J.; Ding, Y. Omega3 polyunsaturated fatty acid encapsulation system: Physical and oxidative stability, and medical applications. Food Front. 2022, 3, 239–255. [Google Scholar] [CrossRef]
- Chen, H.; Ji, A.; Qiu, S.; Liu, Y.; Zhu, Q.; Yin, L. Covalent conjugation of bovine serum album and sugar beet pectin through Maillard reaction/laccase catalysis to improve the emulsifying properties. Food Hydrocoll. 2018, 76, 173–183. [Google Scholar] [CrossRef]
- Spotti, M.J.; Perduca, M.J.; Piagentini, A.; Santiago, L.G.; Rubiolo, A.C.; Carrara, C.R. Gel mechanical properties of milk whey protein–dextran conjugates obtained by Maillard reaction. Food Hydrocoll. 2013, 31, 26–32. [Google Scholar] [CrossRef]
- Dong, X.; Du, S.; Deng, Q.; Tang, H.; Yang, C.; Wei, F.; Chen, H.; Quek, S.Y.; Zhou, A.; Liu, L. Study on the antioxidant activity and emulsifying properties of flaxseed gum-whey protein isolate conjugates prepared by Maillard reaction. Int. J. Biol. Macromol. 2020, 153, 1157–1164. [Google Scholar] [CrossRef] [PubMed]
- Liang, X.; Ma, C.; Yan, X.; Zeng, H.; McClements, D.J.; Liu, X.; Liu, F. Structure, rheology and functionality of whey protein emulsion gels: Effects of double cross-linking with transglutaminase and calcium ions. Food Hydrocoll. 2020, 102, 105569. [Google Scholar] [CrossRef]
- Chen, W.; Lv, R.; Wang, W.; Ma, X.; Muhammad, A.I.; Guo, M.; Ye, X.; Liu, D. Time effect on structural and functional properties of whey protein 475 isolate-gum acacia conjugates prepared via Maillard reaction. J. Sci. Food Agric. 2019, 99, 4801–4807. [Google Scholar] [CrossRef] [PubMed]
- Din, J.U.; Sarwar, A.; Li, Y.; Aziz, T.; Hussain, F.; Shah, S.M.M.; Yi, G.; Liu, X. Separation of storage proteins (7S and 11S) from soybean seed, meals and protein isolate using an optimized method via comparison of yield and purity. Protein J. 2021, 40, 396–405. [Google Scholar] [CrossRef]
- Yang, Y.; Cui, S.W.; Gong, J.; Guo, Q.; Wang, Q.; Hua, Y. A soy protein-polysaccharides Maillard reaction product enhanced the physical stability of oil-in-water emulsions containing citral. Food Hydrocoll. 2015, 48, 155–164. [Google Scholar] [CrossRef]
- Tamnak, S.; Mirhosseini, H.; Tan, C.P.; Ghazali, H.M.; Muhammad, K. Physicochemical properties, rheological behavior and morphology of pectin-pea protein isolate mixtures and conjugates in aqueous system and oil in water 553 emulsion. Food Hydrocoll. 2016, 56, 405–416. [Google Scholar] [CrossRef]
- Vigo, M.; Malec, L.; Gomez, R.; Llosa, R. Spectrophotometric assay using o-phthaldialdehyde for determination of reactive lysine in dairy products. Food Chem. 1992, 44, 363–365. [Google Scholar] [CrossRef]
- Xiao, Y.; Qi, P.X.; Wickham, E.D. Interactions, induced by heating, of whey protein isolate (WPI) with sugar beet pectin (SBP) in solution: Comparisons with a dry state Maillard reaction. Food Hydrocoll. 2018, 83, 61–71. [Google Scholar] [CrossRef]
- Laemmli, U.K. Cleavage of structural proteins during the assembly of the head of bacteriophage T4. Nature 1970, 227, 680–685. [Google Scholar] [CrossRef]
- Jiang, L.; Wang, Z.; Li, Y.; Meng, X.; Sui, X.; Qi, B.; Zhou, L. Relationship Between Surface Hydrophobicity and Structure of Soy Protein Isolate Subjected to Different Ionic Strength. Int. J. Food Prop. 2015, 18, 1059–1074. [Google Scholar] [CrossRef]
- Mao, L.; Pan, Q.; Hou, Z.; Yuan, F.; Gao, Y. Development of soy protein isolate-carrageenan conjugates through Maillard reaction for the microencapsulation of Bifidobacterium longum. Food Hydrocoll. 2018, 84, 489–497. [Google Scholar] [CrossRef]
- Zhang, Q.; Li, L.; Lan, Q.; Li, M.; Wu, D.; Chen, H.; Liu, Y.; Lin, D.; Qin, W.; Zhang, Z.; et al. Protein glycosylation: A promising way to modify the functional properties and extend the application in food system. Crit. Rev. Food Sci. Nutr. 2019, 59, 2506–2533. [Google Scholar] [CrossRef] [PubMed]
- Wang, L.-H.; Sun, X.; Huang, G.-Q.; Xiao, J.-X. Conjugation of soybean protein isolate with xylose/fructose through wet-heating Maillard reaction. J. Food Meas. Charact. 2018, 12, 2718–2724. [Google Scholar] [CrossRef]
- Xu, Z.-Z.; Huang, G.-Q.; Xu, T.-C.; Liu, L.-N.; Xiao, J.-X. Comparative study on the Maillard reaction of chitosan oligosaccharide and glucose with soybean protein isolate. Int. J. Biol. Macromol. 2019, 131, 601–607. [Google Scholar] [CrossRef] [PubMed]
- Naik, R.R.; Wang, Y.; Selomulya, C. Improvements of plant protein functionalities by Maillard conjugation and Maillard reaction products. Crit. Rev. Food Sci. Nutr. 2022, 62, 7036–7061. [Google Scholar] [CrossRef] [PubMed]
- Li, W.; Zhao, H.; He, Z.; Zeng, M.; Qin, F.; Chen, J. Modification of soy protein hydrolysates by Maillard reaction: Effects of carbohydrate chain length on structural and interfacial properties. Colloids Surf. B Biointerfaces 2016, 138, 70–77. [Google Scholar] [CrossRef] [PubMed]
- Li, R.; Cui, Q.; Wang, G.; Liu, J.; Chen, S.; Wang, X.; Wang, X.; Jiang, L. Relationship between surface functional properties and flexibility of soy protein isolate-glucose conjugates. Food Hydrocoll. 2019, 95, 349–357. [Google Scholar] [CrossRef]
- Li, R.; Wang, X.; Liu, J.; Cui, Q.; Wang, X.; Chen, S.; Jiang, L. Relationship between molecular flexibility and emulsifying properties of soy protein isolate-glucose conjugates. J. Agric. Food Chem. 2019, 67, 4089–4097. [Google Scholar] [CrossRef]
- Schmidt, U.; Pietsch, V.; Rentschler, C.; Kurz, T.; Endreß, H.-U.; Schuchmann, H. Influence of the degree of esterification on the emulsifying performance of conjugates formed between whey protein isolate and citrus pectin. Food Hydrocoll. 2016, 56, 1–8. [Google Scholar] [CrossRef]
- Nasrollahzadeh, F.; Varidi, M.; Koocheki, A.; Hadizadeh, F. Effect of microwave and conventional heating on structural, functional and antioxidant properties of bovine serum albumin-maltodextrin conjugates through Maillard reaction. Food Res. Int. 2017, 100, 289–297. [Google Scholar] [CrossRef]
- Sharafodin, H.; Soltanizadeh, N.; Barahimi, M.S. Conjugation of soy protein isolate with carboxymethyl cellulose through dielectric barrier discharge (DBD) plasma. Food Chem. 2023, 407, 135059. [Google Scholar] [CrossRef] [PubMed]
- Liu, F.; Ma, C.; Gao, Y.; McClements, D.J. Food-grade covalent complexes and their application as nutraceutical delivery systems: A review. Compr. Rev. Food Sci. Food Saf. 2017, 16, 76–95. [Google Scholar] [CrossRef] [PubMed]
- Mengíbar, M.; Miralles, B.; Heras, Á. Use of soluble chitosans in Maillard reaction products with β-lactoglobulin. Emulsifying and antioxidant properties. LWT 2017, 75, 440–446. [Google Scholar] [CrossRef]
- Ai, M.; Xiao, N.; Jiang, A. Molecular structural modification of duck egg white protein conjugates with monosaccharides for improving emulsifying capacity. Food Hydrocoll. 2021, 111, 106271. [Google Scholar] [CrossRef]
- Qu, W.; Zhang, X.; Han, X.; Wang, Z.; He, R.; Ma, H. Structure and functional characteristics of rapeseed protein isolate-dextran conjugates. Food Hydrocoll. 2018, 82, 329–337. [Google Scholar] [CrossRef]
- Lu, Z.; Lee, P.-R.; Yang, H. Kappa-carrageenan improves the gelation and structures of soy protein isolate through the formation of hydrogen bonding and electrostatic interactions. Food Hydrocoll. 2023, 140, 108585. [Google Scholar] [CrossRef]
- Chen, W.; Ma, X.; Wang, W.; Lv, R.; Guo, M.; Ding, T.; Ye, X.; Miao, S.; Liu, D. Preparation of modified whey protein isolate with gum acacia by ultrasound maillard reaction. Food Hydrocoll. 2019, 95, 298–307. [Google Scholar] [CrossRef]
- Liu, F.; Ma, C.; McClements, D.J.; Gao, Y. Development of polyphenol-protein-polysaccharide ternary complexes as emulsifiers for nutraceutical emulsions: Impact on formation, stability, and bioaccessibility of β-carotene emulsions. Food Hydrocoll. 2016, 61, 578–588. [Google Scholar] [CrossRef]
- Shiratori, T.; Goto, S.; Sakaguchi, T.; Kasai, T.; Otsuka, Y.; Higashi, K.; Makino, K.; Takahashi, H.; Komatsu, K. Singular value decomposition analysis of the secondary structure features contributing to the circular dichroism spectra of model proteins. Biochem. Biophys. Rep. 2021, 28, 101153. [Google Scholar] [CrossRef]
- Wang, D.; Lv, P.; Zhang, L.; Yang, S.; Gao, Y. Structural and functional characterization of laccase-induced β-lactoglobulin–ferulic acid–chitosan ternary conjugates. J. Agric. Food Chem. 2019, 67, 12054–12060. [Google Scholar] [CrossRef]
- Cai, B.; Ikeda, S. Effects of the conjugation of whey proteins with gellan polysaccharides on surfactant-induced competitive displacement from the air-water interface. J. Dairy Sci. 2016, 99, 6026–6035. [Google Scholar] [CrossRef] [PubMed]
- Cui, Y.; Li, X.; Lu, M.; Liu, X.; Duan, X. Role of polysaccharide conjugation in physicochemical and emulsifying properties of egg phosvitin and the calcium binding capacity of its phosphor peptides. Food Funct. 2019, 10, 1808–1815. [Google Scholar] [CrossRef] [PubMed]
- Fu, L.; Wang, C.; Wang, J.; Ni, S.; Wang, Y. Maillard reaction with ribose, galacto-oligosaccharide or chitosan-oligosaccharide reduced the allergenicity of shrimp tropomyosin by inducing conformational changes. Food Chem. 2019, 274, 789–795. [Google Scholar] [CrossRef] [PubMed]









| Sample | a-Helix | β-Sheet | β-Turn | Other |
|---|---|---|---|---|
| 7S | 9.6 ± 0.15 b | 43.5 ± 2.07 a | 15.2 ± 1.25 c | 41.1 ± 3.29 bc |
| 7SG | 5.6 ± 0.14 b | 42.2 ± 2.07 a | 14.2 ± 1.25 c | 42.1 ± 3.29 bc |
| 7SG-0 h | 5.9 ± 0.13 ac | 42.3 ± 0.51 b | 14.5 ± 0.05 bc | 43.1 ± 0.55 a |
| 7SG-24 h | 2.7 ± 0.09 d | 42.0 ± 0.41 bc | 14.6 ± 0.17 d | 42.7 ± 1.00 ac |
| 7SG-48 h | 0.9 ± 0.08 ce | 42.7 ± 0.81 c | 14.6 ± 0.06 c | 42.5 ± 0.96 d |
| 7SG-72 h | 0.6 ± 0.08 ab | 42.1 ± 0.25 d | 14.4 ± 0.11 bc | 42.3 ± 0.32 e |
| 7SF | 11 ± 0.28 b | 41.9 ± 0.98 e | 14.5 ± 0.21 d | 43.6 ± 0.95 cb |
| 7SF-0 h | 11 ± 0.28 b | 41.9 ± 0.98 e | 14.5 ± 0.21 d | 43.6 ± 0.95 cb |
| 7SF-24 h | 8.6 ± 0.31 d | 42.8 ± 0.45 f | 14.5 ± 0.23 e | 42.6 ± 0.68 e |
| 7SF-48 h | 7.5 ± 0.48 e | 42.8 ± 0.37 af | 14.9 ± 0.64 b | 42.1 ± 0.66 f |
| 7SF-72 h | 2.1 ± 0.12 ad | 42.6 ± 0.55 ef | 15.0 ± 0.43 ab | 42.3 ± 0.35 a |
| Sample | a-Helix ± SD | β-Sheet ± SD | β-Turn ± SD | Other ± SD |
|---|---|---|---|---|
| 11S | 16.3 ± 1.12 f | 42.3 ± 0.77 ab | 14.6 ± 0.05 a | 43.0 ± 0.72 cd |
| 11SG | 38.5 ± 2.22 c | 42.5 ± 0.21 a | 14.6 ± 0.10 b | 42.9 ± 0.17 d |
| 11SG-0 h | 38.5 ± 2.22 c | 42.5 ± 0.21 a | 14.6 ± 0.10 b | 42.9 ± 0.17 d |
| 11SG-24 h | 59 ± 2.56 a | 41.7 ± 0.71 bc | 14.1 ± 0.56 c | 44.0 ± 1.10 ab |
| 11SG-48 h | 35.3 ± 0.98 d | 41.9 ± 0.55 d | 14.1 ± 0.51 d | 43.9 ± 0.96 a |
| 11SG-72 h | 35.8 ± 1.45 d | 41.8 ± 0.56 ac | 14.2 ± 0.65 ab | 43.8 ± 0.98 e |
| 11SF | 57.1 ± 1.87 a | 41.7 ± 0.15 de | 14.6 ± 0.17 bc | 43.5 ± 0.25 d |
| 11SF-0 h | 57.1 ± 1.87 a | 41.7 ± 0.15 de | 14.6 ± 0.17 bc | 43.5 ± 0.25 d |
| 11SF-24 h | 21.3 ± 2.33 e | 42.1 ± 0.87 d | 13.9 ± 0.41 ae | 43.9 ± 1.15 d |
| 11SF-48 h | 47.7 ± 2.54 b | 42.1 ± 1.18 ad | 14.6 ± 0.26 d | 43.2 ± 1.28 f |
| 11SF-72 h | 38.3 ± 1.99 c | 42.3 ± 1.21 a | 14.8 ± 0.71 ad | 42.8 ± 1.91 e |
Disclaimer/Publisher’s Note: The statements, opinions and data contained in all publications are solely those of the individual author(s) and contributor(s) and not of MDPI and/or the editor(s). MDPI and/or the editor(s) disclaim responsibility for any injury to people or property resulting from any ideas, methods, instructions or products referred to in the content. |
© 2024 by the authors. Licensee MDPI, Basel, Switzerland. This article is an open access article distributed under the terms and conditions of the Creative Commons Attribution (CC BY) license (https://creativecommons.org/licenses/by/4.0/).
Share and Cite
Ud Din, J.; Li, H.; Li, Y.; Liu, X.; Al-Dalali, S. Conjugation of Soybean Proteins 7S/11S Isolate with Glucose/Fructose in Gels through Wet-Heating Maillard Reaction. Gels 2024, 10, 237. https://doi.org/10.3390/gels10040237
Ud Din J, Li H, Li Y, Liu X, Al-Dalali S. Conjugation of Soybean Proteins 7S/11S Isolate with Glucose/Fructose in Gels through Wet-Heating Maillard Reaction. Gels. 2024; 10(4):237. https://doi.org/10.3390/gels10040237
Chicago/Turabian StyleUd Din, Jalal, He Li, You Li, Xinqi Liu, and Sam Al-Dalali. 2024. "Conjugation of Soybean Proteins 7S/11S Isolate with Glucose/Fructose in Gels through Wet-Heating Maillard Reaction" Gels 10, no. 4: 237. https://doi.org/10.3390/gels10040237
APA StyleUd Din, J., Li, H., Li, Y., Liu, X., & Al-Dalali, S. (2024). Conjugation of Soybean Proteins 7S/11S Isolate with Glucose/Fructose in Gels through Wet-Heating Maillard Reaction. Gels, 10(4), 237. https://doi.org/10.3390/gels10040237

