Effects of Doxycycline-Loaded NO-Releasing Nanomatrix Gel on Delayed Replanted of Rat Molar
Abstract
1. Introduction
2. Results and Discussions
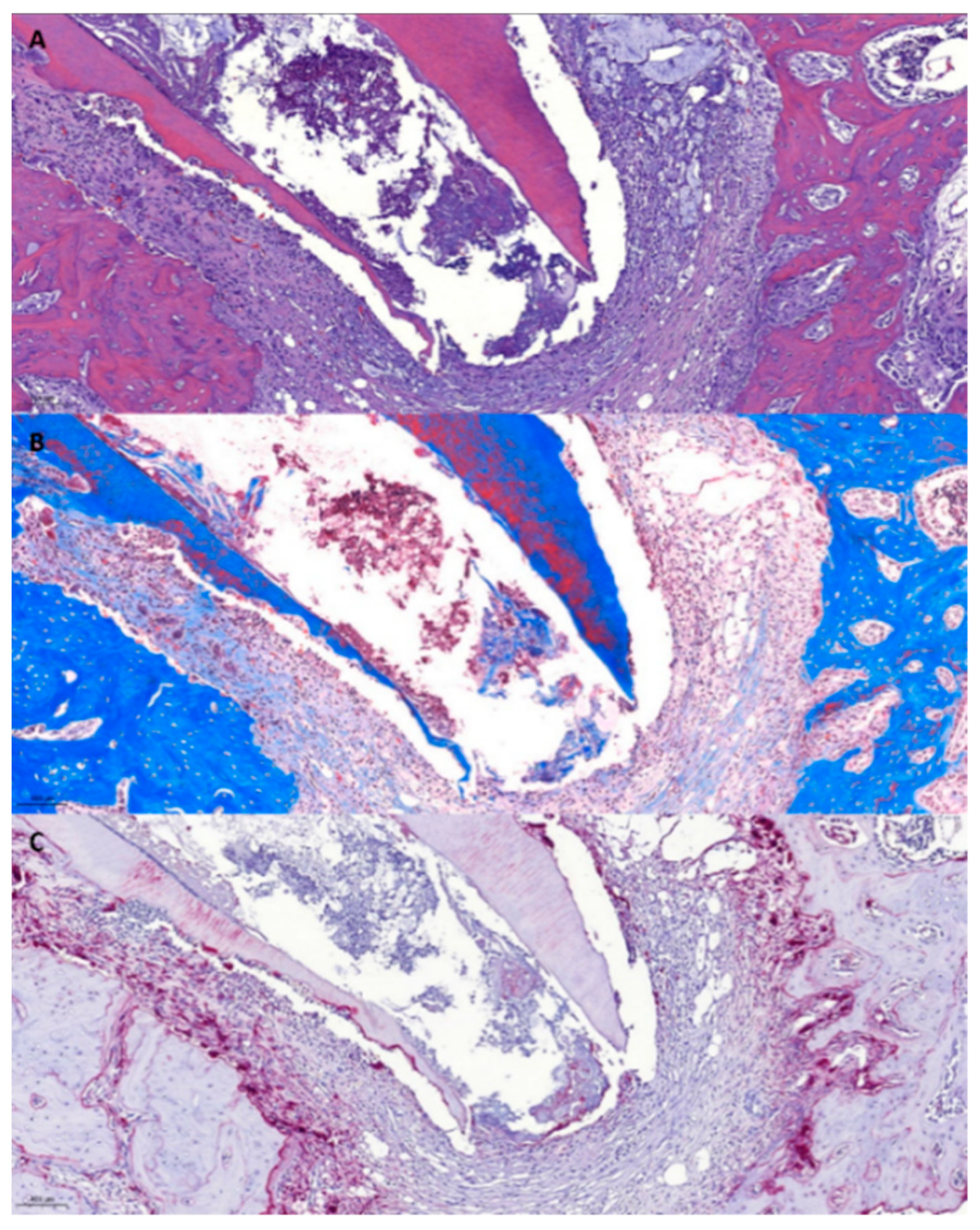
2.1. Histomorphometry Analysis of the Experimental Group
- (1)
- Group 1 (no treatment)
- (2)
- Group 2 (2% NaF)
- (3)
- Group 3 (NO gel)
- (4)
- Group 4 (DN gel)
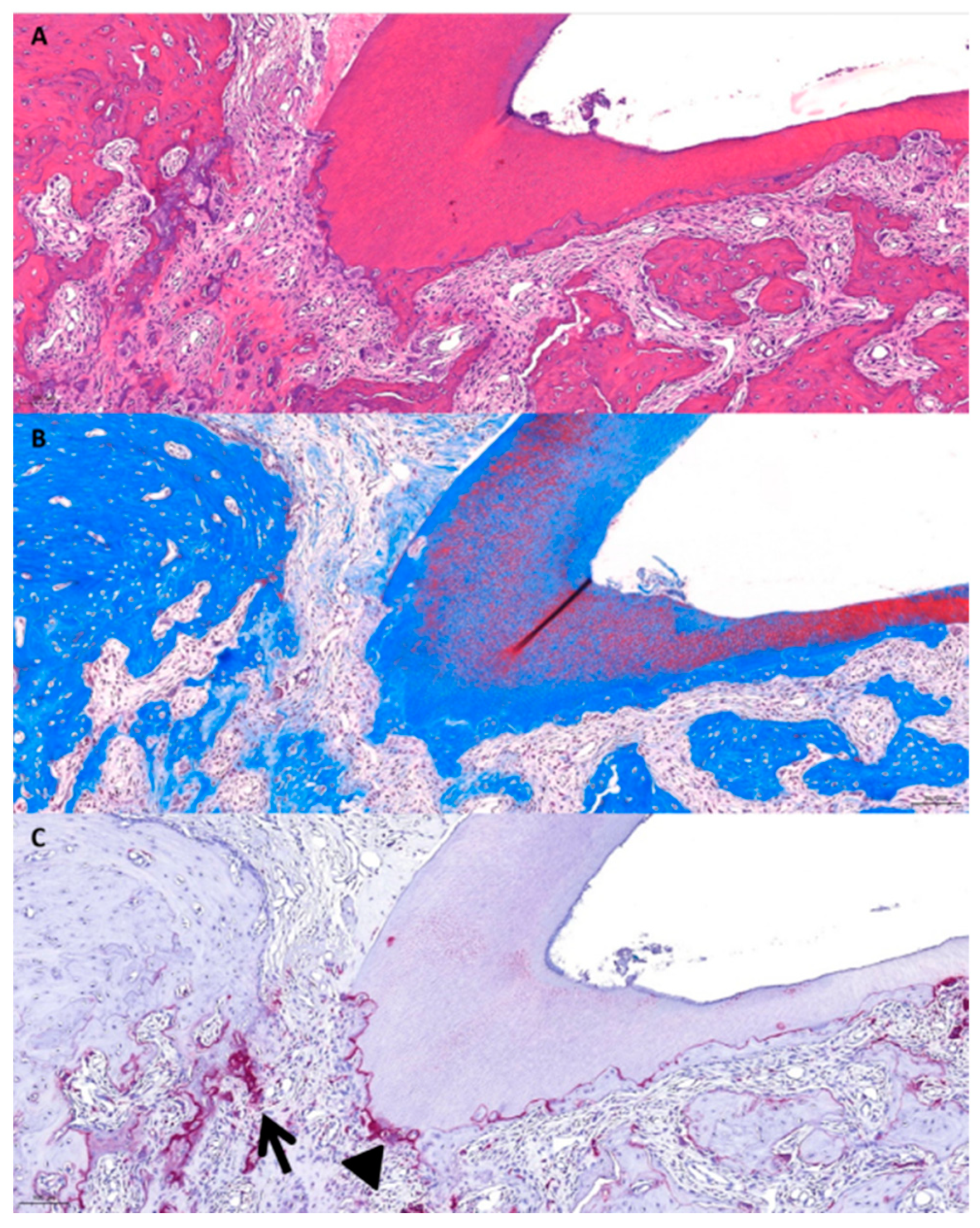
2.2. Effects on Periodontal Healing
2.3. Discussions
3. Conclusions
4. Materials and Methods
4.1. Preparation of the DN Gel
4.2. Animal Preparation and Replantation Procedures
4.2.1. Preparing Animals and Defining Experimental Groups
4.2.2. Surgical Procedures and Root Conditioning
4.3. Histological Evaluation
4.3.1. Histological Staining Procedures
4.3.2. Histological Analysis
- ▪
- Inflammatory root resorption: loss of the root surface with multinucleated inflammatory cell infiltration
- ▪
- Replacement root resorption (ankylosis): loss of PDL cells with the direct fusion of bone tissue to cementum.
- ▪
- Total root resorption: the sum of inflammatory and replacement root resorption considering that the two resorption patterns are completely different.
4.4. Statistical Analysis
Author Contributions
Funding
Institutional Review Board Statement
Informed Consent Statement
Data Availability Statement
Conflicts of Interest
References
- Andreasen, J.O.; Andreasen, F.M.; Andersson, L. Textbook and Color Atlas of Traumatic Injuries to the Teeth, 5th ed.; Blackwell Munksgaard: Cophenhagen, Denmark, 2013. [Google Scholar]
- McIntyre, J.D.; Lee, J.Y.; Trope, M.; Vann, W.F., Jr. Management of avulsed permanent incisors: A comprehensive update. Pediatr. Dent. 2007, 29, 56–63. [Google Scholar]
- Fuss, Z.; Tsesis, I.; Lin, S. Root resorption–diagnosis, classification and treatment choices based on stimulation factors. Dent. Traumatol. 2003, 19, 175–182. [Google Scholar] [CrossRef]
- Andreasen, J.O.; Borum, M.K.; Jacobsen, H.L.; Andreasen, F.M. Replantation of 400 avulsed permanent incisors. 4. Factors related to periodontal ligament healing. Endod. Dent. Traumatol. 1995, 11, 76–89. [Google Scholar] [CrossRef]
- Choi, S.C.; Kwon, Y.D.; Kim, K.C.; Kim, G.T. The effects of topical application of bisphosphonates on replanted rat molars. Dent. Traumatol. 2010, 26, 476–480. [Google Scholar] [CrossRef] [PubMed]
- Selvig, K.A.; Bjorvatn, K.; Bogle, G.C.; Wikesjo, U.M. Effect of stannous fluoride and tetracycline on periodontal repair after delayed tooth replantation in dogs. Scand. J. Dent. Res. 1992, 100, 200–203. [Google Scholar] [CrossRef]
- Tsilingaridis, G.; Malmgren, B.; Skutberg, C.; Malmgren, O. The effect of topical treatment with doxycycline compared to saline on 66 avulsed permanent teeth—A retrospective case-control study. Dent. Traumatol. 2015, 31, 1716. [Google Scholar] [CrossRef]
- Mori, G.G.; Nunes, D.C.; Castilho, L.R.; de Moraes, I.G.; Poi, W.R. Propolis as storage media for avulsed teeth: Microscopic and morphometric analysis in rats. Dent. Traumatol. 2010, 26, 80–85. [Google Scholar] [CrossRef] [PubMed]
- Mustafa, M. Awareness about management of tooth avulsion among general dental practitioners: A questionnaire-based study. J. Orthod. 2017, 3, 2. [Google Scholar] [CrossRef]
- Fouad, A.F.; Abbott, P.V.; Tsilingaridis, G.; Cohenca, N.; Lauridsen, E.; Bourguignon, C.; O’Connell, A.; Flores, M.T.; Day, P.F.; Hicks, L.; et al. International Association of Dental Traumatology guidelines for the management of traumatic dental injuries: 2. Avulsion of permanent teeth. Dent. Traumatol. 2020, 36, 331–342. [Google Scholar] [CrossRef]
- Yoo, J.E.; Kim, M.S.; Kwon, Y.D.; Kim, E.C.; Kim, K.C.; Choi, S.C. Could zoledronic acid prevent root resorption in replanted rat molar? Dent. Traumatol. 2015, 31, 465–470. [Google Scholar] [CrossRef]
- Komatsu, K.; Shimada, A.; Shibata, T.; Shimoda, S.; Oida, S.; Kawasaki, K.; Nifuji, A. Long-term effects of local pretreatment with alendronate on healing of replanted rat teeth. J. Periodontal Res. 2008, 43, 194–200. [Google Scholar] [CrossRef] [PubMed]
- Alakangas, A.; Selander, K.; Mulari, M.; Halleen, J.; Lehenkari, P.; Mönkkönen, J.; Salo, J.; Väänänen, K. Alendronate disturbs vesicular trafficking in osteoclasts. Calcif. Tissue Int. 2002, 70, 40–47. [Google Scholar] [CrossRef]
- Aghaloo, T.L.; Hadaya, D. Basic Principles of Bioengineering and Regeneration. Oral. Maxillofac. Surg. Clin. N. Am. 2017, 29, 1–7. [Google Scholar] [CrossRef]
- Scheller, E.L.; Krebsbach, P.H.; Kohn, D.H. Tissue engineering: State of the art in oral rehabilitation. J. Oral. Rehabil. 2009, 36, 368–389. [Google Scholar] [CrossRef]
- Atala, A. Regenerative medicine strategies. J. Pediatr. Surg. 2012, 47, 17–28. [Google Scholar] [CrossRef] [PubMed]
- Granger, D.N.; Kubes, P. Nitric oxide as antiinflammatory agent. Methods Enzym. 1996, 269, 434–442. [Google Scholar]
- Collin-Osdoby, P.; Rothe, L.; Bekker, S.; Anderson, F.; Osdoby, P. Decreased nitric oxide levels stimulate osteoclastogenesis and bone resorption both in vitro and in vivo on the chick chorioallantoic membrane in association with neoangiogenesis. J. Bone Miner. Res. Off. J. Am. Soc. Bone Miner. Res. 2000, 15, 474–488. [Google Scholar] [CrossRef]
- Sieber, C.C.; Sumanovski, L.T.; Stumm, M.; van der Kooij, M.; Battegay, E. In vivo angiogenesis in normal and portal hypertensive rats: Role of basic fibroblast growth factor and nitric oxide. J. Hepatol. 2001, 34, 644–650. [Google Scholar] [CrossRef]
- Kumar, S.; Singh, R.K.; Bhardwaj, T.R. Therapeutic role of nitric oxide as emerging molecule. Biomed. Pharmacother. 2017, 85, 182–201. [Google Scholar] [CrossRef]
- Backlund, C.J.; Sergesketter, A.R.; Offenbacher, S.; Schoenfisch, M.H. Antibacterial efficacy of exogenous nitric oxide on periodontal pathogens. J. Dent. Res. 2014, 93, 1089–1094. [Google Scholar] [CrossRef]
- Jun, H.W.; Paramonov, S.E.; Hartgerink, J.D. Biomimetic self-assembled nanofibers. Soft Matter 2006, 2, 177–181. [Google Scholar] [CrossRef]
- Hubbell, J.A. Materials as morphogenetic guides in tissue engineering. Curr. Opin. Biotechnol. 2003, 14, 551–558. [Google Scholar] [CrossRef]
- Ban, K.; Park, H.J.; Kim, S.; Andukuri, A.; Cho, K.W.; Hwang, J.W.; Cha, H.J.; Kim, S.Y.; Kim, W.-S.; Jun, H.-W.; et al. Cell therapy with embryonic stem cell-derived cardiomyocytes encapsulated in injectable nanomatrix gel enhances cell engraftment and promotes cardiac repair. ACS Nano 2014, 8, 10815–10825. [Google Scholar] [CrossRef]
- Lim, D.J.; Antipenko, S.V.; Anderson, J.M.; Jaimes, K.F.; Viera, L.; Stephen, B.R.; Bryant, S.M.; Yancey, B.D.; Hughes, K.J.; Cui, W.; et al. Enhanced rat islet function and survival in vitro using a biomimetic self-assembled nanomatrix gel. Tissue Eng. Part A 2011, 17, 399–406. [Google Scholar] [CrossRef]
- Alexander, G.C.; Vines, J.B.; Hwang, P.; Kim, T.; Kim, J.A.; Brott, B.C.; Yoon, Y.S.; Jun, H.W. Novel Multifunctional Nanomatrix Reduces Inflammation in Dynamic Conditions in Vitro and Dilates Arteries ex Vivo. ACS Appl. Mater. Interfaces 2016, 8, 5178–5187. [Google Scholar] [CrossRef]
- Yun, K.H.; Ko, M.J.; Chae, Y.K.; Lee, K.; Nam, O.H.; Lee, H.S.; Cheon, K.; Choi, S.C. Doxycycline-Loaded Nitric Oxide-Releasing Nanomatrix Gel in Replanted Rat Molar on Pulp Regeneration. Appl. Sci. 2021, 11, 6041. [Google Scholar] [CrossRef]
- Krasner, P.; Rankow, H.J. New philosophy for the treatment of avulsed teeth. Oral. Surg. Oral. Med. Oral. Pathol. Oral. Radiol. Endod. 1995, 79, 616–623. [Google Scholar] [CrossRef]
- Pohl, Y.; Filippi, A.; Kirschner, H. Results after replantation of avulsed permanent teeth. II. Periodontal healing and the role of physiologic storage and antiresorptive-regenerative therapy. Dent. Traumatol. 2005, 21, 93–101. [Google Scholar] [CrossRef] [PubMed]
- Khademi, A.; Saei, S.; Mohajeri, M.; Mirkheshti, N.; Ghassami, F.; Torabi nia, N.; Alavi, S.A. A new storage medium for an avulsed tooth. J. Contemp. Dent. Pract. 2008, 9, 25–32. [Google Scholar] [CrossRef] [PubMed]
- Martins, W.D.; Westphalen, V.P.D.; Westphalen, F.H. Tooth replantation after traumatic avulsion: A 27-year follow up. Dent. Traumatol. 2004, 20, 101–105. [Google Scholar] [CrossRef] [PubMed]
- Gjertsen, A.W.; Stothz, K.A.; Neiva, K.G.; Pileggi, R. Effect of propolis on proliferation and apoptosis of periodontal ligament fibroblasts. Oral. Surg. Oral. Med. Oral. Pathol. Oral. Radiol. Endod. 2011, 112, 843–848. [Google Scholar] [CrossRef]
- Khinda, V.I.; Kaur, G.; Brar, G.S.; Kallar, S.; Khurana, H. Clinical and Practical Implications of Storage Media used for Tooth Avulsion. Int. J. Clin. Pediatr. Dent. 2017, 10, 158. [Google Scholar] [CrossRef]
- Poi, W.R.; Sonoda, C.K.; Martins, C.M.; Melo, M.E.; Pellizzer, E.P.; Mendonça, M.R.; Panzarini, S.R. Storage media for avulsed teeth: A literature review. Braz. Dent. J. 2013, 24, 437–445. [Google Scholar] [CrossRef]
- Andreasen, J.O. Effect of extra-alveolar period and storage media upon periodontal and pulpal healing after replantation of mature permanent incisors in monkeys. Int. J. Oral Surg. 1981, 10, 43–53. [Google Scholar] [CrossRef]
- Cvek, M.; Granath, L.E.; Hollender, L. Treatment of non-vital permanent incisors with calcium hydroxide. 3. Variation of occurrence of ankylosis of reimplanted teeth with duration of extra-alveolar period and storage environment. Odontol. Rev. 1974, 25, 43–56. [Google Scholar]
- Shulman, L.B.; Kalis, P.; Goldhaber, P. Fluoride inhibition of tooth-replant root resorption in Cebus monkeys. J. Oral. Ther. Pharmacol. 1968, 4, 331–337. [Google Scholar]
- Coccia, C.T. A clinical investigation of root resorption rates in reimplanted young permanent incisors: A five-year study. J. Endod. 1980, 6, 413–420. [Google Scholar] [CrossRef]
- Flores, M.; Andreasen, J.; Bakland, L.; Feiglin, B.; Gutmann, J.; Oikarinen, K.; Ford, T.R.; Sigurdsson, A.; Trope, M.; Vann, W.F., Jr.; et al. Guidelines for the evaluation and management of traumatic dental injuries. Dent. Traumatol. 2001, 17, 49–52. [Google Scholar] [CrossRef] [PubMed]
- Trope, M. Clinical management of the avulsed tooth: Present strategies and future directions. Dent. Traumatol. 2002, 18, 1–11. [Google Scholar] [CrossRef] [PubMed]
- Finucane, D.; Kinirons, M.J. External inflammatory and replacement resorption of luxated, and avulsed replanted permanent incisors: A review and case presentation. Dent. Traumatol. 2003, 19, 170–174. [Google Scholar] [CrossRef] [PubMed]
- Trope, M.; Moshonov, J.; Nissan, R.; Buxt, P.; Yesilsoy, C. Short vs. long-term calcium hydroxide treatment of established inflammatory root resorption in replanted dog teeth. Dent. Traumatol. 1995, 11, 124–128. [Google Scholar]
- Consolaro, A. Dental Resorptions in the Clinic Specialties; Dental Press: Maringa, Brazil, 2002; p. 1447. [Google Scholar]
- Lindskog, S.; Hammarström, L. Evidence in favor of an anti-invasion factor in cementum or periodontal membrane of human teeth. Eur. J. Oral. Sci. 1980, 88, 161–164. [Google Scholar] [CrossRef] [PubMed]
- Keum, K.-Y.; Kwon, O.-T.; Spängberg, L.S.; Kim, C.-K.; Kim, J.; Cho, M.-I.; Lee, S.J. Effect of dexamethasone on root resorption after delayed replantation of rat tooth. J. Endod. 2003, 29, 810–813. [Google Scholar] [CrossRef] [PubMed]
- Panzarini, S.R.; de Carvalho, A.C.P.; Poi, W.R.; Sonoda, C.K. Use of vitamin C in delayed tooth replantation. Braz. Dent. J. 2005, 16, 17–22. [Google Scholar] [CrossRef]
- Sorensen, R.G.; Polimeni, G.; Kinoshita, A.; Wozney, J.M.; Wikesjö, U.M. Effect of recombinant human bone morphogenetic protein-12 (rhBMP-12) on regeneration of periodontal attachment following tooth replantation in dogs: A pilot study. J. Clin. Periodontol. 2004, 31, 654–661. [Google Scholar] [CrossRef] [PubMed]
- Poi, W.R.; Carvalho, R.M.; Panzarini, S.R.; Sonoda, C.K.; Manfrin, T.M.; Rodrigues, T.d.S. Influence of enamel matrix derivative (Emdogain®) and sodium fluoride on the healing process in delayed tooth replantation: Histologic and histometric analysis in rats. Dent. Traumatol. 2007, 23, 35–41. [Google Scholar] [CrossRef]
- Dimmeler, S.; Zeiher, A.M. Nitric oxide-an endothelial cell survival factor. Cell Death Differ. 1999, 6, 964–968. [Google Scholar] [CrossRef]
- Hammarström, L.; Blomlöf, L.; Feiglin, B.; Andersson, L.; Lindskog, S.J.D.T. Replantation of teeth and antibiotic treatment. Endod Dent Traumatol. 1986, 2, 51–57. [Google Scholar] [CrossRef]
- Cvek, M.; Cleaton-Jones, P.; Austin, J.; Lownie, J.; Kling, M.; Fatti, P. Effect of topical application of doxycycline on pulp revascularization and periodontal healing in reimplanted monkey incisors. Endod. Dent. Traumatol. 1990, 6, 170–176. [Google Scholar] [CrossRef]
- Preshaw, P.M.; Hefti, A.F.; Jepsen, S.; Etienne, D.; Walker, C.; Bradshaw, M.H. Subantimicrobial dose doxycycline as adjunctive treatment for periodontitis: A review. J. Clin. Periodontol. 2004, 31, 697–707. [Google Scholar] [CrossRef]
- Ramamurthy, N.; Golub, L. Diabetes increases collagenase activity in extracts of rat gingiva and skin. J. Periodontal Res. 1983, 18, 23–30. [Google Scholar] [CrossRef] [PubMed]
- Ahn, H.J.; Nam, O.H.; Lee, H.S.; Kim, E.C.; Cohenca, N.; Choi, S.C. Expression of inflammatory cytokines and MMPs on replanted teeth at different extra-alveolar time: An ex vivo and in vivo study. Int. J. Paediatr. Dent. 2016, 26, 301–309. [Google Scholar] [CrossRef]
- Franco, G.C.; Kajiya, M.; Nakanishi, T.; Ohta, K.; Rosalen, P.L.; Groppo, F.C.; Ernst, C.W.; Boyesen, J.L.; Bartlett, J.D.; Stashenko, P.; et al. Inhibition of matrix metalloproteinase-9 activity by doxycycline ameliorates RANK ligand-induced osteoclast differentiation in vitro and in vivo. Exp. Cell Res. 2011, 317, 1454–1464. [Google Scholar] [CrossRef]
- Shulman, L.; Gedalia, I.; Feingold, R. Fluoride concentration in root surfaces and alveolar bone of fluoride-immersed monkey incisors three weeks after replantation. J. Dent. Res. 1973, 52, 1314–1316. [Google Scholar] [CrossRef]
- Kaushik, S.N.; Scoffield, J.; Andukuri, A.; Alexander, G.C.; Walker, T.; Kim, S.; Choi, S.C.; Brott, B.C.; Eleazer, P.D.; Lee, J.-Y.; et al. Evaluation of ciprofloxacin and metronidazole encapsulated biomimetic nanomatrix gel on Enterococcus faecalis and Treponema denticola. Biomater. Res. 2015, 19, 9. [Google Scholar] [CrossRef] [PubMed]
- Rambhia, K.J.; Ma, P.X. Controlled drug release for tissue engineering. J. Control. Release 2015, 219, 119–128. [Google Scholar] [CrossRef] [PubMed]







| Group 1 (No Treatment) | Group 2 (NaF) | Group 3 (NO Gel) | Group 4 (DN Gel) | |
|---|---|---|---|---|
| Inflammatory root resorption | 2.50 ± 0.55 a | 1.67 ± 0.52 a | 2.00 ± 0.63 a | 1.50 ± 0.84 a |
| Replacement root resorption | 1.50 ± 1.05 a | 0.33 ± 0.52 a | 1.17 ± 0. 98 a | 0.67 ± 0.82 a |
| Total root resorption | 4.00 ± 0.63 a | 2.00 ± 0.63 b | 3.17 ± 0.75 ab | 2.17 ± 0.98 b |
| Root Conditioning Agent | Number | |
|---|---|---|
| Group 1 | No treatment | 6 |
| Group 2 | 2% NaF | 6 |
| Group 3 | NO gel (10 mL) | 6 |
| Group 4 | Doxycycline (1 mg) + NO gel (10 mL) | 6 |
| Total | 24 |
| Grade | Inflammatory Root Resorption | Replacement Root Resorption | Total Root Resorption |
|---|---|---|---|
| 0 | Not observed | Sum of inflammatory and replacement root resorption | |
| 1 | Less than 25% observed (<25%) | ||
| 2 | Less than 50% observed (<50%) | ||
| 3 | Less than 75% observed (<75%) | ||
| 4 | More than 75% observed (≥75%) | ||
| 5 | Tooth exfoliation | ||
Disclaimer/Publisher’s Note: The statements, opinions and data contained in all publications are solely those of the individual author(s) and contributor(s) and not of MDPI and/or the editor(s). MDPI and/or the editor(s) disclaim responsibility for any injury to people or property resulting from any ideas, methods, instructions or products referred to in the content. |
© 2024 by the authors. Licensee MDPI, Basel, Switzerland. This article is an open access article distributed under the terms and conditions of the Creative Commons Attribution (CC BY) license (https://creativecommons.org/licenses/by/4.0/).
Share and Cite
Ko, M.J.; Kim, M.S.; Lee, H.-S.; Nam, O.H.; Chae, Y.K.; Choi, S.C. Effects of Doxycycline-Loaded NO-Releasing Nanomatrix Gel on Delayed Replanted of Rat Molar. Gels 2024, 10, 213. https://doi.org/10.3390/gels10040213
Ko MJ, Kim MS, Lee H-S, Nam OH, Chae YK, Choi SC. Effects of Doxycycline-Loaded NO-Releasing Nanomatrix Gel on Delayed Replanted of Rat Molar. Gels. 2024; 10(4):213. https://doi.org/10.3390/gels10040213
Chicago/Turabian StyleKo, Mi Ja, Mi Sun Kim, Hyo-Seol Lee, Ok Hyung Nam, Yong Kwon Chae, and Sung Chul Choi. 2024. "Effects of Doxycycline-Loaded NO-Releasing Nanomatrix Gel on Delayed Replanted of Rat Molar" Gels 10, no. 4: 213. https://doi.org/10.3390/gels10040213
APA StyleKo, M. J., Kim, M. S., Lee, H.-S., Nam, O. H., Chae, Y. K., & Choi, S. C. (2024). Effects of Doxycycline-Loaded NO-Releasing Nanomatrix Gel on Delayed Replanted of Rat Molar. Gels, 10(4), 213. https://doi.org/10.3390/gels10040213

