Navigating Uncertainty: Managing Influenza-Associated Invasive Pulmonary Aspergillosis in an Intensive Care Unit
Abstract
1. Introduction
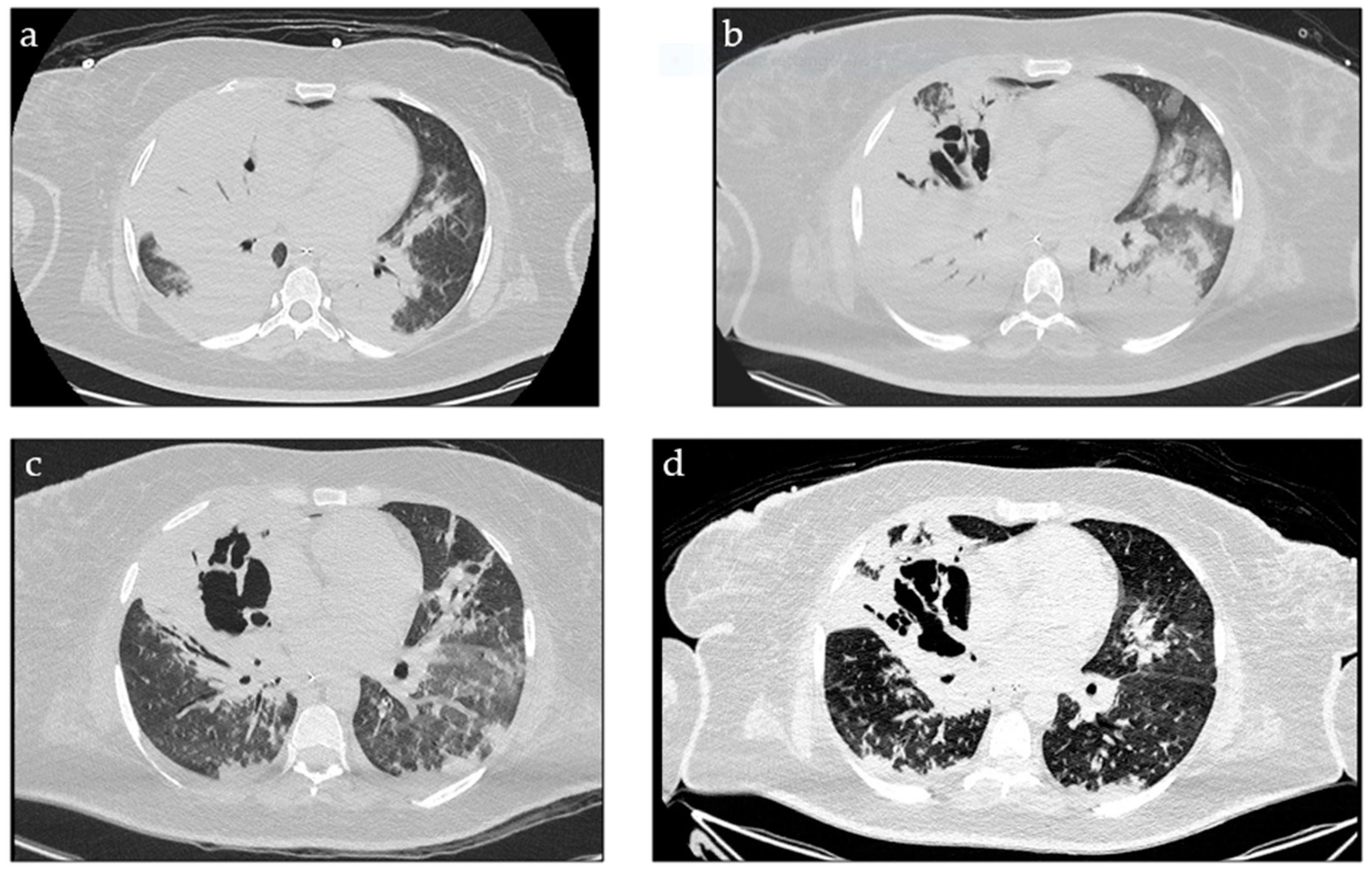
2. Case Report
3. Discussion
Author Contributions
Funding
Institutional Review Board Statement
Informed Consent Statement
Data Availability Statement
Conflicts of Interest
References
- Kousha, M.; Tadi, R.; Soubani, A.O. Pulmonary Aspergillosis: A Clinical Review. Eur. Respir. Rev. 2011, 20, 156–174. [Google Scholar] [CrossRef] [PubMed]
- Schauwvlieghe, A.F.A.D.; Rijnders, B.J.A.; Philips, N.; Verwijs, R.; Vanderbeke, L.; Van Tienen, C.; Lagrou, K.; Verweij, P.E.; Van de Veerdonk, F.L.; Gommers, D.; et al. Invasive Aspergillosis in Patients Admitted to the Intensive Care Unit with Severe Influenza: A Retrospective Cohort Study. Lancet Respir. Med. 2018, 6, 782–792. [Google Scholar] [CrossRef]
- Bartoletti, M.; Pascale, R.; Cricca, M.; Rinaldi, M.; Maccaro, A.; Bussini, L.; Fornaro, G.; Tonetti, T.; Pizzilli, G.; Francalanci, E.; et al. Epidemiology of Invasive Pulmonary Aspergillosis among Intubated Patients with COVID-19: A Prospective Study. Clin. Infect. Dis. 2021, 73, e3606–e3614. [Google Scholar] [CrossRef] [PubMed]
- Casalini, G.; Giacomelli, A.; Antinori, S. The WHO Fungal Priority Pathogens List: A Crucial Reappraisal to Review the Prioritisation. Lancet Microbe. 2024, 5, 717–724. [Google Scholar] [CrossRef]
- Lu, L.Y.; Lee, H.M.; Burke, A.; Li Bassi, G.; Torres, A.; Fraser, J.F.; Fanning, J.P. Prevalence, Risk Factors, Clinical Features, and Outcome of Influenza-Associated Pulmonary Aspergillosis in Critically Ill Patients: A Systematic Review and Meta-Analysis. Chest 2024, 165, 540–558. [Google Scholar] [CrossRef] [PubMed]
- Koehler, P.; Bassetti, M.; Chakrabarti, A.; Chen, S.C.A.; Colombo, A.L.; Hoenigl, M.; Klimko, N.; Lass-Flörl, C.; Oladele, R.O.; Vinh, D.C.; et al. Defining and Managing COVID-19-Associated Pulmonary Aspergillosis: The 2020 ECMM/ISHAM Consensus Criteria for Research and Clinical Guidance. Lancet Infect. Dis. 2021, 21, e149–e162. [Google Scholar] [CrossRef] [PubMed]
- Blot, S.; Rello, J.; Koulenti, D. Diagnosing Invasive Pulmonary Aspergillosis in ICU Patients: Putting the Puzzle Together. Curr. Opin. Crit. Care 2019, 25, 430–437. [Google Scholar] [CrossRef]
- Feys, S.; Almyroudi, M.P.; Braspenning, R.; Lagrou, K.; Spriet, I.; Dimopoulos, G.; Wauters, J. A Visual and Comprehensive Review on COVID-19-Associated Pulmonary Aspergillosis (Capa). J. Fungi 2021, 7, 1067. [Google Scholar] [CrossRef]
- Blot, S.I.; Taccone, F.S.; Van Den Abeele, A.M.; Bulpa, P.; Meersseman, W.; Brusselaers, N.; Dimopoulos, G.; Paiva, J.A.; Misset, B.; Rello, J.; et al. A Clinical Algorithm to Diagnose Invasive Pulmonary Aspergillosis in Critically Ill Patients. Am. J. Respir. Crit. Care Med. 2012, 186, 56–64. [Google Scholar] [CrossRef]
- Verweij, P.E.; Rijnders, B.J.A.; Brüggemann, R.J.M.; Azoulay, E.; Bassetti, M.; Blot, S.; Calandra, T.; Clancy, C.J.; Cornely, O.A.; Chiller, T.; et al. Review of Influenza-Associated Pulmonary Aspergillosis in ICU Patients and Proposal for a Case Definition: An Expert Opinion. Intensive Care Med. 2020, 46, 1524–1535. [Google Scholar] [CrossRef]
- Casalini, G.; Giacomelli, A.; Galimberti, L.; Colombo, R.; Ballone, E.; Pozza, G.; Zacheo, M.; Galimberti, M.; Oreni, L.; Carsana, L.; et al. Challenges in Diagnosing COVID-19-Associated Pulmonary Aspergillosis in Critically Ill Patients: The Relationship between Case Definitions and Autoptic Data. J. Fungi 2022, 8, 894. [Google Scholar] [CrossRef]
- Ullmann, A.J.; Aguado, J.M.; Arikan-Akdagli, S.; Denning, D.W.; Groll, A.H.; Lagrou, K.; Lass-Flörl, C.; Lewis, R.E.; Munoz, P.; Verweij, P.E.; et al. Diagnosis and Management of Aspergillus Diseases: Executive Summary of the 2017 ESCMID-ECMM-ERS Guideline. Clin. Microbiol. Infect. 2018, 24, e1–e38. [Google Scholar] [CrossRef]
- Abdul-Aziz, M.-H.; Alffenaar, J.-W.C.; Bassetti, M.; Bracht, H.; Dimopoulos, G.; Marriott, D.; Neely, M.N.; Paiva, J.-A.; Pea, F.; Sjovall, F.; et al. Antimicrobial Therapeutic Drug Monitoring in Critically Ill Adult Patients: A Position Paper. Intensive Care Med. 2020, 46, 1127–1153. [Google Scholar] [CrossRef] [PubMed]
- Bassetti, M.; Giacobbe, D.R.; Agvald-Ohman, C.; Akova, M.; Alastruey-Izquierdo, A.; Arikan-Akdagli, S.; Azoulay, E.; Blot, S.; Cornely, O.A.; Cuenca-Estrella, M.; et al. Invasive Fungal Diseases in Adult Patients in Intensive Care Unit (FUNDICU): 2024 consensus definitions from ESGCIP, EFISG, ESICM, ECMM, MSGERC, ISAC, and ISHAM. Intensive Care Med. 2024, 50, 502–515. [Google Scholar] [CrossRef]
- Vergidis, P.; Sendi, P.; Alkhateeb, H.B.; Nguyen, M.H. How Do I Manage Refractory Invasive Pulmonary Aspergillosis. Clin. Microbiol. Infect. 2024, 30, 755–761. [Google Scholar] [CrossRef] [PubMed]
- Patterson, T.F.; Thompson, G.R.; Denning, D.W.; Fishman, J.A.; Hadley, S.; Herbrecht, R.; Kontoyiannis, D.P.; Marr, K.A.; Morrison, V.A.; Nguyen, M.H.; et al. Practice Guidelines for the Diagnosis and Management of Aspergillosis: 2016 Update by the Infectious Diseases Society of America. Clin. Infect. Dis. 2016, 63, e1–e60. [Google Scholar] [CrossRef] [PubMed]
- Maertens, J.A.; Raad, I.I.; Marr, K.A.; Patterson, T.F.; Kontoyiannis, D.P.; Cornely, O.A.; Bow, E.J.; Rahav, G.; Neofytos, D.; Aoun, M.; et al. Isavuconazole versus Voriconazole for Primary Treatment of Invasive Mould Disease Caused by Aspergillus and Other Filamentous Fungi (SECURE): A Phase 3, Randomised-Controlled, Non-Inferiority Trial. Lancet 2016, 387, 760–769. [Google Scholar] [CrossRef] [PubMed]
- Maertens, J.A.; Rahav, G.; Lee, D.-G.; Ponce-De-León, A.; Cristina, I.; Sánchez, R.; Klimko, N.; Sonet, A.; Haider, S.; Diego Vélez, J.; et al. Posaconazole versus Voriconazole for Primary Treatment of Invasive Aspergillosis: A Phase 3, Randomised, Controlled, Non-Inferiority Trial. Lancet 2021, 397, 499–509. [Google Scholar] [CrossRef]
- Kane, A.; Carter, D.A. Augmenting Azoles with Drug Synergy to Expand the Antifungal Toolbox. Pharmaceuticals 2022, 15, 482. [Google Scholar] [CrossRef]
- Marr, K.A.; Boeckh, M.; Carter, R.A.; Kim, H.W.; Corey, L. Combination Antifungal Therapy for Invasive Aspergillosis. Clin. Infect. Dis. 2004, 39, 797–802. [Google Scholar] [CrossRef]
- Singh, N.; Limaye, A.P.; Forrest, G.; Safdar, N.; Muñoz, P.; Pursell, K.; Houston, S.; Rosso, F.; Montoya, J.G.; Patton, P.; et al. Combination of Voriconazole and Caspofungin as Primary Therapy for Invasive Aspergillosis in Solid Organ Transplant Recipients: A Prospective, Multicenter, Observational Study. Transplantation 2006, 81, 320–326. [Google Scholar] [CrossRef] [PubMed]
- Marr, K.A.; Schlamm, H.T.; Herbrecht, R.; Rottinghaus, S.T.; Bow, E.J.; Cornely, O.A.; Heinz, W.J.; Jagannatha, S.; Koh, L.P.; Kontoyiannis, D.P.; et al. Combination Antifungal Therapy for Invasive Aspergillosis. Ann. Intern. Med. 2015, 162, 81–89. [Google Scholar] [CrossRef]
- Felton, T.; Troke, P.F.; Hope, W.W. Tissue Penetration of Antifungal Agents. Clin. Microbiol. Rev. 2014, 27, 68–88. [Google Scholar] [CrossRef] [PubMed]
- Boots, R.J.; Paterson, D.L.; Allworth, A.M.; Faoagali, J.L. Successful Treatment of Post-Influenza Pseudomembranous Necrotising Bronchial Aspergillosis with Liposomal Amphotericin, Inhaled Amphotericin B, Gamma Interferon and GM-CSF. Thorax 1999, 54, 1047–1049. [Google Scholar] [CrossRef][Green Version]
- Safdar, A.; Rodriguez, G.H. Aerosolized Amphotericin B Lipid Complex as Adjunctive Treatment for Fungal Lung Infection in Patients with Cancer-Related Immunosuppression and Recipients of Hematopoietic Stem Cell Transplantation. Pharmacotherapy 2013, 33, 1035–1043. [Google Scholar] [CrossRef] [PubMed]
- Venanzi, E.; Martín-Dávila, P.; López, J.; Maiz, L.; de la Pedrosa, E.G.-G.; Gioia, F.; Escudero, R.; Filigheddu, E.; Moreno, S.; Fortún, J. Aerosolized Lipid Amphotericin B for Complementary Therapy and/or Secondary Prophylaxis in Patients with Invasive Pulmonary Aspergillosis: A Single-Center Experience. Mycopathologia 2019, 184, 239–250. [Google Scholar] [CrossRef]
- Le, J.; Schiller, D.S. Aerosolized Delivery of Antifungal Agents. Curr. Fungal Infect. Rep. 2010, 4, 96–102. [Google Scholar] [CrossRef]
- Caillot, D.; Thiébaut, A.; Herbrecht, R.; De Botton, S.; Pigneux, A.; Bernard, F.; Larché, J.; Monchecourt, F.; Alfandari, S.; Mahi, L. Liposomal Amphotericin B in Combination with Caspofungin for Invasive Aspergillosis in Patients with Hematologic Malignancies: A Randomized Pilot Study (Combistrat Trial). Cancer 2007, 110, 2740–2746. [Google Scholar] [CrossRef]
- Kontoyiannis, D.P.; Hachem, R.; Lewis, R.E.; Rivero, G.A.; Torres, H.A.; Thornby, J.; Champlin, R.; Kantarjian, H.; Bodey, G.P.; Raad, I.I. Efficacy and Toxicity of Caspofungin in Combination with Liposomal Amphotericin B as Primary or Salvage Treatment of Invasive Aspergillosis in Patients with Hematologic Malignancies. Cancer 2003, 98, 292–299. [Google Scholar] [CrossRef]
- Saracli, M.A.; Fothergill, A.W.; Sutton, D.A.; Wiederhold, N.P. Detection of triazole resistance among Candida species by matrix-assisted laser desorption/ionization-time of flight mass spectrometry (MALDI-TOF MS). Med. Mycol. 2015, 53, 736–742. [Google Scholar] [CrossRef]
- Prigitano, A.; Esposto, M.C.; Grancini, A.; Passera, M.; Paolucci, M.; Stanzani, M.; Sartor, A.; Candoni, A.; Pitzurra, L.; Innocenti, P.; et al. Prospective multicentre study on azole resistance in Aspergillus isolates from surveillance cultures in haematological patients in Italy. J. Glob. Antimicrob. Resis. 2020, 22, 231–237. [Google Scholar] [CrossRef] [PubMed]
- Prigitano, A.; Esposto, M.C.; Grancini, A.; Biffi, A.; Innocenti, P.; Cavanna, C.; Lallitto, F.; Mollaschi, E.M.G.; Bandettini, R.; Oltolini, C.; et al. Azole resistance in Aspergillus isolates by different types of patients and correlation with environment—An Italian prospective multicentre study (ARiA study). Mycoses 2021, 64, 528–536. [Google Scholar] [CrossRef] [PubMed]
- Franconi, I.; Rizzato, C.; Ghelardi, E.; Lupetti, A. Hospital distribution, seasonality, time trends and antifungal susceptibility profiles of all Aspergillus species isolated from clinical samples from 2015 to 2022 in a tertiary care hospital. BMC Microbiol. 2024, 24, 111. [Google Scholar] [CrossRef]
- Bellete, B.; Raberin, H.; Morel, J.; Flori, P.; Hafid, J.; Manhsung, R.T. Acquired resistance to voriconazole and itraconazole in a patient with pulmonary aspergilloma. Med. Mycol. 2010, 48, 197–200. [Google Scholar] [CrossRef] [PubMed]
- Benitez, L.L.; Carver, P.L. Adverse Effects Associated with Long-Term Administration of Azole Antifungal Agents. Drugs 2019, 79, 833–853. [Google Scholar] [CrossRef]
- Jin, H.; Wang, T.; Falcione, B.A.; Olsen, K.M.; Chen, K.; Tang, H.; Hui, J.; Zhai, S. Trough Concentration of Voriconazole and Its Relationship with Efficacy and Safety: A Systematic Review and Meta-Analysis. J. Antimicrob. Chemother. 2016, 71, 1772–1785. [Google Scholar] [CrossRef]
- McCreary, E.K.; Davis, M.R.; Narayanan, N.; Andes, D.R.; Cattaneo, D.; Christian, R.; Lewis, R.E.; Watt, K.M.; Wiederhold, N.P.; Johnson, M.D. Utility of Triazole Antifungal Therapeutic Drug Monitoring: Insights from the Society of Infectious Diseases Pharmacists. Pharmacotherapy 2023, 43, 1043–1050. [Google Scholar] [CrossRef]
- Perez, L.; Corne, P.; Pasquier, G.; Konecki, C.; Sadek, M.; Le Bihan, C.; Klouche, K.; Mathieu, O.; Reynes, J.; Cazaubon, Y. Population Pharmacokinetics of Isavuconazole in Critical Care Patients with COVID-19-Associated Pulmonary Aspergillosis and Monte Carlo Simulations of High Off-Label Doses. J. Fungi 2023, 9, 211. [Google Scholar] [CrossRef]
- Zurl, C.; Waller, M.; Schwameis, F.; Muhr, T.; Bauer, N.; Zollner-Schwetz, I.; Valentin, T.; Meinitzer, A.; Ullrich, E.; Wunsch, S.; et al. Isavuconazole Treatment in a Mixed Patient Cohort with Invasive Fungal Infections: Outcome, Tolerability and Clinical Implications of Isavuconazole Plasma Concentrations. J. Fungi 2020, 6, 90. [Google Scholar] [CrossRef]
- Willeman, T.; Tonini, J.; Garnaud, C.; Bailly, S.; Gandia, P.; Stanke-Labesque, F.; Maubon, D.; Gautier-Veyret, E. Refining the Therapeutic Range of Posaconazole and Isavuconazole for Efficient Therapeutic Drug Monitoring Using a Bioassay Approach. Fundam. Clin. Pharmacol. 2020, 34, 279–287. [Google Scholar] [CrossRef]
- Liu, X.; Liu, D.; Pan, Y.; Li, Y. Pharmacokinetic/Pharmacodynamics Variability of Echinocandins in Critically Ill Patients: A Systematic Review and Meta-Analysis. J. Clin. Pharm. Ther. 2020, 45, 1207–1217. [Google Scholar] [CrossRef] [PubMed]
- Kariyawasam, R.M.; Dingle, T.C.; Kula, B.E.; Vandermeer, B.; Sligl, W.I.; Schwartz, I.S. Defining COVID-19–Associated Pulmonary Aspergillosis: Systematic Review and Meta-Analysis. Clin. Microbiol. Infect. 2022, 28, 920–927. [Google Scholar] [CrossRef]
- Vanderbeke, L.; Jacobs, C.; Feys, S.; Resendiz-Sharpe, A.; Debaveye, Y.; Hermans, G.; Humblet-Baron, S.; Lagrou, K.; Meersseman, P.; Peetermans, M.; et al. A Pathology-Based Case Series of Influenza- and COVID-19–Associated Pulmonary Aspergillosis—The Proof Is in the Tissue. Am. J. Respir. Crit. Care. Med. 2023, 208, 301–311. [Google Scholar] [CrossRef] [PubMed]
- Fortarezza, F.; Boscolo, A.; Pezzuto, F.; Lunardi, F.; Acosta, M.J.; Giraudo, C.; Del Vecchio, C.; Sella, N.; Tiberio, I.; Godi, I.; et al. Proven COVID-19—Associated Pulmonary Aspergillosis in Patients with Severe Respiratory Failure. Mycoses 2021, 64, 1223–1229. [Google Scholar] [CrossRef] [PubMed]
- Kula, B.E.; Clancy, C.J.; Hong Nguyen, M.; Schwartz, I.S. Invasive Mould Disease in Fatal COVID-19: A Systematic Review of Autopsies. Lancet Microbe 2021, 2, e405–e414. [Google Scholar] [CrossRef]
- Vincent, J.-L.; Sakr, Y.; Singer, M.; Martin-Loeches, I.; Machado, F.R.; Marshall, J.C.; Finfer, S.; Pelosi, P.; Brazzi, L.; Aditianingsih, D.; et al. Prevalence and Outcomes of Infection Among Patients in Intensive Care Units in 2017. JAMA 2020, 323, 1478–1487. [Google Scholar] [CrossRef]



| D1 | D4 | D6 | D13 | D21 | D22 | D25 | D27 | D28 | D33 | |
|---|---|---|---|---|---|---|---|---|---|---|
| BAL cytology | Hyphae | Hyphae | Hyphae | Hyphae | ||||||
| BAL-GM (ODI) | 5.6 | 5.9 | 7.1 | 1.5 | <1.0 | |||||
| BAL-culture | + | − | − | + | − | |||||
| VOR (mcg/mL), through levels | 3.8 | 2.2 | ||||||||
| ISZ (mcg/mL), through levels | 6 | 1.9 | 1.4 | |||||||
| CAS (mg/L), peak levels | 8.7 | 16.1 |
Disclaimer/Publisher’s Note: The statements, opinions and data contained in all publications are solely those of the individual author(s) and contributor(s) and not of MDPI and/or the editor(s). MDPI and/or the editor(s) disclaim responsibility for any injury to people or property resulting from any ideas, methods, instructions or products referred to in the content. |
© 2024 by the authors. Licensee MDPI, Basel, Switzerland. This article is an open access article distributed under the terms and conditions of the Creative Commons Attribution (CC BY) license (https://creativecommons.org/licenses/by/4.0/).
Share and Cite
Casalini, G.; Giacomelli, A.; Galimberti, L.; Colombo, R.; Milazzo, L.; Cattaneo, D.; Castelli, A.; Antinori, S. Navigating Uncertainty: Managing Influenza-Associated Invasive Pulmonary Aspergillosis in an Intensive Care Unit. J. Fungi 2024, 10, 639. https://doi.org/10.3390/jof10090639
Casalini G, Giacomelli A, Galimberti L, Colombo R, Milazzo L, Cattaneo D, Castelli A, Antinori S. Navigating Uncertainty: Managing Influenza-Associated Invasive Pulmonary Aspergillosis in an Intensive Care Unit. Journal of Fungi. 2024; 10(9):639. https://doi.org/10.3390/jof10090639
Chicago/Turabian StyleCasalini, Giacomo, Andrea Giacomelli, Laura Galimberti, Riccardo Colombo, Laura Milazzo, Dario Cattaneo, Antonio Castelli, and Spinello Antinori. 2024. "Navigating Uncertainty: Managing Influenza-Associated Invasive Pulmonary Aspergillosis in an Intensive Care Unit" Journal of Fungi 10, no. 9: 639. https://doi.org/10.3390/jof10090639
APA StyleCasalini, G., Giacomelli, A., Galimberti, L., Colombo, R., Milazzo, L., Cattaneo, D., Castelli, A., & Antinori, S. (2024). Navigating Uncertainty: Managing Influenza-Associated Invasive Pulmonary Aspergillosis in an Intensive Care Unit. Journal of Fungi, 10(9), 639. https://doi.org/10.3390/jof10090639

