Geographical Distribution, Host Range and Genetic Diversity of Fusarium oxysporum f. sp. cubense Causing Fusarium Wilt of Banana in India
Abstract
1. Introduction
2. Materials and Methods
2.1. Survey on Fusarium Wilt Disease
2.2. Sample Collection and Pathogen Isolation
2.3. Morphological Identification
2.4. Pathogenicity Testing
2.5. Vegetative Compatibility Group Analysis
2.6. Cross Infection Studies
2.7. Molecular Identification of Foc Isolates
2.7.1. Extraction of Fungal Genomic DNA
2.7.2. Identification of Foc Races by PCR
2.7.3. Sequencing of TEF-1α Gene and Phylogenetic Analyses
2.7.4. Characterisation of Foc Isolates by SIX Genes Amplification
3. Results
3.1. Distribution and Incidence of Fusarium Wilt
3.2. Pathogenicity and Cross Infection Studies
3.3. Morphological Identification
3.4. VCG Analyses
3.5. Molecular Identification
3.5.1. Identification of Foc Races by PCR
3.5.2. TEF-1α Gene Sequencing and Phylogenetic Analyses
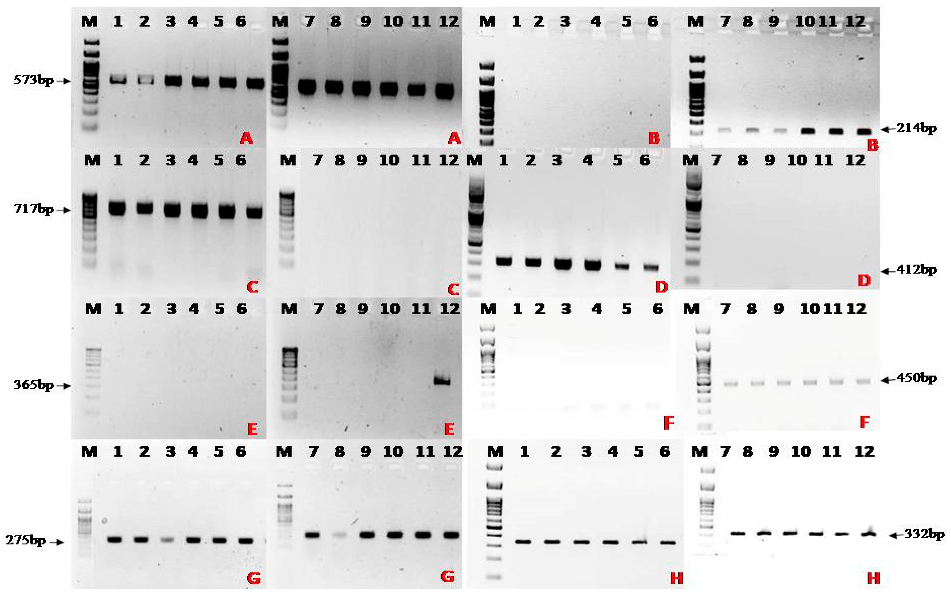
3.5.3. SIX Gene Analyses
4. Discussion
5. Conclusions
Supplementary Materials
Author Contributions
Funding
Institutional Review Board Statement
Informed Consent Statement
Data Availability Statement
Acknowledgments
Conflicts of Interest
References
- FAOSTAT. World Food and Agriculture-Statistical Yearbook 2023. Rome. Available online: https://openknowledge.fao.org/handle/20.500.14283/cc8166en (accessed on 5 December 2024).
- Lassois, L.; Jijakli, M.H.; Chillet, M.; De Lapeyre de Bellaire, L. Crown Rot of Bananas: Preharvest Factors Involved in Postharvest Disease Development and Integrated Control Methods. Plant Dis. 2010, 94, 648–659. [Google Scholar] [CrossRef] [PubMed]
- APAARI. Banana Tissue Culture in India—A Success Story; Asia Pacific Association of Agricultural Research Institutions: Bangkok, Thailand, 2019; Available online: https://www.apaari.org/web/wp-content/uploads/downloads/2019/Banana_Tissue_Culture-Success_Story_29-11-2019_For_Circulation.pdf (accessed on 4 October 2024).
- Stover, R.H. Fusarial Wilt (Panama Disease) of Bananas and Other Musa Species; Commonwealth Mycological Institute: Egham, UK, 1962. [Google Scholar]
- Ploetz, R.C. Fusarium wilt of banana. Phytopathology 2015, 105, 1512–1521. [Google Scholar] [CrossRef] [PubMed]
- Thangavelu, R.; Loganathan, M.; Arthee, R.; Prabakaran, M.; Uma, S. Fusarium wilt: A threat to banana cultivation and its management. CABI Rev. 2020, 1–24. [Google Scholar] [CrossRef]
- Ploetz, R.C.; Pegg, K.G. Fusarium Wilt Diseases of Banana, Abaca and Enset; CABI Publication: Wallingford, UK, 2000. [Google Scholar]
- Thangavelu, R.; Edwin Raj, E.; Pushpakanth, P.; Muthukathan, G.; Murugan, L.; Uma, S. Draft genome resource of a novel virulent Fusarium oxysporum f. sp. cubense race 1 strain (VCG 0124) infecting Cavendish (AAA) group of banana in India. Plant Dis. 2021, 105, 2708–2710. [Google Scholar] [CrossRef]
- Thangavelu, R.; Gopi, M.; Pushpakanth, P.; Loganathan, M.; Edwin Raj, E.; Marimuthu, N.; Prabakaran, M.; Uma, S. First Report of Fusarium oxysporum f. sp. cubense VCG 0125 and VCG 01220 of Race 1 Infecting Cavendish Bananas (Musa sp. AAA) in India. Plant Dis. 2021, 105, 1215. [Google Scholar] [CrossRef]
- Thangavelu, R.; Mostert, D.; Gopi, M.; Devi, P.G.; Padmanaban, B.; Molina, A.B.; Viljoen, A. First detection of Fusarium oxysporum f. sp. cubense tropical race 4 (TR4) on Cavendish banana in India. Eur. J. Plant Pathol. 2019, 154, 777–786. [Google Scholar] [CrossRef]
- Joao, L.N.; de Maurício, A. A basic procedure for single spore isolation of Fusarium verticillioides and Fusarium subglutinans. Int. J. Env. Bio. Res. 2016, 3, 45–148. [Google Scholar]
- Nelson, P.E.; Toussoun, T.A.; Marasas, W.F.O. Fusarium Species: An Illustrated Manual for Identification; Pennsylvania State University Press: University Park, PA, USA, 1983. [Google Scholar]
- Thangavelu, R.; Gopi, M. Combined application of native Trichoderma isolates possessing multiple functions for the control of Fusarium wilt disease in banana cv. Grand Naine. Biocontrol Sci. Technol. 2015, 25, 1147–1164. [Google Scholar] [CrossRef]
- Zuo, C.; Deng, G.; Li, B.; Huo, H.; Li, C.; Hu, C.; Kuang, R.; Yang, Q.; Dong, T.; Sheng, O.; et al. Germplasm screening of Musa spp. For resistance to Fusarium oxysporum f. sp. cubense tropical race 4 (Foc TR4). Eur. J. Plant Pathol 2018, 151, 723–734. [Google Scholar]
- Thangavelu, R.; Edwinraj, E.; Gopi, M.; Pushpakanth, P.; Sharmila, K.; Prabaharan, M.; Loganathan, M.; Uma, S. Development of PCR-based race-specific markers for differentiation of Indian Fusarium oxysporum f. sp. cubense, the causal agent of Fusarium wilt in banana. J. Fungi 2022, 8, 53. [Google Scholar] [CrossRef]
- Correll, J.C.; Klittich, C.J.R.; Leslie, J.F. Nitrate non utilizing mutants of Fusarium oxysporum and their use in vegetative compatibility tests. Phytopathology 1987, 77, 1640–1646. [Google Scholar] [CrossRef]
- Thangavelu, R.; Suganya Devi, P.; Chrismala, P.M.; Mustaffa, M.M. Cross infection and genetic diversity of Fusarium oxysporum f. sp. cubense, the causal agent of Fusarium wilt in Banana. Acta Hort. 2011, 897, 353–362. [Google Scholar] [CrossRef]
- Johanson, A.; Crowhurst, R.N.; Rikkerink, E.H.A.; Fullerton, R.A.; Templeton, M.D. The use of species-specific DNA probes for the identification of Mycosphaerella fijiensis and M. musicola, the causal agents of Sigatoka disease of banana. Plant Pathol. 1994, 43, 701–707. [Google Scholar] [CrossRef]
- Raeder, U.; Broda, P. Rapid preparation of DNA from filamentous fungi. Lett. Appl. Microbiol. 1985, 1, 17–20. [Google Scholar] [CrossRef]
- Raman, T.; Edwin Raj, E.; Muthukathan, G.; Loganathan, M.; Periyasamy, P.; Natesh, M.; Manivasakan, P.; Kotteeswaran, S.; Rajendran, S.; Subbaraya, U. Comparative whole-genome sequence analyses of Fusarium wilt pathogen (Foc R1, STR4 and TR4) infecting Cavendish (AAA) bananas in India, with a special emphasis on pathogenicity mechanisms. J. Fungi 2021, 7, 717. [Google Scholar] [CrossRef]
- ICAR National Research Centre for Banana. Anonymous. Annual Report 2018–19; ICAR-National Research Centre for Banana: Tiruchirappalli, India, 2019; Available online: http://nrcb.res.in (accessed on 11 May 2020).
- Chittarath, K. Situation of Distribution and Management of Foc TR4 in Laos; Plant Protection Center, DOA, MAF: Vientiane, Laos, 2020; pp. 2–4. [Google Scholar]
- Chittarath, K.; Nguyen, C.H.; Bailey, W.C.; Zheng, S.J.; Mostert, D.; Viljoen, A.; Tazuba, A.F.; Ocimati, W.; Kearsley, E.; Chi, T.Y.; et al. Geographical distribution and genetic diversity of the banana Fusarium wilt fungus in Laos and Vietnam. J. Fungi 2022, 8, 46. [Google Scholar] [CrossRef]
- Hermanto, C.; Jumjunidang; Sutanto, A.; Edison, H.S.; Danniels, J.; O’Neil, W.; Sinohin, V.G.; Molina, A.B. Pests and Diseases Remain the Main Complain of Banana Farmers in Indonesia. In Proceedings of the 4th Asian Conference for Plant Pathology, and 18th Australasian Plant Pathology Society (APPS) Conference, Darwin, Australia, 26–29 April 2011. [Google Scholar]
- Dita, M.; Barquero, M.; Heck, D.; Mizubuti, E.S.; Staver, C.P. Fusarium wilt of banana: Current knowledge on epidemiology and research needs toward sustainable disease management. Front. Plant Sci. 2018, 9, 1468. [Google Scholar] [CrossRef]
- Xu, L.B.; Huang, B.Z.; Wei, Y.R. Production and banana R&D in China. In Proceedings of the Advancing Banana and Plantain R&D in Asia and the Pacific, First BAPNET Steering Committee Meeting, Los Banos, Philippines, 7–10 October 2002. [Google Scholar]
- Thangavelu, R.; Mustaffa, M.M. First report on the occurrence of a virulent strain of Fusarium wilt pathogen (Race-1) infecting Cavendish (AAA) group of bananas in India. Plant Dis. 2010, 94, 1379. [Google Scholar] [CrossRef]
- Moore, N.Y.; Pegg, K.G.; Allen, R.N.; Irwin, J.A.G. Vegetative compatibility and distribution of Fusarium oxysporum f. sp. cubense in Australia. Aust. J. Exp. Agric. 1993, 33, 797–802. [Google Scholar] [CrossRef]
- Li, C.Y.; Mostert, G.; Zuo, C.W.; Beukes, I.; Yang, Q.S.; Sheng, O.; Kuang, R.B.; Wei, Y.R.; Hu, C.H.; Rose, L.; et al. Diversity and distribution of the banana wilt pathogen Fusarium oxysporum f. sp. cubense in China. Fungal Genom. Biol. 2013, 3, 1000111. [Google Scholar] [CrossRef]
- Koenig, R.L.; Ploetz, R.C.; Kistler, H.C. Fusarium oxysporum f. sp. cubense consists of a small number of divergent and globally distributed clonal lineages. Phytopathology 1997, 87, 915–923. [Google Scholar] [CrossRef]
- Bentley, S.B.; Pegg, K.G.; Moore, N.Y.; Davis, R.D.; Buddenhagen, I.W. Genetic variation among vegetative compatibility groups of Fusarium oxysporum f. sp. cubense analyzed by DNA fingerprinting. Phytopathology 1998, 88, 1283–1293. [Google Scholar] [CrossRef] [PubMed]
- Leong, S.K.; Latiffah, Z.; Baharuddin, S. Genetic diversity of Fusarium oxysporum f. sp. cubense isolates from Malaysia. Afr. J. Microbiol. Res. 2010, 4, 1026–1037. [Google Scholar]
- Ujat, A.H.; Vadamalai, G.; Hattori, Y.; Nakashima, C.; Wong, C.K.F.; Zulperi, D. Current classification and diversity of Fusarium species complex, the causal pathogen of Fusarium wilt disease of banana in Malaysia. Agronomy 2021, 11, 1955. [Google Scholar] [CrossRef]
- Fraser-Smith, S.; Czislowski, E.; Meldrum, R.A.; Zander, M.; O’Neill, W.; Balali, G.R.; Aitken, E.A.B. Sequence variation in the putative effector gene SIX 8 facilitates molecular differentiation of Fusarium oxysporum f. sp. cubense. Plant Pathol. 2014, 63, 1044–1052. [Google Scholar] [CrossRef]
- Czislowski, E.; Fraser-Smith, S.; Zander, M.; O’Neill, W.T.; Meldrum, R.A.; Tran-Nguyen, L.T.; Batley, J.; Aitken, E.A. Investigation of the diversity of effector genes in the banana pathogen, Fusarium oxysporum f. sp. cubense, reveals evidence of horizontal gene transfer. Mol. Plant Pathol. 2018, 19, 1155–1171. [Google Scholar] [CrossRef]
- An, B.; Hou, X.; Guo, Y.; Zhao, S.; Luo, H.; He, C.; Wang, Q. The effector SIX8 is required for virulence of Fusarium oxysporum f. sp. cubense tropical race 4 to Cavendish banana. Fungal Biol. 2019, 123, 423–430. [Google Scholar] [CrossRef]
- Guo, L.; Han, L.; Yang, L.; Zeng, H.; Fan, D.; Zhu, Y.; Feng, Y.; Wang, G.; Peng, C.; Jiang, X.; et al. Genome and transcriptome analysis of the fungal pathogen Fusarium oxysporum f. sp. cubense causing banana vascular wilt disease. PLoS ONE 2014, 9, 95543. [Google Scholar] [CrossRef]





| State | District | Number of Plantations Visited | Varieties (Genomic Group) | Disease Incidence Range (%) | VCGs Identified | Races Identified |
|---|---|---|---|---|---|---|
| Tropical regions | ||||||
| Tamil Nadu | Tuticorin | 10 | Monthan (ABB) | 5–23 | 0125, 01220, 0128, 0124, 0124/5, 01220/01212 | R1, R2 |
| Tirunelveli | 4 | Monthan (ABB) | 7–25 | 01220 | R1 | |
| 3 | Rasthali (AAB) | 3–40 | 0125 | R1 | ||
| 3 | NeyPoovan (AB) | 1–15 | 0125, 0124/5, 0124, 01220 | R1 | ||
| Madurai | 5 | Monthan (ABB) | 3 to 20 | 01220, 0125 | R1 | |
| 2 | Rasthali (AAB) | 0125, 0124/5 | R1 | |||
| Kanyakumari | 8 | NeyPoovan (AB) | 8–13 | 0125, 0124 | R1 | |
| Namakkal | 11 | Rasthali (AAB) | 23 | 0124, 0125, 01214 | R1 | |
| Theni | 10 | Grand Nain (AAA) | 8 to 95 | 0125, 0124, 01220 | R1 | |
| Coimbatore | 3 | Karpuravalli (ABB) | 0.5 to 13 | 0124, 0125, 0128 | R1 | |
| Karur | 1 | Karpuravalli (ABB) | 5 | 0125, 01220 | R1 | |
| 2 | Rasthali (AAB) | 5–15 | 0125 | R1 | ||
| Thanjavur | 1 | Karpuravalli (ABB) | 6 | 0124/5 | R1 | |
| Pondicherry (UT) | Pondicherry | 2 | Karpuravalli (ABB) | 5–9 | 0124 | R1 |
| Kerala | Thrissur | 6 | Rasthali (AAB) | 11–25 | 0124/5, 01212 | R1 |
| Palakad | 1 | NeyPoovan | 24 | 0125 | R1 | |
| Trivandrun | 2 | Karpuravalli (ABB) | 2–9 | 0128, 0124 | R1 | |
| Karnataka | Mandya | 2 | Grand Nain (AAA) | 2 | 0124 | R1 |
| 1 | Rasthali (AAB) | 25 | 0125 | R1 | ||
| Chikkeballapura | 3 | NeyPoovan (AB) | 30 | 0125, 0124/5, 01212 | R1 | |
| Mysuru | 3 | Nanjangud Rasabale (AAB) | 0.4 to 30 | 0125 | R1 | |
| 2 | NeyPoovan (AB) | 20–30 | 01220, 0125, 01211 | R1, STR4 | ||
| Andhra Pradesh | West Godavari | 4 | Mortaman/ Amritapani (AAB) | 5–45 | 0124, 0125, 0129 01217 | R1, STR4 |
| Guntur | 1 | Karpuravalli (ABB) | 8 | 0124 | R1 | |
| Odisha | Cuttak | 1 | Rasthali (AAB) | 20 | 0125 | R1 |
| Khordha | 1 | Rasthali (AAB) | 15 | 0125 | R1 | |
| Ranapur | 1 | Rasthali (AAB) | 22 | 0125 | R1 | |
| Dhenkanal | 1 | Monthan (ABB) | 17 | 01220, 0124 | R1 | |
| Kendrapara | 1 | Monthan (ABB) | 9 | 0124 | R1 | |
| Jaipur | 1 | Monthan (ABB) | 14 | 0124 | R1 | |
| Maharashtra | Jalgaon | 6 | Grand Nain (AAA) | 2–30 | 0125, 01213/16 | R1, TR4 |
| Sub-Tropical regions | ||||||
| Gujarat | Surat | 10 | Grand Nain (AAA) | 30–60 | 01220, 0120, 01213/16 | R1, TR4, STR4 |
| Gandevi | 1 | Grand Nain (AAA) | 5 | 0124, 0125 | R1 | |
| Bharuch | 10 | Grand Nain (AAA) | 10–50 | 01213/16 | TR4 | |
| Vadodara | 5 | Grand Nain (AAA) | 5–25 | 01220 | R1 | |
| Uttar Pradesh | SantKabir Nagar | 2 | Monthan (ABB) | 25 to 30 | 01220 | R1 |
| Maharajganj | 10 | Grand Nain (AAA) | 15 to 75 | 01216, 0125 | TR4, R1 | |
| Kushinagar | 2 | Grand Nain (AAA) | 2 | 01220, 01213/16 | TR4, R1 | |
| Shravasti | 6 | Grand Nain (AAA) | 2.5 to 60 | 01213/16 | TR4 | |
| Ayodhya | 3 | Grand Nain (AAA) | 5 to 45 | 0125, 01220 | TR4, R1 | |
| Lakhimpur Kheri | 10 | Grand Nain (AAA) | 7–90 | 01213/16 | TR4 | |
| Barabanki | 2 | Grand Nain (AAA) | 1–20 | 01213/16 | TR4 | |
| Madhya Pradesh | Burhanpur | 6 | Grand Nain (AAA) | 10–50 | 0120, 01213/16 | STR4, TR4 |
| Bihar | Vaishali | 8 | Alpon (AAB) | 1 | 0125 | R1 |
| 2 | Chinia (Awak-ABB) | 0.5–8 | 0124 | R1 | ||
| 1 | Kothia (ABB) | 0.5 | 01220 | R1 | ||
| 1 | Malbhog (AAB) | 1 | 0125 | R1 | ||
| 1 | Muthia (ABB | 0.5 | 01220 | R1 | ||
| 7 | Grand Nain (AAA) | - | - | |||
| Khagaria | Chinia (ABB) | 0.5 | 0124 | R1 | ||
| Bhagalpur | Chinia (ABB) | 0.1 | 0124 | R1 | ||
| Robusta (AAA) | 2 | 01213/16 | TR4 | |||
| Katihar | 7 | Robusta (AAA) | 2–27 | 01213/16 | TR4 | |
| 9 | Grand Nain (AAA) | 6–65 | 01216 | TR4 | ||
| Purnia | 10 | Chinia (ABB) | 0.5 | 01213/16 | TR4 | |
| Robusta (AAA) | 2–5 | 01213/16 | TR4 | |||
| Grand Nain (AAA) | 2 to 22.7 | 01213/16 | TR4 | |||
| West Bengal | Nadia | 13 | Grand Nain | 0.5 to 50 | 0125, 01213/16 | TR4, R1 |
| 1 | Kanthali (ABB) | 40 | 0124, 01213/16 | TR4, R1 | ||
| 2 | Mortaman (AAB) | 3 | 0125 | R1 | ||
| 11 | Singapuri (AAA) | 6 to 50 | 01213/16 | TR4 | ||
| 1 | Chinia (ABB) | 10 | 0124 | R1 | ||
| 2 | Cheni Champa (AAB) | 3–33 | 01213/16 | TR4 | ||
| Murshidabad | 5 | Singapuri (AAA) | 12–26 | 01213/16 | TR4 | |
| 1 | Cheni Champa (AAB) | 50 | 01213/16 | TR4 | ||
| Hooghly | 5 | Kanthali (ABB) | 0–20 | 0124 | R1 | |
| SJalpaiguri | 1 | Chinia (ABB) | 1 | 0124 | R1 | |
| Assam | Jorhat | 6 | Malbhog (AAB) | 15–45 | 0125, 124, 0128, 0124/5, 01218, 01220, 01212, 0129 | R1, STR4 |
| 2 | Monthan (ABB) | 20–28 | 0125, 0124/5 | R1 | ||
| Goalpara | 4 | Malbhog (AAB) | 15–45 | 0125 | R1 | |
| Guwahati | 1 | Karpuravalli (ABB) | 17 | 01211, 0124, 01220, 0125 | STR4, R1 | |
| 2 | Athiakol (BB) | 0.1 | 0124/5, 0125 | R1 | ||
| Arunachal Pradesh | West Kameng | 1 | Karpuravalli (ABB) | 0.5 | 0124 | R1 |
| 1 | Athiakol (BB) | 0.1 | 0124/5 | R1 | ||
| 3 | Manohar (ABB) | 0.1 | 0125, 0124 | R1 | ||
| Meghalaya | East Kashi Hills | 2 | Manohar (ABB) | 2 | 0125, 0124 | R1 |
| Tripura | West Tripura | 5 | Sabri (Rasthali) | 5–23 | 0125 | R1 |
| Nagaland | Dimapur | 2 | Manohar (ABB) | 0.5 | 0125 | R1 |
| Primer Name | Primer Sequence (5′ to 3′) | Length (bp) | Annealing Conditions | Reference |
|---|---|---|---|---|
| FocR1F FocR1R | TACCTCCTTGGTCGACAGGT CAGACTTCCAACGTCTCGGT | 320 | 62 °C | Thangavelu et al., 2022 [15] |
| FocR4F FocR4R | CGCACTCTTACGTTGAGGAT TCCACGCAACACTAGCTACT | 400 | 66 °C | |
| FocTR4F FocTR4R | TGATTTGCCGTGGAATGACA TGGTCTTGACACGACCCA | 250 | 65 °C | |
| FocSTR4F FocSTR4R | GCGCAAGTAGTCTTGCTTCC ATTAAGCGGTTGGCGTATTG | 250 | 58 °C | |
| SIX1a F SIX1a R | GGCAAATCACTCGTCTGGGA CATAGCGGTAAAAGCCGCAC | 573 | 60 °C | Raman et al., 2021 [20] |
| SIX2a F SIX2a R | TTTAGCACCGCGAGGAACTT AAACCAGCCACCATAACCGT | 214 | 60 °C | |
| SIX4a F SIX4a R | GGCGTTGCGGGTTTTTAACT ATGCATTACGGAGTAGGCCC | 717 | 60 °C | |
| SIX6a F SIX6a R | CTACGTCGACATCACTCCCA TACCATCATCTGCATCGCCA | 412 | 59 °C | |
| SIX7a F SIX7a R | CCTCCTTTTCCATTTCGCCC CATTGGGCCTAAAGACGTCG | 365 | 59 °C | |
| SIX8a F SIX8a R | CTTCCTCCTAGCCGTCTCTG TAAGCTCTTCACCTCACCCG | 450 | 59 °C | |
| SIX9a F SIX9a R | ACATTCTGTCCGTCGATCGTT GCCACCTTCCATATCGCTGAA | 275 | 59 °C | |
| SIX13a F SIX13a R | AACTCAAAGCCTCCTAGGCAC AATCCCTGGCGCTGACTTAG | 332 | 60 °C |
| State | Banana Cultivars | Number of Isolates | ||||||
|---|---|---|---|---|---|---|---|---|
| Cavendish | Rasthali | Poovan | Monthan | Karpuravalli | NeyPoovan | Others | ||
| Tamil Nadu | 10 | 18 | 0 | 19 | 5 | 11 | 0 | 63 |
| Pondicherry | 0 | 0 | 0 | 0 | 2 | 0 | 0 | 2 |
| Kerala | 0 | 6 | 0 | 0 | 2 | 1 | 0 | 9 |
| Karnataka | 2 | 4 | 0 | 0 | 0 | 5 | 0 | 11 |
| Andhra Pradesh | 0 | 4 | 0 | 0 | 1 | 0 | 0 | 5 |
| Odisha | 0 | 3 | 0 | 3 | 0 | 0 | 0 | 6 |
| Maharashtra | 6 | 0 | 0 | 0 | 0 | 0 | 0 | 6 |
| Gujarat | 26 | 0 | 0 | 0 | 0 | 0 | 0 | 26 |
| Uttar Pradesh | 33 | 0 | 0 | 2 | 0 | 0 | 0 | 35 |
| Madhya Pradesh | 6 | 0 | 0 | 0 | 0 | 0 | 0 | 6 |
| Bihar | 38 | 1 | 8 | 2 | 5 | 0 | 0 | 54 |
| West Bengal | 29 | 2 | 2 | 0 | 8 | 0 | 0 | 41 |
| Assam | - | 10 | 0 | 2 | 1 | - | 2 | 15 |
| Arunachal Pradesh | 0 | 0 | 0 | 0 | 4 | 0 | 1 | 5 |
| Meghalaya | 0 | 0 | 0 | 0 | 2 | 0 | 0 | 2 |
| Tripura | 0 | 5 | 0 | 0 | 0 | 0 | 0 | 5 |
| Nagaland | 0 | 0 | 0 | 0 | 2 | 0 | 0 | 2 |
| Total | 150 (51.2) | 53 (18.08) | 10 (3.4) | 28 (9.52) | 32 (10.88) | 17 (5.78) | 3 (1.02) | 293 |
| States | Subgroup (Genome) | Varieties | Incidence | VCGs | Races |
|---|---|---|---|---|---|
| Tropical | Cavendish (AAA) | Grand Nain | 2–95 | 0125, 0124, 01220 | R1 |
| Silk (AAB) | Rasthali | 0.4 to 45 | 0125, 0124/5, 0124, 0129, 01214, 01212, 01217 | R1, STR4 | |
| Cooking type (ABB) | Monthan | 3–30 | 0125, 01220, 0128, 0124, 0124/5, 01212 | R1 | |
| Pisang Awak (ABB) | Karpuravalli | 0.5 to 13 | 0124, 0125, 0128, 01220, 0124/5 | R1 | |
| NeyPoovan (AB) | NeyPoovan | 1–30 | 0125, 0124/5, 0124, 01220, 01212, 01211 | R1, STR4 | |
| Subtropical | Cavendish (AAA) | Grand Nain | 0.5 to 95 | 01213/16, 01216, 0125, 01220, 0120 | R1, STR4, TR4 |
| Mysuru (AAB) | Poovan | 1–50 | 0125, 01213/16, | R1, TR4 | |
| Pisang Awak (ABB) | Karpuravalli | 0–20 | 0124, 01211, 01220, 0125, 01213/16 | R1, STR4, TR4 | |
| Cooking type (ABB) | Monthan | 0.5 to 28 | 01220, 0125, 0124/5 | R1 | |
| Silk (AAB) | Rasthali | 1–45 | 0125, 0124, 0128, 0124/5, 01218, 01220, 01212, 0129 | R1, STR4 TR4 | |
| Cavendish (AAA) | Robusta | 6–50 | 01213/16 | TR4 | |
| Athiakol Type (BB) | Athiakol | 0.1 | 0124/5, 0125 | R1 |
| S. No. | Isolate | Cultivar | Geographical Location | Race | VCG | Pathogenic | PCR Diagnosis for | |||
|---|---|---|---|---|---|---|---|---|---|---|
| TR4 | STR4 | R4 | R1 | |||||||
| 1. | BR3 | Monthan | Katihar, Bihar | 1 | 01220 | + | − | − | − | + |
| 2. | BR5 | Monthan | Katihar, Bihar | 1 | 01220 | + | − | − | − | + |
| 3. | BR12 | Grand Nain | Katihar, Bihar | 4 | 01216 | + | + | − | + | − |
| 4. | BR13 | Grand Nain | Katihar, Bihar | 4 | 01213/16 | + | + | − | + | − |
| 5. | BR14 | Grand Nain | Katihar, Bihar | 4 | 01213/16 | + | + | − | + | − |
| 6. | BR19 | Grand Nain | Katihar, Bihar | 1 | 0124 | + | − | − | − | + |
| 7. | GU2 | Grand Nain | Surat, Gujarat | 1 | 01220 | + | − | − | − | + |
| 8. | GU3 | Grand Nain | Surat, Gujarat | 4 | 0120 | + | − | + | + | − |
| 9. | GU4 | Grand Nain | Bharuch, Gujarat | 4 | 01213/16 | + | + | − | + | − |
| 10. | GU5 | Grand Nain | Bharuch, Gujarat | 4 | 01213/16 | + | + | − | + | − |
| 11. | GU6 | Grand Nain | Bharuch, Gujarat | 4 | 01213/16 | + | + | − | + | − |
| 12. | GU14 | Grand Nain | Vadodara, Gujarat | 1 | 01220 | + | − | − | − | + |
| 13. | GU15 | Grand Nain | Vadodara, Gujarat | 1 | 01220 | + | − | − | − | + |
| 14. | GU21 | Grand Nain | Surat, Gujarat | 4 | 01213/16 | + | + | − | + | − |
| 15. | KA1 | Grand Nain | Mandya, Karnataka | 1 | 0124 | + | − | − | − | + |
| 16. | KA2 | Monthan | Mandya, Karnataka | 1 | 0124 | + | − | − | − | + |
| 17. | KA4 | Nanjangudu Rasbale | Mysore, Karnataka | 1 | 0125 | + | − | − | − | + |
| 18. | KA6 | Grand Nain | Mysore, Karnataka | 1 | 01220 | + | − | − | − | + |
| 19. | KA8 | Grand Nain | Mysore, Karnataka | 1 | 01220 | + | − | − | − | + |
| 20. | KE1 | Rasthali | Thrissur, Kerala | 1 | 0124 | + | − | − | − | + |
| 21. | KE2 | Rasthali | Thrissur, Kerala | 1 | 0125 | + | − | − | − | + |
| 22. | KE4 | Big ebanga | Thrissur, Kerala | 1 | 0124/5 | + | − | − | − | + |
| 23. | MP1 | Grand Nain | Burhanpur, MP | 1 | 0125 | + | − | − | − | + |
| 24. | MP2 | Grand Nain | Burhanpur, MP | 1 | 0125 | + | − | − | − | + |
| 25. | MP3 | Grand Nain | Burhanpur, MP | 1 | 01220 | + | − | − | − | + |
| 26. | MP4 | Grand Nain | Burhanpur, MP | 4 | 0120 | + | − | + | + | − |
| 27. | MA1 | Grand Nain | Jalgaon, Maharashtra | 1 | 0125 | + | − | − | − | + |
| 28. | TN1 | Grand Nain | Theni, TN | 1 | 0125 | + | − | − | − | + |
| 29. | TN2 | Grand Nain | Theni, TN | 1 | 0125 | + | − | − | − | + |
| 30. | TN3 | Grand Nain | Theni, TN | 1 | 0125 | + | − | − | − | + |
| 31. | UP8 | Monthan | SantKabir Nagar, UP | 1 | 01220 | + | − | − | − | + |
| 32. | UP11 | Grand Nain | Maharajganj, UP | 1 | 0125 | + | − | − | − | + |
| 33. | UP17 | Grand Nain | Ayodhya, UP | 4 | 01213/16 | + | + | − | + | − |
| 34. | UP20 | Grand Nain | Maharajganj, UP | 4 | 01213/16 | + | + | − | + | − |
| 35. | UP22 | Grand Nain | Maharajganj, UP | 4 | 01213/16 | + | + | − | + | − |
| 36. | UP40 | Grand Nain | Shravasti, UP | 4 | 01213/16 | + | + | − | + | − |
| 37. | UP41 | Grand Nain | Barabanki, UP | 4 | 01213/16 | + | + | − | + | − |
| 38. | WB2 | Grand Nain | Nadia, WB | 4 | 01213/16 | + | + | − | + | − |
| 39. | WB3 | Grand Nain | Nadia, WB | 1 | 0124 | + | − | − | − | + |
| 40. | WB7 | Kanthali | Nadia, WB | 4 | 01213/16 | + | + | − | + | − |
| 41. | WB8 | Singapuri | Nadia, WB | 4 | 01213/16 | + | + | − | + | − |
| 42. | WB9 | Chinia | Nadia, WB | 4 | 01213/16 | + | + | − | + | − |
| 43. | WB24 | Singapuri | Murshidabad, WB | 4 | 01213/16 | + | + | − | + | − |
| 44. | WB28 | Kanthali | Nadia, WB | 1 | 0125 | + | − | − | − | + |
| 45. | WB31 | Kanthali | Hoogly, WB | 4 | 01213/16 | + | + | − | + | − |
| 46. | WB32 | Chinia | Hoogly, WB | 4 | 01213/16 | + | + | − | + | − |
| S. No. | Isolates | Cultivar | VCG | Races | SIX1 | SIX2 | SIX4 | SIX6 | SIX7 | SIX8 | SIX9 | SIX13 |
|---|---|---|---|---|---|---|---|---|---|---|---|---|
| 1. | BR3 | Monthan | 01220 | R1 | + | − | + | + | − | − | + | + |
| 2. | BR5 | Monthan | 01220 | R1 | + | − | + | + | − | − | + | + |
| 3. | BR12 | Grand Nain | 01216 | TR4 | + | + | − | − | − | + | + | + |
| 4. | BR13 | Grand Nain | 01213/16 | TR4 | + | + | − | − | − | + | + | + |
| 5. | BR14 | Grand Nain | 01213/16 | TR4 | + | + | − | − | − | + | + | + |
| 6. | BR19 | Grand Nain | 0124 | R1 | + | − | + | + | − | − | + | + |
| 7. | GU2 | Grand Nain | 01220 | R1 | + | − | + | + | − | − | + | + |
| 8. | GU3 | Grand Nain | 0120 | STR4 | + | + | − | − | + | + | + | + |
| 9. | GU4 | Grand Nain | 01213/16 | TR4 | + | + | − | − | − | + | + | + |
| 10. | GU5 | Grand Nain | 01213/16 | TR4 | + | + | − | − | − | + | + | + |
| 11. | GU6 | Grand Nain | 01213/16 | TR4 | + | + | − | − | − | + | + | + |
| 12. | GU14 | Grand Nain | 01220 | R1 | + | − | + | + | − | − | + | + |
| 13. | GU15 | Grand Nain | 01220 | R1 | + | − | + | + | − | − | + | + |
| 14. | GU21 | Grand Nain | 01213/16 | TR4 | + | + | − | − | − | + | + | + |
| 15. | KA1 | Grand Nain | 0124 | R1 | + | − | + | + | − | − | + | + |
| 16. | KA2 | Monthan | 0124 | R1 | + | − | + | + | − | − | + | + |
| 17. | KA4 | Nanjangudu Rasbale | 0125 | R1 | + | − | + | + | − | − | + | + |
| 18. | KA6 | Grand Nain | 01220 | R1 | + | − | + | + | − | − | + | + |
| 19. | KA8 | Grand Nain | 01220 | R1 | + | − | + | + | − | − | + | + |
| 20. | KE1 | Rasthali | 0124 | R1 | + | − | + | + | − | − | + | + |
| 21. | KE2 | Rasthali | 0125 | R1 | + | − | + | + | − | − | + | + |
| 22. | KE4 | Big ebanga | 0124/5 | R1 | + | − | + | + | − | − | + | + |
| 23. | MP1 | Grand Nain | 0125 | R1 | + | − | + | + | − | − | + | + |
| 24. | MP2 | Grand Nain | 0125 | R1 | + | − | + | + | − | − | + | + |
| 25. | MP3 | Grand Nain | 01220 | R1 | + | − | + | + | − | − | + | + |
| 26. | MP4 | Grand Nain | 0120 | STR4 | + | + | − | − | + | + | + | + |
| 27. | MA1 | Grand Nain | 0125 | R1 | + | − | + | + | − | − | + | + |
| 28. | TN1 | Grand Nain | 0125 | R1 | + | − | + | + | − | − | + | + |
| 29. | TN2 | Grand Nain | 0125 | R1 | + | − | + | + | − | − | + | + |
| 30. | TN3 | Grand Nain | 0125 | R1 | + | − | + | + | − | − | + | + |
| 31. | UP8 | Monthan | 01220 | R1 | + | − | + | + | − | − | + | + |
| 32. | UP11 | Grand Nain | 0125 | R1 | + | − | + | + | − | − | + | + |
| 33. | UP17 | Grand Nain | 01213/16 | TR4 | + | + | − | − | − | + | + | + |
| 34. | UP20 | Grand Nain | 01213/16 | TR4 | + | + | − | − | − | + | + | + |
| 35. | UP22 | Grand Nain | 01213/16 | TR4 | + | + | − | − | − | + | + | + |
| 36. | UP40 | Grand Nain | 01213/16 | TR4 | + | + | − | − | − | + | + | + |
| 37. | UP41 | Grand Nain | 01213/16 | TR4 | + | + | − | − | − | + | + | + |
| 38. | WB2 | Grand Nain | 01213/16 | TR4 | + | + | − | − | − | + | + | + |
| 39. | WB3 | Grand Nain | 0124 | R1 | + | − | + | + | − | − | + | + |
| 40. | WB7 | Kanthali | 01213/16 | TR4 | + | + | − | − | − | + | + | + |
| 41. | WB8 | Singapuri | 01213/16 | TR4 | + | + | − | − | − | + | + | + |
| 42. | WB9 | Chinia | 01213/16 | TR4 | + | + | − | − | − | + | + | + |
| 43. | WB24 | Singapuri | 01213/16 | TR4 | + | + | − | − | − | + | + | + |
| 44. | WB28 | Kanthali | 0125 | R1 | + | − | + | + | − | − | + | + |
| 45. | WB31 | Kanthali | 01213/16 | TR4 | + | + | − | − | − | + | + | + |
| 46. | WB32 | Chinia | 01213/16 | TR4 | + | + | − | − | − | + | + | + |
Disclaimer/Publisher’s Note: The statements, opinions and data contained in all publications are solely those of the individual author(s) and contributor(s) and not of MDPI and/or the editor(s). MDPI and/or the editor(s) disclaim responsibility for any injury to people or property resulting from any ideas, methods, instructions or products referred to in the content. |
© 2024 by the authors. Licensee MDPI, Basel, Switzerland. This article is an open access article distributed under the terms and conditions of the Creative Commons Attribution (CC BY) license (https://creativecommons.org/licenses/by/4.0/).
Share and Cite
Thangavelu, R.; Amaresh, H.; Gopi, M.; Loganathan, M.; Nithya, B.; Ganga Devi, P.; Anuradha, C.; Thirugnanavel, A.; Patil, K.B.; Blomme, G.; et al. Geographical Distribution, Host Range and Genetic Diversity of Fusarium oxysporum f. sp. cubense Causing Fusarium Wilt of Banana in India. J. Fungi 2024, 10, 887. https://doi.org/10.3390/jof10120887
Thangavelu R, Amaresh H, Gopi M, Loganathan M, Nithya B, Ganga Devi P, Anuradha C, Thirugnanavel A, Patil KB, Blomme G, et al. Geographical Distribution, Host Range and Genetic Diversity of Fusarium oxysporum f. sp. cubense Causing Fusarium Wilt of Banana in India. Journal of Fungi. 2024; 10(12):887. https://doi.org/10.3390/jof10120887
Chicago/Turabian StyleThangavelu, Raman, Hadimani Amaresh, Muthukathan Gopi, Murugan Loganathan, Boopathy Nithya, Perumal Ganga Devi, Chelliah Anuradha, Anbazhagan Thirugnanavel, Kalyansing Baburao Patil, Guy Blomme, and et al. 2024. "Geographical Distribution, Host Range and Genetic Diversity of Fusarium oxysporum f. sp. cubense Causing Fusarium Wilt of Banana in India" Journal of Fungi 10, no. 12: 887. https://doi.org/10.3390/jof10120887
APA StyleThangavelu, R., Amaresh, H., Gopi, M., Loganathan, M., Nithya, B., Ganga Devi, P., Anuradha, C., Thirugnanavel, A., Patil, K. B., Blomme, G., & Selvarajan, R. (2024). Geographical Distribution, Host Range and Genetic Diversity of Fusarium oxysporum f. sp. cubense Causing Fusarium Wilt of Banana in India. Journal of Fungi, 10(12), 887. https://doi.org/10.3390/jof10120887

