Advanced Echocardiography Assessment in the Management of Alcapa Syndrome: Case Report
Abstract
1. Introduction
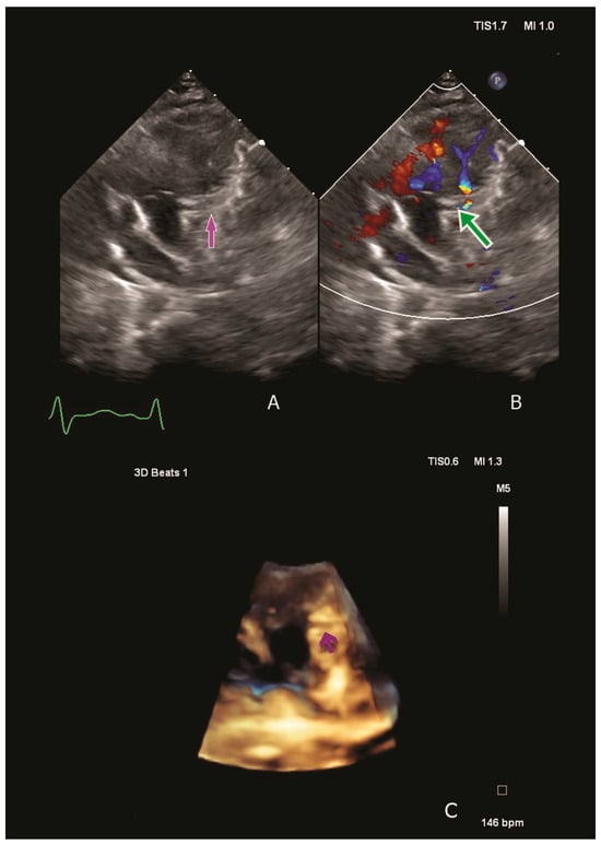
2. Case Presentation
3. Discussion
4. Conclusions
Author Contributions
Funding
Institutional Review Board Statement
Informed Consent Statement
Data Availability Statement
Conflicts of Interest
References
- Naqvi, N.; Babu-Narayan, S.V.; Krupickova, S.; Muthialu, N.; Maiya, S.; Chandershekar, P.; Cheang, M.H.; Kostolny, M.; Tsang, V.; Marek, J. Myocardial Function Following Repair of Anomalous Origin of Left Coronary Artery from the Pulmonary Artery in Children. J. Am. Soc. Echocardiogr. 2020, 33, 622–630. [Google Scholar] [CrossRef] [PubMed]
- Dabrowska-Kugacka, A.; Dorniak, K.; Meyer-Szary, J.; Rey, A.H.; Lewicka, E.; Ostrowska, K.; Kwiatkowska, J. Myocardial function in patients with anomalous left coronary artery from the pulmonary artery syndrome: A long-term speckle tracking echocardiographic study. PLoS ONE 2019, 14, e0223227. [Google Scholar] [CrossRef] [PubMed]
- Castaldi, B.; Vida, V.; Reffo, E.; Padalino, M.; Daniels, Q.; Stellin, G.; Milanesi, O. Speckle Tracking in ALCAPA Patients after Surgical Repair as Predictor of Residual Coronary Disease. Pediatr. Cardiol. 2017, 38, 794–800. [Google Scholar] [CrossRef] [PubMed]
- Cinotti, R.; Delater, A.; Fortuit, C.; Roquilly, A.; Mahé, P.J.; Demeure-dit-Latte, D.; Asehnoune, K. Speckle-tracking analysis of left ventricular systolic function in the intensive care unit. Anaesthesiol. Intensive Ther. 2015, 47, 482–486. [Google Scholar] [CrossRef] [PubMed]
- Basu, S.; Frank, L.H.; Fenton, K.E.; Sable, C.A.; Levy, R.J.; Berger, J.T. Two-dimensional speckle tracking imaging detects impaired myocardial performance in children with septic shock, not recognized by conventional echocardiography. Pediatr. Crit. Care Med. 2012, 13, 259–264. [Google Scholar] [CrossRef] [PubMed]
- Lardhi, A.A. Anomalous origin of left coronary artery from pulmonary artery: A rare cause of myocardial infarction in children. J. Family Community Med. 2019, 17, 113–116. [Google Scholar] [CrossRef] [PubMed]
- Mollova, M.; Bersell, K.; Walsh, S.; Savla, J.; Das, L.T.; Park, S.Y.; Silberstein, L.E.; Dos Remedios, C.G.; Graham, D.; Colan, S.; et al. Cardiomyocyte proliferation contributes to heart growth in young humans. Proc. Natl. Acad. Sci. USA 2013, 110, 1446–1451. [Google Scholar] [CrossRef] [PubMed]
- Shukla, K.; Surti, J.; Dubey, G.; Mishra, A.; Gajjar, T.; Jain, I.; Pandya, H. Measures to improve in-hospital outcomes of patients undergoing surgical repair for anomalous origin of left coronary artery from pulmonary artery. Ann. Card. Anaesth. 2022, 25, 472–478. [Google Scholar] [CrossRef] [PubMed] [PubMed Central]
- D’Andrea, A.; Radmilovic, J.; Mele, D.; D’Ascenzi, F.; Agricola, E.; Carbone, A.; Iudice, F.L.; Novo, G.; Ancona, F.; Righini, F.M.; et al. Speckle tracking analysis in intensive care unit: A toy or a tool? Echocardiography 2018, 35, 506–519. [Google Scholar] [CrossRef] [PubMed]
- Radman, M.; Mastropietro, C.W.; Costello, J.M.; Amula, V.; Flores, S.; Caudill, E.; Karki, K.; Migally, K.; Narasimhulu, S.; Piggott, K.; et al. Intermediate Outcomes After Repair of Anomalous Left Coronary Artery from the Pulmonary Artery. Ann. Thorac. Surg. 2021, 112, 1307–1315. [Google Scholar] [CrossRef] [PubMed]
- Kanoh, M.; Inai, K.; Shinohara, T.; Tomimatsu, H.; Nakanishi, T. Outcomes from the anomalous origin of the left coronary artery from the pulmonary artery repair: Long-term complications in relation to residual myocardial abnormalities. J. Cardiol. 2017, 70, 498–503. [Google Scholar] [CrossRef] [PubMed]
- Schmitt, B.; Bauer, S.; Kutty, S.; Nordmeyer, S.; Nasseri, B.; Berger, F.; Alexi-Meskishvili, V. Myocardial perfusion, scarring, and function in anomalous left coronary artery from the pulmonary artery syndrome: A long-term analysis using magnetic resonance imaging. Ann. Thorac. Surg. 2014, 98, 1425–1436. [Google Scholar] [CrossRef] [PubMed]
- Beyhoff, N.; Lohr, D.; Foryst-Ludwig, A.; Klopfleisch, R.; Brix, S.; Grune, J.; Thiele, A.; Erfinanda, L.; Tabuchi, A.; Kuebler, W.M.; et al. Characterization of Myocardial Microstructure and Function in an Experimental Model of Isolated Subendocardial Damage. Hypertension 2019, 74, 295–304. [Google Scholar] [CrossRef] [PubMed] [PubMed Central]
- Romanowicz, J.; Ferraro, A.M.; Harrington, J.K.; Sleeper, L.A.; Adar, A.; Levy, P.T.; Powell, A.J.; Harrild, D.M. Pediatric Normal Values and Z Score Equations for Left and Right Ventricular Strain by Two-Dimensional Speckle-Tracking Echocardiography Derived from a Large Cohort of Healthy Children. J. Am. Soc. Echocardiogr. 2023, 36, 310–323. [Google Scholar] [CrossRef] [PubMed]



| Admission | Postoperative (Day 15 Postop) | Infection Time (Day 23 Postop) | Discharge (Day 70 Postop) | |
|---|---|---|---|---|
| LV EF (%) | 18 | 25 | 20 | 30.8 |
| LVEDD (mm) | 44 (z score = 7.29) | 41 | 40 | 35 (z score = 5) |
| LVOT VTI (m/s) | 1.1 | 0.9 | 0.8 | 1 |
| GLS | −4 | −8 | −5 | −7.9 |
| NT-proBNP (pg/mL) | 60,477 | 15,000 | - | 7226.4 |
| Troponin T (pg/mL) | 138 | - | - | 23 |
Disclaimer/Publisher’s Note: The statements, opinions and data contained in all publications are solely those of the individual author(s) and contributor(s) and not of MDPI and/or the editor(s). MDPI and/or the editor(s) disclaim responsibility for any injury to people or property resulting from any ideas, methods, instructions or products referred to in the content. |
© 2024 by the authors. Licensee MDPI, Basel, Switzerland. This article is an open access article distributed under the terms and conditions of the Creative Commons Attribution (CC BY) license (https://creativecommons.org/licenses/by/4.0/).
Share and Cite
Hagău, A.C.; Suciu, H.; Popoiu, A.V.; Muntean, I. Advanced Echocardiography Assessment in the Management of Alcapa Syndrome: Case Report. J. Cardiovasc. Dev. Dis. 2024, 11, 219. https://doi.org/10.3390/jcdd11070219
Hagău AC, Suciu H, Popoiu AV, Muntean I. Advanced Echocardiography Assessment in the Management of Alcapa Syndrome: Case Report. Journal of Cardiovascular Development and Disease. 2024; 11(7):219. https://doi.org/10.3390/jcdd11070219
Chicago/Turabian StyleHagău, Asmaa Carla, Horațiu Suciu, Anca Voichița Popoiu, and Iolanda Muntean. 2024. "Advanced Echocardiography Assessment in the Management of Alcapa Syndrome: Case Report" Journal of Cardiovascular Development and Disease 11, no. 7: 219. https://doi.org/10.3390/jcdd11070219
APA StyleHagău, A. C., Suciu, H., Popoiu, A. V., & Muntean, I. (2024). Advanced Echocardiography Assessment in the Management of Alcapa Syndrome: Case Report. Journal of Cardiovascular Development and Disease, 11(7), 219. https://doi.org/10.3390/jcdd11070219

