Aortic Valve Dysfunction and Aortopathy Based on the Presence of Raphe in Patients with Bicuspid Aortic Valve Disease
Abstract
1. Introduction
2. Materials and Methods
2.1. Patients
2.2. CT Imaging Protocols
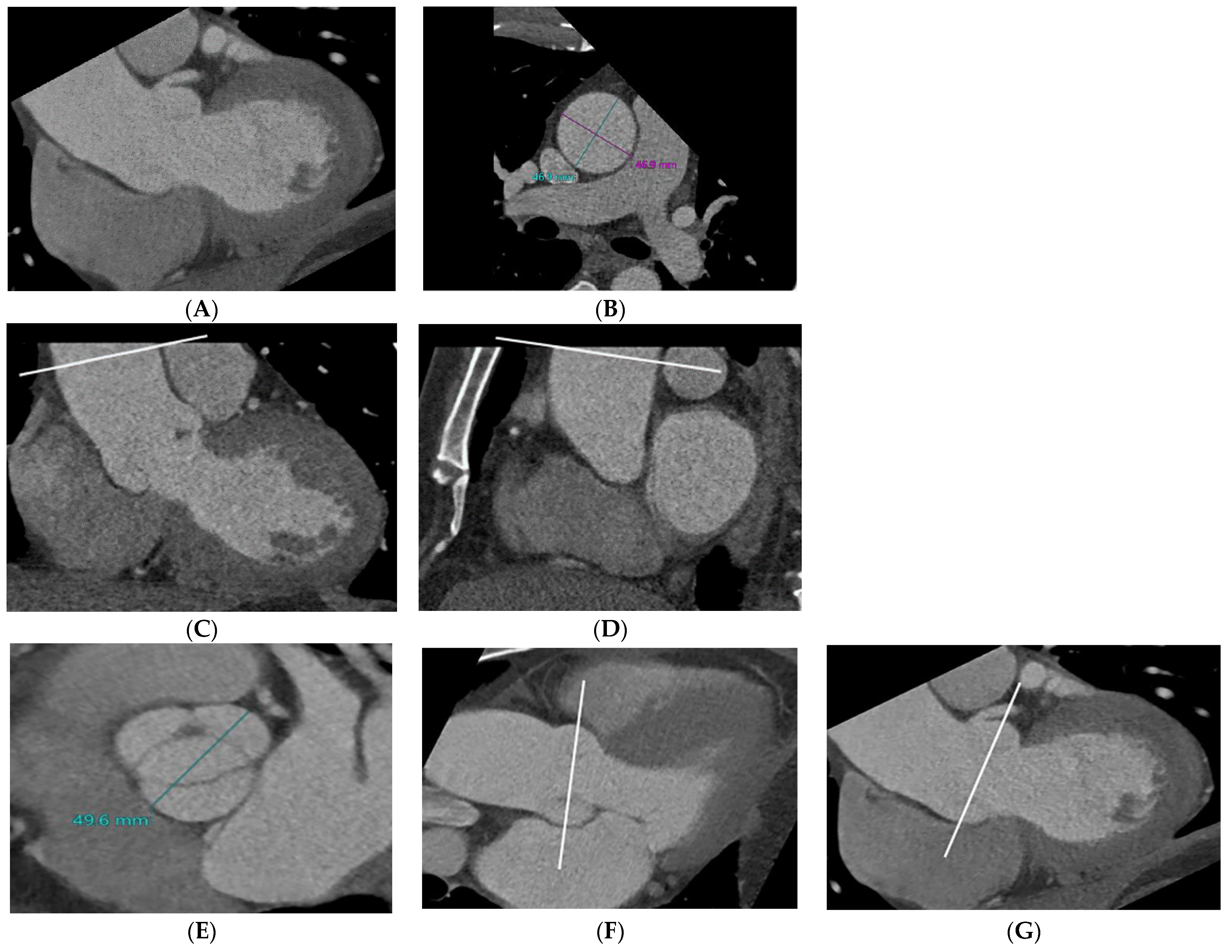
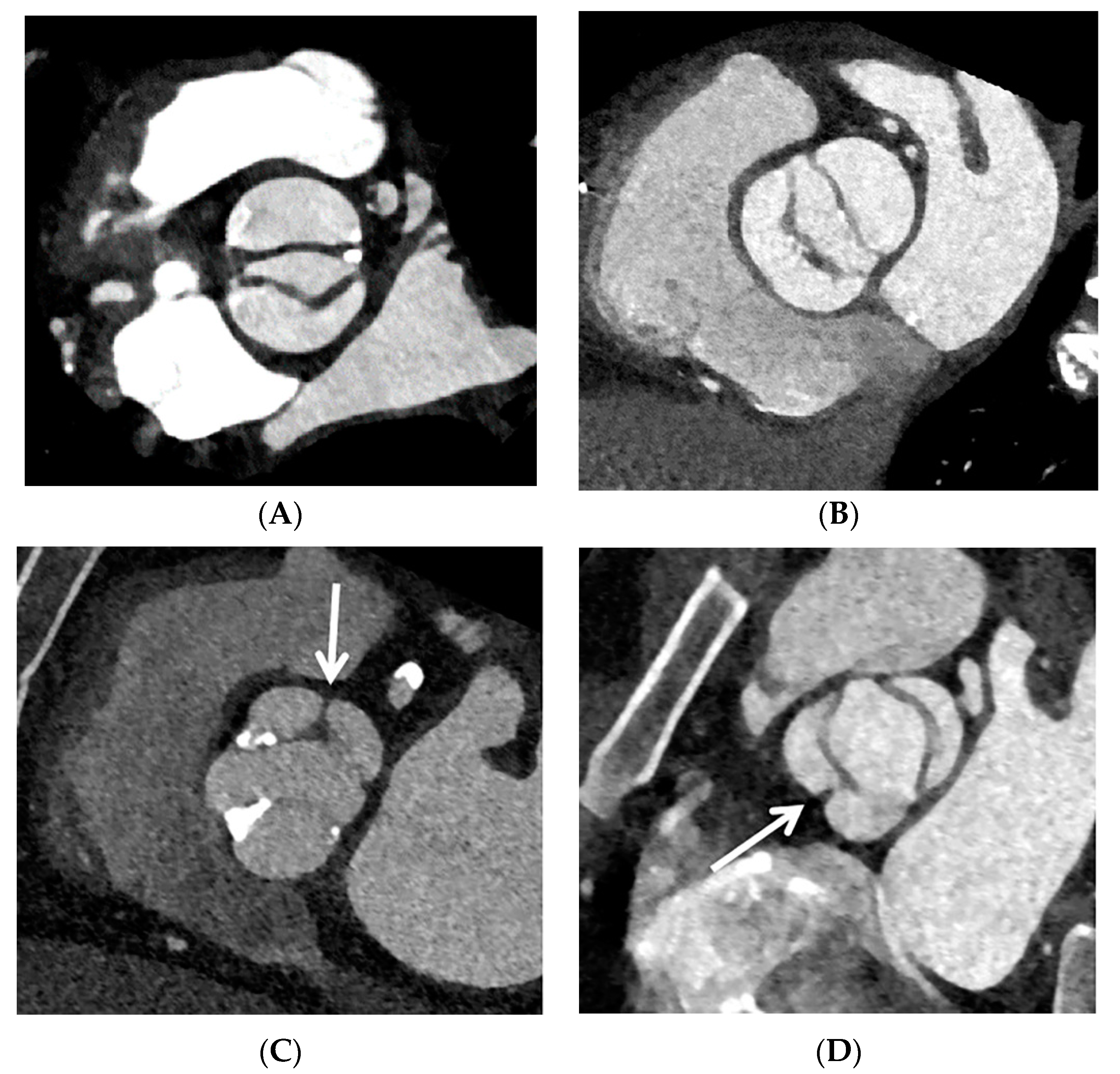
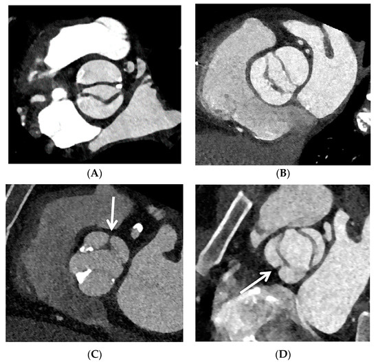
2.3. CT Image Reconstruction and Analysis
2.4. Echocardiographic Evaluation
2.5. Statistical Analyses
3. Results
4. Discussion
5. Conclusions
Author Contributions
Funding
Institutional Review Board Statement
Informed Consent Statement
Data Availability Statement
Acknowledgments
Conflicts of Interest
References
- Wang, J.; Deng, W.; Lv, Q.; Li, Y.; Liu, T.; Xie, M. Aortic Dilatation in Patients with Bicuspid Aortic Valve. Front. Physiol. 2021, 12, 615175. [Google Scholar] [CrossRef]
- Hardikar, A.; Harle, R. Does the Leaflet Fusion Subtype Affect Pattern and Rate of Growth in BAV Aortopathy? A Study of 102 BAV Aortopathy Cases with A Literature Review. Heart Lung Circ. 2021, 30, 1058–1066. [Google Scholar] [CrossRef]
- Kong, W.K.F.; Regeer, M.V.; Poh, K.K.; Yip, J.W.; van Rosendael, P.J.; Yeo, T.C.; Tay, E.; Kamperidis, V.; van der Velde, E.T.; Mertens, B.; et al. Inter-ethnic differences in valve morphology, valvular dysfunction, and aortopathy between Asian and European patients with bicuspid aortic valve. Eur. Heart J. 2018, 39, 1308–1313. [Google Scholar] [CrossRef]
- Grant, M.D.; Mann, R.D.; Kristenson, S.D.; Buck, R.M.; Mendoza, J.D.; Reese, J.M.; Grant, D.W.; Roberge, E.A. Transthoracic Echocardiography: Beginner's Guide with Emphasis on Blind Spots as Identified with CT and MRI. Radiographics 2021, 41, 1022–1042. [Google Scholar] [CrossRef] [PubMed]
- Ahmad, Y.; Agarwal, V.; Williams, M.L.; Wang, D.D.; Reardon, M.J.; Cavalcante, J.L.; Makkar, R.; Forrest, J.K. Imaging, Treatment Options, Patient Selection, and Outcome Considerations for Patients with Bicuspid Aortic Valve Disease. J. Soc. Cardiovasc. Angiogr. Interv. 2022, 1, 100506. [Google Scholar] [CrossRef]
- Michelena, H.I.; Della Corte, A.; Evangelista, A.; Maleszewski, J.J.; Edwards, W.D.; Roman, M.J.; Devereux, R.B.; Fernández, B.; Asch, F.M.; Barker, A.J.; et al. International consensus statement on nomenclature and classification of the congenital bicuspid aortic valve and its aortopathy, for clinical, surgical, interventional and research purposes. Eur. J. Cardiothorac. Surg. 2021, 60, 448–476. [Google Scholar] [CrossRef] [PubMed]
- Sievers, H.H.; Schmidtke, C. A classification system for the bicuspid aortic valve from 304 surgical specimens. J. Thorac. Cardiovasc. Surg. 2007, 133, 1226–1233. [Google Scholar] [CrossRef]
- Isselbacher, E.M.; Preventza, O.; Black, J.H.; Augoustides, J.G.; Beck, A.W.; Bolen, M.A.; Braverman, A.C.; Bray, B.E.; Brown-Zimmerman, M.M.; Chen, E.P.; et al. 2022 ACC/AHA Guideline for the Diagnosis and Management of Aortic Disease. J. Am. Coll. Cardiol. 2022, 80, e223–e393. [Google Scholar] [CrossRef]
- Ayşe Inci, Y.; Aysu Türkmen, K. Bicuspid Aortic Valve. In Structural Insufficiency Anomalies in Cardiac Valves; Kaan, K., Ed.; IntechOpen: Rijeka, Croatia, 2018. [Google Scholar]
- Kang, J.W.; Song, H.G.; Yang, D.H.; Baek, S.; Kim, D.-H.; Song, J.-M.; Kang, D.-H.; Lim, T.-H.; Song, J.-K. Association between bicuspid aortic valve phenotype and patterns of valvular dysfunction and bicuspid aortopathy: Comprehensive evaluation using MDCT and echocardiography. JACC Cardiovasc. Imaging 2013, 6, 150–161. [Google Scholar] [CrossRef]
- Fazel, S.S.; Mallidi, H.R.; Lee, R.S.; Sheehan, M.P.; Liang, D.; Fleischman, D.; Herfkens, R.; Mitchell, R.S.; Miller, D.C. The aortopathy of bicuspid aortic valve disease has distinctive patterns and usually involves the transverse aortic arch. J. Thorac. Cardiovasc. Surg. 2008, 135, 901–907, 907.e1–2. [Google Scholar] [CrossRef]
- Nappi, F.; Giacinto, O.; Lusini, M.; Garo, M.; Caponio, C.; Nenna, A.; Nappi, P.; Rousseau, J.; Spadaccio, C.; Chello, M. Patients with Bicuspid Aortopathy and Aortic Dilatation. J. Clin. Med. 2022, 11, 6002. [Google Scholar] [CrossRef]
- Shin, H.J.; Shin, J.K.; Chee, H.K.; Kim, J.S.; Ko, S.M. Characteristics of aortic valve dysfunction and ascending aorta dimensions according to bicuspid aortic valve morphology. Eur. Radiol. 2015, 25, 2103–2114. [Google Scholar] [CrossRef]
- Suwa, K.; Rahman, O.A.; Bollache, E.; Rose, M.J.; Rahsepar, A.A.; Carr, J.C.; Collins, J.D.; Barker, A.J.; Markl, M. Effect of Aortic Valve Disease on 3D Hemodynamics in Patients With Aortic Dilation and Trileaflet Aortic Valve Morphology. J. Magn. Reson. Imaging 2020, 51, 481–491. [Google Scholar] [CrossRef] [PubMed]
- Kong, W.K.; Delgado, V.; Poh, K.K.; Regeer, M.V.; Ng, A.C.; McCormack, L.; Yeo, T.C.; Shanks, M.; Parent, S.; Enache, R.; et al. Prognostic Implications of Raphe in Bicuspid Aortic Valve Anatomy. JAMA Cardiol. 2017, 2, 285–292. [Google Scholar] [CrossRef] [PubMed]
- Mai, Z.; Guan, L.; Mu, Y. Association between bicuspid aortic valve phenotype and patterns of valvular dysfunction: A meta-analysis. Clin. Cardiol. 2021, 44, 1683–1691. [Google Scholar] [CrossRef] [PubMed]
- Sun, B.J.; Oh, J.K.; Lee, S.H.; Jang, J.Y.; Lee, J.H.; Lee, S.M.; Kim, D.H.; Song, J.M.; Kang, D.H.; Song, J.K. Mid-term Clinical Outcomes in a Cohort of Asymptomatic or Mildly Symptomatic Korean Patients with Bicuspid Aortic Valve in a Tertiary Referral Hospital. J. Cardiovasc. Imaging 2019, 27, 105–118. [Google Scholar] [CrossRef]
- Koenraadt, W.M.; Grewal, N.; Gaidoukevitch, O.Y.; DeRuiter, M.C.; Groot, A.C.G.-D.; Bartelings, M.M.; Holman, E.R.; Klautz, R.J.M.; Schalij, M.J.; Jongbloed, M.R.M. The extent of the raphe in bicuspid aortic valves is associated with aortic regurgitation and aortic root dilatation. Neth. Heart J. 2016, 24, 127–133. [Google Scholar] [CrossRef][Green Version]
- Sievers, H.H.; Stierle, U.; Mohamed, S.A.; Hanke, T.; Richardt, D.; Schmidtke, C.; Charitos, E.I. Toward individualized management of the ascending aorta in bicuspid aortic valve surgery: The role of valve phenotype in 1362 patients. J. Thorac. Cardiovasc. Surg. 2014, 148, 2072–2080. [Google Scholar] [CrossRef]
- Lee, S.Y.; Shim, C.Y.; Kim, D.; Cho, I.; Hong, G.-R.; Ha, J.-W.; Chung, N. Factors Determining Aortic Valve Dysfunction in Korean Subjects with a Bicuspid Aortic Valve. Am. J. Cardiol. 2017, 119, 2049–2055. [Google Scholar] [CrossRef]
- Yang, L.T.; Chang, H.-Y.; Lo, H.-Y.; Chen, W.-J.; Ho, Y.-L. Comparison Between Bicuspid and Tricuspid Aortic Regurgitation: Presentation, Survival, and Aorta Complications. JACC Asia 2022, 2, 476–486. [Google Scholar] [CrossRef]
- Michelena, H.I.; Della Corte, A.; Prakash, S.K.; Milewicz, D.M.; Evangelista, A.; Enriquez-Sarano, M. Bicuspid aortic valve aortopathy in adults: Incidence, etiology, and clinical significance. Int. J. Cardiol. 2015, 201, 400–407. [Google Scholar] [CrossRef] [PubMed]
- Junco-Vicente, A.; del Río-García, A.; Martín, M.; Rodríguez, I. Update in Biomolecular and Genetic Bases of Bicuspid Aortopathy. Int. J. Mol. Sci. 2021, 22, 5694. [Google Scholar] [CrossRef] [PubMed]
- Frazao, C.; Tavoosi, A.; Wintersperger, B.J.; Nguyen, E.T.; Wald, R.M.; Ouzounian, M.; Hanneman, K. Multimodality Assessment of Thoracic Aortic Dimensions: Comparison of Computed Tomography Angiography, Magnetic Resonance Imaging, and Echocardiography Measurements. J. Thorac. Imaging 2020, 35, 399–406. [Google Scholar] [CrossRef] [PubMed]





| Raphe+ (n = 185) | Raphe− (n = 127) | p-Value | |
|---|---|---|---|
| Age | 52.2 ± 14.5 | 53.4 ± 14.1 | 0.444 |
| Sex (M) | 156 (84.3) | 71 (55.9) | <0.001 |
| BSA | 1.8 ± 0.2 | 1.7 ± 0.2 | 0.001 |
| COPD | 10 (5.4) | 3 (2.3) | 0.186 |
| HTN | 51 (27.6) | 46 (36.2) | 2.632 |
| DM | 14 (7.6) | 9 (7.1) | 0.873 |
| Hyperlipidemia | 35 (18.9) | 17 (13.4) | 0.198 |
| Smoking | 80 (43.2) | 37 (29.1) | 0.011 |
| CAD | 10 (7.9) | 19 (10.3) | 0.474 |
| Coronary calcium score, median (range) | 102.5 ± 341.5 | 68.6 ± 206.2 | 0.276 |
| Valve calcium score, median | 1523.8 ± 2333.9 | 2025.6 ± 2345.1 | 0.064 |
| Aorta diameter (mm) | |||
| Sinus of Valsalva | 40.2 ± 6.4 | 38.7 ± 5.6 | 0.033 |
| Tubular portion | 42.1 ± 7 | 44.3 ± 8.3 | 0.015 |
| Sinus of Valsalva/BSA | 23 ± 3.7 | 23.1 ± 3.1 | 0.808 |
| Tubular portion/BSA | 24.2 ± 5 | 26.6 ± 5.6 | <0.001 |
| Aorta type | 0.021 | ||
| Normal | 27 (14.6) | 12 (9.5) | |
| Type 1 | 25 (13.5) | 8 (6.3) | |
| Type 2 | 30 (16.2) | 15 (11.8) | |
| Type 3 | 103 (55.7) | 92 (72.4) | |
| Aortopathy | 131 (70.8) | 100 (78.7) | 0.117 |
| Aortic aneurysm | 38 (20.5) | 34 (26.8) | 0.199 |
| Aortic valve dysfunction | <0.001 | ||
| Normal | 4 (2.2) | 15 (11.8) | |
| AR | 91 (49.2) | 13 (10.2) | |
| AS | 33 (17.8) | 64 (50.4) | |
| ASR | 57 (30.8) | 35 (27.6) | |
| AS severity | <0.001 | ||
| None | 95 (51.4) | 28 (22.1) | |
| Mild | 10 (5.4) | 8 (6.3) | |
| Moderate | 15 (8.1) | 13 (10.2) | |
| Severe | 65 (35.1) | 78 (61.4) | |
| AR severity | <0.001 | ||
| None | 38 (20.5) | 79 (62.2) | |
| Mild | 64 (34.6) | 31 (24.4) | |
| Moderate | 34 (18.4) | 10 (7.9) | |
| Severe | 49 (26.5) | 7 (5.5) | |
| Valve dysfunction dominance | <0.001 | ||
| Dominant AS | 70 (37.8) | 82 (64.6) | |
| Dominant AR | 73 (39.5) | 8 (6.3) | |
| Balanced ASR | 10 (5.4) | 9 (7.1) | |
| None | 32 (17.3) | 28 (22.0) | |
| ECHO | |||
| EDV (mL) | 164.8 ± 81.1 | 124.6 ± 52.2 | <0.001 |
| ESV (mL) | 65.4 ± 48.5 | 46.8 ± 36.1 | <0.001 |
| EF (%) | 62.7 ± 11.8 | 63.6 ± 12.6 | 0.505 |
| Valve OP | 145 (78.4) | 95 (74.8) | 0.462 |
| Aorta OP | 66 (35.7) | 55 (43.3) | 0.174 |
| Aortic Stenosis | ||||
|---|---|---|---|---|
| Univariable | Multivariable | |||
| Characteristics | Odds Ratio 95% CI | p-Value | Odds Ratio 95% CI | p-Value |
| Sex (male 1, female 0) | 0.2 (0.1–0.4) | <0.001 | 0.2 (0.1–0.4) | <0.001 |
| Age | 1.1 (1.1–1.1) | <0.001 | 1.0 (1.0–1.0) | 0.398 |
| Aortic valve Ca score | 1.0 (1.0–1.0) | <0.001 | 1.0 (1.0–1.0) | <0.001 |
| EDV | 1.0 (1.0–1.0) | <0.001 | 1.0 (1.0–1.0) | 0.021 |
| ESV | 1.0 (1.0–1.0) | <0.001 | 1.0 (1.0–1.1) | 0.701 |
| EF | 1.0 (1.0–1.1) | 0.005 | 1.0 (1.0–1.1) | 0.795 |
| CAD | 2.8 (1.2–6.8) | 0.021 | 0.5 (0.1–3.1) | 0.423 |
| Hyperlipidemia | 1.3 (0.7–2.3) | 0.446 | / | / |
| DM | 1.6 (0.7–3.9) | 0.301 | / | / |
| Aortopathy | 1.5 (0.9–2.6) | 0.098 | / | / |
| HTN | 1.3 (0.8–2.1) | 0.346 | / | / |
| Raphe | 0.3 (0.2–0.5) | <0.001 | 0.6 (0.3–1.5) | 0.279 |
| Aortic Regurgitation | ||||
|---|---|---|---|---|
| Univariable | Multivariable | |||
| Characteristic | Odds Ratio 95% CI | p-Value | Odds Ratio 95% CI | p-Value |
| Sex (male 1, female 0) | 7.7 (3.4–17.5) | <0.001 | 1.3 (0.4–4.3) | 0.726 |
| Age | 1.0 (1.0–1.0) | <0.001 | 1.0 (0.9–1.0) | 0.003 |
| Aortic valve Ca score | 1.0 (1.0–1.0) | <0.001 | 1.0 (1.0–1.0) | 0.761 |
| EDV | 1.0 (1.0–1.1) | <0.001 | 1.1 (1.0–1.1) | <0.001 |
| ESV | 1.0 (1.0–1.1) | <0.001 | 1.0 (0.9–1.0) | 0.025 |
| EF | 1.0 (0.9–1.0) | <0.001 | 1.0 (0.9–1.0) | 0.142 |
| CAD | 0.1 (0.0–0.6) | 0.008 | 0.3 (0.0–2.1) | 0.215 |
| Hyperlipidemia | 0.6 (0.3–1.2) | 0.132 | / | / |
| DM | 0.2 (0.0–0.8) | 0.025 | 1.6 (0.2–14.7) | 0.678 |
| Aortopathy | 1.0 (0.6–1.7) | 0.992 | / | / |
| HTN | 0.6 (0.3–1.0) | 0.035 | 0.9 (0.3–2.31) | 0.756 |
| Raphe | 5.3 (2.9–9.5) | <0.001 | 3.7 (1.4–9.6) | 0.007 |
Disclaimer/Publisher’s Note: The statements, opinions and data contained in all publications are solely those of the individual author(s) and contributor(s) and not of MDPI and/or the editor(s). MDPI and/or the editor(s) disclaim responsibility for any injury to people or property resulting from any ideas, methods, instructions or products referred to in the content. |
© 2023 by the authors. Licensee MDPI, Basel, Switzerland. This article is an open access article distributed under the terms and conditions of the Creative Commons Attribution (CC BY) license (https://creativecommons.org/licenses/by/4.0/).
Share and Cite
Zhang, Y.; Choi, B.H.; Chee, H.K.; Kim, J.S.; Ko, S.M. Aortic Valve Dysfunction and Aortopathy Based on the Presence of Raphe in Patients with Bicuspid Aortic Valve Disease. J. Cardiovasc. Dev. Dis. 2023, 10, 372. https://doi.org/10.3390/jcdd10090372
Zhang Y, Choi BH, Chee HK, Kim JS, Ko SM. Aortic Valve Dysfunction and Aortopathy Based on the Presence of Raphe in Patients with Bicuspid Aortic Valve Disease. Journal of Cardiovascular Development and Disease. 2023; 10(9):372. https://doi.org/10.3390/jcdd10090372
Chicago/Turabian StyleZhang, Yu, Bo Hwa Choi, Hyun Keun Chee, Jun Seok Kim, and Sung Min Ko. 2023. "Aortic Valve Dysfunction and Aortopathy Based on the Presence of Raphe in Patients with Bicuspid Aortic Valve Disease" Journal of Cardiovascular Development and Disease 10, no. 9: 372. https://doi.org/10.3390/jcdd10090372
APA StyleZhang, Y., Choi, B. H., Chee, H. K., Kim, J. S., & Ko, S. M. (2023). Aortic Valve Dysfunction and Aortopathy Based on the Presence of Raphe in Patients with Bicuspid Aortic Valve Disease. Journal of Cardiovascular Development and Disease, 10(9), 372. https://doi.org/10.3390/jcdd10090372

