Anatomic Variations of Renal Arteries as an Important Factor in the Effectiveness of Renal Denervation in Resistant Hypertension
Abstract
1. Introduction
2. Anatomy and Pathophysiology
3. The Course of the Procedure
- -
- radiofrequency (RF) ablation uses multi-electrode catheters or intravascular balloons; during the intervention, radiofrequency pulses are applied, inducing the burning of the nerve fibers in the renal arteries adventitia,
- -
- ultrasound ablation, which uses acoustic wave energy delivered intra- or extravascularly, and
- -
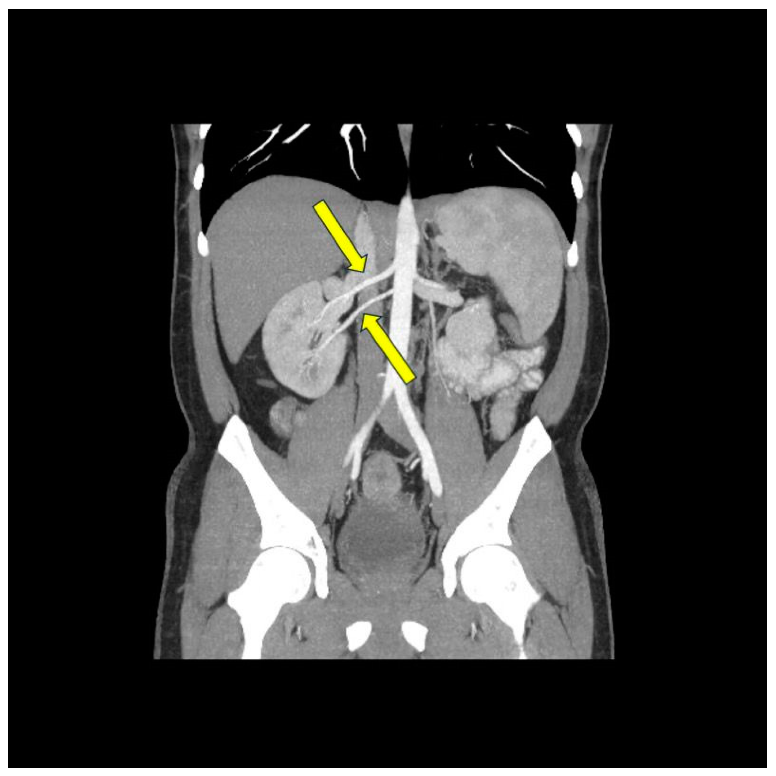
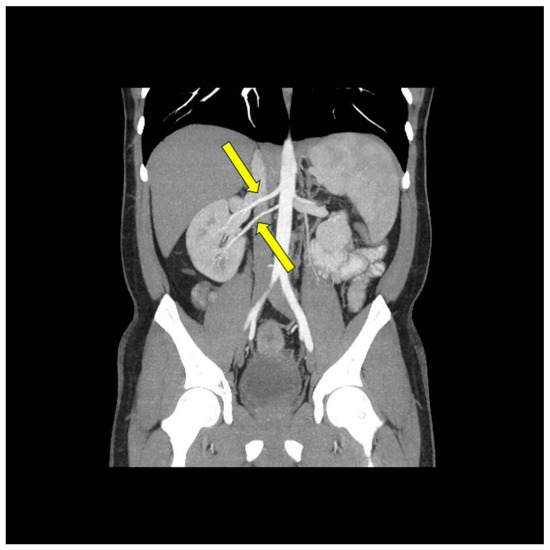
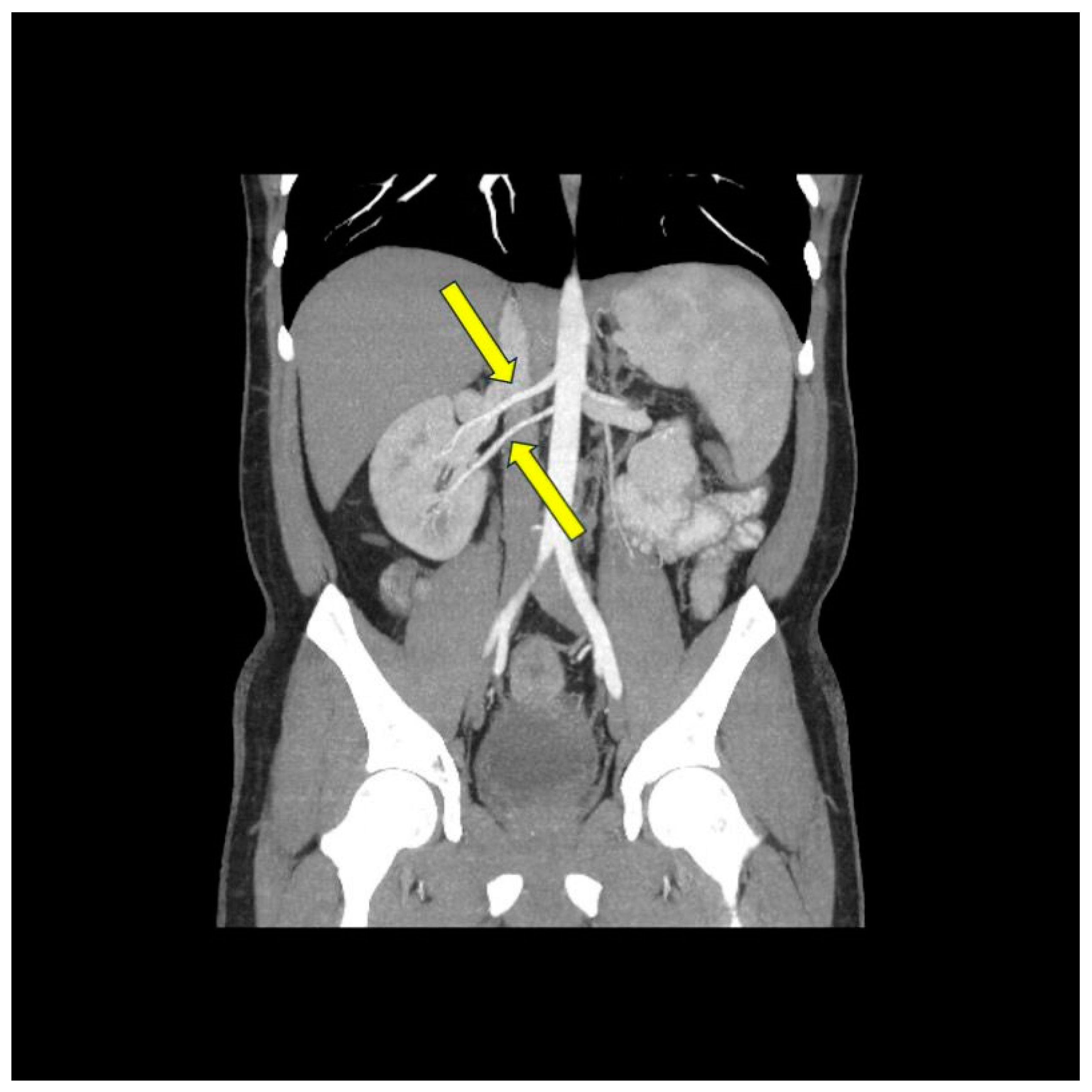
4. Accessory Renal Arteries
4.1. Prevalence and Methods of Imaging
4.2. Accessory Renal Artery Periarterial Renal Sympathetic Nerves
4.3. Percutaneous Renal Denervation among Patients with Anatomical Variations of Renal Arteries
4.4. The Effectiveness of Renal Denervation in Patients with Anatomical Variations of Renal Arteries
4.5. Contemporary Trials
5. Conclusions
Author Contributions
Funding
Conflicts of Interest
References
- Williams, B.; Mancia, G.; Spiering, W.; Rosei, E.A.; Azizi, M.; Burnier, M.; Clement, D.L.; Coca, A.; de Simone, G.; Dominiczak, A.; et al. ESC Scientific Document Group: 2018 ESC/ESH Guidelines for the management of arterial hypertension. Eur. Heart J. 2018, 39, 3021–3104. [Google Scholar] [CrossRef] [PubMed]
- Al-Makki, A.; DiPette, D.; Whelton, P.K.; Murad, M.H.; Mustafa, R.A.; Acharya, S.; Beheiry, H.M.; Champagne, B.; Connell, K.; Cooney, M.T.; et al. Hypertension Pharmacological Treatment in Adults: A World Health Organization Guideline Executive Summary. Hypertension 2022, 79, 293–301. [Google Scholar] [CrossRef] [PubMed]
- Katsurada, K.; Shinohara, K.; Aoki, J.; Nanto, S.; Kario, K. Renal denervation: Basic and clinical evidence. Hypertens. Res. 2022, 45, 198–209. [Google Scholar] [CrossRef] [PubMed]
- Bhatt, D.L.; Kandzari, D.E.; O’Neill, W.W.; D’Agostino, R.; Flack, J.M.; Katzen, B.T.; Leon, M.B.; Liu, M.; Mauri, L.; Negoita, M.; et al. A controlled trial of renal denervation for resistant hypertension. N. Engl. J. Med. 2014, 370, 1393–1401. [Google Scholar] [CrossRef]
- Schmieder, R.E.; Mahfoud, F.; Mancia, G.; Azizi, M.; Böhm, M.; Dimitriadis, K.; Kario, K.; Kroon, A.A.; Lobo, M.D.; Ott, C.; et al. European Society of Hypertension position paper on renal denervation 2021. J. Hypertens. 2021, 39, 1733–1741. [Google Scholar] [CrossRef]
- Ahmad, Y.; Francis, D.P.; Bhatt, D.L.; Howard, J.P. Renal Denervation for Hypertension: A Systematic Review and Meta-Analysis of Randomized, Blinded, Placebo-Controlled Trials. JACC Cardiovasc. Interv. 2021, 14, 2614–2624. [Google Scholar] [CrossRef]
- VonAchen, P.; Hamann, J.; Houghland, T.; Lesser, J.R.; Wang, Y.; Caye, D.; Rosenthal, K.; Garberich, R.F.; Daniels, M.; Schwartz, R.S. Accessory renal arteries: Prevalence in resistant hypertension and an important role in nonresponse to radiofrequency renal denervation. Cardiovasc. Revasc. Med. 2016, 17, 470–473. [Google Scholar] [CrossRef]
- Li, S.; Phillips, J.K. Patient Selection for Renal Denervation in Hypertensive Patients: What Makes a Good Candidate? Vasc. Health Risk Manag. 2022, 18, 375–386. [Google Scholar] [CrossRef]
- Id, D.; Kaltenbach, B.; Bertog, S.C.; Hornung, M.; Hofmann, I.; Vaskelyte, L.; Sievert, H. Does the presence of accessory renal arteries affect the efficacy of renal denervation? JACC Cardiovasc. Interv. 2013, 6, 1085–1091. [Google Scholar] [CrossRef][Green Version]
- Lescay, H.A.; Jiang, J.; Tuma, F. Anatomy, Abdomen and Pelvis Ureter. In StatPearls; StatPearls Publishing: Treasure Island, FL, USA, 2022. [Google Scholar]
- Kirkpatrick, J.J.; Foutz, S.; Leslie, S.W. Anatomy, Abdomen and Pelvis: Kidney Nerves. In StatPearls; StatPearls Publishing: Treasure Island, FL, USA, 2022. [Google Scholar]
- DiBona, G.F.; Kopp, U.C. Neural control of renal function. Physiol. Rev. 1997, 77, 75–197. [Google Scholar] [CrossRef]
- Bertog, S.C.; Sobotka, P.A.; Sievert, H. Renal denervation for hypertension. JACC Cardiovasc. Interv. 2012, 5, 249–258. [Google Scholar] [CrossRef][Green Version]
- Goldstein, D.S. Plasma catecholamines and essential hypertension: An analytical review. Hypertension 1983, 5, 86–99. [Google Scholar] [CrossRef]
- Smith, P.A.; Graham, L.N.; Mackintosh, A.F.; Stoker, J.B.; Mary, D.A. Relationship between central sympathetic activity and stages of human hypertension. Am. J. Hypertens. 2004, 17, 217–222. [Google Scholar] [CrossRef]
- Rey-García, J.; Townsend, R.R. Renal Denervation: A Review [published correction appears in Am J Kidney Dis. 2023 Jan;81, 125]. Am. J. Kidney Dis. 2022, 80, 527–535. [Google Scholar] [CrossRef] [PubMed]
- Kandzari, D.E.; Böhm, M.; Mahfoud, F.; Townsend, R.R.; Weber, M.A.; Pocock, S.; Tsioufis, K.; Tousoulis, D.; East, C.; Brar, S.; et al. Effect of renal denervation on blood pressure in the presence of antihypertensive drugs: 6-month efficacy and safety results from the SPYRAL HTN-ON MED proof-of-concept randomised trial. Lancet 2018, 391, 2346–2355. [Google Scholar] [CrossRef] [PubMed]
- Böhm, M.; Kario, K.; Kandzari, D.E.; Mahfoud, F.; Weber, M.A.; Schmieder, R.E.; Tsioufis, K.; Pocock, S.; Konstantinidis, D.; Choi, J.W.; et al. Efficacy of catheter-based renal denervation in the absence of antihypertensive medications (SPYRAL HTN-OFF MED Pivotal): A multicentre, randomised, sham-controlled trial. Lancet 2020, 395, 1444–1451. [Google Scholar] [CrossRef] [PubMed]
- Azizi, M.; Schmieder, R.E.; Mahfoud, F.; Weber, M.A.; Daemen, J.; Davies, J.; Basile, J.; Kirtane, A.J.; Wang, Y.; Lobo, M.D.; et al. Endovascular ultrasound renal denervation to treat hypertension (RADIANCE-HTN SOLO): A multicentre, international, single-blind, randomised, sham-controlled trial [published correction appears in Lancet. 2018 Sep 8;392, 820]. Lancet 2018, 391, 2335–2345. [Google Scholar] [CrossRef] [PubMed]
- Azizi, M.; Sanghvi, K.; Saxena, M.; Gosse, P.; Reilly, J.P.; Levy, T.; Persu, A.; Basile, J.; Bloch, M.J.; Daemen, J.; et al. Ultrasound renal denervation for hypertension resistant to a triple medication pill (RADIANCE-HTN TRIO): A randomised, multicentre, single-blind, sham-controlled trial. Lancet 2021, 397, 2476–2486. [Google Scholar] [CrossRef]
- Fengler, K.; Rommel, K.-P.; Blazek, S.; Besler, C.; Hartung, P.; von Roeder, M.; Petzold, M.; Winkler, S.; Höllriegel, R.; Desch, S.; et al. A Three-Arm Randomized Trial of Different Renal Denervation Devices and Techniques in Patients With Resistant Hypertension (RADIOSOUND-HTN). Circulation 2019, 139, 590–600. [Google Scholar] [CrossRef]
- Mahfoud, F.; Weber, M.; Schmieder, R.E.; Lobo, M.D.; Blankestijn, P.J.; Persu, A.; Fischell, T.A.; Parise, H.; Pathak, A.; Kandzari, D.E. Catheter-based alcohol-mediated renal denervation for the treatment of uncontrolled hypertension: Design of two sham-controlled, randomized, blinded trials in the absence (TARGET BP OFF-MED) and presence (TARGET BP I) of antihypertensive medications. Am. Heart J. 2021, 239, 90–99. [Google Scholar] [CrossRef]
- Możeńska, O.; Rosiak, M.; Gziut, A.; Gil, R.J.; Kosior, D.A. First-in-man experience with renal denervation of multiple renal arteries in a patient with solitary kidney and resistant hypertension. Pol. Arch. Intern. Med. 2017, 127, 60–62. [Google Scholar] [CrossRef]
- Krum, H.; Schlaich, M.; Whitbourn, R.; Sobotka, P.A.; Sadowski, J.; Bartus, K.; Kapelak, B.; Walton, A.; Sievert, H.; Thambar, S.; et al. Catheter-based renal sympathetic denervation for resistant hypertension: A multicentre safety and proof-of-principle cohort study. Lancet 2009, 373, 1275–1281. [Google Scholar] [CrossRef] [PubMed]
- Bartus, K.; Podolec, J.; Sadowski, J.; Litwinowicz, R.; Zajdel, W.; Bartus, M.; Konstanty-Kalandyk, J.; Dziewierz, A.; Trąbka, R.; Bartus, S.; et al. Blood pressure reduction in patients with accessory renal arteries and bilateral single renal arteries after catheter-based renal denervation: A prospective study with 3-year follow-up. Pol. Arch. Intern. Med. 2017, 127, 423–428. [Google Scholar] [CrossRef][Green Version]
- Rimoldi, S.F.; Scheidegger, N.; Scherrer, U.; Farese, S.; Rexhaj, E.; Moschovitis, A.; Windecker, S.; Meier, B.; Allemann, Y. Anatomical eligibility of the renal vasculature for catheter-based renal denervation in hypertensive patients. JACC Cardiovasc. Interv. 2014, 7, 187–192. [Google Scholar] [CrossRef]
- Okada, T.; Pellerin, O.; Savard, S.; Curis, E.; Monge, M.; Frank, M.; Bobrie, G.; Yamaguchi, M.; Sugimoto, K.; Plouin, P.-F.; et al. Eligibility for renal denervation: Anatomical classification and results in essential resistant hypertension. Cardiovasc. Interv. Radiol. 2015, 38, 79–87. [Google Scholar] [CrossRef] [PubMed]
- Sato, Y.; Kawakami, R.; Jinnouchi, H.; Sakamoto, A.; Cornelissen, A.; Mori, M.; Kawai, K.; Guo, L.; Coleman, L.; Nash, S.; et al. Comprehensive Assessment of Human Accessory Renal Artery Periarterial Renal Sympathetic Nerve Distribution. JACC Cardiovasc. Interv. 2021, 14, 304–315. [Google Scholar] [CrossRef] [PubMed]
- Gulas, E.; Wysiadecki, G.; Szymański, J.; Majos, A.; Stefańczyk, L.; Topol, M.; Polguj, M. Morphological and clinical aspects of the occurrence of accessory (multiple) renal arteries. Arch. Med. Sci. 2018, 14, 442–453. [Google Scholar] [CrossRef] [PubMed]
- Glodny, B.; Cromme, S.; Wörtler, K.; Winde, G. A possible explanation for the frequent concomitance of arterial hypertension and multiple renal arteries. Med. Hypotheses 2001, 56, 129–133. [Google Scholar] [CrossRef] [PubMed]
- Mir, N.S.; Hassan, A.U.; Rangrez, R.; Hamid, S.; Tabish, S.A.; Rasool, Z. Bilateral Duplication of Renal Vessels: Anatomical, Medical and Surgical perspective. Int. J. Health Sci. 2008, 2, 179–185. [Google Scholar]
- Marshall, A.G. Aberrant renal arteries and hypertension. Lancet 1951, 2, 701–705. [Google Scholar] [CrossRef]
- Symplicity HTN-2 Investigators; Esler, M.D.; Krum, H.; Sobotka, P.A.; Schlaich, M.P.; Schmieder, R.E.; Bohm, M. Renal sympathetic denervation in patients with treatment-resistant hypertension (The Symplicity HTN-2 Trial): A randomised controlled trial. Lancet 2010, 376, 1903–1909. [Google Scholar]
- Savard, S.; Frank, M.; Bobrie, G.; Plouin, P.F.; Sapoval, M.; Azizi, M. Eligibility for renal denervation in patients with resistant hypertension: When enthusiasm meets reality in real-life patients. J. Am. Coll. Cardiol. 2012, 60, 2422–2424. [Google Scholar] [CrossRef][Green Version]
- Ramulu, M.V.; Lokadolalu, C.P. Accessory renal arteries–Anatomical details with surgical perceptions. J. Anat. Soc. India 2016, 65, 55–57. [Google Scholar] [CrossRef]
- Song, W.H.; Baik, J.; Choi, E.-K.; Lee, H.-Y.; Kim, H.H.; Park, S.-M.; Jeong, C.W. Quantitative analysis of renal arterial variations affecting the eligibility of catheter-based renal denervation using multi-detector computed tomography angiography. Sci. Rep. 2020, 10, 19720. [Google Scholar] [CrossRef] [PubMed]
- Weber, M.A.; Osborn, J.W. Improved Understanding of Renal Nerve Anatomy: An Opportunity to Enhance Denervation Treatment of Hypertension. JACC Cardiovasc. Interv. 2021, 14, 316–318. [Google Scholar] [CrossRef]
- Sakakura, K.; Ladich, E.; Cheng, Q.; Otsuka, F.; Yahagi, K.; Fowler, D.R.; Kolodgie, F.D.; Virmani, R.; Joner, M. Anatomic assessment of sympathetic peri-arterial renal nerves in man. J. Am. Coll. Cardiol. 2014, 64, 635–643. [Google Scholar] [CrossRef] [PubMed]
- Lüscher, T.F.; Mahfoud, F. Renal nerve ablation after SYMPLICITY HTN-3: Confused at the higher level? Eur. Heart J. 2014, 35, 1706–1711. [Google Scholar] [CrossRef] [PubMed]
- Krawczyk-Ożóg, A.; Tokarek, T.; Moczała, K.; Siudak, Z.; Dziewierz, A.; Mielecki, W.; Górecki, T.; Gerba, K.; Dudek, D. Long-term quality of life and clinical outcomes in patients with resistant hypertension treated with renal denervation. Postep. Kardiol Inter. 2016, 12, 329–333. [Google Scholar] [CrossRef]
- Tokarek, T.; Rajtar-Salwa, R.; Rzeszutko, Ł.; Bartuś, S. Long-term benefit of redo sympathetic renal denervation in a patient with resistant hypertension. Postep. Kardiol. Inter. 2021, 17, 239–241. [Google Scholar] [CrossRef] [PubMed]
- Imbalzano, E.; Ceravolo, R.; Vatrano, M.; Lizio, G.; Saitta, A. Renal denervation and hypertension resistant drug treatment in patient with renal artery accessory. Int. J. Cardiol. 2014, 171, e8–e9. [Google Scholar] [CrossRef]
- Atas, H.; Durmus, E.; Sunbul, M.; Mutlu, B. Successful accessory renal artery denervation in a patient with resistant hypertension. Heart Views 2014, 15, 19–21. [Google Scholar] [PubMed]
- Bertoldi, L.; Latib, A.; Piraino, D.; Regazzoli, D.; Sticchi, A.; Pizzetti, G.; Camici, P.G.; Colombo, A. Renal denervation in a patient with two renal accessory arteries: A case report. Blood Press 2013, 22, 325–328. [Google Scholar] [CrossRef] [PubMed]
- de Leon-Martinez, E.P.; Garza, J.A.; Azpiri-Lopez, J.R.; Dillon, K.N.; Salazar, L.O.; Canepa-Campos, F.; Rousselle, S.D.; Tellez, A. Safety and Clinical Outcome of the Delivery of Radiofrequency Nerve Ablation Therapy in a Renal Artery of Unusual Anatomy. High Blood Press Cardiovasc. Prev. 2015, 22, 445–448. [Google Scholar] [CrossRef]
- Chan, P.L.; Tan, F.H.S. Renin dependent hypertension caused by accessory renal arteries. Clin. Hypertens 2018, 24, 15. [Google Scholar] [CrossRef]
- Ewen, S.; Ukena, C.; Lüscher, T.F.; Bergmann, M.; Blankestijn, P.J.; Blessing, E.; Cremers, B.; Dörr, O.; Hering, D.; Kaiser, L.; et al. Anatomical and procedural determinants of catheter-based renal denervation. Cardiovasc. Revasc Med. 2016, 17, 474–479. [Google Scholar] [CrossRef] [PubMed]
- Böhm, M.; Townsend, R.R.; Kario, K.; Kandzari, D.; Mahfoud, F.; Weber, M.A.; Schmieder, R.E.; Tsioufis, K.; Hickey, G.L.; Fahy, M.; et al. Rationale and design of two randomized sham-controlled trials of catheter-based renal denervation in subjects with uncontrolled hypertension in the absence (SPYRAL HTN-OFF MED Pivotal) and presence (SPYRAL HTN-ON MED Expansion) of antihypertensive medications: A novel approach using Bayesian design [published correction appears in Clin Res Cardiol. 2020 May;109, 653]. Clin. Res. Cardiol. 2020, 109, 289–302. [Google Scholar]
- Mauri, L.; Kario, K.; Basile, J.; Daemen, J.; Davies, J.; Kirtane, A.J.; Mahfoud, F.; Schmieder, R.E.; Weber, M.; Nanto, S.; et al. A multinational clinical approach to assessing the effectiveness of catheter-based ultrasound renal denervation: The RADIANCE-HTN and REQUIRE clinical study designs. Am. Heart J. 2018, 195, 115–129. [Google Scholar] [CrossRef]




| Author | Patient | Variations of Renal Arteries | Intervention | Reduction in Hypertension Therapy | Reduction in Blood Pressure [mmHg] |
|---|---|---|---|---|---|
| Imbalzano, E et al. [42] | 52-yo woman | Right ARA | RDN, RF ablation catheter (Symplicity, Medtronic) | Seven to one drug | no data available |
| Atas, Halil et al. [43] | 42-yo woman | Left ARA | RDN, RF ablation catheter (Symplicity, Ardian, Medtronic) | Five to two drugs | −55/20 after one month |
| Bertoldi, Letizia et al. [44] | 61-yo man | Two small left ARA’s | RDN, RF ablation catheter (Symplicity, Ardian Medtronic) | Six to three drugs | −16/10 after one month, −45/24 after 12 months |
| de Leon-Martinez, Enrique Ponce et al. [45] | 55-yo man | Proximal bifurcation in the left RA and right ARA | RDN, RF ablation catheter (Symplicity Medtronic) | Five to two drugs | −29/9 after one month, −50/20 after two moths |
| Chan, Pei Lin, and Florence Hui Sieng Tan. [46] | 21-yo woman | Bilateral ARA’s | Spironolactone | no data available | no data available |
| 41-yo woman | Left ARA |
Disclaimer/Publisher’s Note: The statements, opinions and data contained in all publications are solely those of the individual author(s) and contributor(s) and not of MDPI and/or the editor(s). MDPI and/or the editor(s) disclaim responsibility for any injury to people or property resulting from any ideas, methods, instructions or products referred to in the content. |
© 2023 by the authors. Licensee MDPI, Basel, Switzerland. This article is an open access article distributed under the terms and conditions of the Creative Commons Attribution (CC BY) license (https://creativecommons.org/licenses/by/4.0/).
Share and Cite
Kasprzycki, K.; Petkow-Dimitrow, P.; Krawczyk-Ożóg, A.; Bartuś, S.; Rajtar-Salwa, R. Anatomic Variations of Renal Arteries as an Important Factor in the Effectiveness of Renal Denervation in Resistant Hypertension. J. Cardiovasc. Dev. Dis. 2023, 10, 371. https://doi.org/10.3390/jcdd10090371
Kasprzycki K, Petkow-Dimitrow P, Krawczyk-Ożóg A, Bartuś S, Rajtar-Salwa R. Anatomic Variations of Renal Arteries as an Important Factor in the Effectiveness of Renal Denervation in Resistant Hypertension. Journal of Cardiovascular Development and Disease. 2023; 10(9):371. https://doi.org/10.3390/jcdd10090371
Chicago/Turabian StyleKasprzycki, Karol, Paweł Petkow-Dimitrow, Agata Krawczyk-Ożóg, Stanisław Bartuś, and Renata Rajtar-Salwa. 2023. "Anatomic Variations of Renal Arteries as an Important Factor in the Effectiveness of Renal Denervation in Resistant Hypertension" Journal of Cardiovascular Development and Disease 10, no. 9: 371. https://doi.org/10.3390/jcdd10090371
APA StyleKasprzycki, K., Petkow-Dimitrow, P., Krawczyk-Ożóg, A., Bartuś, S., & Rajtar-Salwa, R. (2023). Anatomic Variations of Renal Arteries as an Important Factor in the Effectiveness of Renal Denervation in Resistant Hypertension. Journal of Cardiovascular Development and Disease, 10(9), 371. https://doi.org/10.3390/jcdd10090371

