Balloon Dilatation in the Management of Congenital Obstructive Lesions of the Heart: Review of Author’s Experiences and Observations—Part II
Abstract
1. Introduction
2. Pulmonary Stenosis
2.1. Development of Infundibular Stenosis
2.2. Electrocardiographic Changes following BPV
2.3. Changes in Right Ventricular Filling
2.4. Role of Balloon/Annulus Ratios on the Results of BPV
2.5. Double Balloon vs. Single Balloon BPV
3. Aortic Stenosis
3.1. Causes of Aortic Insufficiency
3.2. Trans-Umbilical Venous Approach for BAV
3.2.1. Additional Procedural Details
3.2.2. Comments
4. Aortic Coarctation
4.1. Aortic Remodeling
4.1.1. Native Aortic Coarctation
4.1.2. Post-Surgical Re-Coarctation
4.2. Biophysical Response of Coarcted Aortic Segment to Balloon Angioplasty
5. Summary and Conclusions
Funding
Institutional Review Board Statement
Informed Consent Statement
Data Availability Statement
Conflicts of Interest
References
- Rao, P.S. Balloon Dilatation in the Management of Congenital Obstructive Lesions of the Heart: Review of Author’s Experiences and Observations—Part I. J. Cardiovasc. Dev. Dis. 2023, 10, 227. [Google Scholar] [CrossRef]
- Thapar, M.K.; Rao, P. Significance of infundibular obstruction following balloon valvuloplasty for valvar pulmonic stenosis. Am. Heart J. 1989, 118, 99–103. [Google Scholar] [CrossRef] [PubMed]
- Thapar, M.K.; Rao, P.S. Use of propranolol for severe dynamic infundibular obstruction prior to balloon pulmonary valvuloplasty (a brief communication). Catheter. Cardiovasc. Diagn. 1990, 19, 240–241. [Google Scholar] [CrossRef] [PubMed]
- Rao, P.S. Doppler Ultrasound in the prediction of transvalvar pressure gradients in patients with valvar pulmonic stenosis. Int. J. Cardiol. 1987, 15, 195–203. [Google Scholar] [CrossRef] [PubMed]
- Rao, P.S.; Galal, O.; Patnana, M. Three-to-ten-year follow-up results of balloon pulmonary valvuloplasty. Heart 1998, 80, 591–595. [Google Scholar] [CrossRef]
- Fontes, V.F.; Esteves, C.A.; Sousa, J.E.; Silva, M.V.; Bembom, M.C. Regression of infundibular hypertrophy after pulmonary valvotomy for pulmonic stenosis. Am. J. Cardiol. 1988, 62, 977–979. [Google Scholar] [CrossRef]
- Pearl, W.; Wilkin, J.H. Balloon pulmonary valvuloplasty. Am. Heart J. 1991, 121, 1839. [Google Scholar] [CrossRef] [PubMed]
- Rao, P.S.; Thapar, M.K. Balloon pulmonary valvuloplasty. Am. Heart J. 1991, 121, 1839–1840. [Google Scholar] [CrossRef]
- Rao, P.S. Late pulmonary insufficiency after balloon dilatation of the pulmonary valve. Catheter. Cardiovasc. Interv. 2000, 49, 118–119. [Google Scholar]
- Rao, P.S. Percutaneous balloon pulmonary valvuloplasty: State of the art. Catheter. Cardiovasc. Interv. 2007, 69, 747–763. [Google Scholar] [CrossRef]
- Rao, P.S.; Fawzy, M.E. Double balloon technique for percutaneous balloon pulmonary valvuloplasty: Comparison with single balloon technique. J. Interv. Cardiol. 1988, 1, 257–262. [Google Scholar] [CrossRef]
- Narang, R.; Das, G.; Dev, V.; Goswami, K.; Saxena, A.; Shrivastava, S. Effect of the balloon-annulus ratio on the intermediate and follow-up results of pulmonary balloon valvuloplasty. Cardiology 1997, 88, 271–276. [Google Scholar] [CrossRef] [PubMed]
- Rao, P.S. Balloon dilatation in infants and children with dysplastic pulmonary valves: Short-term and intermediate-term results. Am. Heart J. 1988, 116, 1168–1173. [Google Scholar] [CrossRef]
- Ring, J.C.; Kulik, T.T.; Burke, B.A. Morphologic changes induced by dilatation of pulmonary valve annulus with over-large balloons in normal newborn lamb. Am. J. Cardiol. 1986, 52, 210–214. [Google Scholar]
- Rao, P.S. How big a balloon and how many balloons for pulmonary valvuloplasty? Am. Heart J. 1988, 116, 577–580. [Google Scholar] [CrossRef] [PubMed]
- Rao, P.S. Further observations on the effect of balloon size on the short-term and intermediate-term results of balloon dilatation of the pulmonary valve. Br. Heart J. 1988, 60, 507–511. [Google Scholar] [CrossRef]
- Rao, P.S. (Ed.) Balloon pulmonary valvuloplasty for isolated pulmonic stenosis. In Transcatheter Therapy in Pediatric Cardiology; Wiley-Liss, Inc.: New York, NY, USA, 1993; pp. 59–104. [Google Scholar]
- Rao, P.S. Value of Echo-Doppler Studies in the Evaluation of the Results of Balloon Pulmonary Valvuloplasty. J. Cardiovasc. Ultrason. 1986, 5, 309–314. [Google Scholar]
- Rao, P.S.; Solymar, L. Electrocardiographic changes following balloon dilatation of valvar pulmonic stenosis. J. Interv. Cardiol. 1988, 1, 189–197. [Google Scholar] [CrossRef]
- Rao, P.S. Balloon valvuloplasty for pulmonary stenosis. In Cardiac Catheterization and Imaging (From Pediatrics to Geriatrics); Vijayalakshmi, I.B., Ed.; Jaypee Publications: New Delhi, India, 2015; pp. 149–174. [Google Scholar]
- Kveselis, D.A.; Rocchini, A.P.; Snider, A.; Rosenthal, A.; Crowley, D.C.; Dick, M. Results of balloon valvuloplasty in the treatment of congenital valvar pulmonary stenosis in children. Am. J. Cardiol. 1985, 56, 527–532. [Google Scholar] [CrossRef]
- Fontes, V.F.; Eduardo, J.; Sousa, M.R.; Esteves, C.A.; Virginia, M.; Silva, D.; Cano, M.N.; Maldonado, G. Pulmonary valvuloplasty: Experience of 100 cases. Intern. J. Cardiol. 1988, 21, 335–342. [Google Scholar] [CrossRef]
- Lloyd, T.L.; Donnerstein, R.L. Rapid T wave normalization after balloon pulmonary valvuloplasty in children. Am. J. Cardiol. 1989, 64, 399–400. [Google Scholar] [CrossRef] [PubMed]
- Snider, A.R.; Gidding, S.S.; Rocchini, A.P.; Rosenthal, A.; Dick, M.I.I.; Crowley, D.C.; Peters, J. Doppler evaluation of left ventricular diastolic filling in children with systemic hypertension. Am. J. Cardiol. 1985, 56, 921–926. [Google Scholar] [CrossRef] [PubMed]
- Maron, B.J.; Spirito, P.; Green, K.J.; Wesley, Y.E.; Bonow, R.O.; Arce, J. Noninvasive assessment of left ventricular diastolic function by pulsed Doppler echocardiography in patients with hypertrophic cardiomyopathy. J. Am. Coll. Cardiol. 1987, 10, 733–742. [Google Scholar] [CrossRef] [PubMed]
- Vermilion, R.P.; Snider, A.R.; Meliones, J.N.; Peters, J.; Merida-Asmus, L. Pulsed Doppler evaluation of right ventricular diastolic filling in children with pulmonary valve stenosis before and after balloon valvuloplasty. Am. J. Cardiol. 1990, 66, 79–84. [Google Scholar] [CrossRef]
- Rao, P.S. Right ventricular filling following balloon pulmonary valvuloplasty. Am. Heart J. 1992, 123, 1084–1086. [Google Scholar] [CrossRef] [PubMed]
- Rao, P.S. Influence of balloon size on the short-term and long-term results of balloon pulmonary valvuloplasty. Tex. Heart. Inst. J. 1987, 14, 57–61. [Google Scholar]
- Berman, W.; Fripp, R.R.; Raisher, B.D.; Yabek, S.M. Significant pulmonary valve incompetence following oversize balloon pulmonary valvuloplasty in small infants: A long-term follow-up study. Cathet Cardiovasc. Interv. 1999, 48, 61–65. [Google Scholar] [CrossRef]
- Radtke, W.; Keane, J.F.; Fellows, K.E.; Lang, P.; Lock, J.E. Percutaneous balloon valvotomy of congenital pulmonary stenosis using oversized balloons. J. Am. Coll. Cardiol. 1986, 8, 909–915. [Google Scholar] [CrossRef]
- Rao, P.S. Pulmonary valve disease: Pulmonary valve stenosis. In Interventions in Structural, Valvular and Congenital Heart Disease; Sievert, H., Qureshi, S.A., Wilson, N., Hijazi, Z., Eds.; CRC Press: Boca Raton, FL, USA, 2014; Chapter 31; pp. 297–308. ISBN 978-1-4822-1563-2/978-1-4822-1564-9. [Google Scholar]
- Rao, P.S. Balloon pulmonary valvuloplasty in children. J. Invasive Cardiol. 2005, 17, 323–325. [Google Scholar]
- Abu Haweleh, A.; Hakim, F. Balloon pulmonary valvuloplasty in children: Jordanian experience. J. Saudi Heart J. 2003, 15, 31–34. [Google Scholar]
- al Kasab, S.; Ribeiro, P.A.; al Zaibag, M.; Halim, M.; Habbab, M.A.; Shahid, M. Percutaneous double balloon pulmonary valvotomy in adults: One-to-two-year follow-up. Am. J. Cardiol. 1988, 62 Pt 1, 822–824. [Google Scholar] [CrossRef]
- Rao, P.S. Balloon pulmonary valvuloplasty: A review. Clin. Cardiol. 1989, 12, 55–74. [Google Scholar] [CrossRef] [PubMed]
- Galal, O.; Rao, P.; Al-Fadley, F.; Wilson, A.D. Follow-up results of balloon aortic valvuloplasty in children with special reference to causes of late aortic insufficiency. Am. Heart J. 1997, 133, 418–427. [Google Scholar] [CrossRef] [PubMed]
- Rao, P.S. Balloon aortic valvuloplasty. J. Interv. Cardiol. 1998, 11, 319–329. [Google Scholar] [CrossRef]
- Helgason, H.; Keane, J.F.; Fellows, K.E.; Kulik, T.J.; Lock, J.E. Balloon dilation of the aortic valve: Studies in normal lambs and in children with aortic stenosis. J. Am. Coll. Cardiol. 1987, 9, 816–822. [Google Scholar] [CrossRef] [PubMed]
- Phillips, R.R.; Gerlis, L.M.; Wilson, N.; Walker, D.R. Aortic valve damage caused by operative balloon dilatation of critical aortic valve stenosis. Br. Heart J. 1987, 57, 168–170. [Google Scholar] [CrossRef] [PubMed]
- Sholler, G.F.; Keane, J.F.; Perry, S.B.; Sanders, S.P.; Lock, J.E. Balloon dilatation of congenital aortic valve stenosis: Results and influence of technical and morphological features on outcome. Circulation 1988, 78, 351–360. [Google Scholar] [CrossRef] [PubMed]
- Shaddy, R.E.; Boucek, M.M.; Sturtevant, J.E.; Ruttenberg, H.D.; Orsmond, G.S. Gradient reduction, aortic valve regurgitation and prolapse after balloon aortic valvuloplasty in 32 consecutive patients with congenital aortic stenosis. J. Am. Coll. Cardiol. 1990, 16, 451–456. [Google Scholar] [CrossRef]
- Rocchini, A.P.; Beekman, R.H.; Ben Shachar, G.; Benson, L.; Schwartz, D.; Kan, J.S. Balloon aortic valvuloplasty: Results of the Valvuloplasty and Angioplasty of Congenital Anomalies Registry. Am. J. Cardiol. 1990, 65, 784–789. [Google Scholar] [CrossRef]
- Agu, N.C.; Rao, P.S. Balloon aortic valvuloplasty. Pediatr. Ther. 2012, S5, 004. [Google Scholar] [CrossRef]
- Rao, P.S. Balloon aortic valvuloplasty. Indian Heart J. 2016, 68, 592–595. [Google Scholar] [CrossRef]
- Vermilion, R.P.; Snider, A.R.; Bengur, A.R.; Beekman, R.H. Doppler evaluation of femoral arteries in children after aortic balloon valvuloplasty or coarctation balloon angioplasty. Pediatr. Cardiol. 1993, 14, 13–18. [Google Scholar] [CrossRef] [PubMed]
- Lee, H.Y.; Reddy, S.C.B.; Rao, P.S. Evaluation of superficial femoral artery compromise and limb growth retardation following transfemoral artery balloon dilatations. Circulation 1997, 95, 974–980. [Google Scholar] [CrossRef]
- Fischer, D.R.; Edgui, J.A.; Park, S.C.; Siewers, R.; del Nido, P.J. Carotid artery approach for balloon dilatation of aortic valve stenosis in the neonate: A preliminary report. J. Am. Coll. Cardiol. 1990, 15, 1633–1636. [Google Scholar] [CrossRef] [PubMed]
- Austoni, P.; Figini, A.; Vigrati, G.; Donatelli, F. Emergency aortic balloon valvotomy in critical aortic stenosis of the neonates. Pediatr. Cardiol. 1990, 11, 59–60. [Google Scholar] [CrossRef] [PubMed]
- Beekman, R.H.; Rocchini, A.P.; Andes, A. Balloon valvuloplasty for critical aortic stenosis in the newborn, influence of new catheter technology. J. Am. Coll. Cardiol. 1991, 17, 1172–1176. [Google Scholar] [CrossRef] [PubMed]
- Alekyan, B.G.; Petrosyan, Y.S.; Coulson, J.D.; Danilov, Y.Y.; Vinokurov, A.V. Right subscapular artery catheterization for balloon valvuloplasty of critical aortic stenosis in infants. Am. J. Cardiol. 1995, 76, 1049–1052. [Google Scholar] [CrossRef] [PubMed]
- Hausdorf, G.; Schneider, M.; Schrimer, K.R.; Schulze-Neick, I.; Lange, P.E. Anterograde balloon valvuloplasty of aortic stenosis in children. Am. J. Cardiol. 1993, 71, 560–562. [Google Scholar] [CrossRef]
- O’Laughlin, M.P.; Slack, M.C.; Grifka, R.; Mullins, C.E. Pro-grade double balloon dilatation of congenital aortic valve stenosis: A case report. Catheter. Cardiovasc. Diagn. 1993, 28, 134–136. [Google Scholar] [CrossRef]
- Rao, P.S.; Jureidini, S.B. Transumbilical venous anterograde, snare-assisted balloon aortic valvuloplasty in a neonate with critical aortic stenosis. Catheter. Cardiovasc. Diagn. 1998, 45, 144–148. [Google Scholar] [CrossRef]
- Rao, P.S. Anterograde balloon aortic valvuloplasty in the neonate via the umbilical vein. Card. Cardiovasc. Interv. 2003, 59, 291–292. [Google Scholar] [CrossRef] [PubMed]
- Rao, P.S. Role of interventional cardiology in neonates: Part II-Balloon angioplasty/valvuloplasty. Neonatol. Today 2007, 2, 1–12. [Google Scholar]
- Rao, P.S. Anterograde transumbilical venous balloon aortic valvuloplasty. Card. Cardiovasc. Interv. 2002, 56, 439. [Google Scholar] [CrossRef] [PubMed]
- Rao, P.S.; Carey, P. Remodeling of the aorta following successful balloon coarctation angioplasty. J. Am. Coll. Cardiol. 1989, 14, 1312–1317. [Google Scholar] [PubMed]
- Rao, P.S.; Thapar, M.K.; Kutayli, F.; Carey, P. Causes of recoarctation following balloon angioplasty of unoperated aortic coarctations. J. Am. Coll. Cardiol. 1989, 13, 109–115. [Google Scholar] [CrossRef]
- Rudolph, A.M. Congenital Diseases of the Heart; Year Book Medical: Chicago, IL, USA, 1974; pp. 33–46. [Google Scholar]
- De Lezo, J.S.; Sancho, M.; Pan, M.; Romero, M.; Olivera, C.; Luque, M. Angiographic follow-up after balloon angioplasty of coarctation of the aorta. J. Am. Coll. Cardiol. 1989, 13, 689–695. [Google Scholar] [CrossRef]
- Siblini, G.; Rao, P.S.; Nouri, S.; Ferdman, B.; Jureidini, S.B.; Wilson, A.D. Long-term follow-up results of balloon angioplasty of postoperative aortic recoarctation. Am. J. Cardiol. 1998, 81, 61–67. [Google Scholar] [CrossRef]
- Rao, P.S.; Waterman, B. Relation of biophysical response of coarcted aortic segment to balloon dilatation with development of recoarctation following balloon angioplasty of native coarctation. Heart 1998, 79, 407–411. [Google Scholar] [CrossRef]
- Rao, P.S. Percutaneous management of aortic coarctation. In Cardiac Catheterization and Imaging (From Pediatrics to Geriatrics); Vijayalakshmi, I.B., Ed.; Jaypee Publications: New Delhi, India, 2015; pp. 433–471. [Google Scholar]
- Balis, J.V.; Chan, A.S.; Conen, P.E. Morphogenesis of human coarctation. Exp. Mol. Pathol. 1967, 6, 25–32. [Google Scholar] [CrossRef]
- Isner, J.M.; Donaldson, R.F.; Fulton, D.; Bhan, I.; Payne, D.D.; Cleveland, R.J. Cystic medial necrosis in coarctation of the aorta: A potential factor contributing to adverse consequences observed after percutaneous balloon angioplasty of coarctation sites. Circulation 1987, 75, 689–695. [Google Scholar] [CrossRef]
- Ho, S.Y.; Somerville, J.; Yip, W.C.; Anderson, R.H. Transluminal balloon dilation of resected coarcted segments of thoracic aorta: Histological study and clinical implications. Int. J. Cardiol. 1988, 19, 99–105. [Google Scholar] [CrossRef] [PubMed]








































| 1. Consider the possibility of development of infundibular obstruction after BPV in all patients with severe valvar PS |
| 2. Perform careful pressure pullback recordings across the pulmonic valve and RV outflow tract both prior to and 15 min after BPV *. |
| 3. Perform RV cine-angiography and scrutinize these angiograms for infundibular obstruction both before and 15 min after valvuloplasty *. |
| 4. Use a valvuloplasty balloon that will result in a B/A ratio of 1.2 to 1.25 [9,10]. |
| 5. Use a double-balloon technique when the pulmonary valve annulus is too large to dilate with a commercially available single balloon. When a double balloon technique is used, the effective diameter of both balloons together should be used for calculation of the B/A ratio. Effective balloon diameter may be calculated by the formula: 0.82(D1 + D2) [11,12]. |
| 6. If pulmonary valve dysplasia is present, a B/A ratio as high as 1.5 may be necessary for effective relief of pulmonary valve obstruction [13]. |
| 7. Balloons larger than 1.5 times the size of the pulmonary valve annulus should not be used because such large balloons may damage the right ventricular outflow tract muscle [14]. In addition, balloons more than 1.5 times the size of the pulmonary valve annulus did not produce better immediate or intermediate-term results when compared with the subgroup in whom a B/A ratio of 1.2 to 1.4 was achieved during balloon valvuloplasty [15,16] and the extra-large balloons may precipitate an infundibular reaction. |
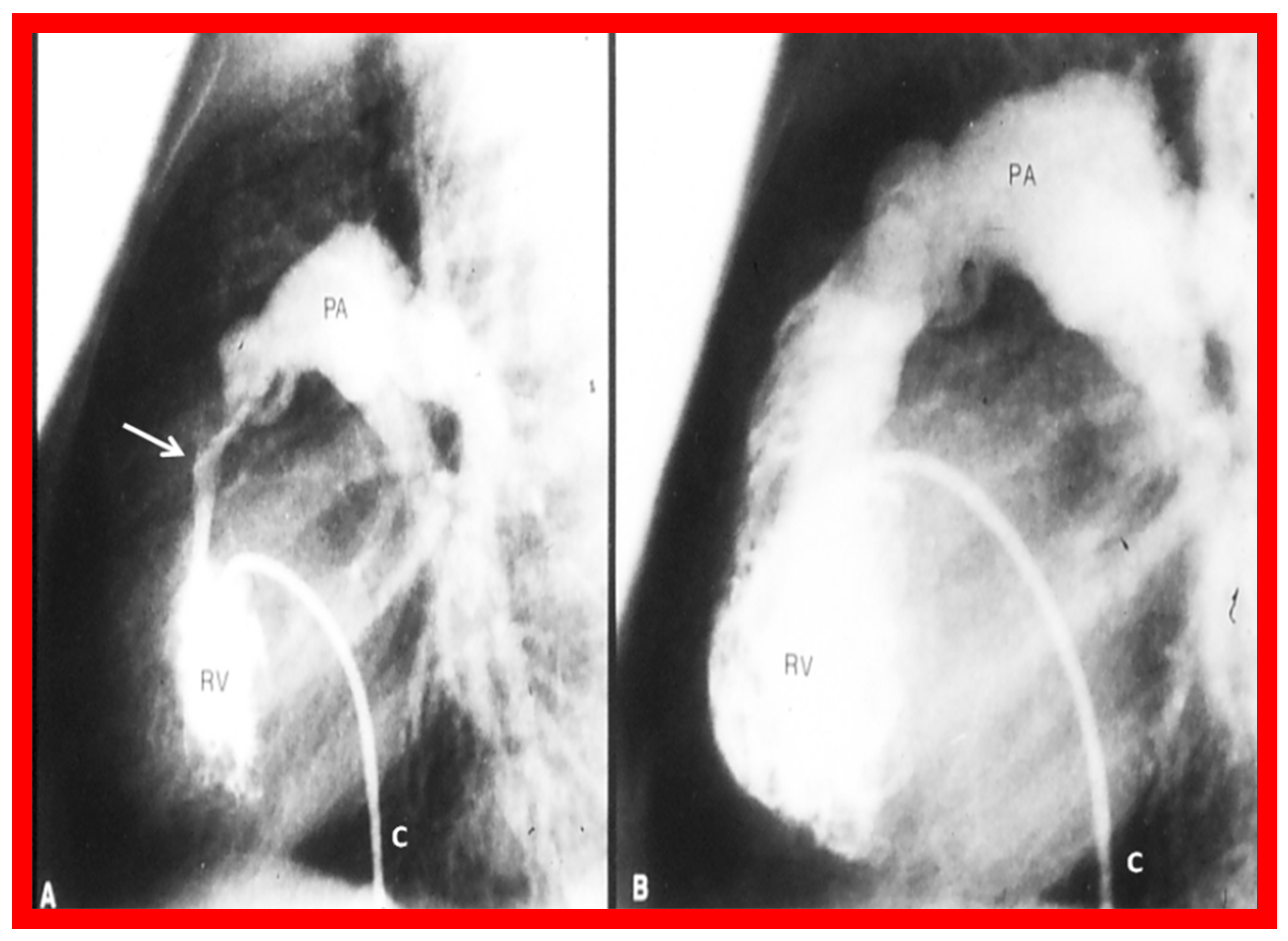
| 8. If angiographic (Figure 2A), pressure (Figure 1) and/or echo-Doppler (Figure 3B) data suggest, significant residual infundibular obstruction, beta blocker drug therapy may be necessary; we recommend it if the residual gradient is more than 50 mmHg [2,6]. |
| 9. If results of follow-up echo-Doppler or catheterization and angiographic studies performed 6 months to 1 year after balloon valvuloplasty show residual infundibular gradients ≥ 50 mm Hg, then surgical resection of the infundibular muscle may be considered. If there is significant residual valvar obstruction, repeat BPV with adequately sized balloon(s) would be our therapeutic choice [8]. |
| Number of Patients Needing Repeat BPV | Number of Patients with Gradient > 30 mmHg | |
|---|---|---|
| Group I (B/A ratio < 1.0) | 4 | 6 |
| Subgroup IIA (B/A ratio of 1.01 to 1.2) | 1 | 2 |
| Subgroup IIB (B/A ratio of 1.21 to 1.4) | 0 | 0 |
| Subgroup IIC (B/A ratio > 1.41) | 0 | 0 |
Disclaimer/Publisher’s Note: The statements, opinions and data contained in all publications are solely those of the individual author(s) and contributor(s) and not of MDPI and/or the editor(s). MDPI and/or the editor(s) disclaim responsibility for any injury to people or property resulting from any ideas, methods, instructions or products referred to in the content. |
© 2023 by the author. Licensee MDPI, Basel, Switzerland. This article is an open access article distributed under the terms and conditions of the Creative Commons Attribution (CC BY) license (https://creativecommons.org/licenses/by/4.0/).
Share and Cite
Rao, P.S. Balloon Dilatation in the Management of Congenital Obstructive Lesions of the Heart: Review of Author’s Experiences and Observations—Part II. J. Cardiovasc. Dev. Dis. 2023, 10, 288. https://doi.org/10.3390/jcdd10070288
Rao PS. Balloon Dilatation in the Management of Congenital Obstructive Lesions of the Heart: Review of Author’s Experiences and Observations—Part II. Journal of Cardiovascular Development and Disease. 2023; 10(7):288. https://doi.org/10.3390/jcdd10070288
Chicago/Turabian StyleRao, P. Syamasundar. 2023. "Balloon Dilatation in the Management of Congenital Obstructive Lesions of the Heart: Review of Author’s Experiences and Observations—Part II" Journal of Cardiovascular Development and Disease 10, no. 7: 288. https://doi.org/10.3390/jcdd10070288
APA StyleRao, P. S. (2023). Balloon Dilatation in the Management of Congenital Obstructive Lesions of the Heart: Review of Author’s Experiences and Observations—Part II. Journal of Cardiovascular Development and Disease, 10(7), 288. https://doi.org/10.3390/jcdd10070288
