Experimental Infection of Pigs with a ST 245 Brachyspira hyodysenteriae Isolated from an Asymptomatic Pig in a Herd with No History of Swine Dysentery
Abstract
1. Introduction
2. Materials and Methods
2.1. Animals and Experimental Design
2.2. Inoculum
2.3. Animal Inoculation
2.4. Clinical Evaluation and Sample Collection
2.5. DNA Extraction and qPCR
2.6. Necropsy
2.7. Macroscopic Evaluation
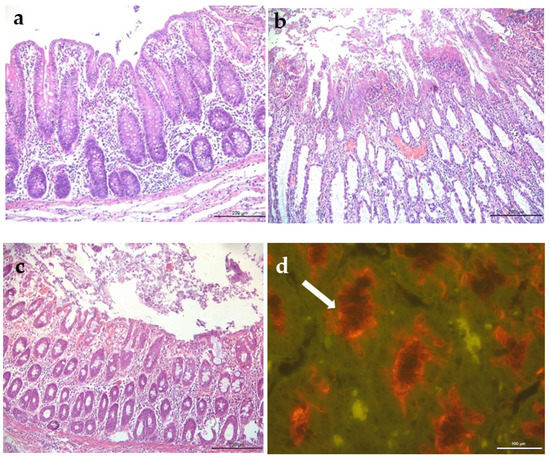
2.8. Histology
2.9. Fluorescence In Situ Hybridization (FISH)
2.10. Bacterial Isolation
2.11. Statistical Analysis
3. Results
3.1. Clinical Evaluation
3.2. Anatomopathological Analysis
3.2.1. Gross Lesions
3.2.2. Histopathology and FISH
3.3. qPCR
3.4. Bacterial Isolation
4. Discussion
5. Conclusions
Author Contributions
Funding
Institutional Review Board Statement
Informed Consent Statement
Data Availability Statement
Acknowledgments
Conflicts of Interest
References
- Wills, R.W. Diarrhea in growing-finishing swine. Vet. Clin. N. Am. Food Anim. Pract. 2000, 16, 135–161. [Google Scholar] [CrossRef]
- Hampson, D.J.; Burrougth. Swine Dysentery and Brachyspiral Colits. In Disease of Swine, 11th ed.; Zimmerman, J.J., Karriker, L.A., Ramirez, A., Schwartz, K.J., Stevenson, G.W., Zhang, J., Eds.; Wiley Blackwell: Hoboken, NJ, USA, 2019; pp. 807–834. [Google Scholar]
- Burrough, E.R. Swine dysentery—Re-emergence in the United States and Canada. In Proceedings of the 6th International Conference on Colonic Spirochetal Infections in Animals and Humans, University of Surrey, Guildford, UK, 5–6 September 2013; pp. 55–56. [Google Scholar]
- Råsbäck, T.; Jansson, D.S.; Johansson, K.; Fellström, C. A novel enteropathogenic, strongly haemolytic spirochaete isolated from pig and mallard, provisionally designated ‘Brachyspira suanatina’ sp. nov. Environ. Microbiol. 2007, 9, 983–991. [Google Scholar] [CrossRef] [PubMed]
- Chander, Y.; Primus, A.; Oliveira, S.; Gebhart, C.J. Phenotypic and molecular characterization of a novel strongly hemolytic Brachyspira species, provisionally designated “Brachyspira hampsonii”. J. Vet. Diagn. Investig. 2012, 24, 903–910. [Google Scholar] [CrossRef]
- Mushtaq, M.; Zubair, S.; Råsbäck, T.; Bongcam-Rudloff, E.; Jansson, D.S. Brachyspira suanatina sp. nov., an enteropathogenic intestinal spirochaete isolated from pigs and mallards: Genomic and phenotypic characteristics. BMC Microbiol. 2015, 15, 208. [Google Scholar] [CrossRef] [PubMed]
- Lysons, R.J.; Lemcke, R.M.; Bew, J.; Burrows, M.R.; Alexander, T.J.I. An avirulent strain of Treponema hyodysenteriae isolated from herds free of swine dysentery. In Proceedings of the 7th International Pig Veterinary Society Congress, Mexico City, Mexico, 26–31 July 1982; p. 40. [Google Scholar]
- Thomson, J.R.; Smith, W.J.; Murray, B.P.; Murray, D.; Dick, J.E.; Sumption, K.J. Porcine enteric spirochete infections in the UK: Surveillance data and preliminary investigation of atypical isolates. Anim. Health Res. Rev. 2001, 2, 31–36. [Google Scholar] [CrossRef] [PubMed]
- Hampson, D.J.; La, T.; Phillips, N.D. Emergence of Brachyspira species and strains: Reinforcing the need for surveillance. Porc. Health Manag. 2015, 1, 8. [Google Scholar] [CrossRef] [PubMed]
- La, T.; Phillips, N.D.; Hampson, D.J. An Investigation into the etiological agents of Swine Dysentery in Australian pig herds. PLoS ONE 2016, 11, e0167424. [Google Scholar] [CrossRef] [PubMed]
- La, T.; Rhode, J.; Phillips, N.D.; Hampson, D.J. Comparison of Brachyspira hyodysenteriae isolates recovered from pigs in apparently healthy multiplier herds with isolates from herds with Swine Dysentery. PLoS ONE 2016, 11, e0160362. [Google Scholar] [CrossRef] [PubMed]
- La, T.; Phillips, N.D.; Hampson, D.J. Development of a duplex PCR assay for detection of Brachyspira hyodysenteriae and Brachyspira pilosicoli in pig feces. J. Clin. Microbiol. 2003, 41, 3372–3375. [Google Scholar] [CrossRef]
- Sato, J.P.H.; Daniel, A.G.S.; Leal, C.A.G.; Barcellos, D.E.S.N.; Guedes, R.M.C. Diversity and potential genetic relationships amongst Brazilian Brachyspira hyodysenteriae isolates from cases of swine dysentery. Vet. Microbiol. 2022, 266, 109369. [Google Scholar] [CrossRef]
- Leser, T.D.; Møller, K.; Jensen, T.K.; Jorsal, S.E. Specific detection of Serpulina hyodysenteriae and potentially pathogenic weakly ß-haemolytic porcine intestinal spirochetes by polymerase chain reaction targetting 23S rDNA. Mol. Cell. Probes 1997, 11, 363–372. [Google Scholar] [CrossRef]
- Kunkle, R.A.; Harris, D.L.; Kinyon, J.M. Autoclaved liquid medium for propagation of Treponema hyodysenteriae. J. Clin. Microbiol. 1986, 24, 669–671. [Google Scholar] [CrossRef] [PubMed]
- Jacobson, M.; Fellström, C.; Lindberg, R.; Wallgren, P.; Jensen-Waern, M. Experimental swine dysentery: Comparison between infection models. J. Med. Microbiol. 2004, 53, 273–280. [Google Scholar] [CrossRef] [PubMed]
- Rubin, J.E.; Costa, M.O.; Hill, J.E.; Kittrell, H.E.; Fernando, C.; Huango, Y.; Huango, Y.; O’connor, B.; Harding, J.C. Reproduction of mucohaemorrhagic diarrhea and colitis indistinguishable from Swine Dysentery following experimental inoculation with ‘‘Brachyspira hampsonii’’ Strain 30446. PLoS ONE 2013, 8, e57146. [Google Scholar] [CrossRef]
- Luna, L.G. Manual of Histologic Staining Methods of the Armed Forces Institute of Pathology, 3rd ed.; McGraw-Hill: New York, NY, USA, 1968; pp. 24–58. [Google Scholar]
- Jensen, T.K.; Boye, M.; Møller, K.; Leser, T.D.; Jorsal, S.E. Association of Serpulina hyodysenteriae with the colonic mucosa in experimental swine dysentery studied by fluorescent in situ hybridization. APMIS 1998, 106, 1061–1068. [Google Scholar] [CrossRef] [PubMed]
- Boye, M.; Jensen, T.K.; Møller, K.; Leser, T.D.; Jorsal, S.E. Specific detection of the genus Serpulina, S. hyodysenteriae and S. pilosicoli in porcine intestines by fluorescent rRNA in situ hybridization. Mol. Cell. Probes 1998, 12, 323–330. [Google Scholar] [CrossRef] [PubMed]
- Hampson, D.J.; La, T.; Phillips, N.D.; Holyoake, P.K. Brachyspira hyodysenteriae isolated from apparently healthy pig herds following an evaluation of a prototype commercial serological ELISA. Vet. Microbiol. 2016, 191, 15–19. [Google Scholar] [CrossRef]
- Råsbäck, T.; Fellström, C.; Gunnarsson, A.; Aspán, A. Comparison of culture and biochemical tests with PCR for detection of Brachyspira hyodysenteriae and Brachyspira pilosicoli. J. Microbiol. Methods 2006, 66, 347–353. [Google Scholar] [CrossRef] [PubMed]
- Wilcock, B.P.; Olander, H.J. Studies on the pathogenesis of swine dysentery: I. Characterization of the lesions in colons and colonic segments inoculated with pure cultures or colonic content containing Treponema hyodysenteriae. Vet. Pathol. 1979, 16, 450–465. [Google Scholar] [CrossRef] [PubMed]
- Meyer, R.C.; Simon, J.; Byerly, C.S. The etiology of swine dysentery. II. Effect of a known microbial flora, weaning and diet on disease production in gnotobiotic and conventional swine. Vet. Pathol. 1974, 11, 527–534. [Google Scholar] [CrossRef] [PubMed]
- Hampson, D.J.; Nagaraja, T.G.; Kennan, R.M.; Rood, J.I. Gram-negative anaerobes. In Pathogenesis of Bacterial Infections in Animals, 4th ed.; Gyles, C.L., Prescott, J.F., Songer, J.G., Thoen, C.O., Eds.; Blackwell Publishing: Ames, IA, USA, 2010; pp. 513–526. [Google Scholar]
- Alvarez-Ordóñez, A.; Martínez-Lobo, F.J.; Arguello, H.; Carvajal, A.; Rubio, P. Swine dysentery: Aetiology, pathogenicity, determinants of transmission and the fight against the disease. Int. J. Environ. Res. Public Health 2013, 10, 1927–1947. [Google Scholar] [CrossRef] [PubMed]
- Hsu, T.; Hutto, D.L.; Minion, F.C.; Zuerner, R.L.; Wannemuehler, M.J. Cloning of a beta-hemolysin gene of Brachyspira (Serpulina) hyodysenteriae and its expression in Escherichia coli. Infect. Immun. 2001, 69, 706–711. [Google Scholar] [CrossRef] [PubMed][Green Version]
- Burrough, E.R.; Strait, E.L.; Kinyon, J.M.; Bower, L.P.; Madson, D.M.; Wilberts, B.L.; Schwartz, K.J.; Frana, T.S.; Songer, J.G. Comparative virulence of clinical Brachyspira spp. isolates in inoculated pigs. J. Vet. Diagn. Investig. 2012, 24, 1025–1034. [Google Scholar] [CrossRef] [PubMed]
- Bellgard, M.; Wanchanthuek, P.; La, T.; Ryan, K.; Moolhuijzen, P.; Albertyn, Z.; Shaban, B.; Motro, Y.; Dunn, D.S.; Schibeci, D.; et al. Genome sequence of the pathogenic intestinal spirochete Brachyspira hyodysenteriae reveals adaptations to its lifestyle in the porcine large intestine. PLoS ONE 2009, 4, e4641. [Google Scholar] [CrossRef]
- Ter Huurne, A.A.; Muir, S.; Van Houten, M.; Koopman, M.B.; Kusters, J.G.; Van Der Zeijst, B.A.; Gaastra, W. The role of hemolysin(s) in the pathogenesis of Serpulina hyodysenteriae. Zentralbl. Bakteriol. 1993, 278, 316–325. [Google Scholar] [CrossRef]
- Ter Huurne, A.A.; Muir, S.; Van Houten, M.; Van Der Zeijst, B.A.; Gaastra, W.; Kusters, J.G. Characterization of three putative Serpulina hyodysenteriae hemolysins. Microb. Pathog. 1994, 16, 269–282. [Google Scholar] [CrossRef] [PubMed]
- Hyatt, D.R.; ter Huurne, A.A.; van der Zeijst, B.A.; Joens, L.A. Reduced virulence of Serpulina hyodysenteriae hemolysin-negative mutants in pigs and their potential to protect pigs against challenge with a virulent strain. Infect. Immun. 1994, 62, 2244–2248. [Google Scholar] [CrossRef] [PubMed]
- Mahu, M.; De Pauw, N.; Vande Maele, L.; Verlinden, M.; Boyen, F.; Ducatelle, R.; Haesebrouck, F.; Martel, A.; Pasmans, F. Variation in hemolytic activity of Brachyspira hyodysenteriae strains from pigs. Vet. Res. 2016, 47, 66. [Google Scholar] [CrossRef]
- Löbert, S.; Zimmermann, W.; Bürki, S.; Frey, J.; Nathues, H.; Scheer, P.; Zeeh, F. Occurrence of Brachyspira hyodysenteriae in multiplier pig herds in Switzerland. Tierärztl. Prax. 2016, 44, 13–18. [Google Scholar] [CrossRef] [PubMed]
- Hampson, D.J.; Cutler, R.; Lee, B.J. Virulent Serpulina hyodysenteriae from a pig in a herd free of clinical swine dysentery. Vet. Rec. 1992, 131, 318–319. [Google Scholar] [CrossRef]
- Herbst, W.; Schneider, S.; Baljer, G.; Barth, S.A. An update of Brachyspira hyodysenteriae serotyping. Res. Vet. Sci. 2017, 111, 135–139. [Google Scholar] [CrossRef] [PubMed]
- Song, Y.; La, T.; Phillips, N.D.; Hampson, D. Development of a serological ELISA using a recombinant protein to identify pig herds infected with Brachyspira hyodysenteriae. Vet. J. 2015, 206, 365–370. [Google Scholar] [CrossRef] [PubMed]
- Achacha, M.; Messier, S.; Mittal, K.R. Development of an experimental model allowing discrimination between virulent and avirulent isolates of Serpulina (Treponema) hyodysenteriae. Can. J. Vet. Res. 1996, 60, 45–49. [Google Scholar]
- Siba, P.M.; Pethick, D.W.; Hampson, D.J. Pigs experimentally infected with Serpulina hyodysenteriae can be protected from developing swine dysentery by feeding them a highly digestible diet. Epidemiol. Infect. 1996, 116, 207–216. [Google Scholar] [CrossRef] [PubMed]
- Thomsen, L.E.; Knudsen, K.E.B.; Jensen, T.K.; Christensen, A.S.; Møller, K.; Roepstorff, A. The effect of fermentable carbohydrates on experimental swine dysentery and whip worm infections in pigs. Vet. Microbiol. 2007, 119, 152–163. [Google Scholar] [CrossRef]



| Group | Animal | 5 DPI | 7 DPI | 11 DPI | 15 DPI | 18 DPI | B. hyodysenteriae Isolation | Gross Lesion | Microscopic Score | FISH * | |||||
|---|---|---|---|---|---|---|---|---|---|---|---|---|---|---|---|
| FE | qPCR | FE | qPCR | FE | qPCR | FE | qPCR | FE | qPCR | ||||||
| CLIN | 1 | 1 | Neg | 2 | 1.5 × 103 | 4 | 2.9 × 107 | 4 | 2.7 × 107 | 4 | 1.4 × 107 | 9 DPI | Yes | 13 | + |
| 2 | 2 | 8.5 × 103 | 3.5 | 2.4 × 105 | 4 | 1.2 × 108 | ¥ | ¥ | ¥ | ¥ | 5 DPI | Yes | 11.5 | ++ | |
| 3 | 1 | Neg | 2 | Neg | 2 | Neg | 2 | Neg | 1 | Neg | 18 DPI | No | 3.5 | - | |
| 4 | 2 | Neg | 2 | Neg | 2 | Neg | 2 | Neg | 2 | Neg | 11 DPI | No | 4.5 | - | |
| 5 | 2 | Neg | 1 | Neg | 2 | Neg | 2 | Neg | 2 | Neg | 11 DPI | No | 3 | - | |
| 6 | 0 | Neg | 1 | 9.6 × 103 | 4 | 3.4 × 107 | ¥ | ¥ | ¥ | ¥ | 9 DPI | Yes | 11 | ++ | |
| 7 | 1 | Neg | 2 | Neg | 2 | 3.5 × 103 | 4 | 4.3 × 107 | 3.5 | 2.6 × 107 | 15DPI | Yes | 10 | ++ | |
| 8 | 1 | Neg | 2 | Neg | 3 | Neg | 3 | 1.4 × 102 | 3 | 7.4 × 104 | 18 DPI | Yes | 9.5 | ++ | |
| 9 | 1 | Neg | 2 | Neg | 4 | 4.4 × 107 | 4 | 2.6 × 106 | 4 | 2.5 × 107 | 11 DPI | Yes | 12.5 | +++ | |
| 10 | 1 | Neg | 2 | Neg | 2 | Neg | 3 | Neg | 3 | Neg | 18 DPI | No | 7 | - | |
| 11 | 1 | Neg | 3 | Neg | 3 | Neg | 3 | Neg | 3 | Neg | 11 DPI | No | 4 | - | |
| 12 | 1 | Neg | 3 | Neg | 4 | 6.8 × 107 | 4 | 7.6 × 107 | 4 | 5.9 × 108 | 11 DPI | Yes | 14 | ++ | |
| 13 | 0 | Neg | 1 | Neg | 1 | Neg | 4 | 2.1 × 107 | ¥ | ¥ | 15 DPI | Yes | 14.5 | ++ | |
| 14 | 0 | Neg | 1 | Neg | 1 | 1.5 × 103 | 0 | 2.5 × 103 | 2 | 1.0 × 104 | Neg | No | 1 | - | |
| 15 | 0 | Neg | 1 | Neg | 1 | Neg | 1 | Neg | 1 | 1.6 × 105 | Neg | No | 1 | - | |
| 16 | 1 | Neg | 2 | Neg | 1 | Neg | 2 | 1.1 × 103 | 2 | 7.2 × 107 | 18 DPI | Yes | 13.5 | +++ | |
| SUBCL | 17 | 0 | Neg | 0 | Neg | 1 | Neg | 0 | Neg | 0 | Neg | Neg | No | 0 | - |
| 18 | 0 | Neg | 0 | Neg | 1 | Neg | 1 | Neg | 1 | Neg | Neg | No | 2.5 | - | |
| 19 | 0 | Neg | 2 | Neg | 1 | Neg | 2 | Neg | 1 | Neg | Neg | No | 7 | - | |
| 20 | 0 | Neg | 2 | Neg | 1 | Neg | 2 | 7.4 × 103 | 2 | 1.5 × 103 | 11 DPI | No | 4 | - | |
| 21 | 0 | Neg | 0 | Neg | 2 | Neg | 0 | Neg | 0 | Neg | Neg | No | 2.5 | - | |
| 22 | 0 | Neg | 0 | Neg | 2 | Neg | 2 | Neg | 1 | Neg | 18 DPI | No | 3 | - | |
| 23 | 0 | Neg | 0 | Neg | 2 | Neg | 2 | Neg | 1 | Neg | Neg | No | 6 | - | |
| 24 | 0 | Neg | 0 | Neg | 1 | Neg | 2 | 1.6 × 107 | 2 | 3.0 × 104 | 11 DPI | Yes | 5 | +++ | |
| 25 | 0 | Neg | 0 | Neg | 1 | Neg | 4 | 1.3 × 107 | 4 | 2.5 × 107 | 15 DPI | Yes | 13.5 | +++ | |
| 26 | 0 | Neg | 0 | Neg | 1 | Neg | 0 | 1.1 × 104 | 2 | 2.1 × 105 | 15 DPI | Yes | 6.5 | + | |
| 27 | 0 | Neg | 2 | Neg | 1 | Neg | 2 | Neg | 1 | Neg | Neg | No | 0 | - | |
| 28 | 0 | Neg | 0 | Neg | 1 | Neg | 1 | Neg | 1 | Neg | 18 DPI | No | 5 | - | |
| 29 | 0 | Neg | 0 | Neg | 1 | Neg | 1 | Neg | 1 | Neg | 18 DPI | No | 1 | - | |
| 30 | 0 | Neg | 0 | Neg | 0 | Neg | 2 | Neg | 1 | Neg | Neg | No | 3 | - | |
| 31 | 1 | Neg | 0 | Neg | 2 | Neg | 2 | Neg | 2 | Neg | Neg | Yes | 2.5 | - | |
| CTRL | 32 | 0 | Neg | 0 | Neg | 0 | Neg | 0 | Neg | 0 | Neg | Neg | No | 0 | - |
| 33 | 0 | Neg | 0 | Neg | 0 | Neg | 0 | Neg | 0 | Neg | Neg | No | 0 | - | |
| 34 | 0 | Neg | 0 | Neg | 1 | Neg | 0 | Neg | 1 | Neg | Neg | No | 0 | - | |
| 35 | 0 | Neg | 0 | Neg | 0 | Neg | 0 | Neg | 0 | Neg | Neg | No | 0 | - | |
| 36 | 0 | Neg | 1 | Neg | 0 | Neg | 0 | Neg | 0 | Neg | Neg | No | 0 | - | |
| 37 | 0 | Neg | 0 | Neg | 0 | Neg | 0 | Neg | 0 | Neg | Neg | No | 0 | - | |
| 38 | 0 | Neg | 0 | Neg | 0 | Neg | 0 | Neg | 0 | Neg | Neg | No | 0 | - | |
| 39 | 0 | Neg | 0 | Neg | 1 | Neg | 1 | Neg | 1 | Neg | Neg | No | 0 | - | |
| 40 | 0 | Neg | 0 | Neg | 0 | Neg | 1 | Neg | 1 | Neg | Neg | No | 0 | - | |
| 41 | 0 | Neg | 0 | Neg | 1 | Neg | 1 | Neg | 1 | Neg | Neg | No | 0 | - | |
| 42 | 0 | Neg | 0 | Neg | 0 | Neg | 0 | Neg | 0 | Neg | Neg | No | 1 | - | |
| 43 | 0 | Neg | 0 | Neg | 0 | Neg | 0 | Neg | 0 | Neg | Neg | No | 0 | - | |
| 44 | 0 | Neg | 1 | Neg | 1 | Neg | 0 | Neg | 1 | Neg | Neg | No | 0 | - | |
| 45 | 0 | Neg | 0 | Neg | 0 | Neg | 0 | Neg | 0 | Neg | Neg | No | 1 | - | |
| 46 | 1 | Neg | 1 | Neg | 1 | Neg | 1 | Neg | 1 | Neg | Neg | No | 0 | - | |
| 47 | 0 | Neg | 0 | Neg | 0 | Neg | 0 | Neg | 0 | Neg | Neg | No | 0 | - | |
| Clinical Signs * | Gross Lesions * | Histologic Lesions | |||||
|---|---|---|---|---|---|---|---|
| Group | Aqueous and/or Mucohemorrhagic Diarrhea | First Observation of Diarrhea | Total Number of Days with Diarrhea | Excessive Mucus in the Lumen | Mucosal Hemorrhage | Fibrinous Exudate | Mean of the Final Score ± SD |
| Negative | 0/16 a | - ** | 0 a | 0/16 a | 0/16 a | 0/16 a | 0.02 ± 0.04 a |
| Subclinical | 1/15 a | 15 DPI | 3 b | 3/15 a | 1/15 a | 1/15 a | 0.81 ± 0.39 b |
| Clinical | 10/16 b | 7 DPI | 11 b | 9/16 b | 9/16 b | 8/16 b | 1.66 ± 0.26 c |
Publisher’s Note: MDPI stays neutral with regard to jurisdictional claims in published maps and institutional affiliations. |
© 2022 by the authors. Licensee MDPI, Basel, Switzerland. This article is an open access article distributed under the terms and conditions of the Creative Commons Attribution (CC BY) license (https://creativecommons.org/licenses/by/4.0/).
Share and Cite
Sato, J.P.H.; Daniel, A.G.S.; Pereira, C.E.R.; Andrade, M.R.; Laub, R.P.; Gabardo, M.P.; Otoni, L.V.A.; Macedo, N.R.; Barrera-Zarate, J.A.; Guedes, R.M.C. Experimental Infection of Pigs with a ST 245 Brachyspira hyodysenteriae Isolated from an Asymptomatic Pig in a Herd with No History of Swine Dysentery. Vet. Sci. 2022, 9, 286. https://doi.org/10.3390/vetsci9060286
Sato JPH, Daniel AGS, Pereira CER, Andrade MR, Laub RP, Gabardo MP, Otoni LVA, Macedo NR, Barrera-Zarate JA, Guedes RMC. Experimental Infection of Pigs with a ST 245 Brachyspira hyodysenteriae Isolated from an Asymptomatic Pig in a Herd with No History of Swine Dysentery. Veterinary Sciences. 2022; 9(6):286. https://doi.org/10.3390/vetsci9060286
Chicago/Turabian StyleSato, José Paulo H., Amanda G. S. Daniel, Carlos E. R. Pereira, Mariana R. Andrade, Ricardo P. Laub, Michelle P. Gabardo, Luisa V. A. Otoni, Nubia R. Macedo, Javier A. Barrera-Zarate, and Roberto M. C. Guedes. 2022. "Experimental Infection of Pigs with a ST 245 Brachyspira hyodysenteriae Isolated from an Asymptomatic Pig in a Herd with No History of Swine Dysentery" Veterinary Sciences 9, no. 6: 286. https://doi.org/10.3390/vetsci9060286
APA StyleSato, J. P. H., Daniel, A. G. S., Pereira, C. E. R., Andrade, M. R., Laub, R. P., Gabardo, M. P., Otoni, L. V. A., Macedo, N. R., Barrera-Zarate, J. A., & Guedes, R. M. C. (2022). Experimental Infection of Pigs with a ST 245 Brachyspira hyodysenteriae Isolated from an Asymptomatic Pig in a Herd with No History of Swine Dysentery. Veterinary Sciences, 9(6), 286. https://doi.org/10.3390/vetsci9060286

