Molecular Detection of Genetic Material of Toxoplasma gondii in Goat Blood Samples from Northern Thailand
Simple Summary
Abstract
1. Introduction
2. Materials and Methods
2.1. Blood Collection
2.2. DNA Extraction
2.3. PCR Amplification
2.4. DNA Sequencing and Phylogenetic Analysis
2.5. Statistical Analysis
3. Results
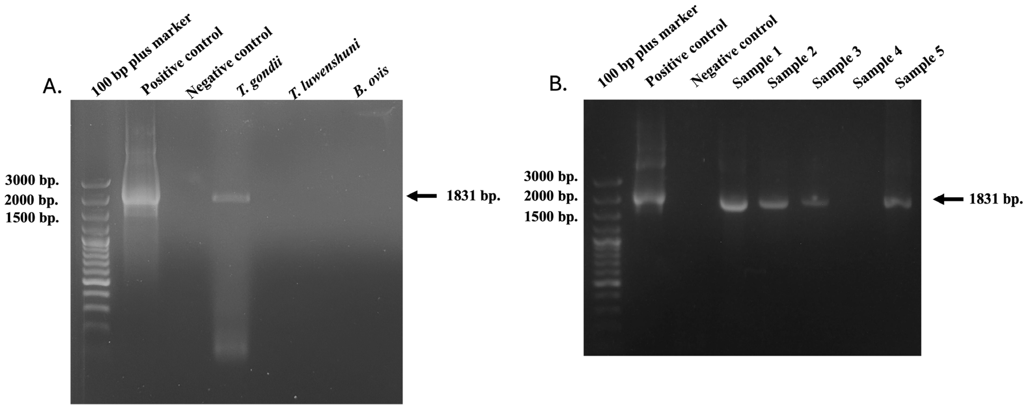
3.1. Demonstration of Tgdhfr-ts Gene-Based for PCR Detection of Toxoplasma gondii in Goat Blood Samples
3.2. Identification of Tgdhfr-ts in the Goat Blood Samples
3.3. DNA Sequence and Phylogenetic Analysis
4. Discussion
5. Conclusions
Supplementary Materials
Author Contributions
Funding
Institutional Review Board Statement
Informed Consent Statement
Data Availability Statement
Acknowledgments
Conflicts of Interest
Abbreviations
| DHFR-TS | dihydrofolate reductase thymidylate synthase |
| Tgdhfr-ts | T. gondii dihydrofolate reductase-thymidylate synthase |
| PCR | Polymerase chain reaction |
References
- Dubey, J.P. Toxoplasmosis–A waterborne zoonosis. Vet. Parasitol. 2004, 126, 57–72. [Google Scholar] [CrossRef] [PubMed]
- Torgerson, P.R.; Devleesschauwer, B.; Praet, N.; Speybroeck, N.; Willingham, A.L.; Kasuga, F.; Rokni, M.B.; Zhou, X.N.; Fevre, E.M.; Sripa, B.; et al. World Health Organization estimates of the global and regional disease burden of 11 foodborne parasitic diseases, 2010: A data synthesis. PLoS Med. 2015, 12, e1001920. [Google Scholar] [CrossRef] [PubMed]
- Engeland, I.V.; Waldeland, H.; Kindahl, H.; Ropstad, E.; Andresen, O. Effect of Toxoplasma gondii infection on the development of pregnancy and on endocrine foetal-placental function in the goat. Vet. Parasitol. 1996, 67, 61–74. [Google Scholar] [CrossRef] [PubMed]
- Tenter, A.M.; Heckeroth, A.R.; Weiss, L.M. Toxoplasma gondii: From Animals to Humans. Int. J. Parasitol. 2000, 30, 1217–1258. [Google Scholar] [CrossRef]
- Dubey, J.P.; Murata, F.H.A.; Cerqueira-Cézar, C.K.; Kwok, O.C.H. Public Health and Economic Importance of Toxoplasma gondii Infections in Goats: The Last Decade. Res. Vet. Sci. 2020, 132, 292–307. [Google Scholar] [CrossRef]
- Ahaduzzaman, M.; Hasan, T. Seroprevalence of Toxoplasma gondii infection in sheep and goats from different geographical regions of the world: Systematic review and meta-analysis. Transbound. Emerg. Dis. 2022, 69, 3790–3822. [Google Scholar] [CrossRef]
- Hasan, T.; Mannan, A.; Hossain, D.; Rekha, A.; Hossan, M.M.; Alim, M.A.; Uddin, A.M. Molecular detection of Toxoplasma gondii in aborted fetuses of goats in Chattogram, Bangladesh. Vet. World 2021, 14, 2386–2391. [Google Scholar] [CrossRef]
- de Moura, A.B.; Ribeiro, A.; de Souza, A.P.; da Silva, M.O.; Machado, G.; Klauck, V.; Pazinato, R.; Silva, A.S.D. Seroprevalence and Risk Factors for Toxoplasma gondii Infection in Goats in Southern Brazil. Acta Sci. Vet. 2016, 44, 7. [Google Scholar] [CrossRef][Green Version]
- Alemayehu, G.; Mamo, G.; Alemu, B.; Desta, H.; Tadesse, B.; Benti, T.; Bahiru, A.; Yimana, M.; Wieland, B. Causes and flock level risk factors of sheep and goat abortion in three agroecology zones in Ethiopia. Front. Vet. Sci. 2021, 8, 615310. [Google Scholar] [CrossRef]
- Jittapalapong, S.; Sangvaranond, A.; Pinyopanuwat, N.; Chimnoi, W.; Khachaeram, W.; Koizumi, S.; Maruyama, S. Seroprevalence of Toxoplasma gondii infection in domestic goats in Satun Province, Thailand. Vet. Parasitol. 2005, 127, 17–22. [Google Scholar] [CrossRef]
- Udonsom, R.; Supanta, J.; Tanglakmankhong, O.; Ngoenphisutsin, K.; Nishikawa, Y.; Fereig, R.M.; Jirapattharasate, C. Toxoplasma gondii and Neospora caninum prevalence and risk factors on goat farms in Kanchanaburi province, Thailand. Vet. Int. Sci. 2021, 19, 65–74. [Google Scholar] [CrossRef]
- Udonsom, R.; Sukthana, Y.; Nishikawa, Y.; Fereig, R.M.; Jirapattharasate, C. Current situation of Neospora caninum and Toxoplasma gondii infection among beef cattle in Kanchanaburi, Ratchaburi and Nakhon Patom provinces, Thailand. Thai J. Vet. Med. 2018, 48, 403–409. [Google Scholar] [CrossRef]
- Wiengcharoen, J.; Nakthong, C.; Mitchaothai, J.; Udonsom, R.; Sukthana, Y. Toxoplasmosis and neosporosis among beef cattle slaughtered for food in Western Thailand. Southeast Asian J. Trop. Med. Public Health 2012, 43, 1087–1093. [Google Scholar] [PubMed]
- Wannapong, N.; Lertwatcharasarakul, P.; Rukkwamsuk, T. Prevalence and risk factors of Toxoplasma gondii infection in dairy cattle from the Western Region of Thailand. Parasite 2024, 31, 38. [Google Scholar] [CrossRef]
- Lakhamsen, N.; Chaisongkhram, C.; Pattarasuplerk, Y.; Macotpet, A.; Seesupa, S.; Lertitthikul, N.; Bupata, P.; Kunkitti, P. Serological survey of Toxoplasma gondii infection in cats in Khon Kaen, Northeast Thailand. Vet. World 2022, 15, 1779–1784. [Google Scholar] [CrossRef]
- Nissapatorn, V.; Sawangjaroen, N. Parasitic infections in HIV infected individuals: Diagnostic & therapeutic challenges. Indian J. Med. Res. 2011, 134, 878–897. [Google Scholar] [CrossRef]
- Bastien, P. Molecular diagnosis of toxoplasmosis. Trans. R. Soc. Trop. Med. Hyg. 2002, 24, 205–215. [Google Scholar] [CrossRef]
- Burg, J.L.; Grover, C.M.; Pouletty, P.; Boothroyd, J.C. Direct and Sensitive Detection of a Pathogenic Protozoan, Toxoplasma gondii, by Polymerase Chain Reaction. J. Clin. Microbiol. 1989, 27, 1787–1792. [Google Scholar] [CrossRef]
- Homan, W.L.; Vercammen, M.; De Braekeleer, J.; Verschueren, H. Identification of a 200- to 300-Fold Repetitive 529 Bp DNA Fragment in Toxoplasma gondii, and Its Use for Diagnostic and Quantitative PCR. Int. J. Parasitol. 2000, 30, 69–75. [Google Scholar] [CrossRef]
- Tenter, A.M.; Luton, K.; Johnson, A.M. Species-Specific Identification of Sarcocystis and Toxoplasma by PCR Amplification of Small Subunit Ribosomal RNA Gene Fragments. Appl. Parasitol. 1994, 35, 173–188. [Google Scholar]
- Homan, W.L.; Limper, L.; Verlaan, M.; Borst, A.; Vercammen, M.; van Knapen, F. Comparison of the internal transcribed spacer, ITS 1, from Toxoplasma gondii isolates and Neospora caninum. Parasitol. Res. 1997, 83, 285–289. [Google Scholar] [CrossRef] [PubMed]
- Savva, D.; Morris, J.C.; Johnson, J.D.; Holliman, R.E. Polymerase Chain Reaction for Detection of Toxoplasma gondii. J. Med. Microbiol. 1990, 32, 25–31. [Google Scholar] [CrossRef] [PubMed]
- Costa, M.E.S.; Oliveira, C.B.S.; Andrade, J.M.D.A.; Medeiros, T.A.; Neto, V.F.A.; Lanza, D.C. An Alternative Nested-PCR Assay for the Detection of Toxoplasma gondii Strains Based on GRA7 Gene Sequences. Acta Trop. 2016, 159, 120–124. [Google Scholar] [CrossRef] [PubMed]
- Shamshad, H.; Bakri, R.; Mirza, A.Z. Dihydrofolate reductase, thymidylate synthase, and serine hydroxy methyltransferase: Successful targets against some infectious diseases. Mol. Biol. Rep. 2022, 49, 6659–6691. [Google Scholar] [CrossRef]
- Vanichtanankul, J.; Yoomuang, A.; Taweechai, S.; Saeyang, T.; Pengon, J.; Yuvaniyama, J.; Tarnchompoo, B.; Yuthavong, Y.; Kamchonwongpaisan, S. Structural Insight into Effective Inhibitors’ Binding to Toxoplasma gondii Dihydrofolate Reductase Thymidylate Synthase. ACS Chem. Biol. 2022, 17, 1691–1702. [Google Scholar] [CrossRef]
- Zaware, N.; Sharm, H.; Yang, J.; Devambatla, R.K.; Queener, S.F.; Anderson, K.S.; Gangjee, A. Discovery of potent and selective inhibitors of Toxoplasma gondii thymidylate synthase for opportunistic infections. ACS Med. Chem. Lett. 2013, 4, 1148–1151. [Google Scholar] [CrossRef]
- Hopper, A.T.; Brockman, A.; Wise, A.; Gould, J.; Barks, J.; Radke, J.B.; Sibley, L.D.; Zou, Y.; Thomas, S.J. Discovery of Selective Toxoplasma gondii Dihydrofolate Reductase Inhibitors for the Treatment of Toxoplasmosis. Med. Chem. 2019, 62, 1562–1576. [Google Scholar] [CrossRef]
- Biswas, S.; Escalante, A.; Chaiyaroj, S.; Angkasekwinai, P.; Lal, A.A. Prevalence of point mutations in the dihydrofolate reductase and dihydropteroate synthetase genes of Plasmodium falciparum isolates from India and Thailand: A molecular epidemiologic study. Trop. Med. Int. Health 2000, 5, 737–743. [Google Scholar] [CrossRef]
- Mawili-Mboumba, D.P.; Ekala, M.T.; Lekoulou, F.; Ntoumi, F. Molecular analysis of DHFR and DHPS genes in P. falciparum clinical isolates from the Haut—Ogooué region in Gabon. Acta Trop. 2001, 78, 231–240. [Google Scholar] [CrossRef]
- Tanomsing, N.; Imwong, M.; Theppabutr, S.; Pukrittayakamee, S.; Day, N.P.; White, N.J.; Snounou, G. Accurate and sensitive detection of Plasmodium species in humans by use of the dihydrofolate reductase-thymidylate synthase linker region. J. Clin. Microbiol. 2010, 48, 3735–3737. [Google Scholar] [CrossRef]
- Sanchez, S.G.; Besteiro, S. The pathogenicity and virulence of Toxoplasma gondii. Virulence 2021, 12, 3095–3114. [Google Scholar] [CrossRef] [PubMed]
- Holec-Gąsior, L.; Sołowińska, K. Detection of Toxoplasma gondii Infection in Small Ruminants: Old Problems, and Current Solutions. Animals 2023, 13, 2696. [Google Scholar] [CrossRef] [PubMed]
- Ait Issad, N.; Abdelouahed, K.; Bekhouche, S.; Boubeuker, R.; Hamoudi Adjmi, H.; Ouchene-Khelifi, N.A.; Ouchene, N.; Ait Oudhia, K.; Khelef, D. Molecular detection of the B1 gene of Toxoplasma gondii in blood samples of female sheep and goats in Tebessa, northeastern Algeria. Comp. Immunol. Microbiol. Infect. Dis. 2020, 72, 101530. [Google Scholar] [CrossRef] [PubMed]
- Mazuz, M.L.; Weiss, A.; Beer, O.; Tirosh-Levy, S.; Riklis, I.; Dveyrin, Z.; Rorman, E.; Cohen, N.Z.; Markovich, M.P.; Baneth, G. High infection rates of Toxoplasma gondii in cattle, sheep and pigs from Israel. Comp. Immunol. Microbiol. Infect. Dis. 2023, 92, 101928. [Google Scholar] [CrossRef]
- Ji, M.J.; Cho, H.C.; Park, Y.J.; Choi, K.S. Molecular Detection of Toxoplasma gondii in Blood Samples of Domestic Livestock in the Republic of Korea. Pathogens 2023, 12, 547. [Google Scholar] [CrossRef]
- Tavassoli, M.; Ghorbanzadehghan, M.; Esmaeilnejad, B. Detection of Toxoplasma gondii in sheep and goats blood samples by PCR-RFLP in Urmia. Vet. Res. Forum 2013, 4, 43–47. [Google Scholar]
- Zhou, Z.; Wu, Y.; Chen, Y.; Wang, Z.; Hu, S.; Zhou, R.; Dong, C.; Lin, H.; Nie, K. Molecular and serological prevalence of Toxoplasma gondii and Anaplasma spp. infection in goats from Chongqing Municipality, China. Parasite 2018, 25, 20. [Google Scholar] [CrossRef]
- Mancianti, F.; Nardoni, S.; D′Ascenzi, C.; Pedonese, F.; Mugnaini, L.; Franco, F.; Papini, R. Seroprevalence, Detection of DNA in Blood and Milk, and Genotyping of Toxoplasma gondii in a Goat Population in Italy. BioMed Res. Int. 2013, 2013, 905326. [Google Scholar] [CrossRef]
- Rasti, S.; Marandi, N.; Abdoli, A.; Delavari, M.; Mousavi, S.G.A. Serological and molecular detection of Toxoplasma gondii in sheep and goats in Kashan, Central Iran. J. Food Saf. 2018, 38, e12425. [Google Scholar] [CrossRef]
- Ghoneim, N.H.; Shalaby, S.I.; Hassanain, N.A.; Zeedan, G.S.; Soliman, Y.A.; Abdalhamed, A.M. Comparative study between serological and molecular methods for diagnosis of toxoplasmosis in women and small ruminants in Egypt. Foodborne Pathog. Dis. 2010, 7, 17–22. [Google Scholar] [CrossRef]
- Lee, C. Generating consensus sequences from partial order multiple sequence alignment graphs. Bioinformatics 2003, 19, 999–1008. [Google Scholar] [CrossRef]





| Province | Population of Meat Goats a | Sample Examined (%) | ||
|---|---|---|---|---|
| Male | Female | Total | ||
| Chiang Mai | 207 | 545 | 752 | 62 (8.24) |
| Chiang Rai | 482 | 1162 | 1644 | 82 (4.99) |
| Lamphun | 191 | 489 | 680 | 32 (4.70) |
| Total | 880 | 2196 | 3076 | 176 (5.72) |
| Factor | Category | Sample of Examined | Sample of Positive (%) | Chi-Square | df | p-Value |
|---|---|---|---|---|---|---|
| Age | 2.981 | 1 | 0.0842 | |||
| ≤2 years | 167 | 12 (7.18) | ||||
| >2 years | 9 | 3 (33.33) | ||||
| Sex | 0.1765 | 1 | 0.6744 | |||
| Female | 165 | 15 (9.09) | ||||
| Male | 11 | 0 | ||||
| Total | 176 | 15 (8.52) |
Disclaimer/Publisher’s Note: The statements, opinions and data contained in all publications are solely those of the individual author(s) and contributor(s) and not of MDPI and/or the editor(s). MDPI and/or the editor(s) disclaim responsibility for any injury to people or property resulting from any ideas, methods, instructions or products referred to in the content. |
© 2025 by the authors. Licensee MDPI, Basel, Switzerland. This article is an open access article distributed under the terms and conditions of the Creative Commons Attribution (CC BY) license (https://creativecommons.org/licenses/by/4.0/).
Share and Cite
Koonyosying, P.; Muenthaisong, A.; Sangkakam, K.; Nontasaya, K.; Rittipornlertrak, A.; Nambooppha, B.; Apinda, N.; Maneekesorn, S.; Sthitmatee, N. Molecular Detection of Genetic Material of Toxoplasma gondii in Goat Blood Samples from Northern Thailand. Vet. Sci. 2025, 12, 555. https://doi.org/10.3390/vetsci12060555
Koonyosying P, Muenthaisong A, Sangkakam K, Nontasaya K, Rittipornlertrak A, Nambooppha B, Apinda N, Maneekesorn S, Sthitmatee N. Molecular Detection of Genetic Material of Toxoplasma gondii in Goat Blood Samples from Northern Thailand. Veterinary Sciences. 2025; 12(6):555. https://doi.org/10.3390/vetsci12060555
Chicago/Turabian StyleKoonyosying, Pongpisid, Anucha Muenthaisong, Kanokwan Sangkakam, Kanpitcha Nontasaya, Amarin Rittipornlertrak, Boondarika Nambooppha, Nisachon Apinda, Supawadee Maneekesorn, and Nattawooti Sthitmatee. 2025. "Molecular Detection of Genetic Material of Toxoplasma gondii in Goat Blood Samples from Northern Thailand" Veterinary Sciences 12, no. 6: 555. https://doi.org/10.3390/vetsci12060555
APA StyleKoonyosying, P., Muenthaisong, A., Sangkakam, K., Nontasaya, K., Rittipornlertrak, A., Nambooppha, B., Apinda, N., Maneekesorn, S., & Sthitmatee, N. (2025). Molecular Detection of Genetic Material of Toxoplasma gondii in Goat Blood Samples from Northern Thailand. Veterinary Sciences, 12(6), 555. https://doi.org/10.3390/vetsci12060555

