Characterization of a Highly Toxigenic Clostridium tetani Strain from a Calf’s Castration Site
Abstract
Simple Summary
Abstract
1. Introduction
2. Materials and Methods
2.1. Animal and Case History
2.2. Isolation of Clostridium tetani
2.3. Whole Genome Sequencing and Phylogenetic Analysis
2.4. Immuno-Assay Using Enzyme-Linked Immunosorbent Assay (ELISA)
3. Results
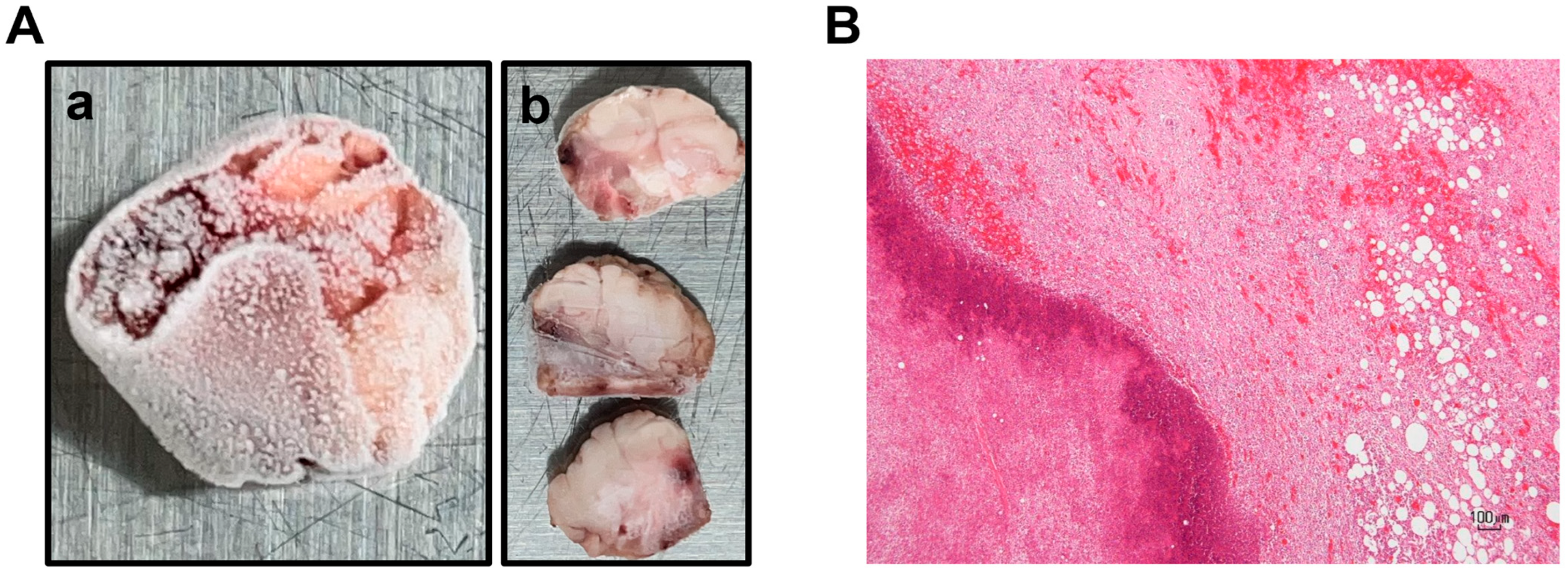
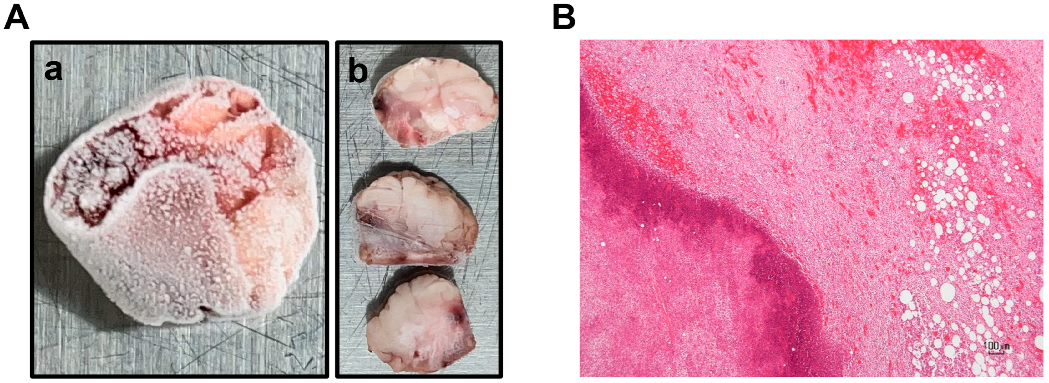
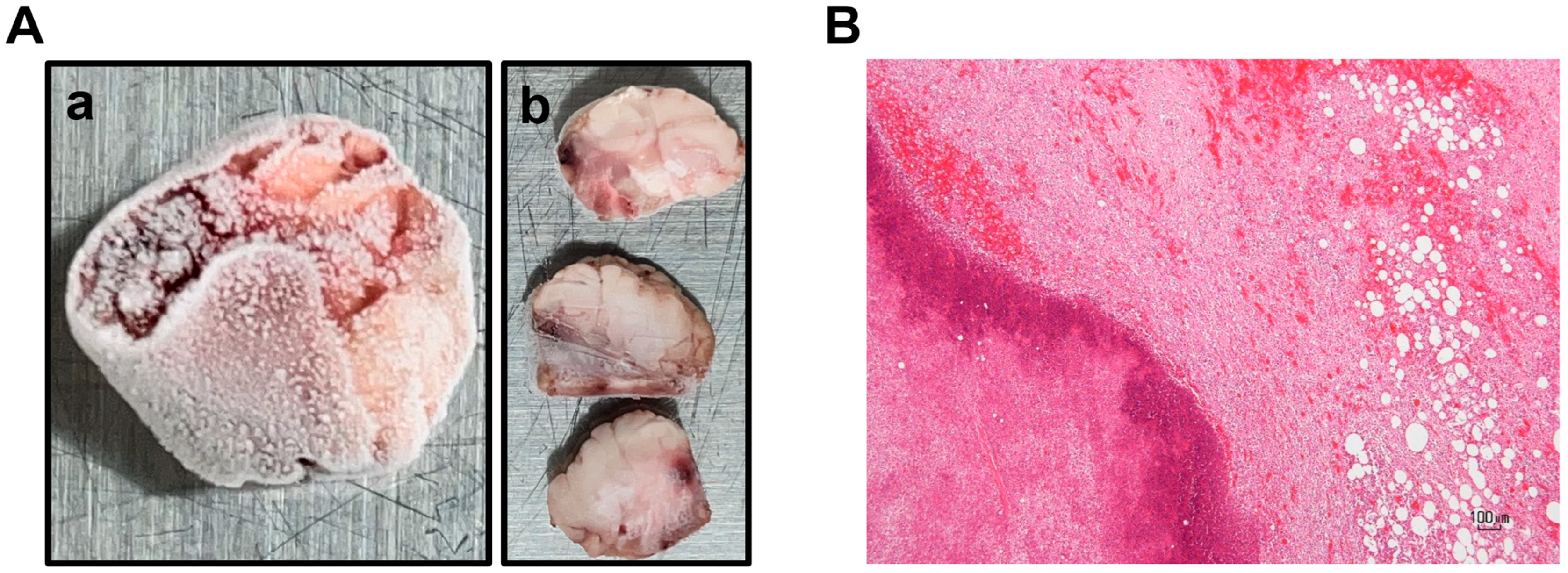
3.1. Animal Case History and Isolation of C. tetani
3.2. Whole Genome Sequencing
3.3. Detection of Tetanus Toxin by ELISA
4. Discussion
5. Conclusions
Author Contributions
Funding
Institutional Review Board Statement
Informed Consent Statement
Data Availability Statement
Conflicts of Interest
References
- Ministry of Justice, Act on Domestic Animal Infectious Diseases Control (Act No. 166 of 1951). [Internet]. Available online: https://www.japaneselawtranslation.go.jp/ja/laws/view/30/en (accessed on 1 May 2025).
- Popoff, M.R. Tetanus in animals. J. Vet. Diagn. Investig. 2020, 32, 184–191. [Google Scholar] [CrossRef]
- Wernery, U.; Ul-Haq, A.; Joseph, M.; Kinne, J. Tetanus in a camel (Camelus dromedarius)—A case report. Trop. Anim. Health Prod. 2004, 36, 217–224. [Google Scholar] [CrossRef] [PubMed]
- Salvarani, F.M.; Vieira, E.V. Clostridial Infections in Cattle: A Comprehensive Review with Emphasis on Current Data Gaps in Brazil. Animals 2024, 14, 2919. [Google Scholar] [CrossRef] [PubMed]
- Altuğ, N.; Yüksek, N.; Karasu, A.; İlhan, F.; Ceylan, E.; Ekin, İ.H.; Arslan, S. Diagnosis and treatment of umbilical cord-derived tetanus in neonatal calves. Turk. J. Vet. Anim. Sci. 2017, 41, 317–322. [Google Scholar] [CrossRef]
- Montecucco, C.; Schiavo, G. Mechanism of action of tetanus and botulinum neurotoxins. Mol. Microbiol. 1994, 13, 1–8. [Google Scholar] [CrossRef] [PubMed]
- Ministry of Agriculture, Forestry and Fisheries, Japan. Surveillance of Notifiable Infectious Diseases in Livestock. [Internet]. Available online: https://www.maff.go.jp/j/syouan/douei/kansi_densen/kansi_densen.html (accessed on 1 May 2025).
- World Health Organization. Sustaining Maternal and Neonatal Tetanus Elimination. [Internet]. Available online: https://www.who.int/southeastasia/activities/sustaining-maternal-and-neonatal-tetanus-elimination (accessed on 1 May 2025).
- Bura, V.K.; Srivastava, R.; Chawla, A.K.; Njambe, T.O.E.; Khanal, S.; Sangal, L.; Jha, S.; Bahl, S. Essential programme on immunization in WHO South-East Asia: A five-decade journey of saving millions of lives & ending diseases. Indian J. Med. Res. 2024, 160, 267–278. [Google Scholar] [CrossRef] [PubMed]
- Kinoshita, Y.; Yamanaka, T.; Kodaira, K.; Niwa, H.; Uchida-Fujii, E.; Ueno, T. Assessment of tetanus revaccination regimens in horses not vaccinated in the previous year. J. Vet. Med. Sci. 2023, 85, 751–754. [Google Scholar] [CrossRef] [PubMed]
- National Veterinary Assay Laboratory. Annual Report on the Testing of Veterinary Biological Products, Vol. 47 (FY2021); Ministry of Agriculture, Forestry and Fisheries: Tokyo, Japan, 2022; Available online: https://www.maff.go.jp/nval/kouhou/pdf/nenpo47.pdf (accessed on 1 May 2025).
- Shitada, C.; Sekizuka, T.; Yamamoto, A.; Sakamoto, C.; Hashino, M.; Kuroda, M.; Takahashi, M. Comparative pathogenomic analysis reveals a highly tetanus toxin-producing clade of Clostridium tetani isolates in Japan. mSphere 2023, 8, e0036923. [Google Scholar] [CrossRef] [PubMed]
- Plourde-Owobi, L.; Seguin, D.; Baudin, M.A.; Moste, C.; Rokbi, B. Molecular characterization of Clostridium tetani strains by pulsed-field gel electrophoresis and colony PCR. Appl. Environ. Microbiol. 2005, 71, 5604–5606. [Google Scholar] [CrossRef] [PubMed]
- Tanizawa, Y.; Fujisawa, T.; Nakamura, Y. DFAST: A flexible prokaryotic genome annotation pipeline for faster genome publication. Bioinformatics 2018, 34, 1037–1039. [Google Scholar] [CrossRef] [PubMed]
- Treangen, T.J.; Ondov, B.D.; Koren, S.; Phillippy, A.M. The Harvest suite for rapid core-genome alignment and visualization of thousands of intraspecific microbial genomes. Genome Biol. 2014, 15, 524. [Google Scholar] [CrossRef] [PubMed]
- Minh, B.Q.; Schmidt, H.A.; Chernomor, O.; Schrempf, D.; Woodhams, M.D.; von Haeseler, A.; Lanfear, R. IQ-TREE 2: New Models and Efficient Methods for Phylogenetic Inference in the Genomic Era. Mol. Biol. Evol. 2020, 37, 1530–1534. [Google Scholar] [CrossRef] [PubMed]
- Letunic, I.; Bork, P. Interactive Tree of Life (iTOL) v6: Recent updates to the phylogenetic tree display and annotation tool. Nucleic Acids Res. 2024, 52, W78–W82. [Google Scholar] [CrossRef] [PubMed]
- Cohen, J.E.; Wang, R.; Shen, R.F.; Wu, W.W.; Keller, J.E. Comparative pathogenomics of Clostridium tetani. PLoS ONE 2017, 12, e0182909. [Google Scholar] [CrossRef] [PubMed]
- Chapeton-Montes, D.; Plourde, L.; Bouchier, C.; Ma, L.; Diancourt, L.; Criscuolo, A.; Popoff, M.R.; Bruggemann, H. The population structure of Clostridium tetani deduced from its pan-genome. Sci. Rep. 2019, 9, 11220. [Google Scholar] [CrossRef] [PubMed]
- Kim, Y.; Ku, J.Y.; Lee, K.; Moon, B.Y.; Ha, S.; Choi, K.S.; Park, J. Successful treatment of idiopathic tetanus using metronidazole, magnesium, and acepromazine in Hanwoo (Korean indigenous cattle) yearling bull. Front. Vet. Sci. 2023, 10, 1142316. [Google Scholar] [CrossRef] [PubMed]



Disclaimer/Publisher’s Note: The statements, opinions and data contained in all publications are solely those of the individual author(s) and contributor(s) and not of MDPI and/or the editor(s). MDPI and/or the editor(s) disclaim responsibility for any injury to people or property resulting from any ideas, methods, instructions or products referred to in the content. |
© 2025 by the authors. Licensee MDPI, Basel, Switzerland. This article is an open access article distributed under the terms and conditions of the Creative Commons Attribution (CC BY) license (https://creativecommons.org/licenses/by/4.0/).
Share and Cite
Shitada, C.; Ohira, M.; Sekiguchi, M.; Koda, T.; Takahashi, M.; Kuroda, M. Characterization of a Highly Toxigenic Clostridium tetani Strain from a Calf’s Castration Site. Vet. Sci. 2025, 12, 945. https://doi.org/10.3390/vetsci12100945
Shitada C, Ohira M, Sekiguchi M, Koda T, Takahashi M, Kuroda M. Characterization of a Highly Toxigenic Clostridium tetani Strain from a Calf’s Castration Site. Veterinary Sciences. 2025; 12(10):945. https://doi.org/10.3390/vetsci12100945
Chicago/Turabian StyleShitada, Chie, Mayu Ohira, Mika Sekiguchi, Tomoko Koda, Motohide Takahashi, and Makoto Kuroda. 2025. "Characterization of a Highly Toxigenic Clostridium tetani Strain from a Calf’s Castration Site" Veterinary Sciences 12, no. 10: 945. https://doi.org/10.3390/vetsci12100945
APA StyleShitada, C., Ohira, M., Sekiguchi, M., Koda, T., Takahashi, M., & Kuroda, M. (2025). Characterization of a Highly Toxigenic Clostridium tetani Strain from a Calf’s Castration Site. Veterinary Sciences, 12(10), 945. https://doi.org/10.3390/vetsci12100945

