Diagnostic Approach to Equine Testicular Disorders
Abstract
Simple Summary
Abstract
1. Introduction
2. Examination Techniques of the Stallion Scrotum and Its Content
2.1. History and Physical Examination
2.2. Testicular Inspection, Palpation, and Measurements
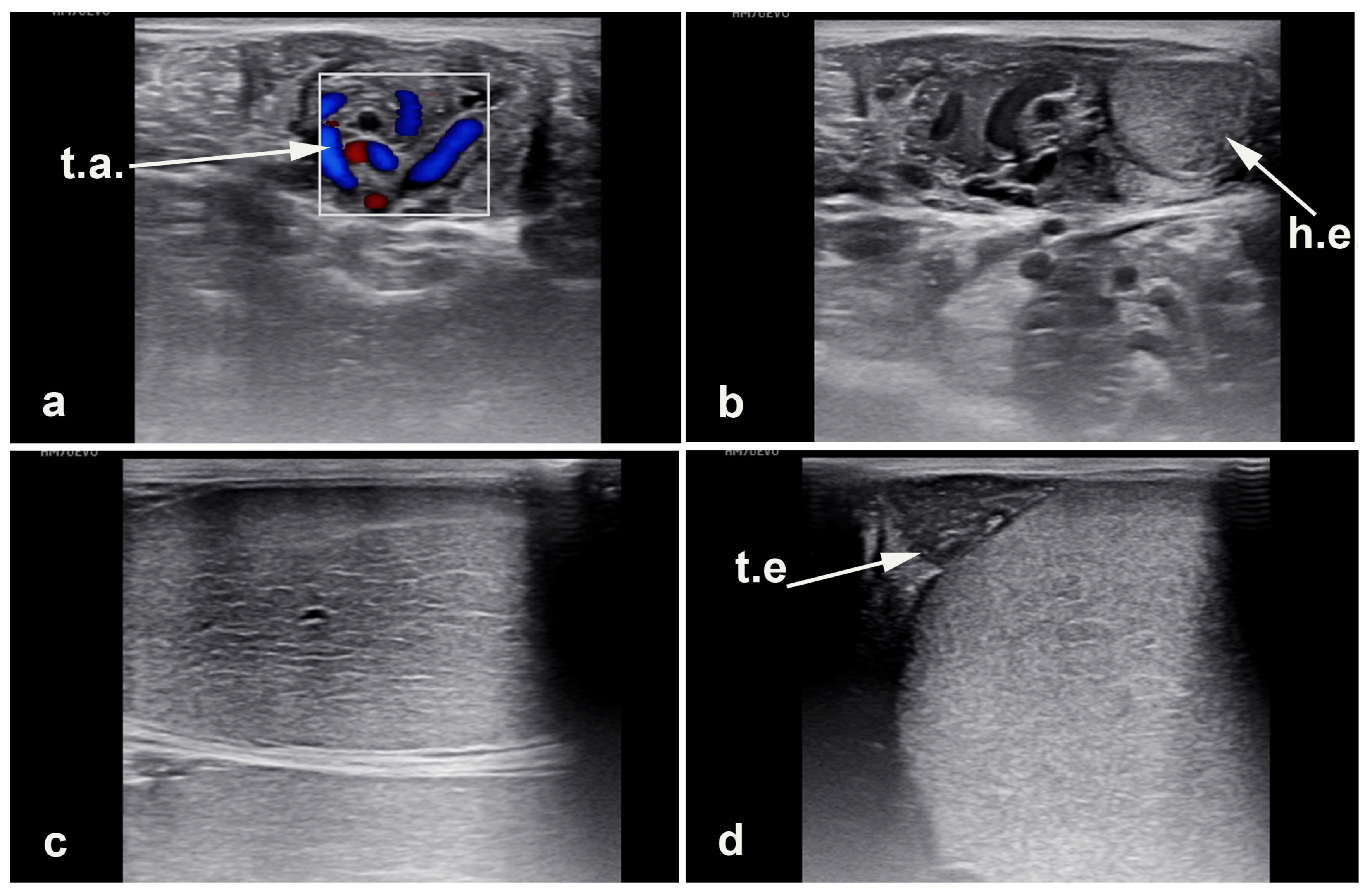
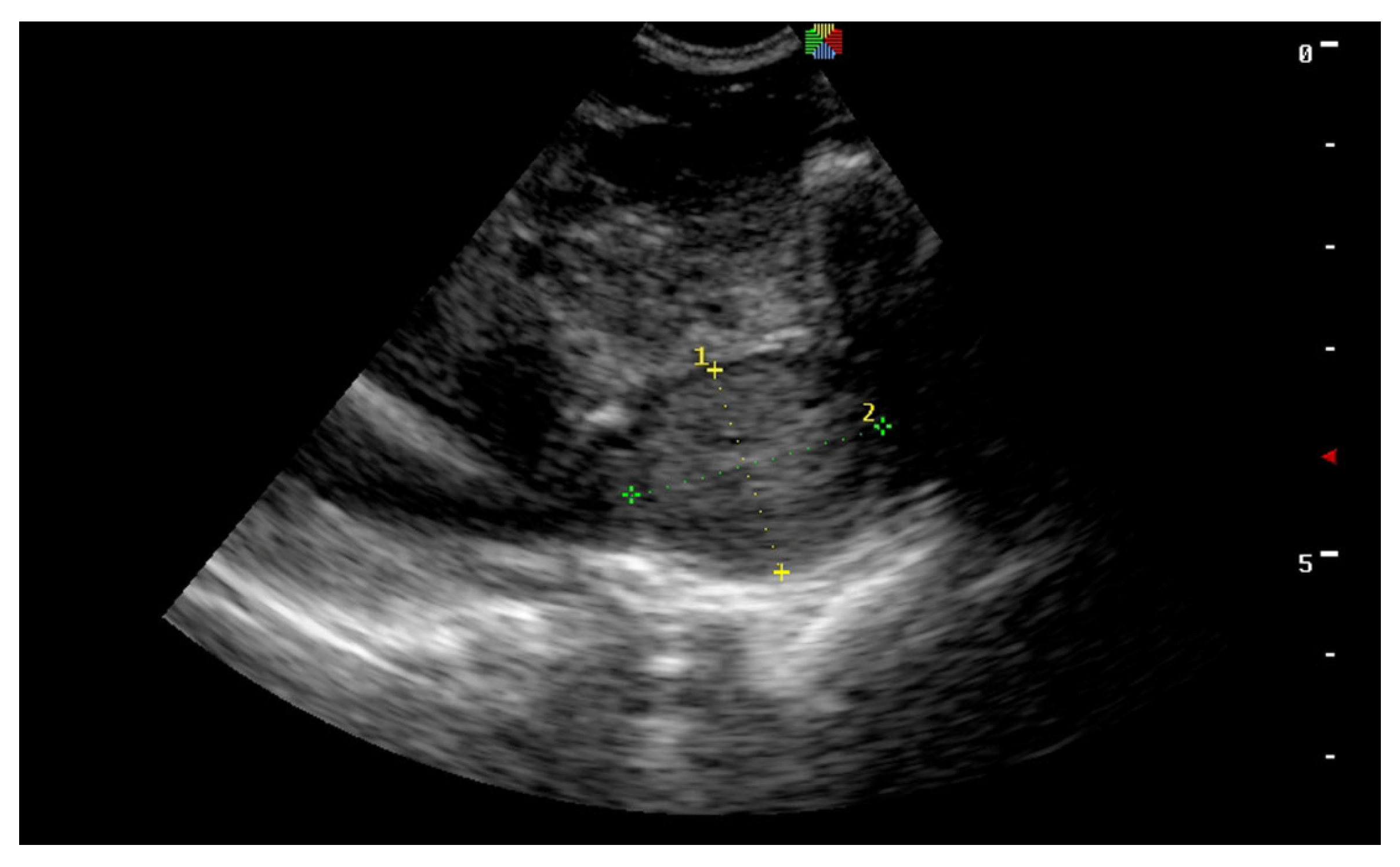
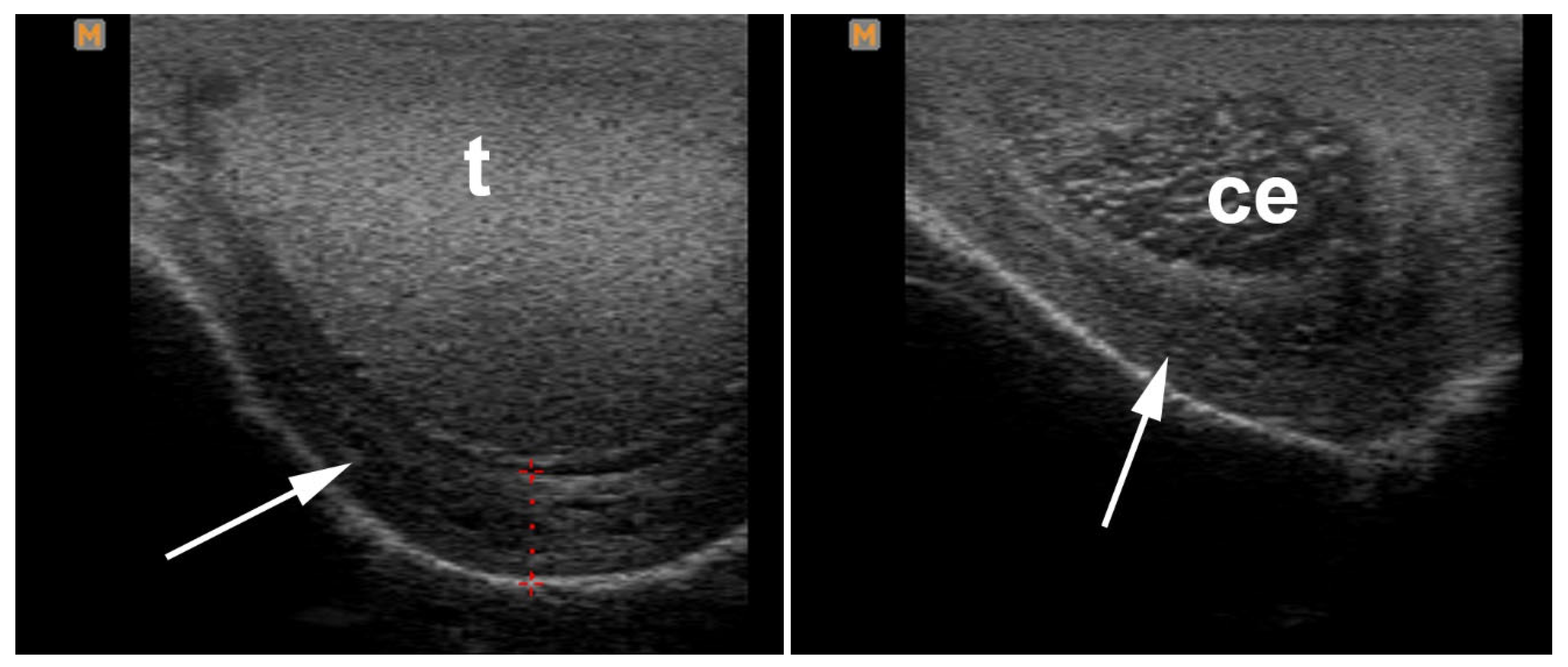
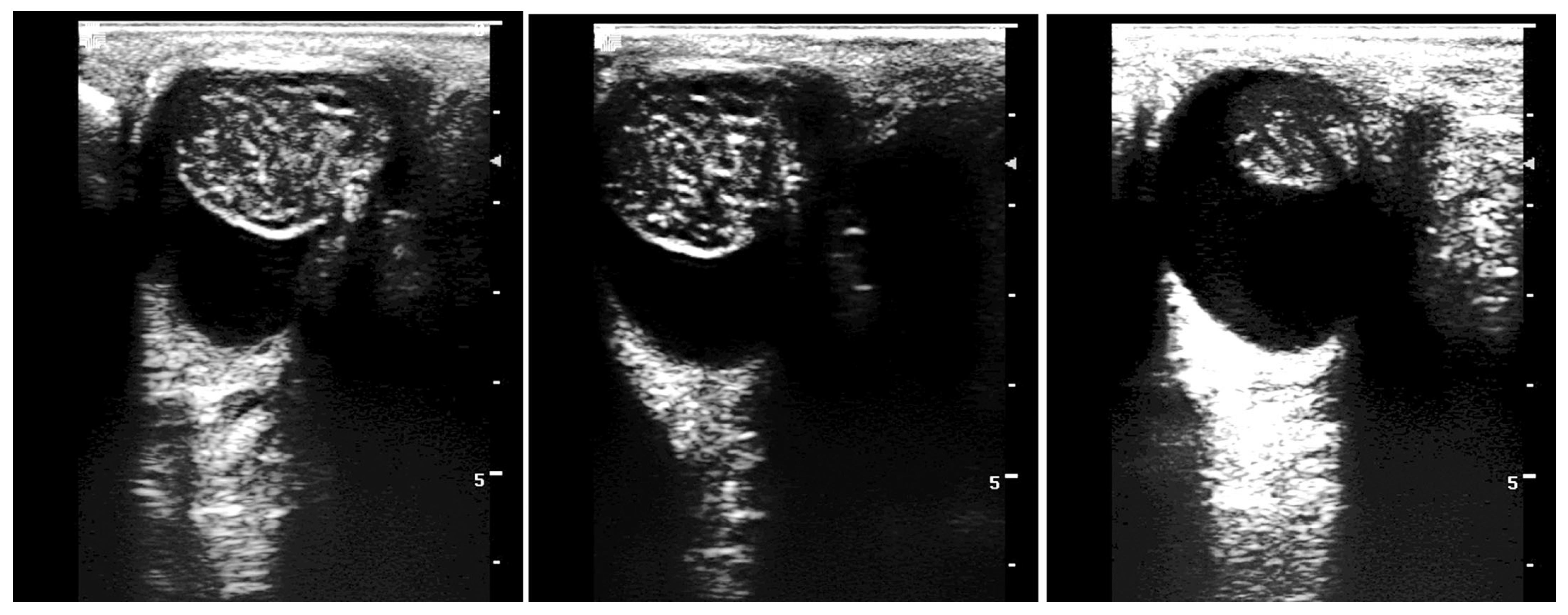
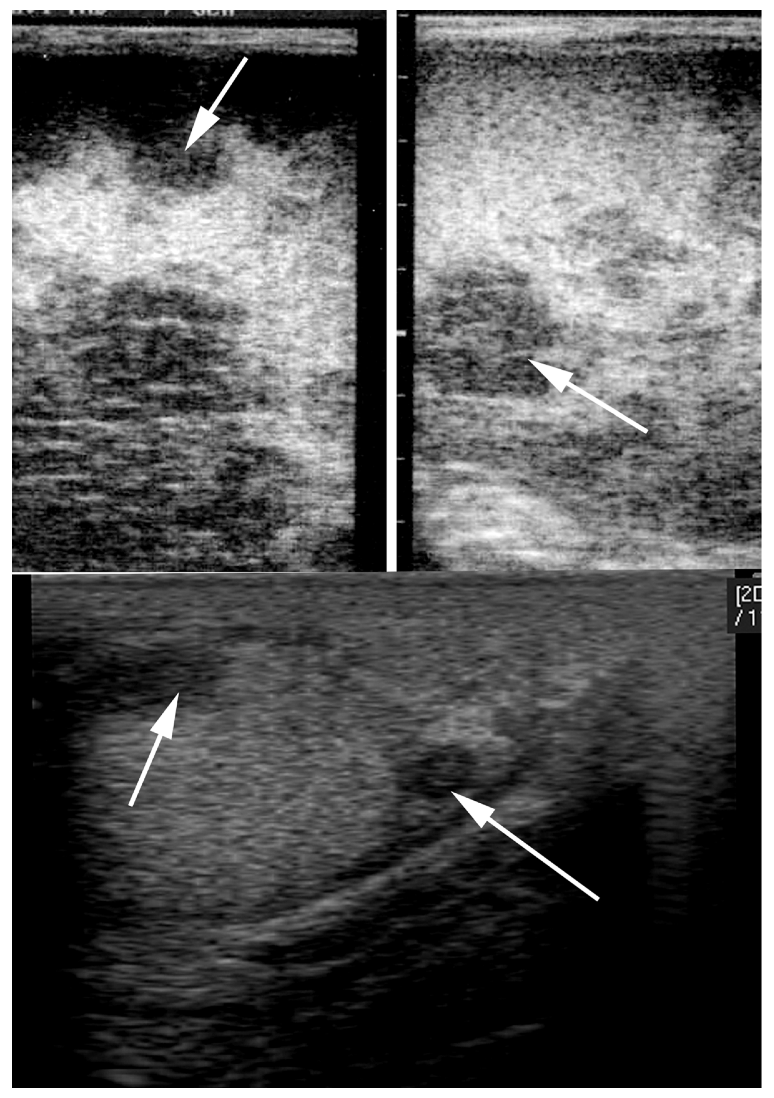
2.3. B-Mode Ultrasonography
2.4. Doppler Ultrasonography
2.5. Fine-Needle Aspiration
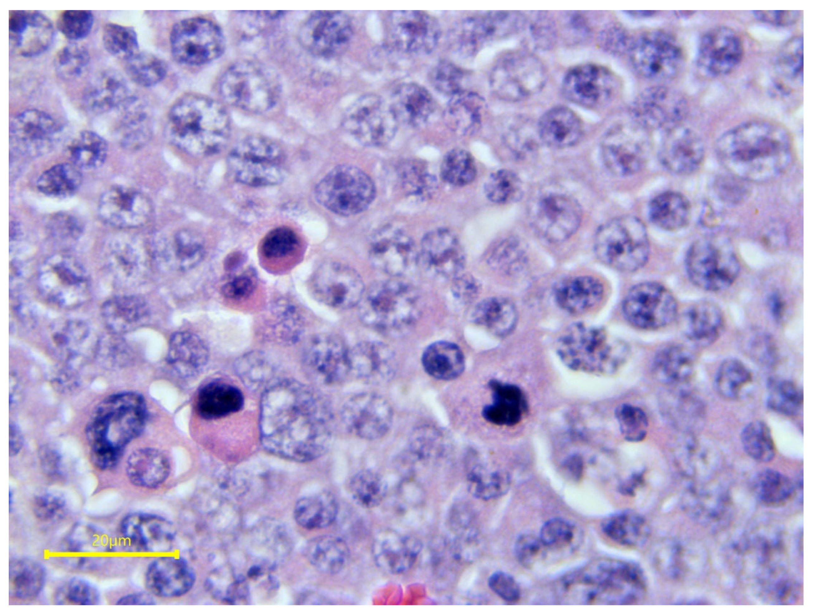
2.6. Testicular Biopsy
2.7. Semen Collection and Evaluation
2.8. Endocrinological Testing
2.9. Thermography
3. Congenital Abnormalities of the Testis
3.1. Monorchidism
3.2. Testicular Hypoplasia
3.3. Congenital Inguinal/Scrotal Hernia
3.4. Cryptorchidism
3.5. Other Congenital Abnormalities of the Testis and Epididymis
4. Differential Diagnosis of Acute Scrotal Enlargement
4.1. Scrotal and Testicular Trauma
4.2. Acquired Scrotal/Inguinal Hernia
4.3. Torsion of the Spermatic Cord
4.4. Orchitis and Epididymitis
5. Differential Diagnosis of Progressive Scrotal Enlargement
5.1. Hydrocele
5.2. Pyocele
5.3. Varicocele
5.4. Scrotal and Testicular Tumors
6. Asymmetric Testis/Testicular Degeneration
7. Conclusions
Author Contributions
Funding
Institutional Review Board Statement
Informed Consent Statement
Data Availability Statement
Conflicts of Interest
References
- Jlassi, M.; Jemmali, B.; Ouzari, H.I.; Lasfer, F.; Aoun, B.B.; Ben Gara, A. Reproductive Performance of Tunisian Arabian Stallions: A Study on the Variance and Estimation of Heritability. Animals 2023, 13, 991. [Google Scholar] [CrossRef]
- Lane, E.A.; Bijnen, M.L.J.; Osborne, M.; More, S.J.; Henderson, I.S.F.; Duffy, P.; Crowe, M.A. Key Factors Affecting Reproductive Success of Thoroughbred Mares and Stallions on a Commercial Stud Farm. Reprod. Domest. Anim. 2016, 51, 181–187. [Google Scholar] [CrossRef] [PubMed]
- Morris, L.H.A.; Allen, W.R. Reproductive Efficiency of Intensively Managed Thoroughbred Mares in Newmarket. Equine Vet. J. 2002, 34, 51–60. [Google Scholar] [CrossRef]
- Nath, L.C.; Anderson, G.A.; McKinnon, A.O. Reproductive Efficiency of Thoroughbred and Standardbred Horses in North-East Victoria. Aust. Vet. J. 2010, 88, 169–175. [Google Scholar] [CrossRef] [PubMed]
- Hernández-Avilés, C.; Love, C. Prebreeding Season/Prepurchase Examination of the Stallion: Testicular Ultrasonography, Semen Evaluation, and Considerations. Clin. Theriogenol. 2021, 13, 289–298. [Google Scholar]
- Janson Whitesell, K.M.; McDonnell, S.M.; Turner, R.M. Modernizing the Stallion Breeding Soundness Evaluation. J. Equine Vet. Sci. 2014, 34, 50–51. [Google Scholar] [CrossRef]
- Hurtgen, J.P. Evaluation of the Stallion for Breeding Soundness. Vet. Clin. N. Am. Equine Pract. 1992, 8, 149–165. [Google Scholar] [CrossRef]
- Otzdorff, C.; Beckmann, J.; Goehring, L.S. Equine Arteritis Virus (EAV) Outbreak in a Show Stallion Population. Viruses 2021, 13, 2142. [Google Scholar] [CrossRef]
- Gizaw, Y.; Megersa, M.; Fayera, T. Dourine: A Neglected Disease of Equids. Trop. Anim. Health Prod. 2017, 49, 887–897. [Google Scholar] [CrossRef]
- Love, C.C.; Garcia, M.C.; Riera, F.R.; Kenney, R.M. Evaluation of Measures Taken by Ultrasonography and Caliper to Estimate Testicular Volume and Predict Daily Sperm Output in the Stallion. J. Reprod. Fertil. Suppl. 1991, 44, 99–105. [Google Scholar]
- Pricking, S.; Bollwein, H.; Spilker, K.; Martinsson, G.; Schweizer, A.; Thomas, S.; Oldenhof, H.; Sieme, H. Testicular Volumetry and Prediction of Daily Sperm Output in Stallions by Orchidometry and Two- and Three-Dimensional Sonography. Theriogenology 2017, 104, 149–155. [Google Scholar] [CrossRef] [PubMed]
- Morresey, P.R. The Enlarged Scrotum. Clin. Tech. Equine Pract. 2007, 6, 265–270. [Google Scholar] [CrossRef]
- Ortega-Ferrusola, C.; Gómez-Arrones, V.; Martín-Cano, F.E.; Gil, M.C.; Peña, F.J.; Gaitskell-Phillips, G.; Da Silva-Álvarez, E. Advances in the Ultrasound Diagnosis in Equine Reproductive Medicine: New Approaches. Reprod. Domest. Anim. 2022, 57 (Suppl. S5), 34–44. [Google Scholar] [CrossRef] [PubMed]
- Ginther, O.J.; Utt, M.D. Doppler Ultrasound in Equine Reproduction: Principles, Techniques, and Potential. J. Equine Vet. Sci. 2004, 24, 516–526. [Google Scholar] [CrossRef]
- Pozor, M.; Freeman, D.; Troedsson, M.; Brown, M.; Morton, A.; Smith, A.; McNaughten, J. Anatomical Variations in Epididymal-Testicular Fusion in Stallions and Their Possible Clinical Significance. Equine Vet. J. 2016, 48, 490–495. [Google Scholar] [CrossRef] [PubMed]
- Gonzalez, M.; Tibary, A.; Sellon, D.C.; Daniels, J. Unilateral Orchitis and Epididymitis Caused by Corynebacterium Pseudotuberculosis in a Stallion. Equine Vet. Educ. 2008, 20, 30–36. [Google Scholar] [CrossRef]
- Góss, G.C.; Azevedo, M.S.; Duarte, C.A.; Mozzaquatro, F.D.; Pradella, G.D.; Taschetto, P.M.; Heckler, G.F.; Severo, E.S. Omentum as Non-Strangled Inguino Scrotal Hernia Content in Stallion: Case Report. Arq. Bras. Med. Vet. E Zootec. 2021, 73, 423–430. [Google Scholar] [CrossRef]
- Giangaspero, B.A.; Bucci, R.; Del Signore, F.; Vignoli, M.; Hattab, J.; Quaglione, G.R.; Petrizzi, L.; Carluccio, A. Ultrasound Examination of Unilateral Seminoma in a Salernitano Stallion. Animals 2022, 12, 936. [Google Scholar] [CrossRef] [PubMed]
- Pozor, M.; Morrissey, H.; Albanese, V.; Khouzam, N.; Deriberprey, A.; Macpherson, M.L.; Kelleman, A.A. Relationship between Echotextural and Histomorphometric Characteristics of Stallion Testes. Theriogenology 2017, 99, 134–145. [Google Scholar] [CrossRef]
- Arteaga, A.A.; Barth, A.D.; Brito, L.F. Relationship between Semen Quality and Pixel-Intensity of Testicular Ultrasonograms after Scrotal Insulation in Beef Bulls. Theriogenology 2005, 64, 408–415. [Google Scholar] [CrossRef]
- Pozor, M.A.; McDonnell, S.M. Color Doppler Ultrasound Evaluation of Testicular Blood Flow in Stallions. Theriogenology 2004, 61, 799–810. [Google Scholar] [CrossRef] [PubMed]
- Claes, A.N.J.; Stout, T.A.E. The Diagnostic Challenge of Scrotal Enlargement in the Stallion. Equine Vet. Educ. 2015, 27, 116–118. [Google Scholar] [CrossRef]
- Rohländer, M.; Otzen, H.; Rode, K.; Jung, K.; Schmicke, M.; Harborth, T.; Langeheine, M.; Brehm, R.; Bajcsy, Á.C. Histological Comparison of Testicular Needle Biopsy and En Bloc Samples in Abattoir Calves. Animals 2020, 10, 918. [Google Scholar] [CrossRef] [PubMed]
- Leme, D.P.; Papa, F.O. Cytological Identification and Quantification of Testicular Cell Types Using Fine Needle Aspiration in Horses. Equine Vet. J. 2000, 32, 444–446. [Google Scholar] [CrossRef] [PubMed]
- Melo, C.M.; Papa, F.O.; Prestes, N.C.; Alvarenga, M.A.; Laufer-Amorim, R. Bilateral Leydig Cell Tumor in Stallion. J. Equine Vet. Sci. 2007, 27, 450–453. [Google Scholar] [CrossRef]
- Leme, D.P.; Papa, F.O. How to Perform and Interpret Testicular Fine Needle Aspiration in Stallions. J. Equine Vet. Sci. 2010, 30, 590–596. [Google Scholar] [CrossRef]
- Rode, K.; Sieme, H.; Otzen, H.; Schwennen, C.; Lüpke, M.; Richterich, P.; Schrimpf, R.; Distl, O.; Brehm, R. Effects of Repeated Testicular Biopsies in Adult Warmblood Stallions and Their Diagnostic Potential. J. Equine Vet. Sci. 2016, 38, 33–47. [Google Scholar] [CrossRef]
- Pearson, K.L.; Rodriguez, J.S.; Tibary, A. How to Obtain a Stallion Testicular Biopsy Using a Spring-Loaded Split-Needle Biopsy Instrument. AAEP Proc. 2011, 57, 219–225. [Google Scholar]
- Pozor, M.A.; Zambrano, G.L.; Runcan, E.E.; Kelleman, A.A.; Macpherson, M.L. Ultrasonographic and Morphological Sequelae to Repeated Testicular Biopsies in Stallions in Relation to the Lateral Branching of the Testicular Artery. Equine Vet. Educ. 2016, 28, 696–704. [Google Scholar] [CrossRef]
- Bedford-Guaus, S.J.; McPartlin, L.A.; Varner, D.D. Characterization of Equine Phospholipase C Zeta: A Review and Preliminary Results on Expression Defects in Subfertile Stallions. J. Equine Vet. Sci. 2012, 32, 445–450. [Google Scholar] [CrossRef]
- Raudsepp, T.; McCue, M.E.; Das, P.J.; Dobson, L.; Vishnoi, M.; Fritz, K.L.; Schaefer, R.; Rendahl, A.K.; Derr, J.N.; Love, C.C.; et al. Genome-Wide Association Study Implicates Testis-Sperm Specific FKBP6 as a Susceptibility Locus for Impaired Acrosome Reaction in Stallions. PLoS Genet. 2012, 8, e1003139. [Google Scholar] [CrossRef] [PubMed]
- Faber, N.F.; Roser, J.F. Testicular Biopsy in Stallions: Diagnostic Potential and Effects on Prospective Fertility. J. Reprod. Fertil. Suppl. 2000, 56, 31–42. [Google Scholar]
- Veeramachaneni, D.N.; Moeller, C.L.; Sawyer, H.R. Sperm Morphology in Stallions: Ultrastructure as a Functional and Diagnostic Tool. Vet. Clin. N. Am. Equine Pract. 2006, 22, 683–692. [Google Scholar] [CrossRef] [PubMed]
- Swerczek, T.W. Immature Germ Cells in the Semen of Thoroughbred Stallions. J. Reprod. Fertil. Suppl. 1975, 23, 135–137. [Google Scholar]
- Turner, R.M. Declining Testicular Function in the Aging Stallion: Management Options and Future Therapies. Anim. Reprod. Sci. 2019, 207, 171–179. [Google Scholar] [CrossRef] [PubMed]
- Blanchard, T.L.; Johnson, L.; Roser, A.J. Increased Germ Cell Loss Rates and Poor Semen Quality in Stallions with Idiopathic Testicular Degeneration. J. Equine Vet. Sci. 2000, 20, 263–265. [Google Scholar] [CrossRef]
- Roser, J.F. Endocrine Profiles in Fertile, Subfertile, and Infertile Stallions: Testicular Response to Human Chorionic Gonadotropin in Infertile Stallions1. Biol. Reprod. 2018, 52, 661–669. [Google Scholar] [CrossRef]
- Blanchard, T.L.; Jorgensen, J.B.; Varner, D.D.; Forrest, D.W.; Evans, J.W. Clinical Observations on Changes in Concentrations of Hormones in Plasma of Two Stallions with Thermally-Induced Testicular Degeneration. J. Equine Vet. Sci. 1996, 16, 195–201. [Google Scholar] [CrossRef]
- Lloyd-Jones, J.L.; Purohit, R.C.; Boyle, M.; Shepherd, C. Use of Thermography for Functional Evaluation of Stallion Scrotum and Testes. J. Equine Vet. Sci. 2015, 35, 488–494. [Google Scholar] [CrossRef]
- Freitas, M.L.; Viana, J.H.M.; Dode, M.A.N.; Braga, T.R.C.; de Oliveira, R.A. Use of Thermography in the Long-Term Evaluation of Scrotal Surface Temperature and Its Impact on Seminal Quality in Stallions. Reprod. Domest. Anim. 2024, 59, e14556. [Google Scholar] [CrossRef]
- Murase, H.; Ochi, A.; Tozaki, T.; Kakoi, H.; Munkhtuul, T.; Kurimoto, S.; Sato, F.; Hada, T. A Case of Equine Cryptorchidism with Undetectable Serum Anti-Müllerian Hormone. J. Vet. Med. Sci. 2020, 82, 209–211. [Google Scholar] [CrossRef] [PubMed]
- Gardner, A.K.; Santschi, E.M.; Aeffner, F.; Pigott, J.H.; Russell, D.S. Testicular Ischaemic Necrosis as a Cause of Equine Cryptorchidism. Equine Vet. Educ. 2017, 29, 314–317. [Google Scholar] [CrossRef]
- Clements, P.E.; Coomer, R.P.C.; McKane, S.A.; Gorvy, D.; Bladon, B.; Mair, T. Clinical Findings in 10 Horses Diagnosed with Monorchidism Following Exploratory Laparotomy or Standing Laparoscopic Surgery. Equine Vet. Educ. 2020, 32, 431–436. [Google Scholar] [CrossRef]
- Petrizzi, L.; Varasano, V.; Robbe, D.; Valbonetti, L. Monorchidism in an Appaloosa Stallion. Vet. Rec. 2004, 155, 424–425. [Google Scholar] [CrossRef] [PubMed]
- de Magalhaes, J.F.; Costa, G.M.J.; de Oliveira, C.A.; Corrêa, M.G.; Rocha, S.D.; Beier, S.L.; Mendes, H.M.F.; Alves, G.E.S.; Faleiros, R.R. Monorchidism in a four-beat gaited horse. Cienc. Rural. 2015, 45, 1058–1061. [Google Scholar] [CrossRef]
- Smith, L.J.; Perkins, J.D. Laparoscopic-Assisted Castration of a Monorchid Male Pseudohermaphrodite Pony. Equine Vet. Educ. 2009, 21, 295–299. [Google Scholar] [CrossRef]
- Middlebrooks, B.; McCue, P.; Nelson, B.; May, E.; Divine, C.; Barton, C.; Conley, A. Monorchidism in a Phenotypic Mare with a 64,XY, SRY-Positive Karyotype. J. Equine Vet. Sci. 2023, 126, 104232. [Google Scholar] [CrossRef] [PubMed]
- Mäkinen, A.; Katila, T.; Andersson, M.; Gustavsson, I. Two Sterile Stallions with XXY-Syndrome. Equine Vet. J. 2000, 32, 358–360. [Google Scholar] [CrossRef]
- Ruiz, A.J.; Castaneda, C.; Raudsepp, T.; Tibary, A. Azoospermia and Y Chromosome-Autosome Translocation in a Friesian Stallion. J. Equine Vet. Sci. 2019, 82, 102781. [Google Scholar] [CrossRef]
- Mariën, T.; van Hoeck, F.; Adriaenssen, A.; Segers, L. Laparoscopic Testis-Sparing Herniorrhaphy: A New Approach for Congenital Inguinal Hernia Repair in the Foal. Equine Vet. Educ. 2001, 13, 32–35. [Google Scholar] [CrossRef]
- Schumacher, J. Testis. In Equine Surgery, 5th ed.; Auer, J., Stick, J.A., Kümmerle, J.M., Prange, T., Eds.; Elsevier: St. Louis, MI, USA, 2018; pp. 994–1034. [Google Scholar]
- Gracia-Calvo, L.A.; Ortega, C.; Ezquerra, J. Laparoscopic Closure of the Inguinal Rings in Horses: Literature Review. J. Equine Vet. Sci. 2014, 34, 1149–1155. [Google Scholar] [CrossRef]
- Spurlock, G.H.; Robertson, J.T. Congenital Inguinal-Hernias Associated with a Rent in the Common Vaginal Tunic in 5 Foals. J. Am. Vet. Med. Assoc. 1988, 193, 1087–1088. [Google Scholar] [PubMed]
- van der Velden, M.A. Ruptured Inguinal Hernia in New-Born Colt Foals: A Review of 14 Cases. Equine Vet. J. 1988, 20, 178–181. [Google Scholar] [CrossRef]
- Caron, J.P. Inguinal Herniorraphy in the Foal. In Advances in Equine Laparoscopy, 1st ed.; Claude Ragle © John Wiley Sons Inc.: Hoboken, NJ, USA, 2012. [Google Scholar]
- Ragle, C.A.; Yiannikouris, S.; Tibary, A.A.; Fransson, B.A. Use of a Barbed Suture for Laparoscopic Closure of the Internal Inguinal Rings in a Horse. J. Am. Vet. Med. Assoc. 2013, 242, 249–253. [Google Scholar] [CrossRef] [PubMed]
- Maurer, T.; McEntee, T.M.; O’Brien, T.; Coleridge, M.; Brünisholz, H.P.; Petruccione, I.; Koch, C. Minimally Invasive Repair of Congenital Inguinal Hernias in Nine Foals Using an Automated Laparoscopic Suturing Device and Barbed Suture. Equine Vet. Educ. 2023, 36, 296–306. [Google Scholar] [CrossRef]
- Arroyo, E.; Tibary, A. Cryptorchidism in Stallions. Clin. Theriogenology 2023, 15, 31–51. [Google Scholar] [CrossRef]
- Amann, R.P.; Veeramachaneni, D.N. Cryptorchidism in Common Eutherian Mammals. Reproduction 2007, 133, 541–561. [Google Scholar] [CrossRef] [PubMed]
- Eriksson, S.; Jäderkvist, K.; Dalin, A.-M.; Axelsson, J.; Lindgren, G. Prevalence and Genetic Parameters for Cryptorchidism in Swedish-Born Icelandic Horses. Livest. Sci. 2015, 180, 1–5. [Google Scholar] [CrossRef]
- Schurink, A.; de Jong, A.; de Nooij, H.R.; Hellinga, I.; Ducro, B.J. Genetic Parameters of Cryptorchidism and Testis Size in Friesian Colts. Livest. Sci. 2016, 190, 136–140. [Google Scholar] [CrossRef]
- Cox, J.E.; Edwards, G.B.; Neal, P.A. An Analysis of 500 Cases of Equine Cryptorchidism. Equine Vet. J. 1979, 11, 113–116. [Google Scholar] [CrossRef]
- Peeters, C.M.P.; Sterk, T.; Grinwis, G.; Giglia, G.; Rijkenhuizen, A.B.M. Colic Signs Caused by an Unilateral Abdominal Seminoma in a Friesian Stallion. Equine Vet. Educ. 2024, 1–9. [Google Scholar] [CrossRef]
- Smith, R.A.; Pearson, L.K.; Wise, L.N.; Tibary, A. Colic Associated with Bilateral Seminoma in a Cryptorchid American Miniature Horse Stallion. Clin. Theriogenol. 2011, 3, 691. [Google Scholar]
- Claes, A.; Ball, B.A.; Corbin, C.J.; Conley, A.J. Anti-Müllerian Hormone as a Diagnostic Marker for Equine Cryptorchidism in Three Cases with Equivocal Testosterone Concentrations. J. Equine Vet. Sci. 2014, 34, 442–445. [Google Scholar] [CrossRef]
- Pozor, M. Application of Various Techniques in Localizing Retained Testes in Horses Before Cryptorchidectomy. J. Equine Vet. Sci. 2016, 43, S45–S48. [Google Scholar] [CrossRef]
- Schambourg, M.A.; Farley, J.A.; Marcoux, M.; Laverty, S. Use of Transabdominal Ultrasonography to Determine the Location of Cryptorchid Testes in the Horse. Equine Vet. J. 2006, 38, 242–245. [Google Scholar] [CrossRef] [PubMed]
- Coomer, R.P.C.; Gorvy, D.A.; McKane, S.A.; Wilderjans, H. Inguinal Percutaneous Ultrasound to Locate Cryptorchid Testes. Equine Vet. Educ. 2016, 28, 150–154. [Google Scholar] [CrossRef]
- Tibary, A.; Ragle, C.A. Approach to Diagnosis of Cryptorchidim in the Stallion. In Proceedings of the Conference of the Moroccan Association of Equine Practictioners, Rabat, Morocco, 2017; Volume 1, pp. 1–17. [Google Scholar]
- Pozor, M.A.; Macpherson, M.L.; Kelleman, A.A. How to Determine Location of Cryptorchid Testes in Stallions, Using Ultrasonography; American Association of Equine Practitioners (AAEP): Lexington, KY, USA, 2018; pp. 230–235. [Google Scholar]
- Barrett, E.J.; Hanson, R.R. Cystic Rete Testis in a 3-Year-Old Gypsy Vanner Colt: A Case Report. J. Equine Vet. Sci. 2013, 33, 127–129. [Google Scholar] [CrossRef]
- Schumacher, J.; Lenz, S.D.; Walker, W. Cystic Rete Testis Associated with Cryptorchidism in a Horse. Vet. Pathol. 1994, 31, 115–117. [Google Scholar] [CrossRef] [PubMed]
- Hay, W.P.; Baskett, A.; Gregory, C.R. Testicular Interstitial Cell Tumour and Aplasia of the Head of the Epididymis in a Cryptorchid Stallion. Equine Vet. Educ. 1997, 9, 240–241. [Google Scholar] [CrossRef]
- Estrada, A.; Samper, J.C.; Lillich, J.D.; Rathi, R.R.; Brault, L.S.; Albrecht, B.B.; Imel, M.M.; Senne, E.M. Azoospermia Associated with Bilateral Segmental Aplasia of the Ductus Deferens in a Stallion. J. Am. Vet. Med. Assoc. 2003, 222, 1740–1743. [Google Scholar] [CrossRef]
- Love, C.C. Diagnosis of Scrotal Enlargement in the Stallion. Equine Vet. Educ. 2007, 19, 245–246. [Google Scholar] [CrossRef]
- Tibary, A.; Chabchoub, A.; Sghiri, A. Diagnostic Procedures for an Increase in Volume of the Scrotal Bursa in Stallions. Le Nouv. Prat. Vétérinaire–Équine 2007, 14, 21–27. [Google Scholar]
- Sprayberry, K.A.; Lu, K.G. Managing Reproduction Emergencies in the Field: Part 1: Injuries in Stallions; Injury of the External Portion of the Reproductive Tract and Gestational Conditions in the Mare. Vet. Clin. N. Am. Equine Pract. 2021, 37, 339–366. [Google Scholar] [CrossRef] [PubMed]
- da Silva Bonacin, Y.; dos Santos Sousa, S.; Canola, P.A.; da Graça Macoris, D.; Bueno, G.M.; de Queiroz, D.J.; Marques, J.A. Haemoperitoneum Secondary to Testicular Rupture Caused by Blunt Trauma in a Stallion. Equine Vet. Educ. 2020, 32, e245–e248. [Google Scholar] [CrossRef]
- Turner, R.M. Ultrasonography of the Genital Tract of the Stallion. Equine Diagn. Ultrasound 1998, 1, 446–454. [Google Scholar]
- Ruiz, A.J. Common Reproductive Emergencies in Breeding Stallions. Aust. Equine Vet. 2021, 41, 43. [Google Scholar]
- Burns, J.J.; MacMillan, K.; Uehlinger, F.D.; Riley, C.B. Concurrent Nephrosplenic Entrapment and Acquired Inguinal Herniation of the Jejunum in a Standardbred Stallion. Can. Vet. J. 2011, 52, 295–296. [Google Scholar]
- Bergstrom, T.C.; Kilcoyne, I.; Nogues, M.P.; Villanueva, E.S.; Dini, P. Unilateral Testicular Enlargement in a 5-Year-Old Arabian Stallion. J. Am. Vet. Med. Assoc. 2023, 261, 1067–1069. [Google Scholar] [CrossRef] [PubMed]
- Ball, B.A. Diagnostic Methods for Evaluation of Stallion Subfertility: A Review. J. Equine Vet. Sci. 2008, 28, 650–665. [Google Scholar] [CrossRef]
- Chenier, T.S.; Estrada, A.T.; Koenig, J.B. Theriogenology Question of the Month. J. Am. Vet. Med. Assoc. 2007, 230, 1469–1472. [Google Scholar] [CrossRef]
- Alves, G.E.S.; Santos, R.L.; Henry, M.; Ribeiro, A.G.; Rothschild, C.M. Acquired Bilateral Inguinal Hernia in a Stallion. Equine Vet. Educ. 2000, 12, 256–259. [Google Scholar] [CrossRef]
- Marzok, M.A.; Almubarak, A.I.; Kandeel, M.; Badawy, A.A. Acquired Indirect Unilateral Chronic Reducible Scrotal Hernia in an Arabian Stallion. Thai J. Vet. Med. 2022, 52, 621–626. [Google Scholar] [CrossRef]
- Cousty, M.; Tricaud, C.; Picandet, V.; Geffroy, O. Inguinal Rupture with Herniation of the Urinary Bladder through the Scrotal Fascia in a Shetland Pony Foal. Equine Vet. Educ. 2010, 22, 3–6. [Google Scholar] [CrossRef]
- Mendoza, F.J.; Perez-Ecija, A.; Estepa, J.C. Inguinal-Scrotal Herniation and Torsion of the Large Colon in an Adult Andalusian Stallion: A Case Report. Vet. Med. 2010, 55, 281–284. [Google Scholar] [CrossRef]
- Perkins, A.; Fitzgerald, J.A. The Behavioral Component of the Ram Effect: The Influence of Ram Sexual Behavior on the Induction of Estrus in Anovulatory Ewes. J. Anim. Sci. 1994, 72, 51–55. [Google Scholar] [CrossRef] [PubMed]
- Southwood, L.L. Early Assessment and Management of the Emergency Case. In Proceedings of the 32nd Bain Fellon Memorial Lecture, Lovedal, NSW, Australia, 12–16 July 2010. [Google Scholar]
- François, I.; Lepage, O.M.; Schramme, M.C.; Salciccia, A.; Detilleux, J.; Grulke, S. Clinical Findings, Surgical Techniques, Prognostic Factors for Short-Term Survival and Long-Term Outcome in Horses with Acquired Inguinal Hernias: Ninety-Eight Cases (2005–2020). Vet. Surg. 2024, 53, 468–476. [Google Scholar] [CrossRef] [PubMed]
- Mezerová, J.; Žert, Z.; Kabeš, R.; Jahn, P. Hernia Inguinalis Incarcerata in Horses: 43 Cases. Pferdeheilkunde 2003, 19, 263–268. [Google Scholar] [CrossRef]
- Raisi, A.; Davoodi, F. Testicular Torsions in Veterinary Medicine. Vet. Res. Commun. 2022, 46, 303–313. [Google Scholar] [CrossRef] [PubMed]
- Ruiz, A.; Ciccarelli, M.; Tibary, A. Ejaculate Quality Evaluation and Freezing Ability in a Hemi-Castrated Stallion Following Spermatic Cord Torsion. Clin. Theriogenol. 2017, 9, 479. [Google Scholar]
- De Bock, M.; Govaere, J.; Martens, A.; De Schauwer, C.; Van Damme, K.; de Kruif, A. Torsion of the Spermatic Cord in a Warmblood Stallion. Vlaams Diergeneeskd. Tijdschr. 2007, 76, 443–446. [Google Scholar] [CrossRef]
- Silva, D.F.; Barbosa, D.P.; de Paula Rodrigues, J.; Miranda, T.G.R.; Vilela, V.M.T.; Ignácio, F.S.; Monteiro, G.A. Hemodynamic Evaluation of the Testicular Artery in Stallions with Spermatic Cord Torsion. J. Equine Vet. Sci. 2023, 125, 104617. [Google Scholar] [CrossRef]
- Threlfall, W.R.; Carleton, C.L.; Robertson, J.; Rosol, T.; Gabel, A. Recurrent Torsion of the Spermatic Cord and Scrotal Testis in a Stallion. J. Am. Vet. Med. Assoc. 1990, 196, 1641–1643. [Google Scholar] [CrossRef] [PubMed]
- Wilson, K.E.; Dascanio, J.J.; Duncan, R.; Delling, U.; Ladd, S.M. Orchitis, Epididymitis and Pampiniform Phlebitis in a Stallion. Equine Vet. Educ. 2007, 19, 239–243. [Google Scholar] [CrossRef]
- Pozor, M.A.; Garncarz, M. Bilateral Epididymal Nodules in a Stallion. Equine Vet. Educ. 2006, 18, 63–66. [Google Scholar] [CrossRef]
- Marino, G.; Quartuccio, M.; Cristarella, S.; Nicòtina, P.A.; Zanghì, A. Adenoma of the Uterine Tube in the Bitch: Two Case Reports. Vet. Res. Commun. 2007, 31, 173–175. [Google Scholar] [CrossRef] [PubMed]
- Santos, F.d.; Nogueira, C.E.W.; de Cavalcanti, G.; Corcini, C.D.; Varela Junior, A.S.; Curcio, B. da R. Hematoma in the Spermatic Cord in Association with Orchitis in a Crioulo Stallion. Acta Sci. Vet. 2015, 43, 85. [Google Scholar]
- Raayat Jahromi, A.; Salaran, M.; Parizi, A.; Mogheiseh, A. Bilateral Traumatic Orchitis with Unilateral Inguinal Hernia in a Stallion. Online J. Vet. Res. 2015, 19, 813–816. [Google Scholar]
- Mohammad, T.J.; Sawa, M.I.; Yousif, Y.A. Orchitis in Arab Stallion Due to Pseudomonas Mallei. Indian J. Vet. Med. 1989, 9, 15–17. [Google Scholar]
- Marino, G.; Zanghi, A.; Quartuccio, M.; Cristarella, S.; Giuseppe, M.; Catone, G. Equine Testicular Lesions Related to Invasion by Nematodes. J. Equine Vet. Sci. 2009, 29, 728–733. [Google Scholar] [CrossRef]
- Held, J.P.; McCracken, M.D.; Toal, R.; Latimer, F. Epididymal Swelling Attributable to Generalized Lymphosarcoma in a Stallion. J. Am. Vet. Med. Assoc. 1992, 201, 1913–1915. [Google Scholar] [CrossRef]
- Kinsley, M.A.; Doran, R.E.; Poulin Braim, A.E. Unilateral Periorchitis with a Secondary Peritonitis in a Standardbred Stallion. Equine Vet. Educ. 2010, 22, 489–492. [Google Scholar] [CrossRef]
- De Amicis, I.; Bucci, R.; Giangaspero, B.A.; D’Alterio, N.; Trachtman, A.R.; Robbe, D. Monolateral Chronicon Orchitis in a Stallion. Vet. Ital. 2020, 56, 133–135. [Google Scholar] [CrossRef]
- Brinsko, S.P.; Varner, D.D.; Blanchard, T.L.; Relford, R.L.; Johnson, L. Bilateral Infectious Epididymitis in a Stallion. Equine Vet. J. 1992, 24, 325–328. [Google Scholar] [CrossRef] [PubMed]
- Traub-Dargatz, J.L.; Trotter, G.W.; Kaser-Hotz, B.; Bennett, D.G.; Kiper, M.L.; Veeramachaneni, D.N.R.; Squires, E. Ultrasonographic Detection of Chronic Epididymitis in a Stallion. J. Am. Vet. Med. Assoc. 1991, 198, 1417–1420. [Google Scholar] [CrossRef]
- Ortega-Ferrusola, C.; Gracia-Calvo, L.; Ezquerra, J.; Pena, F. Use of Colour and Spectral Doppler Ultrasonography in Stallion Andrology. Reprod. Domest. Anim. 2014, 49, 88–96. [Google Scholar] [CrossRef] [PubMed]
- Karmazyn, B.; Steinberg, R.; Livne, P.; Kornreich, L.; Grozovski, S.; Schwarz, M.; Ziv, N.; Freud, E. Duplex Sonographic Findings in Children with Torsion of the Testicular Appendages: Overlap with Epididymitis and Epididymoorchitis. J. Pediatr. Surg. 2006, 41, 500–504. [Google Scholar] [CrossRef]
- Brinkerhoff, J.M.; Hayden, S.; Love, C.C. Recovery of a Stallion with a Chronic Scrotal Hydro/Pyocele and Azoospermia. Clin. Theriogenol. 2010, 2, 371. [Google Scholar]
- Saahithya, R.; Pazhanivel, N.; Karthi, A.; Rao, G.V.; Balachandran, C.; Jayanthi, N. Suppurative Orchitis Leading to Fatal Peritonitis in a Kathiawari Horse-A Case Report. Ind. J. Vet. Path. 2019, 43, 52–55. [Google Scholar] [CrossRef]
- Kalpana, R.; Krishnamoorthy, S. Varicocele and Male Infertility: Historical, Anatomical and Urological Perspectives—A Mini Review. Biomedicine 2021, 41, 333–336. [Google Scholar] [CrossRef]
- Nanayakkara, S.D.I.; Gihan, M.C.; Nanayakkara, P.S.K. A Review of Scrotal Temperature Regulation and Its Importance for Male Fertility. Sri Lanka J. Obstet. Gynaecol. 2021, 43, 308–313. [Google Scholar] [CrossRef]
- Wang, K.; Gao, Y.; Wang, C.; Liang, M.; Liao, Y.; Hu, K. Role of Oxidative Stress in Varicocele. Front. Genet. 2022, 13, 850114. [Google Scholar] [CrossRef]
- White, J.; Cartaya, S.; Black, K.; Ledesma, B.; Arbelaez, M.C.S.; Muthigi, A.; Ramasamy, R. Are Varicoceles the Holy Grail of Andrology? Int. J. Impot. Res. 2023, 36, 177–180. [Google Scholar] [CrossRef]
- Love, C. Ultrasonography of the Testes. In Atlas of Equine Ultrasonography; John Wiley & Sons, Ltd.: Hoboken, NJ, USA, 2022; pp. 310–319. ISBN 978-1-119-51467-1. [Google Scholar]
- Pozor, M.A. Evaluation of Testicular Vasculature in Stallions. Clin. Tech. Equine Pract. 2007, 6, 271–277. [Google Scholar] [CrossRef]
- Roxon, C.; Slack, J.; Bender, S.; Burns, H.; Turner, R. Multiple Sex Cord-Stromal Tumors in a Standardbred Stallion Testis. J. Equine Vet. Sci. 2023, 123, 104246. [Google Scholar] [CrossRef]
- Govaere, J.; Ducatelle, R.; Hoogewijs, M.; De Schauwer, C.; De Kruif, A. Case of Bilateral Seminoma in a Trotter Stallion. Reprod. Domest. Anim. 2010, 45, 537–539. [Google Scholar] [CrossRef]
- Farjanikish, G.; Sayari, M.; Raisi, A.; Shirian, S. Diffuse Type Testicular Seminoma in a Stallion. Comp. Clin. Pathol. 2016, 25, 1133–1136. [Google Scholar] [CrossRef]
- Manno, S.; Cicione, A.; Bagalà, L.; Catricalà, A.; Ronchi, P.; Tiburzi, S.; Giannace, C.; Dell’Atti, L. Scrotal Trauma: Interest of Preoperative Ultrasound in the Prediction of the Rupture of the Tunica Albuginea. Med. Glas. Zenica 2021, 18, 128–132. [Google Scholar] [CrossRef] [PubMed]
- Müller, B.; Geyer, C. Seminoma of a Stallion. Pferdeheilkunde 2004, 20, 128–130. [Google Scholar] [CrossRef]
- Beck, C.; Charles, J.A.; Maclean, A.A. Ultrasound Appearance of an Equine Testicular Seminoma. Vet. Radiol. Ultrasound 2001, 42, 355–357. [Google Scholar] [CrossRef] [PubMed]
- Coursey Moreno, C.; Small, W.C.; Camacho, J.C.; Master, V.; Kokabi, N.; Lewis, M.; Hartman, M.; Mittal, P.K. Testicular Tumors: What Radiologists Need to Know—Differential Diagnosis, Staging, and Management. RadioGraphics 2015, 35, 400–415. [Google Scholar] [CrossRef]
- MacMillan, K.M.; Martinson, S.A.; Smith, M.; Lofstedt, J. Malignant Mesothelioma of the Vaginal Tunic and Peritoneum in a Young Stallion. J. Equine Vet. Sci. 2019, 80, 76–79. [Google Scholar] [CrossRef] [PubMed]
- Brown, J.A.; O’Brien, M.A.; Hodder, A.D.J.; Peterson, T.; Claes, A.; Liu, I.K.M.; Ball, B.A. Unilateral Testicular Mastocytoma in a Peruvian Paso Stallion. Equine Vet. Educ. 2008, 20, 172–175. [Google Scholar] [CrossRef]
- Köllmann, M.; Anton, F.; Hewicker-Trautwein, M. Malignant Testicular Mixed Sex Cord-Stromal Tumor with Metastasis in a Stallion. Pferdeheilkunde 2006, 22, 177–180. [Google Scholar] [CrossRef]
- Zanghì, A.; Catone, G.; Marino, G.; De Vico, G.; Nicòtina, P. Malignant Mixed Sex Cord-Stromal Tumour in a Stallion. Reprod. Domest. Anim. 2004, 39, 376–379. [Google Scholar] [CrossRef] [PubMed]
- Stoll, A.L.; Tucker, R.; Witte, T.H.; Smith, K.C. Bilateral Leiomyoma in the Testes of a Horse. Equine Vet. Educ. 2015, 27, 113–115. [Google Scholar] [CrossRef]
- Weiermayer, P.; Richter, B. Simultaneous Presence of a Seminoma and a Leiomyoma in the Testes of a Horse. Equine Vet. Educ. 2009, 21, 172–176. [Google Scholar] [CrossRef]
- Epstein, V.; Hodge, D. Cutaneous Lymphosarcoma in a Stallion. Aust. Vet. J. 2005, 83, 609–611. [Google Scholar] [CrossRef] [PubMed]
- Snider, T.A. Reproductive Disorders in Horses. Vet. Clin. N. Am. Equine Pract. 2015, 31, 389–405. [Google Scholar] [CrossRef] [PubMed]
- May, K.A.; Moll, H.D.; Duncan, R.B.; Pleasant, R.S.; Purswell, B.J. Unilateral Leydig Cell Tumour Resulting in Acute Colic and Scrotal Swelling in a Stallion with Descended Testes. Equine Vet. J. 1999, 31, 343–345. [Google Scholar] [CrossRef]
- Oristaglio Turner, R.M. Pathogenesis, Diagnosis, and Management of Testicular Degeneration in Stallions. Clin. Tech. Equine Pract. 2007, 6, 278–284. [Google Scholar] [CrossRef]
- Pozor, M.A.; Muehlhaus, J.; King, A.; Macpherson, M.L.; Troedsson, M.H.; Bailey, C.S. Effect of Pentoxifylline Treatment on Testicular Perfusion and Semen Quality in Miniature Horse Stallions. Theriogenology 2011, 76, 1027–1035. [Google Scholar] [CrossRef]
- Turner, R.M.; Zeng, W. The Emerging Pathophysiology of Age-Related Testicular Degeneration with a Focus on the Stallion and an Update on Potential Therapies. Reprod. Domest. Anim. 2012, 47 (Suppl. S4), 178–186. [Google Scholar] [CrossRef]
- Ortiz-Rodriguez, J.M.; Anel-Lopez, L.; Martín-Muñoz, P.; Álvarez, M.; Gaitskell-Phillips, G.; Anel, L.; Rodríguez-Medina, P.; Peña, F.J.; Ortega Ferrusola, C. Pulse Doppler Ultrasound as a Tool for the Diagnosis of Chronic Testicular Dysfunction in Stallions. PLoS ONE 2017, 12, e0175878. [Google Scholar] [CrossRef]
- Zelli, R.; Troisi, A.; Elad Ngonput, A.; Cardinali, L.; Polisca, A. Evaluation of Testicular Artery Blood Flow by Doppler Ultrasonography as a Predictor of Spermatogenesis in the Dog. Res. Vet. Sci. 2013, 95, 632–637. [Google Scholar] [CrossRef]
- Da Silva-Álvarez, E.; Gaitskell-Phillips, G.; Ortiz-Rodríguez, J.M.; Serres, C.; García-Rodríguez, B.; Gutiérrez-Cepeda, L.; Martín-Cano, F.E.; Echegaray, A.; Escartin-Casas, N.; Requena, F.; et al. Evaluation of Testicular Echotexture with Ecotext as a Diagnostic Method of Testicular Dysfunction in Stallions. Theriogenology 2022, 185, 50–60. [Google Scholar] [CrossRef]
- Brito, L.F.; Barth, A.D.; Wilde, R.E.; Kastelic, J.P. Testicular Ultrasonogram Pixel Intensity during Sexual Development and Its Relationship with Semen Quality, Sperm Production, and Quantitative Testicular Histology in Beef Bulls. Theriogenology 2012, 78, 69–76. [Google Scholar] [CrossRef]
- Giffin, J.L.; Bartlewski, P.M.; Hahnel, A.C. Correlations among Ultrasonographic and Microscopic Characteristics of Prepubescent Ram Lamb Testes. Exp. Biol. Med. Maywood 2014, 239, 1606–1618. [Google Scholar] [CrossRef]
- Woodward, E.; Schlingmann, K.; Tobias, J.; Turner, R. Characterisation of the Testicular Transcriptome in Stallions with Age-Related Testicular Degeneration. Equine Vet. J. 2023, 55, 239–252. [Google Scholar] [CrossRef]
- Klinefelter, G.R.; Welch, J.E.; Perreault, S.D.; Moore, H.D.; Zucker, R.M.; Suarez, J.D.; Roberts, N.L.; Bobseine, K.; Jeffay, S. Localization of the Sperm Protein SP22 and Inhibition of Fertility in Vivo and in Vitro. J. Androl. 2002, 23, 48–63. [Google Scholar] [CrossRef]
- Miller, L.M.J.; Woodward, E.M.; Campos, J.R.; Squires, E.L.; Troedsson, M.H.T. Effect of Testicular Degeneration on Expression of Sperm Protein at 22 kDa in Stallions. Andrology 2024, 12, 211–221. [Google Scholar] [CrossRef]
- Levi, M.; Hasky, N.; Stemmer, S.M.; Shalgi, R.; Ben-Aharon, I. Anti-Müllerian Hormone Is a Marker for Chemotherapy-Induced Testicular Toxicity. Endocrinology 2015, 156, 3818–3827. [Google Scholar] [CrossRef] [PubMed]
- Pozor, M.; Conley, A.J.; Roser, J.F.; Nolin, M.; Zambrano, G.L.; Runyon, S.P.; Kelleman, A.A.; Macpherson, M.L. Anti-Müllerian Hormone as a Biomarker for Acute Testicular Degeneration Caused by Toxic Insults to Stallion Testes. Theriogenology 2018, 116, 95–102. [Google Scholar] [CrossRef]
- Kulibin, A.Y.; Malolina, E.A. Sertoli Cells Cultured under High-Temperature and Hypoxic Conditions. Cell Tissue Biol. 2014, 8, 97–106. [Google Scholar] [CrossRef]
- Giudice, C.; Banco, B.; Veronesi, M.C.; Ferrari, A.; Di Nardo, A.; Grieco, V. Immunohistochemical Expression of Markers of Immaturity in Sertoli and Seminal Cells in Canine Testicular Atrophy. J. Comp. Pathol. 2014, 150, 208–215. [Google Scholar] [CrossRef] [PubMed]






























| Testicular Volume (cm3) | =4/3 π × (Length of Testis (cm)/2 × Width of Testis (cm)/2 × Height of Testis (cm)/2) | 
| or Testicular volume (cm3) | =0.5233 × length × width × height | 
| DSO (billions of sperm/day) | =(Total Testicular Volume) × 0.024 − 0.76 | 
| Cell Type | Mean ± SD (%) | 
|---|---|
| Spermatogonia | 1.6 ± 1.1 | 
| Spermatocytes I | 3.4 ± 2.2 | 
| Spermatocytes II | 0.8 ± 0.7 | 
| Early spermatids | 25.5 ± 9.5 | 
| Late spermatids | 37 ± 9.3 | 
| Spermatozoa | 31.5 ± 8.5 | 
| Sertoli cells/100 g cells | 20.9 ± 17 | 
| Hormone Tested | Stallions | Cryptorchids | Geldings | Sensitivity | Specificity | 
|---|---|---|---|---|---|
| Testosterone (pg/mL) | >800 | 100–500 | <50 | 85% | 91% | 
| Estrone sulfate (ng/mL) | 140–200 | 35–60 | <0.1 | 88% | 84% | 
| AMH (ng/mL) | 30–200 | >0.15 | - | - | - | 
| Disclaimer/Publisher’s Note: The statements, opinions and data contained in all publications are solely those of the individual author(s) and contributor(s) and not of MDPI and/or the editor(s). MDPI and/or the editor(s) disclaim responsibility for any injury to people or property resulting from any ideas, methods, instructions or products referred to in the content. | 
© 2024 by the authors. Licensee MDPI, Basel, Switzerland. This article is an open access article distributed under the terms and conditions of the Creative Commons Attribution (CC BY) license (https://creativecommons.org/licenses/by/4.0/).
Share and Cite
Waqas, M.-S.; Arroyo, E.; Tibary, A. Diagnostic Approach to Equine Testicular Disorders. Vet. Sci. 2024, 11, 243. https://doi.org/10.3390/vetsci11060243
Waqas M-S, Arroyo E, Tibary A. Diagnostic Approach to Equine Testicular Disorders. Veterinary Sciences. 2024; 11(6):243. https://doi.org/10.3390/vetsci11060243
Chicago/Turabian StyleWaqas, Muhammad-Salman, Eduardo Arroyo, and Ahmed Tibary. 2024. "Diagnostic Approach to Equine Testicular Disorders" Veterinary Sciences 11, no. 6: 243. https://doi.org/10.3390/vetsci11060243
APA StyleWaqas, M.-S., Arroyo, E., & Tibary, A. (2024). Diagnostic Approach to Equine Testicular Disorders. Veterinary Sciences, 11(6), 243. https://doi.org/10.3390/vetsci11060243
 
        
 
       